Влияние оценки воротникового пространства на биохимический скрининг. Биохимический скрининг плода
Добавил пользователь Alex Обновлено: 03.11.2025
Перевод статьи: "First Trimester Fetal Ultrasound Scan as a Screening and Diagnostic Tool".
С появлением новых технологий ультразвуковое исследование в I триместре беременности кардинально изменилось. Можно отметить удивительный прогресс методов сканирования от "базового", с функцией подтверждения беременности, оценки ее жизнеспособности и локализации, установления гестационного возраста, до более "сложного", с получением дополнительных биометрических и морфологических данных, а также оценки рисков для матери и плода. Эта статья посвящена только вопросам оценки состояния плода без определения рисков для матери.
Биометрия плода
Некоторые ультразвуковые измерения в I триместре обязательны для выполнения. В большинстве случаев гестационный возраст до 15 нед с определенной степенью точности оценивают по показателям бипариетального размера (БПР) и копчико-теменного размера (КТР) (рис. 1). В дальнейшем эту информацию дополнять не будут, а использовать будут в основном для установления задержки внутриутробного развития, при планировании обследования по поводу врожденных аномалий и послеродовых осложнений. УЗИ на сроках между 11 нед 0 дней и 13 нед 6 дней необходимо постоянно сравнивать с данными обследования на сроках между 7 и 10 нед. Таким образом, УЗИ в I триместре должно помочь обнаружить ряд аномалий развития плода, например триплоидию [1].

Воротниковое пространство
В начале 90-х годов прошлого века в практику был внедрен метод измерения толщины воротникового пространства (ТВП) в I триместре беременности, и к настоящему времени его считают показателем не только анеуплоидии, но и широкого спектра наследственных синдромов и пороков развития [2]. K. Николаидес (K. Nicolaides) с группой исследователей предложили новую модель скрининга на анеуплоидию и установили правила использования этого метода, в частности необходимость применения кривой обучения, проведения аудита, качественного (процедура оценки качества изображений) и количественного (медиана, дельты-ТВП и т.д.). Фонд медицины плода (Fetal Medicine Foundation) стандартизировал предложенный ими клинический протокол и установил правила сертификации для повышения качества медицинской помощи и уменьшения изменчивости результатов данных скрининга [3, 4]. Измерение ТВП можно проводить вручную (рис. 2a) или полуавтоматически (рис. 2b), чтобы результаты измерений были более воспроизводимыми. Кроме того, компания Samsung разработала дополнительный метод измерения показателей ТВП - 5D NT, позволяющий точно выявить срединно-сагиттальную плоскость и улучшить оценки по шкале Германа (Herman score).


Анатомическая оценка
Описанные в литературе величины частоты выявления дефектов в I триместре беременности значительно различаются в зависимости от изученных популяций, методов и периодов [5]. По мере развития методов ультразвуковой диагностики усовершенствовался и анатомический анализ для I триместра беременности. Международное общество по применению УЗИ в акушерстве и гинекологии (International Society of Ultrasound in Obs tetrics and Gynecology - ISUOG) в 2013 г. предложило руководство для клинической практики, предполагающее проведение оценки анатомии плода между 11 нед 0 дней и 13 нед 6 дней беременности (рис. 3) [6].

Метод УЗИ позволяет выявлять в I триместре ряд аномалий развития плода:
- Видимые аномалии - анэнцефалия, алобарная голопрозэнцефалия, гастрошизис, омфалоцеле, аномалия предшественника аллантоидного стебелька, гидронефроз и некоторые несовместимые с жизнью остеохондродисплазии.
 - Невидимые аномалии мозга, пищеварительной системы, урологические и скелетные аномалии.
 - Некоторые аномалии, требующие анализа, - аномалии сердца, лица, конечностей, spina bifida.
 
Не так давно качество УЗИ в I триместре удалось повысить до уровня, позволяющего при рутинном ультразвуковом скрининге проводить полноценное диагностическое УЗИ. Достижения 3D/4D-методов и автоматизированные технологии измерения обеспечивают дополнительные возможности проведения точной анатомической оценки.
Диагноз хориальности и количества амнионов
УЗИ при двойне в основном должно выявить хориальность (ди- или монохориальность) и для монохориальных беременностей (моно- или диамниотических) - количество амнионов. При многоплодной беременности эта информация необходима для соответствующего ведения дискордантной мальформации, замедления роста, внутриутробной гибели плода или получения образцов ткани плода. Точность этой диагностики в течение I триместра может достигать 100%, а затем на протяжении беременности она уменьшается [7]. Дихориальность подтверждают выявлением лямбда-признака (рис. 4a). Наоборот, монохориальность диагностируют при отсутствии визуализации лямбда-признака или выявлении T-признака (рис. 4b) в межамниотической мембране, расположенной перпендикулярно хорионической пластине.
Рис. 4. Диагностика хориальности и количества амнионов в I триместре путем оценки лямбда-признака (a) и T-признака (b).

Оценка риска для плода
УЗИ в I триместре также позволяет охарактеризовать несколько рисков для плода, таких как анеуплоидии, врожденные пороки сердца, расщелина позвоночника (spina bifida).
Анеуплоидии
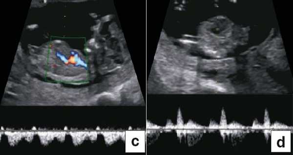
В 90% случаев крупные анеуплоидии у плодов можно обнаружить с помощью комбинированной оценки возраста матери, измерений ТВП и сывороточных маркеров у матери (РАРР-А и свободный бета-ХГЧ) [8]. Результат такого скрининга можно улучшить, исследуя сывороточные маркеры раньше, на сроках от 9 до 10 нед, и проводя УЗИ на 12-й неделе для выявления дополнительных маркеров, таких как носовая кость плода, кровоток в венозном протоке и через трехстворчатый клапан (рис. 5) [9]. Кроме того, выявлять часто встречающиеся хромосомные аномалии у плода позволяет неинвазивное пренатальное тестирование (Non Invasive Prenatal Testing - NIPT).
Рис. 5. Оценка анеуплоидии по ультразвуковым маркерам: толщина воротникового пространства (a), носовая кость (b), венозный проток (c), кровоток через трехстворчатый клапан (d).


Врожденные пороки сердца
В группах с высоким риском развития врожденных пороков сердца (ВПС) эхокардиографию плода можно проводить на ранних сроках. Обычно исследование выполняет специалист, хорошо знакомый с пренатальной диагностикой ВПС. Высокий риск развития ВПС у плода выявляют не только по данным анамнеза пациентки и семейного анамнеза или воздействия токсических факторов, но и по увеличению ТВП и изменению кровотока в венозном протоке и через трехстворчатый клапан [9]. "Подробную" эхокардиографию плода обычно проводят только в группе высокого риска, а проводить "базовую" эхокардиографию в общей популяции в настоящее время не рекомендовано.
Тем не менее "базовое" УЗИ обычно дополняют исследованием в цветовом энергетическом допплеровском режиме с тщательным анализом для выявления атриовентрикулярного кровотока в четырех камерах сердца (рис. 6a) и в срезе через три сосуда и трахею (рис. 6b). Получив эти срезы, обычно можно успокоить родителей, исключив наличие тяжелых пороков сердца, таких как единственный желудочек, гипоплазия желудочков, полный дефект предсердно-желудочковой перегородки (atrioventricular septal defect - AVSD), атрезия аорты или легочной артерии, а также ряд аномалий расположения артерий.
Рис. 6. Эхокардиография плода на ранних сроках в цветовом энергетическом допплеровском режиме - визуализируются четыре камеры (a) и срез через три сосуда и трахею (b).

Расщепление позвоночника (spina bifida)
В прошлом лечащие врачи и врачи ультразвуковой диагностики проводили ультразвуковой скрининг для выявления дефектов нервной трубки, главным образом открытого расщепления позвоночника (spina bifida), во II триместре. В последние годы предложены ранние ультразвуковые маркеры на 11-14-й неделе беременности (внутричерепное пространство, использование БПР и соотношения БПР/ПРЖ (поперечный размер живота)), которые позволяют выявить у некоторых плодов высокий риск открытого расщепления позвоночника (рис. 7) 11.
Рис. 7. Внутричерепное пространство при ультразвуковом скрининге по поводу открытого расщепления позвоночника.

I триместр беременности имеет ключевое значение для оценки риска для матери и плода, проведения персонализированных консультаций и последующего наблюдения. Вероятно, методика УЗИ в I триместре будет и далее активно развиваться и совершенствоваться, поскольку имеет для скрининга и диагностики ключевое значение.
Нормы скрининга по триместрам

Скрининг при беременности — это комплекс исследований, при помощи которого родители и врачи могут получить максимально полную информацию о здоровье плода. Скрининг предупреждает многие врожденные заболевания и физические характеристики.
Скрининг при беременности не наносит вреда ни маме, ни малышу. Это довольно точное исследование, хотя следует четко понимать, что результат не стопроцентный. Точность скрининга зависит от многих факторов — профессионализма исследователей, соблюдения женщиной правил подготовки к обследованию и прочего.
Стандартный пренатальный скрининг включает в себя:
- УЗИ;
 - анализ крови на В-ХГЧ свободный;
 - анализ крови на РАРР-А;
 - анализ крови на альфа-фетопротеин (АФП);
 - анализ на свободный эстриол.
 
Кому назначают полный скрининг:
- беременным старше 35 лет;
 - если возраст отца превышает 40 лет;
 - при наличии генетических патологий у членов семьи;
 - при наличии в прошлом замершей беременности, выкидышей или преждевременных родов;
 - беременным, перенесшим в первом триместре инфекционное заболевание;
 - женщинам, принимающие лекарства, которые могут влиять на развитие беременности;
 - женщинам, работающим на вредных производствах;
 - женщинам, у кого есть вредные привычки.
 
Сроки проведения скрининга по триместрам
Нормы Первый скрининг - Первый триместр
Для беременности первого триместра при скрининге проводиться анализ крови и УЗИ, при которых врач смотрит на состояние ребенка, его размеры и работу организма в целом. Для каждого из этих параметров есть показатели нормы, с которыми врач и будет сравнивать полученные результаты.
Нормы УЗИ при первом скрининге
| Наименование | Показатель | 
| КТР (копчико-теменной размер, то есть длина плода от темени до копчика) | 43-84 мм | 
| БПР (бипариетальный размер, то есть расстояние от виска до виска) | 17-24 мм | 
| ТВП (толщина воротникового пространства) | 1,6-1,7 мм | 
| Длина кости носа | 2-4,2 мм. | 
| ЧСС (частота сердечных сокращений) | 140-160 ударов в минуту | 
| Хорион | Расположен у дна матки или ее стенкам в верхней области | 
| Амнион | 50-100 мл. | 
| Желточный мешок | не визуализируется | 
| Шейка матки | 35-40 мм | 
Анализ крови при первом скрининге
Биохимический скрининг, который также называют двойным тестом, проводят для определения уровня двух гормонов — свободного b-ХГЧ и PAPP-A.
b-ХГЧ - 50 000-55 000 мМЕ/мл
PAPP-A - 0,79-6,01 мЕд/л (от 0,5 до 2,5 МоМ)
Подробнее в нашей статье: Норма ХГЧ по неделям
Нормы Второй скрининг - Второй триместр
Для беременности второго триместра при скрининге проводиться те же анализы крови и УЗИ, только при этом осмотре врач уделяет больше внимания положению плода, его костную структуру, состояние внутренних органов, место прикрепления пуповины, а также объем околоплодных вод.
Нормы УЗИ при втором скрининге
| Наименование | Показатель | 
| БПР (бипариетальный размер, то есть расстояние от виска до виска) | 26-56 мм | 
| ДБК (длина бедренной кости) | 13-38 мм. | 
| ДПК (длина плечевой кости) | 13-36 мм. | 
| ОГ (окружность головы) | 112-186 мм. | 
| ИАЖ (индекс амниотической жидкости, то есть объем околоплодных вод) | 73-230 мм. | 
| Локализация плаценты. | Расположена НЕ на нижней части полости матки | 
| Пуповина | Тип крепления Центральное или Эксцентрическое | 
| Шейка матки | 40-45 мм | 
Анализ крови при втором скрининге
По мимо ХГЧ проверяется еще и уровень свободного эстриола и АФП
b-ХГЧ - 4720-80 100 мМЕ/мл.
Свободный эстриол гормон, по уровню которого можно судить о состоянии плаценты — 1,17-3,8 нг/мл.
АФП белок, который вырабатывается в ЖКТ плода — 15-27 Ед/мл.
Нормы Третий скрининг - Третий триместр
Для беременности третьего триместра при скрининге проводится УЗИ и бывает назначают допплерографию — исследование работы сосудов. По результатам исследования врач принимает решение о необходимости кесарева сечения или возможности естественных родов.
Нормы УЗИ при третьем скрининге
| Наименование | Показатель | 
| БПР (бипариетальный размер, то есть расстояние от виска до виска) | 67-91 мм | 
| ДБК (длина бедренной кости) | 47-71 мм. | 
| ДПК (длина плечевой кости) | 44-63 мм. | 
| ОГ (окружность головы) | 238-336 мм. | 
| ИАЖ (индекс амниотической жидкости, то есть объем околоплодных вод) | 82-278 мм. | 
| Толщина плаценты | 23,9-40,8 мм. | 
Пренатальный скрининг очень важное исследование, и пренебрегать им не стоит. Вовремя выявленные патологии и отклонения от нормы могут спасти жизнь и здоровье вашему будущему ребенку.

Арутюнян Нарине Меликовна
Вторая категория 
Стаж работы с 2006 года 
 Записаться 
Ответы на частые вопросы
Как поднять гемоглобин беременной женщине?
Употребляйте больше продуктов, богатых железом: говяжий язык, печень, гречневую и овсяную крупы, чернослив, курагу, зеленые яблоки и др. Но поднять гемоглобин только диетой не получится. 
Необходима медикаментозная терапия с использованием препаратов, содержащих железо. Если проблема связана с недостаточным поступлением железа в организм - нужен один комплекс лекарств, если со всасыванием - другой. Подбирать препараты должен врач. 
При более тяжелых формах анемии может потребоваться инъекционная терапия.
Возможны ли естественные роды после КС
Если нет противопоказаний, естественные роды возможны. Принимать решение о возможности ЕР должен только акушер-гинеколог.
Что нужно отцу для присутствия на родах?
- Рентгенография органов грудной клетки
 - КСР
 - Гепатит B HBsAg
 - Гепатит C Anti-HCV
 - Краснуха IgM
 - Краснуха IgG
 - ВИЧ
 - Б/П на флору и чувств. - из зева
 
Из-за чего возникает повышенный тонус матки?
С увеличением срока беременности и ростом малыша матка увеличивается - это может приводить к повышенному тонусу. Иногда напряжение возникает в ответ на шевеления ребенка. Сильные физические нагрузки, стрессы, переутомление беременной могут также приводить к повышенному тонусу. 
На ранних сроках беременности тонус матки может быть связан, прежде всего, со сниженной выработкой прогестерона. В этом случае врач назначает пациентке лечение препаратами прогестерона. 
Симптомы повышенного тонуса 
Все беременные женщины ощущают тонус по-разному. Кто-то - как тяжесть и напряжение внизу живота. Другие - как тянущую боль в области поясницы. Во 2 и 3 триместрах беременности женщина может ощутить тонус, положив руку на живот: матка становится «каменной», затем расслабляется.
Скрининг во время беременности: правда и мифы

О пренатальном скрининге рассказывает Кирилл Витальевич Костюков, врач акушер-гинеколог, доктор медицинских наук, заведующий отделением ультразвуковой и функциональной диагностики Национального медицинского исследовательского центра акушерства, гинекологии и перинатологии им. В.И. Кулакова.
Что такое пренатальный скрининг?
- Пренатальный скрининг - это комплекс исследований, которые проводят женщине во время беременности. Он включает в себя УЗИ, сбор анамнеза, измерение веса, роста, артериального давления и анализы крови на биохимию и гормоны. Скрининг помогает выявить врожденные аномалии плода и предотвратить развитие осложнений беременности.
Скрининг в дословном переводе означает просеивание. Задача врачей - из большого числа беременных женщин выявить пациенток с высоким риском генетических отклонений плода или осложнений беременности.
Изначально скрининг первого триместра был задуман для выявления синдрома Дауна. Но сейчас задачи и возможности значительно расширились: уже в 11-14 недель в ходе исследования можно получить большой массив информации, чтобы благополучно, с минимальными рисками вести беременность. Например, на раннем этапе можно прогнозировать риск преэклампсии, которая является одним из факторов преждевременных родов, и назначить профилактическое лечение.
Какие патологии позволяет выявить скрининг?
- Со стороны плода в первом триместре благодаря совершенствованию ультразвуковых аппаратов можно выявить большое количество пороков развития: не только грубые, например, анэнцефалию - отсутствие головного мозга. А при оценке маркеров хромосомных аномалий (воротниковое пространство, носовая кость, венозный проток, кровоток на трикуспидальном клапане - клапане между правым предсердием и правым желудочком сердца) заподозрить синдром Дауна, Эдвардса, Патау и другие заболевания.
Также скрининг позволяет диагностировать большие акушерские синдромы - преэклампсию, синдром задержки роста плода. На основании анамнеза пациентки и оценки шейки матки мы можем говорить о риске преждевременных родов. Во время скрининга врач обязательно осматривает придатки матки, яичники: иногда впервые во время беременности у пациенток обнаруживается какой-то онкологический процесс, который требует немедленного лечения.
Многие женщины боятся ошибок диагностики (бывает, врачи говорят, что ребенок родится с синдромом Дауна, но позже выясняется, что все ок). Насколько высока эта вероятность? И можно ли избежать ошибок?
- Вопрос сложный. Ошибки, конечно, случаются и в отношении ранней диагностики. Маркеры хромосомных аномалий - не равно 100% наличие синдрома. Это лишь говорит о том, что у пациентки повышен риск по сравнению с другими женщинами, у которых эти показатели в норме. Это повод дополнительно обследовать пациентку и своевременно выявить те или иные проблемы.
К тому же, в рамках скрининга первого триместра ряд анатомических структур плода остается за кадром: например, однозначно сказать про пороки сердца на этом сроке мы не можем. Это не ошибка, но ограничение метода: мы можем что-то заподозрить или наоборот не увидеть проблему, которая будет выявлена позже.
Бояться скрининга, потому что могут что-то найти - неправильно. Я сторонник того, что пациент должен иметь максимум информации о себе, и эта информация должна быть максимально объективной. Но если врачи что-то обнаружили, женщина всегда может пойти к другому специалисту и перепроверить.
Некоторые женщины решают не проходить скрининг, так как уверены, что не будут прерывать беременность, даже если у плода найдут аномалии…
- Здесь не стоит вопрос о прерывании. Сейчас действительно большое количество пациенток даже в случае подтвержденных генетических синдромов оставляют беременность - это выбор и право родителей.
Речь о том, что есть пороки развития, которые можно прооперировать во время беременности, на очень ранних сроках, и помочь малышу. Например, обструкция мочевыводящих путей - когда на уровне мочевого пузыря происходит нарушение оттока мочи. Выполнив операцию до 16 недели беременности, мы можем сохранить ребенку функцию почек. Если этот момент упускается, к сожалению, запускаются процессы разрушения структуры почки - и ребенок рождается с почечной недостаточностью.
Поэтому УЗИ и скрининги дают дополнительный шанс: чем раньше мы начнем лечение, тем лучше исходы. Есть целый комплекс проблем, которые успешно решает фетальная хирургия (то есть хирургия плода) - это лечение синдромов фето-фетальной трансфузии, обратно-артериальной перфузии, синдрома анемии и полицитемии, врожденной диафрагмальной грыжи, крестцово-копчиковой тератомы, а также таких тяжелых врожденных пороков, как спинномозговая грыжа (Spina bifida). Все эти пороки можно прооперировать, когда ребенок находится еще в утробе.
Может ли УЗИ негативно влиять на ребенка?
- Если бы ультразвук имел какое-то патологическое или вредное воздействие, его бы уже давно запретили или как-то ограничили. Ультразвуковые исследования в акушерстве и гинекологии используются в нашей стране с 1970-х годов. Уже несколько поколений детей выросло с тех времен, и нельзя сказать, что с ними что-то не так.
Сейчас ультразвуковые системы еще более совершенны, и настройки в них максимально оптимизированы для использования в акушерстве. Есть нюансы: например, не рекомендуется применять допплерометрию до 10 недель беременности, поэтому мы не даем послушать сердечко на ранних сроках - мы показываем, что оно бьется, с помощью других режимов. В целом УЗИ не оказывает никакого патологического влияния на плод.
Сколько раз во время беременности и в какие сроки женщина проходит скрининг?
- Ранее в рекомендациях Минздрава было прописано три обязательных скрининга:
- первый - на сроке с 11 недели по 13 недель и 6 дней
 - второй - с 19 недели по 21 неделю беременности
 - третий - с 30 по 34 неделю беременности.
 
К сожалению, в последнем приказе от 20.10.2020 № 1130Н остались обязательными только первые два скрининга. Я считаю это упущением: третий скрининг давал нам много информации не только о пороках, которые поздно проявляются, но и, что важнее - давал оценку роста плода. Ранняя задержка роста плода возникает редко, большинство задержек проявляется ближе к 30 неделям. Также мы можем выявить ряд пороков развития, которые потребуют лечения после рождения.
Что делать, если женщина не может пройти скрининг в указанные сроки? Есть ли смысл обследоваться позже?
- Что касается второго скрининга, не принципиально, если пациент придет в 22-23 недели: здесь привязка ко времени объясняется тем, что в случае выявления грубого порока развития, до 22 недель врачи смогут провести прерывание беременности в обычном роддоме. Если же порок выявляется в более позднем сроке, аборт по медицинским показаниям будет возможен только в специализированных перинатальных центрах.
С первым скринингом все несколько сложнее: параметры воротникового пространства мы можем оценивать только в сроках от 11 недели до 13 недель и 6 дней, и при копчико-теменном размере эмбриона от 45 до 84 мм. Если будущий человек из этих диапазонов выпадает, то программа не рассчитывает риск отклонений - так заложена математическая модель. Такие случаи происходят, когда пациентка обращается для прохождения скрининга слишком рано либо слишком поздно.
Когда оправдано дополнительное назначение ультразвуков между обязательными скринингами?
- Есть ряд показаний, и их достаточно много, когда мы выходим за рамки трех стандартных исследований. Это и задержка роста плода, и наличие у пациентки резус-конфликта, когда мы можем выявлять анемию плода или гемолитическую болезнь, и там количество исследований после 30 недель может быть еженедельным и раз в 2 недели после 20 недель. То же касается и двоен, в первую очередь монохориальных, когда развитие осложнений бывает настолько быстрое, что пациентов необходимо наблюдать каждые 2 недели, начиная с 16 недель.
Это пациентки с риском преждевременных родов, у которых преждевременные роды были в анамнезе: мы оцениваем шейку в первом триместре, во втором триместре, и дальше уже по ситуации. Если у врача возникают какие-то сомнения после осмотра на кресле руками, пациентку направляют на трансвагинальное УЗИ.
Также, это пациенты групп риска по преэклампсии - мы должны смотреть, как ребенок растет, нет ли задержки роста, оценивать показатели кровотока при помощи допплерометрии.
Большинство беременных из мегаполисов на самом деле проходят за беременность более трех исследований.
Чем отличаются ультразвуковые исследования 2D и 3D? И какой тип лучше для первого скрининга?
- Весь ультразвук начинается с обычного 2D исследования, этот режим позволяет в полной мере оценить состояние пациента. Трехмерное (то, что называется 3D) для нас, специалистов по визуальной диагностике, не дает какой-то дополнительной информации, но позволяет сохранить большой объем данных в небольшом файле. 3D для пациента позволяет на больших сроках показать, как растет малыш, его лицо, конечности. Но если мы не сделали красивую картинку эмбриона или плода, это не значит, что мы не сделали 3D.
*Статья подготовлена с использованием гранта Президента Российской Федерации, предоставленного Фондом президентских грантов.
15 вопросов о скрининге во время беременности и записи к врачу

Зачем нужен пренатальный скрининг?
Это исследование помогает определять риски врожденных патологий, которые появляются из-за хромосомных нарушений. Генетические заболевания и отклонения могут быть самыми различными — от незначительной патологии, о которой будут знать только родители, подросший ребёнок и доктор, до несовместимых с жизнью нарушений. Но во всех случаях обязательно необходима запись к врачу, консультации о возможности коррекции здоровья ребёнка, а иногда и обследование у генетика, чтобы исключить вероятность повторения болезни у следующих детей.
С какой частотой развиваются генетические болезни?
Частота генетических патологий изменчива, но в среднем у 4-6 детей из ста новорожденных есть те или иные отклонения. Большинство самых распространенных определяются во время пренатального скрининга.
Какие патологии определяют во время скрининга?
Исследование нацелено на выявление самых распространенных болезней. Чаще всего встречается синдром Дауна, его выявляют с частотой один ребёнок на 700 новорожденных.
Диагностируют также синдромы Шерешевского-Тернера (частота 1:3000), Эдвардса (1:6500), Патау (1:8000).
Методика скрининга: как это происходит?
Первый пренатальный скрининг проводят комплексно, оценивая результаты по биохимическому анализу крови с выявлением особых маркеров и оценке развития плода методом подробного ультразвукового исследования.
Второй пренатальный скрининг требует только проведения УЗИ, без специфического анализа крови.
Сроки пренатального исследования
Скрининг первого триместра проводят в 11-14 недель, второго — на 21-22 неделе. Необходимо заранее позаботиться о записи к врачу в указанные периоды, так как сроки не могут сдвигаться относительно определенных для исследования недель гестации. Более того, специфический биохимический анализ крови и УЗИ при первом скрининге необходимо проводить в один и тот же день.
Почему именно эти недели беременности?
Указанные периоды выбраны не просто так. Во-первых, это этапы, когда можно достаточно рано, но уже с высокой достоверностью определить наличие патологии. Во-вторых, именно для этих недель существуют четкие и рассчитанные нормы показателей результатов исследования. В течение следующих недель они будут отличаться, что может исказить итог скрининга и потребовать дополнительных анализов, инвазивных обследований плода. А сама мама при получении недостоверных результатов начнет нервничать, и это тоже вредно.
Что определяют при биохимическом анализе крови?

Биохимический анализ крови имеет различные цели. Во время беременности их проводят несколько раз, но для скрининга необходимы специфические показатели, которые не входят в общий биохимический анализ крови. К ним относят исследования на ХГЧ, хорионический гонадотропин человека, определяя свободные b-субъединицы ХГЧ, и показатели уровня РАРР-А, плазменного белка, который продуцируется плацентой. Его концентрация нарастает в процессе беременности.
Не только результаты анализа крови: как рассчитываются риски патологии
Определить содержание этих веществ в крови недостаточно. Риск генетических нарушений у ребёнка проводят на основании комплексного анализа при помощи компьютерного расчета. Совокупность показателей составляет специальную величину, называемую МоМ. Она показывает, насколько конкретный показатель соответствует среднему значению, которое рассчитано для определенного срока беременности. Если МоМ равен единице, то это — средний показатель нормального развития, беременность протекает без риска хромосомных аномалий у плода. К норме относят все показатели МоМ от 0,5 до 2-х, так как расчет срока беременности с точностью до суток возможен только при экстракорпоральном оплодотворении, а во всех остальных случаях даты зачатия точно установить невозможно.
Показывает ли исследование точный результат?
Это основной вопрос, тревожащий многих будущих мам. Скрининг — не метод точной диагностики, он только указывает на вероятность, определяя индивидуальную степень риска патологии у малыша. По результатам оценивают низкую степень, пороговую или повышенную. Но в любом случае это только вероятность, а не стопроцентная констатация факта наличия болезни.
Что влияет на результаты исследования?
Факторов, которые могут повлиять на результаты скрининга, немало. Во-первых, важно точно соблюдать рекомендации по подготовке к биохимическому анализу крови. Во-вторых, надо учитывать возможность влияния высокой массы тела беременной, многоплодие, наличие угрозы прерывания беременности в анамнезе текущего периода гестации, сахарного диабета, перенесенных ОРЗ, ОРВИ, гриппа, воздействие вредных привычек (курения, злоупотребления алкоголем). При использовании репродуктивных технологий результаты скрининга тоже нуждаются в коррекции. Важно также помнить, что показатели для разных рас различны, это важно, если первый скрининг придется сдавать в клинике, ориентированной на пациентов негроидной, азиатской расы.
А если скрининг показывает риск нарушений у ребёнка?
В таких случаях нужна запись к врачу и направление на дальнейшее обследование. Результаты скрининга только указывают на вероятность патологии. Точный диагноз возможен только после применения дополнительных методов диагностики. Как правило, во многих случаях он не подтверждается, так что не стоит волноваться заранее.
Традиционные методики дополнительного обследования
Классические методики — инвазивные. При них берут кровь из пуповины, амниотическую жидкость или ткань плода, и изучают хромосомы. Методики точные, но могут грозить различными осложнениями вплоть до прерывания беременности.
Современные методики
Современный вариант обследования — определение фетальной ДНК ребёнка в крови матери. Точный (до 99%) результат и абсолютная безопасность метода, к сожалению, имеют и негативную сторону: методика еще не очень распространена и не оплачивается по ОМС.
Можно ли не проходить скрининг?
Пренатальный скрининг — не обязанность. От него можно отказаться без объяснения причин, также, как не проходить дополнительные обследования при наличии высокого риска патологий.
Что делать, если диагноз подтвердился?
Это самый сложный вопрос, и ответ на него придется искать самостоятельно. Больной ребёнок — испытание для родителей и родных. При подтвержденном диагнозе можно прервать беременность по медицинским показаниям, а можно не прерывать. Для поддержки стоит обратиться к перинатальным психологам, которые помогают матерям, оказавшимся в подобной ситуации.
Оценка носовой кости в I триместре беременности: как, где, когда и зачем мы делаем
Московский областной НИИ акушерства и гинекологии, Москва.
Кафедра медицинской генетики РМАПО, Москва.

УЗИ сканер HS60
Профессиональные диагностические инструменты. Оценка эластичности тканей, расширенные возможности 3D/4D/5D сканирования, классификатор BI-RADS, опции для экспертных кардиологических исследований.
Задача пренатального скрининга - выявление беременных женщин группы высокого риска по рождению детей с хромосомными болезнями и врожденными пороками развития с целью более детального анализа состояния плода с помощью специальных методов [1].
С конца прошлого века в алгоритм пренатального скрининга включен расчет индивидуального комбинированного риска, центральное место в котором занимают ультразвуковой и биохимический скрининг в I триместре (11-14 нед беременности). Были созданы компьютерные программы расчета риска, учитывающие возраст, ультразвуковой маркер I триместра (толщина воротникового пространства - ТВП) и биохимические маркеры крови (β-hCG и PAPP-A) беременной женщины [2].
За последние 10 лет данная система полностью оправдала себя и получила дальнейшее развитие, путем прибавления к расчету риска добавочных ультразвуковых маркеров (оценка носовой кости, венозного протока, трикуспидальной регургитации, некоторых маркерных врожденных пороков развития). Расширение протокола осмотра с оценкой новых ультразвуковых маркеров (оценка носовой кости, кровоток в венозном протоке и на трикуспидальном клапане) улучшает чувствительность комбинированного скрининга благодаря увеличению частоты обнаружения и уменьшению частоты ложноположительных результатов [3].
Однако их оценка требует соответствующего углубленного обучения врача УЗД и получение сертификата компетентности на проведение данного вида исследования, так как только после получения доступа на конкретный вид исследования программа расчета риска будет учитывать эти данные в своих расчетах 1.
Преимуществами проведения УЗИ в 11-14 нед помимо установки точного срока беременности являются: ранняя диагностика многих пороков развития плода, оценка маркеров хромосомных аномалий для выявления беременных высокого риска по хромосомным аномалиям у плода, при многоплодной беременности именно в ранний срок возможно установить хориальность, что является важнейшим фактором, определяющим исход многоплодной беременности, возможность выявить женщин группы высокого риска по развитию преэклампсии в поздние сроки беременности [3, 4].
Копчико-теменной размер плода (КТР) для проведения скрининга I триместра должен быть в пределах 45-84 мм. Для оценки носовой кости в I триместре беременности необходимо соблюдать строгие условия. Это адекватное увеличение (на снимке должны быть только голова и верхняя часть грудной клетки), среднесагиттальный скан (должны быть визуализированы эхогенный кончик носа, небный отросток верхней челюсти, диэнцефалон), нос представлен тремя "К" (кончик носа, кожа, кость). Кожные покровы и кости носа визуализируются в виде знака "равенства", нос параллелен датчику.
Такие правила, как размер плода, адекватное увеличение, среднесагиттальный скан идентичны таковым при измерении ТВП. Таким образом, при выведении корректного скана для измерения ТВП, что является обязательным при проведении УЗ-исследования в сроки 11-14 нед беременности, оценка носовой кости проводится в том же самом срезе, не требуя получения дополнительных изображений.
Если все критерии соблюдены, то на уровне носа плода должны быть видны три четко различимые линии: верхняя линия представляет собой кожу, книзу от нее визуализируется более толстая и более эхогенная, чем кожа носовая кость. Третья линия, визуализируемая кпереди от носовой кости и на более высоком уровне, чем кожа - это кончик носа (рис. 1).

Рис. 1. Нормальная носовая кость.
Считается, что носовая кость нормальна, когда она по своей структуре более эхогенна, чем надлежащая кожа и патологична, если она не видна (аплазия) (рис. 2) или ее длина меньше нормы (гипоплазия) (рис. 3). В случае одинаковой или меньшей эхогенности носовой кости чем кожи носовая кость считается патологической (рис. 4).

а) Стрелкой указана эхогенная кожа плода.

б) Стрелкой указано отсутствие носовой кости.

а) Носовая кость в 12 нед и 2 дня длиной 1,4 мм (меньше нижней границы нормы).

б) Носовая кость 2,1 мм в 14 нед у плода с синдромом Дауна.

Рис. 4. Сниженная эхогенность носовой кости.
Итак, патологией носовой кости считается:
- отсутствие носовой кости (аплазия);
 - изменение ее длины (гипоплазия);
 - изменение ее эхогенности.
 
Учитывая то, что многие работы по изучению этого важного маркера были проведены на различных по составу группах населения, данные по частоте отсутствия носовой кости у разных авторов отличаются. Так, по усредненным данным по мультицентровым исследованиям FMF в 11-14 нед носовая кость отсутствует у эуплоидов (в случае нормального кариотипа) от 1 до 2,6% плодов [2, 5, 6], при хромосомных патологиях: у плодов с трисомией 21 - в 60%, с трисомией 18 - в 50%, у плодов с трисомией 13 - у 40% [3].
Эволюция развития оценки этого маркера и мнение специалистов на этот счет, пожалуй, одна из самых дискутабельных проблем, не до конца решенных в скрининге I триместра беременности. Большинство авторов считают оценку носовой кости в I триместре одной из самых сложных задач среди всех остальных маркеров. И это мнение не лишено оснований.
Безусловно, сторонники теории о том, что для каждой расы (азиаты, афро-американцы и т.д.) и популяции народов (буряты, калмыки, народы Северного Кавказа) должны существовать свои процентильные нормативы для каждого КТР правы. Однако проведение этих исследований возможно лишь тогда, когда в рамках безвыборочного скрининга на нормальных плодах будут проведены мультицентровые исследования с измерением носовой кости.
В программе расчета риска Astraia при оценке носовой кости есть 4 поля: норма, патология (аплазия/гипоплазия), четко не видна, оценить не удалось, т.е. для того, чтобы поставить диагноз "Гипоплазия носовой кости" нужно удостовериться, что она на самом деле меньше нормативных значений для данного срока беременности, а это можно сделать только путем ее измерения и сравнения с известным нормативом.
Метод оценки носовой кости только лишь "да/нет", когда предлагается только увидеть носовую кость и сравнить ее эхогенность с кожей весьма "аппаратозависим", т.е. очень вариабелен и зависит от технических настроек ультразвукового сканера. При получении "жесткого" изображения, характерного для некоторых ультразвуковых аппаратов со специфическими заводскими пресетами (настройками) для осмотра плода в I триместре, всегда эхогенность кожи будет сопоставима, т. е. одинакова с эхогенностью носовой кости. Таким образом, у врачей практического звена, не имеющих возможности работать на сканерах премиум класса, возникают объективные трудности с оценкой этого важного дополнительного диагностического маркера.
Как сторонники метода измерения носовой кости в 11-14 нед приведем данные по Московской области. Область является разнородной по населяющему ее национальному составу. В своей работе мы пользовались нормативными значениями длины носовой кости, опубликованными J. Sonek и соавт. в 2003 году [8], за нижнюю границу нормы принимая значение 5-го процентиля (таблица).
Экспертами окружных кабинетов Московской области проводилась оценка не только присутствия и отсутствия носовой кости, но и ее измерение у всех беременных женщин (около 150 тысяч обследованных за 3,5 года работы скрининга). Все 31 эксперт Московской области имеют действующий сертификат компетенции FMF как на ТВП, так и на оценку носовой кости. Проведенный анализ выявления патологии (аплазия/гипоплазия) носовой кости у плодов с хромосомной патологией показал, что из пренатально выявленных 266 случаев синдрома Дауна у плода в I триместре носовая кость была патологична в 248 случаях, что составляет 93,2%.
Это высокая частота патологии носовой кости при синдроме Дауна свидетельствует о правильно выбранном алгоритме оценки носовой кости от которого мы никогда не намерены отказываться, получая такие высокочувствительные результаты, особенно, что касается диагностики синдрома Дауна. В случаях выявления других хромасомных аномалий, частота выявления патологии носовой кости была сопоставима с данными литературы. При синдроме Эдвардса носовая кость патологична у 78 плодов, что составляет 71%, при синдроме Патау - у 24 (59%) плодов, при моносомии Х - в 24 (42%) случаях, при триплоидии - у 22 (49%) плодов.
Особо хотелось бы подчеркнуть, что в нашем исследовании было 10 беременных корейской национальности, попавших в группу риска по хромосомной патологии. У 4 из них была диагностирована патология носовой кости у плода. Можно было ожидать, что это этническая особенность, однако все данные плоды при пренатальном кариотипировании имели хромосомную патологию (трисомию 21). И, наоборот, у 6 плодов, имеющих нормальный кариотип как по длине, так и по эхогенности носовой кости были в пределах нормативных для данного срока значений.
В работах некоторых авторов установлено, что при трисомии 21 в I триместре беременности лишь у 25% плодов носовая кость отсутствовала, в более высокой частоте она была гипоплазирована (36%) [11].
Так как у нормальных плодов отсутствие носовой кости более характерно для срока 11 нед беременности, чем 13 нед, FMF дает практическую рекомендацию о том, что если в этот срок (11 - начало 12 нед) у плода отсутствует носовая кость при условии нормальных показателей других маркеров (ультразвуковых и биохимических) не стоит учитывать этот показатель при расчете индивидуального риска. В дальнейшем рекомендуется провести дополнительное ультразвуковое исследование через одну неделю. В том случае, если носовая кость останется патологична, необходимо учитывать этот факт при перерасчете величины индивидуального риска по хромосомным аномалиям [4].
Оценка носовой кости улучшает результаты комбинированного скрининга. Частота обнаружения патологии увеличивается с 90 до 93%. Частота ложноположительных результатов уменьшается с 3,0 до 2,5% [2, 3, 5, 6].
Таким образом, собственные данные позволяют нам рекомендовать оценивать носовую кость в сроки 11-14 нед по двум параметрам: эхогенность и длина, принимая за патологию носовой кости ее отсутствие, гипоплазию и снижение эхогенности.
Литература
- Баранов В.С., Кузнецова Т.В., Кащеева Т.К. и др. Современные алгоритмы и новые возможности пренатальной диагностики наследственных и врожденных заболеваний. Методические рекомендации. С.-Петербург, 2013. С. 23-46.
 - Nicolaides K.H. Screening for fetal aneuploidies at 11-13 weeks//Prenatal diagnosis. 2011, 31: 7-15.
 - Nicolaides K.H. Пер. с англ. Михайлова А., Некрасовой Е. Ультразвуковое исследование в 11-13+6 недель беременности. С.-Петербург, 2007. ИД "Петрополис", 142 с.
 - Kagan K.O., Cicero S., Staboulidou I., Wright D., Nicolaides K.H. Fetal nasal bone in screening for trisomies 21, 18 and 13 and Turner syndrome at 11-13 weeks of gestation // Ultrasound Obstet Gynecol. 2009; 33: 259-264.
 - Kagan K.O., Staboulidou I., Cruz J., Wright D., Nicoladides K.H. Two-stage first-trimester screening for trisomy 21 by ultrasound assessment and biochemical testing // Ultrasound Obstet Gynecol. 2010. V. 36. N 5. P. 542-547.
 - Cicero S., Curcio P., Papageorghiou A., Sonek J., Nicolaides K. Absence of nasal bone in fetuses with trisomy 21 at 11-14 weeks of gestation: an observational study // Lancet 2001; 358:1665-1667.
 - Sonek J.D., Mckenna D.,Webb D.,Croom C., Nicolaides K. Nasal bone length throughout gestation: normal ranges based on 3537 fetal ultrasound measurements // Ultrasound in Obstetrics & Gynecology. 2003. V. 21. N 2. P. 152-155.
 - Kanellopoulos V., Katsetos C., Economides D.L. Examination of fetal nasal bone and repeatability of measurement in early pregnancy // Ultrasound Obstet Gynecol. 2003 Aug;22(2):131-4.
 - Cicero S., Bindra R., Rembouskos G., Tripsanas C., Nicolaides K.H. Fetal nasal bone length in chromosomally normal and abnormal fetuses at 11-14 weeks of gestation // Matern Fetal Neonatal Med. 2002; 11: 400-402.
 - Keeling J.W., Hansen B.F., Kjaer I. Pattern of malformations in the axial skeleton in human trisomy 21 fetuses // Am J Med Genet. 1997; 68: 466-471.
 
Читайте также:
- Синдром белковой недостаточности крови
 - Травмы портальной триады, внепеченочных желчных путей. Диагностика
 - География микробной колонизации полости рта. Микробы слизистой рта.
 - Нарушения функции фагоцитов. Генетические причины недостаточности адгезии лейкоцитов
 - Ретроградная и пневмотическая эзофагоскопия. Эзофагоскопия у детей
 
