УЗИ при внутриматочной спирали
Добавил пользователь Евгений Кузнецов Обновлено: 19.12.2025
Внутриматочные средства (ВМС) являются одними из наиболее часто используемых средств контрацепции в мире. Известно около 50 разновидностей ВМС (рис. 1) и различают 3 основных типа этих средств: инертные, медьсодержащие (первого и второго поколения) и гормонсодержащие.

Большинство современных ВМС являются Т-образной формы, либо медьсодержащей, либо на гормональной основе. Из ВМС на основе гормонов доступной в настоящее время является левоноргестрел-высвобождающая внутриматочная система Мирена.
Применение метода внутриматочной контрацепции наряду с известным рядом положительных сторон имеет и ряд осложнений, таких как аномальная установка, экспульсия, прободение стенки полости матки, перфорация стенки матки [1].
Разнообразие форм и наличие осложнений требует при ведении женщин с ВМС визуального контроля корректной установки и расположения средств в полости матки. Основным методом диагностики на сегодняшний день является ультразвуковое исследование (УЗИ). Классическое двумерное УЗИ (2D-УЗИ) позволяет оценить нахождение и расположение стержня ВМС в полости матки [2]. В то же время для полной оценки соотношения ВМС и полости матки с визуализацией расположения плечиков требуется 3D-УЗИ с реконструкцией коронального среза матки [3, 4]. Кроме того, этот метод позволяет оценить и разновидность установленного средства. N.K. Kerr и соавт. [5] утверждают, что 3D-УЗИ следует использовать во всех случаях, когда проводится оценка ВМС.
Ультразвуковая картина зависит от формы ВМС, знание которой является фактором корректной оценки положения ВМС.
В данном исследовании мы представляем ультразвуковую картину различных видов ВМС при нормальном расположении и некоторых осложнениях.
Материал и методы
Исследование носило ретроспективный характер. Проведен анализ 46 протоколов УЗИ внутренних половых органов, проведенных у пациенток с наличием ВМС. Во всех случаях обследование начиналось с трансабдоминального ультразвукового исследования (ТАУЗИ) с переходом на трансвагинальное (ТВУЗИ). Всем пациенткам проводилась трехмерная реконструкция коронального среза с целью оценки формы полости матки и визуализации ВМС.
УЗИ проводилось как по желанию пациенток, так и для уточнения диагноза при направлении пациенток с различными проблемами. Использовались современные ультразвуковые приборы с конвексным (2-5 МГц) и трансвагинальным (5-9 и 6-12 МГц) датчиками.
Во всех случаях проводили архивирование объемных изображений с последующим мультиплоскостным анализом. При этом применялись методики трехмерного реконструирования изображения, объемного контрастного изображения (VCI), томографического исследования (TUI). Обработка сохраненных объемных данных была выполнена с использованием программы 4D View версия 9.0.
Результаты и обсуждение
Протоколы УЗИ органов малого таза 46 пациенток, у которых имелось ВМС, были проанализированы в этом исследовании. В 34 случаях были установлены медьсодержащие Т-образные ВМС, в 4 - Мирена, в 7 - кольцевидная и в 1 - петля Липпеса.
2D-УЗИ позволяет оценить наличие ВМС в полости матки, а при некоторых видах ВМС определить и форму. При этом в зависимости от формы ВМС можно получить характерные картины.
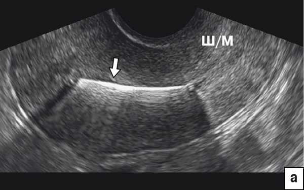
На рис. 2 отражена картина различных ВМС на среднесагиттальном срезе матки при 2D-УЗИ. Для всех Т-образных форм ВМС (включая Мирену) и Multiload стандартной картиной является визуализация гиперэхогенной линейной структуры в проекции полости (рис. 2а). В отличие от Т-образных, Multiload при исследовании в парасагиттальном сечении дает дополнительную специфическую ультразвуковую картину в виде 3-4 продольно расположенных одинаковых гиперэхогенных включений (рис. 2в). Также характерную картину на сагиттальном срезе дают кольцевидные ВМС в виде проксимальной короткой линейной структуры и дистальной отдельной точечной (рис. 2б) и петля Липпеса в виде 4-5 отдельных эхогенных фрагментов (рис. 2г). Кольцевидные ВМС и петля Липпеса в настоящее время практически вышли из употребления.

а) Гиперэхогенная картина стержня ВМС (стрелка) в проекции полости матки.
Внутриматочная спираль (ВМС) — удобная контрацепция до 10 лет

Внутриматочной контрацепцией называют эффективный метод предохранения, при котором в полость матки вводятся специальные внутриматочные средства. Внутриматочная спираль — ВМС — отличный способ долговременной контрацепции, используемый тысячами женщин во всем мире.
Прием гинеколога — 1000 руб. Консультация врача по результатам УЗИ, анализов — всего 500 руб. (по желанию пациента).
Существует несколько десятков видов ВМС, хорошие спирали дают гарантированную защиту на 98%. Подбирать и устанавливать устройство должен гинеколог. Обязательное условие при установке спирали — регулярный (раз в полгода) гинекологический осмотр.

Как внутриматочная спираль предотвращает беременность
Типы внутриматочных спиралей
В аптеках продаются до 50 моделей ВМС, относящихся к четырем поколениям. В их числе:
- Инертные пластиковые устройства. Сегодня практически не применяются из-за частых выпадений и низкого уровня защиты от нежелательной беременности. Такие модели простоят не более 2-5 лет.
- Медьсодержащие спирали. Второе поколение ВМС. Они механически препятствуют оплодотворению и создают кислую среду, уничтожающую сперматозоиды, попавшие в матку. Такие спирали устанавливаются на 5-7 лет. Уровень их защиты выше, чем у инертных ВМС.
- Серебросодержащие спирали. Это следующее поколение внутриматочных контрацептивов. Благородный металл губительно действует на сперматозоиды и не дает яйцеклетке имплантироваться в маточную оболочку. Ионы серебра обладают выраженным дезинфицирующим действием, за счет чего борются с половыми инфекциями. Эти спирали гипоаллергенны. Серебряные ВМС стоят без замены 5-7 лет, показывая действительно высокий уровень защиты.
- Гормоносодержащие спирали «Мирена». Обладают отличным противозачаточным действием, хорошо влияют на половую функцию и препятствуют развитию воспалений в органах малого таза. Содержащиеся в контрацептиве гормоны уплотняют шеечную пробку, затрудняя оплодотворение и препятствуя проникновению в матку микробов. «Мирена» соединила в себе положительные свойства внутриматочных и оральных (противозачаточных таблеток) контрацептивов. ВМС устанавливают на срок до 7-10 лет.
Отличаться спирали могут также по форме, жесткости и размерам. Тип и модель устройства подбираются гинекологом индивидуально для каждой пациентки. Только тогда контрацептив даст максимальную защиту и минимум осложнений.
Наиболее распространены Т-образные модели, они подходят практически всем пациенткам. Альтернатива т-образным ВМС — полукруглые спиральки с закрепляющими выступами.
Преимущества внутриматочной контрацепции: ВМС рулят!
Внутриматочная спираль - удобный и надежный метод контрацепции, который позволит забыть о ежедневном приеме противозачаточных таблеток и использовании презервативов, снижающих чувствительность во время секса.
Этот способ контрацепции обладает рядом преимуществ. Достоинства применения внутриматочных спиралей:
- Отличная мера предохранения — вероятность возникновения беременности сводится к десятым долям процента.
- Безопасность — при правильном подборе спирали негативное влияние на обменные процессы в организме женщины отсутствуют.
- Возможность контролировать зачатие — после извлечения внутриматочных контрацептивов быстро наступает беременность.
- Отсутствие влияния на либидо — за редким исключением, у женщин, решивших поставить спираль, половое влечение не снижается.
- Возможность применения в период кормления грудью — даже ВМС, содержащие гормоны, никак не влияют на процесс лактации.
- Доступная цена — стоимость спирали, устанавливаемой на 5-7 лет, стартует от 600 руб.
- Продолжительная защита — некоторые ВМС можно не менять до 10 лет при условии регулярного наблюдения у гинеколога.
Недостатки внутриматочной контрацепции: не ставьте что попало и где попало
Конечно же, как и любой другой метод, внутриматочные спирали не лишены недостатков и осложнений:
- Первое время после установки ВМС у некоторых пациенток наблюдаются умеренные боли в области матки.
- Кровевыделение при менструациях может становиться более обильным.
- Есть вероятность возникновения воспалительных процессов в матке — избежать этого можно своевременно пролечивая любые инфекции.
- Есть ограничение по установке женщинам, которые не имеют детей, но планируют беременность в ближайшие годы.
- Необходимость регулярного посещения гинеколога, для проверки, не сдвинулись ли контрольные нити внутриматочного контрацептива.
Противопоказания для установки ВМС
Установка спирали имеет ряд противопоказаний, к которым относят патологические состояния. Не рекомендуется использовать внутриматочный способ контрацепции при наличии воспалительных процессов, хронических заболеваний матки, яичников, маточных труб, раковых опухолей, а также доброкачественных новообразований.
Беременность и недавно перенесенный аборт также выступают однозначными противопоказаниями для установки внутриматочных средств контрацепции.
Подготовка к введению спирали
Как устанавливается внутриматочная спираль
Внутриматочный контрацептив вводят в период между четвертым и восьмым днем менструального цикла, так как в этот период церквиальный канал приоткрыт, и процедуру провести проще. Введение внутриматочного контрацептива проводится после дезинфекции внутренних стенок влагалища. Шейку матки захватывают при помощи пулевых щипцов, после чего контрацептив, при помощи специального шприца, вводят в полость органа.
Через неделю-полторы после проведения процедуры пациентке следует вновь посетить гинеколога для профилактического гинекологического осмотра . Следующее посещение назначается через месяц. А после этого пациентка может посещать врача раз в полгода.
Незначительные мажущие кровотечения и болезненность считаются нормальными послепроцедурными проявлениями. При этом риск развития негативных последствий напрямую зависит от профессионализма и опыта врача. В медицинском центре Диана процедуру установки внутриматочной спирали проводят высококлассные специалисты, обладающие навыками и знаниями относительно внутриматочной контрацепции.
Удаление и установка ВМС «Мирена»
Одна из самых эффективных и безопасных гормональных спиралей - ВМС «Мирена», которая обеспечивает контрацепцию путем медленного выделения гормона левоноргестрела. Этот активный гормональный фактор обеспечивает невозможность прикрепления эмбриона к стенке матки, даже в случае оплодотворения яйцеклетки.
Установка и удаление спирали «Мирена» должна производиться только опытным и квалифицированным гинекологом. Ни в коем случае нельзя предпринимать попытки самостоятельного введения и извлечения спирали в матку, в связи с высоким риском травмирования тканей и выпадения средства контрацепции.
Как устанавливается спираль «Мирена»
Перед установкой спирали необходимо сдать мазок на онкоцитологию с шейки матки (желательно жидкостная о/ ц). Если все в порядке, доктор устанавливает спираль.
Внутриматочная спираль имеет форму буквы «Т» и изготовлена из мягкого пластика. Установка данного средства контрацепции происходит на гинекологическом кресле. При этом не потребуется анестезия, поскольку опытный врач проведет процедуру безболезненно для пациентки. Спираль аккуратно, через немного расширенную шейку матки вводится в полость органа и фиксируется при помощи спинки. В редких случаях процедура установки может вызывать минимальный дискомфорт.
В случае правильной установки спираль не ощущается ни женщиной, ни ее половым партнером. При этом женщина должна посетить гинеколога через месяц после процедуры, чтобы в дальнейшем ходить на прием не чаще одного раза в полгода. Преимущества использования внутриматочной спирали «Мирена» заключаются в следующих ее свойствах:
- высокий уровень надежности - нежелательная беременность при использовании спирали «Мирена» наступает 1 раз на 500 случаев применения, что демонстрирует более высокую эффективность, нежели противозачаточные таблетки;
- лечебный эффект — доктор может рекомендовать установку именно этой спирали при миоме матки и эндометриозе ;
- спираль не нужно часто менять - установив спираль, забыть о ее замене можно на 5 лет, не заботясь при этом о ежедневной контрацепции;
- гормоны не оказывают системного действия - левоноргестрел, выделяющийся спиралью, практически не всасывается в кровь, ограничивая зону своего действия полостью матки. Это является главным залогом безопасности использования такого способа контрацепции. Кроме того, в отличие от большинства противозачаточных таблеток, после установки спиралей женщина не ощутит гормональных перестроек, повышения аппетита и бесконтрольного набора веса.
Нормальным последствием установки внутриматочной спирали считаются незначительные кровянистые мажущие выделения на протяжении нескольких недель после процедуры, отсутствие менструации на протяжении 2-3 месяцев.
Удаление ВМС «Мирена»
Извлекается спираль по окончанию срока ее действия или преждевременно, при возникновении у женщины желания забе ременеть. При этом гинеколог использует специальные нити, что делает этот процесс быстрым и безболезненным. После удаления, спираль обязательно показывают женщине, чтобы подтвердить факт извлечения.
После удаления спирали менструальный цикл восстанавливается обычно в течение ближайших 2-3 месяцев. По истечении этого срока, женщина может планировать беременность.
Где поставить спираль в Санкт-Петербурге
Привести установку и удаление внутриматочной спирали, а также получить полноценную консультацию опытного гинеколога по средствам контрацепции можно, записавшись на прием в медицинский центр Диана . Наши гинекологи применяют спирали 3 и 4 поколения — они обеспечивают лучшую защиту от беременности, предупреждают воспаление, и не врастают.
Трансвагинальное УЗИ: все о замечательном методе

Трансвагинальное УЗИ (ТвУЗИ) проводят для диагностики состояния органов малого таза у женщин. Исследование назначают для выявления урологических и гинекологических заболеваний, контроля их течения и результатов лечения, а также для установления срока беременности и исключения патологий в первом триместре. ТвУЗИ на сегодняшний день — самый точный и информативный метод исследования органов малого таза у женщин.
СТОИМОСТЬ ТРАНСВАГИНАЛЬНОГО УЗИ 1000 руб. КОНСУЛЬТАЦИЯ ГИНЕКОЛОГА ПО РЕЗУЛЬТАТАМ УЗИ или АНАЛИЗОВ — 500 руб
Этот вид обследования имеет минимум противопоказаний, абсолютно безболезненный и недорогой.
Особенности диагностической методики
Трансвагинальное исследование отличается от трансабдоминального лишь тем, что в первом случае ультразвуковые волны подаются через датчик, который находится в непосредственной близости от исследуемых органов или плодного яйца: их разделяет лишь тонкая стенка влагалища. При трансабдоминальном УЗИ датчик двигают по нижней части живота, при этом такая методика не дает четкой обзорной картины, если у пациентки есть ожирение или она страдает повышенным газообразованием в кишечнике.

Внутриполостной датчик (трансдюсер) выглядит как стержень длиной 12 см, а его диаметр не превышает 3 см, поэтому его проникновение во время исследования не вызывает неприятных ощущений. Датчик имеет скошенный обзор относительно своей оси, что необходимо для лучшей визуализации матки с учетом ее анатомического расположения. На конце имеется канал с иглой, которая может понадобиться в случае проведения биопсии тканей.
Интравагинальное ультразвуковое обследование абсолютно безопасно, поэтому его можно делать многократно. Иногда ТвУЗИ назначают несколько раз за один менструальный цикл.
МЫ ДЕЛАЕМ ВСЕ ВИДЫ УЗИ 2Д, 3Д, 4Д с ДОПЛЕРОМ / We do all kinds of ultrasound - 2D, 3D, 4D diagnostics with Doppler
Мы используем один из лучших ультразвуковых сканеров УЗИ с доплером SonoAce X8 от компании SAMSUNG MEDISON. Этот аппарат сочетает в себе максимальный набор функций и широкий спектр диагностических возможностей — в нем представлены все виды чувствительного допплера, он отличается отличной степенью визуализации, возможностью панорамного сканирования органов и построения изображения в реальном времени в форматах 2Д, 3Д и 4Д. В комплекте есть все датчики, необходимые для проведения УЗИ любого типа — трансавагинального, трансабдоминального и трансректального.
We use one of the best ultrasound scanners with the SonoAce X8 doppler from the company SAMSUNG MEDISON. The device for the diagnostic combines the maximum set of functions and a wide range of diagnostic capabilities. SonoAce represents all kinds of sensitive Doppler, has an excellent degree of visualization, the possibility of panoramic scanning and the construction of images in real time in 2D, 3D and 4D formats. The kit includes all necessary ultrasound sensors of any type — transvaginal, transabdominal and transrectal.
ATTENTION! IN THE CLINIC IS A DOCTOR SPEAKING IN ENGLISH LANGUAGE!
Показания к проведению ТвУЗИ
Трансвагинальное ультразвуковое исследование назначают при подозрениях на заболевания органов малого таза, неотложных состояниях, а также для оценки результатов проводимого лечения. Показаниями к этой диагностической методике являются:
- Сильные боли во время менструации.
- Отсутствие менструаций или их нерегулярность.
- Подозрение на гормональный сбой в организме.
- Появление кровянистых выделений вне менструального цикла.
- Наличие симптомов воспаления матки или яичников.
- Патологические изменения в эндометрии: гиперплазия, полипы, хронический эндометрит, субмукозные узлы.
- Диагностика эндометриоза матки или соседствующих органов.
- Определение наличия патологических жидкостей в маточных трубах.
- Подозрения на недоразвитость органов малого таза.
- Выявление новообразований, заподозренных во время гинекологического осмотра.
- Диагностика новообразований и опухолевых процессов матки и мочевого пузыря.
- Выявление опухолей и кист яичников.
- Подозрение на разрыв кист яичника.
- Инфекционные болезни мочевыводящих путей.
- Подозрения на миомы матки.
- Диагностика причин урологических болезней, недержания мочи и других расстройств мочеиспускания.
- Определение расположения внутриматочной спирали.
- Контроль результативности проводимого лечения.
- Контроль состояния эндометрия при установленной внутриматочной спирали или приеме гормональных препаратов.
- Невозможность зачатия на протяжении полугода.
- Подготовка к ЭКО и сопровождение процедуры.
Трансвагинальное УЗИ позволяет узнать женщине, когда она готова к зачатию ребенка. Для этого во время проведения ТвУЗИ в маточные трубы подают специальное вещество, которое как контраст показывает проходимость труб в день исследования.
Ни один другой метод, кроме ТвУЗИ, не способен зафиксировать сердцебиение ребенка уже на 5 акушерской неделе беременности. Поэтому трансвагинальное УЗИ на ранних сроках беременности позволяет подтвердить факт успешного зачатия.
ТвУЗИ при беременности
Поскольку процедура интравагинального исследования связана с определенным раздражением стенок влагалища и органов малого таза (в том числе матки), ее проведение допускают лишь в первом триместре - до 13 недель беременности. ТвУЗИ позволяет выявить сам факт беременности и установить ее точный срок. Но есть и другие показания к проведению подобного исследования:
- наблюдение за плодом и его развитием в динамике;
- определение маточной и внематочной беременности;
- ранняя диагностика патологий плода и беременности;
- выявление угроз невынашивания беременности;
- подозрение на отслойку плодного яйца;
- разграничение плодного яйца от патологического образования в матке;
- оценка состояния рубца, который остался на матке после предыдущего кесарева сечения;
- выбор на основании полученных данных способа родоразрешения;
- полный и частичный пузырный занос;
- определение положения плодного яйца в матке, состояние его прикрепления (предлежание, низкое расположение).
ТвУЗИ при беременности позволяет определить количество плодов в матке, сердечный ритм, возможные пороки развития. Данный вид исследования с высокой точностью определяет пол будущего ребенка.
Во время беременности трансвагинальное УЗИ могут делать по требованию столько раз, сколько это потребуется. Датчик и ультразвуковое излучение не способны повлиять на состояние плода и самой беременной.
Противопоказания к проведению ТвУЗИ
Исследование органов малого таза трансвагинальным датчиком не проводят только девственницам из-за риска повреждения девственной плевы. Таким пациенткам предлагают альтернативный метод исследования, который обладает такой же высокой информативностью - трансректальное УЗИ. В этом случае УЗ-датчик вводят в прямую кишку через анальное отверстие.
Как делают трансвагинальное исследование
Пациентке для прохождения интравагинального обследования нужно раздеться ниже пояса и лечь на кушетку, немного раздвинуть ноги в стороны. Врач-диагност обычно интересуется, по какой причине женщину направили на УЗИ, какие у нее есть жалобы. Эта информация необходима для того, чтобы обратить особое внимание и в многократном увеличении рассмотреть наиболее интересующие органы малого таза. При этом обследование подразумевает полное и тщательное изучение состояния всей мочеполовой системы пациентки.
Процедура проводится следующим образом:
1. Врач надевает на УЗ-датчик медицинский презерватив и смазывает его специальным гелем, который облегчает его проникновение в вагину и устраняет воздушное пространство между трансдюсером и исследуемыми органами.
2. Все движения врач выполняет медленно и аккуратно, поэтому дискомфортных ощущений во время процедуры не возникает. Почувствовать боль женщина может лишь в случае, когда в исследуемой области находится воспалительный очаг. При возникновении любых дискомфортных ощущений нужно незамедлительно сообщать это врачу-диагносту.
3. На мониторе УЗ-аппарата визуализируется точное отображение исследуемых органов, полученную картинку врач может многократно увеличить и просмотреть интересующие элементы в мельчайших подробностях.
4. Зафиксировав все необходимые данные, врач извлекает датчик из вагины. Женщина может одеваться и забирать результаты УЗИ, которые в дальнейшем расшифровывает направивший на исследование доктор.
Подготовка к ТвУЗИ
Интравагинальное УЗИ отличается не только простотой проведения при высокой информативности, но и отсутствием подготовки к этому обследованию. Не нужно пить воду для наполнения мочевого пузыря, трансвагинальный датчик хорошо визуализирует матку, яичники, маточные трубы, связочный аппарат и прилежащие органы без проведения дополнительных манипуляций.
Своеобразная подготовка нужна лишь пациенткам, страдающим от выраженного метеоризма:
1. За 2 дня до исследования стоит ограничить употребление продуктов, повышающих газообразование в кишечнике: хлебобулочные изделия, свежие овощи и фрукты, кисломолочные продукты.
2. В день проведения ТвУЗИ врач может назначить принять Энзистал, Эспумизан, активированный уголь или Смекту. Препарат выбирается врачом исходя из переносимости пациенткой действующих веществ медикамента и не может быть выбран на свое усмотрение.
Трансвагинальное УЗ-исследование беременным рекомендуют проводить на умеренно наполненный мочевой пузырь, поэтому для таких пациенток предварительное посещение туалета не требуется.
На какой день менструального цикла проводят ТвУЗИ
Женщины часто спрашивают, можно ли делать трансвагинальное узи во время месячных. Для максимально точной оценки состояния женской мочеполовой системы (вне периода беременности) стоит придерживаться определенной зависимости проведения ТвУЗИ от дня менструального цикла:
Однако существуют ситуации, когда необходимо экстренное проведение процедуры независимо от дня цикла:
- внезапное нарушение менструальной функции: очередная менструация оказалась более обильной и со сгустками, более длительной (дольше 7 дней) либо в течение 1 месяца вовсе не наступила;
- кровянистые выделения, которые пациентка не связывает с наступившей менструацией, т. е. они могут появиться до, после очередных месячных или в середине цикла;
- выделения с кровью у беременных;
- выделения с примесью крови во время или после полового акта;
- появление кровянистых выделений у женщины в менопаузальном периоде;
- боли внизу живота.
Появление таких симптомов должно стать поводом обращения женщины любого возраста к гинекологу и дальнейшего прохождения ТвУЗИ.
Возможности трехмерной эхографии в диагностике внутриматочной патологии

Содержит актуальную клиническую информацию по ультрасонографии и ориентирован на врачей ультразвуковой диагностики, выходит с 1996 года.
Введение
Трехмерная эхография (3D/4D) в акушерстве прочно вошла в ежедневную практику врача. Долгие годы шли дискуссии о том, что представляет собой трехмерная эхография: дорогостоящая игрушка, метод, позволяющий повысить качество пренатальной диагностики и заменить двухмерную эхографию, или инструмент для пренатальной живописи? Время и накопленный опыт расставили все по своим местам, и теперь 3D/4D УЗИ - это метод, уточняющий и дополняющий двухмерную эхографию, а также "кисть" в руках художника-специалиста [1]. Что-то похожее сейчас происходит и с использованием трехмерной эхографии в гинекологии. С одной стороны, врачи акушеры-гинекологи и специалисты ультразвуковой диагностики пытаются получить как можно больше от данной методики, а, с другой, - хватаясь за нее как за "палочку-выручалочку", применяют режимы 3D/4D "на всякий случай". В этой статье мы хотим поделиться собственным опытом использования 3D/4D эхографии для диагностики внутриматочной патологии.
Поэтому нам были интересны именно те ситуации, где использование режимов 3D/4D уточнило диагноз и прогноз или повлияло на тактику ведения пациентки.
Матка располагается в центре полости малого таза, ее длинная ось перпендикулярна направлению ультразвукового луча при трансвагинальном сканировании, поэтому ее исследование ограничивается поперечным и продольным срезами. Именно возможность получения коронарной плоскости и делает таким привлекательным использование режима трехмерной реконструкции в гинекологической практике.
Для получения первоначального объема, визуализировалась матка в двухмерном режиме в строго сагиттальном сечении с оптимизацией зоны интереса. В большинстве ультразвуковых аппаратов максимальный угол сканирования составляет 80°. Поэтому в ряде случаев, при большом поперечном размере матки (например, при аномалиях развития матки) объем был получен из поперечного сечения так, чтобы могли визуализироваться оба маточных угла.
На представленных эхограммах (рис. 1) визуализируется полость матки в коронарной плоскости, полученная в разные фазы цикла одной пациентки. Достоверных различий в визуализации и технических возможностях забора объема не выявлено. Однако довольно часто в первую фазу цикла, при получении коронарной плоскости полости, удавалось визуализировать и истмические отделы маточных труб. А вот в случаях диагностики аномалий развития матки наиболее информативной является вторая фаза менструального цикла благодаря толщине эндометрия.

Рис. 1. Коронарная плоскость полости матки.
а) Первая фаза цикла.
Введение системы Мирена под контролем УЗИ

Внутриматочные контрацептивы - одни из самых удобных и надежных способов предохранения от нежелательной беременности. Средства выпускаются в виде спиралей различной формы и состава. Важным этапом в разработке контрацептивов стало создание гормоносодержащих внутриматочных систем. Наиболее перспективным и эффективным является гормон левоноргестрел, входящий в состав подобных средств. На сегодняшний день представителем внутриматочной системы стала спираль Мирена, произведенная по самым последним технологиям.
Что такое Мирена?

Мирена - внутриматочная спираль, созданная в виде Т-образной пластиковой рамки, выбрасывающей ежедневно в кровь женщины определенное количество гормона левоноргестрела. Данный гормон является главной составляющей любого контрацептива нового поколения. Принцип действия спирали аналогичен современному противозачаточному средству. Действие устройства направлено на торможение процесса овуляции и задержку развития слизистой, тем самым предупреждая оплодотворение.
Достоинства внутриматочных спиралей Мирена:
- установка устройства на 5 лет;
- использование во время грудного вскармливания;
- удаление по мере необходимости;
- использование для экстренной контрацепции, если установка произведена в течение 5 дней со дня незащищенной близости;
- возврат способности к зачатию сразу после изъятия.
Важно помнить, что спираль не предохраняет от инфекций, передающихся половым путем. Поэтому женщинам, у которых нет постоянного партнера, лучше использовать барьерные средства контрацепции.
Почему врачи рекомендуют Мирену
Врачи Кунцевского лечебного центра советуют устанавливать внутриматочную спираль Мирену. Изделие зарекомендовало себя с лучшей стороны. Гормон левоноргестрел благотворно влияет на женский организм. За отсутствием побочных эффектов вещество не оказывает влияния на репродуктивную функцию.
Гинекологи нашей клиники считают, что Мирена обладает полезными свойствами:
- ослабляются болевые ощущения при менструации;
- уменьшается объем кровянистых выделений;
- профилактическое свойство против онкологии;
- стабилизация гемоглобина, пониженного обильными кровяными выделениями;
- терапия миомы матки.
Но есть противопоказания, которые нужно учитывать перед установкой:
- воспалительные процессы органов малого таза;
- аномальные патологии матки;
- онкологические заболевания женских органов;
- кровотечения матки неясной этиологии;
- аллергические реакции на компоненты спирали;
- серьезное нарушение обмена веществ.
Перед процедурой установки обязательно пройдите обследование. Обратитесь к нашему гинекологу за консультацией. Врач ответит на все интересующие вас вопросы.
Установка Мирены
Установка внутриматочной спирали Мирена проходит быстро и безболезненно. Процедура по времени занимает 5-10 минут. В ряде случаев женщины ощущают легкое головокружение и падение артериального давления. После процедуры пациентке дают отдохнуть под наблюдением медицинского работника.
Сама спираль и элементы для введения стерильны. Устройство вводится с помощью специального проводника и устанавливается в полости матки. После этого доктор поправляет изделие и убирает инструменты. Для выемки спирали во влагалище остаются так называемые усики. Все - процедура завершена!
Запись к врачу
Запишитесь в Кунцевский лечебный центр для установки внутриматочной спирали - Мирена!
Для того, чтобы записаться, выбирайте любой способ:
Образ жизни после установки Мирены
Спираль подлежит замене только через 5 лет. Результативность контрацептива - 99%. Женщина не испытывает никакого дискомфорта при половом контакте. К тому же, изделие можно вынуть при первой необходимости. При этом беременность наступает практически сразу.
Нужно знать о побочных эффектах, которые могут беспокоить женщину в первые 2-3 месяца после установки:
- кровянистые выделения между циклами;
- болевой синдром внизу живота;
- экспульсия спирали - выпадение (крайне редко).
Выпадение устройства можно не заметить. Поэтому обязательно посещайте гинеколога каждые полгода.
Почему спираль лучше устанавливать у нас
Гинекологи Кунцевского лечебного центра занимаются лечением заболеваний женской половой сферы. Эффективность использования контрацепции - одно из приоритетных направлений. В клинике самые современные способы предохранения от беременности. Гинекологи полностью обследуют пациентку и установят внутриматочную спираль Мирена при помощи УЗИ. Запишитесь на прием в наш лечебный центр!
Читайте также:
- Клиника и прогноз синдрома дефицита внимания и гиперактивности (СДВГ)
- Синусовая тахикардия сердца
- Техника и этапы операции тотального эндопротезирования локтевого сустава
- Оценка реконструкции латеральных связок голеностопного сустава
- Техника операции при дисците и спондилите шейного отдела позвоночника
