Зубной налет. Состав зубного налета
Добавил пользователь Владимир З. Обновлено: 21.01.2026
Что такое зубной камень? Причины возникновения, диагностику и методы лечения разберем в статье доктора Сафроновой Евгении Леонидовны, стоматолога со стажем в 6 лет.
Над статьей доктора Сафроновой Евгении Леонидовны работали литературный редактор Юлия Липовская , научный редактор Сергей Федосов и шеф-редактор Лада Родчанина
Определение болезни. Причины заболевания
Зубной камень — это отвердевший зубной налёт, минерализованная бактериальная бляшка (биоплёнка). Она образуется на поверхности зубов из остатков пищи, погибших микроорганизмов, солей кальция, фосфора и железа.
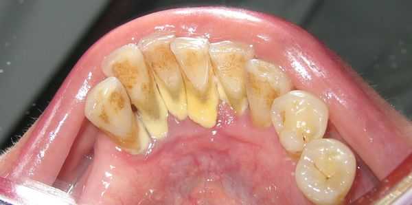
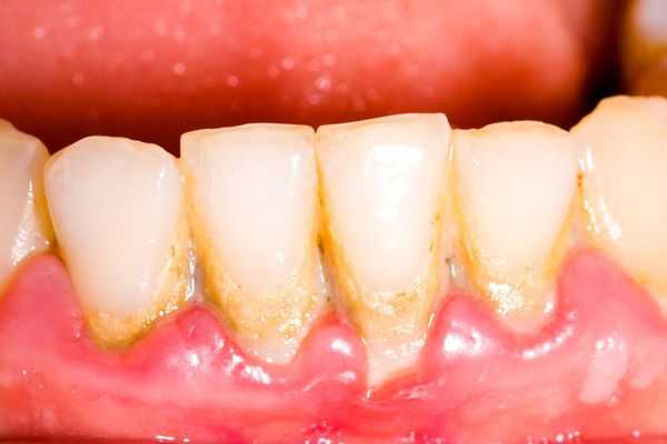
Этот вид зубных отложений обнаруживается при осмотре примерно у 80-90 % пациентов [14] [15] . Чаще всего зубной камень образуется на нижних резцах. Эти отложения имеют жёлтый или коричневый оттенок.
Если зубной камень расположен над десной, пациент может увидеть его самостоятельно невооружённым глазом. Камень, расположенный внутри десны, сможет обнаружить только врач-стоматолог при помощи специальных инструментов.

Главная причина образования зубного камня — плохая гигиена полости рта. Во время еды на зубах образуется мягкий зубной налёт, скапливаются остатки пищи, которые создают почву для развития бактерий. Лучше всего бактерии "растут" на легко усваиваемых углеводах, которые содержатся в мучных и сладких продуктах.
Мягкий зубной налёт (зубная бляшка, или микробная биоплёнка) интенсивнее всего скапливается там, где зубы не самоочищаются от пищи в процессе жевания. Зубной налёт со временем пропитывается минеральными компонентами и затвердевает.
Зубной налёт начинается активно образовываться после каждого приёма пищи. Микроорганизмы прикрепляются к поверхности зуба и создают довольно стабильную зубную бляшку. Бактерии размножаются, зубная бляшка растёт и опускается всё ниже в десневую бороздку. Со временем бляшка уплотняется и приобретает желтоватый цвет. По мере затвердевания доступ кислорода внутрь отложений прекращается, что способствует ещё большему размножению анаэробных бактерий.
Зубной налёт может появится на любом зубе, но более стойкие формы он приобретает рядом с большими слюнными железами, которые расположены у центральной группы нижних зубов под языком. Слюна содержит минеральные вещества, которые воздействуют на налёт. Постепенно он темнеет, становится более плотным и трансформируется в зубной камень, который уже невозможно очистить зубной щёткой.
У появления зубного налёта несколько причин:
- нерегулярная или недостаточно тщательная чистка зубов;
- обилие мягкой пищи в рационе;
- нарушение обмена веществ и солевого баланса в организме;
- неправильное положение зубов;
- наличие пломб, брекетов.
Причины образования зубных камней у детей
Образование зубного камня на молочных зубах встречается очень редко. Появлению зубного камня у детей и подростков могут способствовать хронические заболевания почек и анатомические особенности строения зубочелюстной системы [17] [18] .
При обнаружении схожих симптомов проконсультируйтесь у врача. Не занимайтесь самолечением - это опасно для вашего здоровья!
Симптомы зубного камня
Симптомы при наличии зубного камня связаны с процессом воспаления дёсен. Сами по себе отложения не вызывают болезненных ощущений, но когда зубной камень формируется в больших количествах и начинает травмировать дёсны, у пациента появляются жалобы.
Наличие зубного камня можно определить по следующим признакам:
- Неприятный запах изо рта из-за жизнедеятельности микроорганизмов, скапливающихся на зубах, — они производят летучие соединения серы с характерным запахом.
- Гиперемия и отёчность дёсен. Десны ярко-красного цвета, зубодёсневые сосочки увеличены в размерах и могут закрывать часть коронки зуба.
- Кровоточивость, которая чаще всего возникает при чистке зубов или когда пациент использует зубную нить. В более тяжёлых случаях дёсны начинают кровоточить при приёме пищи. Этот симптом иногда сопровождается болью в дёснах.
- Повышенная чувствительность отдельных зубов, связанная с процессом рецессии десны зубов. Из-за уменьшения тканей десны зубной корень оголяется, и зуб становится более восприимчивым к воздействиям и разной температуре пищи.
- Неудовлетворительная эстетика, наличие плотных тёмно-коричневых и желтоватых отложений. Наличие зубного камня значительно сказывается на виде улыбки и белизне зубов [3] .
Патогенез зубного камня
Зубная бляшка формируется, когда микроорганизмы прикрепляются к поверхности зуба. На зубах через несколько минут после приёма пищи начинается формирование плёнки (пелликулы), которая состоит из гликопротеинов слюны.
Через 4 часа в состав пелликулы добавляются бактерии стрептококки (Spreptococcus mitis, S.sanguis, S.anguis). Далее прикрепляются актиномицеты. На 2-4 день снижается количество стрептококков, увеличивается количество анаэробных бактерий. Через неделю присоединяются спирохеты и подвижные палочки.
Зубная бляшка завтердевает за счёт минералов, которые содержатся в слюне или десневой жидкости. Скорость минерализации зубной бляшки отличается у разных людей. У кого-то зубной камень образуется быстро, у кого-то с умеренной скоростью. У незначительного количества людей зубной камень не формируется вообще.
Также появлению зубного камня способствуют ортодонтические проблемы, такие как скученность зубов или поворот зубов по своей оси. Такие особенности создают благоприятные условия для минерализации — из-за неправильного расположения зубы тяжелее очищать от мягкого налёта [5] [8] [11] .
Классификация и стадии развития зубного камня
Зубной камень образуется из неорганического и органического компонента. В минеральную составляющую входит фосфат кальция, карбонат кальция, фосфат магния и другие металлы. Органический компонент содержит смесь белково-полисахаридный комплекса, эпителий, лейкоциты и микроорганизмы.
Зубной камень по локализации делится:
- наддесневой: расположен выше уровня десны. Чаще всего образуется в области передних нижних зубов, а также верхних первых моляров;
- поддесневой: расположен ниже уровня десны в пародонтальном кармане на поверхности корня зуба;
- каменный мост: твёрдый налёт охватывает поверхность нескольких зубов, расположенных рядом.
Зубной камень формируется в несколько стадий:
- Накопление минеральных компонентов и начальный рост кристаллов.
- Рост и совершенствование кристаллов.
- Насыщение кристаллов.
Зубные отложения на начальной стадии представляют собой мягкий зубной налёт, а на второй и третьей — зубной камень. На формирование твёрдого зубного камня уходит от нескольких месяцев до полугода.
Выделяют четыре вида прикрепления зубного камня к поверхности зуба:
- при помощи органической пелликулы на цементе (на специфической костной ткани, покрывающей корень и шейку зуба);
- при помощи органической пелликулы на эмали;
- фиксация на неровных поверхностях, например, на кариозном поражении или на месте разрушения костной ткани (лакунарной резорбции);
- тесная адаптация нижней поверхности камня к впадинам или выступам неповрежденной поверхности цемента и проникновения бактериального налёта в цемент [2][6] .
Осложнения зубного камня
Активное нарастание зубных камней в будущем обязательно приводит к воспалительным заболеваниям пародонта — сначала к гингивиту, а потом к пародонтиту.
Гингивит — это заболевание дёсен, которому сопутствует воспаление, отёчность и кровоточивость дёсен. Пациенты жалуются на неприятный запах изо рта, наличие зубных камней, налёт, появление крови при чистке зубов и во время приёма пищи. Гингивит образуется за счёт ферментатов и токсинов, выделяемых патогенными бактериями зубного налёта. При обследовании обнаруживаются зубные отложения, десна отёчные, кровоточат при зондировании, патологический зубодесневой карман отсутствует.

Прогрессирование гингивита в конечном счёте приводит к пародонтиту. При пародонтите в процесс воспаления вовлекается не только десна, но и костная ткань вокруг зуба. К типичным симптомам гингивита добавляются поддесневые зубные отложения, формирование патологических зубодесневых карманов глубиной 3-7 мм. На рентгенологическом исследовании обнаруживается уменьшение костной ткани в области межзубных перегородок.
При отсутствии лечения пародонтит может привезти к потере не только костной ткани, но и самих зубов.
Микробная биоплёнка, длительно существующая в полости рта, оказывает влияние не только на пародонт, но и на внутренние органы. В одном из исследований в Швеции, которое проводилось с 1985 по 2011 годы выяснилось, что риск возникновения сердечно-сосудистых заболеваний (в данном случае внимание заострялось на инфаркте миокарда) повышается при наличии зубного камня у больных [12] .
Зубной камень способствует развитию заболеваний дёсен, но не вызывает кариес и его осложнения. Как показывают клинические наблюдения, в тех местах, где располагается минерализованный налёт, как правило, нет кариеса [7] [12] .

Диагностика зубного камня
Диагностика зубного камня обычно не требует специфических видов исследования. Он обнаруживается в полости рта при осмотре и инструментальном обследовании.
При наличии зубного камня у пациентов во время осмотра обнаруживаются пять признаков воспаления пародонта:
- покраснение десны;
- отёчность десны;
- повышенная температура в области воспаленных тканей;
- боль при агрессивных процессах, например при язвенно-некротическом гингивите;
- подвижность зуба.
Наддесневой зубной камень располагается над десневым краем и хорошо визуализируется в полости рта при осмотре. Это белое или бело-жёлтое образование твёрдой глиноподобной консистенции. При зондировании достаточно легко отделяется от поверхности зуба.
Наддесневой зубной камень часто образуется в щёчных поверхностях верхних моляров и язычных поверхностях нижних передних зубов, потому как именно здесь скапливается больше всего слюны.
Поддесневой зубной камень располагается ниже уровня десневого края и может быть незаметен при обычном осмотре. Наличие таких зубных отложений определяют при помощи пародонтологического зонда. Также камень можно увидеть на рентгенологическом снимке ротовой полости. Поддесневой зубной камень имеет чёрный или тёмно-коричневый цвет, чаще всего он плотно прикреплён к поверхности зуба. Поддесневой камень опасен своим расположением — его наличие говорит о том, что десна уже начала отходить от зуба, и появился патологический зубодесневой карман.
Помимо обнаружения десневого камня при диагностике осматривается зубодесневое прикрепление. Если его нет, стоматолог определяет глубину патологического кармана.
При зондировании десневой борозды чаще всего появляется кровоточивость дёсен, что указывает на влияние наддесневых зубных отложений [6] .
Лечение зубного камня
Лечение зубного камня в зависимости от сложности случая может включать в себя несколько действий:
- полное снятие зубного камня во время гигиены полости рта в кабинете стоматолога;
- замена пломб, которые находятся в неудовлетворительном состоянии;
- ортодонтическое лечение для устранения дополнительных участков, на которых регулярно образовывался зубной камень из-за неправильного расположения зубов;
- лечение зубного камня и снятие налёта состоит из следующих этапов: удаления зубного камня с зуба, обработки полости рта антисептиком и полировки поверхности зуба.
Чистка зубов от камня может осуществляться ручным способом или при помощи специального аппарата — звукового или ультразвукового скалера.
Ручной, или механический, метод удаления зубного камня
К ручным инструментам относятся: ручные скалеры, экскаваторы, рашпили и долота, кюреты.
- скалеры — используются для снятия наддесневого зубного камня, бывают прямыми и изогнутыми;
- экскаваторы — используют для снятия камней большого размера;
- долота — применяют для разбивания «мостов» из зубного камня на фронтальных зубах;
- кюреты — это зоноспецифические инструменты для снятия поддесневого зубного камня;
- рашпили — используются для соскабливания отложений с поверхности зуба.

Чистка зубов ультразвуком
Звуковые и ультразвуковые скалеры помогают стоматологу быстро и легко удалить зубные отложения во время профессиональной чистки зубов.
При работе скалера наблюдается эффект кавитации (образуются и схлопываются пузырьки воздуха в потоке жидкости, что сопровождается гидравлическими ударами), инструмент вибрирует при контакте с зубом, что обеспечивает создание энергии, достаточной для снятия отложений. Важно, что при правильном использовании аппарата не происходит повреждения мягких и твёрдых тканей.
Перед ультразвуковой чисткой каменных мостов в том случае, если они плотно сцеплены с эмалью, используется химическое протравливание твердых зубных отложений. Это покрытие зубов щелочными и кислотными растворами, которые делают камень мягким.
Антисептическая обработка заключается в орошении полости рта 0,05 % раствором хлоргексидина. Некоторые виды скалеров позволяют снимать зубной камень сразу с подачей хлоргексидина. В обычных скалерах через наконечник подается вода.
После удаления зубного камня поверхность зубов полируется, чтобы создать неблагоприятные условия для закрепления мягкого налёта. Полировка осуществляется при помощи резиновых чашечек и щёточек с добавлением низкоабразивной пасты [4] [5] [9] .
Когда нельзя чистить зубы ультразвуком
Абсолютных противопоказаний к ультразвуковой чистке зубов нет, могут быть некоторые ограничения, которые врач учитывает после осмотра полости рта.
Метод пескоструйной обработки (Air Flow)
Метод Air Flow позволяет бережно избавиться от любого налёта на зубах. Процедура выполняется с помощью устройства, которое подаёт плотную струю из смеси воздуха, воды и веществ, очищающих поверхность зубов и десневые карманы.
Химический способ удаления зубного камня
Химический метод заключается в применении специального геля, размягчающего зубные камни. Эффективность этого метода ниже, чем у чистки ультразвуком.
Лазерная чистка
Лазер для снятия зубных отложений не используется.
Комбинированный метод
Комбинированный метод может сочетать Air Flow, ультразвук и химический методы.
Для чего необходима профессиональная чистка зубов
Профессиональная чистка нужна для удаления зубных отложений. Зубной камень идеально удерживает мягкий зубной налёт, поэтому без профессиональной чистки он увеличивается в размерах и может спровоцировать развитие болезней десён [8] [10] [11] .
Можно ли произвести удаление зубного камня самостоятельно
Зубной камень в домашних условиях удалить невозможно. Народные методы удаления зубного камня неэффективны, их применение может привести к необратимым последствиям.
Прогноз. Профилактика
После удаления зубной налёт может образоваться снова, если пациент не делает никаких изменений в уходе за зубами. Поэтому профилактика зубного камня и сопутствующих ему заболеваний десён прежде всего заключается в правильной личной гигиене полости рта.
Чистка зубов помогает ежедневно удалять микробную бляшку и предотвращать её разрастание на поверхности зубов. Без личной гигиены адекватное лечение заболеваний пародонта будет просто невозможно. Как упоминалось ранее, зубная бляшка является основной причиной развития заболеваний пародонта, и именно из неё формируется зубной камень.
Как выбрать щётку для чистки зубов
Прежде всего пациенту необходимо подобрать качественную зубную щётку, основной инструмент гигиены полости рта. На рынке представлен огромный выбор зубных щёток, различных по форме, размерам и дизайну. Рекомендуется использование щётки средней жёсткости с щетинками из нейлона с закруглёнными концами для меньшего травмирования дёсен. Рукоятку пациент выбирает на свой вкус. Американская стоматологическая ассоциация рекомендует менять зубную щётку раз в 3-4 месяца.
Пациентам, которые склонны к быстрому образованию камней, следует назначать специальные профилактические зубные пасты. Этот вид зубных паст содержит в своём составе пирофосфаты, которые уменьшают осаждение нового зубного камня на зубах.
Рекомендуется научиться чистке зубов в технике Bass, при которой особое внимание уделяется очистке зоны десневой борозды от мягкого зубного налёта. Это техника позволяет эффективно и нетравматично снять наддесневой налёт и получить доступ к поддесневому [16] .
Чистку в технике Bass стоит выполнять так:
- расположите щётку параллельно зубам, так, чтоб щетинки смотрели в сторону дёсен;
- наклоните щётку на 45 градусов и без нажима двигайте щетинками так, чтоб они попадали в десневую бороздку;
- лёгкими движениями направляйте щетинки под десневую ткань, по кругу или быстро двигая щёткой вперёд-назад 15-20 раз, после переходите к следующим зубам. Щётка должна покрывать 2-3 зуба одновременно;
- после того, как почистите всю переднюю поверхность зубов, продолжайте в той же технике чистить область со стороны языка;
- чтобы почистить внутренние поверхности передних зубов, поверните щётку щетинками вертикально;
- почистите жевательную поверхность моляров.

Помимо зубной щётки и зубной пасты следует назначать дополнительные средства гигиены полости рта. К ним относится следующее:
- Флосс для эффективного удаления налета на апроксимальных поверхностях зубов (поверхностях, контактирующих с соседними зубами своего ряда).
- Межзубные ёршики для межзубной чистки. Они также эффективно помогают избавиться от зубной бляшки.
- Ирригатор — устройство, которое помогает вымывать мягкий зубной налёт из труднодоступных мест, тем самым предупреждая минерализацию налёта. Помимо удаления налёта данный аппарат осуществляет гидромассаж дёсен.
Кроме личной гигиены полости рта рекомендовано проведение профессиональной чистки зубов раз в полгода у стоматолога.
Чем дольше существует зубной налёт и чем быстрее он развивается, тем выше вероятность появления осложнений, требующих серьёзного стоматологического вмешательства. Поэтому прогноз во многом зависит от того, как быстро пациент обратится к врачу для удаления зубного налёта и насколько ответственно будет поддерживать гигиену полости рта в дальнейшем. Помимо регулярной профессиональной чистки задача стоматолога в данном случае — это правильная мотивация пациента и рекомендации [1] .
Зубной камень
Зубной камень - отложение плотного налета желтовато-коричневого цвета на корнях и шейке зубов. Проявляется неприятным запахом изо рта, кровоточивостью десен. Представляет собой видимый косметический дефект. Способствует развитию патологических процессов в полости рта и является частой причиной развития кариеса, гингивита, пародонтита, расшатывания и последующего выпадения зубов. Кроме того, отложение зубного камня является очагом распространения инфекции в другие органы (дыхательной и сердечно-сосудистой систем).

Общие сведения
Зубной камень - это твердая масса на поверхности зубов, которая образуется из зубного налета, остатков пищи под воздействием активных веществ слюны и вследствие жизнедеятельности микроорганизмов в полости рта. При отсутствии регулярной профессиональной гигиены полости рта, зубной камень со временем формируется даже у лиц, которые соблюдают все правила чистки зубов.
Механизм образования зубного камня
По данным ВОЗ зубной камень обнаруживается у 80% взрослого населения. Основой для зубного камня является зубной налет, слизь, микроорганизмы и слущенные клетки эпителия. Со временем налет твердеет и приобретает темный цвет за счет содержания в нем солей железа и кальция, темный цвет налету придают также красители в пище.
Зубной камень в первую очередь появляется в труднодоступных для чистки зубов местах, в местах скопления микроорганизмов и в местах, которые не самоочищаются в процессе жевания. Срок формирования зубного камня от 4-х до 6-ти месяцев, после чего еще несколько месяцев проходит до максимального уровня его распространения. Уровень распространения зубного камня зависит от индивидуальных особенностей организма.
В последнее время зубной камень стал чаще диагностироваться в детском и подростковом возрасте. Это связано с неправильной гигиеной полости рта, погрешностями в питании и проблемой детского курения. С возрастом количество зубного камня лишь увеличивается.
Причины появления зубного камня
Каждый человек подвержен появлению зубного камня, но основные причины его чрезмерного образования при соблюдении гигиены полости рта это нарушения солевого обмена и несвоевременная смена зубных щеток. Слишком мягкие зубные щетки так же не способны вычистить весь налет. Некачественные зубные пасты, жевание пищи преимущественно на одной стороне из-за травм или из-за дефектов зубного ряда являются предрасполагающими факторами для образования зубного камня.
Если в рационе человека длительное время преобладает мягкая пища, то нарушается естественное очищение зубов в процессе жевания, что способствует скоплению зубного налета.
Сначала зубной камень появляется на шейках зубов, но со временем переходит на коронку и корень зуба. При отсутствии должного ухода зубной камень формируется не только на зубах, но и на зубных протезах.
Гиперсаливация, изменение состава слюны, нарушение обменных процессов и заболевания желудочно-кишечного тракта способствуют появлению зубного камня.
Длительный прием антибактериальных препаратов, курение и индивидуальные особенности зубного ряда, такие как неправильное расположение зубов и недостаточно гладкая поверхность, предрасполагают к появлению зубного камня.
Клинические проявления зубного камня
Сначала вокруг шейки зуба формируется темного цвета ободок, наиболее заметный с внутренней стороны зубного ряда. Далее зубной камень переходит на коронку зуба и на наружную поверхность зубов. Возникает кровоточивость десен и неприятный запах изо рта. Помимо эстетической проблемы, зубной камень приводит к повреждениям десневых сосочков.
Зубной камень может быть наддесневым и поддесневым. Наддесневый зубной камень заметен при осмотре и самому пациенту, он является эстетической проблемой, так как страдает внешний вид человека. Он имеет желтоватый или коричневый цвет и твердую консистенцию.
Поддесневой зубной камень очень твердый и плотный, имеет зеленовато-черный или темно-коричневый цвет. Поддесневой зубной камень плотно прилегает к поверхности корня зубов и виден только стоматологу при инструментальном обследовании.
Гингивит является распространенным осложнением зубного камня, кроме этого создается благоприятная среда для размножения патогенной микрофлоры, развивается пародонтит и кариес.

Лечение зубного камня заключается в его регулярном удалении. Эту процедуру рекомендуется проводить 1-2 раза в год. Сначала стоматолог удаляет зубной камень и налет, потом шлифует и полирует поверхность зубов.
Снятие зубного камня с помощью крючков сегодня не используется, ввиду болезненности процедуры и ее низкой эффективности. Наиболее эффективно снятие зубного камня в ходе ультразвуковой чистки зубов. Во время процедуры генерируются колебания ультразвука, поэтому поверхность зуба очищается без микротравм. Эффект достигается как из-за касания насадкой поверхности зуба, так и благодаря эффекту кавитации - сильному завихрению жидкости. Благодаря эффекту кавитации во время процедуры для удаления налета и камня средней плотности нет необходимости прикасаться к поверхности зуба. Даже если зубной камень очень плотный, то прикосновения насадкой достаточно для его удаления.
Во время кавитации из воды выделяется кислород, за счет которого обрабатываемый участок дезинфицируется. Благодаря кислороду механическое очищение происходит быстрее и проще. При снятии зубного камня с высокой плотностью его предварительно размягчают специальными препаратами. В этом случае удаление зубного камня проходит безболезненно без травматизации десен и эмали зубов.
На этапе полировки и шлифовки на поверхность зубов наносят специальные пасты, которые безопасны для десен и слизистой рта. Процедура удаления зубного камня безболезненна, но многим пациентам доставляет дискомфорт, поэтому ее рекомендовано проводить с обезболиванием.
Несколько дней после процедуры необходимо воздержаться от употребления пищи, содержащей красители. И в последующем, чтобы проводить эту процедуру реже, рекомендуется больше внимания уделять гигиене полости рта, пользоваться качественными зубными пастами и щетками.
Деминерализация эмали зубов - симптомы и лечение
Что такое деминерализация эмали зубов? Причины возникновения, диагностику и методы лечения разберем в статье доктора Панькиной Светланы Юрьевны, стоматолога со стажем в 7 лет.
Над статьей доктора Панькиной Светланы Юрьевны работали литературный редактор Юлия Липовская , научный редактор Пётр Козлов и шеф-редактор Маргарита Тихонова

Деминерализация эмали зубов ( tooth demineralization) — это разрушение зубной эмали из-за утраты минералов (в первую очередь кальция), от которых зависит её целостность и прочность. Можно сказать, что это начальная стадия кариеса . При этом состоянии эмаль утрачивает блеск, на ней появляются белые пятна.
Деминерализация считается одним из самых распространённых нарушений в стоматологии.
![Деминерализация и здоровая эмаль [13]](https://probolezny.ru/media/bolezny/demineralizaciya-emali-zubov/demineralizaciya-i-zdorovaya-emal-13_s.jpg)
Причины возникновения деминерализации эмали зубов
Факторы, которые предрасполагают к деминерализации эмали и развитию кариеса:
- Географический. Климатические условия и наличие различных минеральных веществ в почве и воде влияют как на организм в целом, так и на зубы. Например, в США заболеваемость кариесом составляет 99 %, а в Нигерии — всего 2 %. Это связано с количеством фтора в питьевой воде: ч ем больше фтора, тем выше стойкость людей к кариесу. Однако избыток фтора может привести к другому патологическому процессу — флюорозу, при котором зубы меняют цвет и на них появляются дефекты [1] .
- Профессиональный. Деминерализация зубов чаще возникает у людей, работающих в кондитерских цехах, на производстве кислот и щелочей, а также у людей, чья работа связана с повышенным стрессом [1] .
- Возрастной. Установлено, что деминерализация эмали и кариес чаще развиваются в возрасте от 2 до 40 лет. Скорее всего, это связано с тем, что после 2 лет ребёнок обычно ест больше углеводной пищи, если при этом в организме недостаточно фтора и не проводится нормальная гигиена, состояние полости рта будет ухудшаться. В 12 - 14 лет на зубы влияет гормональная перестройка организма. В возрасте 20 - 40 лет состояние полости рта во многом зависит от телесных заболеваний (например, расстройств ЖКТ), а после 40 лет активность всех функций организма снижается [11] .
- Половой. Женщины чаще страдают кариозными поражениями. Это может быть связано с более частым употреблением сладкого. Также в период беременности и лактации женщины передают ребёнку много витаминов и микроэлементов, поэтому прочность зубов может снижаться. Токсикоз, нарушение углеводного обмена, заболевания желудочно-кишечного тракта и щитовидной железы повышают риск д еминерализации эмали и образования кариеса.
Общие факторы риска:
- Генетическая предрасположенность.
- Несбалансированное питание и питьевая вода с низким содержанием минеральных веществ.
- Соматические заболевания. Больше всего на состояние полости рта влияют хронические патологии органов пищеварения. Например, гастрит, язвенная болезнь желудка и 12-перстной кишки, гепатит, панкреатит и другие болезни ЖКТ сопровождаются дефицитом витаминов, минеральных веществ, белков, углеводов и нарушением иммунной регуляции, что приводит к развитию различных заболеваний полости рта. Также могут повлиять другие патологии:
- При заболеваниях центральной нервной системы (детском церебральном параличе, эпилепсии и др.) повышается риск кариеса зубов из-за плохой гигиены полости рта.
- При патологиях системы кровообращения больные всех возрастов чаще страдают от кариеса и потери зубов [12] .
- Стрессы и экстремальные факторы: превышение скорости, невесомость, перегрузка организма, травмы, работа в высокогорьях.
Местные факторы риска:
- Плохая гигиена полости рта.
- Изменение свойств и состава слюны . Слюна очищает зубы и дёсны от прилипших частиц пищи и зубного налёта, тем самым снижает количество и активность бактерий. Если слюны выделяется меньше или меняются её свойства, риск деминерализации и кариеса увеличивается.
- Вредные привычки : курение , употребление алкоголя и большого количества сладкого [1][5][8][11][12] .
Симптомы деминерализации эмали зубов
Выявить первые признаки деминерализации достаточно трудно, особенно при обильных зубных отложениях ( налёте и камнях ). Вымывание минеральных компонентов, как правило, происходит незаметно.
Деминерализация эмали развивается постепенно: сначала структура эмали становится шероховатой и утрачивает естественный блеск, затем появляется меловидное пятно. Оно выглядит так, будто по зубу провели белым мелом.
![Меловидные пятна на эмали [14]](https://probolezny.ru/media/bolezny/demineralizaciya-emali-zubov/melovidnye-pyatna-na-emali-14_s.jpg)
Эмаль зуба становится более пористой, поэтому быстрее изменяет цвет (желтеет и темнеет) под воздействием неблагоприятных факторов. Также повышается чувствительность зубов на раздражители — сладкое и холодное.
При появлении первых подозрительных признаков нужно сразу записаться на приём к стоматологу. Если откладывать лечение, начнётся кариозный процесс и твёрдые ткани будут разрушаться [5] [8] [9] .
Патогенез деминерализации эмали зубов
Через несколько минут после еды на зубах появляется плёнка — пелликула, которая состоит из компонентов слюны. В этой плёнке ещё нет бактерий, разрушающих зуб. Патологический процесс начинается через несколько суток. Через 48 часов на пелликуле скапливается большое количество микроорганизмов. На 4 - 9 день на зубной эмали формируется зрелая бляшка — отложение, состоящее из микроорганизмов и продуктов их жизнедеятельности.
Микроорганизмы зубной бляшки усваивают сахариды, которые поступают с углеводной пищей, и вырабатывают кислоты. Эти кислоты растворяют кальций и разрушают поверхность эмали. Главную роль играет воздействие на твёрдые ткани зуба молочной кислоты.
Из-за повышенной проницаемости эмали под её поверхностью появляется очаг поражения (меловидное пятно) — признак деминерализации. В дальнейшем образуется кариозная полость [2] .

Классификация и стадии развития деминерализации эмали зубов
По характеру течения выделяют медленнотекущую и быстротекущую деминерализацию.
Стадии деминерализации:
- начальная;
- развившаяся;
- стадия дефекта.
Если на начальной стадии медленнотекущая и быстротекущая деминерализация проявляются одинаково — в виде белого пятна размером 1 - 3 мм — то на развившейся стадии появляются отличительные признаки:
- Для медленнотекущей деминерализации характерны однородные изменения поверхности эмали. При зондировании ( « прощупывании » зуба стоматологическим зондом) отмечается шероховатость эмали, но её поверхность ещё плотная.
- Быстротекущая форма на второй стадии более активна. Очаги деминерализации теряют чёткие границы. Поверхность эмали становится шероховатой, тусклой, как будто матовой. Зонд легко погружается в участок деминерализации. Эмаль утрачивает плотность, соскабливается стоматологическим экскаватором. При окрашивании очага специальными средствами интенсивность окрашивания увеличивается, так как эмаль становится более пористой. Быстротекущая деминерализация переходит в стадию дефекта, поэтому задача врача-стоматолога остановить процесс на раннем этапе [5][6][8] .
Осложнения деминерализации эмали зубов
Деминерализации зубов может привести к образованию среднего и глубокого кариеса.
Средний кариес затрагивает эмаль и поверхностный слой дентина. При зондировании отмечается болезненность в области эмалево-дентинного соединения. Температурные раздражители вызывают боль, но она быстро проходит после устранения раздражающего фактора.
При глубоком кариесе поражение твёрдых тканей зуба обширнее. Патология затрагивает глубокие слои дентина. При зондировании отмечается болезненность по дну кариозной полости. Температурные раздражители вызывают резкую, сильную боль, но после устранения раздражающего фактора она быстро проходит.
Если не вылечить кариес, развивается пульпит (воспаление сосудисто-нервного пучка зуба). В дальнейшем может развиться периодонтит (воспаление ткани между костной стенкой лунки и корнем зуба), что может привести к удалению зуба.

Ещё о дним осложнением деминерализации является эрозия тканей зуба . Она выглядит как овальный или округлый дефект эмали. Дно эрозии как правило гладкое, не тусклое и твёрдое. Дальнейшее углубление и распространение границ эрозии приводит к потере всей эмали и части дентина. При этом отмечается повышенная чувствительность дентина. Причиной возникновения эрозии является воздействие кислот на твёрдые ткани зуба. В отличие от кариозных поражений, эрозия не связана с бактериями полости рта [4] [5] [6] [8] .
![Эрозия тканей зуба [15]](https://probolezny.ru/media/bolezny/demineralizaciya-emali-zubov/eroziya-tkanyay-zuba-15_s.jpg)
Диагностика деминерализации эмали зубов
Диагностика начинается с опроса пациента, который включает сбор жалоб, анамнеза жизни и заболевания.
Сбор жалоб и анамнеза
На приёме врач сначала подробно расспросит, что беспокоит пациента. При деминерализации жалобы обычно связаны с появлением на зубах белых, жёлтых или тёмных пятен. Если пациент жалуется на боль, врач может спросить:
- где возникает боль;
- боль постоянная или появляется в ответ на раздражители;
- как долго она длится;
- какова интенсивность и характер боли: ноющая, рвущая или пульсирующая;
- в какое время суток возникает, беспокоит ли ночью;
- отдаёт ли в другие зоны, если да, то в какие;
- что помогает облегчить боль.
Чтобы установить связь заболевания с внешними факторами, условиями жизни или перенесёнными болезнями, врач собирает анамнез (историю) жизни. Уточняется:
- место рождения;
- материально-бытовые условия в детстве: где и в каких условиях рос и развивался, характер вскармливания и т. д.;
- трудовой анамнез: условия труда и профессиональные вредности в прошлом и по настоящее время;
- бытовые условия в настоящий момент;
- рацион питания;
- вредные привычки: курение, употребление алкоголя и др.;
- перенесённые ранее заболевания, травмы и операции;
- заболеваемость близких родственников;
- аллергический статус.
Сбор анамнеза заболевания. Врач уточняет:
- когда, где и при каких обстоятельствах возникло заболевание;
- с чем пациент его связывает;
- как болезнь начиналась — остро или постепенно;
- какими были первые симптомы;
- как болезнь развивалась от момента первых проявлений до настоящего времени;
- проводилось ли ранее какое-либо обследование и лечение, сколько длилось и каковы его результаты.
Все собранные сведения часто имеют решающее значение в постановке диагноза. Далее врач проводит обследование. В диагностике деминерализации эмали можно выделить основные и дополнительные методы.
Основные методы диагностики
- Осмотр . Чтобы провести осмотр, сначала врач высушивает эмаль струёй воздуха. При деминерализации на эмали видно чёткое матовое пятно белого цвета или пигментированный коричневатый очаг с шероховатой поверхностью.
- Зондирование . Здоровая эмаль при обследовании плотная и гладкая, текстура поражённой эмали шероховатая. Обычно зондирование при деминерализации безболезненно, боль возникает только при среднем и глубоком кариесе, а также при других некариозных патологиях.

- Термометрия . Это обследова ние позволяет определить реакцию зуба на тепло или холод. Термометрия может проводиться с помощью воды (холодной или тёплой) либо воздуха. При деминерализации поражение не доходит до дентина, поэтому обычно температурные раздражители не вызывают сильной боли, но при повышенной чувствительности боль может быть резкой.
Дополнительные методы диагностики
- Люминесцентный метод . Здоровая эмаль под действием ультрафиолетовых лучей даёт голубое свечение, а очаг деминерализации остаётся тёмным.
![Люминесцентный метод [13]](https://probolezny.ru/media/bolezny/demineralizaciya-emali-zubov/lyuminescentnyy-metod-13_s.jpg)
- Лазерная диагностика. Этот метод основан на том, что здоровая и поражённая эмаль по-разному отражают световые лучи. При деминерализации прибор издаёт звуковой сигнал и на экране появляются значения, отличные от нормы. Высокие показания прибора свидетельствуют о глубине поражения.
- Витальное окрашивание. На эмаль зуба наносится кариес-детектор — специальный краситель, который окрашивает очаги деминерализации. При других патологиях цвет эмали не меняется. Чем сильнее окрашивается пятно, тем интенсивнее процесс деминерализации.
![Витальное окрашивание [16]](https://probolezny.ru/media/bolezny/demineralizaciya-emali-zubov/vitalnoe-okrashivanie-16_s.jpg)
Дифференциальная диагностика
Дополнительные методы исследования нужны в тех случаях, когда есть сомнения в диагнозе и врачу нужно исключить другие патологии, т. е. провести дифференциальную диагностику.
Дифференциальную диагностику деминерализации тканей зуба проводят с начальными стадиями флюороза и гипоплазии эмали:
- При флюорозе , в отличие от деминерализации, поражаются несколько или все поверхности зубов, нет повышенной чувствительности на термические раздражители, поражение стабильно, (т. е. болезнь не прогрессирует), при зондировании поверхность поражения гладкая, а не шероховатая.
- Отличительные признаки гипоплазии : затронуты все или несколько зубов. Признаки поражения обычно находятся на вестибулярной (со стороны губ) поверхности резцов и клыков, буграх моляров и премоляров, что несвойственно для деминерализации. Поражение стабильно. При зондировании поверхность гладкая, блестящая, полированная [3][5][7][10] .
Лечение деминерализации эмали зубов
Лечение деминерализации эмали в большинстве ситуаций не требует применения бормашины. Чаще проводят р еминерализацию, г лубокое фторирование или л ечение по технологии Icon.
1. Реминерализация. Метод подразумевает наполнение эмали зуба минеральными компонентами. В основе реминерализирующих гелей — фосфор и кальций, которые обеспечивают прочность эмали.
Перед процедурой нужно провести профессиональную гигиену полости рта, т. е. удалить зубной камень и налёт. Затем эмаль высушивают тёплым воздухом и н а зубы наносят реминерализирующий гель на 15-20 минут. Обычно требуется 10-20 процедур. После каждой процедуры в течение двух часов нельзя есть и чистить зубы.
Преимущества реминерализующей терапии:
- защищает зубы от кариеса;
- устраняет гиперчувствительность зубов.
2. Глубокое фторирование. Это обработка твёрдых тканей зуба специальным фторсодержащим раствором. Перед процедурой также нужно провести профессиональную гигиену полости рта. Затем высушить эмаль тёплым воздухом и нанести на поверхность зубов препараты, содержащие фтор, гидроксид меди и кальций. Чтобы закрепить результат, врач может порекомендовать использовать фторсодержащие пасты. Хороший эффект появляется после 3-5 процедур.
Преимущества глубокого фторирования:
- участки деминерализации и микротрещины заполняются, эмаль становится плотнее;
- создаётся защитный барьер между бактериями полости рта и эмалью , который защищает зуб от разрушений и снижает риск развития кариеса;
- полученный результат сохраняется примерно на год, после этого нужно будет повторить курс.
3. Лечение по технологии Icon . Это современный безболезненный метод лечения деминерализации и раннего кариеса без бормашины, который даёт хороший результат. Суть метода в том, что поражённые участки заполняются специальным веществом, которое благодаря капиллярному эффекту проникает в пористую эмаль, делает её плотнее, а также уничтожает кариозные образования и препятствует размножению патогенных бактерий.
Этапы лечения по технологии Icon.
- На поражённый зуб устанавливается изоляционная система типа коффердам, которая защищает зубы от влаги и позволяет врачу лучше видеть зону поражения.
- Наносится первый компонент — гель соляной кислоты (Icon-Etch), который открывает поры эмали. Его выдерживают 2 минуты, затем в течение 30 секунд смывают водой.
- Обработанная область продувается сухим воздухом.
- На 30 секунд наносится второй компонент — этанол (Icon-Dry), который удаляет остатки жидкости.
- Наносится третий компонент — текучая смола (Icon-Infiltrant). Её нужно выдержать 3 минуты. Затем остатки смолы аккуратно сдувают и материал «засвечивают» на протяжении 40 секунд, чтобы он затвердел.
- Излишки смолы удаляются полировочными штрипсами и флоссами, затем снимается коффердам [4][6][7][8] .
4. Пломбирование. При деминерализации проводится редко, обычно только на стадии тёмного пятна, когда реминерализирующая терапия не помогает. В этом случае световая пломба считается наиболее эффективной, поскольку помогает защитить зуб от влияния внешних факторов и остановить развитие кариеса, а также вернуть эстетику зуба.
Этапы пломбирования световым композиционным материалом:
- Поверхность зуба очищается от налёта, подбирается цвет пломбы, например с помощью специальной шкалы Вита. В выборе цвета должны участвовать врач, ассистент и пациент. Желательно это делать при естественном освещении, лучше всего в первой половине дня, зуб при этом должен быть влажным.
- Если есть показания (например, гиперчувствительность), делается анестезия.
- Устанавливается коффердам.
- Очаг поражения препарируется, т. е. удаляются мёртвые ткани зуба.
- Выполняется кондиционирование (обработка кислотой) и адгезивный протокол — обработка поверхностей зуба спиртовым раствором и нанесение адгезива, который создаёт сцепление тканей зуба с пломбой.
- Послойно наносится световой композиционный материал, пломба шлифуется и полируется.
Прогноз деминерализации эмали зубов благоприятный, если своевременно её пролечить, в противном развивается кариес и другие осложнения [4] [6] [7] .
Зубной налет

Процесс образования этой пленки начинается сразу после чистки зубов. Стоит отметить, что зубной налет считается нормальным физиологическим процессом.
Польза пленки заключается в ее защитных функциях — она предотвращает развитие патогенных бактерий и защищает эмаль от слишком кислой пищи. Однако зубной налет может также спровоцировать такие серьезные стоматологические заболевания, как кариес и гингивит. Именно поэтому стоматологу необходимо всегда учитывать пользу и вред зубного налета и подбирать лечение так, чтобы не нарушить защитные функции зубов, но и предотвратить возникновение осложнений.
Механизм зубного налета
Состав зубного налета детально изучен врачами. А именно, пленка, которая образовывается на поверхности зубов после их очищения, состоит из воды, микроорганизмов и небольшого количества неорганических веществ (фтора, кальция и фосфора). Доказано, что в ротовой полости человека находится около 2500 видов различных микроорганизмов, многие из которых легко прилипают к поверхности зубов, образовывая тем самым небольшие колонии.
Считается, что зубной налет могут формировать от 400 до 1000 микроорганизмов, которые постоянно обитают во рту и, в принципе, не являются вредными. Однако превышение нормы бактерий ведет к тому, что они начинают оказывать серьезный вред для зубов, вызывая воспаление десны и кариес. Процесс накопления зубного налета состоит из следующих стадий:
- Сразу же после чистки зубов на них появляется пелликула — скопление слюнных гликопротеидов. Основной функцией этой органической оболочки является регулирование перемещения разных веществ из ротовой полости в ткани зубов. Практически всегда эта оболочка незаметна.
- В течение часа после механической чистки зубов щеткой на их поверхности образовывается налет из бактерий — первыми прилипают грампозитивные палочки и кокки, создающие связь с гликопротеидами. Этому процессу способствуют электростатические силы, так как поверхность зуба отрицательно заряжена, а микроорганизмы заряжены положительно.
- На следующем этапе формируется необратимая связь между пелликулой и бактериями, которой способствуют липкие полимеры, синтезируемые из углеводов. В течение двух суток к появившемуся налету прикрепляются новые колонии бактерий, поэтому он становится тверже и толще.
Классификация зубного налета
Существует несколько классификаций зубного налета. А именно, выделяют такие виды налета: наддесневой, который расположен на открытой поверхности зуба), поддесневой (расположен в десневом кармане и зубодесневой бороздке). В зависимости от зон прикрепления зубного налета, эти два вида могут подразделяться на несколько подвидов:
- наддесневой — зубодесневой (находится на поверхности зуба в зоне десневого края) и проксимальный (появляется на контактных поверхностях);
- поддесневой — прикрепленный к поверхности зуба и эпителиально-прикрепленный (присоединен к эпителию десны).
Профилактика зубного налета
Зубной налет — это очень заметный эстетический недостаток. Кроме того, скопление налета на зубах может провоцировать неприятные стоматологические заболевания. Поэтому крайне важно соблюдать профилактические рекомендации, которые помогут предотвратить возникновение на зубах патологического процесса. Профилактика зубного налета сводится к соблюдение правил гигиены и диете.
Прежде всего необходимо существенно сократить количество приемов пищи, что содержит много сахара. В этом случае важное значение имеет не количество съедаемого сахара, а частота его употребления. Кроме того, стоит ограничить контакт сладкой жидкости с зубами: не задерживать ее во рту и сразу глотать, пить напитки через соломинку. После употребления сладкой пищи, стоит сразу же почистить зубы. Необходимо избегать сухости во рту, поскольку именно слюна помогает эффективно очищать рот и бороться с бактериями. Делать это можно с помощью жевательной резинки или частого питья воды небольшими глотками.
Гигиена полости рта напрямую зависит от выбора щетки, пасты, зубных нитей, а также правильного их использования. Стоит выбирать мягкие щетки, а не жесткие, поскольку последние сильно повреждают эмаль, что приводит к кариесу. Менять щетки необходимо каждые три месяца. Выбирая пасту, стоит отдавать предпочтение той, которая содержит много фтора. Фтор способен укреплять зубы и предотвращать кариес.
Отдельное внимание стоит уделить технике чистки зубов. А именно, стоматологи рекомендуют не слишком сильно тереть зубы, поскольку это приводит к надавливанию и травмированию десен. Внешнюю и внутреннюю поверхность зубов стоит чистить короткими движениями, захватывая за раз по два зуба. Щетку нужно держать под углом в 45 градусов. Необходимо также уделить внимание языку — снять с него налет, в котором также могут содержаться высокие концентрации микроорганизмов. Стоит запомнить, что всевозможные ополаскивали могут только освежить дыхание, но они не устраняют налет.
Профилактику зубного налета необходимо начинать с ранних лет — с момента, когда у малыша вырос первый молочный зуб. Начиная с 1,5 годика ребенка необходимо водить регулярно на прием к стоматологу. Крайне важно, чтобы с раннего детства ребенок правильно питался, ел как можно меньше продуктов с повышенным содержанием сахара и соблюдал основные правила гигиены полости рта.
Причины зубного налета
Зубной налет обычно формируется сразу после чистки зубов. Это вполне нормальный процесс, который, тем не менее, может оказывать негативное воздействие на зубы. Скорость образования микробной пленки напрямую зависит от таких факторов, как соблюдение правил гигиены рта, характер рациона, состояние ЖКТ, курение, наличия пломб и протезов, особенностей процессов самоочищения (защитные свойства, вязкость и количество слюны).
Скорость образования зубного налета может увеличиваться из-за избыточного употребления мягкой по консистенции еды, продуктов с низкой жирностью и повышенным содержанием белка, рафинированных углеводов (лактозы, глюкозы, сахарозы). Микрофлора полости рта зависит и от возрастных изменений в организме, гормональных сдвигов, понижения клеточного иммунитета.
Симптомы зубного налета
Первым проявлением зубного налета считается появление на поверхности зубов мягких отложений белого цвета, которые затем под влиянием бактерий постепенно твердеют, поскольку их состав обогащается углеводами. Если на ранних стадиях образования налета в этом процессе участвовали лактобактерии и стрептококки, в дальнейшем может происходить активное выделение кислоты, что в итоге приводит к кариесу.
Со временем налет желтеет. Следует отметить, что постепенно ухудшается доступ кислорода к зубу, что провоцирует активизацию развития анаэробных бактерий и воспаление десен. Такое воспаление является вполне нормальной реакцией организма, который стремится устранить вредное воздействие бактерий на иммунную систему. Все эти процессы в организме нередко сопровождаются головной болью, заражением крови, пневмонией, инфекциями желудка.
Одним из самых серьезных осложнений зубного налета считается возникновение зубного камня. На зубной налет начинает активно воздействовать слюна, из-за чего на поверхности зуба возникают минеральные отложения. Если длительное время не посещать стоматолога и игнорировать патологический процесс, это приводит к серьезным последствиям — тяжелым болезням десен и зубов.
Диагностика зубного налета
Обнаружить зубной налет даже самостоятельно довольно просто. Для этого потребуется осмотреть зубы с помощью маленького зеркала. Если налет был обнаружен, на следующем этапе диагностики необходимо определить характер зубных отложений, что сможет сделать только врач. В таком случае нужно пройти стоматологический осмотр.
Для точной визуализации налета используют всевозможные красители вроде эритрозина, фуксина, бисмарка коричневого. Все эти красители могут быть представлены в таблетках, растворах, ополаскивателях. Применение красителя эффективно, поскольку он окрашивает пораженные участки зуба в яркий оттенок.
Лечение зубного налета
Самым простым способом снятия зубного налета по праву считается механическая чистка зубов с помощью пасты и щетки. Этим способом можно удалить даже достаточно плотный налет курильщика, если выбрать более жесткую щетку. Для чистки труднодоступных мест вроде зубных протезов, коронок, брекетов, межзубных пространств можно использовать ирригаторы. В стоматологии остаются дискуссионными вопросы о важности качества или частоты чистки зубов, ее эффективности до и после еды. Однако, можно выделить несколько рекомендаций, которые стоит придерживаться:
- удаление зубного налета должно быть регулярным;
- проводить снятие зубного налета пастой и зубной щеткой подходящей жесткости;
- чистить зубы 2-3 раза на день;
- по окончанию приема пищи полоскать рот водой для удаления остатков пищи;
- раз в неделю очищать межзубные пространства нитями;
- пару раз в год ходить на осмотр к стоматологу.
Массивные твердые скопления налета очистить самостоятельно практически невозможно, поэтому в таких случаях необходимо обращаться за консультацией к стоматологу. Профессиональная чистка зубного налета осуществляется следующим образом:
- на первом этапе процедуры врач осуществляет ультразвуковое очищение поверхности зуба различными насадками;
- затем стоматолог проводит тщательную шлифовку и полировку поверхности зуба;
- на следующем этапе процедуры зубы покрывают гелем, в составе которого есть фтор, для снижения их чувствительности и предотвращения кариеса;
- по окончанию процедуры пациенту стоит несколько дней воздержаться от курения, употребления еды, которая может окрасить эмаль (кофе, чай, газированные напитки).
Данная статья размещена исключительно с целью ознакомления в познавательных целях и не является научным материалом или профессиональным медицинским советом. За диагностикой и лечением обратитесь к врачу.
Введите ваши данные, и наши специалисты свяжутся с Вами, и бесплатно проконсультируют по волнующим вас вопросам.
Читайте также:
- Задняя фораминотомия. Задний доступ при эндоскопической дискэктомии на шейном отделе.
- Полип прямой кишки: причины, симптомы и удаление полипов в прямой кишке
- Неправильный сон младенца и новорожденных. Какие требования к подушке младенца?
- Советы при закрытом повреждении живота
- Методика ольфактометрии и набор пахучих веществ для нее
