УЗИ при сперматоцеле (кисте придатка)
Добавил пользователь Алексей Ф. Обновлено: 12.12.2025
Появление в клинике ультразвуковых приборов нового поколения, оснащенных высокочастотными датчиками, разработка новых методологических приемов сделали возможной визуализацию анатомических структур мошонки, что еще 15-20 лет назад считалось мало реальным. Однако на сегодня практические врачи отделений (кабинетов) ультразвуковой диагностики недостаточно осведомлены в вопросах ультразвуковой диагностики и дифференциальной диагностики заболеваний органов мошонки, о чем свидетельствует, в том числе, и почта нашего журнала. В настоящей статье мы попытались восполнить этот пробел.
Мошонка представляет собой кожномышечное образование (рис. 1)*, разделенное на две половины, в каждой из которых находится яичко, придаток яичка, мошоночный отдел семенного канатика. Стенка мошонки состоит из 7 слоев, которые называют также оболочками яичка. Это: кожа; мясистая оболочка, образующая срединную перегородку; наружная семенная фасция; фасция мышцы, поднимающей яичко; мышца, поднимающая яичко; внутренняя семенная фасция и влагалищная оболочка яичка, состоящая из париетального и висцерального листков.

Рис. 1. Схематическое изображение нормальной анатомии органов мошонки.
1 - извитые канальцы;
2 - прямые канальцы;
3 - галерова сеть;
4 - гайморово тело;
5 - выносящие канальцы;
6 - головка придатка;
7 - тело придатка;
8 - хвост придатка;
9 - отклоняющиеся проточки;
10 - семявыносящий проток.
Яичко - парный железистый орган эллипсоидной формы, несколько уплощенный с боков. Длина его в среднем составляет 4,2-5 см, ширина - 3-3,5 см, толщина - 2-2,5 см. В яичке различают переходящие одна в другую латеральную и медиальную поверхности, задний и передний края, верхний и нижний полюса. Яичко подвешено на семенном канатике (левое ниже правого) таким образом, что оно наклонено верхним концом вперед, а латеральной поверхностью несколько кзади. Семенной канатик прикрепляется сзади и сверху. В проекции задненижнего края расположена мошоночная связка, фиксирующая яичко вместе с хвостом придатка к мошонке. Яичко покрыто фиброзной белочной оболочкой, образующей по задней поверхности клиновидное утолщение - средостение яичка. От последнего веером расходятся фиброзные перегородки, которые соединяются с внутренней поверхностью белочной оболочки и разделяют паренхиму на дольки. В каждой дольке располагается по 2-3 семенных канальца. Семенные канальцы содержат семяобразующие элементы, из которых развиваются сперматозоиды. Придаток располагается вертикально вдоль заднебокового отдела яичка. Различают верхнюю утолщенную часть его (головку), среднюю (тело) и нижнюю, несколько расширенную (хвост). Придаток яичка служит резервуаром для накопления спермы. В области верхнего полюса яичка, головки и хвоста придатка встречаются различные рудиментарные образования: привесок яичка, привесок придатка, отклоняющиеся протоки.
Кровоснабжаются органы мошонки следующими парными сосудами: яичковой артерией, артерией семявыносящего протока, кремастерной артерией, передней и задней мошоночными артериями, промежностной артерией. Яичковая артерия является ветвью брюшной аорты, причем правая может быть ветвью правой почечной артерии. Другие артерии - ветви внутренней и наружной подвздошных артерий. Перечисленные сосуды широко анастомозируют между собой, обеспечивая хорошее кровоснабжение мошонки. Венозный отток осуществляется венами двух типов: венами, отходящими от глубоко расположенных участков яичка, и венами, дренирующими поверхностные зоны органа. Оба типа вен, сливаясь, формируют вне яичка гроздевидное сплетение, образующее яичковую вену, которая справа впадает в нижнюю полую вену, а слева - в левую почечную вену. Вена семявыносящего протока и вена мышцы, поднимающей яичко, берут начало от одноименных венозных сплетений. Все три сплетения объединены коммуникантными венами.
При ультразвуковом исследовании применяются высокочастотные (7,5 Мгц и более) конвексные и линейные датчики. Во время эхографии пациент лежит на спине и рукой фиксирует половой член к передней стенке живота. Трансдюсер устанавливается перпендикулярно по отношению к исследуемой области, и последовательно получают томограммы в поперечной, продольной и косых плоскостях правой и левой половины мошонки.
Размеры обоих яичек (они могут незначительно различаться), а также выявляемых патологических образований измеряются в трех взаимно перпендикулярных плоскостях. Неизмененное яичко (рис. 2) имеет овальную форму, четкий, ровный контур, паренхима однородная, средней эхогенности. Белочная оболочка и висцеральный ли сток влагалищной оболочки визуализируются как тонкая непрерывная полоска высокой эхогенности, расположенная по краю яичка. Средостение (рис. 3) имеет вид гиперэхогенной тонкой полосы или клина в верхних отделах органа. Привесок яичка может визуализироваться в виде выступа или бугорка диаметром 2-3 мм у верхнего полюса яичка. Яичко окружает небольшое количество серозной жидкости, определяемое в виде тонкой гипоэхогенной зоны шириной 1-3 мм. Придаток яичка (рис. 4) располагается у верхнего полюса по задней поверхности яичка. Структура его однородна и по эхогенности аналогична паренхиме яичка. При отсутствии патологических изменений в придатке определяется лишь его головка, размер которой составляет 10-15 мм.
Киста яичника - симптомы и лечение
Что такое киста яичника? Причины возникновения, диагностику и методы лечения разберем в статье доктора Климанова Александра Юрьевича, гинеколога со стажем в 20 лет.
Над статьей доктора Климанова Александра Юрьевича работали литературный редактор Елена Бережная , научный редактор Сергей Федосов
Определение болезни. Причины заболевания
Киста яичника (греч. «kystis» — мешок, пузырь) — одно из наиболее распространенных доброкачественных гормонозависимых непролиферирующих образований, представляющих собой полость с жидкостным содержимым. Кистозные образования различны по этиологии, морфологии, клинической картине заболевания, а также тактике их лечения.
Киста может возникать в левом и правом яичниках, локализация на течение заболевания не влияет.
По данным различных авторов, каждая третья женщина репродуктивного возраста сталкивалась с подобной проблемой. Часто встречаются кисты яичников и у девочек в возрасте 12-15 лет (55,8% случаев). [1]
Условно можно выделить две группы: функциональные кисты (фолликулярные, текалютеиновые, кисты желтого тела) и истинные (кистомы — серозные, муцинозные, эндометриодные, тератомы и редкие).

Чем отличается киста от кистомы
Кистома — устаревший термин. Сейчас применяют термин цистаденома — доброкачественная опухоль яичника кистозного строения. Рост кист яичника обусловлен увеличением и накоплением жидкостного содержимого в полости, что и отличает их от кистом.
Причины кисты яичника
Факторы риска:
- гормональные дисфункции;
- ранний возраст менархе;
- нарушение менструального цикла;
- стимуляция овуляции при подготовке к программе ЭКО, заболевания яичников воспалительного характера (сальпингоофориты и офориты);
- гипотериоз;
- метаболический синдром;
- хирургические вмешательства (операции и аборты).
Также к факторам риска возникновения кист яичников можно отнести наследственную предрасположенность, тяжелые и вредные условия труда, психоэмоциональное перенапряжение, нарушение питания (строгие монодиеты). Однако в большинстве случаев причины появления кист яичников неизвестны.

При обнаружении схожих симптомов проконсультируйтесь у врача. Не занимайтесь самолечением - это опасно для вашего здоровья!
Симптомы кисты яичника
Зачастую пациентки даже не догадываются о наличии кист из-за их слабой симптоматики. Нередко женщины узнают о своем диагнозе на плановом профилактическом осмотре или при обследовании по поводу другого заболевания. Но все же можно выделить ряд симптомов, указывающих на развитие кисты яичника:
- сбой менструального цикла;
- болевые ощущения при половом акте;
- лабильность настроения (предменструальный синдром) [2] .
Тошнота, увеличение окружности живота, боли при мочеиспускании для кисты яичника не характерны.
Фолликулярные кисты носят, как правило, односторонний характер появления и имеют бессимптомное течение. В размерах такие кисты могут быть от трёх до восьми см, хорошо пальпируются при влагалищном исследовании. В большинстве случаев через два месяца наступает спонтанное разрешение кисты.
Несмотря на достаточно благополучное течение заболевания, могут наблюдаться осложнения, сопровождающиеся картиной острого живота: сильной и резкой болью, симптомами раздражения брюшины, повышением температуры, тошнотой.
Патогенез кисты яичника
На данный момент патогенетические аспекты кист яичников вызывают много споров. Функциональные кисты яичника — это гормонозависимые образования, которые развиваются из граафовых пузырьков под воздействием на яичники стимуляции гонадотропина (также при ранней активации гипоталамо-гипофизарной системы) или на фоне воспалительных заболеваний, в кистозно-атрезирующем фолликуле происходит накопление жидкости.
Механизм появления лютеиновых кист сопряжен и с увеличением выработки гонадотропного гормона, однако это не является основным фактором; воспалительные процессы в яичниках затрудняют отток жидкости в связи с тем, что нарушаются функции лимфатической и кровеносной систем. Помимо этого, наличие у пациенток в анамнезе заболеваний, передаваемых половым путем, также увеличивает вероятность возникновения кист яичников. [3] [4]
Классификация и стадии развития кисты яичника
Функциональные кисты
К ним относятся:
- Фолликулярная киста возникает в первую фазу цикла из доминантного фолликула. Полость таких кист имеет гладкую поверхность и тонкие стенки, нередко возможно образование сразу нескольких фолликулярных кист, однако они всегда состоят из одной камеры, не имеющей перегородок.
- Киста жёлтого тела образуется из не подвергшегося инволюции жёлтого тела, в котором может происходить скопление серозной или геморрагической жидкости. КЖТ имеет утолщённые стенки.
Геморрагические кисты
Геморрагические кисты образуются вследствие разрыва фолликулярной кисты или кисты жёлтого тела и кровоизлиянием внутрь их.
Геморрагические кисты подразделяют на следующие виды:
- Эндометриоидные кисты формируются в результате разрастания эндометрия в яичнике. Стенки таких кист имеют неравномерную васкуляризацию, а также очаги кровоизлияний, [5] содержимое эндометриоидных кист имеет характерный "шоколадный" оттенок.
- Дермоидные кисты — полости с полужидким содержимым, в составе которой заключены компоненты эмбриональных зародышевых листов, соединительнотканные производные: волосы, кожа, в некоторых случаях зачатки зубов. Такие кисты не склонны к быстрому росту.
Истинные кисты
Истинные кисты — эпителиальные опухоли, развивающиеся из эпителиальных компонентов яичника. Встречаются доброкачественные, пограничные и злокачественные
- Муцинозная — относится к доброкачественным эпителиальным опухолям. Такие кисты могут достигать значительных размеров и иметь не одну камеру. Содержимое кисты представлено секретом эпителия — муцином. Полости муцинозных кист имеют неровную поверхность.
- Серозная — также относится к группе доброкачественных эпителиальных опухолей; капсульная поверхность выстлана серозным эпителием.
- Герминогенная опухоль происходит из первичных половых клеток, часто достигает довольно крупных размеров, в 5 % случаев является злокачественной [6] .
Классификация на гормональные и не гормональные кисты яичника не используется.
Поликистоз яичников
Поликистоз яичников — это генетически детерминированное заболевание, не имеющее отношения к теме кист и цистаденом.
Осложнения кисты яичника
Наиболее частыми последствиями заболевания являются разрывы кист яичников, апоплексия, перекруты ножки кисты, кровоизлияния в полость кисты, а также их предперфорация. [7] Все осложнения кисты яичников необходимо дифференцировать с патологиями, имеющими картину острого живота: острый аппендицит, перфорация полого органа, внематочная беременность.
Чем опасна киста яичника
Апоплексия яичника — состояние, сопровождающееся нарушением целостности тканей яичника, в результате которого происходит кровоизлияние жидкости в брюшную полость. Причинами может послужить интенсивная физическая нагрузка, половой акт, беременность. [8] При апоплексии яичника основными жалобами пациенток являются боли внизу живота, иногда с иррадиацией в прямую кишку, кровянистые выделения из половых путей, общая слабость, повышение температуры, сухость во рту, тошнота, учащенное мочеиспускание. [9] В зависимости от формы апоплексии проводят консервативное или оперативное лечение. При развитии данного состояния необходима консультация специалиста.
Ножка, на которой располагается киста, соединяет её с тканью яичника. Если ножка несколько удлиненная, может случится ее перекрут, вследствие чего развиваются ишемические явления, обусловленные сдавлением сосудов и нервов. Пропустить такое состояние сложно, так как оно сопровождается продолжительной острой болью и требует незамедлительной госпитализации в стационар для хирургического вмешательства, иначе может развиться перитонит.
Если лопнула киста
Развитие воспаления в брюшной полости в результате разрыва кисты может привести к сепсису и нарушению нормального функционирования внутренних органов. Иногда разрывы кист больших размеров приводят к удалению яичника. Это последствие кисты яичника требует незамедлительного оперативного вмешательства, так как помимо опасности возникновения перитонита существует риск развития кровотечения.
Диагностика кисты яичника
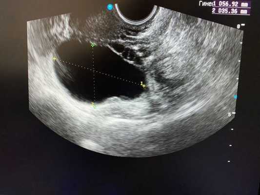
Ультразвуковое исследование органов малого таза является наиболее простым и высокоинформативным методом диагностики различных кист яичников.
Как выглядят при ультразвуковом обследовании нормальные яичники:

Как выглядят яичники при наличии кист:

При диагностике кист яичников не стоит полагаться только на инструментальные методы исследования, необходимо провести подробный сбор анамнестических данных, жалоб, особенностей менструального цикла пациентки, установление дня цикла, а также проведения теста на беременность в случае задержки, для исключения внематочной локализации плодного яйца. При бимануальном исследовании стоит обратить внимание на наличие, а также подвижность и болезненность патологических образований в проекции яичников.
Безусловно, проведение ультразвуковой диагностики трансабдоминальным и трансвагинальным датчиками позволит не только выявить локализацию кисты, но и определить ее структуру, размеры, характер жидкостного содержимого, определить тактику лечения пациентки. Особенностью фолликулярных кист при ультразвуковом исследовании является тонкостенная капсула с отсутствием сосочков внутренней стороны капсулы. [10] Диагностировать кистозные образования у беременных женщин значительно труднее, ввиду увеличения размеров матки на соответствующих сроках беременности, поэтому ультразвуковое исследование стоит проводить с ЦДК и доплерометрией [11] .
При выявлении кист у пациенток пожилого возраста, имеющих тяжелые соматические заболевания, с целью лечения применяется пункционная биопсия [12] .
Диагностическая лапароскопия позволяет не только провести визуальную оценку состояния органов малого таза, но и при необходимости расширить объем операции и удалить кисту, отправив ее содержимое на дальнейшее гистологическое исследование.
Дифференциальная диагностика
Дифференциальную диагностику проводят с другими образованиями придатков и матки: гидросальпинксом, тубовариальным воспалительным образованием, миомой на ножке. В сложных случаях дифференциальной диагностики кист яичников с злокачественными образованиями имеет смысл проведение магнитно-резонансной томографии [13] . Все осложнения кисты яичников необходимо дифференцировать с патологиями, имеющими картину острого живота: острый аппендицит, перфорация полого органа, внематочная беременность.
Анализы
Методы лабораторной диагностики для выявления кист не требуются. При подозрении на злокачественный процесс может быть назначен анализ крови на онкомаркеры СА125 и НЕ-4.
Лечение кисты яичника
Что делать при обнаружении кисты в яичнике
Консервативное лечение. В большом проценте случаев в отношении пациенток с функциональными кистами яичников стоит использовать выжидательную тактику, учитывая при этом размер кисты, ее локализацию, возможные осложнения, а также возраст пациентки и необходимость сохранения репродуктивной способности. Пациентам рекомендуется диетотерапия, лечебная гимнастика, рефлексотерапия. [15]
Медикаментозное лечение. При неосложнённом характере кист препаратами выбора являются двухфазные контрацептивы, витамины группы В и аскорбиновая кислота. [14]
Оперативное вмешательство. Абсолютными показаниями к оперативному лечению функциональных кист яичников являются их осложнения: разрывы кисты и перекрут ножки кисты яичника, относительным — апоплексия яичника (геморрагическая форма). В целях предупреждения развития онкопатологии истинные кисты всегда подвергаются хирургическому лечению.
Как лечить кисту яичника — это во многом будут предопределяться возрастом пациентки, репродуктивным статусом, а также типом кисты, ее размерами и локализацией. Передовые лапароскопические технологии позволяют провести операции с минимальной травматизацией даже пациенткам с кистами яичников больших размеров, а также во время беременности на различных сроках. [16]
У пациенток репродуктивного возраста предпочтение отдается органосохраняющим операциям, основным методом остается энуклеация кисты яичника, то есть рассечение тканей яичника без повреждения самого органа. Капсула кисты удаляется без ее вскрытия, что предотвращает обсеменение брюшной полости содержимым кисты. В случае, если технически данную процедуру провести не представляется возможным, проводится иссечение кисты яичника в пределах здоровых тканей. У пациенток в постменопаузальном периоде одинаково часто встречаются как доброкачественные, так и злокачественные образования яичников, поэтому рационально проведение аднексэктомии — радикального удаления яичника вместе с трубой. После проведенной операции все полученные материалы обязательно отправляются на исследование для установления гистотипа образования яичника.
Лечение лапароскопией. Основным методом лечения цистаденом является лапароскопия при которой через проколы передней брюшной стенки под контролем видеокамеры выполняется удаление образований в яичниках.
Киста яичника при беременности
Если киста во время беременности не вызывает болевых ощущений, то её не лечат.
Удаление кисты яичника при беременности
При быстром росте, подозрении на злокачественный процесс или не устраняемом болевом синдроме выполняется хирургическое лечение с сохранением беременности. На ранних сроках беременности возможно применение лапароскопии.
Реабилитация
После удаления цистаденом реабилитация не требуется. При лапароскопии пациентку выписывают на следующий день после операции.
Можно ли забеременеть при кисте яичника
Функциональна киста может стать препятствием для половой жизни. При цистаденоме трудности с зачатием возможны за счёт смещения и механического сдавления ткани яичника и нарушения анатомии малого таза.
Лечение народными методами
Эффективность и безопасность популярных народных средств для лечения кисты яичника, например корня лопуха, мумие, сока алоэ и прочих, не доказана.
Прогноз. Профилактика
Раз в год каждая женщина должна проходить профилактический осмотр у врача-гинеколога, ведь многие заболевания зачастую имеют бессимптомное течение или же сопровождаются незначительными клиническими проявлениями. Именно к таким патологиям относится киста яичника.
При функциональных кистах яичника достаточно благоприятный прогноз при их своевременном выявлении, динамическом наблюдении и правильно подобранной терапии. В ряде случаев кисты имеют склонность к рецидивам. [17]
Надежных профилактических мероприятий не существует, однако имеется ряд исследований, доказывающих снижение развития функциональных кист на фоне непрерывного приема монофазных комбинированных оральных контрацептивов. [18]
Киста параовариальная - симптомы и лечение
Что такое киста параовариальная? Причины возникновения, диагностику и методы лечения разберем в статье доктора Соловьевой Татьяны Сергеевны, гинеколога со стажем в 9 лет.
Над статьей доктора Соловьевой Татьяны Сергеевны работали литературный редактор Юлия Липовская , научный редактор Антон Ильин и шеф-редактор Маргарита Тихонова
Параовариальная киста (paraovarian cyst) — это доброкачественное полостное образование рядом с яичником, заполненное жидкостью.

Параовариальная киста образуется из надъяичникового придатка, который расположен между яичником и трубой в широкой маточной связке. А натомически он не связан с яичником.

Параовариальная киста — это тугоэластическое гладкостенное округлое однокамерное образование. Стенки кисты тонкие, в среднем 1 мм. Внутри киста выстлана однорядным эпителием: плоским, кубическим или цилиндрическим. Полость заполнена серозной (прозрачной) жидкостью, которая содержит большое количеством белка и немного муцина.
Размеры кисты могут быть разными: от небольших (5-10 мм) до гигантских, занимающих всю брюшную полость [4] . При размере кисты 4-5 см и более сверху на ней распластана маточная труба. Снизу и сзади, как правило, находится яичник. Обычно киста кровоснабжается сосудами маточной трубы.
Такое образование малоподвижно, растёт медленно за счёт накопления жидкости, которая вырабатывается стенками кисты.
Чаще всего заболевание протекает бессимптомно и выявляется при ультразвуковом исследовании (УЗИ) органов малого таза или в ходе операции. Если киста большая, гинеколог может обнаружить её во время планового осмотра. При образованиях более 5 см женщины жалуются на ноющую боль в животе (в 62 % случаев), при осложнениях (перекруте ножки кисты, надрыве капсулы, нагноении и др.) боль становится резкой [11] .
Параовариальные кисты очень редко перерождаются в рак, в истории описано всего несколько таких случаев [7] .
Распространённость
Кисты выявляются у женщин всех возрастов, но чаще обнаруживаются в 30-40 лет. Среди образований придатков такие кисты составляют около 5-20 % [11] . Ч астота параовариальных кист среди детей и подростков, согласно одному из исследований, составляет 7,3 % [3] . Точная заболеваемость неизвестна из-за частого бессимптомного течения.
Причины параовариальных кист
Причины возникновения этих кист неизвестны. Они формируются на этапе эмбриогенеза, т. е. внутриутробно. В течение жизни в них постепенно накапливается жидкость и они медленно растут.
Факторы, способствующие росту параовариальных кист, продолжают изучаться. Установлено, что кисты растут быстрее при ожирении [5] . Прямая связь с гормональным влиянием не доказана. Однако наблюдения показывают более активный рост параовариальных кист в постпубертатном периоде и во время беременности, что косвенно указывает на чувствительность к половым гормонам [6] .
Другие факторы, при которых киста может увеличиваться:
- воспаление придатков матки (оофориты, аднекситы);
- инфекции, передающиеся половым путём;
- эндокринные заболевания (например, гипотиреоз);
- раннее половое созревание (начало менструаций в 11 лет и ранее);
- бесконтрольная гормональная контрацепция: приём препаратов без консультации и контроля врача; злоупотребление препаратами для экстренной контрацепции [1] .
Симптомы параовариальной кисты
Большинство параовариальных кист небольшие и бессимптомные. Жалобы появляются, когда киста увеличивается до 4-5 см в диаметре и больше. Она начинает давить на соседние органы и менять их нормальное анатомическое соотношение.
Большая киста может вызывать периодические ноющие или распирающие боли внизу живота, в боку, крестце или пояснице. Такая боль не связана с менструацией или переовуляторным периодом в середине цикла (2 - 3 дня до и после овуляции). Она иногда усиливается при физической активности и нагрузке, проходит самостоятельно.

Если киста давит на мочевой пузырь или кишечник, нарушается мочеиспускание, появляются запоры или частые позывы к дефекации. Иногда женщины чувствуют боль при половом контакте [1] .
Патогенез параовариальной кисты
Закладка параовариальных кист происходит внутриутробно. При нормальном развитии эмбриона на втором месяце внутриутробной жизни в тазовой его части образуется Вольфов проток (эмбриональный орган — проток первичной почки). У мужчин он преобразуется в каналец придатка яичка и семявыносящий проток. У женщин редуцируется и остаётся в виде надъяичникового придатка, который состоит из сети поперечных канальцев и продольного протока придатка.

Из-за нарушений внутриутробного развития (что их вызывает, пока неизвестно) канальцы надъяичникового придатка остаются недоразвитыми, а выводящие протоки вовсе могут отсутствовать. Из-за этого жидкость, которую вырабатывают канальцы, не выводится. Накапливаясь, она растягивает стенки канальцев или протока, так формируется параовариальная киста [8] .
Классификация и стадии развития параовариальной кисты
По локализации:
- Правосторонняя параовариальная киста. Такие кисты в большей степени склонны к росту и осложнениям, поскольку с этой стороны более активное кровоснабжение.
- Левосторонняя параовариальная киста.
- Двусторонние кисты. Встречаются крайне редко.
В зависимости от размеров:
- Малого размера — менее 2,5 мм.
- Средних размеров — от 2,5 до 5 см.
- Крупная — более 5 см. Чаще всего имеет ножку, поэтому риск перекрута у крупной кисты выше.
По степени подвижности:
- Подвижные. Почти все параовариальные кисты подвижны: они смещаются вместе с маткой.
- Неподвижные. К ним относятся очень большие образования и опухоли с инфильтративным ростом.
По течению:
Осложнения параовариальной кисты
При интенсивной физической нагрузке, подъёмах тяжестей, резких изменениях положения тела параовариальная киста может осложняться перекрутом ножки или разрывом капсулы.
Перекрут ножки кисты. При этом осложнении пережимаются сосуды, питающие ткани кисты и маточной трубы, которая находится рядом. Нарушается кровообращение, ткани не получают достаточно кислорода и питательных веществ и начинают отмирать.
Состояние женщины резко ухудшается, появляется симптоматика «острого живота»: резкие схваткообразные боли внизу живота, которые не проходят после приёма спазмолитических препаратов; напряжение передней брюшной стенки; учащённое сердцебиение; бледность кожи; липкий холодный пот; иногда учащённый стул.
Когда ножка кисты не выражена, возможен перекрут параовариальной кисты вместе с маточной трубой и яичником. В этом случае также нарушается приток крови, что грозит некрозом (омертвением) этих органов.
Нагноение параовариальной кисты. Причина этого осложнения — болезнетворная микрофлора, которая может попасть в кисту из какого-либо очага воспаления в организме лимфогенным или гематогенным путём (с током лимфы или крови). Нагноение проявляется повышением температуры тела до 38-39 °C , интоксикацией, резкой разлитой болезненностью в животе, иногда с учащённым стулом или рвотой.
Разрыв капсулы. Проявляется симптоматикой «острого живота» и признаками внутреннего кровотечения: нарастающей слабостью, вялостью и бледностью кожи.
Все эти осложнения требуют экстренной госпитализации и оперативного лечения в объёмах, диктуемых клинической ситуацией.
Внематочная беременность и бесплодие. Большая параовариальная киста (более 5-6 см) может быть причиной внематочной беременности и бесплодия из-за трубного фактора. Киста находится рядом с маточной трубой. Увеличиваясь, киста сдавливает трубу, что нарушает её кровоснабжение. Со временем ишемия (обеднение кровоснабжения) нарастает, и ткани постепенно атрофируются. Из-за этого маточная труба перестаёт нормально функционировать и становится непроходимой [4] .

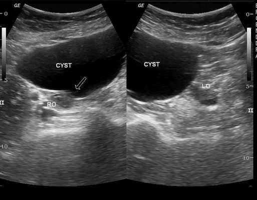
Диагностика параовариальной кисты
Чаще всего параовариальные кисты выявляются случайно при плановых УЗИ, во время операций, в том числе диагностической лапароскопии, или на осмотре у гинеколога, если киста большая.
Осмотр
При бимануальном исследовании на гинекологическом кресле врач может обнаружить над маткой или сбоку от неё округлое безболезненное образование с гладкими контурами, эластической консистенцией и ограниченной подвижностью. Так выявляются кисты размером около 5 см и более.
Инструментальная диагностика
При ультразвуковом исследовании влагалищным или абдоминальным датчиком определяется округлое тонкостенное образование с однородным содержимым, которое выглядит тёмным пятном. Иногда внутри определяется мелкодисперсная взвесь.
Важным критерием, указывающим на параовариальную кисту, является незатронутый яичник, который видно при УЗИ.

Перегородки в кисте, сосочкообразные выросты и пристеночные включения — неблагоприятные признаки, которые могут указывать на неоплазию (онкопатологию).
Как правило, ультразвукового исследования, проведённого грамотным специалистом, достаточно, чтобы поставить правильный диагноз.
Если по результатам УЗИ не получается точно определить патологию, целесообразно провести магнитно-резонансную томографию (МРТ) малого таза.
Дифференциальная диагностика
Параовариальную кисту нужно отличить от яичниковых образований (истинных опухолей и кист). Они отличаются по биологическому происхождению, клиническому течению и прогнозу.
Также важно отличать такие кисты от внематочной беременности, поскольку она требует срочного оперативного лечения [10] .
Лечение параовариальной кисты
В отличие от функциональных ретенционных кист яичника (фолликулярной кисты или кисты жёлтого тела) параовариальные кисты не исчезают самостоятельно. Поэтому их не лечат терапевтическими методами, т. е. лекарственными препаратами.
Бессимптомные кисты размером до 4 см можно оставить под динамическим наблюдением с УЗИ контролем через 3 месяца, затем через полгода.
Крупные образования, быстро увеличивающиеся или симптомные кисты, а также образования с признаками неоплазии (перегородками, папиллярными выростами, чередованием жидкого и плотного компонента) удаляют хирургическим путём.
Также плановое удаление параовариальной кисты требуется перед планированием беременности путём ЭКО. Это необходимо, чтобы во время беременности избежать таких осложнений, как перекрут ножки кисты, надрыв капсулы и др. При беременности параовариальные кисты могут увеличиваться. К тому же, в циклах ЭКО используется массивная гормональная поддержка, что тоже может повлиять на рост кисты.
Хирургическое лечение подразумевает энуклиацию (вылущивание) кисты, т. е. киста удаляется с сохранением окружающих тканей. Операцию можно провести двумя способами:
- Лапароскопически — через небольшие отверстия (обычно 0,5-1,5 см) в брюшной полости. Этот метод используется чаще.
- Лапаротомически (полостная операция) — через большой разрез брюшной полости.
При неосложнённой параовариальной кисте в ходе плановой операции рассекается передний листок широкой маточной связки и киста вылущивается из межсвязочного пространства. При этом яичник и маточную трубу не затрагивают.

После удаления кисты деформированная маточная труба сокращается и принимает прежнюю форму, если она ещё не атрофировалась.
Иссечённые ткани кисты обязательно направляются на гистологическое исследование. Это необходимо, чтобы подтвердить поставленный диагноз и исключить онкопатологию.
В большинстве случаев при своевременном лечении целостность яичников и маточных труб сохраняется и репродуктивная функция не нарушается.
После хирургического лечения параовариальной кисты рецидивов не отмечается, так как рудиментные ткани, из которых формируется киста, полностью удаляются.
В зависимости от объёма операции и размера кисты период восстановления организма может быть разным, но в большинстве случаев почти сразу можно планировать беременность.
Параовариальная киста и беременность
Небольшая неосложнённая параовариальная киста обычно не препятствует беременности. На ранних сроках такая киста тоже не несёт дополнительных рисков. Но по мере роста плода, кровоснабжение матки усиливается, и киста может увеличиться. Когда матка выходит за пределы малого раза, возрастает риск перекрута ножки кисты. Поэтому ведение беременных пациенток с параовариальной кистой требует динамического контроля за образованием.
Если во время беременности нет экстренных показаний для операции, кисту удаляют после родов.
Способ родоразрешения выбирается в каждом случае индивидуально. Женщина может родить через естественные родовые пути, но в этом случае нужен усиленный контроль, чтобы избежать разрыва капсулы кисты или перекрута её ножки [6] .
Профилактика
Доказанных причин формирования параовариальной кисты пока не выявлено, поэтому для профилактики рекомендуется вести здоровый образ жизни и исключать или сводить к минимуму воздействие вредных факторов.
Так как киста развивается бессимптомно и незаметно для женщины, необходимо проходить профилактические обследования у гинеколога один раз в год. При возникновении болезненных ощущений внизу живота — обращаться к специалисту внепланово.
Предотвратить рост уже существующей кисты сложно. Чтобы уменьшить риск осложнений, следует:
Дифференциальная ультразвуковая диагностика жидкостных объемных образований органов мошонки
Кафедра онкологии, лучевой диагностики и эндоскопии ФППО ИвГМА, Областной онкологический диспансер,
Владимир, Россия.

Журнал "SonoAce Ultrasound"
Содержит актуальную клиническую информацию по ультрасонографии и ориентирован на врачей ультразвуковой диагностики, выходит с 1996 года.
Введение
Опухоли яичка встречаются сравнительно редко, составляя 0,5-3% всех новообразований у мужчин. Хотя смертность от опухолей яичка в целом достигает лишь 0,64%, в возрастной группе 25-39 лет они занимают первое место среди причин смерти от злокачественных новообразований [1]. Обычно практикующие врачи нечасто встречаются с этой патологией. В ее клинической картине преобладает (80-90%) безболезненное увеличение яичка или припухлость мошонки, которые при физикальном исследовании не всегда удается четко дифференцировать от орхоэпидидимита, гидроцеле, сперматоцеле или другой объемной патологии. Во всех этих случаях может использоваться УЗИ мошонки [2].
Впервые на возможность применения УЗИ в оценке органов мошонки указал V.A. ratochwil почти четверть века назад [3]. С тех пор оно стало одним из самых эффективных методов диагностики опухолей яичка и других заболеваний мошонки и широко применяется в медицинской практике многих стран. Количество публикаций, посвященных данной теме, исчисляется сотнями [4]. Тем не менее некоторые вопросы дифференциальной ультразвуковой диагностики заболеваний органов мошонки все еще не решены или нуждаются в уточнении.
Цель работы - уточнить и усовершенствовать ультразвуковые дифференциально-диагностические критерии жидкостных объемных образований органов мошонки, а именно: ретенционных кист, сперматоцеле и гидроцеле.
Материалы и методы
За 1997-2000 гг. в диагностическом отделении областного онкологического диспансера г. Владимира УЗИ органов мошонки выполнено 120 мужчинам. Все они были направлены в поликлинику ООД городскими и областными урологами для исключения опухолевой патологии. Контрольные исследования выполнялись по необходимости в течение 3-24 мес.
В нашей работе мы использовали ультразвуковые сканеры SonoAce-4800 и SonoAce-8800 компании MEDISON с конвексными датчиками 3,5-5 МГц и линейными датчиками 7,5-10 Мгц. Осуществлялось последовательное полипроекционное и полипозиционное сканирование каждой половины мошонки, чтобы получить объемное представление о состоянии этого органа.
Кисты органов мошонки диагностированы у 51 пациента (средний возраст 52,4 года). Результаты исследований представлены в табл. 1. Резекция кисты выполнена 5 пациентам. Одному больному с метастазом анаплазированного рака в паховом лимфоузле выполнена орхиэктомия в связи с подозрением на опухоль яичка (гистологический ответ: кисты придатка и яичка).
Результаты и обсуждение
Кисты яичка (n = 8) клинически не определялись и были случайной находкой при УЗИ. Во всех случаях кисты имели вид анэхогенного округлого с четкими ровными контурами (но без определяемой стенки) образования с дистальным звукоусилением, расположенного внутри яичка под белочной оболочкой или в области средостения (рис. 1, 2). Эхотекстура паренхимы яичка рядом с кистой была обычной, за исключением одного случая тубулоэктазии сети яичка (ТЭСЯ), которая визуализировалась как образование в области средостения яичка (рис. 3), состоящее из множества мелких округлых или трубчатых анэхогенных структур (симптом "грейпфрута" [5]).
Сперматоцеле: причины, последствия и методы лечения семенной кисты

Сперматоцеле (семенная киста) — это образование на яичке или его придатке, состоящее из фиброзной оболочки, наполненной жидким содержимым. Новообразование в начале болезни бывает небольшим, но может увеличиваться в размерах, причиняя боль и дискомфорт.

Разрастание, разрыв или нагноение кисты приводят к необратимым изменениям в половых органах. Возникает нарушение транспорта семенной жидкости, приводящее воспалению и бесплодию. В этом случае лечение будет более длительным, сложным и дорогостоящим, поэтому лечить сперматоцеле нужно на первых этапах развития заболевания.
Причины развития сперматоцеле
Сперматоцеле формируется при нарушении оттока семенной жидкости из придатка яичка. При этом в выводном протоке образуется полость со скопившейся молочно-белой или прозрачной жидкостью. Заболевание чаще бывает односторонним, но встречается и двухстороннее сперматоцеле.
В зависимости от причины развития заболевания существуют два типа кист семенных канатиков:
- Врожденное сперматоцеле - кисты, образующиеся при нарушении развития половой системы эмбриона. Возле придатка яичка остается полость, заполненная прозрачным жидким содержимым, в котором нет элементов спермы. Врождённые кисты маленькие, они не увеличиваются со временем и не влияют на половую функцию.
- Приобретённое сперматоцеле - семенные кисты, возникающие из-за воспалительных процессов в половых органах и травм. Травмированные или воспаленные семенные протоки не обеспечивают полноценного оттока спермы, которая скапливается, образуя кисту. Такое образование может иметь несколько камер и быстро увеличиваться в размерах. В его содержимом обнаруживаются элементы семенной жидкости. Приобретенное сперматоцеле считается более опасным состоянием и требует хирургического лечения
На фоне действия этиологического фактора нарушается дренажная функция протоков придатка яичка, наступает их обструкция, затрудняется полноценный отток секрета. Проток переполняется секретом, его стенки растягиваются и образуется киста.
Чем опасно сперматоцеле?
Киста придатка яичка, возникает при нарушении отхождения семенной жидкости и может привести к тяжелым осложнениям. Среди наиболее опасных осложнений выделяют разрыв и нагноение кисты. При длительном игнорировании этого состояния, киста увеличивается в размере. Случайное травмирование может закончиться разрывом кистозной оболочки и орхитом. Семенная киста может лопнуть, тогда ее содержимое вытекает в полость мошонки. Возникает отек, боль, повышение температуры. При присоединении инфекции ситуация становится критической. Воспаление переходит на другое яичко, вызывая и двусторонний орхит, ведущий к нарушению половой функции и бесплодию.
Опасно также и нагноение жидкости, находящееся внутри кисты. У больного повышается температура, возникает боль и отек в области мошонки. Без лечения гнойная киста также приводит к бесплодию и может вызвать заражение крови.
Симптомы заболевания
Клиническая картина сперматоцеле скудна и малоспецифична, так как заболевание часто протекает бессимптомно. Среди наиболее характерных признаков развития сперматоцеле можно назвать:
- постепенное увеличение размеров мошонки;
- боль в области гениталий, иррадиирующую в мягкие ткани бедер;
- гиперемию тканей и отек мошонки;
- болезненность в покое и при пальпации;
- общую слабость, слабо выраженный интоксикационный синдром и повышение температуры тела.
Мелкие кисты протекают бессимптомно и не приводят к бесплодию, выявляясь случайно при медицинском обследовании.
Большие кистозные образования пациенты часто обнаруживают сами. Сперматоцеле на ощупь напоминает опухоль или отек в виде яйца, внутри которого находится жидкость. Увеличиваясь, кисты сдавливают соседние органы, вызывая боль и приводя к нарушениям половой функции. Болезненность усиливается при половом возбуждении, долгом нахождении в сидячем положении, физических нагрузках и длительной ходьбе.
Диагностика сперматоцеле
Постановка диагноза проводится специалистом андрологом или урологом, путем проведения следующих диагностических мероприятий:
- Сбор и анализ анамнеза. Начинается визит к врачу с беседы, в ходе которой пациент должен максимально четко и откровенно описать свое состояние, жалобы и характерные симптомы. Также следует рассказать врачу о проблемах сексуального характера, если таковые имеются.
- Визуальный осмотр мошонки . Этот этап диагностики позволяет обнаружить изменение естественных контуров мошонки, возможно, ее формы, появление признаков дополнительного образования.
- Пальпация мошонки . При пальпации определяется безболезненное или болезненное эластичное дополнительное образование, плотно прилегающее к яичку.
- Общий анализ крови (ОАК) - по результатам лабораторного исследования крови пациента, определяется воспалительная реакция в острой стадии;
- Диафаноскопия - этот метод предполагает просвечивание тканей проходящим светом. Киста выглядит, как прозрачное образование светло-желтого цвета, полностью пропускающее световые лучи;
- УЗИ мошонки — важный метод, используемый на всех этапах диагностики и лечения сперматоцеле, а также для оценки динамики процесса лечения. УЗИ мошонки позволяет увидеть однородное образование, имеющее тонкую стенку с ровными и четкими контурами.
После обследования и определения размеров образования решается вопрос о целесообразности его удаления.
Лечение сперматоцеле
В любом случае необходима консультация уролога, андролога. Зачастую при первичном обращении, отсутствии жалоб, незначительном размере сперматоцеле доктор ограничивается выжидательной тактикой и при необходимости прибегает к консервативной терапии, используя анальгетики и противовоспалительные средства. В этом случае показано регулярное наблюдение.
При прогрессировании процесса, увеличении размеров кисты и ее воспалении показано микрохирургическое лечение — сперматоцелеэктомия (под местной анестезией) или аспирация содержимого кисты с последующей аспирацией и склеротерапией. Современные технологии позволяют проводить сперматоцелэктомию под местным наркозом с минимальной травматизацией тканей. Сперматоцелэктомия проводится амбулаторно и не требует помещения больного в клинику. Вмешательство проводится микрохирургическим методом с применением оптики. После операции не остается рубцов и шрамов.
На передней стороне мошонки делается небольшой разрез, через который яичко освобождают от кисты, удаляя ее вместе с оболочкой. Удаленное образование исследуют, чтобы исключить злокачественный процесс. После вмешательства кожу ушивают, накладывают повязку. Чтобы уменьшить отек, мошонку поддерживают при помощи суспензория. Окружающие ткани при операции не повреждаются, и практически не затрагиваются, поэтому вмешательство не влияет на половую функцию и не может что-то нарушить в организме.
В целом прогноз лечения сперматоцеле оценивается как благоприятный, так как при грамотной терапии полностью восстанавливается нарушенная детородная функция и половая активность органа. В некоторых случаях заболевание рецидивирует после проведенного лечения, поэтому для мужчин репродуктивного возраста есть свои ограничения, например, склеротерапия, целесообразность которой определяется только врачом-урологом с учетом многих факторов. Таким образом, проблема данного заболевания достаточно актуальна, но легко решаема и требует консультации специалиста.
Часто задаваемые вопросы, по теме лечения сперматоцеле
Мужчины, которым пришлось столкнуться с этим заболеванием, задают доктору большое количество вопросов и уточнений. Специалисты клиники Диана готовы ответить на самые распространенные из них:
Можно ли вылечить сперматоцеле таблетками?
К сожалению, препараты, позволяющие растворить кистозную оболочку и удалить жидкость и кисты, пока не изобретены. Лекарственные средства, используемые для лечения, носят симптоматический характер. Они улучшают состояние больного, но не избавляют от болезни.
Нужно ли делать операцию, если ничего не болит?
Если образование не мешает, не растет и не вызывает бесплодия, его удалять не обязательно. Достаточно просто регулярно наблюдаться у уролога. Однако, тут есть определённый риск - если из-за травмы или перенапряжения кистозная оболочка лопнет, лечение будет гораздо серьезнее простой сперматоцелэктомии.
Можно ли не резать, а проткнуть кисту, чтобы ее содержимое вытекло наружу?
Если не удалить кистозную оболочку, вероятность, что образование появится снова, очень высока. Это метод применяют, если есть показания к операции и киста достигла очень больших размеров. Содержимое сперматоцеле выкачивают, а в его полость вводят склерозирующий раствор, от которого стенки кисты слипаются. Это метод опасен попаданием препарата в придаток, приводящим к бесплодию. Такой способ применяют редко и только у мужчин, не планирующих иметь в дальнейшем детей.
Можно ли выяснить, откуда взялось сперматоцеле?
После операции содержимое кисты сдается на анализ. Если в скопившейся жидкости нет сперматозоидов, значит, киста у пациента была с рождения, а если они обнаружатся - новообразование появилось в зрелом возрасте из-за травмы или воспаления.
Существуют ли противопоказания к операции?
Да. Операция не может быть проведена, если у пациента выявляются серьезные нарушения свертываемости крови и тяжелые сопутствующие болезни.
Если ли какие-то ограничения после операции?
В послеоперационном периоде ограничивается физическая нагрузка и не разрешается половая жизнь, до полного заживления шва. В этот период нежелательно долго находиться за рулем, в течение недели принимать горячую ванну, посещать баню и сауну, купаться в водоемах.
Благодаря высокому уровню развития современной медицины, сперматоцеле не должно звучать для мужчины как приговор. После операции исчезают боль и застойные явления, что положительно сказывается на половой функции и показателях спермограммы. Само же хирургическое вмешательство не следует воспринимать как тяжелую операцию, ведь оно не сопровождается осложнениями и неприятными последствиями.
Читайте также:
- Острый остеомиелит у ребенка
- Случай успешного лечения анорексии с помощью фармакотерапии, психотерапии и рефлексотерапии
- ЭКГ при экстрасистолах из AV-соединения. Пример атриовентрикулярных экстрасистол
- Различия устойчивости к кислороду. Удаление активных радикалов при отравлении кислородом
- КТ при плоскоклеточном раке носа и околоносовых пазух
