УЗ-признаки коллоидной кисты щитовидной железы
Добавил пользователь Евгений Кузнецов Обновлено: 28.01.2026
Что такое аденома щитовидной железы? Причины возникновения, диагностику и методы лечения разберем в статье доктора Лукьянова Сергея Анатольевича, хирурга-эндокринолога со стажем в 18 лет.
Над статьей доктора Лукьянова Сергея Анатольевича работали литературный редактор Юлия Липовская , научный редактор Сергей Федосов и шеф-редактор Лада Родчанина

Определение болезни. Причины заболевания
Аденома щитовидной железы — доброкачественная, часто бессимптомная опухоль, расположенная в щитовидной железе. Представляет собой узел в фиброзной капсуле, состоящий из железистых клеток. Аденома щитовидной железы (узелки в щитовидной железе) в той или иной форме встречается почти у каждого второго человека [12] .
По классификации ВОЗ, самой распространённой формой аденомы щитовидной железы является фолликулярная форма аденомы [14] . Другие формы новообразований щитовидной железы могут иметь злокачественных характер. По результатам исследований, у 4-7% обратившихся за помощью пациентов, у которых были обнаружены узлы в щитовидной железе, был диагностирован в дальнейшем рак щитовидной железы [13] .

У большинства пациентов с фолликулярной аденомой отсутствуют нарушения функции щитовидной железы. Приблизительно 1% фолликулярных аденом являются "токсическими аденомами". Это значит, что они вызывают гипертиреоз — состояние, при котором гормоны щитовидной железы начинают вырабатываться сверх нормы. Гипертиреоз обычно не возникает до тех пор, пока фолликулярная аденома не вырастет до размеров более 3 см.
Причины возникновения аденомы щитовидной железы изучены недостаточно. Основные предположения о факторах, провоцирующих развитие заболевания: генетическая предрасположенность, повышенная выработка гормонов щитовидной железы, генные мутации. В некоторых случаях можно связать появление аденомы с длительным дефицитом йода.
Фолликулярную аденому щитовидной железы важно при диагностике отличать от фолликулярной карциномы — одного из видов рака щитовидной железы. Фолликулярная карцинома встречается в 10 % всех случаев злокачественных новообразований щитовидной железы в тех географических регионах, где присутствует достаточно йода в продуктах питания, и в 25-40 % случаях злокачественных новообразований щитовидной железы в областях йодного дефицита [3] [9] .
При обнаружении схожих симптомов проконсультируйтесь у врача. Не занимайтесь самолечением - это опасно для вашего здоровья!
Симптомы аденомы щитовидной железы
Большинство опухолей щитовидной железы не вызывают никаких симптомов.
Симптомы аденомы щитовидной железы больших размеров
Если опухоль растёт быстро, она может вызвать припухлость на шее — это приводит к нарушениям дыхания, одышке, проблемам при глотании и появлению боли.
Симптомы токсической аденомы щитовидной железы
Часть узлов производят избыточное количество тироксина — основного гормона щитовидной железы. В этом случае развивается токсическая фолликулярная аденома (её симптом — частый пульс).
На более поздних стадиях развития токсической фоликулярной аденомы появляются:
- снижение работоспособности;
- быстрая утомляемость;
- приливы и ознобы;
- снижение веса без соблюдения диеты и специальных упражнений (редко);
- повышенное потоотделение ладоней [15] .
Со стороны сосудов и сердца — тахикардия, которая плохо поддаётся лечению антиаритмическими препаратами, и головная боль.
Со стороны нервной системы — сонливость, бессонница, апатия, депрессия.
У пациентов с фолликулярной аденомой образуется узел в щитовидной железе, который пальпируется при осмотре или виден при использовании визуализирующих методов исследования (УЗИ, МРТ, МСКТ). Большинство пациентов с аденомой имеют непальпируемый узелок, и для его выявления требуется дополнительная диагностика.
Симптомы со стороны органов зрения для аденомы щитовидной железы нехарактерны.

Патогенез аденомы щитовидной железы
Функционирующие (токсические) фолликулярные аденомы возникают в результате моноклонального расширения фолликулярных клеток щитовидной железы с высокой распространенностью активирующих мутаций в гене рецептора ТТГ (гормона гипофиза, регулирующего функцию щитовидной железы) и реже в гене стимулирующего аденилатциклазу G Альфа-белка, что приводит к увеличению секреции тиреоидных гормонов независимо от ТТГ [4] .
Для понимания того, какая разница существует между патогенезом доброкачественных опухолей в щитовидной железе и рака, нужно учитывать, что пусковым механизмом развития опухоли является мутация в определенных генах. Примерно 80% фолликулярных карцином содержат мутации гена саркомы RAS [1] . Также установлено, что четыре микроРНК (miR-192, miR-197, miR-328 и miR-346) имеют значительно большую экспрессию в фолликулярной карциноме, чем в фолликулярной аденоме [2] .
Считается, что дефицит йода и эндемический зоб являются факторами, предрасполагающими к развитию фолликулярной опухоли. Добавление йодида в рацион питания приводит к снижению заболеваемости фолликулярным раком и аденомой щитовидной железы [11] .
Классификация и стадии развития аденомы щитовидной железы
Чтобы понять до операции, насколько опасен узел, хирурги-эндокринологи в настоящее время пользуются цитологической системой Bethesda. В соответствии с клиническими рекомендациями врачам необходимо использовать 6 стандартных категорий цитологических заключений современной международной классификации:
I категория — малоинформативная пункция (выставляется при недостаточности материала или наличия лишь кистозного и коллоидного компонента), в ряде случаев требует повторное пунктирования узла.
II категория — доброкачественное образование (коллоидные и аденоматозные узлы, хронический аутоиммунный тиреоидит, подострый тиреоидит), чаще всего удалять такой узел нет необходимости.
III категория — атипия неопределенного значения (сложная для интерпретации пункция с подозрением на опухолевое поражение), требуется повторить пункцию через 2-3 месяца.
IV категория — фолликулярная неоплазия или подозрение на фолликулярную неоплазию. Такой узел желательно удалять.
V и VI категория — подозрение на злокачественную или злокачественная опухоль (подозрение на папиллярный рак, на медуллярный рак, на метастатическую карциному или лимфому). При данном заключении оперировать нужно обязательно.

Формы патологии
После операции окончательно определяется тип фолликулярной неоплазии по следующей классификации: гистологическая классификация фолликулярных неоплазий (ВОЗ, 2017) [14]
Доброкачественные опухоли
- фолликулярная аденома;
- гиалинизирующая трабекулярная опухоль;
- фолликулярная опухоль неопределенного злокачественного потенциала;
- высокодифференцированная опухоль неопределенного злокачественного потенциала;
- неинвазивная фолликулярная опухоль с ядрами папиллярного типа.
Выделяют гистологические подтипы фолликулярной аденомы: папиллярную, онкоцитарную, атипичную, оксифильную. Это доброкачественные опухоли, поэтому принципиального значения, какой именно подтип выявлен, нет.
Токсическая фолликулярная аденома развивается при избыточном производстве тироксина — основного гормона щитовидной железы.
Злокачественные опухоли
- фолликулярная карцинома, минимально инвазивная;
- фолликулярная карцинома, инкапсулированная с сосудистой инвазией;
- фолликулярная карцинома, широкоинвазивная.
Осложнения аденомы щитовидной железы
В большинстве случаев аденомы щитовидной железы не представляют никакой угрозы для жизни и здоровья пациента, если в результате исследования было установлено, что опухоль точно доброкачественная. Аденома никогда не может переродиться в рак [1] . Это связано с тем, что любая опухоль моноклинальная: она развивается из одной единственной клетки, и вероятность того, что миллионы клеток, из которых состоит фолликулярная аденома, вдруг переродятся в злокачественные, практически равна нулю.
Однако если фолликулярная аденома вырастает до больших размеров (более 4 см), то она сдавливает органы шеи - трахею, пищевод и окружающие их сосуды.

Если фолликулярная аденома вызывает избыточное производство гормонов щитовидной железы, при отсутствии своевременного лечения возможны осложнения со стороны сердечно-сосудистой системы: инсульты, инфаркты, артериальная гипертензия.
Самое грозное осложнение гормонально-активной фолликулярной аденомы — это тиреотоксический криз. Спровоцировать его могут инфекционные заболевания, стресс, большая физическая нагрузка. Криз проявляется резким обострением всех симптомов гипертиреоза: лихорадкой, выраженной тахикардией, проявлениями сердечной недостаточности, вплоть до развития коматозного состояния и летального исхода. Однако при своевременном обращении к врачу в случае тиреотоксического криза состояние пациента значительно улучшается в течение нескольких дней.
Диагностика аденомы щитовидной железы
К кому обратиться
При подозрении на аденому щитовидной железы следует обратиться к врачу-эндокринологу. На осмотре у эндокринолога узлы больших размеров заметны визуально. Для уточнения диагноза доктор назначит анализы и выпишет направление на УЗИ.
Что нужно обследовать
Какие анализы необходимы
Если фолликулярная аденома щитовидной железы выявлена впервые, то достаточно определить уровень тиреотропного гормона (ТТГ) и тироксина (свободного Т4). Если они в норме, то контролировать их в дальнейшем не обязательно. Если врач назначил лечение, то контроль гормонов проводится индивидуально.
Инструментальная диагностика
УЗИ — это основной метод выявления аденом щитовидной железы. С помощью УЗИ можно следить за аденомой во времени (есть рост или нет). Для диагностики аденомы проводят тонкоигольную аспирационную биопсию под УЗИ-контролем с последующим (при необходимости) молекулярно-генетическим исследованием.
КТ или МРТ проводятся крайне редко, например, когда есть подозрение на загрудинное расположение аденомы щитовидной железы.
Единственным показанием к проведению сцинтиграфии щитовидной железы при обнаружении в ней аденомы является синдром гипертиреоза (повышенное содержание Т4 и Т3 и сниженный ТТГ).
При выявлении узлов в щитовидной железе необходимо исключить рак щитовидной железы. С этой целью проводят пункцию (биопсию) щитовидной железы. Во время пункции очень тонкая игла под УЗИ-контролем вводится в узел, чтобы получить из него клетки. Эта простая процедура проходит быстро и практически безболезненно. Далее образец клеток из узла щитовидной железы отправляется цитопатологу, который определяет, является ли узел доброкачественным или злокачественным.
Как обследовать:

Иногда в результате этой процедуры ставится “неопределенный" диагноз — цитолог не может сказать, являются ли клетки узла доброкачественными или злокачественными. В этом случае, после проведения биопсии, пациент получает заключение "Цитологическая картина фолликулярной опухоли или фолликулярной неоплазии", относящееся к 4 классу по классификации Bethesda. Пациенты с неопределёнными фолликулярными опухолями имеют риск выявления злокачественного процесса около 15-30%, в связи с чем в данный момент всем пациентам с подобным цитологическим заключением рекомендуется проведение операции. При этом от 70% до 80% узлов щитовидной железы в конечном итоге по результатам послеоперационного гистологического исследования оказываются доброкачественными, а сама операция — диагностической.
Риск послеоперационных осложнений и послеоперационный гипотиреоз, требующий пожизненной заместительной гормональной терапии, существенно снижают качество жизни пациентов. К этому следует добавить психологическую потерю здоровья и неудобство, связанное с необходимостью частых визитов к врачу [5] . Финансовые потери, связанные с неоправданными операциями на щитовидной железе, также значительны [6] .
Молекулярно-генетические панели
С целью улучшения предоперационной диагностики узловых образований щитовидной железы в последние 5 лет за рубежом были разработаны различные молекулярно-генетические панели (Afirma-GEC, ThyroSeq v2, ThyGenX/ThyraMIR). Исследования показывают, что при получении заключения "доброкачественно" по результатам этих тестов вероятность выявления рака щитовидной железы составляет менее 4% (как при доброкачественном цитологическом заключении Bethesda 2 класса), а это значит, что при получении подобного заключения пациентам можно рекомендовать наблюдение вместо операции [7] [8] . Опыт применения этих панелей в РФ пока что незначительный и подразумевает необходимость отправки биологического материала в другую страну.
Лечение аденомы щитовидной железы
Фолликулярная аденома щитовидной железы является доброкачественной опухолью. Если она не выделяет избыточное количество тироксина и не вызывает сдавления органов шеи, то её не нужно удалять и можно оставить под наблюдением. Наблюдаться пациенту предстоит пожизненно — невозможно предсказать, будет ли фолликулярная аденома увеличиваться со временем и появится ли её гормональная активность. Тем не менее, наблюдение значительно безопаснее, чем оперативное лечение, после которого часто требуется пожизненный прием гормональных препаратов. Основная проблема в том, что не во всех случаях можно узнать, является ли опухоль доброкачественной или злокачественной лишь на основании цитологического исследования. До последнего времени удаление пораженной доли щитовидной железы являлось окончательным вариантом лечения для пациентов с доброкачественной фолликулярной аденомой. Однако применение молекулярно-генетических панелей в дооперационной диагностике может в корне поменять эту тактику. В США и Европе генетическое типирование уже стало широко применяться, в нашей же стране эта методика только зарождается [7] .
Медикаментозное лечение
Пациенты с одиночным токсическим узлом, который чаще всего является функционирующей фолликулярной аденомой, могут лечиться йодом-131 или односторонней лобэктомией щитовидной железы. При токсической аденоме щитовидной железы (болезни Пламера) необходим приём тиреостатических препаратов. Их назначают при подготовке перед операцией.
Подготовка к операции при тиреотоксической аденоме
Если аденома является гормонально-активной (токсическая аденома, болезнь Пламера), то перед операцией необходимо снизить уровень гормонов щитовидной железы. Если гормоны изначальное в норме, то подготовка ничем не отличается от подготовки при обычных плановых оперативных вмешательствах.
Хирургическое лечение аденомы щитовидной железы
Удаление аденомы щитовидной железы показано в следующих случаях:
- аденома щитовидной железы является гормонально-активной (токсическая аденома, болезнь Пламера);
- сдавлены органы шеи;
- по пункции или по молекулярно-генетическому исследованию, например ThyroidINFO, есть большие подозрения на рак щитовидной железы.
Операция может быть выполнена:
- обычным "открытым" способом;
- малоинвазивным доступом — MIVAT, когда аденому удаляют через небольшой разрез на шее;
- эндоскопическим способом — ABBA, в этом случае аденому удаляют через небольшой разрез в подмышечной области, после операции на шее не остаётся рубцов.
Реабилитация после операции
После "открытой" операции пациент находится в стационаре 5-7 дней, средний срок нетрудоспособности — до 30 дней. При малоинвазивных и эндоскопических операциях — один день в стационаре и пять дней на больничном.
Другие методы при невозможности хирургического лечения. Лечение народными средствами
Операция — основной метод лечения аденомы щитовидной железы. Также для лечения аденомы щитовидной железы назначают йод-131. Применение средств народной медицины может негативно влиять на здоровье пациентов из-за отказа от своевременного эффективного лечения.
Прогноз. Профилактика
Прогноз при точно установленной доброкачественности аденомы щитовидной железы благоприятный — пациенту необходимо будет лишь проходить регулярное наблюдение и контролировать рост опухоли. Прогноз при фолликулярном раке щитовидной железы в большей степени зависит от своевременности оперативного лечения. Поэтому если выявлен даже небольшой узел в щитовидной железе, необходимо как можно быстрее обратиться к врачу, чтобы исключить этот диагноз.
С целью профилактики развития фолликулярной аденомы щитовидной железы необходимо следить за нормальным уровнем тиреодных гормонов. Для этого достаточно раз в год контролировать уровень ТТГ в крови.
Рекомендации по образу жизни для пациентов с аденомой щитовидной железы
Если пациент проживает в йододефицитном регионе, то не лишним будет приём препаратов йода [11] . Также необходимо соблюдать ряд несложных правил: укреплять иммунитет, защищать организм от различных патологий, нарушающих работу иммунной системы, заботиться о своем здоровье, выбирать правильное питание и соблюдать здоровый образ жизни, по возможности оградить себя от стрессов, обеспечивая полноценный отдых и сон.
Киста щитовидной железы - симптомы и лечение
Что такое киста щитовидной железы? Причины возникновения, диагностику и методы лечения разберем в статье доктора Матвеева М. В., эндокринолога со стажем в 8 лет.
Над статьей доктора Матвеева М. В. работали литературный редактор Маргарита Тихонова , научный редактор Сергей Федосов

Киста щитовидной железы — это полое образование, содержащее жидкость, которое является разновидностью узла щитовидной железы. Примерно 90% кист являются доброкачественными и не имеет способности к малигнизации (озлокачествлению).
Краткое содержание статьи — в видео:
По литературным данным, около 25% от всех образований щитовидной железы являются кистами или частично кистозным содержимым. В чистом виде кисты встречаются у 7% взрослых и 1,5% детей и подростков. [1]

Причины возникновения кист щитовидной железы до сих пор остаются неясными. Чаще всего их развитие связано с: [2]
- недостатком йода и селена;
- генетической предрасположенностью;
- гормональным дисбалансом во время полового созревания, беременности или менопаузы;
- воздействием различных токсических веществ (например, фенолов, парабенов, свинца, ртути и других);
- экологическими проблемами (излучение, пища с вредными пищевыми добавками).
Факторами-триггерами, запускающими механизм формирования кист, являются:
- психоэмоциональные нарушения, стресс;
- нарушения со стороны эндокринных желёз;
- снижение иммунитета или системные аутоиммунные заболевания.
Кисты щитовидной железы также могут развиться на фоне других заболеваний:
- повышенный выработка гормонов Т3 и Т4 при гипертиреозе;
- снижение функции щитовидной железы при гипотиреозе, характеризующееся дистрофией железистой ткани;
- гиперплазии (патологическое увеличение) щитовидной железы вследствие йододефицита;
- тиреоидит — аутоиммунный или воспалительный (бактериальный, вирусный) процесс, приводящий к лимфоцитарной инфильтрации (скоплению лимфоцитов) и изменяющий архитектонику щитовидной железы (реже с формированием кист);
- дегенеративные процессы;
- инфицирование тканей щитовидной железы.
По некоторым данным, развитие кист щитовидной железы обусловлено:
- кистозной дегенерацией ткани щитовидной железы (коллоидная киста) — в 58% случаев;
- инволюцией (обратным развитием) фолликулярной аденомы — в 40% случаев;
- неоплазией (образованием опухоли) щитовидной железы — в 2 % случаев.
Симптомы кисты щитовидной железы
Чаще всего кисты щитовидной железы бессимптомны. [4] Однако при больших размерах они могут:
- доставлять дискомфорт в области шеи или вызывать ощущение кома в горле;
- приводить к возникновению боли;
- нарушать глотание — проявляется как при употреблении сухой пищи, так и воды, а также в покое и может указывать на большой размер кисты;
- приводить к попёрхиванию;
- изменять тембр голоса;
- затруднять дыхание;
- быть визуально заметными в области шеи.

Увеличение кист происходит по-разному и зависит от факторов-триггеров, однако чаще всего активный и быстрый рост для данного типа образований не характерен. В практике редко регистрируются кисты до 3 см, которые занимают большую часть доли щитовидной железы.
При доброкачественной кисте щитовидной железы увеличение лимфоузлов не происходит.
При нагноении кисты щитовидной железы:
- возникает синдром интоксикации, который сопровождается повышением температуры тела;
- усиливается болезненность, которая может распространяться и отдавать в ухо или ключицу.
При кровоизлиянии в кисту возникает:
- боль;
- быстрое расширение узелка;
- при больших размерах — симптомы компрессии (например, охриплость, нарушение глотания).
Кроме того, если происходит нарушение функции щитовидной железы, возможно развитие симптомов, характерных для гипотиреоза (слабость, недомогание, зябкость, сухость кожи, выпадение волос, ломкость ногтей, склонность к запорам, прибавка веса, снижение работоспособности и другие) или гипертиреоза (тахикардия, потливость, изменчивость настроения, снижение веса, одышка, склонность к диарее, нарушение менструального цикла и другие).
Патогенез кисты щитовидной железы
Щитовидная железа содержит большое количество фолликулов, заполненных коллоидом — жидким белковым веществом, состоящим из протеина и предшественников гормонов. В условиях повышенной выработки коллоида или нарушения его оттока происходит его избыточное скопление и увеличение самих фолликулов в размерах. Также подобные изменения могут происходить при воспалительных процессах, гипертрофических или дистрофических изменениях ткани, а также при кровоизлиянии. [5]

Возникновение кист может протекать как бессимптомно, так и привести к нарушению функционирования щитовидной железы.
Самостоятельный регресс кист происходит редко, но это возможно при назначении необходимых ко-факторов (например, селен и цинк), восполнении йодного дефицита, а также восстановлении белкового обмена (тирозин).
Кроме того, может происходить формирование так называемых "множественных кист", которые возникают в основном при йодном дефиците, когда происходит одновременная гиперплазия фолликулов щитовидной железы.
Классификация и стадии развития кисты щитовидной железы
Классификацию кист щитовидной железы можно представить следующим образом. [6]
По размеру выделяют:
- расширенные фолликулы (до 10-15 мм);
- непосредственно кисты щитовидной железы (более 15 мм).
По структуре различают:
- простые кисты — узелки, заполненные исключительно жидкостью, выстланные доброкачественными эпителиальными клетками;
- сложные кисты — частично твёрдые и частично кистозные образования, которые несут 5-10% риск развития злокачественных новообразований.
По локализации бывают:
- кисты правой половины щитовидной железы;
- кисты левой половины щитовидной железы;
- кисты обоих долей;
- кисты перешейка.
По типу содержимого выделяют:
- коллоидные кисты — характеризуются скоплением коллоида (смесь аминокислот, тиреоглобулина и йода); возникает, как правило, при йододефиците или нетоксическом зобе; свойственно достаточное благоприятное течение; при небольших размерах протекает бессимптомно;
- фолликулярные кисты — представлены преимущественно большим количеством фолликулярных клеток с наличием или отсутствием соединительной ткани; чаще является более плотным образованием со склонностью к перерастанию в злокачественное образование; на начальных стадиях клинически проявляется редко;
- цистаденома — является формой кистозной дегенерации, представленной аденоматозным узлом с кистой в своем составе; развивается вследствие некроза (при аутоиммунной патологии) или нарушении кровообращения, что приводит к образованию полости, заполненной жидкостью (капсульной кисты); в менее 40% случаев имеют склонность к озлокачествлению.
Кроме того, имеется классификация стадий преобразования доброкачественных узлов щитовидной железы. Она включает в себя три стадии заболевания, которые развиваются последовательно, переходя одна в другую в одном направлении: [7]
- стадия развития;
- стадия истощения (начального умеренного и значительного);
- стадия рубцевания.
Также кисты щитовидной железы можно разделить на одиночные (встречаются в 80% случаев) и множественные кисты.
Осложнения кисты щитовидной железы
При росте кист может происходить сдавление органов, которые располагаются рядом с щитовидной железой, приводя к нарушению глотания (сдавление пищевода), затруднению дыхания (сдавление трахеи), осиплости голоса и хрипоты (сдавление возвратных нервов). Кроме того, в тяжёлых случаях может развиться деформация шеи.
Осложнениями кист можно считать кровоизлияние и нагноение, возникающие вследствие воспалительных процессов, системных заболеваний и травм.
Риск малигнизации (озлокачествления) кист не высок и составляет 3-5%. Важным является то, что частота выявления злокачественного процесса примерно одинакова для образований различного размера и не зависит от количества узлов.
Малигнизация может происходить на фоне нормальной, пониженной и повышенной функции щитовидной железы. Опухолевые узлы формируются по причине мутации одной из клеток щитовидной железы, возникающей из-за повреждения генетического материала клетки. Такие изменения могут быть вызваны радиацией, воздействием некоторых токсических веществ (например, тяжёлых металлов) или наследуются.
Основное свойство малигнизированных опухолей — способность к инфильтративному росту, когда опухоль прорастает щитовидную железу и окружающие её ткани.

Около 80-85% злокачественных опухолей щитовидной железы представлены папиллярной карциномой, которая является менее опасной для жизни пациента в связи с медленным ростом, редким метастазированием и благоприятным прогнозом в случае проведения соответствующего лечения.
Фолликулярные карциномы встречаются в 10-15% случаев и также растут очень медленно, но они склонны к метастазированию.
Дополнительно к медленно растущим относят медуллярную карциному (составляет 5% случаев), которая склонна к метастазированию и малочувствительна к химио- и лучевой терапии. Однако при своевременном оперативном лечении она имеет положительный прогноз.
Анапластическая карцинома встречается редко (менее 1% всех случаев). Её лечение сопряжено со значительными трудностями.
Диагностика кисты щитовидной железы
Кисты щитовидной железы большого размера могут определятся пальпаторно (при ощупывании шеи).
Основным методом диагностики является УЗИ щитовидной железы. На УЗ-картине кисты представлены в виде образований правильной формы с ровными, тонкими стенками и анэхогенным (не отражающим звук), гомогенным содержимым, которые имеют капсулу. Позади кисты присутствует акустический эффект усиления сигнала, что также подтверждает жидкое содержимое кисты.
По данным классификации TIRADS, которая позволяет определить степень риска малигнизации узловых образований щитовидной железы, кистозное строение является благоприятным, т. е. доброкачественным и составляет 0 баллов. [8] Если узел является смешанным (кистозно-солидным), то он соответствует 1 баллу, а если солоидным, то 2 балла.

Кроме того, в данной классификации учитывается эхогенность: анхоненные кисты оцениваются в 0 баллов, а всем остальным типам эхогенности присваивается от одного до трёх баллов.
Таким образом, если по классификации TIRADS набрано 0 баллов, указывающие на доброкачественные изменения щитовидной железы, или 2 балла, свидетельствующие о вероятных доброкачественных изменениях щитовидной железы, то тонкоигольная биопсия образования не показана.
В том случае, если при проведении УЗИ были выявлены дополнительные признаки и в итоге выставляется более трёх баллов по TIRADS, тонкоигольная биопсия узла (кисты) обязательна. Оно необходимо для анализа клеточного состава кист и узлов, который определяет дальнейшую тактику ведения пациента.

Кроме того, по рекомендациям Российского эндокринологического общества показаниями для проведения биопсии в рамках диагностики узлового зоба (всевозможных обособленных образований в щитовидной железе) являются: [9]
- узловые образования, равные или превышающие в диаметре 10 мм;
- выявление образований более малого размера, но только при наличии признаков злокачественности и возможности выполнить тонкоигольную биопсию под контролем УЗИ;
- значимое увеличение (более 50%) ранее выявленного образования при динамическом наблюдении.
При наличии клинических проявлений также рекомендуется провести исследование крови на тиреотропный гормон (ТТГ), свободный тироксин (Т4св), свободный трийодтиронин (Т3св) и антитела к тиреоидной пероксидазе (АТ-ТПО).
Такие инструментальные методы диагностики кист щитоивдной железы, как ангиография, КТ, пневмография, ларингоскопия и бронхоскопия, проводить не целесообразно.
Дифференциальный диагноз чаще проводят для определения доброкачественности или злокачественности процесса.
Лечение кисты щитовидной железы
Тактика лечения кисты щитовидной железы будет зависеть от результатов УЗИ (динамического наблюдения при 1-2 баллам по TIRADS) и тонкоигольной биопсии. [9]
При обнаружении злокачественной опухоли по данным тонкоигольной пункционной биопсии требуется провести оперативное лечение — тиреоидэктомию (полное или частичное удаление щитовидной железы) с центральной шейной лимфаденэктомией (иссечением лимфоузлов). После операции назначают радиойодтерапию 131I (радиокативным изотопом йода), а также динамическое наблюдение и заместительную терапию препаратами тиреоидных гормонов в супрессивной дозе.
При обнаружении фолликулярной аденомы, которую невозможно отличить от высокодифференцированного рака, также проводят оперативное лечение. Его объём будет зависеть от срочного гистологического заключения (проводится во время операции). Так, при выявлении рака проводится удаление всей ткани щитовидной железы, а при подтверждении доброкачественности процесса операцию заканчивают.
При подтверждении диагноза "Коллоидный зоб" инвазивное вмешательство не показано, если щитовидная железа работает нормально, не сдавливает соседние органы и не вызывает косметический дефект [11] . Наилучшей тактикой в таком случае является динамическое наблюдение, которое заключается в оценке уровня гормонов щитовидной железы и проведении УЗИ (достаточно проходить его один раз в год). Вопрос о приеме препарата решается индивидуально в зависимости от результатов обследования.
Супрессивная терапия тиреоидинами гормонам, которая применяется для уменьшения объёма щитовидной железы или её образований, не показана, так как по данным исследований общий прогноз для пациентов не улучшается.
В зависимости от объёма проведённой операции, после вмешательства пациенту могут назначить заместительную гормональную терапию тиреоидными гормонами, которые нужно будет принимать постоянно. При отсутствии постоперационных осложнений антибиотикотерапия не проводится.
Показаниями для проведения оперативного лечение являются:
- сдавление окружающих органов образованием;
- наличие функциональной автономии щитовидной железы.
Альтернативой оперативному лечению может быть терапия радиоактивным 131I. Также существует алкогольная аблация (введение этанола в ткань узла) и другие виды малоинвазивной деструкции узловых образований, однако они не получили достаточной оценки в многолетних проспективных исследованиях.
Кисты щитовидной железы — частое явление среди населения. Большинство из них не являются злокачественными, и многие также не требуют лечения в случае небольших размеров и отсутствия отрицательной динамики по данным УЗИ.
Большинство кист щитовидной железы после аспирации (70-80%) подвержены рецидивам. Чаще всего это связано с отсутствием надлежащего динамического контроля и приёма йодсодержащих препаратов, а также несоблюдения подобранной доктором диеты.
Тщательная оценка кист позволит обнаружить и удалить злокачественные новообразования. В связи с этим их благоприятный прогноз зависит от своевременной диагностики: обращения пациентов к врачу УЗИ и/или эндокринологу при наличии специфических жалоб (дискомфорт или ком в горле, попёрхивание, изменение тембра голоса).
При малигнизации образования характер прогноза будет зависеть от наличия или отсутствия метастазов, а также размера самого образования и прорастания его в окружающие ткани.
К профилактическим мерам относится:
- диспансеризация для выявления функциональных нарушений со стороны эндокринной системы и других органов;
- ведение здорового образа жизни;
- дополнительный приём витаминов и микроэлементов, которые недополучает организм (селен, цинк, витамин Д);
- правильное и здоровое питание (сбалансированное, разнообразное, с достаточным потреблением растительных и животных белков, клетчатки, зелёных овощей, несладких фруктов, полиненасыщенных жиров);
- нормализация процессов детоксикации — избавление от токсинов (гепатопротекция, улучшение работы I и II фаз детоксикации, использование хелаторов);
- уменьшение использования вредных веществ и облучения.
Как для профилактики йододефицитных заболеваний, в том числе и кист щитовидной железы, необходимо проводить профилактические государственные программы. Так, первичной профилактикой по мнению ВОЗ является йодирование соли, тогда как в группах с высоким риском (дети, беременные, кормящие) необходим дополнительный приём препаратов йода. К сожалению, ежедневное употребление продуктов, содержащих йод, не является превентивной мерой в плане развития кист щитовидной железы.
Людям, которые ранее подвергались облучению головы и шеи, для ранней диагностики злокачественных опухолей рекомендуется проходить профилактические осмотры. А тем, у кого в семье есть родные с неблагоприятной историей медуллярного рака, следует пройти генетическое тестирование. [10]
Коллоидная киста щитовидной железы: что это, почему образуется и как лечить?

Воспаление в щитовидной железе приводит к образованию узелков, которые хорошо видны при гистологическом исследовании. Среди них внимания заслуживает коллоидная киста щитовидной железы. Изменения могут быть очевидны либо обнаружены случайно при проведении исследований по другим поводам.
Коллоидная киста на щитовидке обычно безобидное изменение и никак не проявляется. В некоторых случаях при неблагоприятных обстоятельствах случаются осложнения. Почему возникают узелки, как чувствует себя человек с такой проблемой и какие последствия возможны рассмотрим ниже.
Определение кисты
Коллоидная киста — доброкачественная опухоль, которая медленно растет и содержит студенистые жидкие инкапсулированные клетки соединительной ткани. Происходят такие изменения в головном мозге человека и щитовидной железе.
Коллоидные кисты еще называться аденоматозными узелками. При разрастании щитовидной железы они могут формироваться от одного до нескольких штук одновременно. Причина их появления до конца не установлена.
Принято считать кистами образования, превышающие размер в 15 мм. Все другие изменения меньшего объема — расширенный фолликул. Коллоидные узелки — это доброкачественное, нераковое разрастание ткани, которое не распространяется за пределы щитовидной железы.

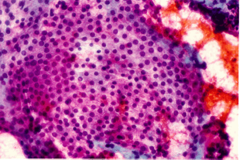
Коллоидный узелок. Оболочка нормального эпителия щитовидной железы показывает однородные ядра в цитоплазме.
Размер коллоидных узелков довольно мал, чтобы можно было нащупать их своими руками. Только при разрастании и значительном увеличении это удается без труда.
Коллоидная киста правой доли щитовидной железы или левой может содержать внутри жидкость. Появляется она при кровотечении из хрупких кровеносных сосудов в опухоли щитовидной железы, так называемой кистозной дегенерации. Процесс сопровождается внезапным появлением в области шеи и припухлостью, которое через несколько дней проходит.
Коллоидные узелки заполнены студенистой массой, похожей по плотности на желатин, окруженные уплощенными эпителиальными клетками. Основная опасность состоит в развитии абсцесса и воспаления.
Причины
Установлены факторы, которые способствуют коллоидной кисте: микроизлияния крови, гиперплазия и дегенерация фолликулов.
Эти процессы провоцируют:
- недостаточная концентрация йода в организме;
- повышенная физическая активность;
- длительные нервно-эмоциональные перегрузки;
- нарушение кислотно-щелочного баланса;
- курение (см. Щитовидная железа и курение: опасности подстерегают);
- отсутствие режима и полноценного сна;
- проживание в холодном климате;
- частые беременности;
- рентгеновское излучение.
Патология
Узелки состоят из нерегулярно увеличенных фолликулов, которые содержат обильное количество коллоидного материала. Могут содержать участки некроза, кровоизлияний и кальцинации.

Коллоидные кисты обеих долей щитовидной железы участились в последние годы. Это явление связывают с выявлением патологии на ранней стадии при помощи ультразвукового исследования высокого разрешения.
На снимках хорошо видны участки щитовидной железы отличные по плотности ткани и цвету. Риск перерождения в злокачественные новообразования составляет до 5%, остальные узлы носят доброкачественный характер.
Большую роль в раннем выявлении злокачественных опухолей играет опыт клинициста. Ряд особенностей и физическое обследование пациента имеет значение для постановки диагноза.
Факторы, которые способствуют перерождению узелков в рак:
- возраст пациентов до 20 лет и старше 70 лет;
- облучение шеи и головы;
- присутствие симптомов дисфагии или дисфонии;
- мужской пол;
- застой лимфы в шейном отделе.
Доброкачественный характер узелков
Установить правильный диагноз помимо исследований помогают определенные факторы, которые врач учитывает при сборе анамнеза:
- наследственность (наличие у родственников доброкачественных узелков или зоба);
- случаи аутоиммунных заболеваний в семье (тиреоидит Хашимото);
- гормональная дисфункция щитовидной железы;
- болезненные проявления, в связи с наличием узелка в тканях;
- мягкая консистенция и мобильность узелка.
Симптомы
Развитие и наличие коллоидной кисты не имеет выраженных симптомов, часто пациенты даже не подозревают о развитии патологии.

Первые признаки возможны только при увеличении размеров кист. Основная и первая жалоба связана с болевыми ощущениями в шее, как будто в горле есть комок. Позже присоединяется кашель, становится трудно глотать и дышать. Кроме этого, появляется чувство давления в шее.
Возможны нарушения самочувствия:
- головные боли по необъяснимой причине;
- головокружение и тошнота;
- ухудшение зрения;
- усиление внутричерепного давления.
Выделяют три степени:
- нулевая — отсутствие симптомов и зоба;
- первая — визуально не определяется увеличение щитовидной железы, узлы не прощупываются;
- вторая — заметно деформирована шея.
Диагностика и лабораторные исследования
На осмотре врач пальпирует шею пациента, чтобы установить консистенцию щитовидной железы, ее твердость, подвижность и возможные уплотнения. Без внимания специалиста не останутся лимфатические узлы.
При первичном обнаружении узелков идентифицировать их помогают несколько тестов. Обязательно назначают УЗИ, которое подтвердит их наличие, размер и структуру, только после этого назначают биопсию.

При помощи тонкой полой иглы берут материал для гистологического исследования содержимого кисты. Предварительный диагноз ставят по форме и содержанию забранной массы. Коллоидную кисту характеризуют вязкий биоматериал желтоватого цвета.
Врачу кроме физического обследования необходимы дополнительные анализы для определения функции щитовидной железы. Результаты помогут с уверенностью ответить на ключевые клинические вопросы.
Среди всех тестов особую значимость представляет анализ на чувствительность тиреотропного гормона (ТТГ), который проводят для скрининга на установление гипотиреоза или гипертиреоза. Полезны информативные анализы на сыворотку тироксина (Т4) и концентрацию трийодтиронина (Т3).
Интересно, что в большинстве случаев при обнаружении одиночного узла щитовидной железы, уровень ТТГ будет в норме.
Если в семье были случаи заболеваний тиреоидитом Хашимото или есть подозрения на его развитие у пациента назначают анализ на сыворотку антитиреоидной пероксидазы и уровень антител. Тиреоидит Хашимото не исключает развития злокачественного новообразования.
Сцинтиграфия
Исследование позволяет подробно описать узелки, обнаруженные при помощи радионуклидного сканирования, в зависимости от их способности поглощать радиоактивный изотоп. Так называемые горячие узелки функционируют автономно, «теплые» — предполагают нормальную работу, тогда как «холодные» указывают на гипофункцию или отсутствии таковой вообще.
Если «горячие» безобидны и редко становятся злокачественными, то «теплые» и «холодные» находятся в зоне риска до 8%.
Компьютерная томография
При значительных размерах коллоидной железы очень помогает этот метод исследования. При ощущении сдавления шеи проводят ларинго- и бронхоскопию.
Тестирование определяет наличие коллоидных узелков в ткани щитовидной железы. Регулярное обследование помогает следить за динамикой их роста и обнаружить мелкие вновь появившиеся. При проведении биопсии аппарат помогает правильно разместить иглу в ткани щитовидной железы.
Терапия
Оправдан вариант терапевтических методов, когда обнаружены большие коллоидные кисты щитовидной железы Лечение требует выполнения прокола для аспирации содержимого из полости и склерозирования для адгезии ее стенок. Если происходит накопление кистозной жидкости после манипуляции или размеры увеличенной щитовидной железы сдавливают структуры шеи назначают оперативное лечение.

При небольших размерах коллоидных узелков применяют консервативные способы, подразумевающие прием препаратов йода и гормонов щитовидной железы. Инструкция предписывает регулярный осмотр у врача, чтобы вовремя заметить ухудшение патологического процесса.
Терапия с радиоактивным йодом дает положительный результат у большинства пациентов, у кого обнаружена коллоидная киста левой доли щитовидной железы или правой. Радиоактивный йод быстро всасывается в ткань органа и способствует сокращению узелков. Очаг воспаления лечат антибиотиками и противовоспалительными препаратами.
Риски
Для удаления коллоидных кист хирургическим путем определяющую роль играет их размер, влияние на самочувствие пациента и выявленная онкология. Злокачественные узелки удаляют вместе с частью щитовидной железы, чтобы снизить вероятность распространения рака.
Операция улучшает самочувствие пациента, снимая неприятные симптомы: кашель, боль, затрудненное глотание и одышку. Больного помещают в стационар, операцию проводят под анестезией.
Возле щитовидной железы находятся важные структуры, которые могут быть случайно повреждены при оперативном вмешательстве. Затронутый возвратный гортанный нерв приводит к частичной потере голоса.
Повреждение или случайное удаление паращитовидных желез приводит к падению уровня кальция в крови. Пациент начинает испытывать покалывание и онемение в мышцах, вплоть до спазмов.

Осложнения операции очень редки, легкий дискомфорт в области шеи проходит спустя несколько дней или недель.
Прогноз
Исход благоприятный, если пациент получает лечение. При внезапном увеличении щитовидной железы не исключено внутреннее кровотечение или иммунное нарушение, которое требует срочной госпитализации больного.
Исключать осложнения нельзя, цена промедления слишком высока, рост размеров и воспаленная коллоидная киста в щитовидной железе может свидетельствовать об онкологическом процессе, поэтому обязательно проводят биопсию.
Бережное обращение со здоровьем помогает вовремя выявлять патологии и обнаружить и начинать лечение на ранней стадии. Не пренебрегайте визитом к врачу, если самочувствие ухудшилось.
Киста щитовидной железы
Доброкачественное полое образование с жидким содержимым на стенке щитовидной железы называется кистой. Стенки такого пузырька выстланы эпителием, который вырабатывает жидкость. Размеры образований обычно составляют полтора сантиметра и лечатся консервативными методами. Кисты больших форм при определенных обстоятельствах без лечения легко перерождаются в рак.
Информацию из данного раздела нельзя использовать для самодиагностики и самолечения. В случае боли или иного обострения заболевания диагностические исследования должен назначать только лечащий врач. Для постановки диагноза и правильного назначения лечения следует обратиться к профильному специалисту.

Симптомы болезни
Небольшие размеры кисты никак не проявляют себя клинически. Большинство людей узнают о проблеме лишь при медицинском осмотре. Признаки нарастают довольно медленно. Причиной является то, что маленькие образования пока не давят на сосуды. С их ростом появляются уже заметные симптомы:
- першение в горле;
- ощущение комка;
- сиплый голос;
- головная боль;
- озноб.
С развитием заболевания иногда поднимается температура тела, увеличиваются лимфоузлы, голос меняет тембр, появляется боль в очаге поражения. Если не обратиться за медицинской помощью и не назначить лечение, киста щитовидной железы увеличивается, давя на трахею. Болезнь прогрессирует, обогащаясь новыми признаками:
- одышка;
- чувство удушья;
- изменение линии шеи;
- варикоз шейных вен;
- визуальное определение уплотнения.
Такие симптомы не обязательно присутствуют постоянно. Часто они появляются периодически. Причиной являются размеры и виды образований, которые носят следующие названия:
- истинные кисты (простые);
- кистозные видоизменения узлов щитовидки (цистаденома);
- образования, расположенные рядом с железой.
Также существуют кистозные тератомы, кисты паращитовидных желез, кисты глистной инвазии. В данной статье мы рассматриваем первый вид, остальные относятся к иным заболеваниям. Истинные кисты, в свою очередь, бывают коллоидными или серозными, в зависимости от состава жидкости, которая их наполняет.

Причины развития кисты щитовидной железы
Обычно образование кисты обуславливает структура самой железы, которая состоит из миллионов фолликулов. В результате перенапряжения, изнашивания клеток, фолликулы перерождаются в полости, наполненные содержимым. С накоплением такой жидкости и образуется киста. Среди основных провоцирующих факторов находятся генетическая предрасположенность, загрязненная экологическая обстановка, травмы. Дополнительными причинами являются:
- нервные нагрузки и стрессы;
- дефицит йода в организме;
- микроскопические кровоизлияния в результате травм;
- эндокринные нарушения;
- прием гормональных препаратов;
- тиреодит;
- интоксикации.
К факторам риска относятся люди, часто болеющие вирусными или бактериальными инфекциями, живущие в зонах с повышенной радиацией, подвергающиеся солнечному облучению, имеющие пониженный иммунитет. В этот список также входят те, кто страдает злокачественными опухолями и перенесшие химио- и лучевую терапию. Риск появления кисты могут повысить аутоиммунные заболевания, например, зоб Хашимото, сахарный диабет.
При этом, женщины болеют в четыре раза чаще мужчин, вероятность появления кисты у них возрастает после сорока лет. Очень большое значение имеют индивидуальные особенности организма, когда происходит закупорка протока железы и развивается воспалительный процесс. Не на последнем месте стоит наследственность.
К какому врачу обратиться?
Когда появляются дискомфорт в горле, изменение голоса, затрудненное глотание, болезненность в районе шеи, нужно обязательно принимать меры. Поскольку щитовидная железа относится к эндокринной системе, то ее лечит такой специалист, как:
Коллоидный зоб щитовидной железы

Заболевание представляет собой зональное увеличение щитовидной железы. Происходит это в результате накопления коллоида. Вещество имеет белковую основу. Коллоидный зоб разделяется на три вида, исходя из чего назначается соответствующее лечение. Образование может быть диффузным, узловым и кистозной дегенерацией. В первом случае железа равномерно изменена и разрастается. Узловые же формирования отличаются разными размерами и строением. В крайне тяжелых случаях узлы разрастаются настолько, что замещают собой железу. Кистозные изменения редко негативно сказываются на работе щитовидки. Наросты наполнены жидкостью, мягкие.

Причины коллоидного зоба
Основной фактор, провоцирующий патологию, — недостаток йода. Имеются и другие вызывающие заболевание причины:
- возрастные изменения;
- скачки гормонов;
- наследственность;
- травмы шеи;
- радиоактивное облучение.
Проблему также вызывают разнообразные дисфункции органов эндокринной системы. Однако все вышеперечисленные состояния не всегда приводят к формированию зоба. Для этого нужны сопутствующие условия:
- стрессы, приводящие к нарушению нервной регуляции;
- сосудистый спазм при переохлаждении, вызывающий затруднение оттока коллоида;
- воспалительный процесс в различных тканях организма.
Заболевание нужно диагностировать и лечить. Своевременное купирование проявлений позволит предотвратить дальнейшие патологические изменения в железе и нарушение ее работы.
Какой врач поможет?
Коллоидный зоб на начальной стадии проявляет себя редко. Со временем появляется чувство комка в горле, может измениться голос, становится трудно глотать. На это необходимо обращать внимание и обратиться за помощью к врачам следующих специальностей:
Читайте также:
- Метаболизм эстрогенов и прогестинов. Влияние эстрогенов на матку и наружные половые органы
- Уход после операции эндопротезирования плечелучевого сочленения
- Как лечить сухой кашель у ребенка? Суприма бронхо и синекод от кашля
- Постнатальная диагностика врожденных пороков сердца у детей.
- Супрахориоидальные кровоизлияния: причины, механизмы развития, осложнения
