Мрт при метастазах в кости таза
Метастазы в кости - очаги периферического распространением (чаще всего гематогенно) первичной опухоли с поражением костей.
Возраст чаще у пациентов старше 40 лет. Чем старше пациент, тем большая вероятность, что выявленная опухоль окажется метастазом.
Скелет поражается метастазами периферических опухолей в порядке убывания:
Множественные метастазы встречаются у 62%, одиночные – у 38%
Множественность поражения. Наиболее часто метастазы локализуются в губчатых костях (поясничный отдел позвоночника, кости таза, проксимальные отделы бедренной кости, грудной отдел позвоночника, череп).

Рис.1 Метастазы в кости
Рентгенологически выявляют три разновидности метастазов:
Остеолитические (88%) – участки деструкции (дефекты кости) с четкими контурами без склероза по периферии, без периостальной реакции, корковый слой разрушается изнутри, могут быить патологические переломы
Остеобластические (5,5%) – пораженная ткань теряет структуру и дает гомогенную интенсивную тень. Очаги могут располагать отдельно друг от друга в виде хлопьев ваты частично сливаясь, либо в виде отдельных тяжей, идущих в различных направлениях. Патологические переломы возникают значительно реже.
Смешанные (6,5%) - сочетание 1 и 2 в различных вариациях: очаговопятнистые, мелкосетчатые, крупноячеистые. Последние иногда дают вздутие и инфильтрацию мягких тканей симулирую остеобластокластому.
Пути распространения метастазов: гематогенный, лимфогенный, смешанный и имплантационный.

На МРТ метастазы в кости обычно имеют смешанный МР-сигнал оп Т2, пониженный по Т1 и повышенный по Stir, в форме очагов или диффузных областей поражения. На данном примере (рис.2) отмечаются последствия лучевой терапии (по поводу рака яичников) в виде диффузных областей поражения в поясничных и крестцовых позвонках (жировая конверсия костного мозга - повышенный МР-сигнал по Т2 и пониженный по Stir - белые стрелки), чем отличается сигнал от костного мозга пораженных лучевой энергией позвонков от сигнала неизмененных позвонков (звёздочки), а так же определяется очаг поражения слабо дифференцируемый по Т2 и хорошо заметный по Stir (желтая стрелка).

Крупные узловые массы в костях черепа (Рис.3) с локальным остеолизом, равномерной интенсивной адсорбцией контраста в их строме.
Множественное поражение костей черепа литическими метастазами

Костные метастазы достаточно хорошо выявляются на КТ в костном режиме (рис.1725, 1726 и головки стрелок на рис.1724), однако на МРТ они так же могут быть замечены по очагам изменённого МР-сигнала (головки стрелок на рис.1721-1723), а на DWI подобные метастазы могут давать повышенный МР-сигнал (стрелки на рис.1721-1723), благодаря плотноклеточности гистологической структуры метастатической опухоли.

Поражение позвоночника метастазами выявляется весьма часто при генерализации опухолевого процесса в организме. Метастатическое поражение кости приводит, чаще, к остеолитическому процессу и, реже, к склеротическому, что обусловлено активацией щелочной фосфатазы в остеокластах или остеобластах.
Менее 10% метастазов в скелет являются солитарными [118].


Множественные литические метастазы, поражающие тела позвонков, выявляемые в виде очагов пониженной интенсивности МР-сигнала, по Т1 и Т2, но имеющие повышенный МР-сигнал по Stir, отражающий реактивный процесс реструктуризации, деструкции и отёка губчатой костной ткани (головки стрелок на рис.1730), Остеолитический процесс приводит к ослаблению прочности тел позвонков и появлению патологических переломов, определяемых по клиновидной деформации тел этих позвонков (головка стрелки на рис.1732). Встречаются очаги, в которых сочетается склероз (стрелки на рис.1731) и деструкция губчатого вещества (головка стрелки на рис.1731). Нередко встречается сочетание процессов деструкции и склероза при генерализации опухолевого процесса в телах позвонков (стрелки на рис.1732).
Анамнез, подтверждающий в той или иной форме предполагаемый диагноз метастазов
Клинические проявления разнообразны и неспецифичны. В большинстве связано с общими проявлениями неопластического процесса: кахексия, слабость, субфебрилитет, а так же местные проявления - патологические переломы и боли.
В некоторых случаях обнаружение метастозов предвосхищает выявление первичного очага.
В большинстве случаев негативный, при позднем обнаружении - безнадёжный.

Статистика метастазов в кости
- Только 10% метастазов в кости представлено одиночным поражением.
- Наиболее частая опухоль кости
- Метастазы в кости – образования, которые являются вторичными по отношению к таким злокачественным опухолям, таким как миеломная болезнь, раковая опухоль молочных желез, предстательной железы, легких, почек, щитовидной железы, неходжкинская лимфома.
- Метастатические поражения обычно множественные
- Гематогенное распространение раковых клеток в кости
- Остеоклазия и/или остеосклероз
- Наиболее частая локализация метастазов: осевой скелет (области гемопоэтического костного мозга)
- Периферические поражения встречаются редко, обычно при карциноме бронхов.
Как диагностировать метастазы в кость: МРТ, КТ, ПЭТ
- Первоначальным является рентгенологическое исследование, несмотря на то, что часто встречаются ложноотрицательные результаты, особенно при исследовании позвоночника и костей таза (сложная анатомия или наложение изображения)
- При подозрении на злокачественный процесс несмотря на отрицательные результаты рентгенологического исследования, необходимо проведение КТ или МРТ
- Для поиска метастазов у пациентов с установленной первичной опухолью рекомендуется проведение сцинтиграфии или МРТ всего тела, в зависимости от первичной опухоли (например, метастазы в костях при раке молочной железы, метастазы в кости при раке простаты)
- осевой скелет (области с гемопоэтическим красным костным мозгом)
- редко периферическое расположение: наиболее частая причина — карцинома бронхов.
- деструкция ножек дужек позвонков (изображение в прямой проекции, патологические переломы тела позвонка)
- Типичные остеолитические поражения: карцинома бронхов, почечная карцинома
- Типичные остеобластические метастазы: карцинома предстательной железы, карцинома молочной железы (могут быть первично полностью остеолитическими).
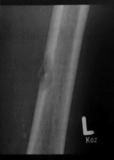
Женщина 89 лет. На рентгенограмме виден метастаз в кортикальный слой левой бедренной кости. Деструкция кортикального слоя. Первичная опухоль не установлена.
Женщина 34 лет с метастазами карциномы молочной железы. На рентгенограмме позвоночника в прямой проекции определяется деструкция правой ножки дуги Тh 12.
- Остеолитические метастазы: гипоинтенсивные очаги на Т1-взвешенном изображении
- Гиперинтенсивное в последовательности подавления МР-сигнала от жировой ткани (например, последовательность STIR.)
- Изоинтенсивное или гиперинтенсивное на Т2-взвешенном изображении
- Выраженное накопление контрастного вещества.
- Остеобластическае метастазы: гипоинтенсивные на Т1-взвешенном изображении
- Изоинтснснвное или несколько гиперинтенсивное на изображении с подавлением МР-сигнала от жировой ткани
- Гипоинтенсивное на Т2-взвсшенном изображении ТSЕ
- Обычно умеренное накопление контрастного вещества.
- Накопление 99Тс, особенно при остеобластических или смешанных литических/бластических поражениях
- Остеолитические метастазы, особенно почечной карциномы и карциномы бронхов, могут иметь нормальные признаки на сцинтиграфии.
Симптомы и лечение метастазов в костях
Типичные проявления метастазов в костях
- Интенсивный болевой синдром
- Потеря веса у пациентов с множественными метастазами
- Кахексия (изможденность) онкобольного
- Это неутешительные, изматывающиеся симптомы метастазов в кости при раке 4 степени.
Методы лечения
- При одиночном поражении — широкая резекция и эндопротезирование
- При генерализованном заболевании — химиотерапия и/или лучевая терапия согласно типу первичной опухоли
- Вертебропластика при лечении поражений позвоночника.
Течение и прогноз продолжительности жизни при метастазах в костях
- Обычно неблагоприятный, так как метастазы в кости являются показателем гематогенного распространения злокачественного процесса, в качестве примера – продолжительность жизни при раке простаты 4 степени с метастазами в кости, и как правило другие органы (печень, легкие) составляет от 1-го до 3-х лет, и в редких случаях более 3-х лет.
Что хотел бы знать лечащий врач
- Патологические переломы
- Множественные очаги
- Литическая/бластная активность
- Расположение
- Размеры
- Стабильность кости: нестабильная, если более 50% поперечного диаметра поражено или более 50% кортикального слоя эрозировано
- Разрушение кортикального слоя
- Признаки, требующие последующего исследования, преимущественно с использованием МРТ: мягкотканный компонент, окружение нервов и сосудов, поражение суставов.
С чем можно спутать метастазы в костях
Доброкачественные опухоли кости
— Географическое, единичное поражение
— Отсутствие разрушения кортикального слоя
— Склеротическое кольцо (например, при кисте кости, аневризматической кисте кости)
Остеома
— Отсутствие накопления радионуклида при сцинтиграфии, в отличие от остеобластических метастазов.
Первичная опухоль кости
— Одиночный очаг и кальцинаты матрикса опухоли вызывают подозрение на наличие первичной опухоли кости
Множественные миеломы
— Парапротеины при электрофорезе
Лимфома
— Первичная лимфома (редко)
— Вторичная лимфома при генерализованном заболевании
— Трудна для дифференциальной диагностики
Свежий остеопоротический компрессионный перелом позвонка
— Если патологический перелом является единичным, то при отсутствии травмы часто
трудно рентгенологически дифференцировать от неопластического компрессионного перелома
— При обоих видах поражения определяется накопление радионуклида при сканировании кости
— Дополнительные исследования: МРТ — линейный отек костного мозга, увеличение прозрачности; КТ – отсутствие остеолизиса, отсутствие уплотнения в мягких тканях
Советы и ошибки
- Ложные результаты при рентгенологическом исследовании (до момента до обнаружения остеолитического поражения может быть разрушено 40% костной структуры); при наличии клинически подозрительных признаков необходимо проведение КТ или МРТ
- Накопление радионуклида при сканировании кости может быть вызвано дегенеративным заболеванием или остеопоротическим коллапсом позвонка; повторное рентгенологическое исследование, КТ или МРТ всегда необходимы.
МРТ малого таза – это один из наиболее информативных и при этом безопасных методов исследования, который основывается на использовании магнитно-волнового излучения. Востребованный тип диагностирования в наше время позволяет детально рассмотреть строение внутренних органов как женщин, так и мужчин. Всестороннее обследование структур тазового отдела условно можно разделить на три основные категории, в каждой из которых содержится собственный список элементов, распознающихся электромагнитными волнами.
Что показывает МРТ органов малого таза?
В состав данного типа исследования входят различные изменения в структуре жидкостей, органов и тканей, которые можно рассмотреть в момент непосредственного проведения сеанса.
- наличие метастаз, прорастаний в иные органы;
- локализацию патологических формирований;
- истинную природу опухоли: доброкачественную или злокачественную;
- маточная ретрофлексия;
- крипторхизм;
- инфантилизм половых органов;
- загиб матки (антефлексия);
- заболевание, сопровождающееся появлением спаек;
- тромбоз и аневризма;
- образования доброкачественного характера (полипы, кисты и т. д.);
- камни в органах мочевыводительной системы;
- апоплексия яичника;
- различные повреждения мочевого пузыря;
- аденома;
- парапроктит (воспаление клетчатки прямой кишки);
- инфильтраты и пр.
Рассматриваемая процедура позволяет проверить уровень эффективности курсов химиотерапии, прописанных ранее. Подготовка к оперативному вмешательству также может осуществляться с помощью томографии.
Что показывает МРТ малого таза (его костей)?
Нередко лечащие врачи назначают своим пациентам по мере необходимости МРТ костей таза, способную достаточно подробно проявить возникшую ситуацию. Так, при использовании томографа специалисту будут видны: зарождающиеся очаги артрита и артроза, дисплазия и иные формы врожденных аномалий костной ткани, асептический некроз на разных стадиях, саркоидоз, подозрительные видоизменения связок и мышц, трещины в костных элементах, опухолевидные разрастания и пр.
Что показывает МРТ тазобедренного сустава?
Подобная разновидность томографии остается актуальной по сей день, поскольку с её помощью можно подробно рассмотреть: приобретенные и врожденные патологии; сосудистую сеть, расположенную рядом с суставом; нарушение целостности костей (трещины и пр.); состояние капсулы сустава, его головку, а также мышцы, связки, сухожилия и хрящи. При необходимости врач может дополнительно к МРТ тазобедренных суставов назначить исследование мягких тканей ягодичной области для полноты картины.

Не стоит самостоятельно назначать себе МР-ангиографию: направление на диагностику выдают специалисты узкого профиля (уролог, гинеколог, онколог и пр.) после соответствующего осмотра пациента
Показания к томографии
Магнитно-резонансная томография назначается в обязательном порядке людям, у которых в анамнезе выражены:
- подозрения на онкологию;
- аномальное строение органов брюшной полости;
- врожденные патологии;
- долговременное бесплодие;
- повреждения костей и органов малого таза;
- подозрение на разрыв кисты;
- необъяснимые вагинальные кровотечения, не связанные с менструальным циклом;
- эндометриоз;
- воспаление половых органов;
- настораживающие хронические боли.
Особенности процедуры
Поскольку томографы представляют собой сильные магниты, врачи не дают согласие на прохождение подобной процедуры людям с внедренными металлическими конструкциями – это грозит серьезными последствиями для здоровья. Если пациент крайне болезненно переносит длительное нахождение в замкнутом пространстве, ему рекомендуется отдать предпочтение томографам открытого типа.

Прежде чем зайти в специализированный кабинет, нужно снять с себя все аксессуары и металлические элементы, включая ремень и пирсинг
Подготовка к исследованию
За 2–3 дня до МРТ нужно убрать из рациона продукты, вызывающих образование газов в ЖКТ. Если потребуется, накануне процедуры стоит очистить кишечник с помощью слабительных препаратов или клизмы. За 5–7 часов до томографии необходимо прекратить прием какой-либо пищи, а за 2–3 часа – и напитков, включая воду.
Отзывы
На просторах Интернета нередко можно увидеть комментарии-страшилки, связанные с лучевой диагностикой, однако к реальности они не имеют никакого отношения. Для того чтобы впечатлительные люди не поддавались беспричинной панике, им рекомендуется ознакомиться с объективными отзывами людей, которые уже проходили томографию.
Иванка:
МТР считается самой эффективной диагностикой на сегодняшний день. Однако есть у нее 2 минуса: первый – дорого, второй – страшно. Первый минус нейтрализуется соображением: если диагноз будет не точным, потратишь значительно больше денег на неэффективное лечение. Скупой платит дважды… Второй минус – просто мифический. Кто из нас не слышал про пугающие ассоциации с гробом? Граждане, откуда такой пессимизм? Почему именно гроб, а не скажем – солярий (по внешнему виду похож)?! Именно так я себя и настроила, когда возникла необходимость сделать МРТ органов таза.
Лишь должный подход к подготовке и верный психологический настрой поспособствует получению максимально достоверной информации при томографии.
Видны ли метастазы на МРТ позвоночника?
МР-сканирование активно используют в онкологии для обнаружения рака и прочих опухолей. По результатам исследования можно обнаружить даже мельчайшие патологические изменения в мягких тканях на ранних стадиях развития заболевания.
Для оценки состояния костных структур обычно используют КТ. Однако МРТ имеет преимущество перед методами лучевой диагностики:
- процедура дает возможность выявить ранние отсевы опухолей;
- МРТ информативна еще до развития грубых морфологических изменений в позвоночнике, на стадии вытеснения атипичными клетками структур красного костного мозга.
- МР-сканирование считают методом выбора для выявления поражений нервной ткани, которые не отражают рентгеновские способы диагностики.
Чтобы обнаружить метастазы в позвоночник, МРТ обычно проводят с контрастированием. Препараты на основе редкоземельного металла (гадолиния) накапливаются в структурах с активным кровоснабжением и делают опухоли и их отсевы более заметными.

Опухолевое образование, вероятно метастатической природы, в пояснично-крестцовом отделе позвоночника на МРТ
Как выглядят метастазы в позвоночнике на МРТ?
Результатами МР-сканирования являются послойные снимки исследуемой области в нескольких проекциях. Рентгенолог имеет возможность рассмотреть любую зону позвоночника и выявить малейшие отклонения от нормы. Патологические процессы проявляются изменениями импульсов от тканей. Сигнал может быть гипо-, изо- и гиперинтенсивным.

Вторичное очаговое поражение позвоночника (зоны деструкции выделены)
В зависимости от используемого протокола импульсных последовательностей рентгенолог делает выводы о возможном происхождении нехарактерного МР-сигнала.
Чаще в позвоночник метастазируют опухоли молочной железы у женщин и предстательной у мужчин, легких. Несколько реже отсевы в эту область дают лимфома, меланома и почечно-клеточная карцинома. Чаще поражаются тела нижних грудных и поясничных позвонков.

МР-сканирование: вверху объемное паравертебральное образование, внизу — вторичное поражение костей таза
Вторичные опухоли различных типов неодинаково видны на снимках МРТ:
- остеолитические метастазы. Хорошо накапливают контрастный препарат. На Т1 взвешенных изображениях дают гипо- или изоинтенсивный сигнал. То есть, выглядят темнее окружающих тканей или соответствуют им. При применении Т2 последовательностей дают изо- или гиперинтенсивный сигнал. Остеолитические метастазы хорошо видны в режиме с подавлением сигнала от жировой ткани. Данные образования на снимках выглядят как очаги гиперинтенсивные;
- остеобластические метастазы. Слабо накапливают контрастное вещество. На Т1 и Т2 взвешенных изображениях выглядят темными. При подавлении сигнала от жировой ткани выглядят как изо- или слабо гиперинтенсивные участки;
- вторичные опухоли смешанной природы. На Т1 последовательностях могут давать как гипо-, так и гиперинтенсивный сигнал.
Чувствительность метода составляет около 90%. Однако МР-сканирование только подтверждает диагноз или позволяет предположить его. По результатам томографии невозможно отличить метастазы от первичных опухолей позвоночника. С целью дифференциальной диагностики применяют аспирационную или обычную биопсию с последующим цитологическим и гистологическим исследованием.

Метастазы в позвоночнике на МРТ (указаны стрелками)
Как описывают метастазы на МРТ?
По результатам МР-сканирования врач-рентгенолог составляет заключение на бумаге. В протоколе исследования специалист должен указать выявленные отклонения от нормы, подробно их описать. Данную информацию лечащий врач использует для постановки диагноза и назначения дополнительных обследований с целью уточнения патологических изменений.
При подозрениях на метастазы в протоколе МРТ указывают наличие признаков остеолитического, остеобластического или смешанного поражения позвонков. Врач обязательно обозначает локализацию очагов (C1-C7 — шейный отдел, T1-T12 — грудной, L1-L5 — поясничный, S1-S5 — крестцовый), их количество и распространение (единичные, множественные или диффузные). В заключении указывают размеры метастазов, наличие эрозий на позвонках, объемную часть поражения, стабильность вовлеченных в патологический процесс костей. В результатах МРТ описывают мягкотканные компоненты, признаки компрессии спинного мозга и нервных корешков, суставов, сосудов.

Метастаз в лимфатический узел на МРТ
Метастастическое поражение позвонка - это отдалённый вторичный очаг опухоли в позвонке, обусловленный гематогенным распространением метастатических клеток.
Данная патология должна быть включена в дифференциальный диагноз у пациентов старше 40 лет.
Данная статья сосредоточена только на метастазах в костные структуры позвоночника.
Перейти к конкретным статьям по темам:
- Интрадуральные экстрамедуллярные метастазы.
- Интрамедуллярные метастазы
Метастазы в позвоночник уже присутствуют в 10% случаях впервые выявленного рака, и гораздо чаще встречаются в старших возрастных группах (старше 50 лет).
Патологические изменения позвоночника в том числе его поражение, обусловленное метастазированием, очень часто протекает бессимптомно, поэтому часто обнаруживается случайно, когда визуализация выполняется по другим причинам (например, стадирование).
- боль в костях
- патологические компрессионные переломы
- прорастание в позвоночный канал с последующей компрессией спинного мозга.
Наиболее частыми первичными опухолями, которые метастазируют в позвонок являются:
- рак молочной железы
- рак легкого
- рак простаты
- лимфома
- почечно-клеточная карцинома
- меланома
Типы метастазирования:
- Остеобластический (склеротический)
- Остеолитический
- Смешанный
Первичные опухоли, которые преимущественно дают остеобластический тип метастазирования:
- карцинома простаты
- остеосаркома
- медуллярная карцинома щитовидной железы
Первичные опухоли, которые преимущественно дают остеолитический тип метазирования, но также могут давать, но реже остеобластический тип метастазирования:
- рак молочной железы
- лимфома
- уротелиальная карцинома
Первичные опухоли, которые преимущественно дают остеолитический тип метастазирования:
- рак легкого
- злокачественные опухоли ЖКТ
- почечно-клеточная карцинома
- злокачественная меланома
- множественная миелома
Метастатические поражения могут иметь практически любой внешний вид. Они могут имитировать доброкачественные изменения или злокачественные изменения, характерные для первичной опухоли кости. Это может быть трудно, если даже не невозможно, чтобы дифференцировать метастастическое поражение позвонка от не-метастатического поражения.
КТ-картина будет зависеть от степени минерализации метастаза. Литические метастазы проявляются, как участки деструкции с нечеткими неровными контурами. Остеолитические метастазы нередко прорастают в позвоночный канал, корешковые каналы, паравертебральную клетчатку.
Склеротические поражения обычно визуализируются гиперденсными, с неровными контурами, не выходящие за пределы позвонков.
- Остеолитические метастазы: гипоинтенсивные очаги на Т1-взвешенном изображении
- Изо- гипо-тенсивный сигнал на Т1-взвешенном изображении.
- Изоинтенсивный или гиперинтенсивный на Т2-взвешенном изображении.
- Гиперинтенсивный в последовательности подавления МР-сигнала от жировой ткани (например, последовательность STIR).
- Выраженное накопление контрастного вещества.
- Остеобластическае метастазы: гипоинтенсивные на Т1-взвешенном изображении
- Гипоинтенсивный сигнал на Т1-взвешенном изображении
- Изоинтесивный или несколько гиперинтенсивный на изображении с подавлением МР-сигнала от жировой ткани
- Гипоинтенсивный на Т2-взвешенном изображении
- Обычно умеренное накопление контрастного вещества.
- Смешенные метастазы
- Гипоинтенсивный сигнал на Т1
- Гипер или гипоинтенсивный сигнал на Т1
- Накопление 99Тс, особенно при остеобластических или смешанных литических/бластических поражениях
- Остеолитические метастазы, особенно почечной карциномы и карциномы бронхов, могут иметь нормальные признаки на сцинтиграфии
Для оценки прогноза и тактики лечения используется шкала SINS (Шкала нестабильности) Spine Instability Neoplastic Score. Сумма баллов в 7-18 расценивается, как показание к консультации хирурга.
Для остеобластных метастазов следующий дифференциальный диагноз::
- острова кость (эностоз)
- спондилосклероз
- первичные костные опухоли (остеобластома, остеоидная остеома)
- терапевтические эффекты (лучевая, химиотерапия, вертебропластика)
- (в основном одиночные поражения, однако пациенты могут предстать с раком в анамнезе).
Для смешанного склеротических и литических экстрадуральных поражений костей следующий дифференциальный диагноз:
- первичные опухоли костей
- остеобластома
- остеоидная остеома
- эффекты после терапии/лечения
- лучевая терапия
- химиотерапия
- вертебропластика
Литические экстрадуральные поражения костей:
- первичные опухоли костей
- аневризмальная киста кости
- шваннома
- инфекционный спондилит
- атипичная гемангиома
Статистика метастазов в кости
- Только 10% метастазов в кости представлено одиночным поражением.
- Наиболее частая опухоль кости
- Метастазы в кости – образования, которые являются вторичными по отношению к таким злокачественным опухолям, таким как миеломная болезнь, раковая опухоль молочных желез, предстательной железы, легких, почек, щитовидной железы, неходжкинская лимфома.
- Метастатические поражения обычно множественные
- Гематогенное распространение раковых клеток в кости
- Остеоклазия и/или остеосклероз
- Наиболее частая локализация метастазов: осевой скелет (области гемопоэтического костного мозга)
- Периферические поражения встречаются редко, обычно при карциноме бронхов.
Как диагностировать метастазы в кость: МРТ, КТ, ПЭТ
- Первоначальным является рентгенологическое исследование, несмотря на то, что часто встречаются ложноотрицательные результаты, особенно при исследовании позвоночника и костей таза (сложная анатомия или наложение изображения)
- При подозрении на злокачественный процесс несмотря на отрицательные результаты рентгенологического исследования, необходимо проведение КТ или МРТ
- Для поиска метастазов у пациентов с установленной первичной опухолью рекомендуется проведение сцинтиграфии или МРТ всего тела, в зависимости от первичной опухоли (например, метастазы в костях при раке молочной железы, метастазы в кости при раке простаты)
- осевой скелет (области с гемопоэтическим красным костным мозгом)
- редко периферическое расположение: наиболее частая причина - карцинома бронхов.
- деструкция ножек дужек позвонков (изображение в прямой проекции, патологические переломы тела позвонка)
- Типичные остеолитические поражения: карцинома бронхов, почечная карцинома
- Типичные остеобластические метастазы: карцинома предстательной железы, карцинома молочной железы (могут быть первично полностью остеолитическими).

Женщина 89 лет. На рентгенограмме виден метастаз в кортикальный слой левой бедренной кости. Деструкция кортикального слоя. Первичная опухоль не установлена.

Женщина 34 лет с метастазами карциномы молочной железы. На рентгенограмме позвоночника в прямой проекции определяется деструкция правой ножки дуги Тh 12.
- Остеолитические метастазы: гипоинтенсивные очаги на Т1-взвешенном изображении
- Гиперинтенсивное в последовательности подавления МР-сигнала от жировой ткани (например, последовательность STIR.)
- Изоинтенсивное или гиперинтенсивное на Т2-взвешенном изображении
- Выраженное накопление контрастного вещества.
- Остеобластическае метастазы: гипоинтенсивные на Т1-взвешенном изображении
- Изоинтснснвное или несколько гиперинтенсивное на изображении с подавлением МР-сигнала от жировой ткани
- Гипоинтенсивное на Т2-взвсшенном изображении ТSЕ
- Обычно умеренное накопление контрастного вещества.
- Накопление 99Тс, особенно при остеобластических или смешанных литических/бластических поражениях
- Остеолитические метастазы, особенно почечной карциномы и карциномы бронхов, могут иметь нормальные признаки на сцинтиграфии.
Симптомы и лечение метастазов в костях
Типичные проявления метастазов в костях
- Интенсивный болевой синдром
- Потеря веса у пациентов с множественными метастазами
- Кахексия (изможденность) онкобольного
- Это неутешительные, изматывающиеся симптомы метастазов в кости при раке 4 степени .
Методы лечения
- При одиночном поражении - широкая резекция и эндопротезирование
- При генерализованном заболевании - химиотерапия и/или лучевая терапия согласно типу первичной опухоли
- Вертебропластика при лечении поражений позвоночника.
Течение и прогноз продолжительности жизни при метастазах в костях
- Обычно неблагоприятный, так как метастазы в кости являются показателем гематогенного распространения злокачественного процесса, в качестве примера – продолжительность жизни при раке простаты 4 степени с метастазами в кости, и как правило другие органы (печень, легкие) составляет от 1-го до 3-х лет, и в редких случаях более 3-х лет.
Что хотел бы знать лечащий врач
- Патологические переломы
- Множественные очаги
- Литическая/бластная активность
- Расположение
- Размеры
- Стабильность кости: нестабильная, если более 50% поперечного диаметра поражено или более 50% кортикального слоя эрозировано
- Разрушение кортикального слоя
- Признаки, требующие последующего исследования, преимущественно с использованием МРТ: мягкотканный компонент, окружение нервов и сосудов, поражение суставов.
С чем можно спутать метастазы в костях
Доброкачественные опухоли кости
- Географическое, единичное поражение
- Отсутствие разрушения кортикального слоя
- Склеротическое кольцо (например, при кисте кости, аневризматической кисте кости)
Остеома
- Отсутствие накопления радионуклида при сцинтиграфии, в отличие от остеобластических метастазов.
Первичная опухоль кости
- Одиночный очаг и кальцинаты матрикса опухоли вызывают подозрение на наличие первичной опухоли кости
Множественные миеломы
- Парапротеины при электрофорезе
Лимфома
- Первичная лимфома (редко)
- Вторичная лимфома при генерализованном заболевании
- Трудна для дифференциальной диагностики
Свежий остеопоротический компрессионный перелом позвонка
- Если патологический перелом является единичным, то при отсутствии травмы часто
трудно рентгенологически дифференцировать от неопластического компрессионного перелома
- При обоих видах поражения определяется накопление радионуклида при сканировании кости
- Дополнительные исследования: МРТ - линейный отек костного мозга, увеличение прозрачности; КТ – отсутствие остеолизиса, отсутствие уплотнения в мягких тканях
Советы и ошибки
- Ложные результаты при рентгенологическом исследовании (до момента до обнаружения остеолитического поражения может быть разрушено 40% костной структуры); при наличии клинически подозрительных признаков необходимо проведение КТ или МРТ
- Накопление радионуклида при сканировании кости может быть вызвано дегенеративным заболеванием или остеопоротическим коллапсом позвонка; повторное рентгенологическое исследование, КТ или МРТ всегда необходимы.
Читайте также:


