УЗИ при утолщении стенки кишечника
Добавил пользователь Евгений Кузнецов Обновлено: 07.01.2026

Лидер продаж в высоком классе. Монитор 21,5" высокой четкости, расширенный кардио пакет (Strain+, Stress Echo), экспертные возможности для 3D УЗИ в акушерско-гинекологической практике (STIC, Crystal Vue, 5D Follicle), датчики высокой плотности.
Введение
Колоректальный рак по частоте занимает 4-е место в мире среди злокачественных новообразований. Ежегодно в мире этой формой рака заболевают 950 тыс. человек, из них 500 тыс. умирают. Высокий уровень заболеваемости отмечается в странах Европы и Северной Америки. В России каждый год регистрируются 46 тыс. впервые выявленных больных колоректальным раком, причем от 20 до 50% пациентов уже на стадии отдаленных метастазов. По уровню смертности колоректальный рак занимает 2-е место после рака легких, опережая злокачественные опухоли желудка, предстательной железы и других локализаций [1, 2]. Статистика свидетельствует, что рак прямой кишки и анального канала составляет до 10% всех локализаций рака, причем в разных странах его частота существенно колеблется - от 1,5 до 17,7 на 100 тыс. населения.
Выживаемость пациентов с колоректальным раком напрямую зависит от стадии заболевания на момент его обнаружения. К сожалению, у 25% больных выявляется некурабельная диссеминированная форма заболевания. У 75% колоректальный рак курабелен, тем не менее 50% этих пациентов умирают в течение 5 лет из-за рецидива опухоли. Все это диктует необходимость разработки новых принципов и подходов к диагностике рака кишечника.
К методам диагностики (в том числе скрининга) рака прямой кишки относят пальцевое ректальное исследование, анализ кала на скрытую кровь, аноскопию, ректороманоскопию и колоноскопию с прицельной биопсией. В литературе имеются также данные и о возможности использования ультразвуковой диагностики трансабдоминальным и трансректальным доступами для распознавания данного заболевания [3]. Вместе с тем описаний случаев визуализации рака прямой кишки в процессе трансвагинального ультразвукового исследования (ТВУЗИ) мы не нашли.
Приводим наблюдение
Пациентка С., 48 лет, была направлена гинекологом на трансвагинальное УЗИ в рамках ежегодного диспансерного обследования. В анамнезе - надвлагалищная ампутация матки без придатков по поводу множественной миомы.
При УЗИ, проводимом по общепринятой методике полостным датчиком частотой 7 МГц, визуализировалась культя шейки матки с ровными четкими контурами размером 5,2х5,3х3,7 см. Структура ткани неоднородная, с наличием кист размером от 0,4х0,4 до 0,7х1 см. Цервикальный канал не расширен. Эндоцервикс не утолщен. Правый яичник расположен типично, его размер 3,5х1,9х3,5 см. Контуры четкие, ровные. В структуре определяются два аваскулярных жидкостных образования размером до 1 см с тонкими стенками и однородным содержимым. Левый яичник расположен типично, его размер 2,8х1,6х2,4 см. Контуры четкие, ровные. Структура умеренно неоднородная, фолликулы не определяются. Жидкости в позадиматочном пространстве не выявлено.
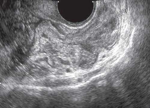
К задней стенке культи шейки матки прилежит участок прямой кишки толщиной до 2,9 см на протяжении до 7,4 см. Стенка кишки неравномерно утолщена до 0,5-0,6 см, пониженной эхогенности, дифференцировать слои стенки не представляется возможным. При ультразвуковой ангиографии на измененном участке определяется выраженная васкуляризация с наличием сосудов с артериальным типом спектра (Vmax 14,4 см/с, RI 0,74). Перистальтика кишечника в данном сегменте отсутствует, внутренний просвет не дифференцируется. Слева от описываемого участка кишечника в межкишечном пространстве определяется гипоэхогенное образование с четкими ровными контурами, неоднородной структуры, размером 2,6х1,9х2,3 см. При ультразвуковой ангиографии в нем лоцируются множественные деформированные сосуды (рис. 1, а, б, в).

а) В-режим.
В полости малого таза, кзади от культи матки, определяется участок кишечника размером до 6,8х2,9х7,4 см с утолщенной до 0,5-0,6 см стенкой сниженной эхогенности. Перистальтика кишечника в данной проекции отсутствует, внутренний просвет дифференцируется нечетко. Содержимое кишечника практически не определяется, просвет сомкнут.
Скрининговая ультразвуковая диагностика рака ободочной кишки

Содержит актуальную клиническую информацию по ультрасонографии и ориентирован на врачей ультразвуковой диагностики, выходит с 1996 года.
В последнее время во всех высокоразвитых странах отмечается быстрый рост заболеваемости раком ободочной кишки 1. Многочисленными исследованиями доказано, что прогноз заболевания в значительной степени зависит от своевременности постановки диагноза опухоли, т.е. ранняя диагностика имеет важнейшее значение. К сожалению, у 60-80% больных с впервые установленным диагнозом определяется III-IV стадии заболевания 8. Своевременная диагностика рака ободочной кишки обычно возможна на доклинической стадии, что требует проведения специальных лабораторно-инструментальных скрининговых исследований. Существует ряд требований, предъявляемых к скрининговым методикам: безопасность для пациента, неинвазивность, высокая чувствительность и специфичность, низкая стоимость и др. В настоящее время в США и развитых странах Западной Европы внедряются скрининговые программы, основанные на определении скрытой крови в кале, однако они недостаточно специфичны, а количество ложноотрицательных результатов составляет от 30 до 70% 8.
Ультразвуковое исследование (УЗИ) является одним из нетрадиционных, неинвазивных и широко распространенных методов диагностики, причем большая часть населения позитивно настроена к данной методике. Ранее считалось, что провести УЗИ органов, содержащих газ, нельзя, поскольку они полностью отражают ультразвуковые волны. В последнее время наблюдается значительный прогресс трансабдоминальной ультразвуковой диагностики заболеваний полых органов, в частности, толстой кишки.
Материалы и методы
Работа осуществлялась на базе 7 лечебно-профилактических учреждений областного, городского и районного уровней. Предварительно для врачей проводился двухдневный обучающий семинар по ультразвуковой диагностике онкологической патологии желудочно-кишечного тракта на базе областной клинической больницы и областного онкологического диспансера. Проанализирован 1-3-летний катамнез у 9000 больных, прошедших скрининговое УЗИ ободочной кишки. При оценке катамнеза использовались данные областного онкорегистра. Обследовано 29 467 больных с разнообразной патологией. Возраст пациентов составлял 23-89 лет. Никому из обследованных больных не был выставлен диагноз рака ободочной кишки до УЗИ.
Для ультразвуковой диагностики рака ободочной кишки можно применять любую современную ультразвуковую диагностическую аппаратуру, работающую в режиме real-time. Оптимальным выбором являются линейные, трапециевидные или конвексные датчики частотой 3,5-5 МГц, которые нами использовались. В некоторых случаях для более детального изучения структуры стенок кишки применяли датчик частотой 7,5 МГц, однако у пациентов с избыточным развитием подкожно-жировой клетчатки возможности использования такого датчика ограничены.
Скрининговое УЗИ ободочной кишки начинали в положении больного лежа на спине. Методика основана на обнаружении неспецифического симптома "пораженного полого органа". Осуществляли обзорное сканирование брюшной полости, как показано на рис. 1а (датчик располагают поперечно) для выявления патологических изменений стенки ободочной кишки и оценки ее положения. Затем методично осматривали ободочную кишку соответственно ее обычному расположению. Для этого ультразвуковой датчик устанавливали в правой подвздошной области перпендикулярно длиннику кишки (рис. 1б). Проводили последовательное сканирование по часовой стрелке вдоль проекции ободочной кишки, начиная с купола слепой кишки и перемещая датчик по ходу восходящего, поперечного и нисходящего отделов ободочной кишки, при этом осматривали печеночный и селезеночный изгибы толстой кишки. Заключительным этапом являлось сканирование сигмовидной кишки.
Затем датчик располагали продольно, по ходу ободочной кишки, и повторяли сканирование в той же последовательности, что и на втором этапе (рис. 1в). Для обнаружения патологии в латеральных и задних сегментах стенки ободочной кишки проводили сканирование с боковых поверхностей брюшной стенки.
УЗИ при утолщении стенки кишечника
На сервисе СпросиВрача доступна консультация онколога онлайн по любой волнующей Вас проблеме. Врачи-эксперты оказывают консультации круглосуточно и бесплатно. Задайте свой вопрос и получите ответ сразу же!

Здравствуйте!Утолщение стенки кишки чаще всего встречается прт неспецифических воспалительных заболеваниях кишечника(недифференцированные колиты, болезнь Крона и тд)Вас что-то беспокоит?
Данных за какую-то онконастороженность нет.Метеоризм и запоры скорее всего связаны с нарушенным пассажем желчи в кишечник.Узи брюшной полости делали?
Яна, по УЗИ БП: изменения паренхимы печени и поджелудочной железы с признаками жировой инфильтрации. Перегиб желчного пузыря, стенки уплотнены. Измененные л/у параортально , по ходу повздошных сосудов не выявлены
Изменения в жёлчном пузыре являются причиной вашего недомогания.Начните приём Урсофалька в дозе 500 мг на ночь и Мебеверин(Дюспатолин, Спарекс) в дозе 200 мг 2р/сутки.На время лечения - стол номер 5 по Певзнеру.
Я понимаю, он может провоцировать нарушение желчеоттока.Но у вас утолщённых стенки жёлчного - это признак холецистита.Лечитесь
Здравствуйте, какие то жалобы есть? Утолщение стенки кишки может быть в том числе за счёт спаечного процесса
Контролируйте диетой, кушайте дробно. Без острого копчений перченного и алкоголя, фрукты овощи дозируйте . При спазмах можно пить ношпу 40 мг 3 раза в день. Исходя из того что по КТ и МРТ чисто, онкологию исключаем. Будьте здоровы!
Здравствуйте! утолщение стенок по УЗИ - скорее всего связан из спаек между ними, иногда говорит о воспалении в этой области. УЗИ - субъективный метод исследования. По МРТ ОМТ с КУ и КТ ОБП всё в порядке, данных за мтс и онкопатологию нет. Поводов для беспокойства нет.
Александр, благодарю. Требуется консультация проктолога?
Светлана, в консультации проктолога нет необходимости. Вам надо скорректировать диету, пропить курс пробиотиков для нормализации микрофлоры кишечника, следить за стулом.
Добрый день.
У вас ничего страшного нет.
МРТ более достоверный метод.
По МРТ ничего патологического нет.
Светлана , здравствуйте !
Достоверность КТ и МРТ с КУ несравнимо больше ,чем результат УЗИ ! Потому , при наличии первых второе можно игнорировать !
В тот момент , когда выпонялось УЗИ петля кишки просто могла находится в состоянии перистальтики , а не покоя ! При перистальтике просвет кишки уменьшается , вплоть до временного полного исчезновения и соответственно стенка утолщается примерно до таких величин, что указано у Вас !
Повода для тревоги , тем более по поводу возможной онкологической патологии нет !
Случай ультразвуковой диагностики дивертикулита толстой кишки

Революционные изменения в экспертной диагностике. Безупречное качество изображения, молниеносная скорость работы, новое поколение технологий визуализации и количественного анализа данных УЗ-сканирования.
По данным литературы, распространенность дивертикулеза толстой кишки в разных странах достигает 30% во всей популяции и 40% среди лиц старше 70 лет [1, 2, 4].
Дивертикулы локализуются в разных отделах толстой кишки с разной частотой: в сигмовидной - у 60-85% больных, в нисходящей ободочной - у 13-24%, в поперечной ободочной - у 5%, в восходящей - у 6-17%, в слепой кишке - у 3% больных. Тотальное поражение ободочной кишки встречается довольно редко и, по статистическим данным, его частота не превышает 5% [3].
Наибольшая частота образования дивертикулов именно в сигмовидной кишке объясняется тем, что диаметр ее просвета меньше, поэтому напряжение стенки во время перистальтических движений, как и внутрипросветное давление, больше.
Дивертикул возникает в результате выпячивания слизистой оболочки сквозь мышечный слой стенки кишки в ее наиболее слабых местах. Современные представления о дивертикулярной болезни базируются на ведущей роли сосудистого фактора в ее развитии: при спазме мышечного слоя происходит сдавление внутристеночных сосудов с нарушением микроциркуляции - ишемия и замедление венозного оттока. Все указанное выше приводит к дистрофическим изменениям и расширению околососудистых пространств, которые впоследствии становятся устьями дивертикулов. Таким образом, дивертикулы - это конечное проявление болезни кишечной стенки, разволокнения циркулярного мышечного слоя, атрофии и расширения его в слабых местах (в зоне перфорантных сосудов).
В большинстве случаев болезнь протекает без каких-либо клинических симптомов, осложнения развиваются у 10-20% заболевших. Среди осложнений преобладает острый дивертикулит (60%), реже встречаются перидивертикулярный инфильтрат (11,9%), абсцесс (7,1%), кишечное кровоточение (15,1%), перфорация (4,9%) и кишечная непроходимость (1,0%) [3].
Наиболее частыми симптомами дивертикулита являются внезапный приступ болей в животе и нарушение стула. Поскольку дивертикулы и соответственно дивертикулит могут возникать в любом отделе толстой кишки, симптомы дивертикулита могут напоминать самые разные заболевания: от язвенной болезни желудка и двенадцатиперстной кишки, острого аппендицита, ишемии кишки, кишечной непроходимости, рака толстой кишки до почечной колики и аднексита. Признаки воспаления, такие как лихорадка и лейкоцитоз, помогают отличить дивертикулит от спастических болей при синдроме раздраженной кишки [5].
Помимо клинических и лабораторных исследований, важную роль при постановке диагноза дивертикулита играют инструментальные исследования, перечисляемые обычно в следующем порядке: обзорная рентгенография органов брюшной полости, ирригоскопия, компьютерная томография, ультразвуковое исследование и эндоскопия. Однако в последние годы, отмеченные накоплением опыта ультразвукового исследования полых органов, эта последовательность может быть пересмотрена. В связи с изложенным выше считаем необходимым представить следующее клиническое наблюдение.
Клиническое наблюдение
Пациентка Б., 1944 года рождения, обратилась к гастроэнтерологу поликлиники с жалобами на постоянные ноющие боли средней интенсивности в левых нижних отделах живота, продолжающиеся в течение 2 дней после погрешности в диете, повышение температуры тела до 38,5°С, общую слабость, недомогание. Данные анамнеза: 10 лет назад - комбинированное лечение по поводу рака правой молочной железы I стадии (РМЭ+ЛТ+ГТ), гипертоническая болезнь 2-й стадии, сахарный диабет 2-го типа средней тяжести, диабетическая полинейропатия, хронический гастродуоденит, состояние после экстирпации матки с придатками по поводу миомы.
При осмотре состояние пациентки относительно удовлетворительное. Кожные покровы и видимые слизистые оболочки нормальной окраски. Живот при пальпации мягкий, болезненный по ходу нисходящего отдела толстой кишки, в левой подвздошной области. Печень не увеличена, не пальпируется. "Пузырные" симптомы отрицательные. Запор в течение 2 дней. Симптом Пастернацкого отрицательный с обеих сторон. Дизурии нет. В срочном общем анализе крови умеренный лейкоцитоз (9700).
С подозрением на дивертикулит больная была направлена на срочное ультразвуковое исследование (УЗИ) органов брюшной полости, почек и органов малого таза. Исследование было выполнено на современном аппарате конвексным датчиком 3,5 МГц, линейным датчиком 7,5 МГц и эндовагинальным датчиком с переменной частотой 5,0-7,5 МГц с использованием цветового и энергетического допплеровского картирования.
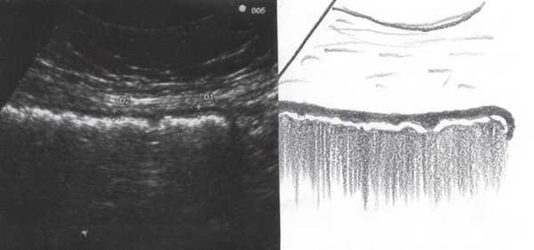
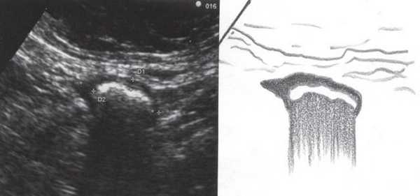
При УЗИ были выявлены диффузные изменения печени и поджелудочной железы, признаки хронического бескаменного холецистита, ангиомиолипома левой почки (без динамики за несколько лет), состояние после экстирпации матки с придатками. В левой подвздошной области соответственно зоне максимальной пальпаторной болезненности на протяжении 9 см отмечалось утолщение стенок толстой кишки до 6-7 мм (рис. 1). Перистальтика кишки отсутствовала, гаустрация была слабо выражена, при этом визуализировалось несколько болезненных при надавливании датчиком выпячиваний пониженной эхогенности, размером от 7 до 20 мм (рис. 2, а, б) с тонкой стенкой до 0,9-1,1 мм и наличием в некоторых из них фрагментов кишечного содержимого и газа (рис. 3, а, б).
Рис. 1. Эхографическая картина дивертикулита. Трансабдоминальное исследование линейным датчиком 7,5 МГц.

"Симптом пораженного полого органа".
Рис. 2. Эхографическая картина дивертикулита. Трансабдоминальное исследование линейным датчиком 7,5 МГц.

а) Продольный срез.

б) Поперечный срез.
Рис. 3. Эхографическая картина дивертикулита. Трансабдоминальное исследование конвексным датчиком 3,5 МГц.


При трансвагинальном УЗИ (рис. 4) также визуализировался фрагмент толстой кишки с утолщенными гипоэхогенными стенками и несколькими округлыми дивертикулами до 1 см в диаметре. Контуры одного из дивертикулов были неровными, он имел звездчатую форму. Отмечались утолщение и повышение эхогенности околокишечной жировой клетчатки по сравнению с контралатеральной стороной. При осмотре в режиме УЗ ангиографии утолщенная стенка кишки и дивертикулы были аваскулярными, окружающая клетчатка - гиперваскулярной.

Рис. 4. Эхографическая картина дивертикулита. Трансвагинальное исследование конвексным датчиком 7,5 МГц.
С подозрением на острый дивертикулит пациентка была госпитализирована в проктологическое отделение ЦКБ. Через 4 дня после лечения спазмолитиками, антибиотиками болевой синдром был купирован и больная выписана для планового амбулаторного дообследования.
При ирригоскопии, проведенной через 4 нед после выписки пациентки из стационара (рис. 5), толстая кишка исследована в условиях двойного контрастирования. Бариевой взвесью и воздухом заполнились все отделы и обычно расположенный червеобразный отросток. В тонкую кишку бариевая взвесь не проникла. Сигмовидная кишка была удлинена. Расположение петель обычное, контуры ровные, четкие, стенки эластичные. Гаустрация хорошо выражена, в левой половине неравномерная. В левой половине, преимущественно в сигмовидной кишке, выявлены множественные разнокалиберные дивертикулы, в области печеночного изгиба - одиночные мелкие дивертикулы. Деформаций кишки, сужения просвета, внутрипросветных образований не обнаружено. Опорожнение кишки неполное, неравномерное. Заключение: дивертикулез толстой кишки с преимущественным поражением левых отделов.

Рис. 5. Рентгенологическая картина дивертикулеза толстой кишки. Ирригоскопия в условиях двойного контрастирования.
Во время контрольного УЗИ через 6 мес при осмотре левой подвздошной области толщина стенок нисходящего отдела толстой и сигмовидной кишки не превышала 3-5 мм (рис. 6, а, б), при наблюдении в течение 1 года признаков рецидива не отмечено.
Рис. 6. Эхографическая картина толстой кишки. Контрольное трансабдоминальное исследование конвексным датчиком 3,5 МГц через 6 мес.


Предрасполагающими факторами развития дивертикулита считаются пожилой возраст (наиболее значимый фактор), кортикостероидная и иммуносупрессивная терапия, хроническая почечная недостаточность.
Как правило, обследование таких пациентов начинается с обзорной рентгенографии органов брюшной полости, которая позволяет обнаружить кишечную непроходимость, парез кишки, опухолевидное образование, признаки ишемии и перфорации кишки. Таким образом, метод эффективен фактически при наступлении осложнений острого дивертикулита.
Ирригоскопия может привести к обострению заболевания и оказаться скорее вредной, чем полезной, поскольку попадание в брюшную полость бария в случае перфорации дивертикула может вызвать химический перитонит. Однако проведенные специальные исследования подтвердили, что ирригоскопия может не навредить пациенту и действительно принести большую пользу при применении водорастворимых контрастных веществ. При дивертикулите легкой и средней степени тяжести, когда диагноз до конца неясен, рентгеноскопия с водорастворимым контрастным веществом безопасна и оказывает большую помощь; при тяжелой степени заболевания обследование целесообразно отложить на 6-8 нед. Таким образом, метод имеет ряд ограничений, связанных с острым периодом болезни.
Колоноскопия, кроме определения наличия дивертикулов, позволяет уточнить протяженность воспалительных изменений в просвете кишки, расположение дивертикулов и состояние их слизистой оболочки: гиперемию и отек слизистой оболочки в области дивертикулов, наличие гноя в кишке. Однако острый дивертикулит является относительным противопоказанием к проведению эндоскопического исследования, так как сами манипуляции эндоскопом и раздувание кишки воздухом могут привести к перфорации дивертикулов и развитию абсцесса или перитонита. Колоноскопию следует выполнять только в тех случаях, когда диагноз неясен и дифференциальная диагностика проводится между обтурирующей опухолью, ишемией кишки, воспалительными заболеваниями кишки и инфекционным колитом. Таким образом, метод имеет практически те же ограничения, что и рентгеноконтрастное исследование.
Компьютерную томографию выполняют во всех случаях дивертикулита с пальпируемым опухолевидным образованием в животе или клинически выраженной интоксикацией, при отсутствии эффекта консервативной терапии; она является методом выбора при диагностике осложненного дивертикулита. компьютерная томография позволяет внимательно осмотреть не только стенку кишки, но также органы и ткани за ее пределами, помогает обнаружить заболевания, не связанные с дивертикулитом, такие как ишемический колит, мезентериальный тромбоз, тубоовариальный абсцесс и панкреатит. Диагностическими критериями острого дивертикулита при компьютерной томографии являются локальное утолщение стенки толстой кишки (более 5 мм), воспаление околокишечной жировой клетчатки или наличие околокишечного абсцесса. Метод хотя и не имеет ограничений, связанных с острым периодом болезни, все же не может конкурировать с УЗИ по доступности для населения.
Ультразвуковое сканирование является наиболее безопасным неинвазивным методом диагностики острого дивертикулита, который можно применять на любой стадии заболевания. Недостаточная информативность этого исследования является следствием содержания большого количества газов в кишке. Ложноотрицательные результаты отмечаются в 20-25% наблюдений при отсутствии ложноположительных заключений. Результат исследования в значительной степени зависит от квалификации врача: при проведении опытным исследователем чувствительность составляет 74,2%. Результаты ультразвукового обследования бывают близки к результатам компьютерной томографии. При этом у пациентов с дивертикулитом могут быть выявлены утолщение стенки кишки с наличием мешотчатых или треугольной формы образований, выходящих за контур измененного сегмента кишки, инфильтрация околокишечной жировой клетчатки, внутристеночные свищи, стеноз ободочной кишки с характерными изменениями диаметра просвета: сужение на разном протяжении с утолщенной за счет мышечного слоя стенкой и супрастенотическое расширение. Стриктуры кишки, развившиеся вследствие злокачественной опухоли, характеризуются резкими границами с обеих сторон, в то время как стриктуры, развившиеся в результате дивертикулита, отличаются более плавными контурами и большей протяженностью [4, 6, 7].
В приведенном наблюдении при УЗИ визуализировались множественные выпячивания истонченной кишечной стенки. На участках утолщенной стенки между дивертикулами и в самих дивертикулах сосудистый рисунок был обеднен или не визуализировался, что подтверждает роль сосудистого фактора в развитии болезни: сдавление внутристеночных сосудов с нарушением микроциркуляции, наличие ишемии и замедления венозного оттока. Некоторые дивертикулы были заполнены гомогенным аваскулярным содержимым средней эхогенности, без признаков внутрипросветного движения, так что содержимое сливалось с изображением стенки. В других дивертикулах пузырьки газа, выступая в качестве естественного контраста, позволили детально рассмотреть истонченную до 0,9-1,1 мм стенку кишки, лишенную гипоэхогенного мышечного слоя. Форма этих дивертикулов приближалась к шаровидной, устье было меньше, чем диаметр дивертикула. Однако встречались и выпячивания в форме конусов, с устьями, превышающими размеры самого дивертикула, в них прослеживалось продолжение гипоэхогенного мышечного слоя стенки.
Очевидно, эта разница в ультразвуковом изображении дивертикулов отражает стадии их формирования: округлые с истонченной стенкой и отсутствием в ней мышечного слоя - это сформированные дивертикулы, в то время как другие, в которых еще прослеживается мышечный слой или его фрагменты, - дивертикулы на стадии формирования.
Таким образом, газ в кишке может быть не только препятствием к адекватной визуализации, но и, являясь естественным контрастным средством, существенно обогащает ультразвуковую картину.
Выводы
При синдроме абдоминальной боли УЗИ является наиболее безопасным неинвазивным методом диагностики, который можно применять на любой стадии заболевания, оно дает важную информацию и должно использоваться при подозрении, в частности, на дивертикулит в амбулаторно-поликлинических условиях во всех случаях.
Литература
УЗИ аппарат RS85
На сервисе СпросиВрача доступна консультация гастроэнтеролога онлайн по любой волнующей Вас проблеме. Врачи-эксперты оказывают консультации круглосуточно и бесплатно. Задайте свой вопрос и получите ответ сразу же!
ЗдравствуйТЕ! УЗИ не является методом обследования кишечника. Данные изменения могут иметь место при воспалении в кишечнике. рекомендую копрограмму, клинический анализ крови ПРоблемы со стулом есть?
Марина, на данный момент проблем со стулом нет, раньше иногда был кашицеобразный стул. По копрограмме и крови будет понятно, есть воспаление или нет?
Это- минимальный набор исследования. по которым мы увидим какие-либо изменения. По возможности- сделать более углубленное обследование - анализ крови на антитела к лямблиям ,гельминтам, аскаридам или кал методом обогащения Парасеп, и кал на фекальный кальпротектин (анализ показывает наличие воспалительной реакции в кишечнике степень ее выраженности).
Здравствуйте. По поводу жалоб и данных исследования скорее имеет место билиарная дисфункция. Действительно - УЗИ - неинформативный метод исследования кишечника. Для исключения патологии кишечника рекомендую - копрограмма, кальпротектин, кал на скрытую кровь, кал на я\г методом парасепт.
На данный момент : диета с ограничением жиров и углеводов, одестон 200мг 3р\сут 1мес.
Марина, спасибо за ответ! Подскажите, пожалуйста, что в копрограмме в случае чего должно насторожить? Кальпротеин в случае воспаления должен быть повышен, как понимаю? Будет очень здорово, если УЗИ ошибка, но тревожно, потому что делала в большой хорошей больнице и врач минут 30-40 смотрела разными датчиками и на двух аппаратах, чтобы понять источник боли. И увеличение л/у - это норма?
вы самостоятельно не интерпретируете анализы. Для их интерпретации нужен врач клиницист, который в совокупности с осмотром, жалобами и анамнезом сделает вывод
Читайте также:
- Взаимодействие вируса с клеткой. Характер взаимодействия вирус-клетка. Продуктивное взаимодействие. Вирогения. Интерференция вирусов.
- Тонус сосудов при предменструальном синдроме. Основной обмен при ПМС
- Воспаление поджелудочной железы
- Патронаж. Какие требования должны быть к сиделке?
- Хромосомный и геномный анализ с использованием микроматриц. Особенности
