Значение чреспищеводной ЭхоКГ при опухоли сердца
Добавил пользователь Евгений Кузнецов Обновлено: 21.11.2025
Трёхмерная чреспищеводная эхокардиография (3D-ЧП ЭхоКГ) по сравнению с двухмерной позволяет получить наиболее полное представление о морфометрии отдельных структур и сердца в целом. Методика интраоперационной 3D ЧП ЭхоКГ незаменима при выполнении реконструктивных вмешательств у пациентов с митральной недостаточностью (МН), которая занимает второе место в структуре пороков сердца. Согласно рекомендациям Европейского общества кардиологов (ESC) и Европейской ассоциации кардиоторакальных хирургов (EACTS) 2017 года, именно реконструктивные операции на митральном клапане у пациентов с недостаточностью приобретают приоритетное значение. Безусловными преимуществами пластических операций являются низкий риск развития тромбоэмболий и эндокардита, лучшая отдалённая выживаемость и свобода от приёма антикоагулянтов. Успех хирургического лечения с использованием реконструктивного подхода во многом зависит от уровня и качества выполненных диагностических исследований.
Трёхмерная интраоперационная чреспищеводная эхокардиография позволяет в режиме реального времени проводить построение модели клапана, которая максимально сопоставима с видом клапана, каким его видит хирург в операционном поле («surgical view»), и детально оценить его анатомию, геометрию и функцию. На основании полученных данных хирург имеет объективную возможность определить тактику операции, объём и вид реконструкции клапана. После выполненной реконструкции незамедлительно оценить результат операции.
Представляем клинический случай использования интраоперационной чреспищеводной эхокардиографии с 3D режимом для определения тактики и оценки результатов операции у пациентки с выраженной недостаточностью митрального клапана.
Пациентка, 56 лет, поступила в отделение реконструктивной хирургии клапанов сердца и коронарных артерий ФГБУ «НМИЦ ССХ им. А.Н. Бакулева» Минздрава России с жалобами на одышку при умеренной физической нагрузке, сердцебиение. Из анамнеза: страдает ревматизмом с 15 лет. По данным трансторакальной эхокардиографии (ЭхоКГ) выявлена выраженная митральная недостаточность, дилатация левых отделов сердца.
На основании проведённого обследования поставлен диагноз: Ревматизм, неактивная фаза. Митральный порок сердца: выраженная недостаточность. Относительная умеренная недостаточность трикуспидального клапана. Дилатация левых камер сердца. Умеренная лёгочная гипертензия. ХСН 2А. ФК 3 по NYHA.
Была выполнена операция: Многокомпонентная реконструкция митрального клапана с ушиванием расщепления передней митральной створки, с аннулопластикой на опорном кольце; пластика трикуспидального клапана по de Vega, в условиях ИК, гипотермии и ФХКП. (хирург — директор Института коронарной и сосудистой хирургии ФГБУ «НМИЦ ССХ им. А.Н. Бакулева» МЗ РФ, профессор И.И. Скопин).
Данные интаоперационной 3D ЧП ЭхоКГ: Митральный клапан: ФК 44 мм, створки уплотнены, расщепление передней створки от свободного края до фиброзного кольца в сегменте А 2, движение створок разнонаправленное. Градиент давления максимальный — 6,2 мм рт.ст., средний 2,1 мм рт.ст. Регургитация выраженная: vena contracta - 0,9 см, площадь потока регургитации — 11,4 см², в непрерывноволновом допплеровском режиме плотный поток регургитации, радиус PISA — 1,0 см. Регургитация — эксцентричная, по боковой стенке ЛП.

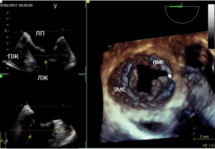
Рис. 1. Трёхмерная чреспищеводная эхокардиография. Среднепищеводный доступ. Трёхмерная реконструкция митрального клапана. (ЛП — левое предсердие, ЛЖ — левый желудочек, ПЖ— правый желудочек, ПМС — передняя митральная створка, ЗМС — задняя митральная створка). Расщепление передней митральной створки (белая стрелка).

Рис. 2. Чреспищеводная эхокардиография. Среднепищеводный доступ. Четырёхкамерная позиция. (ПП — правое предсердие). Площадь потока регургитации — 11,4 см².

Рис. 3. Чреспищеводная эхокардиография. Среднепищеводный доступ. Четырёхкамерная позиция. Vena contracta 0,9 см.
На основании дооперационной трансторакальной эхокардиографии планировалась имплантация опорного кольца и коррекция пролапса ПМС за счёт имплантации неохорд или транслокации хорд от задней митральной створки к передней. Данные интраоперационной трёхмерной ЧП ЭхоКГ позволили визуализировать расщепление передней створки митрального клапана и подтвердить дилатацию фиброзного кольца. Таким образом, тактика операции была изменена и выполнена пластика расщеплённой передней створки МК, имплантация опорного кольца Carpantier-Edwards №32, пластика трикуспидального клапана по de Vega.
После отключения искусственного кровообращения и стабилизации гемодинамики выполнено контрольное ЧП ЭхоКГ исследование. Показатели функционального состояния миокарда, клапанного аппарата были в норме.
В представленном клиническом случае больной с патологией митрального клапана - выраженной недостаточностью, в плановом порядке интраоперационно до основного этапа операции проведена чреспищеводная эхокардиография с построением в режиме реального времени трёхмерной модели клапана, позволившая детально оценить патологию и определить механизм формирования митральной недостаточности. С помощью трёхмерной реконструкции удалось диагностировать расщепление передней створки митрального клапана, определить точную локализацию патологии.
Полученные данные были подтверждены непосредственно в ходе операции при ревизии клапана и явились основанием выбора тактики хирургического вмешательства.
Эхокардиография (УЗИ сердца)
Медицинский редактор: Строкина О.А. - терапевт, врач функциональной диагностики.
Июль, 2019.
Синонимы: УЗИ сердца, эхокардиография, эхокардиоскопия, ЭХОКС, ЭХОКГ.
Эхокардиография - ультразвуковое исследование сердца, позволяющее провести оценку всех структур и функциональное состояние органа.
Обследование проводится врачом функциональной диагностики в амбулаторных или стационарных условиях в течение 15-30 минут, редко длительность доходит до 60 минут, но только в очень сложных случаях и совместно с консилиумом врачей.
Показания
Патологий, при которых необходимо провести эхокардиографию довольно много, и все они связаны так или иначе с дифференциальным диагнозом болезней сердца или аорты. К срочным показаниям для трансторакальной ЭХОКГ относятся:
- острые, колющие, режущие боли в области сердца, которые пациент ощущает впервые;
- давящие, сжимающие боли, возникшие в первый раз или усилившиеся по интенсивности и продолжительности;
- внезапно возникшая одышка.
Кроме того обязательно периодическое исследование сердца при его хронических заболеваниях и при наличии факторов риска:
- , в том числе стенокардия, развившийся ранее инфаркт миокарда; ;
- бактериальный эндокардит (воспаление внутренней оболочки сердца);
- пороки сердца - приобретенные и врожденные;
- протезированные клапаны;
- некоторые малые аномалии развития сердца (двустворчатый аортальный клапан, пролапс митрального клапана); ; ;
- опухоли сердца;
- заболевания аорты; ;
- шумы в сердце;
- нарушения ритма сердца;
- травмы грудной клетки;
- профессиональные занятия спортом.
Виды эхокардиографии
Ультразвуковое исследование сердца проводится разными способами:
Трансторакальная ЭХО-КГ

Фото: классическое положение тела при проведении обычного УЗИ сердца.
Через грудную клетку. Используются обычные ультразвуковые датчики небольшого размера, которые специалист прикладывает к коже. Это наиболее часто используемое в практике исследование из-за простоты самой процедуры и доступности оборудования.
Противопоказаний к трансторакальной ЭХО-КГ нет, однако обследование может быть затруднено в при невозможности проведения исследования на левом боку. Например при тяжелой степени сердечной недостаточности, когда пациент не в состоянии находиться в положении лежа из-за возникающей выраженной одышки. Также сложности возникают при наличии у больного заболеваний легких, которые увеличивают их воздушность (хроническая обструктивная болезнь легких - ХОБЛ) и тем самым препятствуют проникновению ультразвука до сердца. Также существуют и другие патологические состояния, которые могут усложнить обследование.
После трансторакального обследования в покое осложнений не бывает.
Стресс-эхокардиография
Это специфическая методика процедуры позволяющая оценить работу сердца в условиях повышенной активности человека. Для этого в начале проводят обычное трансторакальное исследование, а потом дают физическую нагрузку (приседания, велотренажер) или проводят фармакологическую пробу для имитации повышения физической активности. Первый вариант более предпочтителен, поскольку более физиологичен и вероятность проявления какой-либо нежелательной реакции минимальна. Естественно рядом с пациентом необходимо присутствие врача-реаниматолога и кардиолога, которые смогут адекватно и своевременно отреагировать на острые ситуации (выраженный болевой синдром в области сердца, шок, потеря сознания, остановка сердца, аритмии и т.д.).
При исследовании с физической нагрузкой или фармакологической пробой могут появиться:
- аллергия на лекарственный препарат;
- аритмия;
- боли в области сердца;
- потеря сознания;
- шок и др.
Перечисленные реакции возникают крайне редко и быстро купируются (излечиваются) при наличии рядом реаниматолога или кардиолога.
Черспищеводная ЭХО-КГ (ЧПЭХО)
Процедура похожа на ФГДС - используется специальный эндоскоп с ультразвуковым датчиком на конце, который доктор вводит через рот до уровня сердца (на эндоскопе присутствуют специальные отметки с расстоянием). Датчик прижимается к стенке пищевода и изображение органа появляется на экране монитора аппарата. Этот вид обследования проводится реже, так как это более сложная технология, предусматривающая использование отдельного датчика с эндоскопом и специально обученного специалиста функциональной диагностики и медицинской сестры.
ЧПЭХО проводят, когда нет возможности провести трансторакальное исследование: выраженная подкожно жировая клетчатка, серьезные легочные заболевания, или просто в силу конституции человека легкие большей частью прикрывают сердце. Кроме того доступ через пищевод позволяет с большей точностью выявить дефекты межжелудочковой и межпредсердной перегородок, а также обнаружить тромб в ушке левого предсердия, которое не визуализируется при трансторакальном доступе. Такая процедура обязательна к проведению перед лечением (электроимпульсная терапия - восстановление ритма с помощью небольшого разряда дефибриллятора) определенных видов аритмий.
Из-за большей инвазивности ЧПЭХО для его проведения существует ряд противопоказаний:
- крайне тяжелое состояние пациента;
- заболевания пищевода - злокачественные новообразования, стриктуры (сужения), дивертикулы, варикозное расширение вен пищевода, эзофагит 1 .
Во время ЧПЭХО осложнения также крайне редки и связаны в первую очередь с введением эндоскопа. К таковым относятся перфорация пищевода или повреждение его стенки и голосовых связок. Кроме того возможно появление аритмии.

Фото: схема проведения чреспищеводного УЗИ с контрастом
ЭХО-КГ с контрастом (контрастное УЗИ сердца)
Также выделяют эхокардиографию с контрастированием правых камер сердца с использованием обычного физиологического раствора в качестве контрастного вещества и контрастное УЗИ всего сердца с помощью инновационного препарата SonoVue (Соновью). Этот препарат представляет собой микропузырьки с газообразным содержимым. Благодаря свойству ультразвука отражаться от границы сред с разной плотностью (наибольшая разница плотности на границе ткань-газ), контраст “светится”. Такая методика появилась сравнительно недавно и позволяет:
- более четко определить размеры полостей сердца,
- выявить с большей точностью минимальные дефекты перегородок и другие пороки сердца;
- более точно определить функцию левого желудочка за счет проникновения контраста внутрь сердечной мышцы.
ЭХО-КС с контрастированием используется и при доступе через грудную клетку, и через пищевод.
УЗИ с контрастом обычно проводится для диагностики пороков сердца и для подтверждения разрыва миокарда.
Проведение эхокардиографии с контрастированием противопоказано при:
- остром коронарном синдроме;
- нестабильной стенокардии;
- инфаркте миокарда в острой стадии;
- острой сердечной недостаточности III-IV степени;
- тяжелой легочной гипертензии;
- острых стадиях неврологических заболеваний;
- неконтролируемой артериальной гипертензии;
- нахождении пациента на ИВЛ;
- беременности и грудном вскармливании;
- аллергии на компоненты контрастного вещества.
Осложнения при контрастировании ограничиваются локальными реакциями в месте введения препарата в вену или артерию и теоретически непереносимостью препарата. Основную опасность при исследовании с контрастированием представляет то, что его чаще проводят в совокупности с физической нагрузкой или фармакологической пробой, соответственно и осложнения те же.
Как проводится УЗИ сердца
Во время эхокардиоскопии доктор использует различные режимы УЗ аппарата:
- одномерный (М-режим),
- двумерный (В-режим),
- режим допплера (оценка скорости потоков крови в камерах и сосудах),
- цветового допплера - ЦДК (для определения направления потоков крови и выявления патологических),
- энергетический допплер (регистрирует сам факт наличия кровотока в сосудах),
- тканевой допплер (более глубокая оценка сократимости миокарда, основанная на исследовании характера движения стенок от датчика и к нему),
- 3D-эхокардиография (максимальную пользу приносит перед операциями на клапанах - они практически полностью визуализируются до вмешательства, что важно для определения тактики хирургом).
Трансторакальное УЗИ
Эхокардиография через грудную клетку проводится в кабинете ультразвуковой или функциональной диагностики. Иногда в стационаре из-за тяжести пациента и невозможности транспортировки для его обследования используют переносной аппарат УЗИ. Медсестра или врач просят больного раздеться сверху до пояса, в том числе необходимо снять нижнее белье женщинам. Далее пациенту необходимо лечь на кушетку на левый бок и положить левую руку под голову. При этом головной конец кушетки немного приподнят - так достигается максимальное расстояние межреберных промежутков для лучшей визуализации сердца.
Положение больного по отношению к врачу может быть различное, все зависит от предпочтений последнего и обустройства кабинета. Пациент может быть повернут лицом или спиной к доктору, головой к аппарату или от него.
Специалист смазывает датчик УЗ-проводящим гелем для лучшего контакта с кожей, прикладывает его к левой части грудной клетки, визуализирует сердце, выводя стандартные позиции его для произведения измерений.
Чреспищеводное ЭХОКГ
Чреспищеводное ЭХО проводится строго натощак в кабинете УЗИ или функциональной диагностики. Берут согласие пациента на проведение исследования, объяснив перед этим всю его суть и ход событий. Горло орошают лидокаином с помощью спрея, просят удалить зубные протезы и лечь на кушетку на левый бок, согнув ноги в коленях и положив руки под щеку или на живот. В рот вставляется загубник, чтобы пациент не прикусил зонд. Затем врач вводит эндоскоп. В начале просит больного совершить глотательные движения для более легкого продвижения аппарата. Доведя до определенной позиции, врач начинает само обследование. Оно длится 10-20 минут.
ЭХОКГ с контрастом
При использовании контрастного вещества его вводит в одну из вен или артерий на бедре - зависит от вида препарата и цели исследования. При этом УЗ датчик остается на пациенте, чтобы вовремя зарегистрировать все данные и провести измерения.
Расшифровка результатов
Во время исследования врач оценивает линейные размеры и объемы камер сердца, локальную и общую (фракция выброса) сократимость и скорость кровотока через клапаны, в сосудах.
| Показатель | Значение для женщин | Значение для мужчин | ||||||
|---|---|---|---|---|---|---|---|---|
| норма | незначительное нарушение | умеренное нарушение | значительное нарушение | норма | незначительное нарушение | умеренное нарушение | значительное нарушение | |
| Толщина межжелудочковой перегородки | 6-9 мм | 10-12 мм | 13-15 мм | более 16 мм | 6-10 мм | 11-13 мм | 14-16 мм | более 17 мм |
| Толщина задней стенки левого желудочка | 6-9 мм | 10-12 мм | 13-15 мм | более 16 мм | 6-10 мм | 11-13 мм | 14-16 мм | более 17 мм |
| Масса миокарда левдого желудочка (ММЛЖ) | 66-150 г | 151-171 г | 172-192 г | более 193 г | 66-150 г | 151-171 г | 172-192 г | более 193 г |
| Индекс ММЛЖ (более значимый показатель - учитывает рост пациента) | 43-95 г/м2 | 96-108 г/м2 | 109-121 г/м2 | более 122 г/м2 | 49-115 г/м2 | 116-131 г/м2 | 132-148 г/м2 | более 149 г/м2 |
| Фракция выброса | более 55% | 45-54% | 30-44% | менее 30% | более 55% | 45-54% | 30-44% | менее 30% |
| Сократимость | не нарушена | |||||||
В заключении пациент может обнаружить следующие термины:
- акинез - отсутствие сокращения мышцы\стенки;
- гипокинез - минимальное сокращение;
- дискинез - асинхронность сокращений стенок;
- гипертрофия - утолщение;
- диастолическая дисфункция - нарушение расслабления сердечной мышцы;
- систолическая дисфункция - нарушение сократительной способности миокарда;
- дилатация - расширение полости.
Что показывает ЭХОКГ
В процессе проведения процедуры врач проводит структурную визуализацию и гемодинамическую (допплерография) 3 .
Структурная визуализация включает:
- Визуализация перикарда (например, для исключения перикардиального выпота);
- Визуализация левого или правого желудочка и их полостей (для оценки гипертрофии желудочков, аномалии движения стенок, а также для визуализации тромбов);
- Визуализация клапанов (митральный стеноз, стеноз аорты, пролапс митрального клапана);
- Визуализация магистральных сосудов (рассечение аорты);
- Визуализация предсердий и перегородок между камерами сердца (врожденный порок сердца, травматические повреждения).
- Визуализация кровотока через сердечные клапаны (клапанный стеноз и регургитация)
- Визуализация кровотока через камеры сердца (расчет сердечного выброса, оценка диастолической и систолической функции сердца)
ЭХОКГ при сердечной недостаточности
- Дает возможность определить причины развития хронической формы (ХСН)
- Фракция выброса левого желудочка:
- снижена (систолическая ХСН);
- нормальная (диастолическая ХСН).
ЭХОКГ при нарушениях ритма сердца
Важно! Тахикардия затрудняет проведение исследования и точность оценки полученных результатов.
Используется трансторакальная ЭХОКГ и ЧП ЭХОКГ.
- Размеры полостей сердца, особенно предсердий
- Наличие тромбов
- Оценка фракции выброса не всегда достоверна
ЭХОКГ для оценки состояния онкологических больных
Поражение сердца у онкологических больных:
- опухолевая интоксикация;
- кардиотоксичность химиопрепаратов;
- кардиотоксичность лучевой терапии.
Показания к специализированной эхокардиографии для определения кардиотоксичности:
- всем пациентам с онкологическими заболеваниями перед началом лечения;
- получающим химиотерапию или лучевую терапию (после каждого курса);
- получавшим в прошлом химиотерапию или лучевую терапию (регулярность зависит от схемы лечения).
Сравнительная характеристика ЭХОКГ с другими методами
Эхокардиография несмотря на свою огромную пользу остается все-таки субъективным методом. Врачами по-разному проводятся измерения и трактуются некоторые показатели. Порой одной ЭХО-КГ бывает недостаточно или провести ее невозможно в силу каких-либо причин. Тогда на помощь придут другие методики исследования сердца:
- Электрокардиограмма - самый простой способ выявить сердечные проблемы. Аппаратами ЭКГ оснащены все лечебно-профилактические учреждения страны и машины скорой помощи. ЭКГ выявляет нарушения ритма и дает вероятную характеристику локальной сократимости (изменения при инфаркте миокарда), однако при ЭХО-КГ все может выглядеть совершенно по-другому.
- Рентгенография органов грудной клетки позволяет определить границы сердца и выявить кардиомегалию. Для точной диагностики причин необходима визуализация органа. используется для уточнения данных эхокардиографии, изучения морфологии, функций сердечных камер, клапанов. Сейчас она все больше используется для диагностики некоронарогенных болезней миокарда, различных кардиомиопатий.
- Компьютерная томография с контрастированием очень эффективна при исследовании коронарных артерий. Ее стоимость меньше КАГ (коронароангиография) Также можно определить все размеры и объемы сердца, но не даст возможности видеть его работу в реальном времени.
- Коронарная ангиография (КАГ) - “золотой стандарт” в исследовании коронарных артерий с помощью контрастного вещества с выявлением стенозов и последующим возможным их стентированием (способ расширения просвета сосуда). Ее недостатки - очень высокая стоимость и инвазивность процедуры.
- Позитронно-эмиссионная томография - редкое исследование с введением радиофармпрепарата. Прекрасно визуализирует участки с недостаточным кровоснабжением (ишемия) миокарда
Эхокардиография является основным и самым доступным методом визуализации сердца, позволяющим поставить точный диагноз, своевременное лечение, а также оценить его эффективность. Несмотря на субъективность метода, при постоянном обучении, повышении квалификации, обмене опытом с коллегами специалист повышает свою грамотность в обследовании и сводит к минимуму возможность ошибок.
Эхокардиография не стоит на месте. Продолжаются попытки дополнить метод все новыми возможностями визуализации, некоторые из них позволяют максимально объективно проводить исследования и минимизировать различия толкования между разными специалистами.
- Саидова М.А. Чреспищеводная эхокардиография: показания, техника проведения. - Болезни сердца и сосудов, №4 2007. Marwick T.H., пер. с англ.: к.м.н. Крикунова П.В. Рекомендации по применению эхокардиографии при артериальной гипертензии у взрослых: отчет Европейской ассоциации по сердечно-сосудистой визуализации (EACVI) и Американского эхокардиографического общества (ASE). Системные гипертензии. №2 2017. Ishak A Mansi, MD. Echocardiography. - Medscape, Jan 2014.
Важно! Все материалы носят справочный характер и ни в коей мере не являются альтернативой очной консультации специалиста.
Этот сайт использует cookie-файлы для идентификации посетителей сайта: Google analytics, Yandex metrika, Google Adsense. Если для вас это неприемлемо, пожалуйста, откройте эту страницу в анонимном режиме.
Чреспищеводная эхокардиография
Чреспищеводная эхокардиография (ЧПЭхоКГ) - метод ультразвуковой диагностики сердца с использованием специального датчика, вводимого через пищевод.
Позволяет улучшить «ультразвуковое окно» и дает возможность значительно лучшей визуализации мелких структур сердца из чреспищеводного доступа.
Чреспищеводная эхокардиография применяется в клинической практике достаточно широко, она используется во всех случаях, когда разрешающая способность трансторакальной зхокардиографии не позволяет поставить точный диагноз, детально изучить анатомию различных внутрисердечных структур и оценить внутрисердечную гемодинамику.
Основные показания к проведению ЧПЭхоКГ:
диагностика внутрисердечных тромбозов (источника эмболий);
инфекционный эндокардит (чувствительность ЧПЭхоКГ в диагностике вегетаций приближается к 100% по мнению большинства исследователей);
диссекция (расслоение) аорты, аневризма аорты;
диагностика митральной регургитации и оценка клапанных протезов. См. подробнее ЧПЭхоКГ с функцией MVQ (mitral valve quatfification).
Противопоказаниями являются заболевания пищевода: злокачественные новообразования, дивертикул пищевода, фистулы, стриктуры, варикозное расширение вен пищевода, воспалительные заболевания пищевода, кровотечение из верхней части желудочно-кишечного тракта.
Осложнения
За четыре десятка лет существования ЧПЭхоКГ признана безопасным методом диагностики. Серьезные осложнения, связанные непосредственно с исследованием, встречаются менее чем в 3% случаев, летальные исходы фиксируются по данным разных авторов в 0,01 - 0,03%. Среди возможных осложнений в литературе в виде единичных случаев перечисляются травмы глотки или трахеи, кровотечение из вен пищевода, перфорация пищевода, транзиторная бактериемия, нестабильность гемодинамики, нарушения ритма.
Как подготовиться к ЧПЭхоКГ
Обязательным условием для проведения ЧПЭхоКГ является 6-часовое голодание перед исследованием. Следует отказаться от воды за 3 часа. Съемные зубные протезы (в случае их наличия) должны быть удалены.
Методика выполнения ЧПЭхоКГ
Для уменьшения рвотного рефлекса производят поверхностную анестезию глотки. После в пищевод вводится датчик, расположенный на гибком зонде (методика схожа с гастроскопией). Во время исследования пациент находится в положении на левом боку лицом к врачу, проводящему исследование. Правое колено пациента согнуто и располагается спереди от левой ноги, голова слегка наклонена вперед. Для защиты датчика от перекуса используют загубник. Датчик перед введением обрабатывают ультразвуковым гелем. Введение датчика в пищевод проводится врачом. Датчик располагается в средней части пищевода на уровне сердца. Отсутствие преград для ультразвука и малое расстояние до структур сердца позволяет в разы повысить разрешающую способность исследования и получить информацию, недоступную при трансторакальном исследовании. Исследование длится 5 - 15 минут, что зависит от объема требуемой информации.
Общее время нахождения датчика в пищеводе обычно не превышает 7-12 минут.
Чреспищеводная
эхокардиографияЧреспищеводная эхокардиография - расширенное ультразвуковое исследование сердца, которое проводится после стандартной эхокардиографии для более детального изучения строения органа.
В МЕДСИ это исследование проводится на современном оборудовании высококвалифицированными специалистами с многолетним опытом работы в функциональной диагностике и кардиологии. Процедура позволяет получить максимальный объем исчерпывающей диагностической информации о состоянии и патологических изменениях сердца.
Детальное описание
Для чего проводится чреспищеводная эхокардиография?
Во время процедуры датчик, испускающий ультразвук, располагается в пищеводе. Это гораздо ближе к структурам сердца, которые труднодоступны для оценки при обычной эхокардиографии с чрескожным датчиком. Только чреспищеводная ЭХО-КГ позволяет увидеть тромбы в ушках левого предсердия. При ее помощи можно получить гораздо больше информации об опухолях сердца и образованиях на клапанах, чем при стандартном УЗИ (ДЭХО-КГ). Исследование точнее определяет плотность прикрепления тромбов, что позволяет определить крайне важный прогностический показатель - риск их отрыва.
Также процедура дает сведения о:
- Толщине стенок сердца
- Объеме сердечных камер
- Состоянии сосочковых мышц
- Наличии хорд внутри желудочков
- Состоянии створок клапанов
- Диаметре и состоянии сосудов, отходящих от камер сердца
- Функциональных показателях движения крови внутри сердца и в сосудах
- Изменениях стенок сердца, клапанов и других органических структур сердца во время его сокращений
Показания и противопоказания
Процедура проводится только по рекомендации врача-кардиолога, если ему необходимо больше узнать о состоянии сердца, клапанов или крупных сосудов пациента.
Основные показания к лечению:
- Расслоение аорты
- Тромбы в полостях сердца
- Объемные образования стенок сердца
- Патология клапанов (клапанная регургитация, пороки)
- Инфекционный эндокардит
- Определение состояния сердца после протезирования клапанов
- Патология межпредсердной, межжелудочковой перегородки
- Аневризмы сердца (аорты, стенок, перегородок)
- Открытое овальное окно
- Шумы в сердце
- Перенесенный инфаркт миокарда
Процедура противопоказана при:
- Патологии пищевода, которая мешает правильному введению и расположению датчиков (пищеводные кровотечения, сужение пищевода, дивертикулы, образования стенок пищевода, эзофагит, варикозное расширение вен пищевода)
- Патологии свертываемости крови
- Общем тяжелом состоянии пациента
- Инфекционно-воспалительных заболеваниях
- Недавно перенесенных острых сердечно-сосудистых заболеваниях или высоком риске их появления
Описание процедуры
Перед исследованием нужно пройти подготовку:
- В течение 3 месяцев до процедуры сдать анализы крови на ВИЧ, вирусные гепатиты, сифилис
- В течение месяца до эхокардиографии пройти эзофагогастродуоденоскопию, чтобы убедиться в отсутствии заболеваний пищевода
- Перед процедурой 6-8 часов не принимать пищу
Исследование проводится в кабинете эхокардиографии. Пациенту проводят обезболивание глотки раствором лидокаина, который снижает чувствительность слизистой. В рот вставляют загубник, через него в пищевод проводят датчик и устанавливают его на уровне предсердий. Далее врач последовательно изучает и описывает структуры сердца. Изменения также регистрируются на видео и снимках.
Пациенту на протяжении процедуры рекомендуется оставаться неподвижным и дышать через нос. Во время ее проведения возможен небольшой дискомфорт за грудиной, но в большинстве случаев он достаточно быстро проходит.
Длительность исследования составляет от 10 до 20 минут.
Результат
По результатам исследования врач составляет заключение. Чреспищеводная эхокардиография проводится без анатомических помех (датчик располагается почти вплотную к сердцу), поэтому полученные данные максимально развернутые и точные.
Преимущества чреспищеводной эхокардиографии в МЕДСИ
- Все специалисты прошли специальное обучение проведению чреспищеводной эхокардиографии
- К выполнению процедуры допускаются только те врачи, которые имеют наиболее богатый опыт и регулярную практику эхокардиографии, то есть выполняют эту процедуру максимально профессионально, бережно и быстро
- Оборудование для исследования стерилизуется перед каждым использованием согласно стандартам, расходные материалы - одноразовые
Чтобы больше узнать о возможностях чреспищеводного исследования, уточнить цены или записаться на прием к кардиологу, звоните: .
УЗИ сердца - Эхокардиография
Эхокардиография (ЭхоКГ) — один из наиболее информативных, безопасных, безболезненных и неинвазивных методов исследования структуры и функции сердца. Исследование основано на анализе отражения ультразвуковых волн от тканей сердца и крови. Метод является обязательным при обследовании пациента с сердечно-сосудистой патологией.
Отделение ультразвуковой диагностики НМИЦ ССХ им. А.Н. Бакулева выполняет весь спектр современных эхокардиографических исследований:
Комплексную трансторакальную эхокардиографию с использованием М- и В- допплеровских режимов, ЦДК, тканевой допплерографии
Трехмерную чреспищеводную эхокардиографию
Оценку деформации миокрада методом Speckle Tracking Echocardiography
Показания к эхокардиографии:
Подозрение на наличие врожденного или приобретенного порока сердца
Шум неясной этиологии
Изменения на ЭКГ ишемического характера
Перенесенный инфаркт миокарда
Регулярная физическая нагрузка
Нарушения ритма сердца
Оценка функции механических и биологических протезов клапанов сердца
Противопоказания:
Эхокардиографию сердца можно проводить любому пациенту, т.к. ультразвук не оказывает вредного воздействия на организм и не нарушает работу имплантированных устройств. Трансторакальная эхокардиография практически не имеет противопоказаний, кроме значимого повреждения кожи в исследуемой области.
Методика проведения трансторакальной эхокардиографии
Пациент снимает верхнюю одежду и ложится на кушетку на левый бок или на спину. На зону исследуемой области наносится водорастворимый, проводящий ультразвук, гель. С помощью датчика происходит сканирование. В процессе исследования возможно изменение положение тела для лучшей визуализации. После исследования гель с тела удаляется салфеткой. Заключение пациент получает сразу после исследования. Для некоторых видов исследования проводится одновременная регистрация ЭКГ.
Подготовка
Трансторакальная эхокардиография не требует специальной подготовки.
Оборудование:
Кабинеты эхокардиографии в НКО оборудованы современными аппаратами экспертного класса с необходимым пакетом программ исследования:
Читайте также:
- Физическая активность и диета при хронической сердечной недостаточности. Водный баланс при хронической сердечной недостаточности
- Механизм репарации ДНК и ее модель
- Техника эндоскопической операции при хроническом отите
- Характеристика производственной вибрации. Поражение внутреннего уха вибрацией
- Синдром Шерешевского—Тернера у мужчин. Ложный мужской гермафродитизм
