УЗИ печени при метастазах
Добавил пользователь Владимир З. Обновлено: 01.11.2025
Метастазы в печени, как правило, являются мультинодулярными, но иногда на УЗИ могут быть обнаружены отдельные узелки. С другой стороны, множественные узелки могут быть настолько маленькими, что создают впечатление инфильтрации. Ультрасонографические проявления метастазов являются довольно изменчивыми и их детальный анализ требует многочисленных срезов печени с различной ориентацией. Такое ультразвуковое исследование требует наилучшего доступного разрешения, целью которого является раскрытие мельчайших фокусных изображений. Диагностика метастазов производится с использованием двух типов патологических признаков: аномалии контура и аномалии текстуры.
На что обращают внимание при ультразвуковом исследовании
Демонстрация метастазов на УЗИ требует тщательного изучения всего объема печени, включая левую долю. Если технически необходимо, то при проведении ультразвукового исследования печени используют различные зонды, что позволяет лучше исследовать поверхностные плоскости. Ловушку «слишком красивого образа» следует избегать. Это иногда требует уменьшения динамического диапазона и увеличения контраста при пред или постобработке. Только с помощью этих технических мер предосторожности и настроек могут быть выявлены маленькие узлы и минимальные градиенты импеданса.
Общие признаки метастазов печени на УЗИ (нарушения контура)
«Знак удара». Поверхностные метастазы приводят к небольшим локализованным бугоркам, которые выпуклы и, следовательно, изменяют контур поверхности печени в поперечных срезах. Эти выпуклости на УЗИ следует считать патологическими, даже если нет никаких нарушений эхотекстуры. Однако следует помнить о нормальных анатомических выпуклостях (подреберная выпуклость, хвостатая доля, нижняя выпуклость, квадратная доля). Они обсуждаются в других главах. Наконец, наиболее частыми непатологическими выпуклостями после хвостатой и квадратной долей, несомненно, являются юкстадиафрагмальные выпуклости, возникающие при деформации диафрагмы.
Знак ребра (или знак края). Мы подробно обсудим форму краев печени в других статьях, включая их нормальные углы, но при этом имеются несколько исключений, которые мы сейчас рассмотрим. При гепатомегалии вследствие метастазирования края печени становятся округлыми, выпуклыми и даже полициклическими, если на главных выпуклостях наложены выпуклости в виде «шишки». Наряду с этими специфическими признаками очаговых поражений, следует добавить другие возможные признаки, включая гепатомегалию.
Изменения в эхотекстуре (узелки) при ультрасонографии
- Гипоэхогенные узелки, выявленные на УЗИ, очень важный признак. Так как, одно из распространенных проявлений метастазов в печени - округлые гипоэхогенные узелки. Они рассматриваются как перерывы в богатой однородной нормальной структуре печени. Мы называем это изображение «сито», поскольку такой вид на ультразвуковой картине связан с несколькими узлами этого типа. Этот тип появления метастатического заболевания раньше считался необычным, но в настоящее время часто встречается из-за превосходного контрастного разрешения современных аппаратов. Некоторые из гипоэхогенных зон могут стать откровенно жидкостными при некрозе метастазов. Некротические метастазы будут обсуждаться ниже.
- Видимые узелки. Эхотекстура узловых метастатических очагов чаще бывает эхогенной. Мы называем этот тип множественного узелкового гиперэхогенного поражения паттерном "метель". Гиперэхогенные поражения также могут быть откровенно узловатыми и регулярными, создавая видимость «капель свечи» или они приобретают более неправильную конфигурацию.
- Узелки типа «мишени» или «бычий глаз». Часто встречаются узелки, в которых центр относительно гипоэхогенный, а периферия рефлексивная и которые окружены гипоэхогенным кольцом. Из-за этого их также называют поражениями типа «мишени». Детально изучив эти поражения достоверно пришли к выводу, что концентрический внешний вид частично обусловлен сдавливанием периферической печеночной ткани и частично их сосудистой архитектурой.
- Некротические метастазы. Некроз может возникнуть самопроизвольно, когда области превышают определенный диаметр (6 или 7 см), или они могут появиться после химио- или лучевой терапии в небольших узлах. На УЗИ некротическая зона обычно нерегулярна и иногда гофрирована. Некроз может распространяться до нормальной ткани печени и вызывать псевдокистоз, но чаще он окружен оболочкой из остаточной опухолевой ткани. В исключительных случаях на дне пораженного участка находится уровень жидкости и дебриса. Метастазы карциноидных опухолей особенно склонны к некрозу и могут быть предположены, когда имеется их большое количество или некротические узелки, создающие псевдополикистозный вид.
- Инфильтрирующие депозиты. Определенные изменения в эхотекстуре приводят к появлению инфильтрации. Этот тип аномалии бывает трудно распознать, если разница в отражательной способности между опухолевой тканью и нормальной тканью относительно мала. В таких случаях изменения контура печени могут быть полезны; Изменения венозного рисунка, которые также актуальны, будут обсуждаться ниже. Чаще всего инфильтрирующая опухоль на УЗИ является довольно очевидной и приводит к появлению симптома «географической карты».
- Необычные проявления. Наконец, мы встречали многокамерные изображения, которые встречаются в общей сложности только один раз на более чем 500 случаев метастазирования. Можно столкнуться и с другим явлением. Например, описаны кальцифицированные метастазы, характеризующиеся большими акустическими тенями. В частности, метастазы рака яичников подвержены кальцификации, которые определяются на УЗИ.
Аномалии протоков на ультрасонографии при метастазах в печень
Известно, что дилатация внутрипеченочных желчных протоков может сопровождать метастазирование. Обычно расширение желчных протоков, лежащих проксимально к поражениям, связаны с затрудненным оттоком из-за их сжатия. В других случаях дилатация желчевыводящих путей и метастазы являются результатом первичной внепеченочной опухоли (например, поджелудочной железы).
Печеночные вены также могут быть смещены опухолью. Это чаще всего наблюдается при доброкачественных опухолях. Когда метастатические поражения близки к печеночным венам, вены обычно сужаются, деформируются или даже разрушаются. Опухолевые эмболы на УЗИ встречаются относительно редко. С другой стороны, когда есть доброкачественные инфильтрации печени, вены пересекают эти изменения без деформации. Вовлечение в процесс портальных ветвей и портальный тромбоз при метастазах может возникнуть в результате их сдавливания или инвазии.
Первичный рак печени
Первичный рак печени — это вид онкологического новообразования, формирующееся из гепатоцитов (клеток, из которых состоит печень). Выделяется несколько видов первичного рака печени, наиболее распространённый — гепатоцеллюлярная карцинома. Первичный рак печени встречается значительно реже, чем вторичная форма (когда злокачественные опухоли из других органов метастазируют в печень).
Акции
Полное обследование на онкологические заболевания для мужчин и женщин.
Онкоконсилиум может потребоваться как при лечении в «СМ-Клиника», так и пациентам других медицинских учреждений с целью получения альтернативного мнения.
«СМ-Клиника» предоставляет своим пациентам предоперационное обследование со скидкой до 72%!
Консультация врача-хирурга по поводу операции бесплатно!
Содержание статьи:
Термином первичный рак печени называют злокачественную опухоль, которая формируется из печеночных клеток (гепатоцитов), которые в силу различных причин трансформируются в опухолевые. Другие названия патологии - гепатоцеллюлярная карцинома, рак печеночно-клеточный либо гепатоцеллюлярный рак.
Злокачественные опухоли печени в структуре онкологической заболеваемости занимают шестое место. Однако, по смертности от рака они стоят на третьем месте, а у пациентов с цирротическими повреждениями онкология печени выходит на первое место по причине неблагоприятных исходов. Каждый год по всему миру регистрируется до 780 тысяч пациентов с впервые выявленным раковым поражением ткани печени. Этот вид онкологии имеет агрессивное течение с крайне неблагоприятными прогнозами. Если не начать своевременное лечение, то длительность жизни обычно не превышает двух лет.
Этот тип опухоли примерно три раза чаще регистрируется среди мужчин, чем женщин. За последние 10 лет наблюдается рост числа заболевших. Средний возраст пациентов от 50 до 65 лет.
Тип опухоли зависит от клеток, из которых он развивается: гепатоцеллюлярная карцинома берет начало в области клеток печеночной паренхимы, в то время как холангиокарцинома возникает в области клеток, формирующих желчные протоки. Тип опухоли устанавливается по данным гистологического исследования.
Причины и факторы риска
Точные причины рака печени еще не установлены. Чаще всего злокачественное поражение возникает на фоне длительно протекающего воспалительного процесса в печеночной ткани. Наиболее часто первые признаки рака печени обнаруживаются на фоне цирроза. В тех регионах, где широко распространен вирусный гепатит, случаи рака печени выявляются значительно чаще. Так, примерно у 25% всех пациентов, с признаками онкологии печени, определяется вирусный гепатит С, а примерно у 40% - хроническое носительство вируса гепатита В.
Среди других факторов риска, повышающих риск развития рака печени, можно выделить:
- нерациональное питание, ведущее к ожирению;
- прием большого количества алкоголя;
- длительный прием препаратов, обладающих гепатотоксичностью (включая стероидные средства, оральные контрацептивы);
- влияние внешних факторов - токсинов, поражающих печеночные клетки (винилхлорид, афлотоксины);
- длительный стаж сахарного диабета;
- синдром Бадда-Киари (это эпизоды тромбоза в области печеночных вен);
- наследственные патологии - болезнь Вильсона, гемохроматоз, тирозинемия, гликогенозы, дефицит альфа-трипсина, полипоз кишечника.
В некоторых случаях определить причины рака печени не удается, тогда случаи считаются идиопатическими.
Симптомы рака печени
Первые признаки рака печени не имеют специфичности, они возможны и при многих других патологиях органа (острые и хронические гепатиты, альвеококкоз, цирроз, поражение желчных протоков или метастазы в печень). На ранних стадиях патология может никак себя не проявлять, поскольку орган обладает высоким резервом. Поэтому нередко впервые рак печени выявляется на УЗИ, которое проводится по поводу различных патологий внутренних органов, расположенных около печени. Если опухоль имеет значительный размер, у пациентов могут появляться следующие жалобы и проявления:
- снижение или полное отсутствие аппетита (анорексия);
- уменьшение количества гемоглобина и эритроцитов;
- неприятные ощущения, болезненность в области подреберья, ближе к правой стороне или в верхних отделах живота;
- тошнота, приступы рвоты с примесью желчи или пищи;
- увеличение размеров живота за счет роста опухолевого образования, которое можно прощупать через брюшную стенку;
- асцит (рост живота за счет скопления в нем жидкости);
- потеря веса, порой очень значительная (до нескольких килограммов за пару месяцев);
- пожелтение кожи и области белков глаз (развитие желтухи);
- выраженный кожный зуд;
- носовое кровотечение;
- нарушения стула - чередование запоров или поносов;
- изменение окраски мочи (темная) и стула (обесцвечивание);
- расширение мелких капилляров под кожей (формирование телеангиоэктазий).
На фоне роста и распада опухоли возможно общее недомогание, повышение температуры, слабость.
Разновидности первичного рака печени
Существует несколько вариантов классификации для первичного рака печени. Выделяют различные типы опухоли, которые различаются по течению и прогнозу. Эксперты выделяют несколько наиболее типичных видов первичного печеночного рака (опухоль образуется из клеток органа).
Гепатоцеллюлярный рак - это наиболее часто возникающая опухоль (карцинома) в области печени. Как понятно из названия, эти опухоли формируются в гепатоцитах, образующих основу печеночной ткани. Течение гепатоцеллюлярного рака возможно в двух клинических формах - диффузная (когда поражается обширная часть печени) или узловая (образуется один очаг - узел или несколько участков).
Возможен более благоприятный вариант этого рака - фиброламеллярная карцинома, при ней есть возможности более активного лечения.
Холангиокарцинома - это опухоль злокачественного типа, которая берет начало в области желчных протоков.
Холангиогепатома - это смешанный вариант опухоли, при которой раковые клетки зарождаются как в области гепатоцитов, так и в области эпителиальных клеток в желчных протоках.
Также возможны такие варианты опухолей как ангиосаркомы, мезодермальные образования - это поражения, которые растут из лимфатических капилляров, кровеносных сосудов или клеток соединительной ткани.
У детей возможна гепатобластома, также выделяется и цистаденокарцинома. Она возникает в результате перерождения доброкачественной опухоли.
Стадии рака печени
Основу клинической классификации составляет система TNM. Она базируется на патологических особенностях новообразования, и в зависимости от стадии рака печени зависит ее прогноз. Каждый критерий классификации будет указывать на присутствие или отсутствие определенных изменений.
- T — это рост и распространение опухоли, наличие нескольких опухолевых узлов, размеры самого большого их них, а также прорастание опухолевого очага в соседние области.
- N — отражает метастазирование опухоли в близлежащие (регионарные) или отдаленные лимфоузлы;
- М — показатель отражает метастазирование рака печени в другие органы.
Помимо этих критериев на течение болезни, особенности ее лечения и прогноз рака печени влияют наличие фиброза и степень дифференцирования опухолевых клеток. Чем ниже степень дифференцировки, тем сильнее раковые клетки отличаются от здоровых и тем агрессивнее рак. Эти показатели крайне негативно влияют на выживаемость вне зависимости от стадии по ТNM.
Один из вариантов классификации базируется на показателях крови при раке печени. Они определяют функциональную активность печени и выраженность цирроза. Оценку проводят по уровням общего билирубина, сывороточного креатинина, показателей свертывания крови.
Первичный рак печени: диагностика
Всем людям, которые относятся к группе высокого риска по развитию рака печени, проводится регулярное обследование. Прежде всего, врачи смотрят УЗИ-признаки рака печени у лиц, страдающих хроническими воспалительными процессами органа, имеют разные степени цирроза. Им показано выполнение ультразвукового исследования каждые полгода, даже при отсутствии жалоб.
Кроме того, им показано выполнение лабораторных исследований крови на определение онкомаркер первичного рака печени - АФП (расшифровывается как альфа-фетопротеин). При таком варианте наблюдения можно выявить опухолевые поражения в ранней стадии (еще нет симптомов и жалоб), когда рак можно радикально излечить. Изменения в анализах при раке печени с ростом АФП типично до 50-90% пациентов. Повышение уровня более 400 нг/мл возможно у лиц с большим размером опухоли или быстро растущими опухолями. Но временное повышение показателя возможно на фоне цирроза или воспаления гепатоцитов. Однако, высокий АФП в комбинации с данными УЗИ, МРТ печени подтверждает диагноз почти у 100% пациентов.
Выполнение КТ или МРТ с контрастом помогает в выявлении опухоли и уточнении ее размеров и локализации, что важно для составления плана лечения онкологии печени.
Если всех этих данных недостаточно для постановки диагноза, выполняют чрезкожную биопсию (пункционную либо аспирационную) под контролем ультразвука. Риск осложнений при таких методах диагностики минимальный.
Методы лечения рака печени
При подтверждении диагноза рака печени необходимо немедленно начать лечение. Оно будет длительным и включает несколько этапов. Кроме того, в зависимости от типа опухоли, ее размеров и локализации, сочетают несколько методов. Основной метод - хирургическое удаление рака - резекция части печени или полное ее удаление с трансплантацией донорского органа. Если резекция невозможна, а подходящих доноров для трансплантации нет, врачи могут применять нерезекционную терапию - чрезкожные введения этанола, проведение радиочастотной абляционной терапии, эмболизация артерий или химиоэмболизация сосудов опухоли. Также возможно и традиционное лечение первичного рака печени - химиопрепараты, применение рентгенотерапии, таргетных препаратов или сочетания нескольких методик.
В начальной стадии рака печени основным методом терапии будет операция. Проводится резекция опухоли в пределах здоровых тканей. Возможна одномоментная резекция и двухэтапная операция с предварительной перевязкой или эмболизацией портальной вены.
Среди противопоказаний к подобному вмешательству выделяют поражение отдаленных лимфоузлов и метастазирование рака. Однако, если остающегося участка печени недостаточно для полноценного ее функционирования, если функции органа существенно нарушены, есть признаки печеночной недостаточности, опухоль проросла в печеночную вену, поражает портальную систему, врачи прибегают к альтернативным методам терапии.
Если опухоль развивается на фоне цирроза - единственный радикальный метод лечения - это трансплантация органа. Однако критерии для пересадки очень жесткие, поэтому подобная операция выполняется нечасто.
Химиотерапия при раке печени применяется нечасто в виду ее малой активности в отношении раковых клеток. Ее проводят с использованием цитостатических препаратов, но эффективность не превышает 20%. При комбинации химиопрепаратов с иммунотерапией при раке печени возможно развитие токсических побочных эффектов (понижение уровня тромбоцитов, лейкоцитов). Но опухоль можно уменьшить до тех размеров, когда она может быть удалена. Исследования в области применения новых иммунотерапевтических препаратов еще ведутся, но они показали определенные успехи.
Лучевая терапия при раке печени применяется ограниченно, так как возможно развитие лучевого гепатита и недостаточности органа. Ее используют при неоперабельных новообразованиях в области портальной вены, ворот печени. Используется современное оборудование, которое минимизирует повреждение окружающих здоровых тканей.
Одним из перспективных направлений является таргетная терапия в онкологии при раке печени. Это направленное влияние на раковые клетки без влияния на здоровые ткани. Ее используют в стадиях, когда операция опасна или невозможна, препараты помогают сократить размеры образования.
Прогноз заболевания
При раннем выявлении рака печени выживаемость за пять лет составляет от 60% и выше, при позднем диагнозе не превышает 1-2 лет. Прогноз наиболее благоприятен при раке без признаков цирроза и выявленной фиброламеллярной карциноме.
Профилактика рака печени
Среди основных профилактических мероприятий можно выделить отказ от приема алкоголя, проведение вакцинации против вирусного гепатита В, а также защита от заражения другими типами инфекции. Кроме того, важно своевременное распознавание и лечение патологий печени, лечение жирового гепатоза и цирроза.
Михайлов Алексей Геннадьевич оперирующий онколог, врач высшей квалификационной категории, к.м.н. стаж: 21 год
Информация в статье предоставлена в справочных целях и не заменяет консультации квалифицированного специалиста. Не занимайтесь самолечением! При первых признаках заболевания необходимо обратиться к врачу.
Метастазы рака в печень
Метастазами рака в печень называют вторичную форму рака, когда злокачественные клетки распространяются по кровеносной и лимфатической система от основного очага поражения, располагающегося в другом органе.
Клетки злокачественных опухолей обладают способностью метастазировать - распространяться с кровью и лимфой в другие органы, вызывая новые онкоочаги. Метастазы рака в печень - вторичный онкологический очаг, образованный раковыми клетками, занесенными из другого органа, пораженного раком.
На ранних стадиях онкоклетки в печени размножаются и растут медленно, а процесс протекает бессимптомно. По мере прогрессирования процесса метастазы начинают продуцировать фактор роста, и метастатический очаг начинает интенсивно разрастаться.
Метастазы рака в печень характерны для 30% случаев злокачественных опухолей. В 2/3 всех случаев метастазирования можно определить, из какого органа попали раковые клетки, а в 1/3 случаев они мутируют до неузнаваемости.
Какие виды рака чаще метастазируют в печень
Чаще всего в печень метастазируют рак легкого, прямой кишки, груди, желудка и поджелудочной железы, а также меланомы. В 1-5% случаев в печени обнаруживают клетки рака полости рта и глотки, яичников и матки. Еще реже в печень метастазирует рак головного мозга.
Метастазы рака в печень, разрастаясь, нередко поражают желчный пузырь и желчные протоки.
Причины метастазирования печени при раке
Печень выполняет в организме функции детоксикационной фабрики. В связи с этим к ней течет кровь и из артерий, и из вен. Такая нетипичная схема кровоснабжения способствует переносу злокачественных клеток и делает печень органом-мишенью метастазирования. Дополнительные факторы, повышающие риск метастазирования в орган - поздняя диагностика первичного очага и нарушения тканевого иммунитета.
Симптомы метастазов в печени
Симптомы метастазов начинают проявляться тогда, когда они нарушают работу печени и желчного пузыря. При единичных метастазах они появляются, когда опухоль достигнет размера 5-7 см.
- тяжесть и тупая боль в правом подреберье;
- учащенное сердцебиение;
- постоянная незначительно повышенная температура;
- гинекомастия - увеличение молочных желез у мужчин;
- желтушность кожи и глазных белков, темная моча и светлый кал.
Сообщить к врачу следует, если пациент обнаружил у себя одновременно несколько симптомов из перечня. Если этого не сделать и не предпринять мер, симптоматика нарастает, и состояние больного ухудшается. Это проявляется:
- симптомами интоксикации - постоянной тошнотой и слабостью;
- резким снижением веса;
- анемией;
- отеками на ногах и скоплением жидкости в животе - асцитом;
- венозной сеткой на животе, расходящейся от пупка;
- рвотой "кофейной гущей" и дегтеобразным стулом.
По мере прогрессирования процесса печень утрачивает свои функции. Чтобы выявить метастазы на бессимптомной стадии пациентам с раком целесообразно 1 раз в месяц делать УЗИ печени и 1 раз в 3 месяца - МРТ с контрастом.
Классификация
В зависимости от количества, метастазы бывают:
- единственными, или солитарными;
- единичными (до 10);
- множественными (больше 10).
По размерам бывают мелкими (до 1 см в диаметре), средними (1-3 см) и крупными (больше 3 см). Скорость их появления зависит от степени агрессивности первичной опухоли.
Метастатические опухоли не классифицируют по системе ТНМ. Само по себе наличие метастазов в печени свидетельствуют о 4-й стадии первичной опухоли.
Диагностика метастатического рака печени
Диагноз ставят на основании лабораторных и инструментальных исследований:
- УЗИ печени - позволяет обнаруживать признаки метастазов от 0,4-0,5 см;
- КТ и МРТ с контрастированием, а также радиоизотопное ПЭТ-сканирование - позволяют достоверно выявлять метастазы, их размеры и локализацию, характер роста и степень вовлечения в процесс окружающих тканей;
- портография - разновидность КТ с введением контраста в воротную вену - позволяет выявлять микрометастазы;
- биопсия метастатических узлов под контролем УЗИ с последующим гистологическим анализа биоптата - позволяет определять гистологический тип опухоли и назначать эффективное лечение;
- биохимический анализ крови и печеночные пробы - помогают выявлять функциональные нарушения в печени; - маркер злокачественной опухоли в печени.
Нередко метастазы в печени выявляют до того, как диагностировано основное онкозаболевание. И именно биопсия позволяет определить из какого органа в печень попали раковые клетки.
Методы лечения метастазов рака в печени
Схему лечения метастатического поражения разрабатывают с учетом ряда факторов:
- единичные или множественные метастазы выявлены;
- есть ли метастазы в лимфоузлах;
- расположены они на периферии либо возле крупных кровеносных сосудов и желчных протоков;
- гистологического типа опухоли;
- общего состояния больного.
Если метастатические очаги гистологически такие же, как и первичная опухоль, то патологию лечат по той же схеме, то и основное заболевание. Одиночные и несколько небольших метастазов с капсульным расположением удаляют хирургическим путем. Это возможно в 5-20% всех случаев. Если позволяет клиническая ситуация, операцию проводят не лапаротомическим способом через разрез, а лапароскопическим - через проколы.
Вместе с метастазами удаляют небольшую часть печени (сегментарная либо долевая резекция). При этом большую позитивную роль играет способность органа к саморегенерации. Поэтому даже при сильном метастатическом поражении печени клетками рака, возможно удаление онкоочагов в несколько этапов. Для метастазов размером до 1 мм используют лазерный кибер-нож. В остальных случаях показана лучевая и химиотерапия.
Современные методики лучевой терапии отличаются высокой точностью - это повышает эффективность лечения и минимизирует риск рецидивов. Их цель - уничтожить раковые клетки, не затрагивая здоровые. При метастазах в печень используют сильное излучение сфокусированного типа, изотопное радиоизлучение с шунтированием печеночной вены или радиочастотную гипертермию.
Химиотерапия препаратами-цитостатиками при метастазах в печень блокирует деление и рост раковых клеток, чем замедляет либо полностью останавливает рост метастатической опухоли. Нередко метод позволяет уменьшать объем новообразования и сделать неоперабельный метастатический очаг операбельным.
В клинической практике нередко печень дезактивирует многие химиопрепараты. Тогда вместо нее проводят химиоабляцию - в сосуд метастаза вводят химиопрепарат вместе с препаратом для закупорки сосуда.
Если позволяет клиническая ситуация, проводят радиочастотную абляцию - злокачественные структуры уничтожают током высокой частоты, поданным с игольчатого электрода через прокол в коже. Кроме этого, эффективна иммунотерапия таргетными препаратами, например, одобренным в России "Сорафенибом". Средство воздействует на молекулу-мишень, гибель которой вызывает гибель всей опухоли.
Перспективный экспериментальный метод лечения - разрушение метастазов в печени ультразвуковыми волнами.
Кроме специфической противораковой терапии при метастазах в печень показано гепатопротекторное лечение для предотвращения токсического поражения органа. Она направлена на нормализацию печеночных показателей - АЛТ и АСТ, ГГТП, билирубина и щелочной фосфатазы. По показаниям также проводят дезинтоксикацию. Если метастазы в печень нарушают синтез белка, то организм поддерживают введением белковых препаратов.
Прогноз выживаемости при метастазах в печени
Метастазы в печень появляются на 4-й стадии первичного заболевания. Это значит, что полное излечение практически невозможно. Средняя продолжительность жизни больных с метастазами в печень меньше года. При своевременной диагностике и правильно подобранной схеме срок жизни достигает 3-х лет, а при некоторых видах рака (например, колоректальном - даже 5 лет и больше).
Вероятность рецидива
В первые 2 года после достижения ремиссии у 40-60% пациентов наблюдаются рецидивы онкопроцесса. К концу 3-го года количество больных с рецидивами достигает 70%. На прогноз лечения метастазов в печени и вероятность рецидива влияют злокачественность первичной опухоли и метастазов, их локализация, размер и эффективность лечебной схемы.
Наличие метастазов существенно ухудшает течение онкопроцесса, но современная медицина позволяет добиваться позитивных результатов и в таких сложных случаях. Для нас в "СМ-Клиника" нет безнадежных пациентов. Мы всегда боремся за больного - чтобы либо полностью победить болезнь, либо продлить жизнь пациента и улучшить ее качество.
Лечением метастазов в печени у нас занимается мультидисциплинарная команда специалистов. С каждым годом появляются новые технологии и препараты, которые мы интенсивно осваиваем, то есть возможности наших врачей постоянно растут. Чтобы проконсультироваться профильного специалиста, свяжитесь с нами.
Метастазы печени на УЗИ (окончание)
Метастазы в печени и химиотерапия, что показывает УЗИ?
Химиотерапия, которая в настоящее время используется так часто, внутривенно или in situ путем внутриартериального вливания, может изменить характер метастазов в печени. Можно встретить несколько эволюционных паттернов при ультразвуковом исследовании:
- Метастатические узлы могут отступать или исчезать
- Может возникнуть их некроз
- Может появиться частичный стеатоз, очаговый или диффузный.
Метастатические узлы затем окружаются гиперэхогенными участками, которых не было на предыдущих УЗИ печени.

Интервенционная сонография
Мы будем изучать различные интервенционные процедуры, предложенные для разрушения опухолевых узлов в других статьях при работе с первичными опухолями. Однако наиболее распространенные интервенционные процедуры, применяемые для лечения гепатокарцином, чрескожной инъекции этанола (PEl), имеют незначительное применение при выявлении метастазов. Другие процедуры подвергаются оценке: направленное введение радиоактивного материала в интерстицию (и, позднее, интерстициальная коагуляция с помощью управляемого лазера. Эти методы в настоящее время кажутся более эффективными, чем внутриартериальная химиотерапия и эмболизация.
Дифференциальная диагностика при УЗИ печени
Дифференциальная диагностика поражений печени будет рассматриваться дедуктивно, но прежде чем приступать к дифференциальной диагностике поражений печени, следует убедиться, что обнаруженные нарушения действительно печеночные. К сожалению, взаимодействие между печенью и некоторыми опухолями, как ретро-, так и внутрибрюшинными, не всегда очевидно. Это особенно верно для крупных опухолей правого надпочечника. Поэтому после проведения УЗИ, КТ сканирование может быть полезным в таких случаях.
Следует иметь в виду характерную, но крайне редкую возможность: обнаружение неэволютивных множественных очаговых масс у пациента при хорошем общем состоянии, без каких-либо известных первичных отклонений и с нормальными биологическими маркерами, что может быть совместимо с множественными гамартомами печени. Диагноз будет подтвержден управляемой под ультразвуковым контролем биопсией. Неэволютивные микроузлы также согласуются с гранулемами.
Надежность ультразвукового исследования при ассоциации с другими процедурами
Изучение того, какова надежность УЗИ и других процедур с годами изменилась при диагностике метастазов в печени, привело к явно парадоксальным результатам: поскольку производительность ультразвуковых машины улучшилась, можно ожидать лучших результатов. Однако общая чувствительность снизилась. Это связано с изменением критериев, используемых в этих исследованиях. Первые исследования, сделанные много лет назад, попытались ответить на простой вопрос: показали ли ультразвук множественные очаговые массы? Позже был принят во внимание размер образований, а также успех процедуры при показе всех или только некоторых очагов. Изменение критерия с диаметра от 2 см до 1 см приводит только к резкому снижению чувствительности. В последних исследованиях использовался критерий 1 см для диаметра узлов, и они показали низкую чувствительность. Результаты могут быть катастрофическими для узлов размером 0,5 см, за исключением периоперационного ультразвука (или лапароскопического ультразвука). Более простые средства также могут быть полезны.
Проводя ультразвуковое исследование печени, Jeanin-Magnificat в 1978 г. обнаружил общую чувствительность 85%, тогда как Zochol et al. (1988), 10 лет спустя, обнаружил, что сравнительная чувствительность к ультразвуку и КТ составляет всего 52% и 57% соответственно, при этом ультразвуковая диагностика демонстрирует небольшое преимущество в отношении специфичности. Некоторые исследователи сравнили УЗИ, КТ (с добавочной болюсной инъекцией и отсроченным сканированием) и МРТ (флэш-последовательности) в серии из 75 пациентов с 90 метастазами. Были получены соответствующие значения чувствительности: КТ 68%, МРТ 63% и УЗИ 53%. Ложно негативный результат от разных пациентов не учитывались.
Наши результаты, проведенные в Красноярске, были похожи. У пациентов с раком толстой кишки следует учитывать частичную гепатэктомию при наличии отложений в печени. Некоторые врачи выступают за многосторонний подход перед операцией, тогда как другие ожидают многообещающих результатов с антикарциноэмбриональными антигенами. Пероперационное УЗИ по поводу колонэктомии, вероятно, является самой простой и точной процедурой для выявления узлов диаметром более 0,5 см.
Метастазы печени на УЗИ (продолжение)
«Знак удара». Нормальные краевые выпуклости на УЗИ печени уже обсуждались несколько раз, включая квадратную долю, хвостатую долю, инфраренальную выпуклость и некоторые диафрагмальные выпуклости.
«Знак ребра». Печеночный край может иметь несколько округлых зон, которые не являются патологическими. Я уже указывал на изменчивость длины левой доли и ее последствия в отношении края, зоны вхождения ложной связки и правой стороны нижнего края. Вообще говоря, патологические выпуклости имеют короткий радиус, который нарушает гармонию контуров.

Гипоэхогенные регионы. В некоторых наклонных рекуррентных срезах на УЗИ желчный пузырь может давать вид округлого гипоэхогенного очага внутри паренхимы печени. Как только анатомия желчного пузыря становиться понятной, это не должно вызывать никаких проблем. Тем не менее, иногда, если есть сомнения, можно дать жирную пищу для сокращения желчного пузыря. Другие гипоэхогенные изображения в печени могут быть венозными. Возможно получить изображения поперечных срезов сосудов, которые имеют округлый вид и могут возникать из печеночных или портальных вен. Расширенные вены, особенно слияние средней и левой печеночных вен, могут также приводить к появлению кистозных поражений. Такая дилатация может встречаться даже при отсутствии стазиса. Различие между сосудами и кистозными поражениями легко сделать, изучая по УЗИ ход ветвление сосудов, а также их стенок или с помощью цветного ультразвукового допплера.
Как уже упоминалось, когда речь идет о частичном стеатозе, существует другой тип неоднозначного изображения, которое раньше считалось крайне редким, но это наблюдается у многих пациентов с ожирением. У таких пациентов иногда можно увидеть яйцевидную область, которая является гипоэхогенной и, по-видимому, внутрипеченочной. Это видимая «опухоль» находиться позади ворот и около шейки желчного пузыря. Однако часто регистрируется несколько несоответствий. В некоторых косых срезах нижний полюс образования находился очень близко к желудку, тогда как в других он находится вблизи ворот. Радионуклидное сканирование было нормальным, и срезы КТ не показали никаких признаков массы. С тех пор я научился распознавать этот образ и довольно часто находил его у толстых людей. «Хиларная подушка» всегда показывает один и тот же гипоэхогенный вид, а в случае ее присутствия постоянно находится непосредственно перед ложем желчного пузыря.
Как уже упоминалось, «хиларные подушечки», которые я первоначально не мог объяснить, связаны с частичным стеатозом: гипоэхогенная область является нормальной тканью в сегменте 4, окруженная гиперэхогенной жировой инфильтрацией. Снижение кровотока в 4 сегменте объясняет это распределение стеатоза. Подобные изображения обнаруживаются в других сегментах, таких как сегмент 5, рядом с желчным пузырем. Стеатоз может вызвать другие запутанные изображения, на этот раз гиперэхогенные.
Гиперэхогенные регионы. Частичный стеатоз приводит к появлению на УЗИ печени гиперэхогенных полей, напоминающих инфильтративные метастазы. Но неповрежденные вены пересекают жировую инфильтрацию, тогда как от метастазов вены деформируются. Анализ внутрипеченочных вен позволяет уточнить запутанные изображения узлового стеатоза. И здесь узелки пересекаются неповрежденными венозными ветвями, которые никогда не отображаются в метастатических узлах. Путем реконструкции трехмерной анатомии с последовательным ультразвуковым сканированием в реальном времени портальная борозды, междолевая борозда и венозная связка были правильно идентифицированы.
Общие ультразвуковые особенности печеночных метастазов в единичных узлах
Одиночные узелки влияют на эхоструктуру локально, что приводит к изолированной гипоэхогенной области, изолированной области, повышенной эхогенности или узлу типа «яблочко». Когда они поверхностны, они могут изменить печеночный контур и произвести локализованную выпуклость. Часто узелок как правило локальный, и для выявления более тонких нарушений необходимо тщательное обследование остальной части печени. Субдиафрагмальные отложения брюшины, ущемляющие купол печени, могут имитировать маргинальные печеночные метастазы.
Несколько узловых образований печени на УЗИ
В этих случаях присутствуют выпуклости и изменения контура, а также аномалии текстуры. Может быть гепатомегалия. Несколько узлов могут также привести к появлению «снежной бури» или появлению «сита». Чаще всего различные типы поражений присутствуют в комбинации. Наблюдение нескольких метастазов требует идентичных плоскостей сканирования для каждого последующего обследования. Это требует точных анатомических ориентиров. Нумерация и измерение каждого отдельного узла являются обязательными этапами обследования.
Гистологические корреляции с ультразвуковым исследованием метастазов печени
Было бы неправильно вводить гистологический диагноз происхождения метастазов из ультразвукового исследования. По моему опыту, морфологические проявления метастазов из каждого типа первичной опухоли слишком различные, чтобы можно было даже предположить. Мне удалось найти только один относительно постоянный вид: метастазы из меланомы, которые я видел, и они обычно имеют тип «сита». Многие врачи УЗИ утверждают, что метастазы из желудочно-кишечного тракта и особенно толстой кишки очень гиперэхогенные. Это, несомненно, часто так. Но у меня сложилось впечатление, что с улучшением сканеров разнообразие видимых повреждений увеличилось. Отложения разных морфологических типов могут быть обнаружены у одних и тех же пациентов и в разных эволюционных фазах.
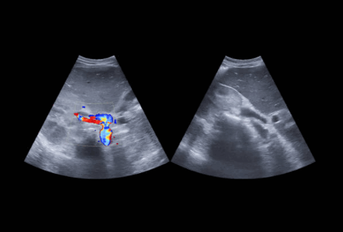
Гиперваскуляризированные метастазы в печени являются исключительным явлением, обычно возникающим из почечно-клеточного рака. Поэтому цветовой допплер редко бывает положительным при метастазах. Цветовой допплер более полезен при изучении взаимосвязей образований с ветвями сосудов печени.
Наилучшим решением проблемы определения первичного очага или метастаза, если необходимо принимать решение, является пункционная биопсия. Нередко сама ультрасонограмма будет показывать как первичную опухоль, так и метастатическую (рак почки, рак поджелудочной железы).
По сути, УЗИ печени является неотъемлемой частью всего обследования брюшной полости и никогда не проводится в одиночку. Обследование верхней части живота включает исследование брюшной полости и забрюшинного пространства, и полное обследование обоих зон позволит зафиксировать наличие первичных опухолей или связанных с ними признаков. Это особенно важно для лимфомных поражений, таких как увеличенные лимфатические узлы, злокачественный асцит или плевральные выпоты.
Читайте также:




