Уход после артроскопической операции фиксации перелома таранной кости
Добавил пользователь Владимир З. Обновлено: 13.12.2025
Переломы лодыжек являются одной из наиболее частых причин обращения к травматологам-ортопедам.
Когда возможно консервативное лечение перелома лодыжек.
Консервативное лечение методом гипсовой иммобилизации возможно в ситуации изолированных переломов наружной или внутренней лодыжек без смещения костных фрагментов и повреждения связочных структур. Даже в случаях подобных изолированных повреждений сроки иммобилизации не могут быть меньше 6 недель, что в конечном счёте значительно затрудняет реабилитацию и может приводить к более продолжительным срокам нетрудоспособности в сравнении с оперативным лечением. Плюсами консервативного лечения перелома лодыжек являются отсутсвие рисков связанных с самим оперативным вмешательством и наркозом, а также отсутсвие необходимости удалять металлофиксаторы в будущем.
Разнообразие переломов лодыжек.
Итак, подавляющее большинство переломов лодыжек требует оперативного вмешательства, при отсутсвии противопоказаний. Для планирования оперативного вмешательства и понимания взаимоотношений между различными анатомическими структурами в области голеностопного сустава и стопы, которые могут повреждаться при переломах лодыжек, существуют различные классификации. Наиболее широко распространённой в международной практике, подробной, и оценивающей все аспекты как собственно травмы, так и возможных путей её лечения является классификация АО. Вы можете найти её на сайте международной ассоциации остеосинтеза.
К сожалению данная классификация довольно сложная и громосткая, мы не будем приводить её здесь полностью, так как только её треть относящаяся к группе А выглядит примерно так:

Максимально упрощая, можно свести переломы лодыжек к одно\двух\трёх- лодыжечным переломам и их эквивалентам. Консервативное лечение применимо только в случае однолодыжечных переломов. При консеравтином лечении двух- и трёх-лодыжечных переломов и их эквивалентов вторичное смещение практически неизбежно, что приводит в дальнейшем к нарушению взаимоотношений между таранной костью и соответсвующих ей суставных поверхностей большеберцовой и малоберцовой костей, что в свою очередь приводит к неправильному распределению нагрузки, износу суставного хряща и формированию посттравматического артроза с грубым нарушением функции опоры и ходьбы уже в течение 1-2 лет после травмы. Именно это и объясняет возросший за последние 2 десятилетия интерес хирургов-ортопедов к данному виду травмы.
Цели операции при переломе лодыжек.
Главной целью хирургического лечения перелома лодыжек является восстановление нормального взаимоотношения костей в голеностопном суставе. Даже при смещении таранной кости кнаружи на 1 мм площадь её контакта с большеберцовым плато уменьшается на 40%. Получается что при сращении наружной лодыжки с, казалось бы, небольшим смещением в 1 мм кнаружи, на 60 % площади будет приходиться 100 % нагрузки.
Вторым важным моментом является обеспечение условий для сращения перелома за счёт плотного контакта костных фрагментов и их надёжной фиксации, предотвращающей движение отломков между собой.
Третьей целью является уход от иммобилизации. Гипсовая повязка сама по себе способна нанести значительный вред её обладателю за 6 недель, приводя к нарушению питания тканей, атрофии мышц, повышая риски тромбоза глубоких вен нижних конечностей, препятствуя движению в суставе, что в конечном счёте может приводить к его контрактуре. При правильно выполненном остеосинтезе движения в голеностопном суставе разрешаются уже на следующий день после операции. Вы можете посмотреть статью посвящённую операции при переломе лодыжки перейдя по этой ссылке.
Что происходит после того, как вы обратились в клинику с переломом лодыжек.
В нашем центре мы стараемся максимально быстро и эффективно оказывать помощь пациентам с переломами любой локализации, в том числе и с переломами лодыжек. Полное предоперационное обследование и операция выполняются в течение первых 24 часов после обращения. Выписка под наблюдения травматолога поликлиники в большинстве случаев происходит уже на вторые сутки после обращения и операции. При обращении вам выполнят рентгенограммы для подтверждения диагноза, будет наложена транспортная гипсовая иммобилизация. Непосредственно перед операцией с профилактической целью вводятся внутривенно антибиотики. Возможно использование спинномозговой анестезии или эндотрахеального наркоза. С целью снижения стресса от оперативного вмешательства за 10 минут до операции вас погрузят в медикаментозный сон, проснётесь вы также через 10 минут после её окончания. Во время операции ортопедический хирург произведёт открытое сопоставление отломков с их фиксацией пластинами и винтами. После операции вам понадобятся костыли, так как полная нагрузка всё равно не рекомендуется до сращения перелома. На следующий день после операции вам выполнят перевязку, научат как правильно ходить с дополнительной опорой на костыли и какие упражнения делать для разработки движений и укрепления мышц голени, после чего вы можете быть выписаны домой.
Операция при переломе лодыжек.
При переломе лодыжек выполняется оперативное вмешательство называемое: открытая репозиция и внутренняя фиксация, или остеосинтез. Для доступа к сломанной кости выполняются разрезы вне проекции крупных сосудисто нервных пучков.


Сломанная кость обнажается, производится сопоставление костных отломков, временная фиксация при помощи костодержателей, спиц, костных цапок. Далее выполняется остеосинтез при помощи пластин и винтов. Временная фиксация удаляется.

Производится гемостаз, рана послойно ушивается, накладывается асептическая повязка, эластическая компрессия.
Что происходит после операции при переломе лодыжек.
После операции нога должна находится на возвышении, через повязку на область оперативного вмешательства укладывается лёд (лучше всего мягкая резиновая грелка наполненная льдом и холодной водой) на 30 минут каждые 3 часа. Это позволяет уменьшить отёк и боль в зоне вмешательства. После операции вам будут вводиться обезболивающие и противовоспалительные препараты. Вечером в день операции или на следующий день после операции инструктор по лечебной физкультуре обучит вас каким образом надо правильно ходить с дополнительной опорой на костыли и покажет вам упражнения которые надо будет выполнять для сохранения массы и силы мышц голени. Утром на следующий день после операции вам сделают перевязку. После этого вы можете быть выписаны под наблюдение травматолога по месту жистельства. Дома также следует продолжать использовать возвышенное положение конечности и лёд для более быстрого спадения отёка и уменьшения болей. Через 2 недели после операции вам надо будет приехать в клинику для того чтобы снять швы. Через 6 недель производится рентгенконтроль и при наличии признаков консолидации разрешается нагрузка на ногу. Обычно требуется ещё около 2 недель для того чтобы полностью восстановить функцию конечности. На этом этапе очень полезно позаниматься с инструктором по лечебной физкультуре. Форсированные(спортивные) нагрузки на ногу не рекомендуются до 6-12 месяцев после травмы.
Осложнения операции при переломе лодыжек.
Существует ряд осложнений характерных для любого хирургического вмешательства и для любого вида анестезии. Операция при переломе лодыжек не исключение. К ним относятся инфекция, повреждение сосудов и нервов, кровотечение, тромбоз глубоких вен. Их риск не превышает 2 % от общего числа вмешатльств.
Также существуют специфические осложнения. К ним относятся тугоподвижность голеностопного сустава, слабость мышц голени, формирование посттравматического артрозп голеностопного сустава. Эти риски в значительной степени зависят от морфологии перелома, наличия сопутсвующих заболеваний, таких как диабет, аутоимунные заболевания требующие приёма стероидных препаратов, курение.
Нужно ли удалять пластины и винты после операции при переломе лодыжек.
Пластины и винты используемые в современной хирургической практики сделаны или сплава титана или хирургической стали не вызывающих реакции со стороны организма. Их удаление показано в случаях когда они вызывают раздражение мягких тканей за счёт механического их повреждения, в случаях инфекционных осложнений, а также при настойчивом желании пациента. Также зачастую требуется удаление позиционного винта через 6-8 недель при фиксации межберцового синдесмоза. Полное удаление металлофиксаторов при переломе лодыжек рекомендуется не ранее 12 месяцев после операции.
Клинический случай 1. Перелом обеих лодыжек с подвывихом стопы кнаружи.
44 В2-2
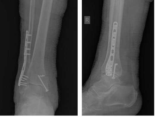
Пациентка Т. 80 лет. Травма за 3 недели до обращения, получила перелом обеих лодыжек правой голени со смещением, подвывихом стопы кнаружи. Обратилась в РТП, выполнена рентгенография, наложена гипсовая повязка. В связи с сохраняющимся выраженным отёком и болевым синдромом обратилась в клинику К+31.

На рентгенограммах в гипсе определяется значительный подвывих таранной кости кнаружи, консолидирующийся перелом нижней трети малоберцовой кости.

В день обращения пациентка послоностью обследована, проведено оперативное лечение, открытая репозиция, остеосинтез перелома нижней трети малоберцовой кости пластиной, внутренней лодыжки винтом, внутренняя лодыжка дополнительно фиксирована анкерным фиксатором.

На контрольных рентгенограммах после операции положение отломков, металлофиксаторов правильное, подвывих таранной кости устранён.
Пациентка выписана на 2 сутки после операции на амбулаторное долечивание.
Клинический случай 2. Перелом обеих лодыжек с вывихом стопы кнаружи, кзади.
44 А3-3
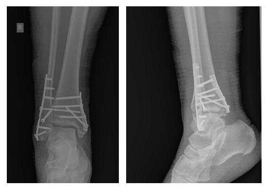
Пациентка Л. 50 лет, травма в быту, получила закрытый перелом обеих лодыжек с вывихом стопы кнаружи и кзади. Данный случай интересен значительным повреждением мягких тканей произошедшем при травме и потребовавшем значительных усилий в борьбе с отёком, а также морфологией перелома внутренней лодыжки, сломавшейся одним большим блоком вместе с задним краев большеберцовой кости, что потребовало её фиксации при помощи пластины и винтов.

В связи с выраженным отёком мягких тканей, высоким риском некроза краёв ран и инфекционных осложнений пациентке с целью предоперационной подготовки выполнялись скелетное вытяжение, сосудистая и метаболическая терапия, лимфодренаж, физиотерапия. После спадения отёка, на 3 день после поступления выполнено оперативное вмешательство: открытая репозиция, остеосинтез переломов наружной и внутренней лодыжек пластинами и винтами.

Через 4 дня пациентка выписана на амбулаторное долечивание. Послеоперационные раны зажили первичным натяжением, швы удалены через 14 дней.
Через 6 недель после первичного вмешательства произведено удаление позиционного винта, пациентка приступила к активной разработке движений в голеностопном суставе.
Амплитуда движений через 8 недель после травмы и оперативного вмешательства по поводу этого тяжёлого повреждения близка к полной. Пациентка ходит с полной опорой, не используя костыли или трость, не хромает, боли не беспокоят. Сохраняется умеренный отёк в области голеностопного сустава.
Реабилитация после перелома таранной кости

Среди травматических повреждений стопы особую опасность представляет перелом таранной (надпяточной) кости. Эта сложная анатомическая структура, полностью состоящая из суставных поверхностей, формирует нижнюю часть голеностопного сустава и соединяет между собой передний и задний отделы предплюсны. И даже частичное нарушение её целостности чревато серьезными последствиями в виде посттравматического артроза и ограничения опороспособности и подвижности стопы. Поэтому важнейшим условием полного восстановления является анатомическая репозиция и последующая комплексная реабилитация после перелома таранной кости.
Рассказывает специалист ЦМРТ
Дата публикации: 12 Августа 2021 года
Дата проверки: 30 Ноября 2021 года
Содержание статьи
Так ли мне нужна реабилитация?
Основной опасностью перелома таранной кости является высокий риск развития поздних осложнений. Неблагоприятные исходы травмы связаны с несоблюдением последовательности лечебных мероприятий и отсутствием своевременной грамотной реабилитации.
Возможные осложнения
- компартмент-синдром (увеличение тканевого давления в фасциальном пространстве)
- несращение костных тканей
- стойкие боли
- посттравматический артрит
- деформирующий артроз подтаранного сустава
- деформация стопы (расширение поперечника пятки, плоскостопие)
- остеонекроз
- существенное ограничение подвижности
Через сколько можно начинать реабилитацию?
При консервативном лечении перелома к восстановительным мероприятиям приступают на следующий день после травмы. Пациентам, перенесшим операцию остеосинтеза, рекомендована ранняя комплексная реабилитация. Она назначается с учетом характера повреждения, тяжести состояния и использованной реконструктивной методики.
Продолжительность восстановительного периода
Для полного восстановления таранной кости требуется 3-6 месяцев. В особо тяжелых случаях восстановительный период может продлиться до года.
Когда будут заметны улучшения?
Все зависит от тяжести первичной травмы, индивидуального состояния пациента, мотивации к лечению и соблюдения врачебных рекомендаций.
Цитата от специалиста по реабилитации
Травмы и заболевания опорно-двигательного аппарата могут существенно снизить уровень активности, как в спортивном плане, так и на бытовом уровне. Реабилитация в “Лаборатории движения” направлена на максимально возможное восстановление, компенсацию нарушенных или полностью утраченных функций. Мультидисциплинарный, комплексный, но в то же время индивидуальный подход позволяет сократить сроки восстановления. Специалисты клиники стремятся сформировать ответственное отношение пациента к реабилитационному процессу и своему здоровью.
Основные реабилитационные методики
Для эффективного устранения последствий высокоэнергетической травмы применяется поэтапная восстановительная программа. Она включает следующие процедуры:
- упражнения ЛФК (дыхательные, изометрические, постуральные, идеомоторные)
- физиотерапевтические процедуры (УФО, криотерапия, магнитное, лазерное воздействие)
- массаж
- фармакопунктура
- ортезирование
- кинезиотейпирование
При подборе реабилитационных методик учитывается характер и тяжесть травмы, возраст, физическая активность и общее состояние здоровья пациента.
Артродез подтаранного сустава: реабилитация после операции

Иногда даже самая тщательная репозиция или операция по замещению костной ткани не способна полностью восстановить анатомическое взаимоотношение между пяточной и таранной костью. Как следствие, нарушается опороспособность конечности и стремительно развивается не поддающийся консервативному лечению посттравматический деформирующий артроз. В данной ситуации единственным оптимальным решением становится артродезирование (обездвиживание) суставного сочленения.Для того, чтобы лечебный эффект был максимальным, а негативные последствия — минимальными, требуется последующая реабилитация после операции артродез подтаранного сустава.
Артродез подтаранного или голеностопного сустава - достаточно сложная и травматичная операция. Поэтому для ускоренной адаптации и формирования компенсаторных процессов требуется профессиональная реабилитация. В то же время несоблюдение послеоперационного режима или отказ от восстановительных процедур не только существенно увеличивает сроки выздоровления, но и влечет за собой опасные последствия для здоровья.
- некроз близлежащих тканей (краевой раны);
- несращение костных структур
- флеботромбоз
- инфекционное воспаление
- остеомиелит
- мышечная атрофия
- вальгусная деформация заднего отдела стопы
- выраженная хромота
Активизацию пациентов, перенесших артродез подтаранного сустава, рекомендуется начинать со второго дня после операции. Приступать к физическим упражнениям разрешается через 1,5 месяца, давать полную нагрузку на конечность - спустя 2 месяца.
Для максимально возможного восстановления после замыкания сустава заднего отдела стопы требуется 6-12 месяцев. В данной ситуации многое зависит от исходного состояния, возраста и регенеративного потенциала пациента. При благоприятном исходе через 7-8 месяцев формируется новый стереотип ходьбы и пропадает хромота.
При отсутствии послеоперационных осложнений и выполнении врачебных рекомендаций уже через 2 недели наблюдаются первые положительные изменения функционального статуса и стабилизация состояния.
Для восстановления опороспособности конечности используется поэтапная реабилитационная программа:
- физиотерапевтические процедуры (магнито-, лазеротерапия, ультрафонофорез, холодовое воздействие, импульсные токи и пр.)
- лечебная гимнастика (общеукрепляющие, дыхательные, изометрические упражнения)
- массаж
- кинезиотренинги для восстановления стереотипа движения
- рефлексотерапия
- функциональное ортезирование
- мануальная коррекция
- занятия на тренажерах для пассивной разработки мышц и суставов
- PRP-терапия
Реабилитация после хирургического вмешательства проводится с учетом общего состояния и индивидуальных особенностей пациента.
Артроскопия голеностопного сустава
Положение пациента лёжа на спине с упором под бедро. Целесообразно использование наружного тракционного устройства и жгута для лучшей визуализации. При артроскопии переднего отдела голеностопного сустава достаточно перевести стопу в положение максимального эквинуса для получения хорошего обзора, дистракция может понадобиться если потребуется добраться до более глубоких участков сустава.
Артроскопические порты.
Устанавливать артроскопические порты следует крайне осторожно, так как они проходят в непосредственной близости от сосудисто-нервных пучков. Для выполнения артроскопии переднего отдела сустава предпочтительно перед установкой порта ввести в сустав 20 мл физиологического раствора, затем устанавливается антеромедиальный порт, в него вводится камера, и только под контролем световода выполняется антеролатеральный доступ в зоне свободной от ветвей поверхностного малоберцового нерва и вен.
Антеромедиальный портал голеностопного сустава - основной портал, чаще всего устанавливается первым, даёт доступ к передне-внутренним отделам сустава. Анатомическими ориентирами для установки служат сухожилие передней большеберцовой мышцы, внутренняя лодыжка и большая подкожная вена.
Антеролатеральный портал голеностопного сустава - основной портал, даёт доступ к передне-наружному отделу сустава, устанавливается кнаружи от третьей малоберцовой мышцы и поверхностного малоберцового нерва и кнутри от наружной лодыжки.
Передне-центральный портал голеностопного сустава - редко используется в связи с опасностью повреждения тыльной артерии стопы. Располагается кнутри от общего разгибателя пальцев и кнаружи от длинного разгибателя большого пальца.
Постеролатеральный портал голеностопного сустава - основной портал, даёт доступ к треугольной кости, располагается на 2 см выше верхушки наружной лодыжки между ахилловым сухожилием и сухожилиями малоберцовых мышц.
Постеромедиальный портал голеностопного сустава - основной портал, даёт доступ к треугольной кости и сухожилию длинного сгибателя большого пальца. Располагается на том же уровне что и антеролатеральный портал, сразу же кнутри от ахиллова сухожилия.
Трансахиллярный доступ используется редко в связи с его травматичностью.

Основными осложнениями артроскопии голеностопного сустава являются повреждение сосудисто-нервных пучков. Во избежание их травматизации крайне важно строго соблюдать порядок установки портов а при работе внутри сустава всегда направлять инструмент рабочей поверхностью в сторону камеры, так как существует высокий риск того что при неаккуратном движении вы можете повредить сосуд или нерв. Другим возможным осложнением является формирование синовиальной фистулы, по этой причине необходимо обеспечить адекватный кратковременный период иммобилизации голеностопного сустава после артроскопического вмешательства.

Никифоров Дмитрий Александрович
Хирургия стопы и голеностопного сустава, коррекция деформаций конечностей, эндопротезирование суставов, артроскопическая хирургия, спортивная травма.
Когда требуется операция на голеностопном суставе, какими способами проводится, показания
Во время стояния или при передвижении человека голеностоп испытывает постоянные сильные нагрузки. Он является одним из самых загруженных во всем организме. В повседневной жизни этот сустав часто повреждается из-за особенностей своего строения. Как правило, возникают переломы. Даже после операции и при идеальном срастании отломков сохраняется высокий риск артроза. Травмы - самые частые причины разрушения этого сочленения.
Показания к проведению операции
Оперативное вмешательство проводится не при каждой форме перелома. Простые травмы, которые не сопровождаются смещениями, поддаются консервативной терапии в амбулаторных условиях. При наличии смещения оно может быть вправлено посредством одномоментной репозиции или вытяжения.
Хирургическое вмешательство в обязательном порядке назначается при таких диагнозах:
- перелом, сопровождающийся разрыванием синдесмоза между костями;
- открытый перелом с обширной травмой кожи и мягких тканей;
- отсутствие эффекта после ручной репозиции отломков и вытяжения.
Абсолютных противопоказаний хирургия не имеет, но к относительным можно отнести шок, декомпенсированные патологии, сильное травмирование тканей в месте перелома.
Виды вмешательства
Основными операциями на суставе являются артродез и эндопротезирование. Артродез предполагает создание неподвижности, а эндопротезирование - замену голеностопа на искусственный. В первом случае не получится вернуться к обычной физиологической походке, а вот при постановке протеза функциональный результат в разы лучше, но требуется длительная реабилитация, а также выше вероятность осложнений.
Специалист, как правило, настаивает на реализации операции для голеностопа. После перелома в первую очередь требуется сопоставление отломков и фрагментов костей, чтобы лодыжка быстрее срослась. Именно после операции голеностопный сустав может восстановиться полностью, вернуть свою работоспособность. Ортопед при необходимости подбирает имплантаты для фиксации костей, чтобы не дать им смещаться и двигаться.
Операцию должны проводить опытные врачи, что сделает минимальными риски негативных последствий. Если нет возможности сопоставления тканей костей, то для хирургии потребуются винты и пластины из металла. Костная ткань надежно фиксируется, и в таком состоянии голеностоп остается на 12 месяцев и дольше. В этот период запрещается нагрузка на больную ногу. По истечению года пластины убираются с помощью нового оперативного вмешательства, на место травмы накладывается повязка, а пациенту разрешают несильные нагрузки на голеностоп.
Артроскопия
Это артроскопический малоинвазивный хирургический метод лечения. Артроскопию голеностопа проводят как с целью лечения, так и для диагностики. Достоинства способа в том, что не делаются крупные разрезы, отсутствуют кровопотери, а срок реабилитации минимальный.
Доктор совершает манипуляции через несколько маленьких разрезов - диаметром не больше 1 см. Когда задача операции - диагностика, то делают один разрез, через который вводится артроскоп и проводится исследование полости сустава. Если требуется резекция дефектов, извлечение суставных мышей и обломков или реформация связок, то делается дополнительный разрез, чтобы артроскопически ввести специальные хирургические инструменты.
Артродез
Операция предполагает полное обездвиживание голеностопа. Сначала суставы голеностопа стачиваются, потом плотно присоединяются друг к другу и фиксируются специальными приспособлениями. Замкнутый орган не будет функционировать как прежде, но его работа частично компенсируется другими сочленениями ног. Замыкание помогает купировать непроходящие болевые ощущения, вернуть ноге функции опоры.
Артротомия
Артротомия проводится в самых сложный ситуациях, когда остальные методы оказываются нецелесообразными. Артротомическое вмешательство - открытая операция, которая считается травматичной и имеет высокую вероятность осложнений и сложную реабилитацию. В процессе артротомии доктор вправляет врожденные вывихи, реализует резекцию травмированной структуры соединения, удаляет нагноения и обломки костей, фрагменты хрящевой ткани.
Подготовка пациента
Перед хирургией требуется проведение полной диагностики и при необходимости выбор конструкции по размеру. Обязательно нужна предоперационная консультация с ортопедом и травматологом. Пациент должен рассказать о своих хронических заболеваниях, аллергиях на лекарства и другие вещества. Сдаются общие анализы мочи и крови, проводится ЭКГ. Если требуется выбор протеза, то дополнительно проводится МРТ, диагностическая артроскопия, рентгенография.
Для исследования общего состояния опорно-двигательной системы специалист обращает внимание на правильность походки больного, на его осанку. Также проверяется присутствие и интенсивность болевых ощущений, наличие отеков, деформаций в голеностопе, нарушений целостности кожи. Обязательно подбирается комбинация деталей модульного протеза в соответствии с индивидуальными особенностями человека.
Осмотр до операции
Для успешности операции требуются обязательные подготовительные мероприятия:
- за месяц запрещается принимать лекарства, особенно антикоагулянты и гормональные;
- за 2 недели нужно отказаться от сигарет и спиртного;
- заранее стоит выбрать костыли по размеру;
- важно исключить такие диагнозы, как сахарный диабет и острая недостаточность сердца.
Какие еще суставы оперируют
Помимо голеностопа хирургические операции проводятся и на других сочленениях:
- тазобедренном;
- коленном;
- плечевом;
- плюснефаланговом - для устранения вальгусной деформации большого пальца и сохранения подвижности суставов.
Восстановительный период
Для ускорения процессов восстановления и возвращения к привычной жизни после переломов и других серьезных травм голеностопного сустава важно правильно провести реабилитацию. Она предполагает организацию ЛФК, физиотерапевтических процедур и массажа. Пока больной находится в стационаре, ему назначают определенные методы восстановления, которые требуется продолжать и после выписки.
Когда пациент находится в лежачем положении, требуется обеспечение прооперированной ноге возвышенного расположения - это улучшает токи крови и лимфы в ней.
Для каждого человека реализуется профилактический курс антибиотиками на протяжении трех дней после операции. Также требуется прием анальгетиков, противовоспалительных средств и других препаратов в соответствии с проявляющимися симптомами.
Когда болевые ощущения отступают, допускается приступать к разработке суставов. Через несколько дней разрешено постепенно вставать, ходить, соблюдая дозированные непродолжительные нагрузки с костылями.
За все время восстановления в условиях больничного отделения пациент должен медленно и аккуратно разрабатывать травмированную голень под контролем врача. Амплитуда увеличивается поэтапно. Обязательно регулярно проводятся физиопроцедуры для нормализации кровотока, уменьшения отекания и стимуляции работы мышечных структур. Через 3 - 5 дней больного выписывают домой, где человек сам продолжает занятия.
Продолжительность восстановления соотносится с индивидуальными характеристиками организма больного и со сложностью проведенной операции.
Полноценное функционирование голеностопа возможно только при точном следовании установкам доктора и прохождении полноценного курса реабилитационных мероприятий.
После выписки массаж и ЛФК могут делать близкие. Для физиопроцедуры потребуется посещать поликлинику, также можно самостоятельно приобрести аппараты в специализированных магазинах.
Первые месяцы после проведенной хирургии потребуется отказаться от больших физических нагрузок, ходить с тростью или костылями. Если проводилось эндопротезирование, то при правильной и бережной эксплуатации срок максимальной службы доходит до 15 - 20 лет.
Итак, оперативное вмешательство на голеностопном сочленении после переломов и других тяжелых травм часто становится единственным шансом на полноценное выздоровление и возвращение ноге нормального функционирования. Чем раньше проводится хирургическое лечение, тем больше шансов на положительный исход и полное восстановление здоровья.
Читайте также:
- Базальный тонус сосудов. Растяжимость сосудов. Трансмуральное давление. Мобилизация крови из вен.
- Доброкачественная смешанная опухоль твердого неба
- Лечение хронической боли. Опиоиды, НПВС, антидепрессанты при хронической боли.
- Проблема врастания ногтей. Как с ней бороться?
- Фильтрация жидкости через стенку капилляра. Факторы влияющие на движение жидкости через стенку капилляра
