Воздух в брюшной полости - пневмоперитонеум. Диагностика воздуха в животе
Добавил пользователь Евгений Кузнецов Обновлено: 21.01.2026
Метеоризм — это скопление в пищеварительном тракте избыточного количества газов в связи с их усиленным образованием или недостаточным отхождением. Обычно сочетается с диспепсией, абдоминальной болью, запорами или поносами. Чаще развивается при нарушениях питания и болезнях ЖКТ, однако может наблюдаться при урогенитальной и острой абдоминальной патологии, несостоятельности стенок брюшной полости, функциональных нарушениях и эндокринных заболеваниях. Для облегчения состояния больного с метеоризмом кроме коррекции рациона рекомендуется приём ветрогонных средств, адсорбентов, пеногасителей.
Общая характеристика
Обычно метеоризм (вздутие живота, тимпания, пучение) воспринимается как дискомфортное ощущение тяжести, распирания, сопровождаемое урчанием, отрыжкой воздухом, иногда — диареей или запором. Возможна абдоминальная боль с кишечным спазмом (коликами) и задержкой газов в кишечнике, которая чаще наблюдается во второй половине суток в период наиболее активного пищеварения. Состояние облегчается после дефекации. Реже отмечается постоянное безболезненное выделение газов с различным запахом, происходящее незаметно или с характерным звуком (флатуленцией).
При скоплении газов в определенном участке кишки (локальный метеоризм) болевой синдром имеет характерные особенности. Задержка газов на уровне селезеночного изгиба кишечника сопровождается общим вздутием живота, давлением и болью в левом подреберье с иррадиацией в область сердца. Тимпания, вызванная скоплением газов в подпеченочной области, проявляется чувством переполненности и болезненностью в правом подреберье, отдающей в надчревье, правые лопатку, плечо, половину шеи. Реже возникает синдром слепой кишки с болями в правой подвздошной области.
Для тонкокишечного метеоризма типично общее вздутие живота, для толстокишечного — ощущение переполненности в боковых фланцах. Кроме пучения у больных возможна диспепсия в виде тошноты, рвоты, неприятного привкуса во рту. Иногда развивается дигестивная астения с ощущением жжения в прекардиальной области, одышкой, жалобами на частые сердцебиения, перебои в работе сердца, бессонницу, общую слабость, угнетенное настроение. Длительно существующий метеоризм нарушает привычную жизнь пациента, ухудшает качество коммуникаций и ограничивает поведенческую активность.
Причины метеоризма
Физиологические состояния
Хотя вздутие живота чаще свидетельствует о наличии болезней желудочно-кишечного тракта, иногда его возникновение обусловлено непатологическими факторами. Накопление газов может быть связано как с их избыточным образованием, так и с задержкой в кишечнике. Наиболее распространенными физиологическими причинами метеоризма являются:
- Употребление продуктов, стимулирующих газообразование. В норме при переваривании одного полноценного приёма пищи в ЖКТ образуется до 15 л газов, большей частью всасываемых через стенку кишечника. Усиление газообразования отмечается при употреблении чёрного хлеба, пива, кваса и других продуктов, вызывающих брожение, бобовых, капусты, большого количества углеводов, жиров.
- Пищевые привычки. До 60% кишечных газов представлено проглоченным воздухом, который попадает в ЖКТ при питье воды и совершении глотательных движений. При торопливом приёме пищи, недостаточно тщательном пережевывании и быстром проглатывании, курении во время еды в желудок попадает больше воздуха. Его часть выводится с помощью отрыжки, остальной газ перемещается в кишечник, вызывая метеоризм.
- Старческий метеоризм. Тимпания у здоровых пожилых людей вызвана возрастными изменениями ЖКТ. После 50-60 лет кишечник несколько удлиняется, а его мышечная стенка атрофируется, что способствует задержке газов и химуса в просвете кишки. С возрастом уменьшается количество активных кишечных желез, на фоне ухудшения переваривающей функции пищеварительных соков усиливается газообразование.
Беременность
Метеоризм наиболее часто возникает во втором-третьем триместрах гестационного срока и связан как с усиленным газообразованием, так и замедленной эвакуацией газов из кишечника. Об учащении вздутия живота сообщает не менее трети беременных. Кроме пучения, пациентки жалуются на кислую отрыжку, изжогу, запоры. Метеоризм при беременности чаще, чем при других состояниях, сочетается со спастическими болями внизу живота и может провоцировать повышение тонуса матки. Причинами тимпании при гестации являются:
- Механическое сдавливание кишечника. Увеличение матки при беременности сопровождается усилением ее давления на другие органы брюшной полости. Возникновению пучения зачастую способствует сдавление слепой, реже — сигмовидной кишки.
- Замедление кишечной перистальтики. Прогестерон, продуцируемый плацентой для сохранения гестации, оказывает расслабляющий эффект на кишечную гладкую мускулатуру. Урежение перистальтических волн при беременности провоцирует запоры и задержку кишечных газов.
- Нарушение пищеварения. У беременных возрастает нагрузка на печень и поджелудочную железу. В сочетании с эстрогенными эффектами это приводит к изменению состава желчи, панкреатического сока и, как следствие, недостаточному перевариванию пищи с усилением газообразования.
- Кишечный дисбиоз. Сочетание задержки каловых масс в толстом кишечнике, тонкокишечной мальдигестии и мальабсорбции способствует нарушению нормального состава кишечного биоценоза. При этом метеоризм становится результатом недостаточной ферментации пищевых волокон.
Инфекционные заболевания
Воспалительные изменения, происходящие в стенке тонкого и толстого кишечника под действием патогенных микроорганизмов, сопровождаются нарушением процессов пристеночного пищеварения и всасывания. В результате ухудшается диффузия газов через кишечную стенку, усиливается газообразование в полости кишки. Метеоризмом могут сопровождаться:
- Острые кишечные инфекции. Тимпания с диареей, абдоминальной болью, тенезмами, тошнотой, рвотой характерна для острых гастритов, энтероколитов и колитов, вызванных различными патогенами. Метеоризм отмечается при дизентерии, сальмонеллезах, ротавирусной инфекции и других заболеваниях с поражением ЖКТ.
- Кандидозный процесс. Активация грибковой флоры у больных со сниженным иммунитетом провоцирует вздутие, разжижение стула, нелокализованные болевые ощущения в животе. Чаще кандидоз кишечника протекает в виде неинвазивной формы без поражения кишечной стенки с умеренной интоксикацией и дискомфортом.
- Протозойные инвазии. Вздутие живота в остром периоде лямблиоза проявляется в рамках гастроинтестинального синдрома с диспепсией и обильным пенистым стулом, при длительном течении преобладает похудание и астения. При хроническом токсоплазмозе метеоризм вызван мезаденитом и обычно сопровождается запором.
- Гельминтозы. Пучение возможно при различных гельминтозах. Так, для манифестации трихоцефалеза характерно слюнотечение, тошнота, рвота, тимпания, запоры, чередующиеся с диареей. При массивной глистной инвазии иногда наблюдаются тяжелые некупируемые поносы с кровью и выпадением прямой кишки.
Предпосылкой к развитию метеоризма на фоне инфекционного поражения кишечника часто служит дисбактериоз. Обсеменение толстой кишки патогенными микроорганизмами с одновременным сокращением количества полезных лакто- и бифидобактерий сопровождается нарушением естественных процессов ферментации пищи и активацией брожения. В результате усиливается газообразование и развивается тимпания.

Патология толстого кишечника
Вздутие живота — один из характерных симптомов поражения ободочной кишки. Зачастую пучение сочетается с запорами, абдоминальной болью — разлитой или локализованной в разных отделах живота. Развитие метеоризма при толстокишечных болезнях обычно вызвано задержкой эвакуации или нарушениями ферментации клетчатки. Патологической тимпанией проявляются:
- Длительно существующие воспалительные процессы. Для трансверзита, сигмоидита, ректосигмоидита и других форм хронических колитов характерно сочетание избыточного газообразования и замедленного выведения сформировавшихся газов. Типичны запоры и умеренная боль, локализация которой зависит от пораженного отдела кишечника. Состояние улучшается после дефекации.
- Объёмные новообразования. При доброкачественных опухолях толстого кишечника обычно отмечается умеренное вздутие и склонность к запорам, симптоматика прогрессирует медленно. У пациентов с кишечными полипами может определяться кровь в кале. Постоянный метеоризм, боль и прогрессирующая непроходимость могут стать одними из первых симптомов рака толстой кишки.
- Увеличение толстой кишки. У больных с мегаколоном, долихосигмой и другими вариантами долихоколона пучение живота сочетается с упорными запорами, признаками кишечной интоксикации. Отмечается задержка газов. Болезненность бывает разлитой и локальной, ощущаемой в районе пупка, левой подвздошной области. При пальпации определяется переполненный каловыми массами кишечник.
- Нарушение структуры кишечной стенки. Метеоризм и нелокализованная абдоминальная боль — частые симптомы при пневматозе, дивертикулах кишечника. Формирование мешковидных выпячиваний и воздушных кист сопровождается замедлением перистальтики и возникновением запоров. При застое каловых масс возникает дисбиоз, усиливается газообразование с ухудшением выведения газов.
Болезни пищевода и желудка
Пучение живота часто наблюдается при поражении верхних отделов пищеварительного тракта. Из заболеваний пищевода на возникновение тимпании наибольшее влияние оказывает гастроэзофагеальная рефлюксная болезнь, особенно обусловленная грыжей пищеводного отверстия диафрагмы. Нарушение замыкательной функции кардии с забросом желудочного содержимого в пищевод сопровождается расстройством вегетативной регуляции желудочно-кишечной моторики, изменением секреторной и эвакуаторной функций. Кроме метеоризма пациенты с ГЭРБ жалуются на изжогу, отрыжку кислым.
Недостаточность переваривания продуктов в желудке — ведущая причина вздутия при гастритах. Поступление в кишечник такого химуса провоцирует развитие мальдигестии, влияет на пассаж кишечного содержимого и его дальнейшую ферментацию в толстой кишке. При дуодено-гастральном рефлюксе, билиарном рефлюкс-гастрите усугубляющим фактором становится усиление газообразования за счёт реакции кислого желудочного сока с щелочным дуоденальным содержимым. В подобных случаях возможно возникновение локальной желудочной тимпании с интенсивной эпигастральной болью.
Аналогичные химические процессы происходят в 12-перстной кишке при гастрите с повышенной кислотностью, НПВП-гастропатии, однако при этом газы скапливаются в тонком кишечнике, вызывая разлитую болезненность в области пупка и общее вздутие. В развитии метеоризма при раннем демпинг-синдроме ключевую роль играет исключение желудочной фазы пищеварения и нарушение вегетативной регуляции. При болезнях желудка и 12-перстной кишки тимпания сочетается с отрыжкой воздухом и кислым химусом, другими признаками диспепсии — тошнотой, рвотой, ухудшением аппетита.
Мальдигестия и мальабсорбция
Симптом вздутия — характерный признак нарушения процессов полостного и пристеночного пищеварения. Кроме заболеваний желудка мальдигестию провоцируют нарушения панкреатической секреции (ферментативная недостаточность поджелудочной железы, синдром Швахмана-Даймонда, панкреатиты — реактивный, билиарный, аутоиммунный и др.), воспаление кишечной стенки (хронические энтериты, спру), изменение состава и выделения желчи при холецистите, ЖКБ, дискинезии желчевыводящих путей, патологии печени (синдроме Жильбера, портальной гипертензии).
Часто метеоризм развивается у пациентов, страдающих лактазной недостаточностью, целиакией, другими ферментопатиями. Невозможность переваривания определенных компонентов пищи приводит к изменению химического состава кишечного содержимого, нарушает его всасывание и ферментацию сапрофитной флорой, активизирует процессы брожения. Тимпания при синдроме мальдигестии часто сочетается с диффузной болью в животе, неустойчивостью стула, изменением цвета и консистенции каловых масс. Выявляются характерные признаки поражения отдельных органов.
Абдоминальные гнойные процессы
Вздутие, вызванное угнетением перистальтики кишечника, наблюдается при разлитом и локальном перитоните. Нарастающий метеоризм на фоне интенсивной диффузной боли в животе, гипертермии и паретической непроходимости кишечника отмечается при осложненном течении послеоперационного периода, после родов (при акушерском перитоните). При локальных гнойно-воспалительных процессах (хроническом аппендиците, межкишечном абсцессе, спайках в малом тазу) ситуацию усугубляет возникновение механических препятствий для продвижения химуса.
Метеоризм функционального происхождения
У части пациентов развитию тимпании способствуют расстройства вегетативной регуляции и психоэмоциональные причины. Локальными формами неврозов ЖКТ, в клинике которых наблюдается пучение живота, являются синдром раздраженного кишечника и функциональная диарея. Обычно при таких патологических состояниях вздутие, боль и изменения стула связаны с усилением моторики кишечника. Функциональное вздутие возможно при неврастении, вегетососудистой дистонии. Сочетание метеоризма, болей в области сердца и нарушений ритма характерно для гастрокардиального синдрома.
Несостоятельность брюшной стенки
Вероятность вздутия повышается при изменении анатомических структур, ограничивающих брюшную полость. Тимпания на фоне видимых дефектов абдоминальной стенки (растяжения, локальных выпячиваний) возможна при диастазе прямых мышцы живота, грыже белой линии, послеоперационных грыжах. Метеоризм с тошнотой, рвотой, острой эпигастральной болью после еды характерен для дигестивного синдрома при релаксации диафрагмы. Возникновению вздутия в этих случаях способствует нарушение кишечной перистальтики, приводящее к развитию запоров.
Мочеполовые заболевания
Близость кишечника и органов малого таза способствует рефлекторному нарушению перистальтики при урогенитальной патологии. Жалобы на вздутие живота предъявляют пациенты с острым простатитом и сальпингитом. Постановку правильного диагноза облегчает сочетание пучения живота с характерными выделениями из половых органов, болезненностью в области таза. Рефлекторно обусловленное вздутие на фоне болей в пояснице возникает при остром пиелонефрите, почечной колике. При сращении почек дополнительным фактором, способствующим тимпании, является сдавление кишечника.
Эндокринная патология
У женщин с предменструальным синдромом пучение, сочетающееся с запором, отечностью и характерными психоэмоциональными нарушениями, обусловлено расслабляющим действием прогестерона на гладкие мышцы кишечника и желчевыводящих путей. При гипотиреозе тимпания, тошнота, рвота возникают за счёт гипотонии мышц кишечной стенки и снижения секреции ферментов. Внезапное появление спастических абдоминальных болей, неукротимой тошноты, метеоризма и жидкого кровянистого стула типично для желудочно-кишечной формы острой надпочечниковой недостаточности.
Обследование
Диагностический поиск часто затруднен из-за разнообразия патологических состояний, при которых наблюдается метеоризм. Первичное обращение с данной проблемой рекомендуется к участковому терапевту или врачу-гастроэнтерологу. Поскольку вздутие живота выявляется у 80-85% пациентов гастроэнтерологического профиля, комплексное обследование начинают с методов, позволяющих быстро локализовать уровень поражения ЖКТ, и только после этого рекомендуют консультации других специалистов. Наиболее информативными считаются:
- Эндоскопическое исследование. Визуальный осмотр пищеварительных органов направлен на выявление воспаления, дефектов слизистых, опухолей. С учётом вероятной патологии назначают ЭГДС, колоноскопию, капсульную эндоскопию. По показаниям выполняется эндоскопическая биопсия для гистологического изучения материала.
- Сонография абдоминальных органов. Обзорное УЗИ брюшной полости позволяет быстро оценить состояние паренхиматозных органов, желчевыводящих путей, селезенки, сосудов, обнаружить объёмные образования, кисты. При необходимости проводится отдельное УЗИ печени, поджелудочной железы, желудка.
- Рентген-исследование. Из рентгенологических методов наиболее часто применяют обзорную рентгенографию брюшной полости, рентгенографию пассажа бария по тонкому и толстому кишечнику. Для прицельного определения органных повреждений часто производится ретроградная холангиопанкреатография, рентгенография желудка.
- Анализ среды. При возможной связи метеоризма с нарушением желудочной, панкреатической, билиарной секреции рекомендовано проведение желудочного и дуоденального зондирования. Повышенную кислотность и гастроэзофагеальный рефлюкс помогают выявить внутрипищеводная и внутрижелудочная pH-метрия.
- Лабораторные анализы. Наиболее часто выполняют биохимические пробы печени, определяют уровень ферментов поджелудочной железы в крови и моче, содержание пепсиногена в крови. Кроме копрограммы показаны анализы кала на яйца гельминтов и скрытую кровь, посев фекалий на дисбактериоз и патогенную флору.

Симптоматическая терапия
Метеоризм алиментарного происхождения заметно уменьшается или полностью проходит после коррекции диеты с ограничением в рационе бобовых, капусты, чёрного хлеба, других продуктов, усиливающих газообразование у конкретного человека. Рекомендовано регулярное питание в спокойной обстановке, тщательное пережевывание пищи, отказ от еды всухомятку, посильные занятия физкультурой. До уточнения причин, спровоцировавших тимпанию, при выраженном вздутии живота эффективно использование ветрогонных сборов. адсорбентов, поверхностно-активных пеногасителей.
Частое пучение, особенно сочетающееся с коликообразной болью, диспепсией и нарушениями стула, является показанием для консультации гастроэнтеролога или проктолога. При выраженном метеоризме с нарастающей болью, задержкой газов и стула или неукротимой диареей необходимо срочное обращение за медицинской помощью.
2. Метеоризм: современный взгляд на патогенез и методы коррекции / Полуэктова А.Э.// Справочник поликлинического врача - 2008 - №6.
3. Синдром избыточного газообразования в кишечнике: клиническое значение и принципы терапии /Буторова Л.И., Коломоец А.Н. и др.// Трудный пациент - 2005 - №6.
4. Лечение функциональных расстройств кишечника и желчевыводящей системы, протекающих с абдоминальными болями и метеоризмом / Минушкин О.Н., Елизаветина Г.А., Ардатская М.Д.// Клиническая фармакология и терапия — 2002 — Т. 11, № 1.
ПНЕВМАТОЗЫ
Пневматозы (pneumatosis, ед. ч.; греч. pneuma, pneumat[os] воздух; син.: воздушная опухоль, воздухоносные кисты, кистозный пневматоз, лимфопневматоз) — патологический процесс, характеризующийся образованием в стенках преимущественно полых органов кист, заполненных газом. Этот газ содержит азот, водород, кислород и углекислый газ, т. е. не отличается по составу от воздуха. Впервые Пневматоз описан в 1754 г. Дювернуа (Duvernoy). Воздушные кисты обнаруживают в стенках тонкой и толстой кишки, желудка, мочевого пузыря, в брыжейке кишечника. Реже они располагаются в париетальной брюшине, брыжеечных лимфатических узлах, забрюшинной клетчатке, печеночно-желудочной связке, влагалище. Вследствие поступления воздуха из придаточных (околоносовых, Т.) пазух может развиться Пневматоз головного мозга, который характеризуется образованием в ткани мозга и под его оболочками (см. Пневмоцефалия) воздушных полостей разных размеров, иногда св. 2 см в диаметре.
В этиологии Пневматоза придают значение микроорганизмам, способным вырабатывать газ. Однако разрывы пузырьков при П. редко сопровождаются выраженным воспалением. Возможно, инфекционное поражение приводит лишь к повреждению слизистой оболочки органов и нарушению сокращения их гладких мышц. Внедрению воздуха в стенки полых органов способствует нарушение их моторной функции и связанное с этим повышение давления в их полости, а также перерастяжение стенок и повреждение слизистой оболочки. В 1953 г. H. М. Коврижко высказала предположение о возможном значении в этиологии П. врожденного порока развития лимфатических сосудов. В пользу этого свидетельствуют случаи сочетания П. с другими пороками развития, напр, атрезией внутрипеченочных желчных протоков, трехкамерным сердцем, мегаколоном и др. По данным А. И. Абрикосова, Ю. М. Лазовского, П. желудочно-кишечного тракта часто сочетается с язвенной болезнью, стенозом привратника и опухолями кишечника.

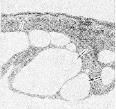
Микропрепарат толстой кишки при пневматозе: под серозной оболочкой кишки видны многочисленные воздушные кисты (стрелками указаны крупные кисты); окраска гематоксилин-эозином; х 40.
Макроскопически в стенках полых органов обнаруживают воздушные кисты величиной до 2 см в диаметре с тонкой бесструктурной стенкой. Воздушные кисты, возникающие под серозной оболочкой кишечника (рис.), могут широко распространяться, создавая вид мыльной пены, крепитирующей под руками. При локализации кист под слизистой оболочкой она выглядит бледной, с единичными кровоизлияниями. Микроскопически мелкие пузыри, выстланные эндотелием, как правило, связаны с лимфатическими сосудами. В крупных кистах эндотелиальной выстилки может не быть. По периферии кист в ряде случаев наблюдается умеренная инфильтрация эозинофилами, лимфоцитами, плазматическими клетками, а также так наз. гигантскими многоядерными клетками инородных тел.
Клиническая картина Пневматоза жел.-киш. тракта может быть бессимптомной или проявляется болями в животе неопределенного характера, метеоризмом, запорами, поносами, рвотой. При прорыве стенок субсерозных кист может развиться пневмоперитонеум (см.) без признаков перитонита. При пальпации живота иногда определяются опухолевидные образования эластической консистенции (крупные кисты) или слышен треск как бы лопающихся мелких пузырьков. При эндоскопическом исследовании в слизистой оболочке полых органов могут определяться пузыри газа, нередко с мелкими кровоизлияниями по периферии. На рентгенограмме брюшной полости наиболее характерным является полоска просветления между печенью и диафрагмой, исчезающая в горизонтальном положении больного. При тугом заполнении контрастным веществом полых органов в их стенках можно обнаружить ячеистость контуров.
Лечение при распространенном Пневматозе симптоматическое, при ограниченном Пневматозе кишечника может быть произведена резекция пораженного отдела кишки (см. Кишечник, операции).
Прогноз чаще благоприятный.
Библиография: Жураев Ш. Ш. и Кулубеков Е. С. Кистозный пневматоз тонкой кишки, Вестн, хир., т. 120, №5, с. 67, 1978, библиогр.; Коврижко H. М. К вопросу о пневматозе кишечника у человека, Арх. патол., т. 15, № 6, с. 83, 1953; Многотомное руководство по патологической анатомии, под ред. А. Струкова, т. 4, кн. 1, с. 322, 1956, т. 4. кн. 2, с. 115, М., 1957; Самсонов В. А. и Романов А. Ф. Пневматоз мочевого пузыря у ребенка с хроническим нефритом, Педиатрия, №11, с. 78, 1970.
ПНЕВМОПЕРИТОНЕУМ
Пневмоперитонеум (pneumoperitoneum; греч. pneuma воздух + лат. peritoneum, от греч. peritonaion брюшина) — заполнение газом брюшной полости. Возникает вследствие патологического процесса либо повреждения, приводящих к перфорации стенки желудка или кишечника (прободной Пневмоперитонеум), а также накладывается искусственно с диагностической (диагностический Пневмоперитонеум) или лечебной (лечебный Пневмоперитонеум) целью.
Прободной пневмоперитонеум чаще всего является следствием прободения стенки желудка или кишки (перфорация язвы, изъязвленной опухоли, травма живота и др.) и обнаруживается рентгенологически в виде светлой полоски газа под куполом диафрагмы в вертикальном положении больного или между брюшной стенкой и брюшными органами в латеропозиции (см. Полипозиционное исследование).
Содержание
Диагностический пневмоперитонеум
Диагностический пневмоперитонеум (син. пневмоперитонеография) — рентгенол. исследование органов брюшной полости после введения в нее газа. Разработан в 1913 г. Вебером (Е. Weber) в условиях эксперимента и впервые применен в клин, практике Лореем (А. Lorey). В развитии этого метода активное участие принимали М. И. Неменов, Г. С. Рухимович, Л. Д. Линденбратен, Гетце (О. Goetze), Парч (F. Partsch), Штейн (J. Stein) и др.
Показания
К диагностическому П. прибегают в тех случаях, когда другие рентгенологические методы оказались недостаточно эффективными и для уточнения диагноза требуется оценить состояние поверхности органов брюшной полости и их взаимоотношение. В связи с развитием современных методов исследования — эндоскопии (см.), гамма-сцинтиграфии (см. Сцинтиграфия), ангиографии (см.) и компьютерной томографии (см. Томография компьютерная) потребность в П. возникает редко. Основные показания: дифференциальная диагностика поражений диафрагмы и прилежащих к ней опухолей и кист, распознавание аномалий развития печени и селезенки, прорастания опухоли желудка или толстой кишки в соседние органы, а также диагностика опухолей, кист, пороков развития матки и придатков.
Противопоказания
Тяжелое состояние больного, острые воспалительные поражения органов брюшной полости, декомпенсированные заболевания сердечно-сосудистой системы, легких, печени и почек. К числу относительных противопоказаний относят перенесенный инфаркт миокарда, стенокардию, мерцательную аритмию и пароксизмальную тахикардию.
Техника
Диагностический П. накладывают натощак после очищения кишечника и опорожнения мочевого пузыря. В нек-рых случаях, напр. детям, проводят премедикацию (см. Наркоз). Больного укладывают на спину, средний отдел живота обнажают, а остальные отделы тела закрывают стерильными простынями. Как правило, прокол производят в точке, расположенной на 3—4 см влево и книзу от пупка. После обработки операционного поля проводят местную анестезию 0,5% р-ром новокаина. Иглой длиной 6— 10 см с мандреном прокалывают брюшную стенку, а затем продвигают иглу еще на 0,2—0,3 см и прочищают ее мандреном. Обратным движением поршня шприца проверяют, не появляется ли в шприце кровь, т. е. не проник ли конец иглы в кровеносный сосуд. Иглу присоединяют к аппарату для наложения пневмоторакса. После введения 25— 30 см 3 газа (закиси азота или углекислого газа) обнаруживают колебания стрелки манометра: на вдохе давление становится положительным, а на выдохе — отрицательным. Отсутствие таких колебаний давления наблюдается при обширных сращениях в брюшной полости, а быстрое и резкое повышение давления — при случайном проколе стенки кишки. Газ обычно вводят со скоростью 100—200 см 3 в 1 мин. Для исследования диафрагмы и верхнего полюса желудка взрослому достаточно ввести 800—1000 см 3 газа, для изучения печени, селезенки, желчного пузыря, почек и брюшины — 1200—1600 а органов малого таза — 700—900 см^. Детям в возрасте от 3,5 мес. до 2 лет вводят от 40 до 200 в более старшем возрасте — от 250 до 700 см 3 газа. При выделении крови из иглы, появлении сильных болей в животе, а также резком ухудшении состояния больного введение газа немедленно прекращают. После того как введение газа закончено, иглу извлекают. На место пункции накладывают стерильную наклейку.

Рис. 1. Рентгенограмма брюшной полости в норме после наложения диагностического пневмоперитонеума (в вертикальном положении больного): правый и левый куполы диафрагмы (1), верхняя поверхность печени (2) И верхненаружный контур селезенки (3).

Рис. 2. Рентгенограмма брюшной полости после наложения диагностического пневмоперитонеума при метастазах рака желудка в печень (в положении больного лежа на левом боку): стрелками указана неровная бугристая поверхность печени.
После наложения Пневмоперитонеума производят Полипозиционное рентгенологическое исследование. Предложены типовые позиции, которые в подавляющем большинстве случаев обеспечивают наилучшее рентгенол. отображение органов брюшной полости. Иногда П. комбинируют с томографией (см.) и раздуванием желудка или кишечника (см. Париетография). В норме газ равномерно заполняет вышележащие отделы брюшной полости (рис. 1). На его фоне четко вырисовывается изображение брюшинной поверхности диафрагмы, печени, селезенки, верхнего полюса желудка, кишечных петель, матки и ее придатков, а также поверхности почек. Изменение положения, величины, формы, контуров и взаимоотношения этих органов, а также появление тени патологических образований позволяют судить о локализации, распространенности и характере патол, процесса (рис. 2).
Осложнения
При соблюдении техники исследования П. является безопасным вмешательством. Реакции больного не выходят за пределы физиологических и отмечаются лишь в течение нескольких часов. Больной испытывает чувство распирания в животе и боль в надплечьях, особенно правом. Иногда возникают головокружение, тошнота и даже рвота. Вечером в день исследования может наблюдаться повышение температуры до субфебрильных цифр. При развитии гематомы брюшной стенки достаточно наложения давящей повязки. Подкожная эмфизема брюшной стенки не требует лечения.
Лечебный пневмоперитонеум
Лечебный пневмоперитонеум — введение воздуха в брюшную полость с лечебной целью. Воздух, введенный в брюшную полость, вызывает раздражение рецепторов брюшины, последнее передается рефлекторно на нервно-мышечный аппарат легкого, вызывая спадение легочной паренхимы. Наступающие в этих условиях в легких изменения крово- и лимфообращения, окислительных процессов положительно влияют на течение туберкулеза.
Показания и Противопоказания
Показания. В условиях антибактериальной терапии лечебный П. показан при инфильтративно-пневмоническом, гематогенно-диссеминированном, кавернозном туберкулезе легких; при легочном кровохарканье, не прекращающемся под действием лекарственных средств, после нек-рых оперативных вмешательств на легких.
Противопоказания: цирротический туберкулез легких с явлениями пневмосклероза и эмфиземы легких; нарушения функции сердечно-сосудистой системы, воспалительные процессы органов брюшной полости и малого таза, грыжи, беременность.
Техника лечебного Пневмоперитонеума аналогична наложению диагностического Пневмоперитонеума. Количество вводимого газа колеблется от 500 до 600 интервалы между поддуваниями составляют 5—7 дней, продолжительность лечения от 6 мес. до 1,5—2 лет.
Осложнения могут быть такие же, как при диагностическом Пневмоперитонеуме.
Библиография: Линденбратен Л. Д. Искусственный пневмоперитонеум в рентгенодиагностике, М., 1963, библиогр.; Линденбратен Л. Д. и Наумов Л. Б. Методы рентгенологического исследования органов и систем человека, Ташкент, 1976; Неменов М. И. Рентгенодиагностика эхинококка, Пневмоперитонеум, Вестн, рентгенол, и радиол., т. 2, № 1, с. 1, 1922; Харчева К. А. Коллапсотерапия в комплексном лечении больных туберкулезом легких, Л., 1972; Loreу А. Hydropneumoperitoneum, Verh. dtsch. Rontg.-Ges., Bd 8, S. 46, 1912; Weber E. tiber die Bedeutung der Einfiihrung von Sauerstoff resp. Luft in die Bauchhohle fiir die experimentelle und diagnostiscJie Rontgenologic, Fortschr. Rontgenstr., Bd 20, S. 453, 1913.
Синдромы утечки воздуха
Синдромы утечки воздуха — это группа патологических состояний, которые вызваны повреждением альвеолярных стенок и выходом газа за пределы легких в окружающие ткани. К ним относят интерстициальную эмфизему, пневмоторакс, пневмоперикард, пневмомедиастинум и пневмоперитонеум. Чаще возникают у недоношенных детей, которые находятся на ИВЛ. Состояние проявляется одышкой, цианозом, нарушениями сердечной деятельности. Диагностика синдрома предполагает рентгенографию органов грудной и брюшной полости, ЭхоКГ, ЭКГ. Для устранения патологии выполняют пункционное удаление воздуха, коррекцию параметров кислородотерапии.
МКБ-10

Общие сведения
Частота респираторных нарушений среди здоровых доношенных младенцев не превышает 1-2%, большинство случаев протекает субклинически, не сопровождается осложнениями. Среди новорожденных из групп риска распространенность синдрома утечки воздуха достигает 10% и более, причем максимальная частота патологий определяется у младенцев, которые получают кислородотерапию. При несвоевременной диагностике и лечении состояния представляют угрозу здоровью младенца, поэтому от врачей-неонатологов требуется постоянная настороженность.

Причины
В ряде случаев утечка воздуха происходит спонтанно у здоровых детей, не имеющих факторов риска. Специалисты связывают это с резким изменением внутригрудного давления в момент, когда новорожденный начинает дышать самостоятельно. При этом может нарушаться целостность альвеолярной стенки, что способствует выходу газов в окружающее пространство. К патологическим причинам синдрома относят следующие:
- Проведение кислородотерапии. Новорожденные на ИВЛ обычно страдают от синдрома утечки воздуха, что обусловлено повреждением легких слишком сильным потоком кислорода или их перерастяжением при использовании методики постоянного положительного давления (СИПАП).
- Респираторный дистресс-синдром. У недоношенных новорожденных наблюдается дефицит сурфактанта, вследствие чего нарушается растяжимость легких. Альвеолярные стенки менее устойчивы к механическому давлению, поэтому они зачастую разрываются.
- Врожденные заболевания легких. В группу риска входят младенцы с врожденной пневмонией, пороками развития бронхолегочной системы, поскольку у них нарушено анатомо-функциональное строение нижних дыхательных путей.
- Синдром аспирации мекония. При таком состоянии снижается выработка сурфактанта. Кроме того, возможна задержка воздуха в альвеолах на выдохе при неполной обструкции бронхов. Это вызывает перерастяжение альвеолярных стенок, которые из-за дефицита сурфактанта легко повреждаются.
Патогенез
Механизм утечки воздуха начинается с быстрого попадания или задержки в легочной ткани избыточного объема газа, который резко повышает внутриальвеолярное давление. Как следствие, тонкий эпителий легочной ткани разрывается у основания альвеол, а воздух проникает в интерстиций по периваскулярным пространствам — формируется интерстициальная эмфизема. Большие количества газа вызывают сдавление капилляров, нарушают кровоснабжение легких.
Когда воздух достигает корня легкого, у него есть несколько путей для дальнейшего распространения. При попадании газа в клетчатку средостения формируется пневмомедиастинум, в плевральную полость — пневмоторакс, в перикардиальную сумку — пневмоперикард. Сравнительно редко возможно появление утечки сквозь щели диафрагмы в полость брюшины, его скопление в мягких тканях в виде подкожной эмфиземы.
Симптомы
Синдром утечки воздуха не имеет патогномоничных клинических проявлений. Его признаки могут возникать и при других респираторных расстройствах периода новорожденности. Основным симптомом считается учащение дыхательных движений более 60 в минуту, что указывает на неадекватную работу системы внешнего дыхания. Также у младенца наблюдается шумное свистящее или «хрюкающее» дыхание, раздувание крыльев носа, втяжение податливых мест грудной клетки на вдохе.
При пневмомедиастинуме и пневмотораксе дополнительно заметны периоральный цианоз и акроцианоз, сердечные тоны приглушены. Для резкой утечки газа в полость плевры характерен обморок. Тяжелый пневмоперикард проявляется падением артериального давления, тахикардией, глухостью и нерегулярностью сердечных тонов. В рамках синдрома с подкожной эмфиземой неонатолог замечает одутловатость грудной клетки, крепитацию при пальпации.
Осложнения
Бессимптомные варианты синдрома протекают в неосложненной форме и, как правило, спонтанно редуцируются. Негативные последствия отмечаются у новорожденных с сопутствующими болезнями, факторами риска. Наиболее опасным считается пневмоперикард, который чреват тампонадой сердца, коллапсом и смертью. При пневмотораксе у 15% детей развивается стойкая легочная гипертензия, приводящая к сокращению легочного кровотока, шунтированию крови.
Диагностика
Обследование новорожденного начинают с осмотра кожных покровов, подсчета частоты дыхания, аускультации легких и сердца. Врач-неонатолог тщательно собирает информации о беременности, течении родов, выполнении медицинских манипуляций (особенно кислородотерапии) в первые часы жизни ребенка. Для подтверждения синдрома утечки требуются результаты лабораторно-инструментальных исследований, из которых обычно применяются:
- Рентгенография легких. При интерстициальной эмфиземе обнаруживаются кистообразные и линейные просветления в легких, у младенцев с пневмотораксом — скопление воздуха плевральной полости, сопровождающееся спадением легкого, смещением средостения в здоровую сторону. При пневмоперикарде виден ободок воздуха вокруг сердца.
- Рентгенография органов брюшной полости. Попадание большого объема газа в брюшную полость может вызвать напряжение стенки живота, что требует дифференцировки с острой хирургической патологией. При синдроме утечки воздух, скопившийся в верхних отделах брюшной полости, имеет вид участков просветления на снимке.
- УЗИ сердца. Подозрение на пневмоперикард, резкое ухудшение сердечной деятельности — показания к эхокардиографии. Исследование показывает тампонаду сердца, снижение сократительной способности, нарушения процессов дилатации. При необходимости для дообследования сердца снимается ЭКГ.
- Анализы крови. Характерные отклонения в гемограмме и анализе на глюкозу отсутствуют. При биохимическом исследовании выявляется ацидоз, возможно нарушение электролитного баланса. Анализ газового состава крови подтверждает гиперкапнию, гипоксемию.
Лечение синдрома утечки воздуха
В неонатологии подходы к лечению зависят от разновидности синдрома, степени его тяжести. При незначительной интерстициальной эмфиземе, а также небольших по объему утечках воздуха в полости тела специалисты предпочитают выжидательную тактику. У большинства новорожденных состояние стабилизируется спустя 1-2 дня без врачебного вмешательства. При более тяжелых вариантах синдрома назначаются:
- Терапия положением. Применяется при выраженной интерстициальной эмфиземе, заключается в укладывании младенца на пораженную сторону для уменьшения утечки воздуха. Поза на боку также способствует улучшению оксигенации здорового легкого.
- Плевральная пункция. Декомпрессия легкого путем удаления газа через иглу или катетер способствует быстрому восстановлению нормального внешнего дыхания, исчезновению одышки и цианоза. При массивном пневмотораксе устанавливают дренаж до нормализации состояния новорожденного.
- Перикардиальная пункция. При подозрении на сердечную тампонаду вследствие синдрома утечки немедленно удаляют воздух с помощью шприца с иглой под постоянным контролем УЗИ. У ребенка сразу же улучшается сердечная деятельность, нормализуется артериальное давление.
- Коррекция параметров ИВЛ. Детям, которым проводится кислородотерапия, необходимо постепенно снижать скорость потока кислорода и среднее давление в дыхательных путях. Для этого подбирают минимально возможные параметры ИВЛ, которые обеспечат нормальный газовый состав крови.
Прогноз и профилактика
При неосложненном течении синдрома происходит спонтанное разрешение симптоматики. Менее благоприятен прогноз у детей с факторами риска, находящихся на ИВЛ, у которых есть вероятность развития сердечно-легочной недостаточности, тампонады сердца. Профилактика синдрома утечки состоит в правильном выборе настроек аппарата ИВЛ для новорожденных, антенатальной охране плода для предупреждения врожденных заболеваний дыхательной системы.
2. Ведение новорожденных с респираторным дистресс-синдромом. Клинические рекомендации под редакцией академика РАН Н.Н. Володина. — 2016.
3. Синдром утечки воздуха при респираторной терапии у новорожденных с экстремально низкой массой тела/ О.Э. Миткинов, И.Е. Голуб// Российский вестник детской хирургии, анестезиологии и реаниматологии. — 2012.
Пневматоз кишечника
Пневматоз кишечника - патологический процесс, при котором в кишечной стенке формируются воздушные кисты. Заболевание проявляется схваткообразной разлитой болью и чувством распирания в животе. Возникает расстройство стула, тошнота, отрыжка, рвота. Диагностические мероприятия включают в себя осмотр гастроэнтеролога, проведение обзорной рентгенографии брюшной полости, ирригоскопии, колоноскопии. В зависимости от преобладающих симптомов при пневматозе назначают ветрогонные, спазмолитические, слабительные или противодиарейные препараты, диетическое питание с пониженным употреблением газообразующих продуктов.



Пневматоз кишечника - редкое заболевание ЖКТ, при котором кишечные газы проникают в толщу стенки органа и образуют в ней воздушные полости. Чаще патологический процесс локализуется в подслизистом или субсерозном слое толстой или тощей кишки. Заболевание может поражать людей всех возрастов, но преимущественно встречается у младенцев и пожилых людей ввиду пониженной физической активности и частых нарушений в работе пищеварительной системы. Размеры воздушных кист могут варьировать от 0,5 до 5 см в диаметре. По распространенности процесса пневматоз разделяют на ограниченный, затрагивающий одну область кишечника, и диффузный. Последний характеризуется равномерным распространением патологических образований по всей площади кишечного тракта.

Заболевание редко является самостоятельной патологией, чаще возникает на фоне первичного поражения ЖКТ. Основной причиной пневматоза является избыточное образование и длительное нахождение газов в кишечнике, возникающее в результате следующих состояний:
- Кишечные инфекции. При тяжелые инфекционных поражениях кишечника (дизентерия, холера, сальмонеллёз, пищевые токсикоинфекции) повышенное газообразование является следствием процесса брожения и выделения газообразных веществ патогенными микроорганизмами.
- Опухоли ЖКТ. В результате злокачественных и доброкачественных новообразований кишечника возникает сужение или закупорка его просвета, что приводит к кишечной непроходимости, избыточному скоплению газов и их проникновению внутрь кишечной стенки.
- Другие заболевания пищеварительного тракта. Атония, воспалительные заболевания кишечника (колит, энтероколит, болезнь Крона), наличие спаек между петлями органа способствуют нарушению утилизации образовавшегося газа и формированию пневматоза.
- Нездоровый образ жизни. Адинамия, нервные расстройства, потребление избыточного количества продуктов, вызывающих газообразование (капуста, хлеб и др.), могут приводить к нарушению пищеварения, метеоризму и формированию воздушных полостей в кишечной стенке.
Механизм образования патологических кист до конца не изучен. На сегодняшний день существует три теории формирования кишечного пневматоза: легочная, инфекционная и механическая. Согласно легочной теории, пневматоз возникает вследствие хронических заболеваний легких (бронхиальная астма, ХОБЛ). В результате постоянного кашля происходят микронадрывы альвеол, возникает пневмомедиастинум, который приводит к распространению воздуха в забрюшинное пространство. Оттуда свободный газ диффундирует в кишечную стенку и накапливается под серозной оболочкой. В соответствии с инфекционной теорией происхождения болезни, газы, которые выделяют бактерии, проникают в воспаленную стенку кишки и могут сливаться с образованием больших пузырей.
В гастроэнтерологии наибольшее признание получила механическая теория пневматоза. Согласно данной концепции, воздушные кисты кишечника возникают при первичной патологии ЖКТ (опухоль, энтероколит, стеноз) и врожденных дефектах кровеносных и лимфатических сосудов кишки. На фоне заболеваний ЖКТ происходит травматизация и истончение внутренней оболочки кишки. Газ под воздействием внутрикишечного давления проходит через микродефекты, попадает в подслизистые лимфатические сосуды и распространяется с помощью перистальтики в подслизистом слое кишечника. Кисты изнутри выстланы эпителием и могут содержать различные газы: азот, кислород, водород, аргон, двуокись углерода и др.

Симптомы пневматоза кишечника
Клиническая картина болезни зависит от степени распространения и количества газовых полостей. Пациенты предъявляют жалобы на чувство дискомфорта и тяжести в животе, нарушение отхождения газов (метеоризм). Появляются периодические схваткообразные абдоминальные боли без четкой локализации. Формирование воздушных кист приводит к замедлению перистальтики и возникновению запоров. Отсутствие стула сменяется диареей с примесью слизи. Возникает тошнота и рвота, отрыжка с неприятным запахом. Диффузное распространение пневматоза приводит к ухудшению общего состояния пациента: отмечается бледность кожных покровов, нарастает слабость, снижается АД, компенсаторно повышается ЧСС.
Увеличение внутрикишечного давления способствует изменению формы петель кишечника с формированием заворота или инвагинации. Рост количества пузырей или увеличение их размеров приводит к полной или частичной закупорке просвета органа с развитием обтурационной кишечной непроходимости. Обтурация сопровождается общей интоксикацией организма, что может привести к инфекционно-токсическому шоку и летальному исходу. Разрастание полостей способствует образованию кишечных спаек. Давление на стенку кишки приводит к нарушению ее питания, развитию ишемии и некроза. Омертвление участков органа и избыточное давление газов может вызывать разрывы кишечной стенки и проникновение содержимого кишки в брюшную полость. В этом случае возникает перитонит, а при отсутствии экстренных мероприятий - сепсис.
При ограниченном пневматозе кишечника ввиду отсутствия выраженной специфической симптоматики диагностика затруднительна. При возникновении болей, нарушении процесса пищеварения пациентам необходима консультация гастроэнтеролога. Специалист проводит комплексный осмотр, изучает анамнез заболевания и сопутствующую патологию, обращая особое внимание на болезни ЖКТ. В некоторых случаях при глубокой пальпации живота удается прощупать небольшие округлые образования, идущие вереницей вдоль кишечного тракта, напоминая гроздь винограда. Для установления диагноза проводятся следующие исследования:
- Обзорная рентгенография брюшной полости. Позволяет определить газовые пузыри различных размеров, расположенные цепочкой. Для пневматоза характерно наличие двойных кольцевидных теней в раздутых кишечных петлях.
- Ирригоскопия. При помощи данного метода определяется избыточный газ в увеличенных петлях толстого кишечника в виде нескольких близко расположенных округлых теней, разделенных стенкой. В ходе исследования можно обнаружить участки сужения просвета, патологические новообразования, изъязвления кишечной трубки.
- Колоноскопия. Эндоскопическое исследование позволяет визуализировать газовые пузырьки, оценить масштабы поражения и состояние слизистой оболочки ЖКТ. При необходимости эндоскопист проводит биопсию участка кишки для гистологического анализа.
Дифференциальная диагностика пневматоза проводится с неспецифическим колитом, пневмоперитонеумом, дивертикулами и дупликатурой кишечника. При полной обтурации исключают кишечную непроходимость другой этиологии.

Лечение пневматоза кишечника
Исходя из того, что патология развивается вторично, на фоне других заболеваний ЖКТ, в первую очередь необходимо устранить первопричину болезни. Тактика лечения пневматоза направлена на уменьшение вздутия живота и облегчение выхода газов естественным путем. Ввиду того, что после резекции пораженного участка кишки возникают частые рецидивы болезни, хирургическое удаление пузырей применяется крайне редко. Лечение заболевания проводится по следующим направлениям:
- Медикаментозная терапия. Включает назначение препаратов на основе фенхеля и симетикона, которые устраняют симптомы метеоризма. При боли и спазмах в животе применяют спазмолитики, при запоре - слабительные, при диарее - противодиарейные препараты. При замедлении перистальтики назначают прокинетки. Инфекционная природа болезни может потребовать использования антибактериальных препаратов.
- Диета. Грамотный рацион при пневматозе должен состоять из нежирной, свежей пищи. Рекомендовано употреблять супы, каши, постные виды птицы и рыбы. Из напитков следует отдать предпочтение морсу, некрепкому чаю, киселю. Блюда следует употреблять небольшими порциями 4-5 раз в сутки в свежем, вареном и тушеном виде. Необходимо исключить продукты, вызывающие повышенное газообразование: бобы, помидоры, капусту, яблоки, жаренную и копченую пищу, консервы, сладкую выпечку, хлебобулочные изделия, газированные напитки. Следует отказаться от употребления алкоголя.
Дополнительным методом лечения пневматоза является гипербарическая оксигенация (ГБО). В результате активного насыщения крови кислородом происходит снижение общего давления газов венозной крови, что может способствовать рассасыванию газовых пузырей. Оперативные методы лечения применяются при развитии осложнений (кишечной непроходимости, перитоните, инвагинации кишечника и др.).
При устранении первичного заболевания, проведении лечебных мероприятий и соблюдении диеты прогноз благоприятный. Образование больших или/и множественных газовых кист увеличивает риск развития осложнений (перитонит, кишечная непроходимость) и значительно ухудшает прогноз болезни. Профилактика пневматоза кишечника включает своевременную диагностику и лечение заболеваний ЖКТ, употребление в пищу свежей и качественной пищи. При наличии хронической патологи со стороны пищеварительной системы рекомендовано 1-2 раза в год проходить плановое УЗИ брюшной полости.
Читайте также:
