УЗИ, МРТ при мальформации синуса твердой мозговой оболочки плода
Добавил пользователь Alex Обновлено: 30.10.2025
SOME CLINICAL MANIFESTATIONS OF INTACRANIAL VENOUS HYPERTENSION
IN ONE-SIDED APLASIA AND HYPOPLASIA OF SIGMOID AND TRANSVERSAL DURA
MATER VENOUS SINUSESV. Gongalsky, A. V. Basov, A. V. Gololobov (Kiev, Ukraine)
Head of Ukrainian Institute of Neurology and Muscle-skeletal Medicine, «Meddiagnostica» Center
The spectrum of possible accompanied clinical manifestations in 48 patients with MR-signs of venous transversal and sigmoid sinuses one-sided aplasia or hypoplasia was investigated. This innate anomaly was used as a clinical model of intacranial venous hypertension. The neurology status, accompanying clinical manifestations and laboratory data (to exclude of thrombosis) were taken into account. The duplex scanning dynamics’ of different vascular brain’s beds (including intracranial venous phase in corresponded vascular beds) were monitored before and after nonsurgical decreased intracranial venous pressure. In the case of one-side outflow insufficiency through malformed sinuses the following was observed: instability of blood pressure (75 %), vestibulopathy (nonorganic vertigo) (68,9 %); cephalgia (included hemicrania) (64,4 %); pain in occiput region (62,2 %), blocked or noised ears coupled with vestibulopathy (33,3 %); pain in orbit taken with occipital pain (28,8 %); feeling of lump in a throat (28,8 %); brainstem’s sensitivity changes (Solder zones) (20 %); onesided minimal insufficiency of pyramidal tract (17,8 %); vagotony (6,7 %). The most of the mentioned clinical manifestations were present simultaneously and had the marked tendency for regressing after bloodstream accelerating in the deep intracranial venous beds. Such vinous outflow bloodstream redistribution from its so-called “main” way (with signs of insufficiency) to the deep venous vessels is a significant factor for brain’s bloodstream compensation.
Key words: aplasia of dura mater sinuses, hypoplasia of dura mater sinuses, cerebral venous outflow, increased intracranial venous pressure, intracranial venous hypertension, headache, vestibulopathy, hemicrania.
Изучен спектр возможных сопутствующих клинических проявлений у 48 человек с МР-признаками односторонней аплазии или выраженной гопоплазии поперечных и сигмовидных синусов твёрдой мозговой оболочки головного мозга. Эта врождённая аномалия была использована в качестве клинической модели внутричерепной венозной гипертензии. Учтены неврологический статус, сопутствующие клинические признаки, лабораторные показатели (в том числе исключение тромбоза). Отслежена динамика УЗИ показателей мозгового кровотока в различных сосудистых бассейнах головного мозга (включая показатели венозной фазы кровотока в соответствующих венозных бассейнах) до и после нехирургической коррекции внутричерепного венозного давления. При одно сторонней недостаточностью кровотока в синусах мозга отмечалась нестабильность артериального давления (75,5 %); дисфункция вестибулярного аппарата (68,9 %); цефалгия, в том числе односторонняя (64,4 %); боль в затылочной области (62,2 %), заложенность или шум в ушах в сочетании с вестибулопатией (33,3 %); боль в области глазницы (28,8 %); ощущение комка в горле (28,8%); изменение чувствительности в зонах Зельдера (20 %); признаки минимальной односторонней пирамидной недостаточности (17,8 %); ваготония (6,7 %). Большинство перечисленных клинических признаков отмечались одновременно и имели устойчивую тенденцию к регрессу после интенсификации кровотока в глубоких венозных бассейнах мозга. Такое перераспределение венозного оттока с его «основного» (с признаками недостаточности) пути в бассейн глубоких вен мозга является важным фактором компенсации мозгового кровотока.
Введение. Вопрос внутричерепной венозной гипертензии (ВВГ) клинически значим в неврологии. Согласно данным М. Я. Бердичевского и соавт. [1], причина ВВГ заключается в механическом затруднении венозного оттока из полости черепа. Данные литературы и наших исследований 3 показывают, что клинические признаки у больных с нарушением церебральной венозной гемодинамики разноплановые, в ряде случаев недостаточно специфические [1].
Полагают, что синусы твёрдой мозговой оболочки являются основным венозным коллектором, обеспечивающим отток венозной крови от головного мозга, но он может быть блокирован вследствие тромбоза синусов [1]. Изменять отток может и врождённая аномалия развития поперечных и сигмовидных синусов твёрдой мозговой оболочки при их аплазии или гипоплазии [5].
Противоречивость в оценке причин и характера сопутствующих клинических проявлений при повышении внутричерепного венозного давления мотивировали нас провести поисковые клинические исследования. В качестве объекта исследования мы выбрали категорию больных с врождённой односторонней аплазией или выраженной гипоплазией магистральных синусов твёрдой мозговой оболочки. Согласно устоявшемуся мнению о ведущей роли синусов твёрдой мозговой оболочки в оттоке крови из мозга [1], одностороння аплазия или гопоплазия синусов должны ощутимо менять (затруднять) венозный отток. По данным F. Alper и соавт. [5], носителями такой аномалии являются 24 % популяции человечества.
Цель исследования - изучить спектр возможной клинической симптоматики при ВВГ, обусловленной врождённой асимметрией сечения синусов твёрдой мозговой оболочки.
Материалы и методы. Выборочно проанализированы результаты аппаратного и клинического обследования 48 лиц с МР-признаками снижения или отсутствия кровотока в синусах головного мозга. В выборку входили пациенты, прошедшие МРТ-исследование в центре «Меддиагностика» с 2006 по 2014 г. Возраст больных - от 10 до 71 года. Отбирали первые пять обследуемых за каждый год с МРТ-признаками аномалии венозных синусов головного мозга, которых наблюдали и лечили в центре. В стандарт исследования, кроме МРТ головного мозга в аксиальной, сагиттальной и фронтальной плоскостях в режимах ТІ и ТІІ, была включена расширенная МР-реконструкция сосудов головы c визуализацией венозной фазы мозгового кровотока. Исследования проводили на МРТ-оборудовании открытого типа Aperto Eterna 0.4 Т производства Hitachi Medical Corporation (Япония). Для получения трёхмерного изображения венозных интракраниальных структур изображения обрабатывали с помощью последовательности 3D Phase Contrast.
Клиническая часть работы включала опрос, осмотр, учет неврологического статуса, лабораторные исследования (в том числе для исключения тромбоза синусов), аппаратное дуплексное сканирование сосудов головы и шеи (Phillips HD11-XE) c оценкой венозного кровотока в магистральных и глубоких венозных бассейнах головного мозга. Критерием взаимосвязи изучаемых признаков с ВВГ служила динамика клинической симптоматики и сонографический контроль со стояния венозного кровотока в различных венозных бассейнах мозга.
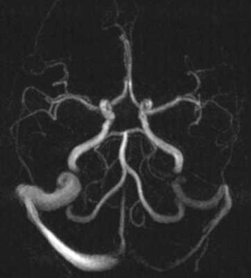
Исключали клинически значимую кардиологическую и лёгочную патологию. Обработку полученных данных проводили при помощи пакета статистических программ SPSS 10 с использованием критериев Стьюдента и Манна - Уитни. Результаты и их обсуждение. Учёт венозной фазы кровотока при МРТ-реконструкции сосудов головного мозга позволил верифицировать варианты развития поперечного и сигмовидного венозных синусов в виде их гипоплазии (рис.1) и полной аплазии (рис. 2).
 
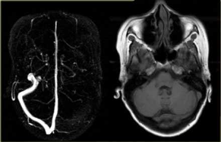
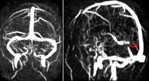
Рис. 1. МРТ-визуализация сосудов головного мозга с венозной фазой мозгового кровотока. Гипоплазия левого сигмовидного и поперечного венозных синусов головного мозга. Существенное снижение кровотока в левых сигмовидном и поперечном синусах. Асимметрия кровотока в яремных венах - 86 и 14 %
 
Рис. 2. МРТ-визуализация сосудов головного мозга с венозной фазой мозгового кровотока. Отсутствует кровоток в левых сигмовидном и поперечном синусах. Асимметрия кровотока в яремных венах - 98 и 2 % (аплазия синусов)
Проанализированы сопутствующие клинические признаки у пациентов с односторонней гипоплазией и аплазией венозных синусов (рис. 3). Основными изних были:
- изменение артериального давления преимущественно с тенденцией к его повышению (34 из 48 обследованных - 75,5 %); при этом лишь у 3 пациентов констатировали гипотонию, из них 2 были в возрасте 10 лет с брадикардией, которую расценивали и зарегистрировали как ваготонию;
- вестибулопатия (68,9 %), к которой отнесли головокружение в сочетании с шумом в ушах (голове), ощущением заложенности в ушах. Клинически дис функцию вестиблярного аппарата верифицировали в виде преимущественно несистемного головокружения, лёгкой степени неустойчивости в позе Ромберга, неуверенности или промахивании при выполнении пальценосовой пробы. У 2 пациентов старшей возрастной группы (73 и 74 года) головокружение носило системный характер;
- цефалгия (в том числе гемикрания) у 64,4 % больных;
- боль в затылке - у 62,2 %;
- заложенность или шум в ушах (жалобы, которые в большинстве случаев сочетались с вестибулопатией) имели место у 33,3 % обследуемых;
- боль в глазнице с одной или двух сторон, чаще в сочетании с болью в затылке (синдром Баррэ - Льеу) - у 28,8 % пациентов;
- эпизоды ощущения комка в горле, затруднения глотания, онемения губ, языка, тошноты - у 28,8 %;
- асимметричные изменения чувствительности в зонах Зельдера - у 20 % обследуемых;
- признаки лёгкой или скрытой, как правило, односторонней пирамидной и экстрапирамидной недостаточности - у 17,8 % лиц;
- брадикардия как признак ваготонии - у 6,7 %.
Обследуемые больные были амбулаторными, с минимальной церебральной дисфункцией и без выраженного неврологического дефицита. В результате про ведённые лечебные мероприятия, направленных на интенсификацию венозного кровотока с его ускорением в глубоких венозных бассейнах, получен положительный клинический эффект. Некоторые из предъявляемых жалоб, такие как вестибулопатия, цефалгия, боль в затылке, боль в глазницах и другие, частично или полностью регрессировали. При этом сонографически определялось статистически достоверное (Р < 0,01) увеличение скоростных показателей венозного кровотока в глубоких венах мозга. Показатели кровотока в яремных венах если и менялись, то в статистически недостоверных пределах (Р >0,5).
 
Рис. 3. Частота клинических признаков у больных с МР-признаками односторонней гипоплазии и аплазии сигмовидного и поперечного синусов головного мозга (объяснение в тексте)
Проведённые нами ранее исследования [2, 3] позволили определить некоторые характеристики венозного оттока по глубоким венам головного мозга при различной сопутствующей нозологии. Вместе с тем механизмы перегрузки венозных бассейнов, а также спектр вторичных неврологических проявлений были не ясны. Настоящее исследование позволило констатировать один из видов механического препятствия венозному оттоку и использовать его в качестве клинической модели ВВГ.
Оказалось, что для регресса некоторых видов вторичной неврологической симптоматики при ВВГ достаточно интенсифицировать кровоток в глубоких венозных бассейнах и тем самым разгрузить «основной» (синусы твёрдой мозговой оболочки) путь оттока из полости черепа.
Авторы отдают себе отчёт в том, что величина выборки в проведённом скрининговом исследовании и глубина анализа данных позволили определить клинически важную тенденцию, но не весь спектр и характер проявлений данной патологии. Для понимания сути и механизмов описанной нозологии необходимы дальнейшие исследования, которые в настоящее время проводятся.
Выводы. Врождённая односторонняя аплазия или гипоплазия поперечного и сигмовидного синусов твёрдой мозговой оболочки мозга - это клинически значимая аномалия, которая способствует формированию ВВГ и сопутствующей ей симпто матики. Целенаправленная интенсификация венозного кровотока в глубоких венах мозга уменьшает ВВГ и способствует регрессу клинической симптоматики.
Применение МРТ в исследовании вен головного мозга
Роль расстройства венозного кровообращения в происхождении и течении сосудистых заболеваний головного мозга длительное время недооценивалось. Это объясняется имевшимися ранее трудностями прижизненной оценки церебральной венозной гемодинамики при использовании традиционных методов регистрации венозного кровотока в сосудах головного мозга, а также недостаточным вниманием со стороны исследователей данному разделу ангиологии.
Появление современных методов нейровизуализации, в частности МРТ диагностики, значительно облегчило выявление подобных заболеваний.
Рассмотрим несколько примеров патологических процессов, выявляемых методом МРТ диагностики с применением МР-венографии.
ТРОМБОЗ ВЕН И СИНУСОВ МОЗГА
Причиной развития тромбоза вен и синусов твердой мозговой оболочки могут быть септические поражения, травмы, сдавление синуса опухолью, системные поражения соединительной ткани.
Кроме того синус-тромбозы могут развиваться по причине тромбофлебита конечностей или воспалительных очагов в организме (в послеродовом периоде, после аборта, при инфекционных заболеваниях, а также заболеваниях ушей и придаточных пазух носа).
С учетом возраста пациента, степени развития коллатерального кровообращения, а также локализации патологического процесса, клинические проявления венозных тромбозов достаточно вариабельны и неспецифичны.
Выделить типичные клинические проявления синус-тромбоза весьма сложно, но наиболее частыми начальными симптомами являются следующие: 
1. головная боль 
2. отек диска зрительного нерва (признак внутричерепной гипертензии) 
3. фокальный неврологический дефицит 
4. нарушения сознания (появляются в случае поражения вещества головного мозга в виде прогрессирующего отека, развивающегося инфаркта или кровоизлияния).
В случае поражения синусов общемозговые симптомы зависят от величины и скорости нарастания тромбоза.
Очаговые симптомы развиваются при вовлечении в процесс вещества головного мозга, т.е. при развитии коркового венозного инфаркта. Появляются корковый моторный дефицит, корковые симптомы и припадки, соответственно локализации пораженного синуса.
При возникновении клинической картины тромбоза вен и синусов головного мозга на МРТ в большей части случаев обнаруживается признаки обширных зон ишемии и геморрагии. Однако в некоторых случаях при стандартных методах нейровизуализации выявить изменения в паренхиме мозга не удается.
Методом выбора в подобных случаях является магнитно-резонансная томография (МРТ) головного мозга с применением МР-венографии.

Тромбоз правого поперечного синуса - гипоинтенсивные участки по Т2 (внутриклеточный дезоксигемоглобин).
Для подтверждения тромбоза венозного синуса и определения точной локализации и протяженности тромба необходимо проведение МР-венографии.

МР-венография - отсутствие визуализации кровотока в правом поперечном синусе и яремной вене.

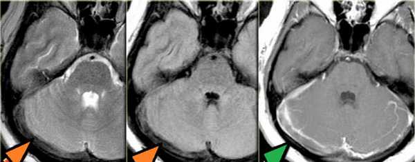
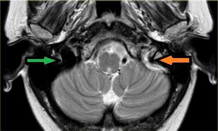
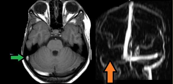
МРТ головного мозга: справа (зеленая стрелка) на Т2-взвешенном изображении отмечается имеющийся в норме феномен «пустоты потока» от правого сигмовидного синуса и яремной Вены. Слева (оранжевая стрелка) отмечается аномально высокий сигнал, в результате, вероятнее, тромбоза. Для подтверждения синус-тромбоза и окончательного определения локализации и протяженности тромбоза необходимо проведение МР-венографии.

МР-венография: тромбоз левого поперечного синуса. Отмечается потеря МР-сигнала от левого поперечного синуса. 
Наличие визуализации синуса на «сырых» данных или же МРТ головного мозга подтверждает тромбоз синуса и исключает его гипоплазию.

МР-венография: тромбоз правого поперечного синуса. Отмечается потеря МР-сигнала от правого поперечного синуса. 
Наличие визуализации синуса на «сырых» данных или же МРТ головного мозга подтверждает тромбоз синуса и исключает его гипо- и аплазию.

Тромбоз правого поперечного синуса. Отсутствие феномена «пустоты потока» от правого поперечного синуса на МРТ головного мозга. Отсутствие визуализации правого поперечного синуса на МР-венографии.
Как указывалось выше, в случаях возникновения клинической картины церебрального венозного тромбоза по ходу вен и синусов на МРТ головного мозга в части случаев обнаруживается зона ишемии и геморрагии.

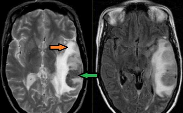
МРТ головного мозга: отмечается сочетание вазогенного (оранжевая стрелка), цитотоксического отека и кровоизлияния (зеленая стрелка). Данная МР-картина, а также расположение патологической зоны в проекции височной доли, заставляет задуматься о геморрагическом венозном НМК вследствие тромбоза вены Лаббе. Для подтверждения необходимо проведение МР-венографии или МРТ с контрастным усилением.
СТЕНОЗЫ, УЧАСТКИ ПАТОЛОГИЧЕСКОГО РАСШИРЕНИЯ И ГИПОПЛАЗИЯ ВЕНОЗНЫХ СТРУКТУР ГОЛОВНОГО МОЗГА

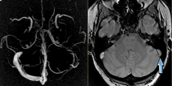
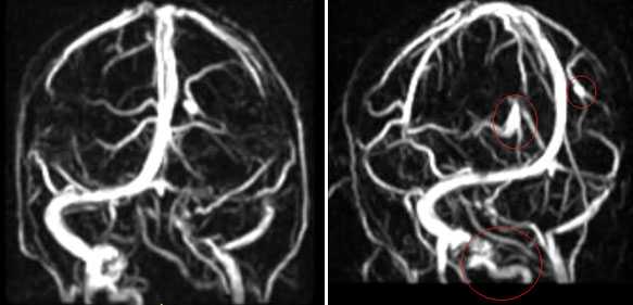
МРА-картина выраженной асимметрии венозной сети с преобладанием и нерезкой дилатацией вен правой гемисферы (поперечного, сигмовидного синусов и яремной вены справа); гипоплазии левого поперечного и сигмовидного синуса. Единичные участки (2) локального расширения вен в парасагиттальных отделах левой гемисферы, большой вены мозга. Асимметричная, расширенная и выражено извитая венозная структура экстракраниальных отделов справа.

МРА признаки незначительной дилатации верхнего сагиттального синуса, локального снижения кровотока и сужения просвета дистальных отделов прямого синуса; асимметрии просвета поперечных, сигмовидных синусов и внутренних яремных вен.
СОСУДИСТЫЕ МАЛЬФОРМАЦИИ
1. Венозная мальформация (венозная ангиома).
Встречается относительно часто и не является истинной мальформацией, в большей степени представляет собой вариант строения венозного оттока.
Течение обычно бессимптомное. Редко бывают судороги.

Венозная мальформация. Схема. Определяются мелкие расширенные венулы в виде «зонтика», «головы медузы», дренирующиеся в крупную транскортикальную вену, которая, в свою очередь впадает в верхний сагиттальный синус.

а) Т1 с внутривенным контрастированием. Стрелки показывают расширенные вены глубокого белого вещества, дренирующиеся в расширенную транскортикальную вену; 
б) МР-венография с контрастированием показывает венозную дисплазию, дренирующуюся в расширенную внутреннюю мозговую вену. Венозная мальформация.
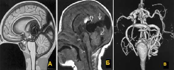
2. Мальформация большой вены мозга (вены Галена).
Центрально расположенная АВМ, дренирующаяся в вену Галена, с формированием ее варикозного расширения. У новорожденных могут возникать явления сердечной недостаточности за счет большого объема шунтового кровотока.

а) Мальформация (варикозное расширение) вены Галена, схема. 
б)Т1-sag определяется расширенная вена Галена (открытая стрелка), дренирующаяся (стрелка) в сагиттальный синус; 
в) МР-объемная реконструкция.
Антенатальное исследование плода (МРТ плода)
Что представляют собой ВПР (врожденные пороки развития)? Врожденные пороки развития - это одна из основных причин перинатальной смертности и инвалидности детского населения. Среди аномалий развития особую значимость имеют пороки развития, затрагивающие центральную нервную систему плода.
Поэтому важнейшей задачей настоящего времени является максимально раннее выявление врожденных пороков развития. Своевременное диагностирование патологий развития плода позволяет контролировать процесс уже на ранних этапах беременности, выбирать необходимую тактику ее ведения, уточнять сроки и способ родоразрешения, при необходимости проводить хирургическую или терапевтическую коррекцию, а в тяжелых случаях решать вопрос о прерывании беременности.
Что выбрать: УЗИ или МРТ плода? Основным методом диагностики врожденных пороков развития в современном акушерстве является УЗИ - диагностика.
Зачем и как проводится гинекологическое УЗИ? Рассказывает врач ультразвуковой диагностики «Клиника Эксперт Оренбург» Поскребышева Анна Викторовна
Проведение скрининговых исследований играет важнейшую роль в выявлении аномалий развития. Однако в тех случаях, когда возможности сонографии ограничены (ожирение матери, олигогидрамнион, ягодичное предлежание плода, редкая патология плода и др.), дополнительным методом исследования состояния плода является МРТ-исследование.
Зачем делают МРТ беременным? Читать далее
Метод МРТ: обладает высокой разрешающей способностью в визуализации структур головного мозга, позволяет получить мультипланарные изображения с большим полем обзора, не связан с ионизирующим излучением - безвреден; МРТ плода позволяет не только уточнять характер аномалий, заподозренных на УЗИ, но и выявлять ту патологию, определение которой находится за пределами возможностей сонографии.
В каких случаях МРТ противопоказано? Рассказывает исполнительный директор «Клиника Эксперт Оренбург» Подлевских Юрий Андреевич
Рассмотрим несколько примеров МРТ-исследования плода.
На рисунке - тазовое предлежание плода, 26 недель. Нормальная анатомия головного мозга
На рисунке - плод, 38 недель. Структурные изменения головного мозга плода не выявлены. Определяется однократное обвитие пуповиной
На рисунке - плод, 39 недель. Двукратное обвитие пуповиной
На рисунке - плод, 34 недели. Головное предлежание, гипоплазия мозжечка
Диагностика мальформаций мозолистого тела по данным УЗИ часто представляет сложности. При этом результаты МРТ-исследования уже на 20 неделе гестации сравнимы с данными МРТ в постнатальный период.
На рисунке - плод, 29 недель. Агенезия мозолистого тела. Асимметричная гидроцефалия
МРТ плода позволяет диагностировать такие нарушения нейрональной миграции, как лисэнцефалия, гетеротопия, шизэнцефалия, мало доступные для диагностики при других методах исследования.
На рисунке - плод, 32 недели; поперечное положение плода. Шизэнцефалия
Методом УЗИ-скрининга также возможно выявление черепно-мозговых грыж плода. Но при этом точно определить содержимое грыжевого мешка возможно только при МРТ-исследовании.
На рисунке - плод, 23 недели. Теменно-затылочное энцефалоцеле, заполненное спинномозговой жидкостью без признаков вовлечения мозговой ткани
Метод МРТ имеет большое значение в выявлении не только пороков развития ЦНС, но и при заболеваниях и аномалиях паренхиматозных органов брюшной полости и малого таза плода, его опорно-двигательного аппарата, крупных сосудов и др.
На рисунке - плод, 22 недели. Энтерогенная киста
На рисунке - врожденная диафрагмальная грыжа
На рисунке - мультикистоз почки
На рисунке - плод, 28 недель. Атрезия пищевода
На рисунке - пупочная грыжа
Таким образом, МРТ является дополнительным способом визуализации структур головного мозга плода. Он дополняет ультразвуковое исследование в тех случаях, когда применение сонографии технически ограничено, либо ее результаты сомнительны и противоречивы.
Сосудистая мальформация головного мозга: причины, симптомы и пути лечения
Мальформацией в медицине называют любую аномалию развития, приводящую к грубым органическим и функциональным нарушениям работы органов и тканей. Существует несколько разновидностей такой патологии, но наиболее опасной и часто встречаемой считается сосудистая мальформация головного мозга.
О вероятных причинах, особенностях течения, осложнениях, принципах диагностики и терапии этого заболевания поговорим в нашем обзоре и видео в этой статье.
Суть проблемы
Сосудистые мальформации - группа врожденных аномалий развития системы кровообращения. Развивается достаточно редко: согласно статистике, такая патология диагностируется у 20 новорожденных из 100 000 в год. Более подвержен заболеванию мужской пол, также представители сильной половины человечества чаще сталкиваются с опасным для здоровья и жизни осложнением - субарахноидальным кровоизлиянием.
Это интересно. Несмотря на врожденный характер, патология не передается по наследству.
Такая патология проявляется неправильным соединением артерий, вен и лимфатических протоков, питающих главный орган нервной системы. Она представляет собой плотный клубок, содержащий патологически извитые, деформированные сосуды, в которых невозможен нормальный обмен газов (кислорода и углекислого газа) и питательных веществ.
Кроме того, при достижении определенных размеров подобные образования способны сдавливать расположенные рядом ткани и вызывать яркую неврологическую симптоматику.
Причины и механизм развития
Точные причины патологии учёными выяснены не до конца.
Считается, что мальформация сосудов головы может развиться в результате:
- врожденных нарушений внутриутробного развития;
- антенатальных и родовых травм;
- склеротического и атеросклеротического поражения артерий.
Обратите внимание! Местные патологические изменения в артериях и венах, питающих мозг, формируются не позднее 4-8 недели внутриутробного развития.
Указанные выше факторы приводят к резкому увеличению скорости линейного кровотока и нарушению кровообращения. Артериовенозная мальформация церебральных сосудов - МКБ 10 Q27.3 -сопровождается отсутствием капиллярной сети в патологическом артериовенозном клубке.
За счёт этого кровь сбрасывается из артериального бассейна непосредственно в поверхностные и глубокие вены, но питания и насыщения кислородом тканей мозга не происходит. Таким образом, у больного развивается синдром обкрадывания, приводящий к ишемии и различным клиническим проявлениям.
Обратите внимание! Артериально венозная мальформация мозговых сосудов является самым распространенным вариантом патологии. Однако помимо ЦНС подобная аномалия развития может встречаться в системе кровообращения различных локализаций, например, между аортой и легочным стволом.
Классификация
По типу и строению мальформация сосудов у детей и взрослых бывает:
- артериальной;
- артериовенозной: - фистулезной (прямой переход артериальной сети в венозную без патологического извития сосудов и образования «клубка»);
- ангиоматозной (образование сети переплетённых артерий и вен, между которыми находится ишимизированная ткань мозга);
- смешанной;
 
- венозной;
- телеангиоэктазией;
- гемангиомой.
Обратите внимание! Отдельно учёные выделяют такую разновидность аномалии развития, как дуральная фистула - патологический шунт артериальной крови в венозную сеть без предшествующих капилляров в твердой мозговой оболочке.
В зависимости от диаметра сосудистого клубка выделяют семь типов артериовенозных мальформаций:
- 1 тип («невидимые мальформации») — патологические сосудистые сплетения не определяются с помощью доступных диагностических методов, однако характерные особенности клинической картины позволяют заподозрить специфические нарушения кровоснабжения.
- 2 тип («скрытые мальформации») - сосудистые клубки, не диагностируемые в ходе ангиографии или нейрохирургического вмешательства, однако ясно определяемые в ходе тщательного гистологического исследования полученного биоматериала.
- 3 тип - мальформации, диаметр которых достигает 5-10 мм.
- 4 тип - небольшие сосудистые клубки диаметром 1-2 см;
- 5 тип - мальформации среднего размера, чей диаметр не превышает 4 см.
- 6 тип — крупные образования с поперечным размером 4-6 см.
- 7 тип - гигантские мальформации с диаметром более 6 см.
Важные симптомы: как распознать болезнь на ранней стадии
Клиническая картина заболевания во многом зависит от типа врождённой аномалии, размеров сосудистого образования и степени выраженности синдрома обкрадывания. У новорожденных патология может долгое время себя не проявлять и стать причиной выраженного неврологического дефицита в подростковом возрасте.
Геморрагический тип
Мальформация церебральных артерий и вен по геморрагическому типу развивается в 50-70% случаев. Она сопровождается относительно небольшим размером патологического узла и дренажом артериальной крови в глубокие вены. Типичная локализация врождённой аномалии - задняя черепная ямка.
Такой тип течения сопровождается значительной артериальной гипертензией и высоким риском развития острых осложнений - кровоизлияния в субарахноидальное пространство с образованием внутримозговых гематом и грубым неврологическим дефицитом.
Важно! В детском возрасте примерно у половины пациентов аномалия манифестирует субарахноидальным кровоизлиянием. 10% всех развывшихся осложнений состояния завершается летальным исходом, ещё в 20-30% случаев приводит к инвалидизации больных.
Торпидный тип
Торпидный тип течения патологии развивается при больших размерах сосудистого клубка. Чаще такие образования локализуются в корковой части мозга, питаемой средней мозговой артерией.
Среди клинической симптоматики на первый план выступает судорожный синдром, кластерные головные боли и нарастающий неврологический дефицит. Признаки торпидной мальформации могут имитировать клинические проявления опухоли центральной нервной системы.
Кроме того, патология может сопровождаться дополнительными симптомами, указанными в таблице ниже.
Таблица: Клинические проявления
Внимание: опасные осложнения
Мальформация мозговых сосудов является частой причиной такого грозного осложнения, как субарахноидальное кровоизлияние.
Заподозрить его можно по следующим признакам:
- острая, внезапно возникшая головная боль (многие больные связывают ее с ударом);
- пульсация в области затылка;
- многократная рвота, не приносящая облегчения;
- возможны судороги;
- нарушение сознания - оглушение, сопор или кома;
- появление менингеальных симптомов;
- реже - отсутствие реакции зрачков на свет.
В 5-10% случаев субарахноидальное кровоизлияние сопровождается синдромом Терсона-кровоизлиянием в переднюю камеру, стекловидное тело или сетчатку глаза.
Обратите внимание! Наиболее часто опасные для жизни осложнения патологии встречаются в молодом возрасте - от 20 до 40 лет.
Без своевременно оказанной медицинской помощи, направленной на стабилизацию жизненных функций и предупреждение развития осложнений состояние пострадавшего значительно ухудшается, возможен летальный исход. 
Принципы диагностики
Обследование больного проводится в несколько этапов. На первом врач тщательно расспрашивает пациента об имеющихся жалобах и особенностях течения заболевания, а также очерчивает список возможных проблем со здоровьем. В дальнейшем требуется подробный неврологический осмотр с определением общемозговой симптоматики и оценкой функционирования двенадцати пар ЧМН.
На третьем этапе лабораторные и инструментальные тесты подтверждают или опровергают предварительный диагноз специалиста. Инструкция предписывает обязательное проведение:
- ОАК, ОАМ;
- определения основных биохимических показателей в составе крови;
- анализа ликвора;
- компьютерной томографии;
- МРТ (по показаниям);
- ЭХОЭГ.
«Золотым стандартом» в диагностике аномалии развития является ангиография - рентгенологический метод исследования, подразумевающий использование контрастного вещества и позволяющий четко визуализировать строение сосудов, питающих головной мозг. Цена процедуры в частных клиниках колеблется от 9000 до 25000 р.
Актуальные подходы к терапии
Наиболее эффективным считается лечение мальформации церебральных артерий и вен на ранних стадиях, пока размеры сосудистого клубка небольшие, а риск развития острых осложнений сравнительно невысокий.
Консервативные методы терапии малоэффективны и даже нецелесообразны, однако они проводятся случаях при тяжёлом состоянии больного или наличии противопоказаний к операции.
Среди симптоматических средств используются:
- противосудорожные препараты;
- анальгетики;
- седативные препараты.
Цель хирургического лечения - «выключение» патологического сосудистого образования из общего кровотока и создание адекватного и полного кровоснабжения участков мозга, испытывающих ишемию.
Достичь этого можно с помощью:
- Удаления «узелка» сосудистой мальформации.
- Эндоваскулярной эмболизации-современной малоинвазивной процедурой связанной с минимальным риском развития осложнений. Она заключается во введении в мальформацию тонкой платиновой «спирали» с помощью катетера и блокировании кровотока в патологическом сосудистом сплетении. Операция проводится с помощью современного эндоскопического оборудования. Эмболизация и мальформация церебральных сосудов позволяют достичь значительных успехов.
Чем раньше будет установлен диагноз и начата терапия, тем выше шансы больного обрести здоровье. Своевременная диагностика и лечение мальформации сосудов головного мозга позволяет снизить риск развития осложнений и инвалидизации, а также значительно улучшает прогноз заболевания.
Антенатальные эхографические мониторинги при гемолитической болезни плода

Содержит актуальную клиническую информацию по ультрасонографии и ориентирован на врачей ультразвуковой диагностики, выходит с 1996 года.
Введение
Гемолитическая болезнь плода и/или новорожденного (ГБП, ГБН, ГБПН) - гемолитическая анемия, развивающаяся вследствие выработки иммунокомпетентной системой матери антител, разрушающих эритроциты плода. Наиболее часто антитела резус-отрицательной матери направлены против плодовых антигенов Rh, реже антитела вырабатываются в организме матери, имеющей группу крови 0, и направлены против групповых антигенов. Антитела проникают к плоду через плаценту.
Этиопатогенез ГБПН у Rh-отрицательной матери представлен следующей последовательностью: предшествующая беременность Rh-положительным плодом, плодово-материнские трансфузии в родах либо при прерывании беременности, иммунизация матери с формированием в ее крови anti-Rh антител (Rh-сенсибилизация), проникновение антител в кровь Rh-отрицательного плода, повреждающее (гемолитическое) действие антител на эритроциты плода, интоксикация плода и новорожденного продуктами распада гемоглобина. ГБПН является фактором высокого риска перинатальной смертности и заболеваемости [1, 2].
Существуют три клинические формы ГБПН: отечная, желтушная и анемическая. Проявления желтушной формы болезни: гипербилирубинемия, изменение окраски кожи и билирубиновая интоксикация новорожденного. При анемической форме имеются изолированные гематологические изменения (анемия, эритробластоз). Отечная форма (генерализованный врожденный отек) - наиболее тяжелая, имеющая крайне неблагоприятный прогноз, сопровождается значительным скоплением внеклеточной жидкости в тканях и полостях плода, фетальной гепато- и спленомегалией.
Инвазивный забор фетальной крови и гематологическое исследование позволяют наиболее точно диагностировать ГБП на антенатальном этапе. Очевидно, что поиск критериев, обеспечивающих неинвазивную, т. е. эхографическую, диагностику и оценку степени перинатального риска при сенсибилизированной беременности, является важной задачей современной перинатологии.
В акушерской клинике ультразвуковое (УЗ) исследование плода играет важную роль в диагностике ГБПН. Эхографические находки при отечной форме ГБП зависят от степени выраженности водянки. УЗ-проявления иммунной и неиммунной водянки плода практически одинаковы, к настоящему времени они подробно описаны в руководствах [2, 3]. К ранним признакам отечной формы ГБП относят плацентомегалию, гепатоспленомегалию плода и многоводие, к поздним - кардиомегалию и перикардиальный выпот, асцит, гидроторакс, повышенную эхогенность кишечника вследствие отека его стенки, отек подкожной клетчатки головы, туловища и конечностей плода (двойной контур) и расширение вены пуповины [4]. Некоторые авторы рекомендуют измерение длины печени плода в качестве критерия фетальной гепатомегалии [4, 5]. Что касается УЗ-биометрии фетальной селезенки, по мнению экспертов пренатальной эхографии, эти измерения чаще бывают неточными в связи с малым размером органа и методологической сложностью [6]. К сожалению, косвенные УЗ-признаки ГБП, которые рассматриваются как возможные индикаторы доклинических форм водянки плода (полигидрамнион, плацентомегалия, гепатомегалия и эхогенность кишечника плода), имеют недостаточную предсказательную ценность [7, 8].
Все перечисленное затрудняет пренатальное консультирование и прогнозирование результата беременности у сенсибилизированных женщин.
Кроме того, отсутствие стандартного регламента и алгоритма перинатальной тактики при аномальных показателях антенатальных мониторингов иммуноконфликтной беременности объясняется крайне низкой современной частотой подобных клинических случаев, что исключает получение доказательных выводов. Так, в крупном американском центре за 17 лет наблюдений было выявлено всего 167 случаев иммунной водянки плода, т. е. патология встречалась с частотой менее 10 случаев в год [3]. Опубликованный в 2009 г. ретроспективный анализ всех случаев Rh-иммунизации, имевших место в двух французских административных районах c 3 млн жителей, показал, что популяционная частота Rh-иммунизации в настоящее время ниже 0,41%о [13]. Это, по-видимому, связано с широким внедрением профилактических технологий Rh-десенсибилизации и с высоким уровнем контрацепции в экономически развитых регионах.
В настоящее время отсутствуют четкие протоколы ведения сенсибилизированной беременности в зависимости от результатов антенатальных УЗ-мониторингов, поскольку отсутствует доказательная база, основанная на результатах больших исследований. В каждом случае акушерская ситуация оценивается индивидуально, а алгоритмы отсутствуют. В частности, отсутствуют алгоритмы изменения перинатальной и акушерской тактики на основании допплерографии венозного протока (ВП) плода.
В то же время исследование гемодинамики ВП плода - важный компонент антенатальных допплеровских мониторингов беременности высокого перинатального риска (рис. 1). Различают два типа патологических изменений допплерограмм ВП: наличие а-реверсной волны и снижение фазы изоволюметрической релаксации (ИВР). Возрастание давления, гемодинамическая перегрузка и застой в правом предсердии отражаются возрастанием индексов сосудистого сопротивления ВП и появлением а-реверса. Фаза ИВР ВП - показатель функции миокарда. Период между систолическим и диастолическим пиками спектра кровотока ВП соответствует периоду ИВР миокарда, когда давление в предсердии и убывающее систолическое давление выброса сравнительно одинаковы. В этот период сердечная мышца расслабляется. Способность к полноценной релаксации в диастолу - важная функция миокарда. При гипоксии миокарда или ацидозе сердечная мышца становится менее податливой, хуже расслабляется и фаза ИВР снижается.

а) Норма, углубление между систолическим и диастолическим пиками (между 1 и 2) отражает период ИВР миокарда.
Читайте также:
