Ускоренный метод изготовления мостовидного протеза. Частичные пластиночные протезы.
Добавил пользователь Евгений Кузнецов Обновлено: 02.11.2025

Пластиночные протезы - одна из самых распространенных ортопедических систем, различные вариации которой применяются на протяжении практически 100 лет. Что представляет собой эта конструкция и в каких случаях она применяется, рассказывает Startsmile.
Содержание статьи
- Что собой представляет съемный пластиночный протез?
- Частичный пластиночный протез
- Полный съемный пластиночный протез
- Изготовление пластиночных зубных протезов
- Преимущества и недостатки
- Починка пластиночного протеза для зубов
- Сколько стоит пластиночный зубной протез?
Что собой представляет съемный пластиночный протез?
Съемный пластиночный протез представляет собой основу из полимерных материалов, в которую инкрустированы искусственные зубы. Данная конструкция применяется при отсутствии нескольких или всех зубов челюсти, и ввиду небольшой стоимости и легкости изготовления съемные пластиночные протезы из пластмассы пользуются большой популярностью у пациентов.

Показания
Показания к применению съемных пластиночных протезов для зубов весьма широкие, поскольку ограничений для такого типа систем гораздо меньше, чем для имплантации или классического протезирования зубов. В частности, это:
- полная или частичная адентия;
- невозможность провести имплантацию или классическое протезирование (по клиническим или финансовым причинам);
- необходимость ношения временных конструкций до установки постоянных протезов;
- аллергия на металл.
Противопоказания
- тяжелые заболевания пародонта;
- проблемы кровеносной системы;
- прохождение курса лучевой или химиотерапии;
- психические заболевания.
Материалами для изготовления пластиночных протезов обычно служат пластмасса, акрил, нейлон или полиуретан. Зачастую именно состав в большей степени влияет на итоговую стоимость конструкции: современные пластиночные зубные протезы изготавливаются из гипоаллергенного акрила или нейлона, что обеспечивает удобство при ношении и практически полностью исключает проявление аллергических реакций. По виду и функциональности эти протезы делятся на два типа: частичный пластиночный протез и полный пластиночный протез. Давайте рассмотрим эти системы более подробно.
Частичный пластиночный протез
Частичный съемный пластиночный протез заменяет один или несколько утраченных зубов, поэтому его форма и размеры напрямую зависят от их количества. Для установки такого протеза не нужно обтачивать соседние зубы: фиксация частичных съемных пластиночных протезов осуществляется несколькими способами.
Типы фиксации съемных пластиночных протезов:
Металлические кламмеры
Крючкообразные отростки, начинающиеся у основания протеза и обхватывающие шейку опорного зуба. В настоящее время используются редко, так как могут повредить эмаль зуба.
Безметалловые кламмеры
Более современная вариация обычных кламмеров. Выполнены из мягких безметалловых материалов.
Аттачмены
Небольшие замочки, устанавливающиеся на сам протез и опорные зубы. При установке конструкции эти части надежно фиксируются.

Полный съемный пластиночный протез
Съемные пластиночные протезы при полном отсутствии зубов моделируют верхнюю или нижнюю челюсти пациента, так что значительно превышают по размерам съемный пластиночный протез при частичном отсутствии зубов. Как правило, такая конструкция имеет довольно объемный базис (особенно пластиночный протез на верхнюю челюсть), нужный для того, чтобы добиться плотного прилегания и обеспечить более-менее устойчивую фиксацию.
Способы фиксации полных съемных пластиночных протезов:
Кламмеры или аттачмены
Такие способы фиксации используются, если на любой из челюстей осталась хотя бы пара здоровых зубов.
Присоски
Дополнительные элементы фиксации, которые обычно применяются, когда устанавливается полный съемный пластиночный протез на верхнюю челюсть.
Фиксация на имплантах
Установка протеза с опорой на импланты. Это самый надежный, дорогой и долговечный способ протезирования, который не всегда возможно осуществить из-за противопоказаний к имплантации и высокой стоимости методики.

Изготовление пластиночных зубных протезов
Технология изготовления пластиночного протеза считается более простой по сравнению с созданием большинства несъемных конструкций (коронки или мостовидного протеза), поэтому готовую систему пациент получает довольно скоро (если только речь идет не об установке имплантов).
Этапы изготовления:
- Первичная консультация, осмотр, создание панорамных снимков челюсти и согласование конструкции протеза.
- Снятие слепков и изготовление модели челюсти пациента. Определение параметров прикуса.
- Изготовление и примерка восковой конструкции.
- Завершающий этап изготовления пластиночного протеза, шлифовка готовой конструкции и устранение косметических недостатков.
- Примерка и установка готовой конструкции.
Преимущества и недостатки
Протезирование пластиночными протезами имеет ряд преимуществ и недостатков, которые могут варьироваться в зависимости от типа конструкции. Перед тем как соглашаться на установку протеза, узнайте все сильные и слабые стороны ваших новых зубов. Кроме того, ваш лечащий врач сам должен рассказать про виды пластиночных протезов и помочь подобрать оптимальный вариант.
- хрупкость (при больших нагрузках часто случается перелом пластиночного протеза);
- небольшой срок службы (до 5 лет);
- простота изготовления;
- низкая цена. Протезирование съемными пластиночными протезами считается одним из самых бюджетных вариантов восстановления зубов в ортопедии;
- восстановление жевательной функции зубов;
- приемлемый внешний вид.
Починка пластиночного протеза для зубов
Конструкции данного типа считаются довольно хрупкими, особенно в месте скрепления мягкой опорной части с искусственными зубами. Починка съемных пластиночных протезов возможна далеко не всегда, а степень ее успешности зависит от характера повреждений. При незначительных сколах или поломке кламмеров и аттачменов часто проводится реставрация съемных пластиночных протезов, однако при серьезных поломках конструкцию обычно приходится полностью менять. Главные же причины поломок пластиночных протезов обычно кроются в неосторожном обращении (которое часто приводит к падениям конструкции) и попытках раскусить протезами твердые предметы (например, скорлупу орехов).

Сколько стоит пластиночный зубной протез?
Цена на пластиночные протезы зависит от материала конструкции и количества замещаемых зубов. Частичные протезы на 1 - 2 зуба стоят от 5 000 рублей, а самый бюджетный полный протез обойдется в 10 000 - 12 000 рублей. Современные съемные акриловые протезы стоят от 15 000 рублей, а цена новейших нейлоновых или полиуретановых полных протезов может доходить до 40 000 рублей.
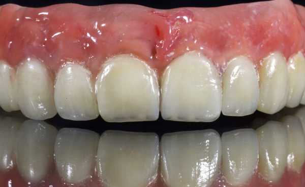
Виды мостовидных протезов

К сожалению, в мире вряд ли найдется хоть один человек, ни разу в жизни не столкнувшийся с зубной болью, кариесом или какой-либо другой стоматологической проблемой. Своевременное обращение к специалисту, а также регулярные профилактические осмотры, как правило, помогают избежать потери и вынужденного удаления зубов. Однако порой по той или иной причине, например, в результате травмы или осложненного кариеса наступает частичная адентия, или отсутствие одного или нескольких зубов. На протяжении многих десятилетий фиксация мостовидных протезов остается самым популярным решением подобной проблемы. Давайте разберемся, какие плюсы и минусы имеет зубной мост и насколько он эффективен.
Мостовидные протезы: показания к установке
Для начала определимся, что такое зубной мост. Мостовидные протезы зубов - это несъемная ортопедическая конструкция, состоящая из коронок на опорные зубы и одного, двух или максимум трех искусственных зубов между ними, надежно соединенных между собой и с опорными коронками. В редких случаях искусственных зубов может быть четыре, но, чем протяженнее конструкция, тем ниже ее прочность и выше риск повреждения. Прямым показанием к установке мостовидного протеза является отсутствие одного или нескольких зубов подряд и невозможность по той или иной причине (например, по состоянию здоровья или в силу финансовых обстоятельств) установить имплантат или имплантаты.
Зубные мосты делятся на виды по материалу и по способу изготовлению, по методу их установки и типу конструкции. В первую очередь, рассмотрим подробнее различие мостовидных протезов по материалу изготовления.
Мостовидные протезы из металлов и сплавов
Металлический мостовидный протез уходит в прошлое, хотя еще лет пятнадцать назад металл, особенно золото, был самым популярным материалом в ортопедии. С одной стороны, стоматологические металлы и сплавы очень прочные, им не страшны сколы и сильная жевательная нагрузка. Однако эстетические характеристики металлических ортопедических конструкций близки к нолю, а риск возникновения аллергической реакции, напротив, очень высок. Ко всему прочему, металлические мосты довольно тяжелые, в результате чего опорные зубы разрушатся намного быстрее, чем при использовании для изготовления мостов других материалов. Тем не менее, с появление диоксида циркония все перечисленные недостатки стали неактуальными.

Пластмассовые мостовидные протезы
Оговоримся сразу, что пластмассовые зубные мосты, как и другие ортопедические конструкции из пластмассы, в современной стоматологии используются исключительно в качестве временной меры. Например, в период изготовления постоянных конструкций из других материалов. Дело в том, что стоматологическая пластмасса, хоть и является гипоаллергенной и способна довольно хорошо имитировать цвет и прозрачность натуральной эмали, все же уступает по прочности всем другим материалам: и металлу, и керамике, и металлокерамике, а также подвержена изменению цвета под воздействием слюны и пищи. Пластмассовые мостовидные протезы изготавливаются в максимально короткие сроки и стоят относительно недорого, благодаря чему они доступны для временного применения, однако не подходят для длительного. И даже укрепление пластмассовой конструкции каркасом из металла продлевает срок ее службы весьма незначительно, а риск возникновения аллергической реакции увеличивает в разы.

Керамические мостовидные протезы
Керамические, или цельнокерамические, зубные мосты изготавливаются из специальной стоматологической гипоаллергенной керамики, способной идеально имитировать анатомическую форму зубов и максимально точно воспроизводить цвет и прозрачность эмали. Для изготовления зубных коронок керамика идеальна, а вот зубные мосты из нее, особенно длинные, заменяющие более одного зуба, уступают по прочности как металлическим, так и металлокерамическим.

Металлокерамические мостовидные протезы
Оптимальным вариантом для протезирования зубов мостовидными протезами являются зубные мосты из металлокерамики. Они представляют собой все те же колпачки на опорные зубы в виде керамических коронок и керамические искусственные зубы между ними, однако опорные коронки имеют каркас из металла, а по всей протяженности зубного моста проходит металлическая балка, придающая всем элементам конструкции дополнительную прочность и надежно скрепляющая их между собой. Таким образом, металлокерамические зубные мосты сочетают в себе прочность металлических ортопедических конструкций и эстетику цельнокерамических.

Цельнолитые, штампованные и адгезивные зубные мосты
Как уже упоминалось выше, мостовидные протезы делятся на несколько видов не только по материалу изготовления, но и по способу. Скажем сразу, что на сегодняшний день самыми популярными, равно как и самыми прочными и эффективными, являются литые, или цельнолитые, зубные мосты. В отличие от штампованных, или паяных, мостов, представляющих собой несколько отдельных элементов (опорные коронки и искусственные зубы), спаянные друг с другом уже после изготовления, цельнолитые зубные мосты отличаются особой прочностью и надежностью. Что же касается адгезивным мостовидных протезов, они изготавливаются из композитных материалов, похожих на пломбировочные материалы, непосредственно в полости рта пациента и закрепляются на стекловолоконной дуге, установленной в пазах опорных зубов. Подобные конструкции значительно уступают по прочности и по эстетическим качествам, а также по сроку службы как литым, так и паяны мостам.

Несьемные и съемные мостовидные протезы
И последняя характеристика, по которой различаются зубные мосты, - это способ их установки, а точнее - принцип их соединения с десной. По этому принципу мостовидные протезы делятся на промывные, касательные и седловидные. Как явствует из названия, между промывным зубным мостом и десной имеется промывное отверстие, практически незаметное для глаза, но позволяющее промывать его при помощи ирригатора или же полоскания, а также сокращающее риск возникновения аллергии и натирания десны протезом. Касательный тип установки предполагает соприкосновение моста с десной только с одной стороны, что, опять же облегчает гигиену, зато делает мост внешне не отличимым от натуральных зубов, что особенно важно в зоне улыбки. Седловидные зубные мосты, как, опять же, понятно из названия, как бы «надеваются» на десну, обхватывая ее с обеих сторон. Это придает мосту дополнительную прочность, однако затрудняет гигиену и способно провоцировать натирание и раздражение слизистой.
Изготовление и установка мостовидных протезов
Установка зубных мостов делится на несколько этапов. В первую очередь, врач проводит предварительный осмотр, чаще всего включающий в себя рентгеновский снимок, на котором оценивает объем будущих работ и составляет смету. Порой требуется удаление поврежденных или разрушенных зубов, а в некоторых случаях и предварительное ортодонтическое лечение, так как нарушения прикуса являются одним из противопоказаний к установке зубных мостов. Далее стоматолог препарирует опорные зубы: депульпирует их при необходимости и обтачивает под коронки. После этого снимаются слепки, по которым зубной техник в зуботехнической лаборатории изготавливает несъемную конструкцию. Следующий этап - примерка и установка мостовидного протеза.

Срок службы зубного моста
Уход за любыми ортопедическими конструкциями включает в себя стандартную ежедневную гигиену полости рта, а также применение при необходимости дополнительных средств, как то: ирригаторы, ополаскиватели, специальные щетки и ершики. А вот от использования флосса, или зубной нити, в зоне установки зубного моста, скорее всего, придется отказаться. После установки мостовидного протеза лечащий врач даст вам подробные рекомендации по уходу за ним.
Мостовидный протез на имплантах
Конечно же, наиболее эффективным, надежным и эстетичным способом восстановления утраченных или отсутствующих зубов является установка зубных имплантов. В отличие от мостовидных протезов с опорой на собственные зубы пациента, дентальные имплантаты с установленными на них зубными мостами, полностью восстанавливают не только эстетику зубного ряда, с этим прекрасно справляются и зубные мосты, но и функцию траченных зубов.

Под функцией подразумевается полноценное участие в речи и процессе жевания, сопровождающееся правильным распределением нагрузки (чем, увы, не могут похвастаться мосты, у которых вся нагрузка приходится на опорные зубы), а также предотвращение убыли костной ткани, которая неизбежна при использовании мостовидных конструкций, так как искусственные зубы в них не имеют собственной опоры и не нагружают кость челюсти. Помимо прочего, имплантаты не требуют обточки соседних зубов, без чего, к сожалению, не обходится установка обычных зубных мостов.

Цена на зубной мост в Санкт-Петербурге
В стоимость мостовидного протеза входит снятие слепков, изготовление самой конструкции и ее установка. В зависимости от ценового уровня клиники, квалификации врача и материала изготовления протеза, зубной мост, состоящий из трех элементов - двух опорных коронок и одного искусственного зуба между ними, обойдется в среднем от 3 000 рублей до 20 000 рублей, верхняя же ценовая планка очень высока и может доходить до сотни тысяч. Итак, мостовидные зубные протезы уступают и по прочности и по эффективности зубным имплантатам, единственное их преимущество перед последними - это значительно более низкая стоимость. Однако срок службы мостовидных конструкций ограничен 1-15 годами, чем протяженнее конструкция, тем меньше этот срок, в то время как имплантаты служат своим владельцам всю жизнь и требуют только своевременной замены коронок. Таким образом, при пересчете на длительный срок стоимость имплантатов и мостов практически сравнивается.
Частично-съемные протезы
Частичный съёмный протез - одно из решений в стоматологической ортопедии для недорого восстановления части отсутствующего зубного ряда на верхней или нижней челюсти.
В стоматологической клинике «Самсон-Дента» можно пройти частичное протезирование зубов по доступным ценам. В зависимости от клинической ситуации предложим лучший вариант реабилитации частично беззубой челюсти.
Что считается частичным протезом?
Это ортопедическая конструкция для реабилитации частичного потерянного зубного ряда - единичные, сегментарные или разрозненные дефекты (чаще всего в жевательном отделе).
Конструктивно состоит из трех элементов:
- базис - искусственная десна;
- коронки - искусственные зубы (прикрепляют к базису);
- крепления - элементы фиксации ортопедической конструкции к опорным зубам.

Главное отличие от полного съёмного протеза - восстановление не полностью отсутствующего ряда, а только частично утраченного. Поэтому обязательное условие для установки частичного протеза - наличие как минимум одного или нескольких зубов, которые будут использованы в качестве опоры.
Плюсы и минусы
- Доступная цена.
- Удовлетворительная функциональность.
- Простота изготовления, быстрое восстановление эстетики зубного ряда.
- Неприхотливость в уходе.
- Отсутствие хирургического вмешательства.
- Дискомфорт в адаптационный период.
- Не передают жевательную нагрузку на кость, она атрофируется.
- Могут выпасть.
Показания и противопоказания
- нет одного, нескольких зубов;
- разрозненные дефекты зубного ряда;
- невозможность установки несъёмного мостовидного протеза;
- временное решение на период подготовки к имплантации;
- наличие противопоказаний к установке дентальных имплантов.
Противопоказания
- заболевания слизистой полости рта (только в период обострения);
- опорные зубы поражены кариесом (предварительно проводится лечение);
- полная адентия.
Виды частичного протеза зубов
Пластиночный
Конструктивно состоит из полимерного базиса (пластина, повторяющая форму десны) с установленными в него искусственными зубами. Фиксируется во рту при помощи кламмеров, обхватывающих крайние от протеза опорные зубы.
В зависимости от материала базиса различают следующие виды:
Изготавливаются из акриловой пластмассы. Для фиксации к опорным зубам имеют фиксирующие кламмеры. Срок службы: до 5 лет.

- массивные (нарушают дикцию, мешая во рту);
- могут натирать дёсны;
- при установке на верхнюю челюсть перекрывают вкусовые рецепторы;
- кламмеры видны при разговоре/улыбке, портят эстетику.
Для их изготовления применяется эластичный медицинский нейлон розового оттенка, приближённого к цвету десны. Фиксирующие кламмера также нейлоновые. Срок службы: до 1 года.

- хорошая эстетика;
- комфортны в ношении (лёгкие, тонкие, эластичные).
- провоцируют быструю убыль объёма костной ткани под ними;
- требуют частой замены из-за быстрой просадки;
- вызывают болезненные ощущения при пережёвывании пищи;
- на шершавой поверхности легко скапливается патогенная микрофлора, образуя бактериальную плёнку.
Базис и кламмера выполнены из модифицированной акриловой пластмассы, в составе которой отсутствует метилметакрилат. Материал Acry Free был разработан израильской компанией Perflex Ltd. Длительность эксплуатации: до 7 лет.

- отличная эстетика (оттенок визуально похож на цвет слизистой ротовой полости);
- умеренная гибкость (комфортнее в ношении, чем пластмассовые, но не слишком эластичные, как нейлоновые);
- практически не натирают дёсны;
- лёгкость в уходе (на гладкой поверхности конструкции практически не скапливается бактериальный налёт);
- гипоаллергенность;
- небольшая толщина (занимает места во рту);
- устойчивая фиксация (плотно прилегает к протезному ложу;
- лёгкий вес (способствует лучшей фиксации на верхней челюсти).
- кость под протезом будет атрофироваться (немного медленнее, чем под нейлоновым);
- сравнительно высокая стоимость.
Частичный бюгельный протез состоит из металлической дуги, на которую ставится базис из пластмассы или нейлона с искусственными зубами. Срок эксплуатации: до 10 лет.

- комфорт при пережёвывании пищи (жевательная нагрузка передаётся не только на дёсны, но и на опорные зубы);
- небольшие размеры базиса (не перекрывают нёбо, не мешают движению языка);
- надёжная фиксация;
- повышенная прочность.
- возможна аллергическая реакция на металл;
- не ставится при отсутствии крайних зубов.
- цельное литьё на огнеупорной модели с применением кобальто-хромового сплава;
- селективное лазерное спекание с использованием кобальто-хромового сплава или титана (последний вариант лучше - титан в разы прочнее, чем КХС и позволяет уменьшить вес протеза почти в два раза);
- фрезерование на станке по технологии CAD-CAM.
Как у бюгельного, у протеза Квадротти есть дуга. Но она выполнена не из металла, а из инновационного полимерного материала Dental-D (он более чем в 10 раз прочнее акриловой пластмассы). Срок службы: до 10 лет.

- незаметность в полости рта;
- небольшой вес (к нему быстро привыкаешь);
- умеренная эластичность;
- ремонтопригодность (при поломке протез Квадротти можно починить);
- биосовместимость (не вызывает аллергии).
- жевательная нагрузка распределяется только на слизистую протезного ложе (болезненность при пережёвывании твёрдой пищи);
- костная ткань убывает (через несколько лет ношения проведение имплантации может быть невозможным без костной пластики).
По форме похож на крылья бабочки, поэтому его также называют протез «бабочка». Показан при отсутствии 1-2 единиц в качестве временного решения. Материал: акриловая пластмасса, нейлон, Акри Фри.

- простота, быстрота изготовления;
- доступная цена.
- им нельзя полноценно пережёвывать пищу;
- не подлежит ремонту;
- короткий срок службы (до 1 года).
Мнение эксперта
Ковалёв Алан ВадимовичСтоматолог-ортопед, Хирург-Имплантолог, Пародонтолог
Какой частичный протез лучше?Если коротко, то при частичном отсутствии нижних зубов лучше поставить бюгельный протез, а верхних - Акри Фри или Квадротти.
Методы фиксации
Различают несколько вариантов механического крепления частичных съёмных протезов к опорным зубам:
- Кламмера. Крючки из металла или акрила, обхватывающие опорные зубы. Различают два типа - опорные (только удерживают протез на челюсти, вся жевательная нагрузка передаётся на десну) и опорно-удерживающие (передают нагрузку и на десну, и на опорные зубы).
- Аттачмены. Замочки, состоящие из двух частей - одна встроена в базисе, а другая крепится на коронку. При контакте они защёлкиваются.
- Телескопические коронки. Внутренняя часть имитирует форму обточенного зуба (патрица), а наружная соединяется с базисом (матрица). Одна часть надевается на другую.
Какие требования предъявляются к опорным зубам?
Во-первых, не рекомендуется задействовать единицы с патологической подвижностью.
Во-вторых, для кламмерной фиксации противопоказаны единицы с низкой или конусовидной коронкой, с обнажённой шейкой. Предварительно проводится восстановление анатомической формы.
В-третьих, опорный зуб обязательно должен иметь взаимоотношение с антагонистом.

Отличия в фиксации на верхней и нижней челюстях
Частичный протез на верхней челюсти испытывает действие силы тяжести. Одних кламмеров или аттачменов недостаточно. Поэтому протезные конструкции для верхней челюсти делают с большим базисом. Это необходимо для дополнительного улучшения фиксации за счёт эффекта присоски к нёбу. Но такой вариант приводит к ухудшению вкусовой чувствительности. Лучшее решение - бюгельный протез. Его базис, металлическая дуга, не перекрывает нёбо.
Для фиксации частичного съёмного протеза на нижней челюсти достаточно кламмеров/аттачменов и биомеханической опоры конструкции на альвеолярные гребни.
Этапы изготовления
- Первое посещение: сбор анамнеза, аппаратное обследование, план лечения.
Стоматолог-ортопед визуально осматривает полость рта, получает первоначальную оценку состояния здоровья зубов и слизистой. Проводит компьютерную томографию. Оценивает прикус, строение челюстей, уровень атрофии костной ткани, состояние протезного ложа и сохранившихся зубов. Согласовывает вид частичного протеза, материал изготовления. Снимает слепки, отправляет их в зуботехническую лабораторию.
Примеряет изделие. При отсутствии жалоб на дискомфорт фиксирует изделие. Рассказывает о правилах ухода за гигиеной полости рта и чистотой протеза.
| Частичный пластмассовый протез | 29 500 ₽ |
| Протез Акри Фри | 46 500 ₽ |
| Бюгельный протез | 46 500 ₽ |
| Протез Квадротти | 46 500 ₽ |
| Иммедиат-протез | от 9 500 ₽ |
Вопросы и ответы
- после каждого приема пищи нужно снять протез, промыть под проточной водой, удалить с него крупные остатки пищи;
- мягкой щёткой удалите с искусственных зубов бактериальный налёт (используйте исключительно безабразивные зубные пасты);
- почистите собственные зубы, а также язык и нёбо;
- прополощите рот антисептиком.
- для периодической дезинфекции и чистки от пигментного налёта растворите в воде шипучую таблетку Корега (или аналогичное средство другого производителя) и поместите в полученный раствор протез на 5 минут (согласно инструкции);
- раз в 3-4 недели очищайте протез от сильных загрязнений при помощи ультразвуковой ванночки.
Первые несколько недель (минимум две) рекомендуется не снимать ортопедическую конструкцию на ночь, чтобы быстрее адаптироваться к её ношению. Затем нужно обязательно снимать на ночь, чтобы дать отдохнуть протезному ложу.
В течение ночи протез нужно держать в воде комнатной температуры или в специальном растворе, иначе он деформируется. Если конструкция имеет металлические элементы, не рекомендуется держать её в воде с высоким содержанием хлора.
При отсутствии противопоказаний можно установить несъёмный мостовидный протез на импланты. Такое решение имеет ряд преимуществ. Во-первых, имплант заменяет корень зуба, передаёт жевательную нагрузку на кость, поэтому останавливается атрофия костной ткани. Во-вторых, частичный протез на имплантах лучше восстанавливает жевательную функцию, чем съёмный.
Коррекция зубных протезов — как правильно проводить
Коррекция протезов подразумевает подгонку созданных или еще не законченных изделий для условий пациента. Подразумевается изменение геометрии для получения идеального прилегания искусственной конструкции к мягким тканям и зубам. Когда закончено изготовление коронок вкладок и виниров из бескаркасной керамики и альтернатив, необходимо удостовериться в соответствии их изначальным требованиям.

В процессе изготовления подгонка может потребоваться для удаления дефектов или при ошибках в моделировании, некоторые вещества склонны деформироваться, расширяться при выпуске протеза, что так же необходимо компенсировать. Другой вариант - это коррекция при проявлении возрастных изменений формы или структуры тканей, после травм.

Подгонка может проводиться буквально в течение одного приема, сложные случаи потребуют отправки протеза в зуботехническую лабораторию.
Эксперты отмечают, что самостоятельный ремонт конструкций может быть вреден и даже опасен, без необходимой квалификации структуру можно испортить, вплоть до невозможности восстановления. Даже склеивать конструкции не рекомендуется, так как клеевые составы без специального рецепта могут быть вредны для здоровья.

Когда необходима коррекция
Проще всего определить необходимость ремонта по внешним признакам, наиболее очевидны следующие:
— явные переломы. Если конструкция переломилась, например, из-за удара или съемный компонент был раздавлен, необходимо убедиться в возможности восстановления. Некоторые виды полимеров плохо соединяются и склеиваются, металлические структуры проще, так как обычно без труда паяются;
— смещения и деформации. Даже небольшой изгиб из-за механического воздействия сложно устранить, если гнуть собственными силами, можно испортить изделие еще сильнее. Прежнее положение получить для идеального прилегания практически невозможно;
— трещины. Минимальные трещинки - это уже повод обратиться к технику, так как при постоянных нагрузках они разрастаются вплоть до поломки конструкции;

— несоответствия, появление несвойственных щелей или деформаций между основной частью и имитациями зубов. Часто композиты, то есть изделия, совмещающие отдельные вещества для восстанавливаемых единиц и базы, разъединяются, что требует вмешательства специалиста. Обычно причиной этого явления становится разница в коэффициентах расширения или недобросовестный подход при создании конструкции.
Подгонка так же может потребоваться в связи с возрастными изменениями полости рта. При отсутствии единиц рядов мягкие ткани могут проседать, соседние единицы смещаться в сторону свободного пространства. Костные ткани без нагрузки так же склонны атрофироваться и эти эффекты по-разному проявляются для различных видов восстанавливающих структур.

Изредка корректировка необходима и для современных высокоточных методов реставрации, например, если нужна незначительная подгонка стандартного абатмента под индивидуальные особенности ротовой полости.
Негативных проявлений при ношении конструкций с отклонениями множество:
— неприятные ощущения, которые могут сопровождаться болью;
— мягкие ткани могут стираться, вплоть до ран, кровотечений;
— деформациям подвергаются и кости, что в запущенных случаях может довести до необходимости хирургического вмешательства.
Чтобы своевременно выявить и устранить опасные отклонения, необходимо не реже раза в 12 месяцев обращаться к стоматологу. Некоторые вредные изменения не сопровождаются болью или дискомфортом, заметить их сможет только опытный специалист.

Некоторые протезы имеют встроенные регулировки, но для их настройки необходим визит к врачу так же. Для получения оптимальных характеристик необходимо знать допуски и усилия фиксации креплений. Абразивные материалы в ортопедической стоматологии - это один из самых распространенных вариантов для обработки компонентов.
Простейшая методика
Проще всего откорректировать выступающие участки, которые не дадут плотного и правильного смыкания при питании и общении, а так же в спокойном состоянии.
Например, артикуляционная коррекция, которая распространена при подгонке съемных систем:
— конструкция устанавливается в положении, типичном для эксплуатации;
— плотность соединения рядов оценивается визуально для поиска очевидных проблем;
— между рядами укладывается артикуляционная бумага;
— пациент с силой смыкает зубы, двигает челюстью в горизонтальной плоскости в нескольких направлениях;

— точки поверхностей, которые требуется удалить, окрашиваются бумагой;
— при помощи абразивного инструмента цветные отметки сошлифовываются;
— проводится повторная проверка, при необходимости этапы повторяются.
Принцип работает в отношении твердых веществ, из которых изготавливаются структуры. Базисы обычно исполняются из более мягких и податливых материалов, как пластик, с ним работать необходимо иначе:
— протез устанавливается на место и извлекается через некоторое время;
— стоматолог осматривает мягкие ткани, отмечая потревоженные искусственной конструкцией, они покрываются специальным химическим карандашом;

— протез снова одевается и клиент делает несколько жевательных движений, при которых основная нагрузка идет именно на базис и опорные единицы;
— протез снимается, участки, оказывающие воздействие на мягкие ткани, окрашиваются;
— проводится заглаживание резиновым кругом и повторная примерка с оценкой прилегания;
— при необходимости процедуры повторяются.
Важно исключить серьезное вмешательство в изделие, чтобы не изменить структуру до появления пустот между живыми тканями и искусственными. Пришлифовывание должно быть минимальным.

Если имеются металлические компоненты, их осматривать нужно с особой осторожностью. Крючки и элементы каркаса или восстановленные единицы могут легко травмировать десны или слизистые оболочки вплоть до глубоких порезов. Компоненты подгибаются до получения безопасной формы, после чего обязательно отполировать участок, на который воздействовал инструмент. Это позволит убрать появившиеся острые края и исключить травмирование пациента. Выполненные на основе cad cam 3d изделия корректировать приходится редко, так как станок изначально выполняет их с высокой точностью.
Распространенные поломки
Съемные структуры могут переломиться пополам, что в основном происходит по базису и не затрагивает единицы. Причиной в основном становится слабая разгрузка средней части конструкции, разорбация альвеолярных гребней. Для восстановления половинки фиксируются в точном положении с помощью воска, располагается все на полированной поверхности, чтобы исключить смещения. Для максимальной точности совмещения применяют штифты или пластмассовые прутки.

Участок разрыва тщательно очищается и создается поверхность с большим числом насечек и углублений, что повышает сцепление с полимером, который будет заливаться. Полученная полость заполняется пластиком, соответствующим по характеристикам использованному для базиса. После застывания он обрабатывается до получения необходимого рельефа.
Часто элементы откалываются при падениях на твердую плоскость. Проще всего восстановить изделие при сохранении отломанной части, принцип аналогичен предыдущему. Сложнее отремонтировать, если кусок потерян. В этом случае придется создавать слепок, восстанавливать форму утраченной детали и фиксировать ее на основе.

Достаточно трудоемким процессом является возвращение на место сломанных или полностью потерянных единиц. Участок полностью освобождается от остатков зуба, формируется отверстие для установки нового зуба, он выполняется по отливке, из гипса параллельно подготавливается ключ, который необходим для сохранения точной позиции и соотношения зубов во рту. Зуб устанавливается, после чего участок обрабатывается для получения гладкой поверхности. Сложнее всего обрабатывать коронки цельнокерамические и из диоксида циркония, так как поверхность имеет высокую твердость.
| Вариант проведенных работ: | Средняя стоимость ремонта: |
| Коррекция съемного пластинчатого протеза | от 500 рублей |
| Приварка зубов съемного пластинчатого (полного и частичного) протеза | от 1000 рублей |
| Перебазировка съемного пластинчатого (полного и частичного) протеза | от 800 рублей |
| Приварка кламмера съемного пластинчатого (полного и частичного) протеза | от 1000 рублей |
| Ремонт съемного пластиночного протеза при сколах, трещинах и аналогичных проблемах | от 1200 рублей |
Коррекция поверхности полного съемного протеза может потребоваться в нескольких случаях:
— выявлены травмы слизистой оболочки;
— под поверхностью скапливается пища;
— ослабла или пропала ретенция.
Перед работой техник должен убедиться в нескольких аспектах: необходимо удостовериться в правильности определения окклюзии (центральной, боковой), ткани должны быть готовы к проведению операций, то есть как минимум не иметь повреждений. Так же потребуется адекватное расширение в периферии. Чтобы добиться этих пунктов, ношение исключается на двое суток, после чего начинается обработка и проверки.

На базисе удаляются поднутрения, подгоняются боковые грани, сглаживается края, создаются условия для заполнения материалом, его сцеплением с поверхностью. При использовании оттискного материала в противоположной стенке создается отверстие, необходимое для выхода излишков состава.

Новый оттиск позволяет получить представление об окклюзии и ее соотношениях. Новый пластик заливается по месту, процесс ведется в воде, разогретой до 45 градусов. В финале поверхность шлифуется и полируется для получения необходимой частоты и усиления силы присасывания.
Еще один вариант работы в рамках коррекции - это перепаковка. Суть процесса в замене базиса, но без влияния на существующие окклюзионные соотношения. Необходимо это при порах в существующей основе или повреждениях. Оттиск получают за счет созданной конструкции.

Точное соотношение челюстей формируется при помощи окклюзионных и резцовых индексов, дупликатора. Единицы снимаются без смещений и фиксируются в исходном положении, после чего формируется новый базис, отливаемый из выбранного полимера. Проводится чистка, старый материал удаляется полностью.
После завершения работы необходима подгонка в полости рта, за счет нее удается сохранить полученные формы и обеспечить идеальное прилегание конструкции при эксплуатации. Примерка проходит в несколько этапов, которые чередуются с корректировкой.
Материалы для протезирования зубов

Хотя ортопедия, как наука, сформировалась не так давно, протезированием зубов люди занимались с глубокой древности. Кости животных, полудрагоценные камни, твердые породы дерева - что только древние медики не использовали как материал протезов. А вот способы крепления были довольно однообразными - с помощью золотой, реже серебряной, проволоки.
Из чего делают зубные протезы сейчас? Состав для протезирования подбирают под конкретный клинический случай, с учетом пожеланий пациента, показаний и противопоказаний.
Основные требования к материалу для зубных протезов
Хотя в ортопедии применяют большое разнообразие материалов, все они должны соответствовать определенным требованиям: быть прочными, функциональными и привлекательными на вид. Именно поэтому золотые коронки и железные зубы ушли в прошлое. Увы, идеального сплава не существует. Обычно, более хрупкие имитируют естественную эмаль лучше, чем твердые. Но ортопеды стремятся достичь баланса во всем. Независимо от того, из каких материалов изготавливают зубные протезы, они должны:
- Выдерживать воздействие агрессивной среды. Кислое, сладкое, соленое - все это химические раздражители, которые отрицательно воздействуют на протез. Сохранять свои функции, несмотря на неблагоприятную среду - одно из важных требований к составу.
- Не вступать во взаимодействие с пищей, менять ее вкус
- Быть комфортными для носки
- Выглядеть естественно
- Не иметь запаха и привкуса
Полимеры (пластмассы)
Применение полимеров в ортопедии стало настоящей революцией. Пластмассовые конструкции по-прежнему одни из самых востребованных. Чаще всего полимеры используют для изготовления полных или частичных съемных протезов и в качестве временных конструкций.
Акрил
Это недорогой, легкий пластик. Он устойчив к химическим воздействиям, хорошо держит форму. Протезы из акрила просты в изготовлении, их можно ремонтировать. К сожалению, он гигроскопичен, легко покрывается микротрещинами, в которых накапливаются бактерии. Чтобы привыкнуть к системам из акрила требуется много времени, и они часто вызывают дискомфорт. С этими недостатками легко смириться, но акриловые пластмассы содержат мономеры, вещества, которые вызывают аллергические реакции. Это - главный недостаток акрила. Перед протезированием обязательна проверка на аллергию.
Нейлон
Проблему аллергии решают термопласты - пластмассы, в которых нет мономеров. Самый распространенный из них - нейлон. Он очень прочный, но в то же время эластичный. Не теряет цвета даже после нескольких лет использования. Системы из нейлона не натирают слизистую, занимают мало места во рту. Привыкают к ним быстрее, чем к акриловым.
Но и у нейлона, как материала съемных протезов, тоже есть недостатки. Из-за гибкости нейлон легко отлепляется от неба. Жевательная нагрузка распределяется неравномерно. Работать с нейлоном сложнее, изделия из него делают не везде.
AcryFree
Технологи долго пытались найти золотую середину между акрилом и нейлоном и им это удалось. Современный материал для изготовления протезов - AcryFree, сочетает достоинства обоих полимеров. Он жестче, чем нейлон, но мягче, чем акрил. Умеренная жесткость обеспечивает равномерную нагрузку при жевании. Хотя AcryFree не может остановить потерю костной ткани, он существенно замедляет ее убыль. Термопласт не содержит мономеров, а значит не провоцирует аллергические реакции. Метод изготовления - литьевое прессование, исключает образование микропор.
К недостаткам можно отнести долгий период привыкания, необходимость особого ухода, риск поломки кламмеров.
Сравнение полимеров
| Свойства | Акрил | AcryFree | Нейлон |
| Наличие аллергенов | Да | Нет | Нет |
| Цена | Низкая | Средняя | Высокая |
| Эластичность | Низкая | Средняя | Высокая |
| Вероятность поломки | Высокая | Средняя | Низкая |
| Возможный ремонт | Да | Да | Нет |
| Риск расшатывания соседних зубов | Высокий | Низкий | Низкий |
Какой из них выбрать - решает пациент и врач, после обследования.
Металлы
При частичном съемном протезировании, например, при изготовлении бюгельных протезов, применяют металлические сплавы. Обычно это сплав хрома с кобальтом или никелем, но иногда используют титан.
Распространено применение металлов, как материала несъемных протезов: коронок и мостов. Их делают из драгоценных металлов: золота, платины, палладия или вышеназванных сплавов. Металлы также используют для изготовления вкладок.
Металлокерамика
В наши дни металлы и их сплавы используют, в основном, как каркас для металлокерамики.
Облицовка металла керамикой решает основную проблему металлических конструкций - гальваноз. Реагируя друг с другом металлы вызывают химическую реакцию, которая выражается в металлическом вкусе во рту, раздражении слизистых, жжении языка. Керамика изолирует металл, предотвращая гальванизацию. Конструкции из благородных металлов биоинертные, они гальваноза не вызывают.
Главный недостаток металлокерамики: металл просвечивает и зуб не выглядит естественно. Кроме того, место соединения с десной часто синеет, это портит впечатление от улыбки. Поэтому металлокерамику предпочитают использовать на жевательных зубах, где эстетика не так важна, как прочность.

Металопластмасса
Используется для временных коронок. Основу делают из металла, а сверху закрепляют накладку из пластика. Качественные коронки могут прослужить 2-3 года, но в конце-концов их придется менять. Они непрочные, легко окрашиваются, покрываются трещинами.

Керамика (стоматологический фарфор)
Решить эстетические проблемы и снизить риск развития гальваноза помогают изделия из керамики. Обычный стоматологический фарфор слишком хрупкий, поэтому технологи разработали инновационные материалы:
- стеклокерамику на основе лейцита - Empress;
- стеклокерамику на основе дисиликата лития - E-max;
- микрокерамику на основе силиката циркония - Ceramage.

Стоматологические протезы из керамики:
- имитируют зубную эмаль цветом и светопреломлением;
- не вызывают аллергических реакций и гальваноза;
- тоньше металлических, зубы обтачивают не так сильно;
- не требуют депульпации;
- плотно прилегают к деснам.
Диоксид циркония
Особенностью циркония является его твердость. Это - самый прочный стоматологический состав. Может использоваться на жевательных зубах. Цирконий - инертный материал, он гипоаллергенен, не вызывает раздражения. Изделия из циркония плохо проводят тепло и холод, они помогут пациентам с повышенной чувствительностью зубов.

Диоксид циркония не так хорошо пропускает свет, как стеклокерамика, поэтому выделяется особой белизной. К недостаткам можно отнести способность стирать зубы-антагонисты.
Используют безметалловые составы для изготовления мостовидных протезов, коронок, виниров, вкладок.
Сравнение составов для несъемных протезов
Протезы из какого материала применить, решает врач, после обследования и сбора информации.
Правда ли, что нейлон быстро портится и протез нужно менять?
Нейлоновый протез требует тщательного ухода с применением щадящих безабразивных составов и мягкой щетки. Если не соблюдать правила гигиены, поверхность нейлона становится пористой и шершавой. Таким протезом пользоваться нежелательно
Керамика подходит только для фронтальных зубов?
Прочностные особенности цельнокерамических протезов определяют предпочтительную сферу их применения для фронтальной зоны.
Композиты
В основном композитные материалы используются при пломбировании зубов. В ортопедии композиты нашли применение при изготовлении виниров. Тонкие пластинки изготавливаются на месте и сразу устанавливаются на зубы. Виниры не исправляют дефекты, а маскируют их. Композитные накладки доступны по цене, их быстро и несложно изготовить. Но они довольно хрупкие. Виниринг из керамики служат гораздо дольше и вид у них лучше.

Конечно, лучше заранее определить, протезы из какого материала вам больше подойдут. Но следует помнить, что окончательное решение остается за врачом. Опираясь на свой опыт, знания и объективную ортопедическую картину, он сделает выбор, который будет оптимальным для вас.
Помните, лучший материал для протезирования зубов - тот который вам подходит больше всего.
Читайте также:
