Влияние ротового дыхания на челюсти. Зубочелюстной аппарат при ротовом дыхании
Добавил пользователь Евгений Кузнецов Обновлено: 30.10.2025
Центральный научно-исследовательский институт стоматологии и челюстно-лицевой хирургии Минздрава РФ, Клиника «Ортодонт», Самара
Центральный научно-исследовательский институт стоматологии и челюстно-лицевой хирургии Минздрава России, Москва
Федеральное государственное бюджетное учреждение науки "Институт цитологии и генетики" Сибирского отделения Российской академии наук, Новосибирск
Центральный научно-исследовательский институт стоматологии и челюстно-лицевой хирургии Минздрава России, Москва, Россия
Кафедра оториноларингологии педиатрического факультета РГМУ, Москва
Влияние ортодонтического лечения на изменение параметров ротоглотки у пациентов с зубочелюстными аномалиями и гипертрофией носоглоточной миндалины
Журнал: Стоматология. 2015;94(6): 32‑35
Проведено комплексное обследование и ортодонтическое лечение 40 детей с зубочелюстными аномалиями и гипертрофией носоглоточной миндалины в возрасте от 7 до 9 лет. Проанализированы линейные параметры конусно-лучевой компьютерной томографии и телерентгенографии в боковой проекции. Выявлены изменения, подтверждающие, что гипертрофия носоглоточной миндалины приводит к патологии зубочелюстной системы. В ходе лечения выявлены эффективность гнатотренинга и комбинированного использования механически действующих аппаратов и эластопозиционера-корректора для лечения аномалий зубных рядов и формирования физиологической окклюзии в процессе прорезывания постоянных зубов.
Своевременная диагностика, профилактика и лечение морфофункциональных нарушений зубочелюстной системы у детей в период раннего сменного прикуса из-за высокой их распространенности — одна из актуальных проблем ортодонтии. По данным отечественной и зарубежной литературы, частота выявления зубочелюстных аномалий у детей составляет 40—89%. На фоне физиологической слабости мышц ротовой области в возрасте 4—9 лет, неполного формирования челюстного рефлекса из-за продолжающегося прорезывания моляров одной из причин морфофункциональных изменений в зубочелюстной системе может являться гипертрофия носоглоточной миндалины как составной части увеличивающегося в объеме лимфоглоточного кольца [2—4]. Согласно теории функциональной матрицы M. Moss и L. Salentijn (1969) [16], объем костной массы челюстей определяется генетически, но их форма подвержена влиянию факторов внешней среды, регулируется воздействием мягких тканей и условиями циркуляции воздуха в воздухоносных путях в соответствии с функциональными потребностями организма. Отсутствие полноценного носового дыхания ведет к недоразвитию верхней челюсти [10—13]. Телерентгенография (ТРГ) головы в боковой проекции и конусно-лучевая компьютерная томография (КЛКТ) позволяют не только оценить состояние лицевого скелета, но и визуализировать гипертрофию носоглоточных миндалин, сопоставить линейные размеры просвета носо- и ротоглотки до и после ортодонтического лечения [5—9, 14].
Цель исследования — оценить изменения просвета носо- и ротоглотки у пациентов с гипертрофией носоглоточных миндалин до и после ортодонтического лечения.
Материал и методы
На базе ортодонтического отделения поликлиники Центрального научно-исследовательского института стоматологии и челюстно-лицевой хирургии проведены комплексное обследование и ортодонтическое лечение 40 детей (18 мальчиков и 22 девочки) с зубочелюстными аномалиями и гипертрофией носоглоточной миндалины в период смены зубов, в возрасте 7—9 лет.
Обследование включало в себя клинические методы (опрос и осмотр полости рта), биометрические методы (измерение гипсовых моделей челюстей), а также ТРГ в боковой проекции, КЛКТ и ринопневмометрию — измерение проходимости носовых ходов [15].
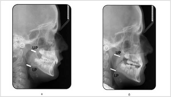
ТРГ проводилась до и после ортодонтического лечения на ортопантомографе Orthophos XG, XG Plus/Ceph при стандартном положении головы в цефалостате, т. е. вертикально без компенсаторного прогиба в шейном отделе, что обеспечивало истинную картину расположения нижней челюсти (НЧ) и языка. Ширину просвета (переднезадний размер) дыхательных путей оценивали по ширине просвета носо- и ротоглотки в верхнем и нижнем ее отделах методом MacNamara [1]. Ширина просвета верхнего фарингеального (UP) пространства определяется от наиболее задней точки на поверхности мягкого неба до ближайшей точки задней стенки глотки. За норму было принято расстояние 15—20 мм. Ширина нижнего фарингеального (LP) пространства измерялась от точки пересечения задней границы языка и края НЧ до ближайшей точки на задней стенки глотки (рис. 1). Норма составляла 11—14 мм в возрасте от 7 до 9 лет.

Рис. 1. ТРГ. а — нормальный переднезадний размер дыхательных путей; б — уменьшенный; UP — верхнее фарингеальное пространство; LP — нижнее фарингеальное пространство.
КЛКТ-исследование осуществлялось на конусно-лучевом томографе New Tom 3G («Q&R», Италия) до и после ортодонтического лечения. Измеряли параметры носоглотки, оценивали степень гипертрофии носоглоточных миндалин. Визуализацию трехмерного изображения выполняли с помощью программы Amira. После реконструкции изображений с толщиной среза 0,4 мм формировались реформатированные изображения в аксиальной и сагиттальной проекциях (рис. 2). Определение переднезаднего размера ротоглотки проводилось на срединно-сагиттальном срезе.

Рис. 2. КЛКТ. Результатуты конусно-лицевой компьютерной томографии. а — срединно-сагиттальный верхний и нижний ротоглоточные размеры; б — аксиальный срез, определение переднезаднего и трансверсального размеров ротоглотки.
Проведено ортодонтическое лечение 40 детей. Были сформированы 2 группы. У 20 пациентов (1-я группа) выявлена гипертрофия носоглоточной миндалины II и III степени (по классификации оториноларингологов проф. М.Р. Богомольского, проф. В.Р. Чистяковой, 2012), у 20 пациентов (2-я группа) — гипертрофия носоглоточной миндалины I степени.
У детей 1-й группы при лечении использовались съемные механически действующие аппараты (у 17 пациентов) и несъемные аппараты (у 3). У всех детей этой группы дополнительно использовали также эластопозиционер-корректор для проведения миогимнастики, нормализации положения НЧ, смыкания губ (тренировка круговой мышцы рта) и тренировки носового дыхания (дыхательные упражнения) [15].
Во 2-й группе применяли: у 10 пациентов — эластопозиционер-корректор и у 10 — сочетание съемных механически действующих аппаратов и эластопозиционера-корректора.
Все пациенты находились на лечении у оториноларинголога под его динамическим наблюдением и всем назначали комплекс дыхательных упражнений и миогимнастики.
Результаты и обсуждение
До начала ортодонтического лечения по данным ТРГ у пациентов с зубочелюстными аномалиями размеры нижнего фарингеального пространства превышали размеры верхнего в среднем на 2,1—2,2 мм (одинаково у мальчиков и девочек). Уменьшение размеров UP по сравнению с LP свидетельствовало о затрудненном носовом дыхании, т. е. о формировании у детей смешанного или ротового типа дыхания.
На ТРГ детей после ортодонтического лечения наблюдалось достоверное увеличение (рис. 3) проходимости верхних и нижних фарингеальных воздушных путей (табл. 1: F — условный коэффициент, соотношение UP к LP). Через 2 года ортодонтического лечения коэффициент F у девочек был равен 1,15, у мальчиков — 1,13.

Таблица 1. Изменение размеров ротоглотки по данным ТРГ в процессе лечения (M±m)

Рис. 3. Пациентка К., 9 лет; история болезни № 0047118; нижняя ретрогнатия; дистальная окклюзия; глубокая резцовая окклюзия. Скученность зубов; ТРГ в боковой проекции. Величина верхнего (UP) и нижнего (LP) фарингеального пространства. а — до ортодонтического лечения: UP и LP; б — после лечения: UP и LP.
Для анализа КЛКТ также использовали распределение по группам, предложенное выше. По результатам оценки переднезадних линейных размеров ротоглотки до лечения выявлены их сниженные значения у детей 1-й группы в отличие от детей 2-й группы (табл. 2), что свидетельствовало о значительном сужении просвета ротоглотки в сагиттальном и трансверсальном направлениях в области UP и LP. Линейные переднезадние параметры ротоглотки у пациентов обеих групп по данным КЛКТ после лечения приведены в табл. 3.
Таблица 2. Линейные переднезадние параметры ротоглотки у пациентов обеих групп по данным КЛКТ до лечения
Таблица 3. Линейные переднезадние параметры ротоглотки у пациентов обеих групп по данным КЛКТ после лечения
Таким образом, анализ КЛКТ и ТРГ в боковой проекции позволил сделать вывод, что аденоидные разрастания способствуют изменению нормальных скелетотопических ориентиров. У детей происходит сужение просвета носоглотки, вследствие чего меняется тип дыхания; в процессе роста ребенка это приводит к изменениям в зубочелюстной системе. Ортодонтическое лечение способствовало выдвижению НЧ и восстановлению нормального носового дыхания. В ходе лечения выявлены эффективность миогимнастики и дыхательных упражнений, разработанных совместно с оториноларингологами, с комбинированным использованием механически действующих аппаратов и эластопозиционера-корректора для лечения аномалий зубных рядов и формирования физиологической окклюзии в процессе прорезывания постоянных зубов.
Влияние ротового дыхания на челюсти. Зубочелюстной аппарат при ротовом дыхании
ГБОУ ВПО «Кемеровская государственная медицинская академия» Минздрава России, ООО «СилкаДент», Новокузнецк, Россия
Комплексный подход к профилактике и лечению сочетанных аномалий зубочелюстной и дыхательной систем
Журнал: Российская стоматология. 2016;9(1): 79‑78
Липова Ю.С. Комплексный подход к профилактике и лечению сочетанных аномалий зубочелюстной и дыхательной систем. Российская стоматология. 2016;9(1):79‑78. 
Lipova JuS. . Russian Stomatology. 2016;9(1):79‑78. (In Russ.).
Заболевания органов дыхательной системы у детей школьного возраста занимают лидирующее место и являются социально-значимой проблемой. Затрудненное носовое дыхание приводит к нарушению жизнедеятельности организма и может стать причиной расстройств умственного и физического развития. Снижение резистентности организма к инфекции, общая слабость, бледность кожных покровов являются клинической характеристикой людей с аденоидными разрастаниями в носоглотке, затрудняющими носовое дыхание. Ротовое дыхание приводит к нарушению деятельности мимических мышц, круговой мышцы рта, языка и к развитию зубочелюстных аномалий. Сочетанная патология органов дыхания и зубочелюстных аномалий соответствует названию «челюстно-лицевые аномалии и деформации, вызванными функциональными нарушениями», согласно Международной классификации болезней.
По данным проведенного нами в 2015 г. эпидемиологического стоматологического обследования населения Кемеровской области по методике ВОЗ, распространенность сочетанной патологии зубочелюстной и дыхательной систем составляет 58% обследованных разных возрастных категорий.
Эффективными и доступными средствами профилактики и лечения зубочелюстных аномалий, связанных с нарушением дыхания, являются функциональные аппараты (трейнеры и миобрейсы). Их применяют в период активного роста и развития зубочелюстной системы: у девочек в возрасте 7—12 лет, у мальчиков — в 7—14 лет, когда можно скорректировать положение челюстей относительно друг друга за счет усиления роста нижней челюсти и сдерживания роста верхней. Применение комплекса упражнений лечебной дыхательной гимнастики способствует успешной коррекции нарушения дыхания у детей. Информационные технологии становятся неотъемлемой частью самых разных сфер жизни, и ортодонтия не является исключением. Бесспорно, инновационный подход, программное обеспечение пациента доступной информацией, а также безопасное сокращение сроков лечения и получение стабильного результата приобретают все бо́льшую значимость и актуальность в современном мире. Важную роль играет интеграция врача-ортодонта, родителей и пациента.
Цель исследования — оптимизация качества ортодонтической помощи путем внедрения в практику комплексного подхода к профилактике и лечению зубочелюстных аномалий, включающего применение функциональных аппаратов и наглядной, информативной интерактивной презентации базы данных «Дыхательная гимнастика».
Материал и методы. Обследованы 26 пациентов в возрасте 7—14 лет, имеющих в анамнезе заболевания органов дыхательной системы. Были выявлены следующие аномалии зубочелюстной системы: дистальная окклюзия у 15 (57,7%) человек; глубокая резцовая окклюзия — у 7 (26,9%); вертикальная дизокклюзия — у 4 (15,4%) человек. Пациентам с дисфункцией носового дыхания назначено ношение функциональных аппаратов и дыхательные упражнения, предложенные им в виде интерактивной презентации. В период активного ношения аппарата проведено анкетирование пациентов и их родителей по срокам адаптации, продолжительности болевых ощущений, степени дискомфорта, полезности проведения дыхательной гимнастики, удовлетворенности сроками лечения и его конечным результатом. Особенностью данного исследования является внедрение и использование разработанной нами интерактивной презентации базы данных «Дыхательная гимнастика» (Свидетельство о государственной регистрации № 2014621136 от 13.08.2014). Пациенты и их родители были подробно проинструктированы по использованию данной методики в зависимости от возраста и степени выраженности патологии. Для каждого ребенка план лечения определялся индивидуально, в зависимости от его психоэмоционального статуса. В целях профилактики рекомендовалось использовать специализированные гигиенические средства, регулярно проводилась фтортерапия, назначались курсы препаратов кальция, комплекс витаминов.
Результаты. Данные анкетирования пациентов и их родителей, анализ моделей челюстей и рентгенограмм в начале и по окончанию лечения подтверждают высокую эффективность разработанного нами комплексного подхода: у всех пациентов нормализовано положение отдельных зубов, получены плотные окклюзионные контакты, устранено ротовое дыхание. В процессе исследования, при анкетировании пациенты и их родители отметили следующие преимущества: дети заинтересованы в выполнении дыхательных упражнений, используя интерактивную базу данных «Дыхательная гимнастика», выявили коррекцию дисфункций дыхания и глотания, миофункциональных нарушений, улучшение речевой артикуляции, сокращение сроков ортодонтического лечения. Пациенты и их родители довольны достигнутым результатом лечения: улучшена эстетика лица, восстановлена симметрия и пропорциональность лица.
На основании клинической картины, результатов лечения и анкетирования были отмечены преимущества использования функциональных аппаратов: профилактика развития тяжелых форм зубочелюстных аномалий на ранней стадии путем направленного действия на рост челюстей; комфорт и простота использования трейнеров: рекомендовано ношение не менее 2 часов днем и на ночь; улучшение речевой артикуляции; редкие визиты к ортодонту — 1 раз в 3 мес; возможность проводить профилактику кариеса и заболеваний пародонта; сокращение сроков лечения; простота манипуляций врача.
Недостатки применения трейнеров и миобрейсов: выпадение аппарата из полости рта в ночное время в первые дни, болезненность в области зубов при приеме пищи на ранних этапах адаптации. Данные неудобства временны, их нивелирование происходит в течение первой недели ношения аппарата.
Считаем целесообразным внедрение разработанного нами комплексного подхода к лечению зубочелюстных аномалий в практическое здравоохранение с целью улучшения качества оказания ортодонтической помощи населению.
Вывод. В сменном прикусе и в начальном периоде постоянного прикуса зубочелюстная система находится в стадии роста и формирования, поэтому своевременное устранение симптомов деформации может обеспечить нормализацию роста челюстей в дальнейшем. Немаловажно вовремя распознать формирование сочетанной патологии зубочелюстной и дыхательной систем. Необходимо проводить профилактические мероприятия и диагностировать патологию для улучшения стоматологического здоровья школьников. Полученные нами результаты подтверждают актуальность исследуемой проблемы. В результате применения упражнений интерактивной презентации базы данных «Дыхательная гимнастика» в сочетании с ношением функциональных аппаратов происходит ускорение процесса лечения аномалий, восстановление нарушенных функций, минимизируется риск возникновения рецидивов, так как большая часть пациентов может регулярно выполнять упражнения по коррекции состояния своей зубочелюстной системы, соблюдая рекомендации специалистов, делая упражнения в показанном данному пациенту количестве.
Влияние ротового типа дыхания на выраженность морфофункциональных изменений зубочелюстной системы у пациентов с ЛОР-патологией
Журнал: Стоматология. 2014;93(6): 68‑73
Проведен осмотр 282 пациентов в возрасте от 5 до 14 лет. Было проведено исследование морфофункционального состояния зубочелюстной системы у пациентов с патологией глоточной миндалины, был представлен алгоритм диагностики. В итоге был разработан комплекс мероприятий по восстановлению носового дыхания и коррекции миодинамического равновесия в челюстно-лицевой области (ЧЛО) с применением эластопозиционера Корректор.
Дефекты зубов и зубных рядов нередко являются причинами развития функциональных, морфологических и эстетических нарушений в зубочелюстно-лицевой области. Не всегда можно установить, что вызывает патологию, чаще ряд причин воздействуют на формирование зубочелюстной системы. Алгоритм определения этиологических факторов облегчает выбор методов ортодонтической и комплексной терапии, последовательности применения лечебных мероприятий и определения прогноза [1]. Основные функции зубочелюстной системы: дыхание, жевание, речь, глотание. При патологии зубных рядов преобладает сужение челюстей. Многообразие клинических форм сужения зубных дуг зависит от индивидуальных особенностей строения челюстно-лицевой области (ЧЛО). Отклонение формы и размеров зубных дуг от нормы отражается на формировании прикуса [3, 6]. Аномалии прикуса в трансверсальном направлении характеризуются смещением боковых сегментов к серединной плоскости. Возникает сужение челюсти. При сужении зубной дуги верхней челюсти (ВЧ) может нарушаться форма лица, затрудняются движения нижней челюсти (НЧ), что приводит к неравномерному распределению жевательного давления, патологической окклюзии. У пациентов в возрасте 5-14 лет с сужением челюстей выявлено ухудшение функционального состояния ЧЛО, что проявляется снижением силы мышц, а также нарушением координации нервно-мышечного аппарата, вследствие чего у таких детей снижается статистическая выносливость мышц [2, 5]. Своевременная диагностика и лечение морфофункциональных нарушений зубочелюстной системы у пациентов с ЛОР-патологией [4] - одна из актуальных проблем стоматологии. По данным отечественной и зарубежной литературы, частота зубочелюстных аномалий - от 40 до 89%. Раннее выявление этих нарушений предупреждает развитие многих заболеваний организма в целом в процессе развития и роста.
В Международной классификации болезней (МКБ-10) «челюстно-лицевые аномалии и деформации, вызванные функциональными нарушениями» выделены как отдельная нозологическая форма.
Цель исследования - совершенствование методов диагностики и ортодонтического лечения пациентов с аденоидами.
Нами проведено комплексное обследование пациентов с заболеванием глоточной миндалины. Выявлена распространенность деформации зубных рядов у таких пациентов. Выполнена ринопневмометрия, электромиография (ЭМГ) мышц ЧЛО (анализатор электронейромиографический Синапсис, НМФ «НЕЙРОТЕХ», Россия). Представлен комплекс мероприятий по восстановлению носового дыхания и коррекции миодинамического равновесия в ЧЛО с применением эластопозиционера Корректор (фирма «Ортодонт-Элит», Россия).
Проведен осмотр 282 пациентов в возрасте от 5 до 14 лет. Обследование включало в себя: осмотр полости рта у пациентов с ЛОР-патологией; регистрацию полученных данных; снятие оттисков; определение смыкания зубных рядов; измерение гипсовых моделей челюстей; расчет телерентгенограммы головы в боковой проекции; оценка заполнения просвета дыхательных путей; анализ данных ринопневмометрии измерения проходимости носовых ходов.
При ринопневмометрии струя воздуха подавалась с начальным давлением 40 мм рт.ст., после чего определилось время, за которое давление упадет до 0. При нормальной проходимости носовых ходов у детей это время не превышало 7 с. Чем значительнее была нарушена проходимость носовых ходов, тем больше времени требовалось для снижения давления.
Нарушение проходимости носовых ходов, обусловленное отечностью слизистой оболочки, хорошо регистрировалось в конце измерения, когда давление в баллоне минимальное (1-3 мм рт.ст.).
В исследуемую половину носа вводилась олива, другая половина носа закрывалась «глухой оливой». При закрытом кране нагнетался воздух в резиновый баллон до 40 мм рт.ст. Исследуемого просили дышать через рот. По сигналу «не дышать» открывался кран на резиновой трубке и засекалось время по секундомеру. При снижении давления до 0 подавался сигнал «дышать» и вновь засекалось время. О степени проходимости носовых ходов судили по количеству времени, прошедшего от 1-го сигнала до 2-го. Ринопневмометрия проведена у 40 детей (20 мальчиков, 20 девочек) с зубочелюстными аномалиями до и во время ортодонтического лечения (табл. 1, 2).
Анализ функциональных исследований показал, что при использовании функционально действующих аппаратов и специального гнатотренинга в течение 6 мес улучшалось положение НЧ, языка, в результате чего увеличивался просвет воздухоносных путей (гортани). Поддержка языком свода ВЧ позволяла нормализовать ширину и высоту неба, устраняя мышечный дисбаланс. При этом дно полости носа опускалось и небо приобретало правильную куполообразную форму, что приводило к улучшению показателей проходимости носовых ходов.
В ходе нашего исследования мы выделили 2 группы пациентов: 1-я - в периоде раннего сменного прикуса (от 5 до 9 лет, n=20); 2-я - в периоде позднего сменного прикуса (от 10 до 14 лет, n=20).
При оценке результатов клинических функциональных проб, выполненных в ходе клинического обследования детей с патологией глоточной миндалины, были выявлены нарушения функции дыхания, речи, глотания (табл. 3).
Данные обследования свидетельствуют о том, что у детей с гиперплазией глоточной миндалины (аденоиды) часто выявляются клинические признаки ротового дыхания: симптом глоссоптоза, сухость красной каймы губ, нарушение смыкания губ.
При анализе диагностических моделей челюстей выявлено статистически достоверное (р≤0,05) сужение зубных рядов разной степени: сужение апикального базиса зубных дуг челюстей на 4,0±0,5 мм (р≤0,05); дефицит места для постоянных зубов ВЧ - 7,5±0,8 мм, НЧ - 6,5±0,5 мм (р≤0,05). По величине перпендикуляров, проведенных из маркированных точек на линии отсчета, судят о расположении зубов. Определяют общую длину зубных дуг (Lo и Lu) по размеру перпендикуляров, опущенных из срединных точек режущих краев резцов на линию, проведенную через точку Пона на первых постоянных молярах, вычисляют различия в длине зубных дуг верхней и нижней челюстей (Lo-Lu) (табл. 4).

Согласно результатам исследования диагностических моделей зубных рядов пациентов после ортодонтического лечения, сагиттальные размеры зубных рядов ВЧ и НЧ приблизились к нормальным значениям: средняя длина передних отрезков ВЧ и НЧ по Коркхаузу соответственно 18,2±0,22 и 16,5±0,55 (табл. 5).

Результаты ЭМГ жевательных, височных и мимических мышц у детей от 5 до 14 лет с аномалиями зубных рядов приведены в табл. 6.
У всех обследованных до лечения в покое регистрировали БЭА всех исследуемых мышц, кроме собственно жевательной мышцы справа. При сжатии зубных рядов БЭА височной мышцы справа выше, чем слева (Ка=1,2); 2329 мкВ справа, 1971 мкВ слева; БЭА собственно жевательной мышцы справа выше, чем слева (Ка=1,8); 1993 мкВ справа, 1191 мкВ слева. Отмечены дискоординация работы жевательных мышц, повышенный тонус собственно жевательной мышцы слева. БЭА круговой мышцы рта в покое больше справа при напряжении (2024 мкВ справа, 1640 мкВ слева).
У 63% обследованных обнаружили гипертонус височной мышцы справа, у 37% - слева.
Комплекс миогимнастики с аппаратом ОЭ Корректор

При применении Корректора определяется только размер, так как эластопозиционер моделирует оптимальную окклюзию без увеличения разобщения зубных рядов по оклюзионной плоскости в разных участках. Эластичная каппа для коррекции прикуса Корректор выпускается 8 типоразмеров. Каждый типоразмер соответствует длине 4 резцов, измеренной по экватору вестибулярной поверхности ВЧ и НЧ (рис. 1). Рис. 1. Подбор Корректора (а); в полости рта (б).
Показания к применению эластопозиционера Корректор:
- привычка сосать палец, пустышку, посторонние предметы;
- слабая круговая мышца рта;
- затрудненное смыкание губ;
- дисфункция языка (прокладывание его между зубами при глотании и речи);
- протрузия верхних резцов, открытый прикус, тремы, диастема между зубами фронтального отдела;
- миофункциональная тренировка мышц ЧЛО.
Тренировка правильного способа дыхания:
- воздушный массаж слизистой носа, вдох поочередно каждой ноздрей(10-15 раз или 2-3 мин);
- выработка навыков полного удлиненного вдоха (1-3 мин);
- звуковые подражания: паровозный гудок «ту-у-у-у» произносить на выдохе «ох».
Тренировка круговой мышцы рта (выполнять с Корректором):
- надуть щеки при сомкнутых губах, медленно выдавить воздух через сжатые губы (3-5 раз в течение 1-2 мин);
- губы в трубочку, как при свисте, а затем их растягивать, как при широкой улыбке (4-8 раз 1-3 мин);
- губы смыкают при препятствии мизинцами в углах рта (3-5 раз в течение 1 мин).
Упражнения для мышц языка (обязательно после пластики уздечки языка):
- облизать нижнюю и верхнюю губу, достать нос, подбородок (10-15 мин 2 раза в день);
- сосчитать зубы, не размыкая челюстей (2-3 мес);
- поглаживать языком твердое небо (как маляр красит потолок);
- полоскание горла теплой водой.
Упражнения для мышц, выдвигающих НЧ:
- НЧ медленно переместить вперед до резцового перекрытия (удерживать 10 с);
- то же с поворотом головы (повторить 10 раз);
- нижними резцами захватить и оттягивать книзу верхнюю губу (10-15 раз).
Таким образом, исходя из результатов исследования (рис. 2-4) Рис. 2. Пациент С., 10 лет, до лечения. Проведена аденэктомия по поводу аденоидов 3-й степени; нижняя ретрогнатия; дистальная окклюзия, сагиттальная резцовая дизокклюзия (сагиттальная щель 11 мм); сужение и деформация верхней зубоальвеолярной дуги; протрузия верхних резцов; диастема. Нарушение носового дыхания, смыкания губ, функции откусывания и жевания; фото пациента (фас, профиль, ортопантомограмма, аномалия окклюзии зубных рядов, форма зубных рядов, сагиттальная щель). Рис. 3. Тот же пациент на этапе лечения через 6 мес: использование съемных ортодонтических аппаратов, пластинки на ВЧ и НЧ для нормализации положения НЧ, расширения верхней зубоальвеолярной дуги. Рис. 4. Тот же пациент через 12 мес лечения. Нормализовано положение НЧ, устранена протрузия верхних резцов, использование Корректора, миогимнастики; фото пациента (фас, профиль); нормализовано смыкание губ, улучшены профиль, гармония лица; использование Корректора для оптимизации роста НЧ в пубертатный период. оценены состояние зубочелюстной системы, антропометрические данные, проходимость дыхательных путей у пациентов с патологией глоточной миндалины, изучено функциональное состояние жевательных и мимических мышц.
Предложен комплекс лечения пациентов с зубочелюстными аномалиями и сопутствующей ЛОР-патологией (совместно с врачами оториноларингологами). Выявлен симптомокомплекс нарушений в зубочелюстной системе, имеющий связующее звено с патологией ЛОР-органов и непосредственно влияющий на организм в целом. Предложена определенная методика лечения, включающая применение эластопозиционера Корректор с комплексом миогимнастики и дыхательных упражнений, разработанных совместно с оториноларингологами.
Привычное ротовое дыхание: проблема и пути её решения

Природой человеку определено дышать носом. Вдыхаемый через нос воздух, проходя по носовым ходам и протокам увлажняется, подсушивается, согревается и очищается от пыли, остающейся на маленьких волосках носовых пазух. Одновременно раздражаются и рецепторы, участвующие в регуляции кровотока и активности головного мозга. Именно из-за нарушений в состоянии этих рецепторов у детей с затрудненным носовым дыханием нередко наблюдается состояние тревоги или угнетения, расстройства сна. Кроме того, свободное носовое дыхание необходимо для нормального газообмена крови, так как при дыхании через рот количество поступающего в организм человека кислорода составляет всего 75% от его нормального объема. Длительный недостаток поступления кислорода в организм ведет к угнетению развития организма и анемии.
Поскольку защитные факторы, обеспечиваемые организму при дыхании носом, в полости рта не срабатывают, у таких детей гораздо чаще возникают простудные и респираторные заболевания, а при устоявшейся привычке дышать ртом в носоглотке нарушается нормальная вентиляция и образуются аденоиды - разрастания, затрудняющие свободное прохождение воздуха через нос. Аденоиды не являются первопричиной нарушения носового дыхания - они появляются лишь после того, как воздух перестаёт проходить по носовым ходам. Вот почему так важно своевременно и правильно лечить насморк у детей, не допуская его перехода в хроническую форму.
Привычка дышать ртом появляется у детей, как правило, в связи с частыми простудами, которые начинаются у ребенка, поступающего в ясли или детский сад. Поэтому очень важно своевременно научить малыша пользоваться носовым платком, сморкаясь поочередно каждой ноздрей. Родителям также следует обратить внимание на дыхание ребенка во время сна. При затрудненном дыхании через нос ребенок спит с открытым ртом, иногда похрапывает. Этот тревожный сигнал. Если ребенок часто дышит ртом, ротовой тип дыхания с большой вероятностью может закрепиться у него в качестве вредной привычки, избавиться от которой крайне сложно.
Внешние признаки ротового дыхания: приоткрытый рот, вздернутая верхняя губа, вытянутый овал лица. Дети с ротовым дыханием часто облизывают пересохшие губы, в результате чего может развиться хейлит (покраснение и шелушение каймы губ). Если не заниматься восстановлением носового дыхания у ребенка постепенно формируется аденоидный тип роста лицевых структур, характерный узкими ноздрями, широкой переносицей, уплощением подглазничных областей, двойным подбородком. Для детей с аденоидами характерны узкие плечи, впалая грудь и бледные щеки.
Привычное отражается не только на общем состоянии ребенка, но и значительно влияет на формировании зубочелюстной системы и речевых навыков. При ротовом дыхании миодинамическое равновесие челюстно-лицевой области нарушается, поскольку язык ребёнка лежит между зубными рядами, не поддерживает свод верхней челюсти, не уравновешивает давление щечных мышц на зубные ряды. В результате у ребенка возникает сужение зубных рядов в боковых отделах, и недостаток места для всех постоянных зубов при их прорезывании.
При ротовом дыхании у ребенка происходит сужение носовых ходов и недоразвитие гайморовых пазух, которое замедляет рост костных структур верхней челюсти. В результате возникает сужение верхнего зубного ряда и скученность верхних зубов во фронтальном отделе. Чем более сужена верхняя челюсть, тем выше у ребёнка купол неба, а это, в свою очередь влияет на конфигурацию носовой мембраны, которая в результате постоянного ротового дыхания у ребёнка нередко нарушается, вплоть до закрытия. Это ведет и к нарушениям звукопроизношения - звук чистый, а фонем неправильный. Низкое положение языка, смещение его вниз и назад, а также ослабление диафрагмы полости рта приводит к нарушению артикуляции и гнусавости.
Кроме того, у детей с привычным ротовым дыханием в результате ослабленного тонуса круговой мышцы рта затруднено смыкание губ, что ведет к задержке развития нижней челюсти. В силу инстинктивно сохраняемого организмом равновесия для осанки таких детей характерен передний наклон головы, который со временем ведёт к перегрузке височно-нижнечелюстного сустава, к лицевым мышечным болям, а также к нарушению осанки. 
Применение капель для носа при сформированной привычке дышать ртом, как правило, не даёт результата. Даже после удаления аденоидов у многих детей сохраняется привычка дышать ртом, которая сама по себе не устранится. В таких случаях необходимо заново учить ребенка дышать носом, для чего необходимо регулярно тренировать тонус круговой мышцы рта. При отсутствии патологической непроходимости носовых ходов эффективным средством тренировки и постепенного восстановления носового дыхания является эластичный трейнер и вестибулярная пластинка, которые ребенок использует два раза по полчаса днем и надевает на ночь.
 
Трейнер Вестибулярная пластинка
Тренировка носового дыхания с помощью этих простых средств, выполненных из эластичного гипоаллергенного силикона, не требует специальных навыков - достаточно поместить пластинку или трейнер в рот и мягко сомкнуть губы. Вестибулярный щит, располагаясь между зубами и губами, стимулирует смыкательный рефлекс губ, давая хорошую нагрузку на круговую мышцу рта и мышцы, поднимающие нижнюю челюсть. Трейнер имеет более сложную конструкцию, чем вестибулярная пластинка, но принцип их действия одинаков. Трейнер обеспечивает более комплексное воздействие - специальный «язычок» в верхней части трейнера помогает языку ребенка «запомнить» своё физиологически правильное положение при глотании и произношении звуков, специальные массажные бугорки, располагающиеся на внешней стороне аппарата, снимают излишнее давление нижней губы, способствуя нормализации роста нижней челюсти. Регулярные занятия не менее часа днём плюс ночное применение обеспечивают значительное улучшение тонуса круговой мышцы рта уже через 2-3 недели, носовое дыхание у ребенка постепенно восстанавливается, и свободная вентиляция носовых ходов способствует прекращению аденоидных разрастаний. Исследования показали, что при регулярной дыхательной гимнастике с использованием вестибулярной пластинки или трейнера носовое дыхание восстанавливается в среднем за 3,2 месяца у 87% детей в возрасте 3-6 лет и за 3 месяца у 83% детей 6-12 лет. При этом, у детей со второй степенью разрастания аденоидов дыхание при лечении по этой методике восстанавливается даже без операционного вмешательства.
В первую-вторую неделю тренажер может выпадать ночью изо рта из-за слабого тонуса круговой мышцы, но тренировку нужно продолжать, дозируя нагрузку: три раза в день, начиная с максимального времени, которое ребёнок может удерживать трейнер губами, постепенно добавляя по одной минуте. Время напряжения мышц нужно чередовать с таким же по продолжительности временем их расслабления. При плохой проходимости носовых ходов нужно начинать с минимального количества упражнений, затем с каждым разом необходимо увеличивать их количество.
Применение миофункционального трейнера или вестибулярной пластинки гораздо эффективней обычных дыхательных упражнений - в контрольной группе, где дети занимались исключительно лишь дыхательными упражнениями без применения каких-либо аппаратов, дыхание через 6 месяцев восстановилось всего у 32% детей в возрасте 3-6 лет, и лишь у 12% детей в 6-12 лет.
Регулярное использование трейнера в возрасте 3-8 лет (в молочном и раннем сменном прикусе) позволяет достичь нормализации формы нёба, и даже носовой перегородки - дно полости носа опускается и нёбо приобретает нормальную форму. Во второй половине сменного прикуса такого эффекта уже не наблюдается. Это происходит в результате правильного позиционирования языка, давление которого на свод верхней челюсти изнутри позволяет устранить мышечный дисбаланс - располагаясь нёбно, язык поддерживает свод верхней челюсти, нормализуя его форму и ширину. Поэтому корректировать тип дыхания необходимо как можно раньше, поэтому на сегодняшний день разработана модель трейнеров и для молочного прикуса. Его использование не занимает времени - ребенок может параллельно делать уроки, читать, играть. Нормализуя положение языка, тип дыхания и давление мышц, окружающих зубные ряды, трейнер не сдерживает естественного роста челюстей, а лишь направляет его. В результате заметно улучшаются черты лица ребёнка, нормализуется осанка и улучшается общее развитие детского организма.
Ротовое дыхание как фактор негативного влияния на общее развитие детского организма

Мой первый ортодонтический опыт относится к 1972 году, когда я приступил к общей стоматологической практике в Лондоне. Сегодня я практикую, как ортодонт и челюстно-лицевой ортопед, при этом последние двадцать пять лет все свои клинические случаи я тщательно и всесторонне документирую в видеозаписях.
Анализируя опыт этих лет, я могу отметить усилившуюся тенденцию к хроническому и привычному ротовому дыханию, которое оказывает негативное влияние не только на развитие нижней челюсти, лицевого скелета и окклюзию, но также и на общее здоровье ребенка. В течение двадцати последних лет, занимаясь восстановлением носового дыхания у детей, я перепробовал множество разнообразных техник, которые в реальности не работают. В научной литературе существует большой перечень подтверждений тому, что ротовое дыхание влияет на тип роста челюстно-лицевого скелета - в любом случае, привычное ротовое дыхание неизбежно ведёт к аномалиям прикуса.
При ротовом дыхании как верхняя, так и нижняя челюсть относительно ретрогнативны, свод неба слишком высок (так называемая «готическая» форма), что нарушает фонацию речи. Кроме того, у детей с привычным ротовым дыханием изменяется овал лица - он удлиняется, верхняя челюсть сужается, что при смене зубов провоцирует их скученность). 
Язык играет исключительно важную роль в формировании челюстно-лицевой системы. У новорождённых инфантильный тип глотания, способствующий выдавливанию молока из соска матери, стимулирует горизонтальный вектор роста верхней челюсти. При таком типе рефлекторного глотания язык ребенка постоянно находится в идеальном контакте с куполом нёба. Высокая позиция языка способствует созданию латеральных векторов распределения давления, уравновешивающих внешний вектор воздействия щёчных мышц. Именно благодаря этому равновесию обеспечивается и поддерживается нормальное развитие верхней челюсти.
Правильное нёбное положение языка в покое и при глотании способствует формированию U-образного зубного ряда, задаваемого самой позицией языка, что соответствует нормальному развитию зубочелюстной системы. Очевидно, что при ротовом дыхании правильное положение языка невозможно - он располагается на дне полости рта, в области нижней челюсти. При этом свод верхней челюсти языком не поддерживается и соответственно, не обеспечивается возможность правильного развития её апикального базиса. В то же время щёчные мышцы продолжают свое давление снаружи, что является причиной сужения верхней челюсти и её недоразвития.
В норме форма зубного ряда приближена к правильной полуокружности, где наиболее широкая часть ее соответствует мезиобукальными буграм верхних вторых моляров. Эта правильная форма задается верхней позицией языка в покое и при глотании. При дизокклюзиях в большинстве случаях верхние моляры развернуты мезиально, так что наиболее широкая часть зубной дуги перемещается в область дистальных бугров верхних моляров.
Опыты с хирургическим блокированием носовых ходов у молодых особей обезьян, проводившиеся исследовательской группой д-ра Харвольда, наглядно доказали неизбежность недоразвития верхнечелюстных структур при ротовом дыхании - у 100% животных, участвовавших в эксперименте, было выявлено недоразвитие структур лицевого скелета относительно контрольных особей. Фото 1, 2, 3
Типичный вид ребенка с ротовым дыханием.
Недоразвитие верхней челюсти сопровождается открытым прикусом в переднем отделе при боковом одностороннем перекрестном перекрытии - отсутствие поддержки языка ведет к сужению свода верхней челюсти, результатом чего является открытый прикус во фронтальном отделе, недоразвитие верхней и нижней зубных дуг. Ещё более ретрогнативное положение верхней челюсти ведёт к перекрестному прикусу в переднем отделе.
Для оценки развития лицевых структур у таких пациентов весьма полезен осмотр в нижнем ракурсе (со стороны подбородка) - в норме при этом подглазничные орбитальные бугры не должны просматриваться. На фото 3(б) мы видим, насколько подглазничные зоны у пациентки с недоразвитием верхней челюсти выдаются вперёд.
Если у пациента в детстве закрепилось ротовое дыхание, то и во взрослом возрасте сохраняется недоразвитие верхнечелюстного базиса - у таких пациентов особенно показательны снимки в профиль. Возможно, фотография данной пациентки (фото 3в) получилась бы более характерной для аномалий данного типа, если бы я попросил её снять очки. Но ретрогнативное положение верхней челюсти у неё и на этом фото совершенно очевидно.
Влияние ротового дыхания на посадку головы и осанку ребенка
Аномалии развития нижней челюсти связаны, в свою очередь, с изменением тонуса мышц шеи, что нарушает миодинамическое равновесие организма в целом. В связи с этим аномалии прикуса нередко сопровождаются нарушениями осанки: у детей с привычным ротовым дыханием и межзубным положением языка физиологически правильное положение нижней челюсти нарушается в силу инстинктивно сохраняемого при помощи наклона головы равновесия. При хроническом ротовом дыхании, у детей, как правило, наблюдается переднее положение головы относительно вертикали позвоночного столба, что провоцирует формирование дистального прикуса. Реже встречается ситуация, когда при ротовом дыхании ребенок откидывает голову назад - в этих случаях формируется мезиальный прикус.
Почему же у растущего ребенка возникает деформация черепных структур, если его голова не располагается на одной оси с позвоночником? Череп взрослого человека весит около 4-5 кг, череп ребенка немного меньше, и значительную долю этого веса составляет жидкость. Когда нормальное положение головы нарушено, смещение массы содержимого черепной коробки в сторону наклона головы ведёт к деформации черепных костей.
Череп состоит из двадцати девяти различных костей, разделенных швами. Если происходит изменение формы какой-либо одной кости черепа, это отражается на всех черепных структурах, включая верхнюю и нижнюю челюсти, нередко у таких пациентов возникает перегрузка височно-нижечелюстного сустава, что со временем может привести к его дисфункции.
Не существует каких-либо нарушений в строении одной части тела, которые не отразились бы на общем развитии организма. Поэтому мышечный дисбаланс, спровоцированный зубочелюстными нарушениями, сопряжён также с асимметрией плеч, лопаток, тазобедренных суставов. Для правильного положения головы необходимо правильное горизонтальное положение плеч, тазовых костей, и хорошая поддержка стоп. Если носовое дыхание восстанавливается в раннем возрасте, у ребенка нормализуется и положение головы, и форма черепных костей, что благоприятным образом сказывается также на развитии верхней и нижней челюсти, ширине зубных рядов и даже на осанке.
Лечение с применением только преортодонтического трейнера в течение года у этого мальчика позволило нормализовать тип дыхания, что положительным образом повлияло не только на прикус, но и на положение головы - ребенок уже не откидывает её назад.
Восстановление носового дыхания
Когда я вижу ребенка, впервые обращающегося за ортодонтическим лечением, первое, что я оцениваю - как ребенок дышит. У детей с хроническим ротовым дыханием постоянно происходит гипервентиляция легких. При нормальном носовом дыхании ребенок делает вдох и выдох каждые шесть секунд. Дети с хроническим ротовым дыханием вдыхают/выдыхают каждые три секунды - это можно определить по ритмичным движениям плеч.
Если плечи и грудная клетка пациента движутся даже при спокойном дыхании, я оцениваю это как явный признак нарушения. В норме дыхание всегда должно быть диафрагмальным, без видимых внешних признаков. Кроме того, дыхание должно быть тихим. Поэтому, если слышно, как ребенок дышит, это уже указывает на дисфункцию дыхания.
Если хроническое ротовое дыхание закрепилось в результате аллергического ринита, можно определить и устранить аллергены, а затем нормализовать и носовое дыхание. Аллергены могут быть воздушно-капельными, которые ребенок вдыхает или пищевыми, которые попадают в его организм с едой.
Если же ротовое дыхание у ребенка не является следствием аллергии, восстановление носового дыхания становится вопросом ломки привычного стереотипа. Иногда необходимо уменьшить гипервентиляцию легких у этих детей прежде, чем может быть изменён тип дыхания.
Обычно изменить легче тип дыхания у детей в раннем возрасте. Приемы, которые я использую, для восстановления носового типа дыхания следующие:
Для установления носового дыхания у детей в раннем сменном прикусе я рекомендую ребенку носить преортодонтический трейнер. Это готовый к применению съёмный аппарат, не требующий дополнительной припасовки, который ребенок надевает ночью, во время сна и дополнительно носит один час днём для тренировки тонуса круговой мышцы рта и нормализации носового дыхания. Удерживая трейнер в полости рта во время дневного ношения, ребенок тренирует смыкательный рефлекс губ и постепенно вырабатывает привычку дышать носом.
Время использования преортодонтического трейнера - не менее года.
Лечение с применением преортодонтического трейнера в сменном прикусе требует более длительного срока ношения лишь в 30% случаев.
Клинический случай, представленный на моделях, демонстрирует позитивные изменения в развитии зубочелюстной системы, которые произошли у ребенка в результате коррекции типа дыхания с использованием трейнера в период сменного прикуса в течение года. 
Восстановление носового дыхания позволяет нормализовать развитие зубочелюстно-лицевой системы. Этот пациент в течение года носил только преортодонтический трейнер и, в результате нормализации типа дыхания, у него изменилась форма зубной дуги - сужающаяся готическая форма дуги стала округлой.
При перестройке типа дыхания с ротового на носовой у пациентов отмечается также заметное улучшение профиля, что обусловлено нормализацией роста нижней челюсти. При использовании трейнера наблюдается заметное улучшение развития подбородочной области, как у мальчиков, так и у девочек. Нормализация роста средней трети лица более характерна для мальчиков.
Развитие зубной дуги - трейнер, биоблоки или брекеты?
Развитие верхней зубной дуги неизбежно ведёт к расширению носовых ходов. При этом обеспечивается дополнительное нёбное пространство для языка в покое и при глотании.
Расширение зубной дуги в раннем возрасте, как правило, позволяет снизить высокий нёбный свод, за счёт чего также увеличивается просвет носовых ходов.
Многочисленные исследования подтвердили, что после расширения зубной дуги ортодонтическими аппаратами очень часто возникает рецидив.
Обычное ортодонтическое лечение даёт очень нестабильное поперечное расширение зубных дуг.
Чтобы язык занимал в покое своё правильное верхнее положение, необходима хорошо развитая в ширину верхняя зубная дуга. Особенно важно, что в состоянии покоя и при глотании язык должен располагаться нёбно, чтобы обеспечить поддержку своду верхней челюсти. Поэтому после ортодонтического расширения зубные дуги остаются стабильными лишь в тех случаях, когда правильно сформированная функция языка поддерживает достигнутые изменения. Язык, таким образом, является самым эффективным расширяющим «ортодонтическим устройством». У некоторых детей правильная функция языка формируется естественно, без дополнительной помощи, но большинство пациентов нуждается в миофункциональной тренировке, которая учит язык занимать своё правильное нёбное положение.
Поэтому в своей практике я всегда занимаюсь расширением зубных дуг или с применением трейнера, или с помощью биоблоков, либо использую оба аппарата одновременно. Если у пациента перекрестный прикус в боковом отделе, характерный для детей с ротовым типом дыхания, я начинаю лечение с расширяющих биоблоков. Для детей в раннем сменном прикусе, особенно важно достичь расширения нёбного свода для поддержания формы зубной дуги и восстановления носового типа дыхания. С этой целью я обычно использую трейнер в комплексе с простыми дыхательными упражнениями (программа «Правильное носовое дыхание») для плавного перехода к носовому типу дыхания. В позднем сменном, а также в постоянном прикусе после расширения зубной дуги я предпочитаю применять аппараты Biobloc-3, также сопровождая это лечение упражнениями для нормализации типа дыхания.
На фотографии представлена пациентка в сменном прикусе с хроническим ротовым дыханием. Для таких пациентов типичен перекрестный прикус в боковых отделах, а также открытый прикус во фронтальном отделе. Верхнюю дугу в этом случае мы расширяли путём последовательного использования нескольких биоблоков, в результате верхние резцы заняли свою правильную позицию. Коррекция положения нижней челюсти достигалась посредством стимуляции смыкательного рефлекса губ и восстановления носового дыхания с применением трейнера. Результат оставалась стабильным, поскольку у пациентки нормализовалась функция дыхания и положение языка в покое.
На фотографии 9 представлена девочка по прошествии 7 лет после лечения - применение ретейнера не потребовалось.
Программа «Правильное носовое дыхание»
Данная 12-недельная программа направлена на восстановление носового дыхания, и предполагает вовлечение в работу и ребенка и родителей. Выполнение комплекса дыхательных упражнений занимает приблизительно 20 минут в день. Если пациент пропустил более недели занятий, ему придётся вернуться к выполнению программы с самого начала. Программа - это комплекс упражнений для нормализации носового дыхания, выполняемых в строго определённом порядке. Задача программы состоит в том, чтобы перезапустить триггерный пусковой механизм, реагирующий на увеличение уровня углекислого газа (карбокси-гемоглобина) в крови, а также восстановить смыкательный рефлекс губ, для чего используется трейнер-система. Работа по перестройке типа дыхания в рамках данной программы требует хорошей мотивации и дисциплины родителя и ребенка, но даёт отличный эффект по снижению гипервентиляции лёгких, что необходимо для восстановления носового дыхания.
Домашнее наблюдение
Чтобы научиться дышать носом ребенок должен вдыхать чистый воздух с минимальным количеством пыли, но обратите внимание на окружающую ребенка домашнюю среду, особенно на ковровые покрытия в его спальне, которые вбирают в себя частицы пыли. Я рекомендую родителям оставлять окно в спальне ребёнка открытым на ночь, чтобы обеспечить свежий воздух во время сна и по возможности не держать в доме животных. По крайней мере, категорически не допускается пребывание домашних животных в спальне ребенка. И, наконец, приучить ребенка к носовому дыханию значительно легче, если ребенок живет в свободной от дыма окружающей среде. Электрические увлажнители воздуха помогут оседанию частиц пыли на пол в спальне ребенка ночью.
Заключение
У всех детей, хронически дышащих ртом, развивается дизокклюзия. Многим детям можно помочь нормализовать носовое дыхание. Для большинства детей ротовое дыхание - всего лишь вредная привычка, которую можно и нужно устранить, приступая к ортодонтическому лечению. Причём перестроить тип дыхания необходимо ещё до расширения верхней зубной дуги механическими устройствами, т.к. если ребенок не научится располагать язык нёбно при глотании и в покое, после снятия расширяющей аппаратуры возникнет рецидив, и зубная дуга принимает прежнюю форму.
Успешное применение программы «Правильное носовое дыхание» подразумевает уменьшение гипервентиляции при дыхании. Чтобы приучить ребёнка к дыханию носом, со стороны практикующего врача требуется совсем немного технических навыков. С появлением современных средств миофункциональной коррекции, стимулирующих смыкательный рефлекс губ и правильное положение языка в покое, стоматологи и ортодонты могут оказать эффективную помощь детям с ротовым типом дыхания.
Читайте также:
