УЗИ метастазов печени. Интервенционное УЗИ в хирургии печени
Добавил пользователь Евгений Кузнецов Обновлено: 28.01.2026
Метастазы в печени, как правило, являются мультинодулярными, но иногда на УЗИ могут быть обнаружены отдельные узелки. С другой стороны, множественные узелки могут быть настолько маленькими, что создают впечатление инфильтрации. Ультрасонографические проявления метастазов являются довольно изменчивыми и их детальный анализ требует многочисленных срезов печени с различной ориентацией. Такое ультразвуковое исследование требует наилучшего доступного разрешения, целью которого является раскрытие мельчайших фокусных изображений. Диагностика метастазов производится с использованием двух типов патологических признаков: аномалии контура и аномалии текстуры.
На что обращают внимание при ультразвуковом исследовании
Демонстрация метастазов на УЗИ требует тщательного изучения всего объема печени, включая левую долю. Если технически необходимо, то при проведении ультразвукового исследования печени используют различные зонды, что позволяет лучше исследовать поверхностные плоскости. Ловушку «слишком красивого образа» следует избегать. Это иногда требует уменьшения динамического диапазона и увеличения контраста при пред или постобработке. Только с помощью этих технических мер предосторожности и настроек могут быть выявлены маленькие узлы и минимальные градиенты импеданса.
Общие признаки метастазов печени на УЗИ (нарушения контура)
«Знак удара». Поверхностные метастазы приводят к небольшим локализованным бугоркам, которые выпуклы и, следовательно, изменяют контур поверхности печени в поперечных срезах. Эти выпуклости на УЗИ следует считать патологическими, даже если нет никаких нарушений эхотекстуры. Однако следует помнить о нормальных анатомических выпуклостях (подреберная выпуклость, хвостатая доля, нижняя выпуклость, квадратная доля). Они обсуждаются в других главах. Наконец, наиболее частыми непатологическими выпуклостями после хвостатой и квадратной долей, несомненно, являются юкстадиафрагмальные выпуклости, возникающие при деформации диафрагмы.
Знак ребра (или знак края). Мы подробно обсудим форму краев печени в других статьях, включая их нормальные углы, но при этом имеются несколько исключений, которые мы сейчас рассмотрим. При гепатомегалии вследствие метастазирования края печени становятся округлыми, выпуклыми и даже полициклическими, если на главных выпуклостях наложены выпуклости в виде «шишки». Наряду с этими специфическими признаками очаговых поражений, следует добавить другие возможные признаки, включая гепатомегалию.
Изменения в эхотекстуре (узелки) при ультрасонографии
- Гипоэхогенные узелки, выявленные на УЗИ, очень важный признак. Так как, одно из распространенных проявлений метастазов в печени - округлые гипоэхогенные узелки. Они рассматриваются как перерывы в богатой однородной нормальной структуре печени. Мы называем это изображение «сито», поскольку такой вид на ультразвуковой картине связан с несколькими узлами этого типа. Этот тип появления метастатического заболевания раньше считался необычным, но в настоящее время часто встречается из-за превосходного контрастного разрешения современных аппаратов. Некоторые из гипоэхогенных зон могут стать откровенно жидкостными при некрозе метастазов. Некротические метастазы будут обсуждаться ниже.
- Видимые узелки. Эхотекстура узловых метастатических очагов чаще бывает эхогенной. Мы называем этот тип множественного узелкового гиперэхогенного поражения паттерном "метель". Гиперэхогенные поражения также могут быть откровенно узловатыми и регулярными, создавая видимость «капель свечи» или они приобретают более неправильную конфигурацию.
- Узелки типа «мишени» или «бычий глаз». Часто встречаются узелки, в которых центр относительно гипоэхогенный, а периферия рефлексивная и которые окружены гипоэхогенным кольцом. Из-за этого их также называют поражениями типа «мишени». Детально изучив эти поражения достоверно пришли к выводу, что концентрический внешний вид частично обусловлен сдавливанием периферической печеночной ткани и частично их сосудистой архитектурой.
- Некротические метастазы. Некроз может возникнуть самопроизвольно, когда области превышают определенный диаметр (6 или 7 см), или они могут появиться после химио- или лучевой терапии в небольших узлах. На УЗИ некротическая зона обычно нерегулярна и иногда гофрирована. Некроз может распространяться до нормальной ткани печени и вызывать псевдокистоз, но чаще он окружен оболочкой из остаточной опухолевой ткани. В исключительных случаях на дне пораженного участка находится уровень жидкости и дебриса. Метастазы карциноидных опухолей особенно склонны к некрозу и могут быть предположены, когда имеется их большое количество или некротические узелки, создающие псевдополикистозный вид.
- Инфильтрирующие депозиты. Определенные изменения в эхотекстуре приводят к появлению инфильтрации. Этот тип аномалии бывает трудно распознать, если разница в отражательной способности между опухолевой тканью и нормальной тканью относительно мала. В таких случаях изменения контура печени могут быть полезны; Изменения венозного рисунка, которые также актуальны, будут обсуждаться ниже. Чаще всего инфильтрирующая опухоль на УЗИ является довольно очевидной и приводит к появлению симптома «географической карты».
- Необычные проявления. Наконец, мы встречали многокамерные изображения, которые встречаются в общей сложности только один раз на более чем 500 случаев метастазирования. Можно столкнуться и с другим явлением. Например, описаны кальцифицированные метастазы, характеризующиеся большими акустическими тенями. В частности, метастазы рака яичников подвержены кальцификации, которые определяются на УЗИ.
Аномалии протоков на ультрасонографии при метастазах в печень
Известно, что дилатация внутрипеченочных желчных протоков может сопровождать метастазирование. Обычно расширение желчных протоков, лежащих проксимально к поражениям, связаны с затрудненным оттоком из-за их сжатия. В других случаях дилатация желчевыводящих путей и метастазы являются результатом первичной внепеченочной опухоли (например, поджелудочной железы).
Печеночные вены также могут быть смещены опухолью. Это чаще всего наблюдается при доброкачественных опухолях. Когда метастатические поражения близки к печеночным венам, вены обычно сужаются, деформируются или даже разрушаются. Опухолевые эмболы на УЗИ встречаются относительно редко. С другой стороны, когда есть доброкачественные инфильтрации печени, вены пересекают эти изменения без деформации. Вовлечение в процесс портальных ветвей и портальный тромбоз при метастазах может возникнуть в результате их сдавливания или инвазии.
УЗИ печени
УЗИ печени — надежный, простой, точный и доступный метод обследования печени, печеночных протоков и сосудов, а также желчного пузыря. Применяется в рамках комплексной и прицельной диагностики имеющейся патологии, а также для профилактических обследований.
Кому показано УЗИ печени
В первую очередь, исследование проводят при наличии жалоб со стороны пищеварительной системы:
- Боль и тяжесть в области правого подреберья.
- Тошнота, рвота.
- Вздутие живота.
- Нарушения стула — диареи, запоры.
- Желтуха.
- Чувство горечи во рту.
- Увеличение печени, определяемое пальпаторно.
- Увеличение биохимических показателей, свидетельствующих о патологии печени — билирубин, печеночные трансаминазы и др.
- Асцит — скопление жидкости в брюшной полости.
- Появление сосудистого рисунка в области живота.
- Необъяснимый зуд кожи.
УЗИ печени проводится и в рамках динамического наблюдения при уже установленных хронических заболеваниях:
- Гепатиты.
- Цирроз.
- Панкреатит.
- Инфекционный мононуклеоз.
- Малярия.
Подготовка к исследованию
УЗИ печени, как и УЗИ органов живота, требует несложной подготовки. В первую очередь, следует позаботиться о том, чтобы кишечные газы не мешали обследованию. Для этого за 2-3 дня до назначенного исследования необходимо исключить из рациона продукты, вызывающие газообразование. Некоторым пациентам врач может рекомендовать прием сорбентов и/или ферментных препаратов. Само исследование проводится строго натощак. Это важно, поскольку даже легкий перекус вызывает выброс желчи и уменьшение размеров желчного пузыря, что может исказить достоверность результатов. Для удобства, лучше назначать УЗИ печени на первую половину дня. Если это невозможно, необходимо, чтобы между последним приемом пищи прошло не менее 6 часов.
Как проводится исследование
Пациент располагается на кушетке лежа на спине. В область правого подреберья наносят гель и устанавливают датчик. Поскольку печень сканируется в нескольких проекциях, положение датчика меняется. Само исследование в норме безболезненно, но если пациент ощущает боль, он должен сообщить об этом врачу, поскольку это может оказаться значимым симптомом.
У здорового человека печень имеет однородную эхогенную структуру, края ее ровные и четкие. Размеры печени варьируют, а зависимости от роста человека, но в среднем показатели следующие:
- Размер правой доли в передне-задней проекции до 13 см.
- Размер левой доли до 7 см.
- Диаметр портальной вены до 1,3 см.
- Диаметр общего желчного протока до 0,8 см.
Если обнаруживаются патологические очаги, им дается подробное описание. В идеале врач еще распечатывает фотографии и отмечает особенности патологии для клинициста. Чаще всего обнаруживаются следующие патологии:
- Воспаление или гепатиты. Выглядят как диффузные изменения по всему органу. Край печени приобретает неровный и волнистый контур. Печень может увеличиваться в размерах, ткани отечны, имеют неоднородную эхогенную структуру.
- Цирроз — на начальных этапах вызывает увеличение размеров печени, но со временем, из-за замещения печеночной ткани, может наоборот, приводить к ее уменьшению. Эхогенная структура свидетельствует о склерозировании и изменении архитектоники сосудов.
- Жировая дистрофия — приводит к увеличению эхогенности органа, возможны специфические изменения паренхимы, которые обычно располагаются проксимально от ямки желчного пузыря.
- Опухоли — визуализируются как очаги с измененной эхогенностью. Если новообразование имеет большой размер, оно может приводить к выбуханию. Современные УЗИ сканеры экспертного класса обладают рядом функций, которые позволяют с высокой долей вероятности дифференцировать доброкачественные опухоли от злокачественных. Но окончательный диагноз все равно выставляется после биопсии.
УЗИ печени на сегодня является самым простым и доступным методом, позволяющим оценить структурные патологии органа. Из недостатков можно отметить только зависимость от квалификации персонала, проводящего исследование, и от класса оборудования. В сети клиник Евроонко используются УЗИ сканеры экспертного класса. Наши врачи проходят регулярное обучение и стажировки в ведущих центрах Европы.
Метастазы рака в печень
Метастазами называют вторичные очаги, которые возникают, когда раковые клетки из основной, «материнской», опухоли отрываются и мигрируют с током крови или лимфы в разные части тела. Метастазы могут возникать в разных органах. Зачастую их обнаруживают в печени.
Если опухоль изначально развивается из печеночной ткани, возникает первичный рак печени. Метастатический рак называют вторичным — он всегда происходит из других органов. Большинство злокачественных опухолей печени — вторичный рак.
Мне поставили метастазы в печени с первичным очагом в кишечнике. Очень надеялся, что успеем пролечить кишечник, но не успели — я долго тянул с бумагами в другой клинике. Так вот, когда они обнаружились — у меня, естественно, опустились руки, и я уже мысленно представил себе оставшиеся недели. Благо, в современное обезболивание я верю, а в то, что с поражениями в печени можно выжить — не верилось. Так оно и было бы, если бы я не попал к доктору Пылёву. Он нашёл выход. И это меня спасло.
Не помню точное название операции — оно очень длинное, с какими-то индексами, но, по сути, как Андрей Львович объяснил мне на пальцах — на моё счастье, три очага образовались в одной доле печени. На моё несчастье — в той что больше, а значит, важнее. Просто взять и отрезать её нельзя. Оставшийся кусок не выдержит нагрузки.
Решение состояло из двух операций. Первая — он как-то перенаправил кровоток в печени таким образом, чтобы меньшая часть печени получала больше крови чем та, что больше. За счет этого, малая доля начала расти! И значит, стала принимать на себя всё больше нагрузки. Чуть меньше чем через месяц она уже была такого размера, которого хватает на почти нормальную работу печени как органа.
Второй операцией он удалил заражённую долю. И малая теперь работает в одиночку, но адаптируется к нагрузкам.
Не думал, конечно, что мне в жизни придётся обо всём этом узнать, а тем более испытать на себе. Но, как сказал доктор, ещё недавно такие операции не проводились совсем. Вот уже прошло полгода после первоначального диагноза. Я думаю, их у меня не было бы, если бы не моя удача — попасть к этим докторам.
Хватит ли вообще каких-то слов, чтобы выразить благодарность от меня и детей? Не думаю. Но всё равно, спасибо им.
Откуда раковые клетки метастазируют в печень?
Метастатический рак печени часто происходит из легких, желудка, толстой и прямой кишки, молочных желез, пищевода, поджелудочной железы.
При раке легких, желудка и колоректальном раке метастазы в печени обнаруживаются в 50% случаев, при раке груди, меланоме — в 30% случаев.
Редко в печень метастазируют злокачественные опухоли матки и яичников, глотки, полости рта, мочевого пузыря, почек. Метастазы в печени при раке головного мозга практически не встречаются.

Почему многие опухоли метастазируют в печень?
Печень — один из самых больших органов. Она выполняет важные функции: очищает кровь от токсинов, вырабатывает желчь, производит разные белки, ферменты, хранит запасы гликогена, который является источником энергии.
Через печень проходит огромное количество крови — примерно 1,5 литра в минуту. Около 30-35% крови поступает по артериям, остальные 70-75% — по воротной вене от кишечника. Внутри печени находятся особые синусоидные капилляры (синусоиды), в которых кровоток замедляется, артериальная кровь смешивается с венозной, вместе они возвращаются к сердцу по нижней полой вене.
Такая особенная система кровоснабжения печени способствует распространению раковых клеток.

Прежде чем основать собственную «колонию» — метастатическую опухоль — в печени, раковой клетке приходится проделать длинный путь. Она должна оторваться от материнской опухоли, проникнуть в кровеносный или лимфатический сосуд, совершить путешествие по организму и осесть в печеночной ткани. Она может погибнуть (и многие раковые клетки погибают) на любом этапе.
До определенного момента материнская опухоль и иммунитет сдерживают рост метастазов. Мигрировавшие раковые клетки либо неактивны, либо размножаются очень медленно. Затем начинается их бурный рост. Ученым до конца не известно, почему это происходит. По мере того как раковых клеток в метастазе становится больше, они начинают вырабатывать факторы роста, которые стимулируют рост новых сосудов, питающих опухоль.
Как проявляются метастазы рака в печень? При каких симптомах нужно обратиться к врачу?
На ранних стадиях, как и при многих злокачественных опухолях, метастазы рака в печени никак себя не проявляют. Со временем очаги увеличиваются, начинают мешать кровотоку и оттоку желчи. Работа печени нарушается, возникают различные симптомы:
- Слабость, утомляемость, снижение работоспособности.
- Снижение веса вплоть до крайней степени истощения — кахексии.
- Ухудшение аппетита вплоть до анорексии.
- Тошнота, рвота.
- Землистый цвет кожи или желтуха.
- Тупые боли под правым ребром. Чувство тяжести, распирания, давления.
- Увеличение живота из-за водянки (асцита).
- Расширенные вены под кожей живота (зачастую картина весьма характерна: вены расходятся во все стороны от пупка и напоминают «голову медузы»).
- Сосудистые звездочки на коже.
- Учащение сердцебиения.
- Повышение температуры.
- Кожный зуд.
- Нарушение работы кишечника, вздутие живота.
- Кровотечения в пищеводе.
- Гинекомастия (увеличение и нагрубание молочных желез у мужчин).
Такие расстройства встречаются не только при раке печени. Конечно, нет поводов для паники, если из этого списка вас беспокоит только слабость, повышенная температура и вздутие живота.
Самые грозные симптомы, которые должны стать поводом для немедленного визита к врачу: упорная рвота: более 1 дня, более 2-х раз в день, рвота с кровью, быстрая необъяснимая потеря веса, стул черного цвета, сильное увеличение живота, желтуха.
Метастазы в любом органе, в том числе в печени, могут стать причиной постоянных мучительных болей.
Как диагностируют метастазы рака в печень?
Обследование может включать разные исследования и анализы:
- УЗИ печени — простой и доступный метод диагностики, его часто используют для скрининга. Но он не всегда помогает найти метастазы и получить о них нужную информацию.
- Методы визуализации: мультиспиральная КТ, МРТ, ПЭТ, ангиография (исследование, во время которого в сосуды вводят контрастное вещество). Помогают не только обнаружить метастазы в печени, но и оценить их размеры, количество, расположение, характер роста, обнаружить нагноение и распад, распространение в соседние ткани и органы.
- Зачастую для того чтобы назначить эффективное лечение, врачу нужно знать, какое строение опухолевая ткань имеет на микроскопическом уровне, насколько сильно раковые клетки отличаются от нормальных. Для этого проводят биопсию: фрагмент опухолевой ткани получают при помощи иглы (тонкоигольная аспирационная биопсия) или специального инструмента — трепана (кор-биопсия, трепанобиопсия). Процедуру проводят под контролем УЗИ.
- Анализы крови, в частности, на уровень печеночных ферментов, помогают понять, насколько сильно нарушена работа печени.
«Во время биопсии в опухоль втыкают иглу. Могут ли из-за этого раковые клетки отрываться и метастазировать?»
Это миф. Биопсия не повышает риск метастазирования.
Зачастую во время обследования сначала выявляют метастазы в печени, а затем начинают искать первичную опухоль. Задачу облегчает биопсия: зная, как выглядят под микроскопом раковые клетки, врач может понять, из какого органа они происходят.
Как лечат метастазы в печени?
Тактика лечения будет зависеть от некоторых факторов:
- Количество метастазов: являются ли они одиночными или множественными.
- Тип рака.
- Выраженность нарушений работы печени и других органов.
Основные методы лечения — те же, что и при других онкологических заболеваниях. Одиночные метастазы (или несколько небольших) можно удалить хирургическим путем. Проводят долевую, сегментарную, атипичную резекцию (удаление части органа).
Назначают курсы химиотерапии, лучевой терапии.
Врачи «Евроонко» в Москве применяют современный метод лечения метастатического рака печени, который часто практикуется в зарубежных клиниках — чрескожную чреспеченочную радиочастотную аблацию (РЧА).
Результаты лечения
3C — уменьшение метастазов после радиочастотной аблации (РЧА)
3D — результат терапии через 6 месяцев
Во время процедуры в метастаз вводят специальную иглу-электрод и подают через неё радиоволны, которые уничтожают раковые клетки. В итоге происходит контролируемый асептический некроз опухоли без повреждения окружающих здоровых тканей. Это позволяет значительно повысить выживаемость и снизить риск рецидива.
РЧА уникальна тем, что её можно применять повторно, если в печени выявлены новые метастазы. Методику успешно применяют при первичном раке печени, когда одновременно имеется цирроз и высокий риск печеночной недостаточности.
Например, мы смогли добиться стойкой ремиссии и, возможно, полного выздоровления у одной пациентки, у которой был диагностирован рак молочной железы с одиночными метастазами в печени. Врачи клиники «Евроонко» в Москве выполнили радикальную мастэктомию и долевую резекцию печени, которые были дополнены курсом химиотерапии.
Также хороший результат был достигнут у пациента с раком толстой кишки и пятью небольшими метастазами в разных долях печени. Мы выполнили резекцию (удалили часть кишки), провели курс химиотерапии и радиочастотную аблацию печени.
Лечение метастазов рака в печень имеет некоторые сложности. Например, метастатический рак часто не реагирует на препараты, которые помогали против первичной опухоли. Приходится подбирать оптимальную терапию, комбинировать разные виды лечения. Плохо реагируют метастазы в печени и на системную химию. Наилучший эффект дает введение препаратов в печеночную артерию.
Химиопрепараты помогают замедлить рост метастазов, уменьшить их количество, продлить жизнь больного и избавить от мучительных симптомов. На ранних стадиях курс химиотерапии снижает риск метастазирования. В случаях, когда это необходимо, наши врачи применяют имплантируемые венозные и артериальные порт-системы, регионарную инфузию химиопрепаратов внутриартериально.
Лучевая терапия при метастазах рака в печень помогает избавиться от боли, но не увеличивает продолжительность жизни.
Эмболизация — перспективный метод лечения метастазов в печени и других злокачественных опухолей, который применяется в отделении интервенционной онкологии и эндоваскулярной хирургии. Суть метода состоит в том, что в сосуд, питающий опухоль, вводят специальный препарат, который нарушает приток крови.
Наиболее эффективна химиоэмболизация, когда в сосуд вводят микросферы, которые выделяют химиопрепарат. Химиоэмболизация в настоящее время — «золотой стандарт» лечения в случаях, когда не удается выполнить хирургическое удаление опухоли или трансплантацию.
Во время химиоэмболизации достигается двойной эффект. Микросферы перекрывают кровоток, лишая опухоль необходимых веществ, а выделяющийся химиопрепарат атакует опухолевые клетки.
В «Евроонко» доступны все существующие препараты для химиоэмболизации.
Восстановление печени после удаления метастаза
Если после хирургического лечения по поводу метастазов в печени при 4 стадии рака в органе больше не обнаруживаются раковые клетки, врач порекомендует делать снимки (УЗИ, КТ или МРТ) и сдавать анализы (на уровень альфа-фетопротеина, веществ, которые характеризуют функцию печени) раз в 3-6 месяцев в течение первых двух лет, затем — раз в 6-12 месяцев. Это помогает вовремя обнаружить рецидив или возможные побочные эффекты лечения.
Ускорить восстановление печени и всего организма помогает здоровая диета, физическая активность в соответствии с рекомендациями врача.
Какие могут возникать осложнения? Когда нужны экстренные меры?
Опухоль в печени может сдавить воротную вену, нижнюю полую вену, желчные протоки. В последнем случае нарушается отток желчи. Содержащийся в ней токсичный продукт распада гемоглобина — билирубин — начинает поступать в кровь. Кожа, склеры и слизистые оболочки окрашиваются в желтый цвет — возникает механическая желтуха. Это состояние опасно тем, что билирубин токсичен для головного мозга и других органов, сильное повышение его уровня может привести к гибели. Кроме того, из-за механической желтухи невозможно выполнить операцию и провести курс химиотерапии.
Отток желчи восстанавливают хирургическим путем, под контролем УЗИ (пункционная холангиография) или рентгенотелевидения. Дренирование бывает двух видов:
- Наружное — желчь выводится наружу.
- Наружно-внутреннее: часть желчи выводится наружу, часть — в просвет кишечника.
Если опухоль сдавливает несколько желчных протоков в разных частях печени, устанавливают несколько дренажей. Врачи «Евроонко» применяют современный метод одномоментного стентирования. При этом наружный дренаж оставляют всего на 1-2 дня, либо можно обойтись вовсе без него.
Каковы прогнозы при метастазах рака в печень?
Пациентов, которые поступают в клиники «Евроонко» с таким диагнозом, в первую очередь волнует вопрос: «можно ли вылечить метастазы в печени при раке 4 стадии?». Эффективность лечения будет зависеть от типа рака, его молекулярно-генетических характеристик, местоположения и степени злокачественности опухоли. Большинство пациентов, после того как у них впервые выявлены метастазы в печени, живут в течение 6-18 месяцев. При раке толстой и прямой кишки, после больших циторедуктивных операций прогноз более благоприятен.
Если метастазы имеются не только в печени, но и в других частях тела, например, метастазы в печени и костях, прогноз ухудшается. Но и при этом возможно хирургическое лечение.
Врачи «Евроонко» имеют большой опыт в комбинированном лечении метастазов в печени. Благодаря этому мы можем существенно продлевать жизнь пациентов. Самые лучшие результаты удается получать, когда в печень метастазирует рак толстой кишки. У нас разработаны четкие критерии, руководствуясь которыми, иногда мы можем воздержаться от хирургического лечения, если очаги обнаружены в обеих долях печени. В таких случаях лечение начинается с курса химиотерапии.
Если метастазы в печени возникли при опухоли легкого, поджелудочной железы, желудка и др., удаление части печени как самостоятельный метод лечения малоэффективно, но оно может хорошо работать в сочетании с химиотерапией.
Если одновременно имеются метастазы в печени и лимфатических узлах, это существенно ухудшает прогноз. Пятилетняя выживаемость снижается примерно в два раза. Но и в этом случае все еще возможно лечение.
Где лечить метастазы печени в России?
Многие российские пациенты, столкнувшись с этим страшным диагнозом — «рак с метастазами» — считают, что это приговор, и ничего сделать уже нельзя, либо эффективную помощь получить можно, но лишь за границей. На самом деле в России доступны все современные технологии и препараты. Современную квалифицированную помощь можно получить в клиниках «Евроонко».
| Подробнее о лечении в «Евроонко» | |
| Скорая помощь для онкологических больных | от 12 100 руб |
| Паллиативная терапия в Москве | от 35 000 руб в сутки |
| Консультация онколога в «Евроонко» | от 5 100 руб |
| Приём химиотерапевта | 6 900 руб |
Мы считаем, что помочь можно всегда, и поэтому беремся за лечение пациентов с онкологическими заболеваниями на любой стадии. Наши доктора имеют большой опыт, проводят сложные инвазивные процедуры и хирургические вмешательства, химиотерапию по международным протоколам. Мы знаем, как помочь.
Список литературы:
[1] The prognostic value of tumor cells blood circulation after liver surgery for cancer lesions — Patiutko IuI, Tupitsyn NN, Sagaĭdak IV, Podluzhnyĭ DV, Pylev AL, Zabezhinskiĭ DA. — Khirurgiia (Mosk). 2011;(6): 22-6.
[2] Surgical and combined treatment of multiple and bilobar metastatic affection of the liver. — Patiutko IuI, Sagaĭdak IV, Pylev AL, Podluzhnyĭ DV. — Khirurgiia (Mosk). 2005;(6): 15-9.
[4] Десятилетняя выживаемость больных злокачественными опухолями печени после хирургического лечения — Ю. И. Патютко, А. Л. Пылёв, И. В. Сагайдак, А. Г. Котельников, Д. В. Подлужный, М. Г. Агафонова. — Анналы хирургической гепатологии 2010.
[5] Surgical and combined treatment of patients with metastatic liver and lymph nodes invasion by colorectal cancer — Patiutko IuI, Pylev AL, Sagaĭdak IV, Poliakov AN, Chuchuev ES, Abgarian MG, Shishkina NA. — Khirurgiia (Mosk). 2010;(7): 49-54.
Диагностика рака печени
Как правило, новообразование печени впервые обнаруживают при УЗИ, однако чувствительность метода не позволяет выявить все малые опухоли и все имеющиеся узлы. К примеру, для выявления мелких метастазов, которые могут быть наряду с первичной опухолью, разрешающих возможностей ультразвукового исследования недостаточно. В то же время УЗИ навигация помогает контролировать выполнение чрескожной биопсии, что неотъемлемо при интервенционных вмешательствах и полезно в наблюдении за течением процесса.
Для первичной диагностики рака печени УЗИ не пригодно.
Как ставят диагноз рака печени?
В стандарты диагностики рака печени включены компьютерная (КТ) и магнитно-резонансная томографии (МРТ) обязательно с контрастными веществами, выявляющие типичную для гепатоцеллюлярного рака (ГЦР) васкуляризацию (сосудистую структуру) опухоли. Кровоснабжение опухоли идёт из других сосудов, нежели остальная ткань печени. В большинстве случаев злокачественные опухоли печени возникают на фоне хронической патологии, что тоже вносит изменение в картину КТ и МРТ, но есть типичные для каждого состояния моменты выведения контрастного вещества, которые хорошо знают специалисты.
Международные рекомендации считают доказанным гепатоцеллюлярный рак при независимой фиксации изменённого кровоснабжения печени во время динамической КТ и МРТ.
В России выполнение сразу двух исследований обычно не проводят, бывает достаточно и одного, но с совершенно типичной для рака картиной васкуляризации, не оставляющей каких-либо сомнений. Это может быть на выбор КТ с контрастным усилением или МРТ, то есть любой доступный метод объективной лучевой визуализации. Исследования позволяют оценить распространение злокачественного процесса, установить его стадию, оценить состояние всей печени.
Позитронно-эмиссионная томография для первичной диагностики рака печени пока не рекомендуется.

Биопсия печени
Биопсия позволяет получить морфологическое подтверждение рака. Но и при отрицательном результате нельзя отказаться от диагноза - в подобных случаях требуется динамическое наблюдение с регулярными контрольными обследованиями. Биопсию печени не стоит относить к методам «научно-обоснованного тыка» - манипуляции в глубине организма сложны, а современное оборудование даёт возможность контролировать нахождение иглы и с математической точностью подводить её к нужному месту.
Полученный при биопсии материал может быть малоинформативным совсем не по вине хирурга, а из-за особенностей строения и патологических изменений печени пациента, тем более при наличии цирроза или хронического гепатита.
Биопсия проводится тонкой иглой, так и называется «аспирационная тонкоигольная биопсия печени», когда насасывается материал.
Биопсия столбика ткани предпочтительнее, она именуется «кор-биопсия», но чаще русско-английской смесью «core-биопсия».
Манипуляция малоприятна, но больше психологически, чем физически. В хороших хирургических руках осложнения довольно редки. Вероятность кровотечения из-за повреждения сосуда составляет едва ли 1-2%. Опасения распространения опухолевых клеток по пункционному каналу оправданы, но при среднем полуторагодичном наблюдении такое возможно максимально в 11% случаев.
Биопсию печени не проводят, если изменённой в результате цирроза печени во время мультифазной компьютерной томографии выявлена васкуляризация, характерная для гепатоцеллюлярного рака, и диагноз подтверждается на контрастной МРТ.
Биопсия опухоли обязательна, если:
- новообразование печени без признаков цирроза;
- опухоль больше 2 см и на КТ и МРТ нетипичная васкуляризация;
- опухоль менее 2 см с типичным для ГЦР кровотоком, выявленном любым методом объективной визуализации;
- неоднозначная трактовка исследований при отсутствии изменений альфа-фетопротеина (АФП).
Биопсия не показана:
- не предполагается лечение из-за тяжёлой сопутствующей патологии;
- не планируется лечение из-за декомпенсированного цирроза печени;
- планируется резекция печени.

Лабораторные тесты
Анализы показывают функциональные возможности печени, но не способны что-либо сообщить о наличии или отсутствии злокачественной опухоли. То есть расскажут о циррозе и гепатите, но рак на показателях не отражается.
Роль альфа-фетопротеина (АФП) в диагностике рака печени несколько преувеличена. Этот маркёр повышается при любой патологии печени (и не только печени). При выявлении небольшого гепатоцеллюлярного рака АФП повышается у пятой части больных. Но при высоких показателях в несколько сот единиц и нарушениях васкуляризации при КТ или МРТ опухоли более 2 см, конечно, сомнений в злокачественности быть не может.
Наряду с методами визуализации маркёр АФП используется для контроля эффективности лечения рака печени, поскольку увеличивается при формировании сосудов в растущей опухоли.
Метастазы печени на УЗИ (продолжение)
«Знак удара». Нормальные краевые выпуклости на УЗИ печени уже обсуждались несколько раз, включая квадратную долю, хвостатую долю, инфраренальную выпуклость и некоторые диафрагмальные выпуклости.
«Знак ребра». Печеночный край может иметь несколько округлых зон, которые не являются патологическими. Я уже указывал на изменчивость длины левой доли и ее последствия в отношении края, зоны вхождения ложной связки и правой стороны нижнего края. Вообще говоря, патологические выпуклости имеют короткий радиус, который нарушает гармонию контуров.

Гипоэхогенные регионы. В некоторых наклонных рекуррентных срезах на УЗИ желчный пузырь может давать вид округлого гипоэхогенного очага внутри паренхимы печени. Как только анатомия желчного пузыря становиться понятной, это не должно вызывать никаких проблем. Тем не менее, иногда, если есть сомнения, можно дать жирную пищу для сокращения желчного пузыря. Другие гипоэхогенные изображения в печени могут быть венозными. Возможно получить изображения поперечных срезов сосудов, которые имеют округлый вид и могут возникать из печеночных или портальных вен. Расширенные вены, особенно слияние средней и левой печеночных вен, могут также приводить к появлению кистозных поражений. Такая дилатация может встречаться даже при отсутствии стазиса. Различие между сосудами и кистозными поражениями легко сделать, изучая по УЗИ ход ветвление сосудов, а также их стенок или с помощью цветного ультразвукового допплера.
Как уже упоминалось, когда речь идет о частичном стеатозе, существует другой тип неоднозначного изображения, которое раньше считалось крайне редким, но это наблюдается у многих пациентов с ожирением. У таких пациентов иногда можно увидеть яйцевидную область, которая является гипоэхогенной и, по-видимому, внутрипеченочной. Это видимая «опухоль» находиться позади ворот и около шейки желчного пузыря. Однако часто регистрируется несколько несоответствий. В некоторых косых срезах нижний полюс образования находился очень близко к желудку, тогда как в других он находится вблизи ворот. Радионуклидное сканирование было нормальным, и срезы КТ не показали никаких признаков массы. С тех пор я научился распознавать этот образ и довольно часто находил его у толстых людей. «Хиларная подушка» всегда показывает один и тот же гипоэхогенный вид, а в случае ее присутствия постоянно находится непосредственно перед ложем желчного пузыря.
Как уже упоминалось, «хиларные подушечки», которые я первоначально не мог объяснить, связаны с частичным стеатозом: гипоэхогенная область является нормальной тканью в сегменте 4, окруженная гиперэхогенной жировой инфильтрацией. Снижение кровотока в 4 сегменте объясняет это распределение стеатоза. Подобные изображения обнаруживаются в других сегментах, таких как сегмент 5, рядом с желчным пузырем. Стеатоз может вызвать другие запутанные изображения, на этот раз гиперэхогенные.
Гиперэхогенные регионы. Частичный стеатоз приводит к появлению на УЗИ печени гиперэхогенных полей, напоминающих инфильтративные метастазы. Но неповрежденные вены пересекают жировую инфильтрацию, тогда как от метастазов вены деформируются. Анализ внутрипеченочных вен позволяет уточнить запутанные изображения узлового стеатоза. И здесь узелки пересекаются неповрежденными венозными ветвями, которые никогда не отображаются в метастатических узлах. Путем реконструкции трехмерной анатомии с последовательным ультразвуковым сканированием в реальном времени портальная борозды, междолевая борозда и венозная связка были правильно идентифицированы.
Общие ультразвуковые особенности печеночных метастазов в единичных узлах
Одиночные узелки влияют на эхоструктуру локально, что приводит к изолированной гипоэхогенной области, изолированной области, повышенной эхогенности или узлу типа «яблочко». Когда они поверхностны, они могут изменить печеночный контур и произвести локализованную выпуклость. Часто узелок как правило локальный, и для выявления более тонких нарушений необходимо тщательное обследование остальной части печени. Субдиафрагмальные отложения брюшины, ущемляющие купол печени, могут имитировать маргинальные печеночные метастазы.
Несколько узловых образований печени на УЗИ
В этих случаях присутствуют выпуклости и изменения контура, а также аномалии текстуры. Может быть гепатомегалия. Несколько узлов могут также привести к появлению «снежной бури» или появлению «сита». Чаще всего различные типы поражений присутствуют в комбинации. Наблюдение нескольких метастазов требует идентичных плоскостей сканирования для каждого последующего обследования. Это требует точных анатомических ориентиров. Нумерация и измерение каждого отдельного узла являются обязательными этапами обследования.
Гистологические корреляции с ультразвуковым исследованием метастазов печени
Было бы неправильно вводить гистологический диагноз происхождения метастазов из ультразвукового исследования. По моему опыту, морфологические проявления метастазов из каждого типа первичной опухоли слишком различные, чтобы можно было даже предположить. Мне удалось найти только один относительно постоянный вид: метастазы из меланомы, которые я видел, и они обычно имеют тип «сита». Многие врачи УЗИ утверждают, что метастазы из желудочно-кишечного тракта и особенно толстой кишки очень гиперэхогенные. Это, несомненно, часто так. Но у меня сложилось впечатление, что с улучшением сканеров разнообразие видимых повреждений увеличилось. Отложения разных морфологических типов могут быть обнаружены у одних и тех же пациентов и в разных эволюционных фазах.
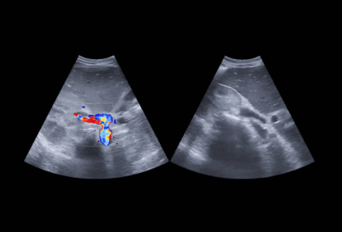
Гиперваскуляризированные метастазы в печени являются исключительным явлением, обычно возникающим из почечно-клеточного рака. Поэтому цветовой допплер редко бывает положительным при метастазах. Цветовой допплер более полезен при изучении взаимосвязей образований с ветвями сосудов печени.
Наилучшим решением проблемы определения первичного очага или метастаза, если необходимо принимать решение, является пункционная биопсия. Нередко сама ультрасонограмма будет показывать как первичную опухоль, так и метастатическую (рак почки, рак поджелудочной железы).
По сути, УЗИ печени является неотъемлемой частью всего обследования брюшной полости и никогда не проводится в одиночку. Обследование верхней части живота включает исследование брюшной полости и забрюшинного пространства, и полное обследование обоих зон позволит зафиксировать наличие первичных опухолей или связанных с ними признаков. Это особенно важно для лимфомных поражений, таких как увеличенные лимфатические узлы, злокачественный асцит или плевральные выпоты.
Читайте также:
- Активность фибринолитической системы регуляции гемостаза. Тромбоз
- Диагностика множественного рака желудка. Пример множественного рака желудка
- Гипомиелинизация головного мозга на КТ, МРТ
- Бактериальная диарея
- Приобретенная эпителиома беспигментного эпителия цилиарного тела: признаки, гистология, лечение, прогноз



