УЗИ при танатофорной дисплазии. Пренатальная диагностика танатофорной дисплазии
Добавил пользователь Евгений Кузнецов Обновлено: 01.01.2026
Статьи : ПРЕНАТАЛЬНАЯ УЛЬТРАЗВУКОВАЯ ДИАГНОСТИКА ТАНАТОФОРМНОЙ ДИСПЛАЗИИ У ПЛОДА.
Пренатальная ультразвуковая диагностика танатоформной дисплазии у плода.: И.И. Рябов, Л.Т. Николаев.
Перинатальный центр,
Йошкарp-Ола, Республика Марий Эл, Россия.
Введение
Танатоформная дисплазия - одна из наиболее часто встречающихся форм скелетных дисплазий, характеризующаяся резко выраженной микромелией, узкой грудной клеткой и выступающим лбом. Наряду с ахондроплазией и гипохондроплазией относится к родственным скелетным дисплазиям в группе ахондроплазий [1].
Согласно литературным данным, частота заболевания варьируется в пределах 0,4 - 0,69 на 10000 родов [1,2].В большинстве случаев танатоформная дисплазия - результат спорадической мутации, повторяется редко. Практически всегда заболевание заканчивается летально, но даже в случае выживания детей - отдаленный прогноз плохой, несмотря на интенсивность лечения [1]..
Материалы и методы
Беременная П., направлена на ультразвуковое исследование плода на сроке 24 нед. беременности. Настоящая беременность - 2-я; 1-я закончилась медицинским абортом на сроке 9 нед. без осложнений. Соматический и наследственный анамнезы не отягощены. Эхографическое исследование плода проводилось с помощью ультразвукового сканера SA-4800HD “SonoRex” компании MEDISON, оснащенного трансабдоминальным датчиком 3,5 МГц.
Результаты
При ультразвуковом исследовании обнаружено: 1 живой плод в головном предлежании.
Данные фетометрии:
БПР (бипатериальный размер головы - от виска до виска) = 65 мм - 26 нед.,
ОкГ (окружность головы) = 244 - 26 нед. + 3 дня.
МРМ (межполушарный размер мозжечка) = 25,6 мм - 23,5-24 нед. (рис. 1)
ОкГрК (окружность грудной клетки) = 42 мм - 19,5 нед.
ОЖ (окружность живота) = 182 мм - 22 нед. + 6 дн.
ДБ (длина бедра) = 24 мм - 17 нед. (рис. 2)
Плечевая кость = 16 мм - 14,5 нед. (рис. 3)
Кости предплечья = 17,5 мм - 15,5 нед. (рис. 4)
Малая берцовая кость = 22 мм - 18,5 нед.
Большая берцовая кость = 24 мм - 18,5 нед.
В ходе визуальной оценки лица в профиль отмечены выступающий лоб и седловидный нос. В аксиальной плоскости форма головки лишь отдаленно напоминала “трилистник” (рис. 5). Гипертелоризм: интраорбитальный размер = 17 мм - 26 нед., экстраорбитальный размер = 40 мм - 25 нед., диаметр глазниц = 12 мм - 24 нед. Обращала на себя внимание выраженная диспропорция размеров грудной клетки и живота (рис. 6). Длинные трубчатые кости укорочены (выраженная микромелия по типу ризомелии), не искривлены. Кисть: веерообразное расположение коротких пальцев (рис. 7). На основании эхографических данных у плода была заподозрена танатоформная дисплазия. Показатели допплерометрии находились в пределах нормативных значений для данного гестационного возраста. Количество околоплодных вод - умеренное.
После получения информации о возможном исходе супруги приняли решение о прерывании данной беременности. При патологоанатомическом исследовании в присутствии врача-генетика пренатальный диагноз был подтвержден.
Анализируя описанные в различных литературных источниках часто встречающиеся диагностические эхографические признаки танатоформной дисплазии 2, наиболее оптимальными из них при проведении дифференциальной диагностики во 2-3 триместрах беременности нам кажутся следующие: относительно большие размеры головки, в сагиттальной плоскости - выступающий лоб и запавшая переносица (седловидный нос), гипоплазия грудной клетки при нормальной длине туловища на фоне основного характерного признака - выраженной микромелии по типу ризомелии.
Литература
Петриковский Б.М., Медведев М.В., Юдина Е.В. Врожденные пороки развития: пренатальная диагностика и тактика. М.: Реальное Время, 1999.- С. 145-158.
Ромеро Р., Пилу Дж., Дженти Ф., Гидини А., Хоббинс Дж. С. Пренатальная диагностика врожденных пороков развития плода/Пер. с англ. - М. : Медицина, 1994. С. 310-387.
Медведев М. В. , Юдина Е.В. Дифференциальная ультразвуковая диагностика в акушерстве. М. : РАВУЗДПГ, Видар, 1997.
Козлова С.И. , Демикова Н.С. , Семанова Е., Блинникова О.Е. Наследственные синдромы и медико-генетическое консультирование. М. : Практика, 1996. С. 110-112.
Веропотвелян Н.П. Ультразвуковая диагностика изолированных и множественных системных аномалий развития скелета плода // Клиническое руководство по ультразвуковой диагностике / Под ред. Митькова В.В., Медведева М.В.-Т.2.: Видар, 1996. С.227-255.
Танатоформная дисплазия плода
УДК: 616.7-007.17:618.393]-07
Год издания: 2013
Спектр системных скелетных дисплазий, сопоставление пренатального и патоморфологического диагнозов у плодов, абортированных по генетическим показаниям в I и II триместрах беременности
Лазаревич А.А., Новикова И.В., Наумчик И.В.
Рубрики: 76.03.39, 76.29.48
Республиканский научно-практический центр “Мать и дитя”
Тема НИР: «Разработать и внедрить программу пренатальной диагностики и медико-генетического консультирования при системных скелетных дисплазиях».
Сроки выполнения НИР: I кв. 2013 г. — IV кв. 2015 г.
Научный руководитель: канд. мед. наук И.В. Наумчик.
Источник финансирования: госбюджет.
Системные скелетные дисплазии (ССД) представляют собой генетически гетерогенную группу остеохондродисплазий, включающую, согласно Международной номенклатуре конституциональных нарушений развития костей (2006), 372 заболевания. По суммарным данным популяционная частота ССД в среднем составляет 2-3 случая на 10000, в т. ч. летальных ССД - 1 на 10000.
По данным Белорусского регистра, с 1988 по 2011 гг. популяционная частота ССД составила 1,5 на 10000. Частота ССД может быть недооцененной из-за отсутствия патологоанатомической верификации диагноза. Для пренатальной диагностики особый интерес представляют летальные скелетные дисплазии, приводящие к мертворождаемости и высокой младенческой смертности. Клиническая картина данных нарушений характеризуется широким полиморфизмом, который проявляется различными аномалиями конечностей, грудной клетки, черепа и пороками развития внутренних органов. Ультразвуковая диагностика ССД основана на оценке скелета плода, которая обычно проводится во II триместре беременности. Перевод популяционного скрининга беременных в I триместр и появление ультразвуковых аппаратов с высоким разрешением создают предпосылки как для ранней оценки конечностей плода (первичные центры оссификации в диафизах длинных трубчатых костей начинают визуализироваться с 11 недели беременности), так и для решения вопроса о прерывании беременности в случае выявления тяжелой инвалидизирующей и некурабельной патологии. Верификация пренатального диагноза должна включать последующее патоморфологическое и рентгенологическое исследование абортированного плода. Критерии ультразвуковой и морфологической оценки скелета плода в ранние сроки беременности до настоящего времени не разработаны.
Материалом послужили 57 плодов, 12 из которых были абортированы в I триместре беременности. Нозологический диагноз ССД установлен на основании патоморфологических, рентгенологических и/или гистологических данных.
Как видно из табл., в целом наиболее распространенными ССД явились несовершенный остеогенез 2 типа, составивший более 42% от всех пренатально выявленных ССД, танатофорная дисплазия 1 типа (26,3%) и диастрофическая дисплазия (7%). Во II триместре также были диагностированы такие редкие патологии, как синдромы Робинова, Жене, омодисплазия, точечная хондродисплазия. У плодов, абортированных с 11-й по 13-ю неделю беременности, доля несовершенного остеогенеза составила 25%, диастрофической дисплазии - 50%, синдрома «коротких ребер - полидактилии» - 50%, ахондрогенеза - 100%, Один случай ССД остался неклассифицированным (материал для исследования доставлен в неполном объеме).
Сравнение пренатального и патоморфологического диагнозов показало, что в большинстве случаев ультразвуковой диагноз у плодов I триместра звучал, как «ССД» без уточнения нозологии. У плодов II триместра нозологический тип ССД был установлен при ультразвуковом исследовании в 44% случаев, в 56% из них пренатальный диагноз совпадал с патоморфологическим.
Патоморфологическая верификация пренатального диагноза ССД у плодов, абортированных по генетическим показаниям в I-II триместрах беременности, должна быть обязательным этапом пренатальной диагностики, что важно для определения точного прогноза при медико-генетическом консультировании.
Область применения: генетика, пренатальная диагностика, патологическая анатомия.
Рекомендации по использованию: отделения ультразвуковой диагностики, областные детские патологоанатомические бюро.
Предложения по сотрудничеству: консультативная помощь
ТАНАТОФОРНАЯ ДИСПЛАЗИЯ
Танатофорная дисплазия (ТД) - это поражение опорно-двигательной системы, которое по Международной классификации скелетных дисплазий относится к летальным остеохондродисплазиям [1]. В морфологической основе этого заболевания лежит нарушение процесса эндохондрального окостенения.
ТД является одной из наиболее распространенных скелетных дисплазий, частота которой составляет 0,2-0,7 на 10 000 родившихся [2].
В настоящее время установлено, что причиной ТД являются определенные мутации гена FGFR3 (fibroblast growth factor receptor 3), поэтому в некотокоторая развивается вторично в связи с нарушением развития грудной клетки.
В настоящее время в мировой литературе ведется дискуссия по поводу правомочности проведения ранней генетической диагностики этого заболевания. Ее противники считают недопустимым диагностировать заболевание, совместимое с жизнью и нормальным интеллектуальным развитием, до периода жизнеспособности плода. Сторонники считают, что родителям необходимо предоставлять максимально полную информацию о плоде и, соответственно, возможность выбирать тактику ведения беременности даже при выявлении заболевания, совместимого с жизнью [4].

Рис. 20.1. Ахондроплазия. Отчетливо видно укорочение левой руки плода. Длина плечевой кости в 26 нед беременности составляет 24,8 мм.
3. Shiang R., Thompson L., Zhu Y. etal. Mutations in the transmembrane domain of FGFR3 cause in the most common genetic form of dwarfism, achondroplasia //Cell. 1994. V. 78. P. 335-342.
4. Goldstein G. Living with achondroplasia: attitudes toward population screening and correlation with quality of life // Prenat. Diagn. 2003. V. 23. P. 1003-1008.
рых случаях возможно уточнять клинический диагноз с помощью молекулярных методов [3]. В 1999 г. группа авторов под руководством И. Sawai сообщила о первом случае пренатальной диагностики ТД [4].
Основными признаками ТД являются выраженное укорочение трубчатых костей, часто по типу ри- зомелии, и узкая грудная клетка при нормальной длине туловища (рис. 20.2, 20.3). При ТД эхогенность костей не изменена.
Нередко ТД сочетается с макроцефалией и выступающим лбом, атакже с измененной формой черепа в виде трилистника. Форматрилистника ветре-

Рис. 20.2. Танатофорная дисплазия. А - трехмерная реконструкция. Б - поверхностная реконструкция укороченной левой руки плода. В - режим максимальной интенсивности. Видно укорочение трубчатых костей руки плода. Г - режим поверхностной реконструкции лица плода. Видна макроцефалия с выступающим лбом и западением корня носа.

Рис. 20.3. Танатофорная дисплазия. А и Б - поверхностная реконструкция. Видны укороченные конечности и узкая грудная клетка. В - фенотип абортуса.
чается в 14% случаев ТД и обусловлена преждевременным закрытием венечного и ламбдовидного швов, в результате чего образуются дополнительные выпячивания в височных областях, которые иногда могут быть ошибочно приняты за энцефалоцеле (рис. 20.4) [5, 6].
Из сочетанных аномалий развития наиболее часто отмечают наличие гидроцефалии, пороков сер-
Рис. 20.4. Танатофорная дисплазия. А, Б - поверхностная реконструкция структур лица. В - фенотип абортуса [6].
дца и мочевыделительной системы. В большинстве случаев в пренатальном периоде ТД сопровождается многоводием.
Выделяют два типа ТД. Первый тип характеризуется укорочением костей, узкой грудной клеткой и искривлением бедренной кости (форма «телефонной трубки») в сочетании или без сочетания с черепом в форме трилистника. Второй тип - это сочетание выраженного укорочения костей при прямом бедре с узкой грудной клеткой и черепом в форме трилистника. Первый тип является спорадическим, второй тип - аутосомно-рецессивным.
Все основные признаки ТД могут быть выявлены с помощью эхографии уже в середине II триместра беременности [7]. Определенную помощь может оказать исследование в трехмерном режиме, особенно когда речь идет о лицевых дизморфиях, которые час-
1. Ромеро Р., Пилу Дж., Дженти Ф. и др. Пренатальная диагностика врожденных пороков развития плода. Пер. с англ. М.: Медицина, 1994. С. 310-384.
3. Tavormina P.L., Shiang R., Thompson L.M. et al. Thanatophoric dysplasia (types I and II) caused by distinct mutations in fibroblast growth factor receptor 3 // Nat. Genet. 1995. V. 9. P. 321-328.
4. Sawai H., KomoriS., Ida A. etal. Prenatal diagnosisofthanatophoric dysplasia by mutational analysis of tht fibroblast growth factor receptor3 gene and a proposed correction of previously published PCR results //Prenat. Diagn. 1999. V. 19. P. 21-24.
Патологии развития плода — аномалии развития конечностей: делайте вовремя УЗИ
К сожалению, количество тяжелых детских дисплазий - выраженных нарушений развития костного аппарата, постоянно растет. Тому, как сложно приходится людям без рук и ног, и пациентам, страдающим уродствами конечностей, посвящен целый ряд телепередач. Но мало кто задумывается, что может столкнуться с такой ситуацией в своей семье.
К счастью, с развитием УЗИ аномалии развития конечностей и другие патологии развития плода выявляются на ранних сроках беременности.
Почему нарушается развитие конечностей у плода
патологии развития плода
Причин появления детей с такими уродствами множество:
- Наследственные факторы . Болезни, вызывающие уродства скелета, бывают наследственными. Пример - ахондроплазия - карликовость, вызванная недоразвитием и укорочением ног и рук. В популярных передачах про семью Ролофф показан типичный случай, когда у людей с ахондроплазией рождается сначала сын, а потом и внук с таким отклонением.
- Генетические сбои, возникшие в процессе оплодотворения или на первых этапах развития малыша. Причиной отклонений могут быть инфекции, даже банальный грипп, TORH-инфекции - краснуха , герпес , цитомегаловирус , токсоплазмоз . Особенно опасно, если будущая мама переболела инфекцией в начале беременности.
- Прием некоторых препаратов. Самый яркий пример - талидомидная катастрофа - рождение в Европе в 1959-1962 гг. 12 тыс. детей с недоразвитием конечностей. Их матерям в период беременности был прописан успокаивающий препарат талидомид. К таким препаратам относятся антидепрессанты, средства, влияющие на свёртываемость крови, некоторые антибиотики, ретиноиды, применяемые для лечения прыщей. Трагедия случается, когда будущая мама принимает лекарства, не зная, что беременна или врач выпишет препарат, противопоказанный женщинам в положении.
- Вредные привычки и вредные условия труда, влияющие на наследственность, Вещества, вызывающие уродства, называются тератогенными. К ним относятся соединения мышьяка, лития и свинца. Приводит к врожденным аномалиям и радиоактивное облучение. Дети с неправильным развитием костей рождаются у мам, злоупотребляющих спиртным и употребляющих наркотики. Поскольку опасные вещества и радиация поражают яйцеклетки в организме женщины, проблемы могут возникать у женщин, когда-то работавших на вредном производстве.
Пациенткам, относящимся к этим группам, требуется тщательный УЗ-контроль на протяжении всей беременности.
Какие пороки развития конечностей видны на УЗИ
Кости малыша видны на ранних сроках беременности - бедренная и плечевая - с 10 недель, кости голеней и предплечья - с 10 недель. В это время уже можно посчитать пальчики, увидеть большинство костей скелета и посмотреть, как ребенок шевелит ручками и ножками. КАк раз в этот период проводят первые скрининги плода .
В 16 недель, как раз с момента второго скрининга , можно измерить длину крупных костей, оценив развитие плода. Учитывают размер и форму конечностей. Небольшая кривизна ножек не является аномалией, но выраженная деформация — признак патологии.
Все остальные части скелета - позвоночник, ребра, черепные кости должны быть правильно развиты и не деформированы.
Размеры костей конечностей ребенка указаны в таблице. Стоит понимать, что показатели являются усреднёнными, т.к. каждый малыш развивается индивидуально. Размеры конечностей оценивают вкупе с остальными показателями. У небольших детей ручки и ножки короче, чем у крупных.
Плод, 3D

[EN] Эхограмма №132: Плод - фронтальная, сагитальная и коронарная плоскости, 3D режим.
Изображение получено с помощью УЗ сканера SonoAce-8000 (снят с производства).
Публикации по теме
Ультразвуковая пренатальная диагностика танатофорной дисплазии. Скелетные дисплазии представляют многочисленную группу различных по выраженности и клиническим проявлениям аномалий развития плода. Внедрение пренатальной эхографии расширило возможности диагностики скелетных дисплазий плода, что особо важно при наличии летальной патологии. Одной из наиболее частых летальных скелетных дисплазий плода является танатофорная дисплазия с встречаемостью от 0,21 до 0,80 на 10 000 новорожденных. В данной работе представлены 4 случая пренатальной ультразвуковой диагностики ТД плода.
Вклад трехмерного ультразвукового исследования в скрининг хромосомных дефектов в первом триместре беременности. Трехмерное ультразвуковое исследование в акушерстве обеспечивает улучшение визуализации следующих структур плода: лицо, конечности, скелет, сердце, мозг. В статье отражено использование трехмерного ультразвукового исследования в первом триместре беременности для диагностики хромосомной анеуплоидии и пороков развития плода на ранних сроках гестации.
УЗИ при танатофорной дисплазии. Пренатальная диагностика танатофорной дисплазии
Танатофорная дисплазия (ТД) - это поражение опорно-двигательной системы, которое по Международной классификации скелетных дисплазий относится к летальным остеохондродисплазиям]. В морфологической основе этого заболевания лежит нарушение процесса эндохондрального окостенения.
Танатофорная дисплазия является одной из наиболее распространенных скелетных дисплазий, частота которой составляет 0,2-0,7 на 10 000 родившихся.
В настоящее время установлено, что причиной танатофорной дисплазии являются определенные мутации гена FGFR3 (fibroblast growth factor receptor, поэтому в некоторых случаях возможно уточнять клинический диагноз с помощью молекулярных методов. В 1999 г. группа авторов под руководством Н. Sawai сообщила о первом случае пренатальной диагностики ТД.
Основными признаками танатофорной дисплазии являются выраженное укорочение трубчатых костей, часто по типу ри-зомелии, и узкая грудная клетка при нормальной длине туловища. При ТД эхогенность костей не изменена.

Нередко танатофорная дисплазия сочетается с макроцефалией и выступающим лбом, а также с измененной формой черепа в виде трилистника. Форматрилистника встречается в 14% случаев ТД и обусловлена преждевременным закрытием венечного и ламбдовидного швов, в результате чего образуются дополнительные выпячивания в височных областях, которые иногда могут быть ошибочно приняты за энцефалоцеле.
Из сочетанных аномалий развития наиболее часто отмечают наличие гидроцефалии, пороков сердца и мочевыделительной системы. В большинстве случаев в пренатальном периоде ТД сопровождается многоводием.
Выделяют два типа танатофорной дисплазии. Первый тип характеризуется укорочением костей, узкой грудной клеткой и искривлением бедренной кости (форма «телефонной трубки») в сочетании или без сочетания с черепом в форме трилистника. Второй тип - это сочетание выраженного укорочения костей при прямом бедре с узкой грудной клеткой и черепом в форме трилистника. Первый тип является спорадическим, второй тип - аутосомно-рецессивным.
Все основные признаки танатофорной дисплазии могут быть выявлены с помощью эхографии уже в середине II триместра беременности. Определенную помощь может оказать исследование в трехмерном режиме, особенно когда речь идет о лицевых дизморфиях, которые часто сопровождают ТД. Однако необходимо помнить, что в сроке до 20 нед некоторые основные признаки ТД (например, искривление бедренной кости или узкая грудная клетка) могут быть не очень выраженными. Кроме того, в 1998 г. в работе W. Wilcox и соавт. было показано, что при наличии одной и той же мутации гена FGFR3 фенотипические проявления ТД очень разнообразны, что крайне затрудняет постановку точного диагноза в повседневной практике.
Великолепный пример комплексной пренатальной диагностики танатофорной дисплазии недавно представили специалисты из Тайваня, которым, несмотря на низкую встречаемость этой патологии, удалось представить серию из 4 случаев этого заболевания. Наиболее ранний срок диагностики ТД составил 18 нед.
При подозрении на танатофорную дисплазию дифференциальный диагноз следует проводить со всеми заболеваниями скелета, которые сопровождаются укорочением конечностей, т.е. по крайней мере с двумя десятками нозологических форм ВПР ОДС. Наиболее известными заболеваниями являются хондроэктодер-мальная дисплазия (синдром Эллиса-Ван-Кревель-да), асфиксическая дисплазия грудной клетки и синдром хондродисплазии с полидактилией.
Очевидно, что точная пренатальная диагностика танатофорной дисплазии крайне затруднена. Окончательный диагноз может быть поставлен только в ходе комплексного обследования, которое помимо эхографии должно включать постнатальную рентгенографию, пре- или постнатальную молекулярную диагностику и гистологическое исследование костей для оценки характера и степени изменений в эпифизарной зоне роста.
Пренатальная ультразвуковая диагностика танатоформной дисплазии у плода. Описание случая

Эталон новых стандартов! Беспрецедентная четкость, разрешение, сверхбыстрая обработка данных, а также исчерпывающий набор современных ультразвуковых технологий для решения самых сложных задач диагностики.
Введение
Танатоформная дисплазия - одна из наиболее часто встречающихся форм скелетных дисплазий, характеризующаяся резко выраженной микромелией, узкой грудной клеткой и выступающим лбом. Наряду с ахондроплазией и гипохондроплазией относится к родственным скелетным дисплазиям в группе ахондроплазий [1].
Согласно литературным данным, частота заболевания варьируется в пределах 0,4 - 0,69 на 10000 родов [1,2].В большинстве случаев танатоформная дисплазия - результат спорадической мутации, повторяется редко. Практически всегда заболевание заканчивается летально, но даже в случае выживания детей - отдаленный прогноз плохой, несмотря на интенсивность лечения [1].
Материалы и методы
Беременная П., направлена на ультразвуковое исследование плода на сроке 24 нед. беременности. Настоящая беременность - 2-я; 1-я закончилась медицинским абортом на сроке 9 нед. без осложнений. Соматический и наследственный анамнезы не отягощены. Эхографическое исследование плода проводилось с помощью ультразвукового сканера SA-4800HD "SonoRex" компании MEDISON, оснащенного трансабдоминальным датчиком 3,5 МГц.
Результаты
При ультразвуковом исследовании обнаружено: 1 живой плод в головном предлежании.
Данные фетометрии:
- (бипатериальный размер головы - от виска до виска) = 65 мм - 26 нед.,
- ОкГ (окружность головы) = 244 - 26 нед. + 3 дня.
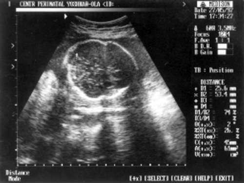
- МРМ (межполушарный размер мозжечка) = 25,6 мм - 23,5-24 нед. (рис. 1)
- ОкГрК (окружность грудной клетки) = 42 мм - 19,5 нед.
- ОЖ (окружность живота) = 182 мм - 22 нед. + 6 дн.
- ДБ (длина бедра) = 24 мм - 17 нед. (рис. 2)
- Плечевая кость = 16 мм - 14,5 нед. (рис. 3)
- Кости предплечья = 17,5 мм - 15,5 нед. (рис. 4)
- Малая берцовая кость = 22 мм - 18,5 нед.
- Большая берцовая кость = 24 мм - 18,5 нед.

Рис. 1. УЗИ плода - голова.

Рис. 2. УЗИ плода - бедро.

Рис. 3. УЗИ плода - плечевая кость.

Рис. 4. УЗИ плода - кости предплечья.
В ходе визуальной оценки лица в профиль отмечены выступающий лоб и седловидный нос. В аксиальной плоскости форма головки лишь отдаленно напоминала "трилистник" (рис. 5). Гипертелоризм: интраорбитальный размер = 17 мм - 26 нед., экстраорбитальный размер = 40 мм - 25 нед., диаметр глазниц = 12 мм - 24 нед. Обращала на себя внимание выраженная диспропорция размеров грудной клетки и живота (рис. 6). Длинные трубчатые кости укорочены (выраженная микромелия по типу ризомелии), не искривлены. Кисть: веерообразное расположение коротких пальцев (рис. 7). На основании эхографических данных у плода была заподозрена танатоформная дисплазия. Показатели допплерометрии находились в пределах нормативных значений для данного гестационного возраста. Количество околоплодных вод - умеренное.

Рис. 5. УЗИ плода - лицо в профиль.

Рис. 6. УЗИ плода - грудная клетка и живот.

Рис. 7. УЗИ плода - кисть.
Диагностические критерии танатоформной дисплазии достаточно подробно освещены в современной литературе 5. При проведении дифференциальной диагностики с другими скелетными дисплазиями трудность могут представлять те случаи, когда один или несколько признаков, характерных для данной патологии, отсутствуют на определенном этапе роста и развития плода.
Литература
- Петриковский Б.М., Медведев М.В., Юдина Е.В. Врожденные пороки развития: пренатальная диагностика и тактика. М.: Реальное Время, 1999.- С. 145-158.
- Ромеро Р., Пилу Дж., Дженти Ф., Гидини А., Хоббинс Дж. С. Пренатальная диагностика врожденных пороков развития плода/Пер. с англ. - М. : Медицина, 1994. С. 310-387.
- Медведев М. В. , Юдина Е.В. Дифференциальная ультразвуковая диагностика в акушерстве. М. : РАВУЗДПГ, Видар, 1997.
- Козлова С.И. , Демикова Н.С. , Семанова Е., Блинникова О.Е. Наследственные синдромы и медико-генетическое консультирование. М. : Практика, 1996. С. 110-112.
- Веропотвелян Н.П. Ультразвуковая диагностика изолированных и множественных системных аномалий развития скелета плода // Клиническое руководство по ультразвуковой диагностике / Под ред. Митькова В.В., Медведева М.В.-Т.2.: Видар, 1996. С.227-255.
УЗИ сканер RS80
Что такое CIN 1, CIN 2, CIN 3 — женский диагноз не для слабонервных

Дисплазия шейки матки — CIN — цервикальная интраэпителиальная неоплазия — SIL (плоскоклеточное интраэпителиальное поражение) — предраковое состояние. Этот диагноз ставится примерно 10 тысячам женщин в год, при этом от рака шейки матки в итоге погибает 6000 пациенток. Причина — позднее обращение к гинекологу, когда хорошо излечимые стадии CIN1 и CIN2 перешли в трудноизлечимую CIN3.
Консультация гинеколога, уролога — 1000 руб, консультация по результатам УЗИ, анализов — 500 руб. (по желанию).
Что такое дисплазия шейки матки, причины
Рак шейки матки не начинается внезапно, ему предшествую 3 предраковых стадии дисплазии, когда несколько слоев клеток плоского эпителия (выстилающей кожицы) шейки претерпевают изменения. Постепенно нормальные эпителиальные клетки заменяют атипичные — видоизмененные. Они имеют другое строение, размер и меняют свое расположение. В результате эпителий из многослойного, легко обновляющегося, преобразуется в однослойный.
Установлено, что главная причина дисплазии — вирус папилломы человека, вернее его онкогенные типы — 16 и 18 серотипы, передающиеся половым путем. При этом дисплазия не начинается на пустом месте — ей предшествует эрозия шейки матки, которую женщины часто игнорируют, не желая лечить. Иными словами дисплазия — осложнение эрозии. Нелеченная эрозия переходит в дисплазию в 90% случаев.
Это связано с тем, что вирус беспрепятственно поражает незрелые ростковые плоскоэпителиальные клетки, расположенные в зоне эрозии. Такие зоны называют зонами трансформации, поэтому важнейший этап лечения эрозии — обработка (закрытие) этих зон различными методами. В современных клиниках применяются лазерная и радио методика. После обработки радионожом или лазером все пораженные клетки удаляются, закрывая путь для дисплазии
Стадии и симптомы дисплазии шейки матки: CIN 1, CIN 2, CIN 3 — что это?
Дисплазия чаще встречается у женщин старше 25 лет, когда иммунитет ослабляется вследствии смены половых партнеров, что вынуждает постоянно перестраиваться флору влагалища, родов и других причин. Пик заболеваемости приходится на 35 лет. В то же время риск развития раковой опухоли существует и после 65 лет. Английские ученые из Кильского университета доказали, что ВПЧ, попавший в организм ещё в юном возрасте, может годами и десятилетиями не проявляться, активизируясь после климакса.
Болезнь долго протекает бессимптомно, обнаруживаясь случайно на гинекологическом осмотре .
В редких случаях в стадии предрака могут проявляться следующие симптомы:
- выделения из влагалища (мазня);
- выделения после полового акта;
- межменструальные кровотечения;
- боли внизу живота.
Отсутствие ярких типичных признаков делает патологию особенно опасной. Очень рискуют женщины, пренебрегающие профилактическими осмотрами у гинеколога .
Стадии дисплазии обозначают аббревиатурой CIN. Чтобы понять суть процесса по стадиям, рассмотрим таблицу.
Стадия дисплазии шейки матки CIN (Cervical Intraepithelial neoplasia)
Протекающий процесс
Прогноз излечения
CIN 1 (ЦИН 1) — первая стадия патологии, легкая, начальная степень
Изменения слабо выражены, захватывают менее трети толщины эпителия, в рассмотрении от базальной мембраны
Дисплазия 1 степени редко приводит к малигнизации (озлокачествлению). Болезнь уходит после лечения от ВПЧ. Полностью излечима.
CIN 2 (ЦИН 2) — вторая стадия патологии, средняя степень тяжести
Строение эпителиальных клеток изменяется значительно и хорошо выражено. Изменения затрагивают половину толщины слоя
CIN 3 (ЦИН 3) — третья стадия патологии, тяжелая степень
Изменяется более ⅔ клеток плоского эпителия, выстилающего шейку матки
Дисплазия 3 степени трансформируется в рак практически в 100% случаев в течении всего года. Лечится сложно, часто не излечима полностью
Дисплазия требует немедленного лечения, без него она легко меняет стадии, достигая этапа CIN 3, который уже можно считать раком. Более точное название — местный рак, «рак на месте», т.е. ещё на давший метастаз, что оставляет надежду на излечение. Первые стадии предрака СИН 1 и СИН 2 при правильной терапии полностью излечимы.
Что означают термины CIN и SIL
В медицине диагноз дисплазия шейки матки называется по-разному. Чтобы сделать расшифровку диагноза понятной во всем мире была введена единая классификация стадий процесса. Изначально дисплазию обозначали как CIN, что расшифровывалось, как цервикальная интраэпителиальная неоплазия. Более доступно — развитие опухоли в рамках эпителиального пласта.
Когда СИН переходит в рак шейки матки, процесс принимает другой оборот — атипичные клетки прорастают внутрь тканей, выходя за пределы эпителия. Также опухоль дает метастазы, этим CIN отличается рака.
В 2012 г. ВОЗ ввела другую терминологию — CIN заменили на SIL — плоскоклеточное интраэпителиальное поражение — (squamous intraepithelial lesion). Понятие неоплазия изменилось на более объективный термин «поражение». Степеней оставили всего 2 — легкая степень поражения — LSIL (Low grade SIL) и тяжелая степень поражения — HSIL (Hight grade SIL). LSIL приравнена к дисплазии 1 (CIN 1), а HSIL к дисплазии 2-3 (CIN 2 и 3), Многие специалисты до сих пор пользуются первой классификацией, так как она более точно характеризует рамки процесса и позволяет выбрать максимально щадящее лечение.
Обследование при дисплазии шейки матки: как выявить CIN 1, CIN 2, CIN 3
Диагностика дисплазии шейки матки во всем мире осуществляется по стандартам, рекомендованным Всемирной организацией здравоохранения. В России в хороших клиниках используется следующая схема обследования на дисплазию:
- Осмотр гинеколога с применением кольпоскопа (исследование шейки под гинекологическим микроскопом с большим увеличением).
- Цитологический мазок — ПАП-тест (берет гинеколог во время осмотра). Мазок включает клетки эпителия, которые затем изучаются в лаборатории под микроскопом. Выявляются атипичные клетки: количество, качество.
- Биопсия шейки матки . Это дополнительное уточняющее обследование, проводится при плохих показателях мазка на цитологию и кольпоскопии.
- Кровь на онкомаркеры . Если рак уже есть, это будет видно по результатам анализов крови на онкологию.
Первые два обследования на син1, син2 и син3 входят в обязательную программу профилактики онкологических заболеваний в гинекологии. Кольпоскопию и цитологический мазок нужно проходить минимум раз в три года, начиная с 25 лет. Эта программа носит название — скрининг на рак.
Оценка результатов биопсии при СИН 1, 2 и 3
Диагноз дисплазия ставится на наличии в мазке на цитологию атипичных клеток и выявленной потери возможности нормального созревания клеток многослойного плоского эпителия из-за повышенной пролиферации (ускоренное деление) клеток.
Дисплазия первая степень (LSIL, CIN 1)
При дисплазии 1 степени ВПЧ внедряется в клетки, постепенно изменяя строение клеток, вызывая ускорение их роста. При этом это касается не только эрози, аналогичный процесс приводит к образованию остроконечных и плоских кондилом. При крепком клеточном иммунитете, после удаления кондилом, процесс затормаживается. Так как папилломавирус внедряется в геном клеток, вылечить его невозможно, именно поэтому эрозию и папилломы удаляют разными методами, стараясь не оставить пораженных клеток.
Дисплазия вторая — третья степень (HSIL, CIN 2-3)
Развитие диспластического процесса напрямую зависит от иммунитета пациента. И даже при лечении, начатом в этих стадиях, инфекция остается и прогрессирует у 10% женщин, что гарантирует развитие рака. При этом скорость развития процесса может быть разной и доходить до 15 лет. По этой причине, если женщине хотя бы раз был поставлен диагноз CIN 1, контролировать состояние шейки матки ей придется всю жизнь.
Изменения клеток в стадиях CIN 2-3 носят только неопластический характер — т.е. они полностью трансформируются, а границы процесса расширяются. Количество атипичных клеток превалирует, они быстро размножаются, замещая нормальный эпителиальный слой цервикальных желез и даже канала.
Как лечат дисплазию шейки матки в разных стадиях
Как будет проходить лечение, зависит от степени дисплазии.
Стадия дисплазии шейки
Диагностика для подтверждения и контроля динамики
Варианты лечения
Результат анализа — CIN 1
Мазок на цитологию каждые 3 месяца. Кольпоскопия. Анализ на ВПЧ — онкогенные типы.
Дополнительные обследования на воспаление, гормональные нарушения и инфекции половой сферы.
Выжидательная тактика. Противовирусная терапия. Стимуляция иммунитета. Лечение всех сопутствующих заболеваний. Удаление кондилом.
Если анализ CIN 1 плохой более полутора лет, требуется удаление пораженных тканей.
Результат анализа — CIN 2
Углубленное обследование: биопсия, проба Шиллера, эндоцервикальный кюретаж
Назначаются: криотерапия, ФДТ, прижигание током или же более современные щадящие, но очень эффективные методики — лазеротерапия или радиолечение, при значительном поражении эксцизия петлей или же конизация шейки матки. При CIN 2 и 3 должны использоваться вышеперечисленные методы, удаление матки проводится только при эх неэффективности.
Результат анализа — CIN 3
Углубленное обследование каждые 3 месяца: биопсия шейки, расширенная кольпоскопия, эндоцервикальный кюретаж
Лазеротерапия, радиолечение, эксцизия, конизация шейки матки. Если начался рак шейки матки и лечение не помогает, придется удалить матку.
Зависит от многих факторов: состояния организма, степени поражения, применяемой ранее и в настоящее время тактики лечения и т.д.
Для беременных или нерожавших женщин возможна выжидательная тактика при CIN 2 и 3, при условии небольшой площади охвата. Но весь период беременности нужно регулярно сдавать анализы на цитологию и проходить кольпоскопическое обследование.
Где сдать анализы и вылечить CIN 1, CIN 2, CIN 3 в СПБ, цены
Лечение всех стадий предрака требует качественной диагностики и лечения с применением профессионального современного оборудования. Клиника Диана в Санкт-Петербурге приглашает всех женщин — жительниц и гостей города пройти обследование и лечение дисплазии в любой стадии. Гинекологи клиники используют новые аппараты — кольпоскоп и радионож «Фотек» — это лучшее оборудование, рекомендованное Минздравом.
В нашем медцентре можно сдать анализы, пройти кольпоскопию, без боли и осложнений удалить кондиломы, вылечить эрозию и дисплазию (лазер, радионож). Мы делаем любые гинекологические малотравматичные операции, например, конизацию шейки матки, эксцизию электропетлей.
Прием гинеколога стоит всего 1000 руб., прием по результатам анализов — 500 руб. Прием онколога — 1000 руб. На сегодняшний день это практически самая низкая и самая адекватная цена в Санкт-Петербурге.
Читайте также:
- Точки контроля за сборкой веретена деления
- Причины боли в пятке: подошвенный фасцит и пяточная шпора. Диагностика и лечение
- Уход после операции при продольной лучелоктевой диссоциации (повреждении Essex-Lopresti)
- Поражение экстрамедуллярной части лицевого нерва. Диагностика интракраниального поражения лицевого нерва
- Депо эритроцитов
