Звенья микроциркуляторного русла. Виды капилляров микроциркуляции
Добавил пользователь Евгений Кузнецов Обновлено: 31.10.2025
Термином «микроциркуляция» обозначают ток крови и лимфы по мельчайшим кровеносным и лимфатическим сосудам, питающим любой орган, а также транспорт воды, газов и различных веществ (в том числе и лекарственных) между микрососудами и интерстициальным пространством.
Микрососуды - это главное звено сосудистой системы. Они выполняют целый ряд функций:
Участвуют в перераспределении крови в организме в зависимости от его потребностей.
Создают условия для обмена веществ между кровью и тканями.
Играют компенсаторно-приспособительную роль при воздействии экстремальных факторов среды - переохлаждение, перегревание и др.
В состав внутриорганного микроциркуляторного русла входят следующие сосуды: артериолы, прекапилляры, или метаартериолы, прекапиллярные сфинктеры, капилляры, посткапиллярные венулы, венулы и артериовенозные анастомозы. К кровеносным сосудам, расположенным в интерстициальном пространстве, примыкают замкнутые лимфатические капилляры и мелкие лимфатические сосуды. Совокупность всех вышеперечисленных элементов микро-циркуляторного русла называется микроциркуляторной единицей, или «модулем» (рис.16). Артериолы- это тонкие сосуды диаметром 70 мкм, содержат кольцевой слой гладких мышц, сокращение которых создает значительное сопротивление кровотоку, поэтому их называют резистивными сосудами. Их функция - регуляция уровня АД в артериях. При уменьшении просвета артериолы АД в артериях увеличивается, при увеличении - падает. И.М. Сеченов назвал артериолы «кранами сосудистой системы». Артериальное давление в артериолах равно 60 -80 мм рт.ст
Рис. 16. Схема артериовенозного анастомоза
Прекапилляры, или метаартериолы, имеют диаметр от 7 до 16 мкм. В них отсутствуют эластические элементы, но их мышечные клетки обладают автоматией, т.е. способностью спонтанно генерировать импульсы. Их особенность - большая чувствительность к химическим веществам, в том числе к сосудосуживающим и сосудорасширяющим.
Каждый прекапилляр заканчивается прекапиллярным сфинктером. Это последнее звено, в котором встречаются гладкомышечные клетки. От состояния сфинктера зависит число открытых и закрытых капилляров и появление так называемых «плазменных» капилляров, по которым протекает только плазма без форменных элементов, например, после кровопотери, при малокровии. Прекапиллярные сфинктеры также находятся преимущественно под контролем гуморальных факторов и химических веществ, растворенных в крови. Так, хорошо известный антагонист кальция - нифедипин (коринфар), а также бета-адреноблокатор - анаприлин (обзидан) расширяют прекапиллярные сфинктеры, улучшают капиллярную фильтрацию и снижают артериальное давление.
Капилляры - самое важное звено в системе микроциркуляции, это обменные сосуды, обеспечивающие переход газов, воды, питательных веществ из сосудистого русла в ткани и из тканей в сосуды. Всего у человека 40 млрд капилляров. Капилляры - это тончайшие сосуды диаметром 5 - 7 мкм и длиной от 0,5 до 1,1 мм. Они тесно примыкают к клеткам органов и тканей, образуя обширную обменную поверхность, равную 1000 - 1500 м 2 , хотя в них и содержится всего 200 - 250 мл крови. Капилляр не имеет сократительных элементов, у него 2 оболочки: внутренняя - эндотелиальная и наружняя - базальная, в которую впаяны клетки-перициты.
Различают три типа капилляров: 1. Соматический - эндотелий капилляра не имеет фенестр и пор, а базальный слой непрерывный (капилляры скелетных и гладких мыщц, кожи, коры больших полушарий). Капилляры данного типа непроницаемы или почти непроницаемы для крупных молекул белка, но хорошо пропускают воду и растворенные в ней минеральные вещества. 2. Висцеральный - имеет фенестрированный эндотелий и сплошную базальную мембрану. Этот тип капилляров расположен в органах (почки, кишечник, эндокринные железы), секретирующих и всасывающих большие количества воды с растворенными в ней веществами. 3. Синусоидный - это капилляры с большим диаметром, между эндотелиоцитами имеются щели, базальная мембрана прерывиста или может полностью отсутствовать. Через их стенки хорошо проникают макромолекулы и форменные элементы крови. Такого типа капилляры находятся в печени, костном мозге, селезенке.
Количество функционирующих капилляров зависит от состояния органа. Так, в покое открыто только 25 - 35% всех капилляров. Кровь поступает в капилляр под давлением 30 мм рт.ст., а выходит под давлением 10 мм рт.ст. и течет по капилляру с очень маленькой скоростью, всего 0,5 мм/с, что создает благоприятные условия для протекания обменных процессов между кровью и тканями.
Посткапиллярные венулы - это первое звено емкостной части микроциркуляторного русла. Наряду с эндотелиальными и гладкомышечными клетками в стенке вен появляются соединительнотканные элементы, придающие ей большую растяжимость. Диаметр этих сосудов составляет от 12 мкм до 1 мм, давление - 10 мм рт.ст., скорость кровотока - 0,6-1 мм/с. Посткапиллярные венулы наряду с капиллярами относят к обменным сосудам, через стенку которых способны проходить высокомолекулярные вещества.
Артериовенозные анастомозы, или шунты - это сосуды, соединяющие артериолу с венулой, минуя или в обход капиллярной сети. Они находятся в коже, легких, почках, печени, имеют гладкомышечные элементы и, в отличие от других сосудов, большое количество рецепторов и нервных окончаний, обеспечивающих регуляцию кровотока. Основные функции анастомозов заключаются: 1) в перераспределении крови к работающему органу, 2) оксигенации венозной крови; 3) поддержании постоянной температуры в данном органе или участке тела - терморегуляторная функция; 4) увеличении притока крови к сердцу.
В системе микроциркуляции различают два вида кровотока:
1. Медленный, транскапиллярный, преобладает в состоянии покоя, обеспечивает обменные процессы. 2. Быстрый, юкстакапиллярный, через артериовенозные анастомозы, преобладает в состоянии функциональной активности, например, в мышцах при физической нагрузке. Так, 1 мл крови проходит через капилляры за 6 ч, а через артериовенозные анастомозы - всего за 2 с.
Вопрос 2 Микроциркулярное русно. Микроциркуляция и физиология капилляркого кровотока транскапиллярный обмен его виды и механизмы.
Мембрана играет большую роль в жизнедеятельности клетки. Одной из функций мембраны является барьерно-транспортная: мембрана определяет потоки веществ, идущих через нее, микросреду, т. е. состав цитоплазмы. Мембрана принимает участие в генерации ПД (потенциала действия), в генерации энергии (например, мембраны митохондрий). Мембраны осуществляют функцию межклеточного взаимодействия — например, передачу сиг- пала от одного нейрона к другому.
ТРАНСПОРТ ВЕЩЕСТВА ЧЕРЕЗ БИОЛОГИЧЕСКИЕ МЕМБРАНЫ
Классификация. Различают прямой и опосредованный транспорт. Прямой — без участия переносчиков, опосредованный — с их участием. Например, перенос глюкозы с участием переносчика. Опосредованный транспорт осуществляется с затратой энергии (активный транспорт) или без затраты энергии (облегченная диффузия). Прямой транспорт всегда идет по типу пассивного транспорта.
Из сказанного ясно, что второй вариант классификации — это выделение двух основных видов транспорта веществ — пассивного и активного.
Третий вариант классификации — транспорт с изменением архитектуры мембраны (экзоцитоз, эндоцитоз) или без изменения структуры мембраны (все остальные виды транспорта).
Четвертый вариант классификации — это транспорт, сопряженный с переносом двух веществ (котранспорт), который может протекать по типу симлорта (два вещества идут в одном направлении — например Na + глюкоза) или по типу антипорта (одно вещество идет в клетку, второе — из клетки или наоборот — Na и К).
Пассивный транспорт. Различают два его вида — простую диффузию и облегченную диффузию. Простая диффузия идет в соответствии с законом Фика — по химическому или электрохимическому градиенту. Например, в клетке натрия 14 ммоль, а в среде — 140 ммоль, в этом случае пассивный поток должен быть направлен в клетку. В живых системах этот вид транспорта используется ограниченно. Кислород, углекислый газ, вода—они могут таким образом осуществлять переход из клетки в среду или наоборот.
Облегченная диффузия проходит по двум вариантам — с участием переносчиков или при наличии специализированных каналов. Обнаружено, что в мембранах, имеются специальные белки-переносчики, которые, специфически связываясь с переносимой молекулой, способствуют ее переносу по градиенту концентрации. Таким образом, затраты энергии не происходит, а путь через мембрану облегчается за счет наличия специфического переносчика.
Ионные каналы — это интегральные белки мембраны, которые выполняют функцию
транспортирующей частицы для соответствующего иона. Селективность канала обеспечивается за счет геометрии канала за счет внутриканально расположенных заряженных частиц. Каждый ионный канал имеет устье, селективный фильтр, ворота и механизм управления воротами.
Калиевые каналы тоже достаточно селективны — в основном пропускают ионы калия. Они блокируются тетраэтиламмонием. Процессы инактивации у них выражены слабо.
Кальциевые каналы — имеют все атрибуты ионного канала (устья, воротный механизм, фильтр). Блокируются ионами марганца, никеля, кадмия (двухвалентные ионы), а также лекарственными веществами — верапамилом, нифедипином, дильтиаземом, которые используются в клинической практике.
Активный транспорт: различают первично-активный транспорт, при котором энергия затрачивается на перенос данного вещества против градиента его концентрации, а также вторично-активный транспорт, при котором энергия на перенос данного вещества (например, молекулы глюкозы) используется за счет механизма переноса другого вещества (например, натрия).
Первично-активный транспорт широко представлен в организме. Это калий-натриевый насос, натрий-водородный обменный механизм и т.д. Суть его состоит в том, что в мембране имеется переносчик, обладающий АТФ-азной активностью, т. е. он способен расщеплять АТФ и высвобождать энергию, которая и затрачивается на перенос вещества.
Вторично-активный транспорт. В основном представлен в энтероцитах, в эпителии почек. Суть его состоит в следующем (на примере переноса молекулы глюкозы). Молекула глюкозы должна войти в клетку, где ее концентрация намного выше, чем в среде. Для того, чтобы это произошло, необходимы затраты энергии. Но тратится энергия, которая ранее была затрачена на перенос натрия.
Эндоцитоз и экэоцитоз. Это варианты транспорта, при которых меняется архитектура мембран. Он осуществляется с затратой энергии. Эндоцитоз — это введение крупномолекулярных частиц из среды в клетку. Один его вариант — фагоцитоз, другой пиноцитоз. Пиноцитоз представляет собой способ усвоения клеткой белковой молекулы без се предварительного гидролиза. Такой механизм, например, имеет место у новорожденных, которые с молоком матери получают антитела (иммуноглобулины), через эитероциты попадающие в организм ребенка, будучи совершенно ненарушенными и способными к выполнению своих функций. Экзоцитоз — это выделение крупных молекул из клетки. Пример тому — выделение квантов медиатора из везикулы в синапсе.
Вопрос 2 Микроциркулярное русно. Микроциркуляция и физиология капилляркого кровотока транскапиллярный обмен его виды и механизмы.
Принцип строения микроциркуляторного русла состоит в следующем: от артериолы по направлению к венуле отходит магистральный сосуд или магистральный капилляр. От этого магистрального капилляра отходят под углом истинные капилляры, которые несут кровь к другому магистральному капилляру. Число таких истинных капилляров огромно. Именно через эти капилляры осуществляется транскапиллярный обмен. В месте ответвления истинного капилляра от магистрального капилляра располагается прекапиллярный сфинктер — несколько гладкомышечных клеток, которые будучи в сокращенном состоянии, вызывают прекращение тока крови по истинному капилляру. Проходимость или функционирование капилляра определяется многими факторами, в том числе состоянием прекапил-лярных сфинктеров, уровнем гидростатического давления в артериоле, уровнем венозного оттока. Для быстрого обходного оттока крови из артериолы в венозную систему существуютартериовенозные анастомозы, благодаря которым кровь может пойти в веиулу, минуя магистральные капилляры и истинные капилляры. Капилляры. В среднем диаметр многих капилляров составляет 3—5 мкм, а длина их достигает 750 мкм. Интенсивность капилляризации тканей, т. е. количество капилляров в расчете на массу ткани —различна.
Одним из факторов, определящим возможности транскапиллярного обмена, является проницаемость капиллярной стенки для различных веществ, мигрирующих из крови в ткань и наоборот. Все капилляры представляют собой трубку, стенка которой состоит из однослойного эндотелия и базилярной мембраны. Мышечные элементы в капиллярах отсутствуют. По строению эндотелиального каркаса все капилляры условно делят на 3 класса или вида:
1) Капилляры с непрерывной стенкой («закрытые» капилляры) —эндотелиалыше клетки тесно прилегают друг к другу, не оставляя зазоров между клетками. Капилляры данного типа широко представлены в гладких и скелетных мышцах» в сердечной мышце, в соединительной ткани, в легких и ЦНС.
2) Капилляры с фенестрами (окошечками) или фенестрнрованные (окончатые).
Капилляры этого типа способны пропускать вещества, диаметр которых достаточо ве лик. Такие капилляры расположены в почечных клубочках, в слизистый кишечник
3) Капилляры с прерывистой стенкой — между соседними эндотелиальными клетками имеются щели, через которые сводобно могут проходить крупные частицы, в том числе форменные элементы крови. Такие капилляры расположены в костном мозге, печени, селе зенке. Их наличие обеспечивает свободный выход форменных элементов из сосуда в ткань и наоборот.
В капиллярах большого круга кровообращения транскапиллярный обмен совершается через достаточно жесткий гистогематический барьер, реализуемый с участием капилляров с непрерывной стенкой.
Физиология микроциркуляции
Основная цель кровообращения - транспорт кислорода и питательных веществ к тканям и удаление от них продуктов обмена - реализуются в микроциркуляторном русле. Микроциркуляция крови- кровообращение в системе капилляров, артериол и венул. Комплекс перечисленных сосудов называют микроциркуляторной единицей.
Капилляр - конечное звено микроциркуляторного русла, где происходит обмен веществ между кровью и тканями организма через межтканевую жидкость. Капилляры представляют собой микроскопические трубки диаметром от 5 до 30 мкм, толщиной стенки до 1 мкм. Диаметр капилляров, их длина и количество зависит от функции органа: в плотных тканях капилляров меньше, чем в рыхлой волокнистой, а в тканях со сниженными обменными процессами, такими как роговица, хрусталик, дентин, капилляры не обнаружены. Не все капилляры постоянно открыты. В покое функционирует от 10 до 25% капилляров - дежурные капилляры. Если прекапиллярные сфинктеры открыты, то кровь через артериолы и прекапилляры поступает в истинные капилляры; если же сфинктеры закрыты, то кровь может течь через главный канал в венулу, минуя истинные капилляры. Кроме того, из артериолы кровь может поступать непосредственно в венулу через артериоло-венулярный анастамоз - шунт.
В стенках кровеносных капилляров различают 3 тонких слоя: внутренний - эндотелиальные клетки, расположенные на базальной мембране, средний слой - перициты, заключенные в базальную мембрану, наружный - из адвентициальных клеток и тонких коллагеновых волокон. В зависимости от наличия пор и окошек (фенестр) в эндотелии и базальной мембране различают 3 типа капилляров:
1) Капилляры с непрерывным эндотелием и базальным слоем (располагаются в коже, во всех видах мышечной ткани, в коре большого мозга и т.д.)
2) Фенестрированные капилляры, имеющие в эндотелии фенестры и непрерывную базальную мембрану (находятся в кишечных ворсинках, клубочках почек, пищеварительных и эндокринных железах)
3) Синусоидные капилляры, имеющие поры в эндотелиоцитах и базальной мембране (расположены в печени, селезенке, костном мозге и т.д.) Диаметр этих капилляров доходит до 40 мкм.
Для микроциркуляторного русла характерно наличие артериовенозных анастамозов, непосредственно связывающих мелкие артерии с мелкими венами или артериолы с венулами.
Обменные процессы в капиллярах между кровью и межклеточным пространством осуществляется двумя способами: путем диффузии и путем фильтрации и реабсорбции.
1) наибольшую роль в обмене жидкостью и веществами между кровью и межклеточным пространством играет двусторонняя диффузия (движение молекул от среды с высокой концентрацией в среду, где концентрация ниже). Водорастворимые неорганические вещества типа натрия, калия, хлора и др., а также глюкоза, аминокислоты, кислород диффундируют из крови в ткани, а мочевина, углекислый газ и другие продукты обмена - в обратном направлении. Высокой скорости диффузии различных веществ способствует наличие в стенках капилляров большого количества мельчайших пор, окошек (фенестр) и крупных интерстициальных просветов, через которые могут выходить даже клетки крови. Скорость диффузии через общую обменную поверхность организма составляет около 60 л в минуту.
2) Механизм фильтрации и реабсорбции, обеспечивающий обмен между внутрисосудистым и межклеточным пространством, осуществляется благодаря разности давления крови в капиллярах и онкотического давления белков плазмы. Этим силам, действующим внутри капилляра, противодействуют незначительные силы гидростатического и онкотического давления в тканях (1 и 2 мм рт. ст). Поскольку гидростатическое давление в артериальном конце капилляра (30-35 мм рт ст) на 5-10 мм рт ст выше, чем онкотическое давление (25 мм рт ст), вода и растворенные в ней вещества фильтруются из крови в ткани (образование тканевой жидкости). В венозном конце капилляра гидростатическое давление составляет 15 мм рт ст, а онкотическое давление остается неизменным (25 мм рт ст), поэтому межтканевая жидкость вместе с растворенными в ней веществами засасывается (реабсорбируется) обратно в капилляры. Таким образом, ток воды и растворенных в ней веществ в начальной части капилляра идет наружу, а в конечной его части - внутрь. Средняя скорость фильтрации во всех капиллярах организма составляет около 14 мл в минуту, или 20 л в сутки. Скорость реабсорбции равна примерно 12,5 мл в минуту, т.е. 18 л в сутки. Оставшаяся нереабсорбированная тканевая жидкость возвращается в виде лимфы по лимфатическим сосудам в венозное русло (2 л в сутки).
Кровь после обмена веществ и газов из микроциркуляторного русла поступает в венозную систему. Движению крови по венам способствуют следующие факторы:
1) работа сердца, создающего разность давления крови в артериальной системе и правом предсердии
2) клапанный аппарат вен
3) сокращение скелетных мышц («мышечный насос»)
4) натяжение фасций
5) сокращение диафрагмы: при вдохе и выдохе она как помпа перекачивает кровь из нижней полой вены в сердце («второе сердце»)
6) присасывающая функция грудной клетки, создающая отрицательное внутригрудное давление в фазу вдоха.
Рекомендуем для прочтения:
Методы обучения Сущность и структура методов обучения. Слово «метод» в переводе с греческого означает способ познания.
Философские идеи Ф.М. Достоевского Федор Михайлович Достоевский (1821-1881) является в настоящее время.
Соотношение понятий «этика», «мораль», «нравственность» Этика - это философская наука, предметом которой является мораль и нравственность.
Режим холостого хода трансформатора Определение режима. Холостым ходом трансформатора называется такой режим его работы.
Задачи 1-ой степени сложности 1. Необходимо измерить ток потребителя в пределах 20 - 25 А. Имеется микроамперметр с пределом измерения 200мкА.
Вопрос 129. Капиллярный кровоток и его особенности. Микроциркуляция и ее роль в механизме обмена жидкости и различных веществ между кровью и тканями.
Микроциркуля́ция — транспорт биологических жидкостей на тканевом уровне. Это понятие включает в себя капиллярное кровообращение (движение крови по микрососудам капиллярного типа), обращение интерстициальной жидкости и веществ по межклеточным пространствам, ток лимфы по лимфатическим микрососудам. Совокупность всех сосудов, обеспечивающих микроциркуляцию, называется микроциркуляторное русло. К нему относятся артериолы, прекапиллярные артериолы, капилляры, посткапиллярные венулы, венулы и артериовенозные анастомозы.
Основная функция микроциркуляции состоит в транспорте клеток крови и веществ к тканям и от тканей. Кроме того, микроциркуляция участвует в процессах терморегуляции, формировании цвета и консистенции тканей.
Артериолы постепенно уменьшаются в диаметре и переходят в прекапиллярные артериолы. Первые имеют диаметр 20-40 мкм, вторые 12-15 мкм. В стенке артериол имеется хорошо выраженный слой гладкомышечных клеток. Их основной функцией является регуляция капиллярного кровотока. Уменьшение диаметра артериол всего на 5% приводит к возрастанию периферического сопротивления кровотоку на 20%. Кроме того, артериолы образуют гемодинамический барьер, который необходим для замедления кровотока и нормального транскапиллярного обмена.
Капилляры являются центральным звеном микроциркуляторного русла. Их диаметр в среднем 7-8 мкм. Стенка капилляров образована одним слоем эндотелиоцитов. В отдельных участках имеются отросчатые перициты. Они обеспечивают рост и восстановление эндотелиоцитов. По строению капилляры делятся на три типа:
1. Капилляры соматического типа (сплошные). Их стенка состоит из непрерывного слоя эндотелиоцитов. Она легко проницаема для воды, растворенных в ней ионов, низкомолекулярных веществ и непроницаема для белковых молекул. Такие капилляры находятся в коже, скелетных мышцах, легких, миокарде, мозге.
2. Капилляры висцерального типа (окончатые). Имеют в эндотелии фенестры (оконца). Этот тип капилляров обнаружен в органах, которые служат для выделения и всасывания больших количеств воды с растворенными в ней веществами. Это пищеварительные и эндокринные железы, кишечник, почки.
3. Капилляры синусоидного типа (не сплошные). Находятся в костном мозге, печени, селезенке. Их эндотелиоциты отделены друг от друга щелями. Поэтому стенка этих капилляров проницаема не только для белков плазмы, но и для клеток крови.
У некоторых капилляров в месте ответвления от артериол находится капиллярный сфинктер. Он состоит из 1-2 гладкомышечных клеток, образующих кольцо на устье капилляра. Сфинктеры служат для регуляции местного капиллярного кровотока.
Основной функцией капилляров является транскапиллярный обмен, обеспечивающий водно-солевой, газовый обмен и метаболизм клеток. Общая обменная капилляров составляет около 1000 м2. Однако количество капилляров в органах и тканях неодинаково. Например в 1 мм3 мозга, почек, печени, миокарда около 2500-3000 капилляров. В скелетных мышцах от 300 до 1000.
В состоянии покоя кровь циркулирует лишь по 25-30% всех капилляров. Их называют дежурными. При изменении функционального состояния организма количество функционирующих капилляров возрастает. Например в работающих скелетных мышцах оно увеличивается в 50-60 раз. В результате обменная поверхность капилляров возрастает в 50-100 раз. Возникает рабочая гиперемия. Но наиболее выраженная рабочая гиперемия наблюдается в мозге, сердце, печени, почках. Значительно возрастает количество функционирующих капилляров и после временного прекращения кровотока в них. Например после временного сдавления артерии. Такое явление называется реактивной или постокклюзионной гиперемией. Кроме того, наблюдается ауторегуляторная реакция. Это поддержание постоянства кровотока в капиллярах при снижении или повышении системного артериального давления. Такая реакция связана с тем, что при повышении давления гладкие мышцы сосудов сокращаются и их просвет уменьшается. При понижении наблюдается обратная картина.
КАПИЛЛЯРЫ
Капилляры (лат. capillaris волосной) — самые тонкостенные сосуды микроциркуляторного русла, по к-рым движется кровь и лимфа. Различают кровеносные и лимфатические капилляры (рис. 1).

Рис. 1. Микроциркуляторное русло фиброзной капсулы почки: кровеносные (1) и лимфатические (2) капилляры. Микроскопический препарат, импрегнированный азотистокислым серебром; X 120.
Содержание
Онтогенез
Клеточные элементы стенки капилляров и клетки крови имеют единый источник развития и возникают в эмбриогенезе из мезенхимы. Однако общие закономерности развития кровеносных и лимфатических Капилляров в эмбриогенезе изучены еще недостаточно. На протяжении онтогенеза кровеносные Капилляры постоянно меняются, что выражается в запустевании и облитерации одних Капилляров и новообразовании других. Возникновение новых кровеносных К. происходит путем выпячивания («почкования») стенки ранее образовавшихся К. Этот процесс происходит при усилении функции того или иного органа, а также при реваскуляризации органов. Процесс выпячивания сопровождается делением эндотелиальных клеток и увеличением размеров «почки роста». При слиянии растущего К. со стенкой предсуществующего сосуда происходит перфорация эндотелиальной клетки, расположенной на верхушке «почки роста», и соединение просветов обоих сосудов. Эндотелий капилляров, образующихся путем почкования, не имеет межэндотелиальных контактов и называется «бесшовным». К старости строение кровеносных К. существенно меняется, что проявляется уменьшением числа и размеров капиллярных петель, увеличением расстояния между ними, появлением резко извитых К., в которых сужения просвета чередуются с выраженными расширениями (Старческий варикоз, по Д. А. Жданову), а также значительным утолщением базальных мембран, дистрофией эндотелиальных клеток и уплотнением соединительной ткани, окружающей К. Эта перестройка вызывает снижение функций газообмена и питания тканей.
Кровеносные капилляры имеются во всех органах и тканях, они являются продолжением артериол, прекапиллярных артериол (прекапилляров) или, чаще, боковыми ветвями последних. Отдельные К., объединяясь между собой, переходят в посткапиллярные венулы (посткапилляры). Последние, сливаясь друг с другом, дают начало собирательным венулам, выносящим кровь в более крупные венулы. Исключением из этого правила у человека и млекопитающих являются синусоидные (с широким просветом) К. печени, расположенные между приносящими и выносящими венозными микрососудами, и клубочковые К. почечных телец, расположенные по ходу приносящих и выносящих артериол.
Кровеносные К. впервые обнаружил в легких лягушки М. Мальпиги в 1661 г.; спустя 100 лет Спалланцани (L. Spallanzani) нашел К. и у теплокровных животных. Открытие капиллярных путей транспорта крови завершило создание научно обоснованных представлений о замкнутой системе кровообращения, заложенных У. Гарвеем. В России начало систематическому изучению К. положили исследования Н. А. Хржонщевского (1866), А. Е. Голубева (1868), А. И. Иванова (1868), М. Д. Лавдовспого (1870). Существенный вклад в изучение анатомии и физиологии К. внес дат. физиолог А. Крог (1927). Однако наибольшие успехи в изучении структурно-функциональной организации К. были достигнуты во второй половине 20 в., чему способствовали многочисленные исследования, выполненные в СССР Д. А. Ждановым с сотр. в 1940—1970 гг., В. В. Куприяновым с сотр. в 1958—1977 гг., А. М. Чернухом с сотр. в 1966—1977 гг., Г. И. Мчедлишвили с сотр. в 1958— 1977 гг. и др., а за рубежом — Лендисом (E. М. Landis) в 1926—1977 гг., Цвейфахом (В. Zweifach) в 1936—1977 гг., Ренкином (E. М. Renkin) в 1952— 1977 гг., Паладе (G.E. Palade) в 1953— 1977 гг., Касли-Смитом (Т. R. Casley-Smith) в 1961—1977 гг., Видерхильмом (С. A. Wiederhielm) в 1966—1977 гг. и др.
Кровеносным К. принадлежит существенная роль в системе кровообращения; они обеспечивают транскапиллярный обмен — проникновение растворенных в крови веществ из сосудов в ткани и обратно. Неразрывная связь гемодинамической и обменной (метаболической) функций кровеносных К. находит выражение в их строении. По данным микроскопической анатомии, К. имеют вид узких трубок, стенки которых пронизаны субмикроскопическими «порами». Капиллярные трубки бывают относительно прямыми, изогнутыми или закрученными в клубочек. Средняя длина капиллярной трубки от прекапиллярной артериолы до посткапиллярной венулы достигает 750 мкм, а площадь поперечного сечения— 30 мкм 2 . Калибр К. в среднем соответствует диаметру эритроцита, однако в разных органах внутренний диаметр К. колеблется от 3—5 до 30—40 мкм.

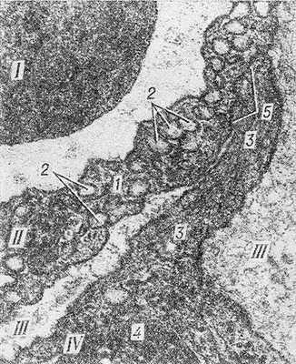
Рис. 2. Схематическое изображение строения стенки кровеносного капилляра: 1 — эндотелиальная оболочка; 2 — базальная оболочка, состоящая из базальной мембраны (3) и перицитов (4), в просвете капилляра видны эритроциты (5).

Рис. 3. Электронограмма фрагмента стенки кровеносного капилляра из околоушной слюнной железы: I — часть эритроцита в просвете капилляра; II — эндотелиоцит (1 — цитоплазма, 2 — микропиноцитозные везикулы); III — базальная мембрана; IV — перицит, расположенный в толще базальной мембраны (3 — цитоплазма, 4 — ядро, 5 — контакт отростка перицита с эндотелиоцитом).

Рис. 4. Электронограмма элементов стенки кровеносных капилляров: а — внутримозговой капилляр (1 — гликопротеидовое покрытие, 2 — эндотелиоцит); х 60 000; б — межклеточный контакт в эндотелиальной оболочке гломерулярного капилляра почки (1 — цитоплазма соседних эндотелиоцитов, 2 — контактирующие цитолеммы, 3 - межмембранный промежуток); х 90 000; в и г — гломерулярные капилляры почки (1 - открытые фенестры; 2 — диафрагмальные фенестры в цитоплазме эндотелиоцитов); X 70 000; д — стенка синусоидного капилляра печени (1 — прерывистый контакт между смежными эндотелиоцитами 2); х 35 000.
Как показали электронно-микроскопические наблюдения, стенка кровеносного К., часто называемая капиллярной мембраной, состоит из двух оболочек: внутренней — эндотелиальной и наружной — базальной. Схематическое изображение строения стенки кровеносного К. представлено на рисунке 2, более детальное — на рисунках 3 и 4.
Эндотелиальная оболочка образована уплощенными клетками — эндотелиоцитами (см. Эндотелий). Число эндотелиоцитов, ограничивающих просвет К., обычно не превышает 2—4. Ширина эндотелиоцита колеблется от 8 до 19 мкм и длина — от 10 до 22 мкм. В каждом эндотелиоците выделяют три зоны: периферическую, зону органелл, ядросодержащую зону. Толщина этих зон и их роль в обменных процессах различны. Половину объема эндотелиоцита занимают ядро и органеллы — пластинчатый комплекс (комплекс Гольджи), митохондрии, зернистая и незернистая сеть, свободные рибосомы и полисомы. Органеллы сконцентрированы вокруг ядра, вместе с к-рым составляют трофический центр клетки. Периферическая зона эндотелиоцитов выполняет в основном обменные функции. В цитоплазме этой зоны располагаются многочисленные микропиноцитозные везикулы и фенестры (рис. 3 и 4). Последние представляют собой субмикроскопические (50—65 нм) отверстия, которые пронизывают цитоплазму эндотелиоцитов и бывают перекрыты истонченной диафрагмой (рис. 4, в, г), являющейся дериватом клеточной мембраны. Микропиноцитозные везикулы и фенестры, участвующие в трансэндотелиальном переносе макромолекул из крови в ткани и обратно, в физиологии называют крупными «норами». Каждый эндотелиоцит покрыт снаружи тончайшим слоем продуцируемых им гликопротеидов (рис. 4, а), последние играют немаловажную роль в поддержании постоянства микросреды, окружающей клетки эндотелия, и в адсорбции веществ, транспортируемых через них. В эндотелиальной оболочке соседние клетки объединяются с помощью межклеточных контактов (рис. 4, б), состоящих из цитолемм смежных эндотелиоцитов и межмембранных промежутков, заполненных гликопротеидами. Эти промежутки в физиологии чаще всего отождествляют с мелкими «порами», через которые проникают вода, ионы и белки с низким молекулярным весом. Пропускная способность межэндотелиальных промежутков различна, что объясняется особенностями их строения. Так, в зависимости от толщины интерцеллюлярной щели различают межэндотелиальные контакты плотного, щелевого и прерывистого типов. В плотных контактах интерцеллюлярная щель на значительном протяжении полностью облитерирована благодаря слиянию цитолемм смежных эндотелиоцитов. В щелевых контактах величина наименьшего расстояния между мембранами соседних клеток колеблется между 4 и 6 нм. В прерывистых контактах толщина межмембранных промежутков достигает 200 нм и более. Межклеточные контакты последнего типа в физиологической литературе также отождествляют с крупными «порами».
Базальная оболочка стенки кровеносного К. состоит из клеточных и неклеточных элементов. Неклеточный элемент представлен базальной мембраной (см.), окружающей эндотелиальную оболочку. Большинство исследователей рассматривает базальную мембрану как своеобразный фильтр толщиной 30—50 нм с размерами пор, равными — 5 нм, в к-ром сопротивление проникновению частиц возрастает с увеличением диаметра последних. В толще базальной мембраны расположены клетки — перициты; их называют адвентициальными клетками, клетками Руже, или интрамуральными перицитами. Перициты имеют вытянутую форму и изогнуты в соответствии с внешним контуром эндотелиальной оболочки; они состоят из тела и многочисленных отростков, которые оплетают эндотелиальную оболочку К. и, проникая через базальную мембрану, вступают в контакты с эндотелиоцитами. Роль этих контактов, так же как и функции перицитов, достоверно не выяснена. Высказано предположение об участии перицитов в регуляции роста эндотелиальных клеток К.
Морфологические и функциональные особенности кровеносных капилляров
Кровеносные Капилляры разных органов и тканей обладают типовыми особенностями строения, что связано со спецификой функции органов и тканей. Принято различать три типа К.: соматический, висцеральный и синусоидный. Стенка кровеносных капилляров соматического типа характеризуется непрерывностью эндотелиальном и базальной оболочек. Как правило, она малопроницаема для крупных молекул белка, но легко пропускает воду с растворенными в ней кристаллоидами. К. такой структуры обнаружены в коже, скелетной и гладкой мускулатуре, в сердце и коре полушарий большого мозга, что соответствует характеру обменных процессов в этих органах и тканях. В стенке К. висцерального типа имеются окошки — фенестры. К. висцерального типа характерны для тех органов, которые секретируют и всасывают большие количества воды и растворенных в ней веществ (пищеварительные железы, кишечник, почки) или же участвуют в быстром транспорте макромолекул (эндокринные железы). К. синусоидного типа обладают большим просветом (до 40 мкм), что сочетается с прерывистостью их эндотелиальной оболочки (рис. 4, д) и частичным отсутствием базальной мембраны. К. этого типа обнаружены в костном мозге, печени и селезенке. Показано, что через их стенки легко проникают не только макромолекулы (напр., в печени, к-рая продуцирует основную массу белков плазмы крови), но и клетки крови. Последнее характерно для органов, участвующих в процессе кроветворения.
Стенка К. имеет не только общую природу и тесную морфол, связь с окружающей соединительной тканью, но связана с ней и функционально. Поступающая из кровеносного русла через стенку К. в окружающую ткань жидкость с растворенными в ней веществами и кислород переносятся рыхлой соединительной тканью ко всем остальным тканевым структурам. Следовательно, перикапиллярная соединительная ткань как бы дополняет собой микроциркуляторное русло. Состав и физ.-хим. свойства этой ткани в значительной мере определяют условия транспорта жидкости в тканях.
Сеть К. является значительной рефлексогенной зоной, посылающей к нервным центрам различные импульсы. По ходу К. и окружающей их соединительной ткани находятся чувствительные нервные окончания. По-видимому, среди последних значительное место занимают хеморецепторы, сигнализирующие о состоянии обменных процессов. Эффекторные нервные окончания у К. в большинстве органов не обнаружены.
Сеть Капилляров, образованная трубками малого калибра, где суммарные показатели поперечного сечения и площади поверхности значительно превалируют над длиной и объемом, создает наиболее благоприятные возможности для адекватного сочетания функций гемодинамики и транскапиллярного обмена. Характер транскапиллярного обмена (см. Капиллярное кровообращение) зависит не только от типовых особенностей строения стенок К.; не меньшее значение в этом процессе принадлежит связям между отдельными К. Наличие связей свидетельствует об интеграции К., а следовательно, и о возможности различного сочетания их функц, активности. Основной принцип интеграции К.— объединение их в определенные совокупности, составляющие единую функциональную сеть. Внутри сети положение отдельных К. неодинаково по отношению к источникам доставки крови и ее оттока (т. е. к прекапиллярным артериолам и посткапиллярным венулам). Эта неоднозначность выражается в том, что в одной совокупности К. связаны между собой последовательно, благодаря чему устанавливаются прямые коммуникации между приносящими и выносящими микро-сосудами, а в другой совокупности К. располагаются параллельно по отношению к К. указанной выше сети. Такие топографические различия К. обусловливают неоднородность распределения потоков крови в сети.

Рис. 5. Схематическое изображение строения стенки лимфатического капилляра с элементами окружающей соединительной ткани; 1 — эндотелиоцит; 2 — просвет лимфатического капилляра; 3 — коллагеновые протофибриллы соединительной ткани; 4—«якорные» филаменты; 5 — соединительная ткань.

Рис. 6. Электронограмма элементов стенки лимфатических капилляров и окружающей их соединительной ткани: а — эндотелиоцит (стрелками указаны микропиноцитозные везикулы); х 20 000; б — «якорные» филаменты (1), фиксирующие эндотелиоцит (2) к окружающим его коллагеновым протофибриллам (3); х 50 000; в и г — цитоплазма эндотелиоцитов (1 — лизосома, 2 — остаточное тельце); X 60 000.
Лимфатические капилляры
Лимфатические капилляры (рис. 5 и 6) представляют собой систему замкнутых с одного конца эндотелиальных трубок, которые выполняют дренажную функцию — участвуют во всасывании из тканей фильтрата плазмы и крови (жидкости с растворенными в ней коллоидами и кристаллоидами), некоторых форменных элементов крови (лимфоцитов, эритроцитов), участвуют также в фагоцитозе (захват инородных частиц, бактерий). Лимф. К. отводят лимфу через систему интра- и экстраорганных лимф, сосудов в главные лимфатические коллекторы — грудной проток и правый лимфатический проток (см. Лимфатическая система). Лимф. К. пронизывают ткани всех органов, за исключением головного и спинного мозга, селезенки, хрящей, плаценты, а также хрусталика и склеры глазного яблока. Диаметр их просвета достигает 20—26 мкм, а стенка, в отличие от кровеносных К., представлена лишь резко уплощенными эндотелиоцитами (рис. 5). Последние примерно в 4 раза крупнее, чем эндотелиоциты кровеносных К. В клетках эндотелия, кроме обычных органелл и микропиноцитозных везикул, встречаются лизосомы и остаточные тельца — внутриклеточные структуры, возникающие в процессе фагоцитоза, что объясняется участием лимф. К. в фагоцитозе. Другая особенность лимф. К. заключается в наличии «якорных», или «стройных», филаментов (рис. 5 и 6), осуществляющих фиксацию их эндотелия к окружающим К. коллагеновым протофибриллам. В связи с участием в процессах всасывания межэндотелиальные контакты в их стенке имеют различное строение. В период интенсивной резорбции ширина межэндотелиальных щелей увеличивается до 1 мкм.
Методы исследования капилляров
При изучении состояния стенок Капилляров, формы капиллярных трубок и пространственных связей между ними широко используют инъекционные и безынъекционные методики, различные способы реконструкции К., трансмиссионную и растровую электронную микроскопию (см.) в сочетании с методами морфометрического анализа (см. Морфометрия медицинская) и математического моделирования; для прижизненного исследования К. в клинике применяют микроскопию (см. Капилляроскопия).
Библиография: Алексеев П. П. Болезни мелких артерий, капилляров и артериовенозных анастомозов, Л., 1975, библиогр.; Казначеев В. П. и Дзизинский А. А. Клиническая патология транскапиллярного обмена, М., 1975, библиогр.; Куприянов В. В., Караганов Я. Л. и Козлов В. И. Микроциркуляторное русло, М., 1975, библиогр.; Фолков Б. и Нил Э. Кровообращение, пер. с англ., М., 1976; Чернух А. М., Александров П. Н. иАлексеев О. В. Микроциркуляции, М., 1975, библиогр.; Шахламов В. А. Капилляры, М., 1971, библиогр.; Шошенко К. А. Кровеносные капилляры, Новосибирск, 1975, библиогр.; Hammersen F. Anatomie der terminalen Strombahn, Miinchen, 1971; Krоgh A. Anatomie und Physiologie der Capillaren, B. u. a., 1970, Bibliogr.; Microcirculation, ed. by G. Kaley a. B. M. Altura, Baltimore a. o., 1977; Simionescu N., Simionescu M. a. Palade G. E. Permeability of muscle capillaries to small heme peptides, J. cell. Biol., v. 64, p. 586, 1975; Zweifach B. W. Microcirculation, Ann. Rev. Physiol., v. 35, p. 117, 1973, bibliogr.
Читайте также:
