УЗИ при кисте надпочечника
Добавил пользователь Евгений Кузнецов Обновлено: 01.11.2025
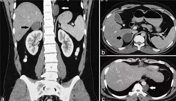
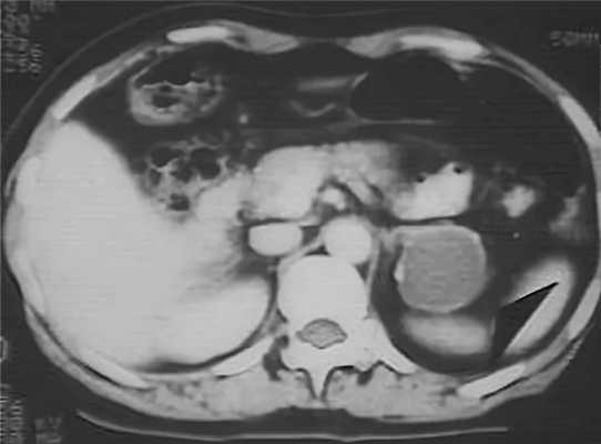
Киста надпочечника — довольно редко встречающееся заболевание надпочечников. Кисты обычно закладываются в эмбриональном периоде, но в течение многих лет постепенно растут и не диагностируются, а выявляются лишь при проведении расширенного ультразвукового обследования органов брюшной полости и КТ. Как правило, кисты надпочечников встречаются в виде одиночных кистозных поражений (чаще одностороннее), довольно редко они наблюдаются как множественные или двухсторонние изменения.
Симптомы и клинические проявления кист надпочечников
Обычно кисты безболезненны и не сопровождаются какими-либо специфическими симптомами. Но иногда сопровождаются тянущей и распирающей болью в области спины. Кисты чаще гормонально-неактивны. Крупные кисты могут приводить к частичному нарушению функции почек и надпочечника из-за сдавления или развитию стойкой артериальной гипертензии при компрессии почечной артерии.
Диагностика надпочечников
Перед проведением оперативного лечения по поводу кист надпочечников проводится определение гормонального фона, КТ и МРТ надпочечников, осмотр эндокринологом, а также в неясных случаях сцинтиграфия костей скелета для определения наличия метастазов. Кроме того, выполняется рутинное предоперационное обследование — сдаются клинические и биохимические анализы крови и мочи, проводится ЭКГ-обследование, УЗИ органов брюшной полости, осмотр терапевта и анестезиолога. По показаниям выполняется ряд других исследований, направленных на уточнение функции печени, почек, сердца с тем, чтобы избежать развития послеоперационных осложнений.
Лечение кист надпочечников
Консервативных методов лечения кист надпочечников не существует. Задержка с проведением операции может негативно сказаться на состоянии здоровья или даже привести к неисправимым последствиям. Индивидуальные показания к операции и выбор вида оперативного лечения определяется совместно хирургом и врачом-эндокринологом по результатам предварительного обследования.
Наиболее распространенным способом хирургического лечения кист надпочечников является рутинная цистэктомия через большой разрез в поясничной области. Выполнение операции с использованием лапароскопического доступа определяется квалификацией хирурга, тяжестью заболевания и состоянием здоровья .
Сочетание лапароскопического доступа и органсохраняющим подход к удалению кист надпочечника является "золотым стандартом" в лечении этой категории больных. Лапароскопическая операция позволяет под большим увеличением визуализировать надпочечники, сосуды в зоне операции и само патологическое образование. Важным преимуществом лапароскопического доступа является возможность быстро выделить и лигировать сосуды до операции, что делает операцию безопасной и быстрой.
Техника лапароскопического оперативного вмешательства при кистах надпочечников
Этапы удаления кисты надпочечника справа (положение пациента на спине с поворотом на 45 градусов), используется 5 портов:
- ретрактором поднимается правая доля печени
- ДПК мобилизуется по Кохеру
- обнажается передняя стенка НПВ и ППВ, визуализируется верхний полюс почки и нижний край надпочечника с его центральной веной
- Далее аппаратом «Liga Sure» мобилизуется надпочечник с выделением питающих его сосудов
- Удаление кисты надпочечника аппаратом «Liga Sure»
- помещение препарата в контейнер и эвакуация из брюшной полости
- контроль гемостаза в зоне операции
Этапы удаление кисты надпочечника слева, используется 5 портов:
- ретрактором поднимается левая доля печени
- Мобилизуется селезеночный угол толстой кишки, между фасциями Тольди и Герота
- визуализируется верхний полюс почки и нижний край надпочечника с его центральной веной
- аппаратом «Liga Sure» 5 мм мобилизуется киста по границе образования, затем она иссекается в пределах здоровой ткани надпочечника
- помещение препарата в контейнер и эвакуация его из брюшной полости
- контроль гемостаза в зоне операции.
Важным ключевым фактором успешности проведенного нами лечения является разработанная нами авторская методика установки троакаров при лапароскопических операциях на забрюшинном пространстве. Эта методика позволяет располагать хирургические инструменты в ходе операции под оптимальным манипуляционным углом для максимально эффективного иссечения опухолевидных и кистозных образований надпочечников.
Использование в ходе операции по иссечение кисты надпочечника аппарата дозированного элекротермического лигирования тканей «Liga sure» и современных ультразвуковых хирургических ножниц позволяет провести операцию быстро и бескровно, без использования хирургических нитей и клипс.
В связи с незначительным риском наличия одиночных, выявляемых лишь при гистологическом обследовании, островков злокачественных клеток, в нашей клинике все операции на надпочечниках выполняются по строгим соблюдением правил абластики. Препарат всегда извлекается из брюшной полости в специальном пластиковом контейнере. После операции по удалению кисты надпочечников обязательно проводится гистологическое исследование материала с целью исключения злокачественного характера удаленного образования.
В некоторых случаях, например большом размере кисты или опухоли, при ее расположении в воротах надпочечников, проводится не парциальная, а тотальная адреналэктомия (удаление всего надпочечника), что в моей практике встречалось лишь в двух случаях на 240 подобных оперативных вмешательств.
Операции на надпочечниках проводятся только под общим обезболиванием. В среднем операция продолжается около 30-40 мин. Перед операцией пациент в палате погружается в медикаментозный сон, чтобы обеспечить минимальный стресс от самой операции. В послеоперационном периоде боли отсутствуют.
На следующие сутки после операции разрешается пить и есть в соответствии с рекомендациями диетического стола № 1а, а начиная с третьего дня — питаться обычным образом. Пациенты с первого дня начинают вставать с постели. Эффект обезболивания заканчивается у большинства пациентов через 5-6 часов после операции, после чего возможно ощущение небольшого дискомфорта в области операции, что в большинстве случаев не требует применения обезболивающих препаратов.
Выписка из клинки проводится на 2-3 день после операции.
Большинство вмешательств при кистах надпочечников заканчиваются с отличным косметическим эффектом, поскольку при использовании лапароскопической техники на коже живота остаются 3-4 разреза длиной 5-10 мм, а в ходе самой операции применяются технологии пластической хирургии, включая использование косметических швов.
Посмотреть видео операций при кистах надпочечников в исполнении профессора Вы можете на сайте "Видео операций лучших хирургов мира".
Выводы о лапароскопическом лечении кист надпочечников
Таким образом,
- лапароскопическая хирургия надпочечников имеет целый ряд преимуществ (снижение инвазивности операции, болевого синдрома и количества осложнений, быструю реабилитацию, лучший косметический эффект, более высокое качество жизни и т. д.)
- парциальная адреналэктомия заняла достойное место в лечении доброкачественных поражений надпочечников, повышая качество жизни пациентов в послеоперационном периоде,
- для снижения количества рецидивов необходимо более тщательно проводить обследование и отбор пациентов в предоперационном периоде,
- во время оперативного вмешательства необходимо использовать современные электрохирургические системы и дополнительные способы гемостаза.
Вопросы, наиболее часто задаваемые пациентами
Каковы сроки пребывания в стационаре, и когда я смогу приступить к работе?
Сроки пребывания в стационаре индивидуальны и зависят от сложности и объема выполненной операции. В большинстве случаев длительность госпитализации не превышает 2-3 дней, затем пациент переводится на амбулаторный режим и наблюдается врачом вплоть до полного выздоровления. Минимальные послеоперационные разрезы через несколько месяцев становятся незаметными. Швы снимаются на 7-й день после операции. В амбулаторном порядке необходимо наблюдение эндокринолога. К работе пациент может приступить через 12 дней, в зависимости от характера опухоли и состояния гормонального статуса.
Что необходимо делать дома после операции?
Существенных ограничений у пациентов после операции на надпочечниках нет. Индивидуальные рекомендации при необходимости Вам будут предоставлены лечащим врачом при выписке из стационара.
Опубликованные работы по теме хирургическое лечение кист надпочечников
Больше информации по теме киста надпочечника:
Отзывы пациентов
17.01.2022 16:42:00 Инна Малахова
Огромное Вам Спасибо, Константин Викторович, за проведенную мне операцию, за сохраненный орган и высочайший профессионализм с Вашей стороны. Вы, действительно, Доктор с большой буквы, сразу же откликаетесь на чужую беду и помогаете людям.
Попав к Вам на прием, я не задавала вопросов на которые уже давно в Ваших постах в инстаграмм нашла ответы, а суть и исход данной операции Вы объяснили мне понятным языком.
От Вас и Вашей профессиональной уверенности в своих знаниях и опыте исходит аура, положительно влияющая на нас, Ваших пациентов. Еще раз спасибо Вам, всем врачам, у которых я проходила обследование и наблюдение, медсестрам и обслуживающему персоналу. Вы самые лучшие.
15.10.2019 09:29:00 Елена
Уважаемый Константин Викторович!
Выражаю Вам слова огромной благодарности за ваш высокий
профессионализм и золотые руки, за чуткость и внимание.
Уже на первой консультации получила подробную информацию о моей проблеме, а затем уже после
проведенной операции получала подробные ответы на все мои вопросы,
и это несмотря на вашу большую загруженность. Через год я прошла контрольное обследование, на Мрт ткань оперированного надпочечника в отличном состоянии, гормоны в норме.
Константин Викторович , огромное Вам человеческое спасибо за то, что вы есть, за то ,
что вселяете надежду на выздоровление и помогаете многим людям.
Крепкого здоровья Вам и вашим близким, процветания вашей клинике.
20.01.2017 Мустафаев Рашид
20.01.2017 Видео-отзыв пациентки
09.01.2017 10:22:00 Барчуков Феликс
Здравствуйте Константин Викторович!
Сильно болел 7 лет. Прошел десятки врачей и много клиник. Сдал сотни анализов. Прошел полное гастроэнтерологическое обследование в Германии (лежал в больнице в Германии 6 дней). В России проходил полное гастроэнтерологическое обследование много раз.
Вы первый врач, который мне помог. Вы удалили мне опухоль надпочечника. Состояние здоровье улучшилось в миллион раз. До этого в опухоль никто не верил (и это за 7 лет обследований в лучших клиниках Москвы). Как узнал про опухоль, сразу сделал операцию у Вас. Спасибо.
25.02.2015 23:12:00 Марина Халмурзаева
19.12.2014 Вера Легранд
Как я люблю тебя, Москва!
А руки доктора Пучкова!-
Я все ищу такое слово…
Нет! Все не то! Не те слова!
Простое русское «спасибо»
Не в силах смысла уместить.
Я не хочу Вам просто льстить -
Есть много слов у нас красивых,
Но «нет такого одного,
Чтоб охватить сполна все чувства,
Чтоб четко, емко, безискустно
Все выразить, сказав его.
Какой Вам дан талант от Бога!
Какое счастье, что Вы - есть!
Для нас - удача, радость, честь -
Что Вы пошли такой дорогой.
Вам все подвластно - и гранит,
И тропы тайные науки.
Благословляем Ваши руки!
Пусть Бог и дальше Вас хранит!
20.11.2013 Кулик Инна
08.06.2013 Ирина Колмыкова
Хочу выразить огромную благодарность Пучкову Константину Викторовичу и всему персоналу Швейцарской Университетской Клиники!
Вы выполнили настоящую уникальную высокотехнологическую операцию - убрали огромную опухоль и сохранили мне надпочечник.
Вот уже прошел месяц после проведенной у меня операции по удалению невриномы правого надпочечника - доброкачественной опухоли. Опухоль (невринома) была огромных размеров 12см х 7см х 4 см.
В клинике, где диагностировали эту опухоль, ужасно напугали, отправили в Онкоцентр оттуда к эндокринологам, везде какие-то страшные очереди, записи и т.д. И когда я осталась один на один с этой проблемой начала шерстить Интернет (спасибо ему и всем тем людям, которые оставляют там свои отзывы). Вот так и нашла Константина Викторовича и его Клинику и записалась на прием! И все равно было страшно, думаешь про себя: «Ну как так, всего лишь по отзывам, не зная доктора, не зная Клинику идти на операцию. »
Но придя на прием, пообщавшись с Константином Викторовичем от сердца отлегло и я уже верила что все будет хорошо. Константин Викторович очень позитивный человек, вселяющий надежду и уверенность! Все вокруг говорили: «Сходи к другим врачам, проверься ещё где-нибудь!» Но я уже в первого посещения поняла, оперироваться буду только здесь!
Сначала шел разговор об удалении невриномы с надпочечником, лимфатических узлов и всей клетчатки вокруг. Буквально за три дня было проведено все обследование (за всю свою жизнь наверно не сделала сколько анализов и исследований) и я легла на операцию. После операции проснулась в палате, спасибо всем тем, кто ухаживал послеоперационный период, доктору-анестезиологу, медсестрам. После операции пришел Константин Викторович и сказал мне радостную новость - удалена только опухоль, надпочечник и все вокруг осталось при мне. Конечно все болело и тянуло, но после 4-х дней в больнице выписали уже полноценным человеком.
Сейчас уже на работе, об операции напоминают только небольшие шрамики , которые надеюсь скоро совсем будут не заметными!
УЗИ надпочечников - что показывает, подготовка и методика проведения

УЗИ надпочечников - диагностический метод, визуализирующий парные адреналовые железы: их размеры, расположение, структуру ткани, особенности контуров, присутствие опухолевых и иных образований. Исследование информативно в диагностике рака, альдостеромы, аденомы, кисты, гиперплазии. Процедура осуществляется через боковые и передний доступы. Основной ультразвуковой режим - двухмерная эхография. В комплексе с УЗИ надпочечников нередко выполняется допплерография.
Подготовка
Строгие требования относительно подготовки к УЗИ надпочечников отсутствуют. Чтобы увеличить вероятность получения качественного изображения, рекомендуется придерживаться ряда правил, снижающих процесс газообразования в пищеварительном тракте:
Что показывает
УЗИ надпочечников в B-режиме дает двухмерное изображение, позволяющее определить расположение парных органов, их величину, четкость контуров, однородность внутренней структуры и наличие посторонних включений. При допплерографии исследуются особенности кровоснабжения органа: проходимость вен и артерий, скорость и направление кровотока, извилистость сосудов. Максимальный размер здорового надпочечника в проекции не превышает 2-2,5 см, на мониторе УЗ-аппарата железа представлена в виде тонкой эхогенной полоски. При патологическом увеличении органа визуализация становится более четкой. УЗИ выявляет следующие заболевания:
- Гиперплазия надпочечников. Основным признаком гиперплазии надпочечников является увеличение размеров одного или двух органов. При диффузном варианте болезни увеличивается весь надпочечник, при очаговом - отдельные участки, имеющие неправильную форму и четкие контуры.
- Рак надпочечников. Злокачественные опухоли надпочечников визуализируются как участки измененной эхогенности (чаще повышенной) с неровными краями. Структура пораженного органа становится неоднородной
- Киста. О наличии кисты надпочечника свидетельствует анэхогенная округлая область с четкими контурами, плотной гиперэхогенной капсулой, дистальным усилением.
- Доброкачественные опухоли. К доброкачественным новообразованиям надпочечников относятся альдостеромы и аденомы. Они отображаются как однородные области с низкой эхогенностью и четким контуром.
- Феохромоцитома. Возможен как доброкачественный, так и злокачественный характер феохромоцитомы. Неоплазия часто имеет крупные размеры, представляет собой гиперэхогенную область неправильной формы с мелкими анэхогенными участками.
Вне зависимости от характера патологии надпочечников, результатов УЗИ для постановки диагноза недостаточно. Методика показывает структурные изменения эндокринных органов. Полученные данные интерпретируются с учетом клинической картины и показателей лабораторных исследований гормонов, иногда указывают на необходимость дополнительного проведения КТ, МРТ надпочечников.
Преимущества
УЗИ надпочечников безопасно, не приводит к развитию побочных эффектов, поэтому назначается детям, беременным, кормящим матерям и пожилым людям. По сравнению с другими методами визуализации органов - МРТ, КТ, рентгенологическими исследованиям - УЗИ имеет более низкую стоимость, что позволяет широко применять его при первичной диагностике заболеваний. Весомым недостатком метода является трудность визуализации надпочечников, связанная с их размерами и особенностями расположения - слои подкожной и забрюшинной жировой клетчатки, мышцы и кишечник препятствуют прохождению волн ультразвука, снижая качество УЗ-изображения.
Киста надпочечника

Киста надпочечника (или инциденталома надпочечника) - это случайно выявленное образование надпочечника. Как правило, кисты надпочечника обнаруживают при выполнении пациенту ультразвукового исследования (УЗИ), компьютерной томографии (КТ) или магнитно-резонансной томографии (МРТ), которые проводятся пациенту не по поводу заболевания надпочечников, а по другим причинам.
Распространенность в популяции образований надпочечников в среднем составляет от 1,5 до 9%.
Число выявления кист увеличивается с возрастом пациентов: среди лиц старше 50 лет их частота составляет 3—7%, тогда как у лиц до 30 лет меньше 1%.
Двусторонние образования надпочечника встречаются в 2—10% всех случаев.

Надпочечники человека - это парные эндокринные железы человека, расположенные над верхней частью почек и продуцирующие жизненно важные гормоны. Поэтому при выявлении образования надпочечника размером более 1 см в первую очередь врачу и пациенту необходимо ответить на два главных вопроса:
- Не является ли это образование гормонально активным? (иными словами: не вырабатывает ли киста дополнительные гормоны?)
- Не является ли это образование злокачественным?
В этой статье мы рассмотрим доброкачественные образования надпочечника, которые не являются гормонально активными (то есть не продуцируют гормоны) - собственно кисты, и доброкачественные образования надпочечника, которые являются гормонально активными (то есть продуцируют дополнительные гормоны) - аденомы.
Строение надпочечников
Наши надпочечники состоят из двух структур:
- Корковое вещество (в котором выделяют три зоны):
- клубочковая зона
- пучковая зона
- сетчатая зона
Какие гормоны вырабатываются каждой зоной:
В клубочковой зоне коры надпочечника вырабатываются минералокортикоиды (главным образом - альдостерон). Альдостерон регулирует концентрацию натрия и калия в нашем организме, влияет на уровень артериального давления. Образование надпочечника, дополнительно вырабатывающее альдостерон называется альдостеромой.
В пучковой зоне коры надпочечника вырабатываются глюкокортикоиды (главным образом -кортизол). Кортизол стимулирует образование глюкозы (то есть повышает уровень «сахара» крови), угнетает воспалительные и аллергические реакции, а также повышает возбудимость нервной системы. Образование надпочечника, дополнительно вырабатывающее кортизол называется кортикостеромой.
В сетчатой зоне коры надпочечника вырабатываются андрогены - половые гормоны. Недостаток этих гормонов вызывает выпадение волос; избыток ведёт к вирилизации или феминизации — появлению у человека черт, характерных для противоположного пола. Образования надпочечников, дополнительно вырабатывающие половые гормоны называются эстрогенпродуцирующие (вырабатывающие женские половые гормоны) и андрогенпродуциирующие (вырабатывающие мужские половые гормоны) опухоли надпочечника.
В мозговом веществе надпочечников вырабатываются катехоламины (главным образом -адреналин). Адреналин заставляет сердце сокращаться чаще и сильнее, расширяет просвет бронхов, стимулирует образование глюкозы (то есть повышает уровень «сахара» крови). Образование надпочечника, дополнительно вырабатывающее адреналин называется феохромоцитомой.
Если образование надпочечника является доброкачественным и гормонально не активным, то есть это просто существующая, ничем себя не проявляющая киста - то и симптомов ее наличия у человека, как правило, никаких нет.
Если образование надпочечника является доброкачественным, но гормонально активным, то есть это аденома, вырабатывающая дополнительно какой-либо из выше перечисленных гормонов: альдостерома, кортикостерома, феохромоцитома или опухоли, синтезирующие половые гормоны - то у человека возникает ряд симптомов, которые зависят от функций дополнительно вырабатываемого гормона.
Симптомы
Какими симптомами могут проявлять себя доброкачественные, но продуцирующие гормоны аденомы надпочечника?
![Screenshot_8.jpg]()
- повышенное артериальное давление;
- гипокалиемия - состояние при котором в крови человека возникает дефицит калия;
- мышечная слабость, судороги, ощущение «мурашек» на коже - следствие нарушения нервно-мышечной проводимости из-за гипокалиемии;
- учащение мочеиспускания, частые ночные позывы - следствие поражение почек из-за гипокалиемии.
- избыточный вес (особенность ожирения: перераспределение подкожно-жировой клетчатки в верхнюю половину туловища при сравнительно тонких конечностях; «лунообразное лицо»);
- изменение кожных покровов: появление багровых растяжек;
- повышенное артериального давления;
- возникновение сахарного диабета;
- остеопороз: повышенная «ломкость» костей.
- головная боль;
- учащенное сердцебиение;
- повышенная потливост;.
- повышенное артериальное давление, трудно поддающееся лечению.
ЭСТРОГЕНПРОДУЦИРУЮЩАЯ ОПУХОЛЬ НАДПОЧЕЧНИКОВ - у взрослых мужчин подавляет функцию половых желез и вызывает бесплодие.
АНДРОГЕНПРОДУЦИРУЮЩАЯ ОПУХОЛЬ НАДПОЧЕЧНИКОВ - у взрослых женщин вызывает нарушение менструального цикла (вплоть до полного прекращения менструаций), уменьшение размеров молочных желез и половых органов, угревую сыпь, повышенное оволосение лица и тела.
Диагностика
Визуализация образования
Так как образования надпочечника выявляются случайно, как правило, при проведении УЗИ, КТ или МРТ, очень важно знать некоторые характеристики, которые помогут условно определить, каким, вероятнее всего, это образование является - доброкачественным или злокачественным.
По статистике около 95-97% процентов случайно выявленных образований оказываются доброкачественными и только в 2-5% случаев выявленное образование оказывается злокачественной опухолью.
Условные критерии доброкачественного образования:
- размер до 4 см в диаметре;
- форма доброкачественных образований в большинстве случаев округлая, с ровными четкими краями;
- структура доброкачественных образований однородная, одинаковой плотности;
- рост в динамике доброкачественных образований в динамике медленный: до 1 см в год.
Гормональное обследование
АЛЬДОСТЕРОМА: основное исследование - определение альдостерон-рениного соотношения (АРС).
Методика проведения: АРС производится в утренние часы, после пребывания пациента в вертикальном положении не более 2 часов (до 10 часов утра). Перед забором крови пациент должен сидеть (лежать) в течение 5-15 минут.
По рекомендациям Международного эндокринологического общества диагностическим критерием для первичного гиперальдостеронизма является величина АРС ≥ 30.
КОРТИКОСТЕРОМА: основное исследование - ночной дексаметазоновый тест.
Методика проведения: в 23 ч пациент принимает 1 мг Дексаметазона, в 8 ч утра следующего дня определяют кортизол в крови.
В норме кортизол снижается менее уровня 1,8 мкг/дл (50 нмоль/л).
ФЕОХРОМОЦИТОМА: основное исследование - определение в суточной моче, а также в плазме крови свободных фракций метанефрина и норметанефрина.
Методика проведения: перед забором крови пациент должен находиться 30 минут в горизонтальном положении, далее, также в положении лежа проводится сам забор крови.
При превышении допустимых верхних границ значений метанефринов более чем в 3 раза проведения подтверждающего теста не требуется. При увеличении уровня метанефринов менее, чем в 3 раза требуется дополнительное проведение сцинтиграфии.
ОПУХОЛЬ НАДПОЧЕЧНИКОВ, ПРОДУЦИРУЮЩАЯ ПОЛОВЫЕ ГОРМОНЫ: основное исследование - определение уровней стероидных гормонов (андрогенов и эстрогенов).
Биопсия образования
Пункционная биопсия образований надпочечников достаточно трудна и не показана как метод дифференциальной диагностики доброкачественного и злокачественного образования надпочечников. Проведение биопсии оправдано только у пациентов с подозрением на метастатическое поражение надпочечника.
Лечение
В случае обнаружения доброкачественного образования надпочечников по данным УЗИ, КТ, МРТ, до 4 см в диаметре, не продуцирующего гормоны, следует придерживаться тактики наблюдения: желательно повторить КТ с контрастированием в период от 12 до 24 месяцев после выявления образования для оценки динамики образования.
В случае обнаружения сомнительного образования надпочечников по данным УЗИ, КТ, МРТ, до 4 см в диаметре, не продуцирующего гормоны, следует придерживаться тактики наблюдения: желательно повторить КТ с контрастированием через 3 месяца после выявления образования для оценки динамики образования.
В случае обнаружения доброкачественного или сомнительного образования надпочечников по данным УЗИ, КТ, МРТ, более 4 см в диаметре, не продуцирующего гормоны, следует придерживаться тактики проведения адреналэктомии - удаление надпочечника.
В случае обнаружения доброкачественного или сомнительного образования надпочечников по данным УЗИ, КТ, МРТ, до или более 4 см в диаметре, продуцирующего гормоны, следует так же придерживаться тактики проведения адреналэктомии - удаление надпочечника.
Адреналэктомия (удаление надпочечника) проводится под общей анестезией (наркозом) двумя способами: традиционно (полостная операция) и эндоскопически (через небольшие проколы).
При полостной операции делается небольшой разрез кожи и мышц сбоку в поясничной области (если размер опухоли небольшой) или довольно широкий разрез со стороны живота (если размер опухоли большой).
Эндоскопическая адреналэктомия выполняется с помощью специальных инструментов, которые вводятся через маленькие разрезы (до одного сантиметра). Причем разрезы могут быть выполнены на спине, боку (в поясничной области) или на животе (лапароскопическая адреналэктомия).
В данный момент эндоскопическая хирургия все чаще вытесняет полостные оперативные вмешательства.
Вопросы врачу
К какому врачу мне следует обратиться после обнаружения образования надпочечника?
После выявления опухоли первым делом необходимо обратиться к врачу-эндокринологу - именно этот врач занимается заболеваниями органов эндокринной системы, к которым относятся надпочечники.
Что мне делать после того, как образование обнаружено?
Необходимо оценить ее характеристики после выполненного УЗИ, КТ, МРТ и пройти гормональное обследование.
Можно ли вылечить кисту таблетками?
Нет, к сожалению, это невозможно. Нужно только внимательно следить за ней в динамике и при необходимости выполнить хирургическое удаление.
Когда мне следует делать операцию?
Однозначно это рекомендовано, когда размер образования больше 4 см и оно обладает сомнительными характеристиками по данным УЗИ, КТ или МРТ, а также в том случае, если является продуцирующим гормоны.
Опасна ли подготовка к операции и операция по удалению надпочечников?
Так как зачастую удаление надпочечника происходит из-за доброкачественных образований с чрезмерной гормональной активностью, то главная задача врача - скорректировать при помощи доступных лекарственных препаратов гормональные нарушения, спровоцированные опухолью, после чего спокойно можно провести операцию.
Основным осложнением, а, скорее даже, последствием операции является назначение пациенту дополнительной гормональной терапии. В основном это происходит в случае двустороннего удаления надпочечников в результате двустороннего их поражения.
Источники
1. The adrenal incidentaloma - данные uptodate. William F Young, Jr, MD, MSc, Electron Kebebew, MD, FACS
2. Клинические рекомендации Российской ассоциации эндокринологов по дифференциальной диагностике инциденталом надпочечников. Бельцевич Д.Г., Мельниченко Г.А., Кузнецов Н.С., Трошина Е.А., Платонова Н.М., Ванушко В.Э., Юкина М.Ю., Молашенко Н.В
3. Инциденталома надпочечников (диагностика и дифференциальная диагностика) Методические рекомендации для врачей первичного звена. Дедов, Мельниченко
Опухоли надпочечников
Опухоли надпочечников - доброкачественные или злокачественные очаговые разрастания клеток надпочечников. Могут исходить из коркового или мозгового слоев, иметь разную гистологическую, морфологическую структуру и клинические проявления. Чаще проявляют себя приступообразно в виде адреналовых кризов: дрожание мышц, повышение АД, тахикардия, возбуждение, чувство страха смерти, боли в животе и груди, обильное отделение мочи. В дальнейшем возможно развитие сахарного диабета, нарушений работы почек, нарушение половых функций. Лечение всегда оперативное.
МКБ-10
![КТ ОБП/ЗП. Аденомы обоих надпочечников.]()
Общие сведения
Патанатомия
Надпочечники - сложные по гистологическому строению и гормональной функции эндокринные железы, образуемые двумя различными в морфологическом и эмбриологическом отношении слоями - наружным, корковым и внутренним, мозговым.
Корой надпочечников синтезируются различные стероидные гормоны:
Внутренним, мозговым слоем надпочечников вырабатываются катехоламины: дофамин, норадреналин и адреналин, служащие нейромедиаторами, передающими нервные импульсы, и влияющие на обменные процессы. При развитии опухолей надпочечников эндокринная патология определяется поражением того или иного слоя желез и особенностями действия избыточно секретируемого гормона.
Классификация
По локализации новообразования надпочечников делятся на две большие группы, принципиально отличающиеся друг от друга: опухоли коры надпочечников и опухоли мозгового вещества надпочечников. Опухоли наружного кортикального слоя надпочечников - альдостерома, кортикостерома, кортикоэстрома, андростерома и смешанные формы - наблюдаются достаточно редко. Из внутреннего мозгового слоя надпочечников исходят опухоли хромаффинной или нервной ткани: феохромоцитома (развивается чаще) и ганглионеврома. Опухоли надпочечников, исходящие из мозгового и коркового слоя, могут быть доброкачественными или злокачественными.
Доброкачественные новообразования надпочечников, как правило, небольших размеров, без выраженных клинических проявлений и являются случайными находками при обследовании. При злокачественных опухолях надпочечников наблюдается быстрое увеличение размеров новообразований и выраженные симптомы интоксикации. Встречаются первичные злокачественные опухоли надпочечников, исходящие из собственных элементов органа, и вторичные, метастазирующие из других локализаций.
Кроме того, первичные опухоли надпочечников могут быть гормонально-неактивными (инциденталомы или «клинически немые» опухоли) или продуцирующими в избытке какой-либо гормон надпочечника, т. е. гормонально-активными.
- Гормонально-неактивные новообразования надпочечников чаще доброкачественны (липома, фиброма, миома), с одинаковой частотой развиваются у женщин и мужчин любых возрастных групп, обычно сопутствуют течению ожирения, гипертензии, сахарного диабета. Реже встречаются злокачественные гормонально-неактивные опухоли надпочечников (меланома, тератома, пирогенный рак).
- Гормонально-активными опухолями коркового слоя надпочечников являются альдостерома, андростерома, кортикоэстрома и кортикостерома; мозгового слоя - феохромоцитома. По патофизиологическому критерию опухоли надпочечников подразделяются на:
- вызывающие нарушения водно-солевого обмена - альдостеромы;
- вызывающие метаболические нарушения - кортикостеромы;
- новообразования, оказывающие маскулинизирующее действие - андростеромы;
- новообразования, оказывающие феминизирующее действие - кортикоэстромы;
- новообразования со смешанной обменно-вирильной симптоматикой - кортикоандростеромы.
Наибольшее клиническое значение имеют гормоносекретирующие опухоли надпочечников.
Симптомы опухолей надпочечников
Опухоли надпочечников, протекающие без явлений гиперальдостеронизма, гиперкортицизма, феминизации или вирилизации, вегетативных кризов развиваются бессимптомно. Как правило, они выявляются случайно при выполнении МРТ, КТ почек или УЗИ брюшной полости и ретроперитонеального пространства, выполняемых по поводу других заболеваний.
Альдостерома
Продуцирующая альдостерон опухоль надпочечников, исходящая из клубочковой зоны коры и вызывающая развитие первичного альдостеронизма (синдрома Конна). Альдостерон осуществляет в организме регуляцию минерально-солевого обмена. Избыток альдостерона вызывает гипертензию, мышечную слабость, алкалоз (ощелачивание крови и тканей) и гипокалиемию. Альдостеромы могут быть одиночными (в 70-90% случаев) и множественными (10-15%), одно- или двусторонними. Злокачественные альдостеромы встречаются у 2-4% пациентов.
Альдостеромы проявляются тремя группами симптомов: сердечно-сосудистыми, почечными и нервно-мышечными. Отмечаются стойкая артериальная гипертензия, не поддающаяся гипотензивной терапии, головные боли, одышка, перебои в сердце, гипертрофия, а затем дистрофия миокарда. Стойкая гипертензия приводит к изменениям глазного дна (от ангиоспазма до ретинопатии, кровоизлияниям, дегенеративным изменениям и отеку диска зрительного нерва).
При резком выбросе альдостерона может развиваться криз, проявляющийся рвотой, сильнейшей головной болью, резкой миопатией, поверхностными дыхательными движениями, нарушением зрения, возможно - развитием вялого паралича или приступа тетании. Осложнениями криза могут служить острая коронарная недостаточность, инсульт. Почечные симптомы альдостеромы развиваются при резко выраженной гипокалиемии: появляются жажда, полиурия, никтурия, щелочная реакция мочи.
Нервно-мышечные проявления альдостеромы: мышечная слабость различной степени выраженности, парестезии и судороги - обусловлены гипокалиемией, развитием внутриклеточного ацидоза и дистрофией мышечной и нервной ткани. Бессимптомное течение альдостеромы встречается у 6-10 % пациентов с данным видом опухолей надпочечников.
Глюкостерома
Глюкостерома, или кортикостерома - продуцирующая глюкокортикоиды опухоль надпочечников, исходящая из пучковой зоны коры и вызывающая развитие синдрома Иценко-Кушинга (ожирения, артериальной гипертензии, раннего полового созревания у детей и раннего угасания половой функции у взрослых). Кортикостеромы могут иметь доброкачественное течение (аденомы) и злокачественное (аденокарциномы, кортикобластомы). Кортикостеромы - самые распространенные опухоли коры надпочечников.
Клиника кортикостеромы соответствует проявлениям гиперкортицизма (синдрома Иценко-Кушинга). Развивается ожирение по кушингоидному типу, гипертензия, головная боль, повышенная мышечная слабость и утомляемость, стероидный диабет, половая дисфункция. На животе, молочных железах, внутренних поверхностях бедер отмечается появление стрий и петехиальных кровоизлияний. У мужчин развиваются признаки феминизации - гинекомастия, гипоплазия яичек, снижение потенции; у женщин, напротив, признаки вирилизации - мужской тип оволосения, понижение тембра голоса, гипертрофия клитора.
Развивающийся остеопороз служит причиной компрессионного перелома тел позвонков. У четверти пациентов с данной опухолью надпочечников выявляется пиелонефрит и мочекаменная болезнь. Нередко отмечается нарушение психических функций: депрессия или возбуждение.
Кортикоэстерома
Продуцирующая эстрогены опухоль надпочечников, исходящая из пучковой и сетчатой зон коры и вызывающая развитие эстроген-генитального синдрома (феминизации и половой слабости у мужчин). Развивается редко, обычно у молодых мужчин, чаще носит злокачественный характер и выраженный экспансивный рост.
Проявления кортикоэстеромы у девочек связаны с ускорением физического и полового развития (увеличением наружных половых органов и молочных желез, оволосением лобка, ускорением роста и преждевременным созреванием скелета, влагалищными кровотечениями), у мальчиков - с задержкой полового развития. У взрослых мужчин развиваются признаки феминизации - двусторонняя гинекомастия, атрофия полового члена и яичек, отсутствие роста волос на лице, высокий тембр голоса, распределение жировых отложений на теле по женскому типу, олигоспермия, снижение или утрата потенции. У пациенток-женщин эта опухоль надпочечников симптоматически никак себя не проявляет и сопровождается только увеличением концентрации в крови эстрогенов. Чисто феминизирующие опухоли надпочечников довольно редки, чаще они носят смешанный характер.
Андростерома
Продуцирующая андрогены опухоль надпочечников, исходящая их сетчатой зоны коры или эктопической надпочечниковой ткани (забрюшинной жировой клетчатки, яичников, широкой связки матки, семенных канатиков и др.) и вызывающая развитие андроген-генитального синдрома (раннего полового созревания у мальчиков, псевдогермафродитизма у девочек, симптомов вирилизации у женщин). В половине случаев андростеромы злокачественны, метастазируют в легкие, печень, забрюшинные лимфоузлы. У женщин развивается в 2 раза чаще, обычно в возрастном диапазоне от 20 до 40 лет. Андростеромы являются редкой патологией и составляют от 1 до 3% всех опухолей.
Андростеромы, характеризующиеся избыточной продукцией андрогенов опухолевыми клетками (тестостерона, андростендиона, дегидроэпиандростерона и др.), вызывают развитие анаболического и вирильного синдрома. При андростероме у детей отмечается ускоренное физическое и половое развитие - быстрый рост и мышечное развитие, огрубение тембра голоса, появление угревой сыпи на туловище и лице. При развитии андростеромы у женщин появляются признаки вирилизации - прекращение менструаций, гирсутизм, снижение тембра голоса, гипотрофия матки и молочных желез, гипертрофия клитора, уменьшение подкожно-жирового слоя, повышение либидо. У мужчин проявления вирилизма выражены меньше, поэтому эти опухоли надпочечников часто являются случайными находками. Возможна секреция андростеромой и глюкокортикоидов, что проявляется клиникой гиперкортицизма.
Феохромоцитома
Продуцирующая катехоламины опухоль надпочечников, исходящая из хромаффинных клеток мозговой ткани надпочечников (в 90%) или нейроэндокринной системы (симпатических сплетений и ганглиев, солнечного сплетения и т. д.) и сопровождающаяся вегетативными кризами. Морфологически чаще феохромоцитома носит доброкачественное течение, ее озлокачествление наблюдается у 10% пациентов, обычно с вненадпочечниковой локализацией опухоли. Феохромоцитома встречается у женщин несколько чаще, преимущественно в возрасте от 30 до 50 лет. 10 % данного вида опухолей надпочечников носят семейный характер.
Развитие феохромоцитомы сопровождается опасными гемодинамическими нарушениями и может протекать в трех формах: пароксизмальной, постоянной и смешанной. Течение наиболее частой пароксизмальной формы (от 35 до 85%) проявляется внезапной, чрезмерно высокой артериальной гипертензией (до 300 и выше мм рт. ст.) с головокружением, головной болью, мраморностью или бледностью кожных покровов, сердцебиением, потливостью, загрудинными болями, рвотой, дрожью, чувством паники, полиурией, подъемом температуры тела. Приступ пароксизма провоцируется физическим напряжением, пальпацией опухоли, обильной едой, алкоголем, мочеиспусканием, стрессовыми ситуациями (травмами, операцией, родами и др.).
Пароксизмальный криз может длиться до нескольких часов, повторяемость кризов - от 1 в течение нескольких месяцев до нескольких в день. Криз прекращается быстро и внезапно, артериальное давление приходит к исходной величине, бледность сменяется покраснением кожных покровов, наблюдаются обильное потоотделение и секреция слюны. При постоянной форме феохромоцитомы отмечается стойко повышенное артериальное давление. При смешанной форме данной опухоли надпочечников феохромоцитомные кризы развиваются на фоне постоянной артериальной гипертензии.
Осложнения
Среди осложнений доброкачественных опухолей надпочечников встречается их малигнизация. Злокачественные опухоли надпочечников метастазируют в легкие, печень, кости. При тяжелом течении феохромоцитомный криз осложняется катехоламиновым шоком - неуправляемой гемодинамикой, беспорядочной сменой высоких и низких показателей АД, не поддающихся консервативной терапии. Катехоламиновый шок развивается в 10% случаев, чаще у пациентов детского возраста.
Современная эндокринология располагает такими методами диагностики, которые не только позволяют диагностировать опухоли надпочечника, но и устанавливать их вид и локализацию. Функциональная активность опухолей надпочечников определяется по содержанию в суточной моче альдостерона, свободного кортизола, катехоламинов, гомованилиновой и ванилилминдальной кислоты.
При подозрении на феохромоцитому и кризовых подъемах АД мочу и кровь на катехоламины забирают сразу после приступа или во время него. Специальные пробы при опухолях надпочечников предусматривают забор крови на гормоны до и после приема лекарств (проба с каптоприлом и др.) или измерение АД до и после приема препаратов (пробы с клонидином, тирамином и тропафеном).
Гормональную активность опухоли надпочечников можно оценить, используя селективную надпочечниковую флебографию - рентгенконтрастную катетеризацию надпочечниковых вен с последующим забором крови и определением в ней уровня гормонов. Исследование противопоказано при феохромоцитоме, т. к. может спровоцировать развитие криза. Размеры и локализацию опухоли надпочечников, наличие отдаленных метастазов оценивают по результатам УЗИ надпочечников, КТ или МРТ. Эти диагностические методы позволяют выявить опухоли- инциденталомы диаметром от 0,5 до 6 см.
![КТ ОБП/ЗП. Аденомы обоих надпочечников.]()
Лечение опухолей надпочечников
Гормонально-активные опухоли надпочечников, а также новобразования диаметром более 3 см, не проявляющие функциональной активности, и опухоли с признаками малигнизации лечатся хирургически. В остальных случаях возможен динамический контроль за развитием опухоли надпочечника. Операции по поводу опухолей надпочечников проводятся из открытого или лапароскопического доступа. Удалению подлежит весь пораженный надпочечник (адреналэктомия - удаление надпочечника), а при злокачественной опухоли - надпочечник вместе с близрасположенными лимфоузлами.
Наибольшую сложность представляют операции при феохромоцитоме из-за большой вероятности развития тяжелых нарушений гемодинамики. В этих случаях уделяется большое внимание предоперационной подготовке пациента и выбору анестезиологического пособия, направленных на купирование феохромоцитомных кризов. При феохромоцитомах применяется также лечение с помощью внутривенного введения радиоактивного изотопа, вызывающего уменьшение в размерах опухоли надпочечника и имеющихся метастазов.
Лечение некоторых видов опухолей надпочечников хорошо поддается химиотерапии (митотаном). Купирование феохромоцитомного криза проводится внутривенной инфузией фентоламина, нитроглицерина, натрия нитропруссида. При невозможности купирования криза и развитии катехоламинового шока показана экстренная операция по жизненным показаниям. После оперативного удаления опухоли вместе с надпочечником врач-эндокринолог назначает постоянную заместительную терапию гомонами надпочечников.
Прогноз
Своевременное удаление доброкачественных опухолей надпочечников сопровождается благоприятным для жизни прогнозом. Однако после удаления андростеромы у пациентов нередко отмечается низкорослость. У половины пациентов, перенесших операцию по поводу феохромоцитомы, сохраняются умеренная тахикардия, гипертензия (постоянная или транзиторная), поддающиеся лекарственной коррекции. При удалении альдостеромы артериальное давление приходит в норму у 70% пациентов, в 30% случаев сохраняется умеренная гипертония, хорошо откликающаяся на гипотензивную терапию.
После удаления доброкачественной кортикостеромы регресс симптоматики отмечается уже через 1,5-2 мес.: изменяется внешность пациента, приходят в норму АД и обменные процессы, бледнеют стрии, нормализуется половая функция, исчезают проявления стероидного сахарного диабета, снижается масса тела, уменьшается и исчезает гирсутизм. Злокачественные опухоли надпочечников и их метастазирование прогностически крайне неблагоприятны.
Профилактика
Поскольку причины развития опухолей надпочечников до конца не установлены, профилактика сводится к предупреждению рецидивов удаленных опухолей и возможных осложнений. После адреналэктомии необходимы контрольные обследования пациентов эндокринологом 1 раз в 6 мес. с последующей коррекцией терапии в зависимости от самочувствия и результатов исследований.
Пациентам после адреналэктомии по поводу опухолей надпочечников противопоказаны физические и психические нагрузки, употребление снотворных средств и алкоголя.
Опухоль надпочечника
Вести-Кузбасс: видеорепортаж о мастер-классе: «Эндоскопические операции в хирургии, урологии и гинекологии»
Инциденталома надпочечника ( случайно найденная опухоль) - опухоль выявленная при ультразвуковом, Ямрт или Кт обследовании, которое проводилось в отсутствии жалоб и клинической картины со стороны надпочечников. Эти опухоли обнаруживаются приблизительно у 4% людей, из них двухстороннее поражение составляет около 15%. Выявленное образование может оказаться как гормонально-неактивным, так и активно производящим различные гормоны, может исходить из различных зон надпочечника или иметь неспецифичную органную принадлежность, может быть как злокачественной, так и доброкачественной.
Диагностика опухоли надпочечника
Для хирургов наиболее интересным вопросом является статистическая вероятность различных нозологических форм (кортизол- и альдостерон-продуцирующие аденомы, феохромоцитома, адренокортикальный рак, метастаз в надпочечник рака) в рамках инциденталом ( выявленных опухолей надпочечников). Оценка вероятности важна с точки зрения наиболее актуальных проблем: злокачественного потенциала и гормональной активности опухолей.
При повышенной продукции половых гормонов клинические проявления достаточно яркие, обследование надпочечников проводится, как правило, целенаправленно. Необходимо исследовать альдостерон, кортизол и катехоламины. Фракционированное определение метанефринов (раздельное определение метанефрина и норметанефрина, по показаниям - метокситирамина) в моче или плазме обладает наибольшей диагностической чувствительностью по отношению к изначальному (т.е. истинно опухолевому) количеству катехоламинов и рекомендованы в качестве диагностического теста первой линии при подозрении на феохромоцитому.
Определение злокачественного потенциала опухоли является не менее ответственной задачей для хирурга при выборе метода операции при опухоли надпочечника. Адренокортикальный рак может быть выявлен у 4,2% пациентов с инциденталомами. Для оценки вероятности злокачественности опухоли традиционно использовались два параметра: размер опухоли и, при динамическом наблюдении - скорость роста. При размере опухоли более 4 см около 25% образований являются злокачественными. Признак скорости опухолевого роста так же может оцениваться, как диагностический фактор: самая быстрая скорость характерна для рака коры надпочечников. Описано увеличение размера опухоли за несколько месяцев наблюдения в 2 раза. В абсолютных значениях при раке описано увеличение размеров от 3 до 10 см за 1 год. В литературе есть наблюдения, когда при первичном КТ опухоль не определялась, а через 1 год при повторном КТ размер опухоли надпочечника составлял 12 см. Минимальный рост характерен для доброкачественных аденом -несколько миллиметров в год. Скорость роста феохромоцитомы составляет 0,5 - 1 см в год, скорость роста метастатической карциномы вариабельна, зависит от морфологического типа первичной опухоли.
Пр размере опухоли более 4 см частота злокачественной природы опухоли составляет более 25%. Если при динамическом наблюдении отмечается рост опухоли на 1 см в год или 0,5 см за 6 месяцев, необходимо безотлагательное выполнение оперативного вмешательства, так как для доброкачественных аденом характерен рост всего 2-3 мм в год.
При обнаружении опухоли необходимо провести КТ-семиотику опухоли. При исследовании КТ-плотности на разных фазах выведения контраста (wash-out), аденомы коры надпочечника быстро снижают показатели плотности, в то время как другие образования надпочечников имеют тенденцию к задержке контрастного вещества. Снижение КТ-плотности через 10 мин. после введения контраста более чем на 50% от разности значений плотности в доконтрастную и контрастную фазу свидетельствует о доброкачественной аденоме коры надпочечника. Измерение этого показателя имеет близкую к абсолютным значениям чувствительность при дифференциальном диагнозе аденом от феохромоцитомы, адренокортикального рака и метастатической карциномы.
Повторное КТ обычно рекомендуется через 6, 12, и 24 месяца после первичного выявления. При подозрительных данных КТ (высокая плотность и накопление контраста) и небольшом размере опухоли (до 3 см) оптимальным считают интервал первичного наблюдения 3 месяца. При больших размерах, также показано оперативное вмешательство, без дальнейшего наблюдения.
Лечебная тактика при опухоли надпочечника
При выявлении опухоли надпочечника размером более 1 см в первую очередь необходимо исключить или подтвердить гормональную активность образования, которая может проявляться гиперкатехоламинемией, АКТГ-независимым гиперкортицизмом, первичным гиперальдостеронизмом.
На втором этапе для диагностики злокачественного потенциала опухоли рекомендована оценка количественных денситометрических показателей при трехфазной мультиспиральной КТ:
- плотность тканевого компонента до контрастирования (нативная);
- плотность в тканевую фазу контрастирования (артериальная и венозная фазы);
- плотность в отсроченную (через 10 мин. после введения контраста) фазу контрастирования (фаза вымывания).
При получении высокоплотных КТ-значений в нативную фазу, задержки контраста в отсроченной фазе - злокачественный потенциал опухоли должен оцениваться, как высокий.
В дифференциальном диагнозе опухолей надпочечника пункционная биопсия не имеет доказанных преимуществ, ассоциируется с низкой чувствительностью, специфичностью и высокой вероятностью осложнений. Тоже самое кажется и такого метода диагностики, как ПЭТ КТ, выявлено что не все нейроэндокринные злокачественные опухоли надпочечника накапливают контрастное вещество, таким образом данный метод не являются специфическим и достоверным, и может дать ложно -отрицательный результат.
Показания к оперативному хирургическому лечению опухоли надпочечника
Абсолютным показанием к операции при наличии образований надпочечников являются:
- выраженность и прогрессирование клинического синдрома, связанного с гормональной активностью опухоли, не зависимо от размера,
- подозрение на злокачественный характер опухоли: быстрое прогрессирование размеров образования при динамическом наблюдении (1 см в год или 0,5 см за 6 месяцев), значительные размеры образования выявленные при первичном обследовании ( 3-4 см и более), КТ-признаки злокачественной природы опухоли (бугристость контуров, плотность ткани, наличие кровотока, накопление контраста и т. д.),
- двухстороннее поражение надпочечников.
Посмотреть видео операций при опухолях надпочечника в исполнении профессора Вы можете на сайте "Видео операций лучших хирургов мира".
Отзыв после операции по удалению опухоли надпочечника
Больше информации по теме опухоль надпочечника:
Читайте также:
- Влияние скорости на дорожный травматизм. Превышение скорости как причина травматизма
- Изменения коронарных сосудов. Причины поражения миокарда.
- Клиника алкогольного инсульта. Пример алкогольного инсульта
- Интерстициальные пневмокониотические отложения. Кремнистая пыль в легких
- Дренирование каверн при туберкулезе. Обоснование дренирования каверны легкого


