Укладка при рентгенограмме запястья в тангенциальной нижневерхней проекции запястного канала
Добавил пользователь Владимир З. Обновлено: 08.01.2026
Рентген лучезапястного сустава и кисти рук - это наиболее распространённая диагностическая процедура, используемая для исследования строения, структуры, целостности костной ткани запястья и кисти рук. Её можно сделать практически в каждой государственной поликлинике или частной клинике. Рентген не требует особой подготовки - нужно просто снять с рук все кольца, часы, браслеты, наклеенный пластырь. Если на кисть ранее был наложен гипс, то, возможно, потребуется снять и его - точные рекомендации даст врач-рентгенолог.
Показания
Боль в кисти при движениях и в покое
Рентгенография кисти рук и лучезапястного сустава может назначаться пациентам, если они жалуются на боль в этой области. Боль может отмечаться как в состоянии покоя, так и в движении (сжимание, разжимание, вращательные движения и так далее). Причин возникновения боли в кистях и запястьях масса: переломы, ушибы, артрит, остеоартроз, перитендинит, ущемление срединного нерва, полиартрит и другие. Главная задача лечащего врача - с помощью рентгена распознать истинную причину боли и назначить правильное лечение.
Отечность и гиперемия мелких суставов
Отёчность кистей рук, а также их гиперемия - симптомы, которые могут сигнализировать о различных патологиях. Среди них: заболевания сердца, почек, печени, анемия, застой лимфы, аллергия и многие другие. Однако при подобных патологиях речь идёт о нарушении структуры мягких тканей. Чтобы исключить патологию костной ткани, проводят рентген кистей и запястья.
Деформации суставов
Заметная визуально деформация лучезапястного сустава, самой кисти или пальцев является достаточным показанием для проведения рентгена. Самые распространённые деформации - это узелки Гебердена (образуются на суставах крайних фаланг пальцев) и узелки Бушара (образуются на суставах срединных фаланг). Чаще всего такие деформации говорят о прогрессировании таких заболеваний, как артроз или артрит.
Перенесенные травмы с подозрением на перелом костей
Травмы, падения с высоты, ушибы - все эти факторы с высокой вероятностью могут стать причиной перелома кистей рук или запястья. Для подтверждения или опровержения перелома рентген необходимо сделать в первую очередь.
Воспалительные изменения в суставах кисти (артрозы, артриты)
Затруднённое движение кистей рук, сопровождающееся болевым синдромом, хрустом может стать свидетельством артрита или артроза. Рентген в этом случае покажет, насколько истончёна соединительная суставная ткань, хрящи, есть ли на костях солевые отложения и так далее.
Подозрение на деструкцию кости (остеомиелит)
Остеомиелит - гнойное инфекционное заболевание, поражающее костную ткань. Другими словами, при такой патологии наблюдается загнивание и разрушение (постепенное или скоротечное) костной ткани. Причиной возникновения остеомиелита является попадание бактерий в костную ткань либо в костный мозг или надкостницу. Случиться это может при травмах, в течение таких болезней, как корь, гнойная ангина, пневмония, фурункулёз и так далее. Для оценки состояния костной ткани, подтверждения или исключения остеомиелита, как правило, назначается рентген запястья и кистей рук.
Новообразования
Гигрома - одно из наиболее распространенных кистозных новообразований, локализация которого приходится на запястье или кисти рук. При помощи рентгена определить гигрому можно довольно точно, поэтому такой метод диагностики применяется наиболее часто.
Методика проведения
Рентген запястья и кисти делают в течение нескольких секунд. Пациента усаживают на стул рядом со столом рентген-аппарата. Затем укладывают его кисть на столешницу ладонью вниз, максимально распрямив её, и делают снимок. Возможно исполнение снимка и в других проекциях: прямая ладонью вверх, боковая, косая тыльная и косая ладонная. Перед тем как сделать снимок, тело пациента защищают специальным жилетом, который блокирует прохождение рентгеновских лучей.
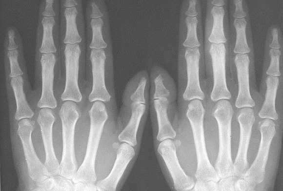
В идеале рентгеновские снимки в нескольких проекциях должны отобразить все составляющие кости и суставы запястья и кисти: 3-гранная, полулунная, ладьевидная, гороховидная, крючковатая, головчатая, трапециевидная кости, лучезапястный сустав, пястные кости, запястно-пястные суставы, межзапястный сустав, фаланги.
При болях, нарушении функции кисти или запястья только на одной руке для определения отклонений от нормы могут сделать рентген-фото лучезапястного сустава и кистей обеих рук.
После того как снимки сделаны, рентгенолог приступает к их проявке и описанию. Как правило, занимает это 15-20 минут, в зависимости от сложности заболевания или травмы.
Какие изменения видны на рентгенограмме кисти?
Травматические повреждения
Травматические повреждения, такие как переломы, вывихи, трещины, смещения, - это первое, что можно обнаружить на рентгене лучезапястного сустава. Кости запястья, рентген которых показал перелом, имеют на снимке тёмные полосы различной локализации, размера и направления.
Поставить диагноз «Вывих» по рентгену можно, если на снимке видно, что суставные поверхности костей предплечья перекрещиваются или щель между костями лучезапястного сустава не видна.
Ревматические поражения
Поражения ревматического характера могут наблюдаться, например, при патологии соединительной ткани сустава (ревматоидный артрит, склеродермия) или при воспалительных заболеваниях, поражающих костную ткань кистей и запястья.
Типичными признаками артритов кистей рук являются кистозные изменения, визуализируемые на рентгене уже на ранних стадиях развития ревматоидной патологии. Обычно они имеют небольшой размер и округлую форму. Запущенные стадии артрита характеризуются формированием крупных и плотных костных эрозий.
Противопоказания
Негативное влияние ионизирующего излучения от рентгена определяет ряд запретов для проведения рентгенографии лучезапястного сустава и кисти рук.
Беременность
При беременности женщинам делать рентген нельзя, так как ионизирующее излучение может оказать негативное влияние на развитие плода. Однако в отдельных случаях, когда, например, речь идёт о серьёзном оскольчатом переломе кисти, рентген проводят. При этом предварительно тщательно закрывают живот женщины защитным жилетом или фартуком.
Дети до 15 лет
Детский возраст до 14-15 лет также считается противопоказанием для проведения рентгена. На неокрепший детский организм ионизирующее излучение может повлиять негативно, и главная опасность кроется в высокой вероятности злокачественного перерождения клеток, попадающих в зону облучения. В связи с этим детям рентген назначают крайне редко. В качестве альтернативного, максимально информативного, но при этом безопасного метода диагностики состояния костей кисти и запястья можно использовать МРТ.
Лечение синдрома запястного канала
Прежде чем начинать лечение синдрома запястного канала, нужно выяснить, какие обстоятельства явились его причиной. И, естественно, необходимо первым делом попытаться эти неблагоприятные обстоятельства устранить. Если синдром запястного канала является следствием профессиональных перегрузок, то их необходимо как минимум существенно снизить. Как максимум — на некоторое время вообще прекратить травмирующую профессиональную деятельность.
Если синдром запястного канала развивается на фоне эндокринных заболеваний, диабета или на фоне артрита, то, само собой, прежде всего мы лечим первоначальную болезнь. При неполадках в работе шейного отдела позвоночника мы сперва «подправляем» позвоночник, делаем массаж воротниковой зоны и т. д., и лишь после нормализации работы позвоночника переходим непосредственно к лечению самого синдрома.
Медикаментозное и физиотерапевтическое лечение синдрома запястного канала
При неосложненном синдроме запястного канала хороший эффект может дать целый ряд медицинских процедур:
- фонофорез гидрокортизона на область запястья со стороны ладони;
- электрофорез раствора никотиновой кислоты;
- грязелечение;
- лазеротерапия;
- компрессы с димексидом на запястье;
- внутривенные капельницы с сосудорасширяющими препаратами и др.
Очень хороший лечебный эффект при синдроме запястного канала дают специальные упражнения, о которых вы можете прочитать здесь >>
Эти упражнения эффективны более чем в 80% случаев!
Дополнить лечение можно с помощью нестероидных противовоспалительных препаратов (таких, как диклофенак, мовалис, ибупрофен, нимулид и др). Некоторым пациентам существенное облегчение приносит прием мочегонных лекарств — они помогают снизить отек в тканях запястного канала.
Многим больным помогает использование специальных охлаждающих примочек на область запястья — например, холодных мокрых полотенец (только что из холодильника) или кубиков со льдом (максимум на 2-3 минуты 1-2 раза в день).
Но самыми обоснованными лечебными мероприятиями при сдавлении срединного нерва, с моей точки зрения, являются мануальные манипуляции над кистью с целью восстановить правильное положение косточек запястья и введение в запястный канал лекарственной смеси. Обычно специальной тонкой иглой в канал вводится смесь анестетика (лидокаина, новокаина и др.) с кортикостероидным гормоном — чаще всего с дипроспаном или гидрокортизоном.
Как правило, уже первая подобная инъекция в запястный канал приносит пациенту существенное облегчение. Если же через 2 недели после первого введения неприятные ощущения у пациента исчезают не полностью, то проводят вторую инъекцию той же смеси. Еще через 2 недели можно провести третью, заключительную инъекцию.
Видео: Онемение пальцев рук или всей руки, синдром запястного канала — причины и лечение
Как правило, для выздоровления трех введений лекарственной смеси вполне достаточно. И если после трех инъекций в запястный канал неприятные ощущения не только не прошли, а даже не уменьшились (при условии правильного проведения процедуры), можно думать о диагностической ошибке.
Хотя справедливости ради надо сказать, что примерно в 10% случаев синдром запястного канала не поддается даже абсолютно грамотному комплексному лечению. Это происходит при значительном перерождении поперечной связки запястья и ее гипертрофии (расширении и набухании). В такой ситуации единственным выходом остается оперативное лечение синдрома запястного канала.
Оперативное лечение синдрома запястного канала
Операция относится к разряду достаточно простых. Она выполняется под местной анестезией и не требует длительного нахождения в стационаре, а некоторых клиниках она и вовсе выполняется амбулаторно — пациент приходит на операцию из дома, и после операции в тот же день возвращается домой. В ходе оперативного вмешательства хирург иссекает поперечную связку запястья и расширяет запястный канал, освобождая место для срединного нерва. И спустя 3-4 недели после удачно проведенной операции функция поврежденной руки восстанавливается на 60-70 процентов. Но окончательное восстановление руки после операции может произойти не сразу, а только через несколько месяцев.
Рецидивы синдрома запястного канала после операции случаются редко. Обычно 80-90% пациентов после рассечения поперечной связки запястья полностью избавляются от мучительных симптомов этого заболевания.
Статья доктора Евдокименко© для книги «Боль и онемение в руках», 2004 г.
Отредактирована в 2011 г. Все права защищены.
Диагностика синдрома запястного канала, обследования при синдроме запястного канала
Диагностикой и обследованием пациента при синдроме запястного канала занимаются врачи-ревматологи, артрологи и невропатологи. Большинство врачей этих специальностей могут установить диагноз синдрома запястного канала сразу же, на первом приеме — на основании жалоб пациента и специфичных тестов при его осмотре.
Наиболее надежными считаются 3 специальных диагностических теста:
1. Тест Тинеля. При выполнении теста врач простукивает пальцем запястье пациента со стороны ладони, там, где расположено самое узкое место запястного канала. И если пациент болеет синдромом запястного канала, то такое постукивание вызывает характерное ощущение покалывания в пальцах.
2. Манжеточный тест. При выполнении теста на руку больного накладывается манжетка для измерения артериального давления (примерно на середине расстояния между кистью и локтевым суставом). В манжетку нагнетается давление до рт. ст. (то есть чуть выше нормального артериального давления), и это давление выдерживается в течение 1 минуты. Если пациент болеет синдромом запястного канала, то при выполнении теста в пальцах появляется характерное ощущение покалывания или онемения. К слову, при средне-тяжелых или тяжелых формах синдрома запястного канала такие же симптомы появляются даже просто при попытках измерить артериальное давление пациента (обычным способом, когда манжетка накладывается выше локтя).
3. Тест поднятых рук. При выполнении теста пациента просят поднять выпрямленные руки над головой, и держать их в таком положении в течение 40-60 секунд. Если пациент болеет синдромом запястного канала, то уже максимум через 30-40 секунд в пальцах появляется характерное ощущение покалывания или онемения.
Помимо осмотра пациента и проведения диагностических тестов, врач может и должен назначить пациенту клинический анализ крови (из пальца) и анализ крови из вены на ревмопробы, чтобы убедиться в том, что синдром запястного канала не является в данном случае первым проявлением какого-либо артрита. Но если синдром запястного канала не является следствием артрита, то анализы крови при этой болезни обычно остаются в норме.
Кроме того, многие врачи, предполагая, что синдром запястного канала каким-то образом связан с неполадками в шее, направляют пациента на рентген или томографию шейного отдела позвоночника. К сожалению, обследование шейного отдела позвоночника при синдроме запястного канала дает нам в плане диагностики не так уж много: изменения в шее при данном заболевании могут как присутствовать, так и отсутствовать. По большому счету, запястный канал часто воспаляется даже у людей с абсолютно здоровым позвоночником.
Поэтому обследование шеи поможет лишь исключить какую-либо другую патологию из тех, которые могли бы вызывать схожие симптомы (боль и онемение в руке) — например, грыжу шейного отдела позвоночника. Впрочем, грамотный врач сможет и без дополнительных обследований различить два этих состояния при первом же осмотре пациента.
Впрочем, как вы уже поняли, при синдроме запястного канала постановка правильного диагноза на 80% зависит все-таки от грамотных действий, знаний и опыта врача, и только на 20% — от дополнительных диагностических процедур.
Статья доктора Евдокименко© для книги «Боль и онемение в руках», опубликована в 2004 году. Отредактирована в 2011г. Все права защищены
Рентген кисти руки: подготовка к проведению, расшифровка и нормальные показатели

Рентген кисти рук - довольно распространённая диагностическая процедура, которую назначают для оценки состояния костей, выявления их патологий, повреждений и других отклонений. Рентген кисти - процедура неинвазивная, потому и безболезненная. Для её выполнения понадобится несколько минут. Лучевая нагрузка на организм человека при съёмке кисти минимальна, поэтому такое исследование допускается проводить несколько раз в год, если это необходимо.
Показания для проведения
В основном показаниями к рентгену кисти рук являются травмы, патологические процессы, которые влияют на функционирование руки и её форму (отклонение формы от нормы может быть видно невооруженным взглядом). Также рентген рекомендовано назначать в следующих случаях:
- болевые ощущения в кистях рук при движении и в состоянии покоя;
- деформации суставов;
- переломы, ушибы костей кисти;
- воспалительные заболевания костей кисти;
- доброкачественные и злокачественные новообразования;
- аномалии сустава, передающиеся наследственным путем.
Заболевания и травмы рук
Рентген кистей поможет выявить следующие заболевания рук:
- синовит - скопление жидкости в кистевых суставах;
- кальцификаты - первый признак артрита;
- тендинит и теносиновит - уплотнения и утолщения запястья, вызванные воспалением;
- остеопороз - истончение кортикального слоя диафиза короткотрубчатых костей;
- кисты - новообразования округлой формы, расположенные в центральном или субхондральном отделах костного эпифиза;
- остеофиты - костное разрастание края поверхности сустава в виде острого шипа.
Что покажет рентген костей кисти?
В структуре кисти - довольно много мелкоразмерных костей. Потому и видов переломов кисти существует тоже много:
- открытый и закрытый;
- абсолютный разлом или трещина;
- множественный или изолированный;
- диафизарный (линия перелома располагается на теле кости), околосуставной (линия перелома - между концом кости и ее телом) и внесуставной (линия надлома - на конце кости);
- первичный (появляется при первичном травмировании в момент воздействия силы) и вторичный (смещение случается позже, в результате воздействия прикрепленных к сломанным костям мышц);
- стабильный (отломки остаются на прежнем месте) и нестабильный (случается вторичное смещение отломков).
Рентген кистей рук при ревматоидном артрите - важная диагностическая процедура, которая позволяет точно выявить стадию развития заболевания. Главными рентген-признаками данной патологии являются припухлости мягких тканей сустава. Также об артрите свидетельствует незначительное сужение межсуставной щели и визуализируемый остеопороз. На более поздних стадиях развития патологии будут видны эрозии костей, которые имеют вид некрупных краевых дефектов в суставных концах костей. В эпифизах костей фаланг пальцев могут виднеться округлые просветления.
При проведении рентгена кистей рук с функцией увеличения изображения можно выявить нарушение целостности замыкающих пластинок уже на первых стадиях развития ревматоидного артрита. По мере прогрессирования заболевания будет наблюдаться ухудшение картины - сустав будет становиться всё уже, появятся очаги эрозии, станет ярче выраженность остеопороза. В результате разрушения суставных концов кости могут появиться подвывихи.
Подготовка к рентгену

Чтобы сделать рентген правой и левой кистей рук, предварительная подготовка не нужна. Перед процедурой надо снять кольца, браслеты, часы и расположить руки (или руку) на рабочем столе рентгеновского аппарата так, как скажет специалист-рентгенолог.
Для защиты от влияния ионизирующего излучения тех частей тела пациента, которые не участвуют в исследовании, используются специальные свинцовые фартуки или жилеты.
Как проходит обследование?
Для проведения рентгеновской съёмки пациента усаживают на стул рядом со столом рентгеновского аппарата. Руку нужно согнуть в локте, а кисть положить на стол. От того, насколько правильна будет произведена укладка кисти, зависит информативность получаемого снимка. На практике используется несколько вариантов укладки:
- Прямая проекция. Для такой съёмки кисть укладывается горизонтально, на стол - тыльной стороной или ладонью. Лучи рентгена будут проходить через кисть перпендикулярно кассете с плёнкой. На таком снимке будут определяться все кости запястья, за исключением гороховидной. Также будут видны лучезапястный сустав, пястные кости, запястно-пястные суставы, межзапястный сустав и фаланги пальцев.
- Боковая проекция. Для такой съёмки нужно расположить ладонь ульнарным краем на кассете. Большой палец при этом нужно слегка отвести вперёд. На таком снимке будут хорошо видны контуры костей запястья, пястные кости, фаланги. Такая проекция оказывается наиболее полезной в травматологии, когда нужно выявить смещения пястных костей.
- Косая тыльная проекция. Кисть нужно расположить так, чтобы её тыльная поверхность образовывала угол 45° с кассетой. Такой снимок покажет состояние трёхгранной кости, гороховидной, крючковатой, а также первой и пятой пястных костей.
- Косая ладонная проекция. Кисть располагается так, чтобы ладонная поверхность образовывала угол 45° с кассетой. На этом снимке будет видно ладьевидную, трапециевидную кости и кость-трапецию.
Расшифровка результатов

Расшифровку рентгена кистей рук делает специалист-рентгенолог сразу после завершения съёмки. Он оценивает взаимное расположение костей кисти, их соединение между собой, целостность. Также уделяется внимание оценке структуры и плотности костей.
Нормальные показатели
В норме кости кистей рук должны иметь однородную структуру. На снимках не должно быть затемнений на белых участках. Между костями должна присутствовать щель.
Если повреждению подверглась только одна кисть, для более точного диагностирования патологии могут сделать рентген и здоровой конечности. Так будет легче провести сравнение и выявить отклонения.
Противопоказания для проведения
Особых противопоказаний для рентгенографии кистей рук нет. С осторожностью стоит назначать данную процедуру беременным женщинам, а лучше перенести её на послеродовой период или заменить на МРТ.
Также не рекомендуется делать рентген детям в возрасте до 15 лет, если к тому нет серьезных показаний.
Рентген (рентгенография) кисти и запястья

Рентгенография кисти и запястья - процедура исследования их внутренней структуры без инвазивного вмешательства. Кисть и пальцы являются сложными анатомическими частями тела, включают множество мелких костей и выполняют важные функциональные задачи. Это идеальный и точный инструмент, которым мы работаем. Каждый день они подвергаются механическим нагрузкам, на их состояние влияет рацион питания, метаболические и другие жизненные процессы. С помощью рентгенографии обнаруживаются патологические изменения состояния рук такие как, трещины, вывихи и переломы. Своевременная диагностика предупреждает развитие тяжелых заболеваний кистей и запястий.
Что показывает рентген кисти
В повседневной жизни скелет человека подвергается постоянным нагрузкам, в том числе и кисти рук. Чрезмерные физические нагрузки, инфекционные болезни, механические повреждения изменяют структуру этой части тела, иногда могут привести к частичной или полной потере функциональности.
Чтобы вовремя диагностировать заболевание и его причину, выполняется рентгенография, которая пользуется широкой популярностью у травматологов, хирургов, терапевтов.
Методика основана на принципе регистрации рентгеновского излучения, которое проходит сквозь объект и оставляет контурный след на пленке. В зависимости от плотности ткани, она по разному отражает рентгеновское излучение, поэтому костная ткань видна лучше всего, а мягкие ткани - отражаются плохо.
Тем не менее по тени на снимке рентгенолог или другой доктор может увидеть изменения в лимфатических узлах, сухожилиях, мышцах. Рентгенологический снимок отображает всю внутреннюю структуру запястья и кисти.
На снимке можно увидеть все отделы кисти: запястье, фаланги пальцев, пясть, где каждый из этих отделов содержит несколько подгрупп костей, связок, суставов, мышц. Даже единичное повреждение этой структуры сопровождается болью, отеками, деформацией всей руки или ее частей.
При рентгенографии видимы любые повреждения костной ткани: истончение, трещины и микротрещины, вывихи, воспалительные процессы. Для точной диагностики проблем с мягкой тканью врач может назначить более информативную компьютерную томографию, для исследования кровеносных сосудов - ангиографию.
Сегодня используется несколько вариантов исследования кистей и запястья, они современней, точнее, быстрее. К ним относят МРТ, КТ, мультиспиральная КТ и другие. Однако традиционная рентгенография продолжает использоваться, поскольку она проще и доступнее.
Соответствующая аппаратура есть в каждой клинике и травматологических пунктах, процедура намного дешевле или вовсе бесплатная. К тому же доза облучения у всех прогрессивных вариантов и рентгенографии практически одинакова.
Показания к рентгенографии

Кисти и запястье часто подвергаются болезням и особенно травмам.
Для постановки точного диагноза и выбора схемы дальнейшего лечения, врач назначает рентгенографию кисти и запястья. Также снимки помогают четко установить локализацию травмы, определить ее тяжесть и методы восстановления.
Рентген запястья и кисти назначается при:
- механических повреждениях: ушибах, переломах, вывихах;
- артрите и артрозе;
- ревматизме;
- отеках и гиперемии суставов;
- остеомиелите;
- врожденных аномалиях в строении кистей;
- новообразования: опухоли, кисты, папилломы;
- системной красной волчанке;
- склеродермии.
Точно определить причину болезни и ее стадию невозможно при визуальном осмотре, поэтому доктор сначала назначает диагностику. Любые изменения в строении скелета кисти и запястья будут видны на снимках. Помимо этого, рентгенографию назначают детям, если замечено отставание или ускорение физического развития. Пациент может пройти такую процедуру, если он испытывает боли в любой части кисти, замечает искривление пальцев, онемение, отеки.
Особенности исследования
Снимки кистей выполняются быстро и безболезненно, не требуется никакой подготовки для исследования, на сеанс нужно взять направление врача. Рентгенографию проводят в отдельном кабинете, оснащенном соответствующей установкой. Перед диагностикой пациент снимает украшения, чтобы они не оттеняли снимок.
Стоит предупредить доктора, если в области ладоней и запястья есть металлические вставки. Для защиты остальной части тела выдается свинцовая мембрана, которая не пропускает рентгеновские лучи.
Для проведения исследования пациент садится за рентген-стол и сгибает в локтях конечности, кисти кладет на стол. В зависимости от нужной зоны исследования, меняется проекция снимков. Руки пациента могут укладываться в разных положениях, чтобы получить максимально информативные данные.

Для рентгенографии запястья используют:
- Прямую проекцию. Под ладони кладут кассету, на которой потом отразится снимок. Снимки могут делать с тыльной стороны или со стороны ладони, иногда с двух проекций сразу. Пациент принимает неподвижное положение, лаборант с помощью дистанционной кнопки делает снимок, который дает возможность врачу рассмотреть все сегменты запястья: ладьевидную кость, трехгранную, головчатую и другие. Также видны фаланги и пястные отделы. Однако остаются несколько сегментов, которые не видны при такой укладке.
- Боковую проекцию. Руку кладут на кассету боком, при этом большой палец немного выступает вперед. Такая укладка позволяет рассмотреть с другого ракурса фаланги пальцев, кости запястные и пястные.
- Косую ладонную. Для этой проекции рука пациента укладывается так, чтобы ладонь с кассетой создавала угол в 45 градусов. Важно, чтобы во время исследования рука не двигалась и не смещалась, лаборант будет следить за правильной укладкой. Снимки с такой позиции показывают кость-трапецию, ладьевидную и трапециевидную.
- Косую тыльную. В этом случае угол в 45 градусов с кассетой создает тыльная сторона руки. Таким образом лучше всего просматривается гороховидная кость, крючковатая и трехгранная.
Помимо этих способов могут использоваться другие виды укладки для рассмотрения запястий. Рентгенолог может сделать прицельные снимки каждой отдельной кости. Также для отражения пальцев существую свои методы рентгенографии.
Каждая фаланга укладывается в прямой и боковой перспективе, врач может оценить состояние каждого из них отдельно. От опыта и компетенции доктора зависит точность результатов, он должен установить минимальный уровень облучения, обеспечить правильное положение пациента.
Для пациента такая процедура проходит без дискомфорта, длится 5-15 минут. При необходимости доктор может сделать снимки во всех проекциях для детального и полного изучения кистей, например, при инфекционных болезнях нужно определить всю область поражения.
Также при травмах или нарушенном развитии нужен комплекс снимков. Независимо от того, сколько изображений надо сделать, процесс пройдет быстро и безболезненно.
Результаты исследования
После завершения сеанса исследования, снимки должен расшифровать и описать рентгенолог. Это займет 15-40 минут, в зависимости от тяжести состояния. На основе этих данных лечащий врач будет определять схему лечения.
При травмах кисти и запястья терапию проводит и контролирует травматолог, при других заболеваниях это может быть хирург или терапевт. Результаты рентгена пациент должен отнести врачу, который направил его на исследования. На снимках могут обнаружить механические повреждения или ревматические болезни.
К ревматическим заболеваниям относятся склеродермия, воспаления суставов, ревматоидный артрит и другие болезни. Также на рентгенографии могут обнаружить опасный псориаз суставов, кальцификацию костей, кисты. Запущенные виды таких воспалений приводят к эрозии костной ткани и утрате функциональности. В тяжелых случаях на основании рентгенологического обследования назначают операцию, однако обычно достаточно систематического лечения.
Противопоказания для рентгенографии кисти

Лучевое обследование несет дозу облучения для пациента, поэтому больные часто пугаются этой процедуры. Однако при исследовании кистей и запястий доза очень мала, поэтому категоричных противопоказаний нет. Эту процедуру проводят даже маленьким детям, для максимальной защиты их полностью накрывают свинцовым фартуком, освобождая только руку.
Беременным женщинам все же без крайней необходимости не делают снимки, но при переломах пациентку также накрывают мембраной. Кормящим мамам при показаниях тоже проводят рентгенографию.
Проведение сеанса может быть усложнено, если у пациента серьезные психические проблемы. Для получения четких снимков от пациента требуется полная временная обездвиженность, что не всегда возможно при расстройствах психики.
Также в критически тяжелом состоянии больному не могут провести такое исследование. Если рентген невозможно сделать по каким-то причинам, назначают альтернативные способы исследования.
Альтернатива рентгенографии
Результаты лучевой диагностики можно получить и другими способами. Главную конкуренцию рентгенографии составляет компьютерная томография. Она основана на таком же облучении, но в меньшей дозе.
Процесс КТ проходит быстрее, а результаты получаются более информативными. Так, при обычном рентгене плохо различаются мягкие ткани, хотя они тоже нередко подвергаются болезням. При КТ намного лучше видны сосуды, мышцы, связки. Однако для диагностики костей лучше подходит традиционная методика.
Также иногда рентгенологический метод замещается МРТ. Этот вариант считается, как и компьютерная томография, очень информативным. Он дает исчерпывающую информацию о состоянии костной ткани и окружающих ее элементов. При этом пациент не подвергается радиационному облучению, так как метод базируется на электромагнитном резонансе. Для детального обследования отдельных систем, например кровеносных или лимфатических сосудов, назначается лимфография или ангиография.
Где пройти исследование
Если назначен простой рентген, его можно сделать в любом травмпункте, поликлинике, госпитале. Для процедуры нужна обычная техника, которой оснащены медицинские учреждения частного и государственного звена. Исследования МРТ или КТ выполняются в специализированных и частных клиниках.
Цена на обычный снимок одной кисти в одной проекции составит 5-10 долларов. Стоимость может меняться в зависимости от репутации и финансовой политики учреждения.
Две проекции обойдутся в два раза дороже. В стоимость входит исследование и снимки, расшифровка результатов в государственной клинике должна быть бесплатно, в частной - за это нужно будет доплатить 5-8 долларов.
Миф о вреде исследования
Большинство пациентов опасаются вреда от рентгенографии, как правило, в большинстве случаев эти страхи неоправданы. Опасным может быть только большое количество процедур и превышенная доза облучения. Ежедневно человек получает фоновое количество радиации 10 мкЗВ (микрозивертов). Во время рентгена кисти и запястья пациент получает 0,2 мкЗВ. Это крайне малое количество, чтобы нанести какой-то вред.
В некоторых случаях эта процедура может быть даже полезной, например, при ревматических заболеваниях. Отзывы больных и врачей отмечают положительные изменения при артрозе после рентгенографии.
После тщательного обследования пациента ему могут назначить рентгенотерапию, она более эффективна при болезнях крупных суставов, но применяется и для лечения мелких частей. Для терапии используют тонкие трубки, по которым лучи поступают точечно в пораженную зону.
Таким образом, бояться лучевой диагностики кисти и запястья не стоит. Это быстрый, безболезненный и эффективный метод исследования. Несмотря на наличие более прогрессивных методик, рентген остается самым популярным видом исследований. Он доступен и прост в использовании, дает хорошие результаты и в данном случае немногим уступает компьютерной томографии.
Специальность: врач педиатр, инфекционист, аллерголог-иммунолог .
Читайте также:
- Синдром дефицита внимания и гиперактивности (СДВГ): синонимы, определение
- Влияние аборта на течение рака молочной железы
- Исследование контура пульсовой волны. Анализ пульсовой волны
- Этиопатогенез деформации челюсти. Классификация деформации зубочелюстной системы
- Диспластический невус. Причины появления и их опасность
