Тотальное эндопротезирование тазобедренного сустава у собак

Тотальное эндопротезирование тазобедренного сустава – это процедура замены вертлужной впадины и головки бедренной кости искусственными имплантатами. Коммерческие системы доступны как для цементной, так и для бесцементной техники фиксации имплантатов (рис 1).


Цель тотального эндопротезирования тазобедренного сустава состоит в том, чтобы восстановить полноценные движения в тазобедренном суставе, которые отсутствовали вследствие дегенеративных изменений, ограничивающих диапазон движения сустава, а также устранить болевой синдром, обусловленный развитием хронического остеоартрита. Последние исследования, проведенные с использованием чувствительной к компрессии беговой дорожки для объективного анализа, подчеркивают, что тотальное эндопротезирование тазобедренного сустава является очень эффективным способом хирургического лечения, позволяющим восстановить собакам полноценную опороспособность уже через 3 месяца после операции [1].
Показаниями для тотального эндопротезирования тазобедренного сустава являются: остеоартрит на фоне дисплазии тазобедренного сустава, травматические или хронические диспластические вывихи тазобедренного сустава, состояние после резекционной артропластики тазобедренного сустава, переломы вертлужной впадины или перелом головки бедренной кости и посттравматические дегенеративные поражения сустава [2].
Актуальность
Эндопротезирование является самым эффективным, надежным и современным методом хирургического лечения травматических и дегенеративных заболеваний тазобедренного сустава, благодаря чему оно в ряде стран давно перешло из разряда уникальных в категорию рутинных оперативных вмешательств. Эндопротезирование тазобедренного сустава является методом выбора почти для всех пациентов с его патологией, сопровождающейся функциональной недостаточностью, дискомфортом и болью. Большинство пациентов имеют великолепный прогноз относительно долгосрочного восстановления качества жизни. В последние годы тотальное эндопротезирование тазобедренных суставов развивается в ветеринарной медицине как передовой метод лечения. Накопленный опыт клинических испытаний и широкий выбор индивидуальных имплантатов позволяют с минимальными послеоперационными осложнениями провести данную операцию. Успешность данного метода в ветеринарной медицине очень высока в долгосрочной перспективе в сравнении с другими методами хирургического вмешательства или консервативной терапией [2, 3 ,4, 5].
Бесчашечное (однополюсное) эндопротезирование тазобедренного сустава является вариативным методом лечения патологий тазобедренного сустава у собак. На сегодняшний день в мире проведено около 150 подобных операций [1]. От тотального эндопротезирования данный метод отличает отсутствие протеза вертлужной впадины. Интраоперационно вертлужная впадина ремоделируется с помощью специализированных инструментов (риммеров) с сохранением суставной капсулы (рис. 2).

Данная техника позволяет значительно удешевить операцию, избежать осложнений, связанных с вывихом чашки эндопротеза, а также сократить время хирургического вмешательства [6].
Цель работы
Провести анализ эффективности эндопротезирования тазобедренных суставов бесцементными однополюсными эндопротезами компании KYON на основании серии клинических случаев.
Материалы и методы
Материалом для данного исследования послужила популяция собак различных пород (n=15), которым была проведена процедура эндопротезирования тазобедренных суставов бесцементными однополюсными эндопротезами компании KYON с января 2017 г. по январь 2019 г. включительно в связи с диагностированной дисплазией тазобедренных суставов и сопутствующим остеоартрозом различной степени выраженности. Поводом для обращения к врачу послужила хроническая или острая хромота на одну или обе тазовые конечности. В общей сложности были установлены 18 протезов тазобедренных суставов 15 собакам.
Предоперационное планирование
Хирургическая техника
Техника операции включает стандартный кранио-латеральный доступ к тазобедренному суставу и проксимальному отделу бедренной кости, частичную миотомию глубокой ягодичной мышцы, Т-образное вскрытие капсулы сустава, вывихивание головки бедренной кости, резекцию головки и частично шейки бедренной кости, формирование интрамедуллярного канала для установки ножки эндопротеза, подготовку в соответствии с результатами предоперационного планирования вертлужной впадины, удаление круглой связки, остеофитов, хрящевой ткани до губчатой кости, установку ножки эндопротеза и ее фиксацию блокируемыми моно- и бикортикальными винтами, установку протеза шейки (размер определяется интраоперационно) и протеза головки бедренной кости, вправление головки протеза во вновь сформированную вертлужную впадину. После репозиции стабильность сочленения контролируется проведением 3 тестов: экстензии, флексии и ротации. На следующем этапе проводится ушивание капсулы сустава монофиламентной абсорбирующейся нитью, прерывистыми узловыми швами; сшивание глубокой ягодичной мышцы, послойное ушивание операционной раны абсорбирующейся нитью (рис. 3-7). После операции выполняется контрольная рентгенография для оценки положения имплантов (рис. 8) [4,5].

В послеоперационном периоде всем животным была назначена стандартная антибиотикотерапия в течение 14 дней, селективные нестероидные противовоспалительные препараты в течение 7 дней. Всем животным было рекомендовано ограничение подвижности на срок 1 месяц с постепенным увеличением нагрузки в более поздний послеоперационный период. Согласно данным литературы, рекомендуемые сроки послеоперационной реабилитации составляют 3 месяца.
Протокол послеоперационного осмотра подразумевает контрольный клинический осмотр и рентгенографию через 2 недели, 1, 3 и 6 месяцев, далее осмотр осуществляется ежегодно.
Рекомендации в отдаленном послеоперационном периоде для всех животных включают контроль массы тела, регулярные умеренные физические нагрузки, приветствуется реабилитация под контролем врача-реабилитолога, включающая физио-процедуры, гидротерапию, мануальную терапию.
Результаты и обсуждение
Максимальный срок послеоперационного наблюдения составил 24 месяца. Количество клинических случаев со сроком наблюдения больше 3-х месяцев – 14. Один пациент был эвтаназирован через месяц после операции в связи с быстро прогрессирующим онкологическим заболеванием.
У 1 собаки интраоперационнно возникли осложнения, не позволившие провести протезирование. Проведенная ранее резекционная артропластика этого сустава, а также деформация бедренной кости, обусловленная сращением сложного нереконструируемого перелома ее проксимального отдела у данного пациента не позволила корректно зафиксировать ножку протеза. Также интраоперационные осложнения возникли при установке 4 эндопротезов (22%). Из них в 3 случаях произошли трещины кортикального слоя проксимального отдела бедренной кости при установке ножки. С целью профилактики перелома диафиза на проксимальный отдел бедренной кости были наложены проволочные серкляжные швы, никакого влияния на темпы восстановления и отдаленные результаты операции эти осложнения не оказали (рис. 9).

В одном случае при репозиции головки эндопротеза в вертлужную впадину произошел сложный диафизарный перелом бедренной кости, что потребовало выполнения одномоментного накостного остеосинтеза. Мы склонны считать, что данное осложнение обусловлено ошибкой, допущенной нами при выборе пациента для эндопротезирования. В раннем послеоперационном периоде осложнения возникли у 2 пациентов (11%). В первом случае произошел вывих головки, что повлекло за собой необходимость повторной операции. Однако через месяц у этого же пациента был диагностирован травматический перелом бедренной кости в результате которого мы были вынуждены извлечь эндопротез. Во втором случае у пациента клинически наблюдалась хроническая хромота на протяжении нескольких недель с выраженной воспалительной реакцией костной ткани вертлужной впадины и развитием неспецифического асептического воспаления. После проведения гистологического, а также трехкратного цитологического и микробиологического исследования, позволивших исключить септическую природу данного воспаления, было принято решение о замене бесчашечного эндопротеза на чашечный. Таким образом, эндопротезирование тазобедренного сустава у данного пациента стало тотальным. В отдаленном периоде (более 3 месяцев) у одного пациента с билатеральным протезированием тазобедренных суставов (22%) через 18 месяцев после второй операции развился острый остеомиелит, не отвечавший на антибиотикотерапию, что повлекло за собой необходимость извлечения имплантатов. Общий процент осложнений составил 42%, из них 11% стали причиной извлечения имплантатов.
Степень хромоты животного в отдаленном послеоперационном периоде через 3 месяца после хирургического вмешательства являлась для нас одним из основных критериев оценки результатов эндопротезирования. Согласно литературным данным, именно этот период считается полным сроком реабилитации и при отсутствии осложнений должен привести к полноценному восстановлению опороспособности на конечность. Для определения степени хромоты мы использовали данные контрольных осмотров пациентов, а также результаты опроса владельцев и анализ присылаемых ими видеоматериалов (табл. 1).
У всех пациентов опороспособность на конечность наблюдалась в течение первых 2-х суток после операции. Дальнейшие темпы реабилитации варьировались в зависимости от возраста пациента, степени гипотрофии мышц и наличия сопутствующих патологий. Важную роль играли такие факторы как продолжительность операции, ятрогенная травма мягких тканей и возможности хирурга, выполнявшего операцию.
Таким образом, исходя из результатов клинического осмотра и данных опросов владельцев, из 11 собак, срок наблюдения за которыми составил более 3-х месяцев (14 суставов), состояние 10 (91%) собак значимо улучшилось после операции, уменьшилась интенсивность хромоты, восстановился объем мышечной массы тазовых конечностей, увеличилась активность животных, что в целом способствовало существенному улучшению качества жизни.
Степень хромоты на прооперированную конечность до операции
Степень хромоты на прооперированную конечность через 3 месяца после операции

Эндопротезирование в лечении артроза суставов таза у собак
Ветцентр доктора Воронцова успешно проводит диагностику и лечение артроза тазобедренных суставов у собак. Производится точная диагностика и если есть четкие показания делается эндопротезирование у собак.
Артроз (остеоартрит) тазобедренных суставов у собак, который может быть не только по причине дисплазии, приводит к нарушению функции тазовых конечностей на фоне прогрессирования болей. Собака часто в этой ситуации хромает, отмечается скованность походки, неправильная постановка конечностей, сложности с подниманием веса тела при вставании, быстрая утомляемость, дискомфорт и многое другое. Традиционная терапия с использованием противовоспалительных препаратов не всегда адекватно помогает.
Эндопротезирование тазобедренных суставов у собак является методом, который позволяет убрать боли в тазобедренном суставе и полноценно восстановить функцию тазовых конечностей у собак.
Кому показана операция по эндопротезированию тазобедренного сустава?
Это пациенты, которые имеют хромоту различной степени на задние конечности, не купирующуюся противовоспалительными препаратами.
Все кандидаты проходят ортопедическую и неврологическую оценку. Очень важно исключить неврологические проблемы, которые могут напоминать по своему клиническому течению ортопедические. Из ортопедических проблем обязательно исключается разрыв передней крестообразной связки и патологии скакательного сустава. Разрыв передней крестообразной связки у собак, является основной причиной хромоты на тазовые конечности. Самый молодой возраст для проведения эндопротезирования тазобедренного сустава 10 месяцев. На сегодняшний день, практически нет ограничений по массе тела пациентов. Существуют различные размеры эндопротезов, которые могут подходить карликовым и гигантским породам.
Противопоказания к эндопротезированию тазобедренных суставов
Есть абсолютные и относительные противопоказания. Основными абсолютными противопоказаниями являются: возраст до 10 месяцев, сопутствующие заболевания при которых нет возможности проводить общую анестезию. К относительным противопоказаниям относят патологии кожи (пиодермии) в области оперативного доступа, избыточный вес, инфекционный артрит, системные заболевания и инфекции, иммуносупрессия, онкология.
Перед проведением операции по эндопротезированию тазобедренного сустава у собак необходимо провести обследование пациента, которое включает в себя: физикальный осмотр, исследование крови и мочи, ЭХО КГ, рентгенографию.
Часто пациенты с проблемами тазобедренного сустава при проведении физикального обследования имеют болезненность в области сустава, гипотрофию или атрофию мышц. Нестабильность, с положительным симптом Ортолани, выявляется в основном у молодых пациентов.
Важным методом диагностики является рентгенография, которая позволяет не только определить наличие и стадию патологического процесса, но и провести расчетную часть по выбору вида эндопротеза и его размера. Выполняются определенные виды укладок.
На сегодняшний день существует множество разновидностей эндопротезов. В нашей практике используются цементные и бесцементные эндопротезы американской фирмы BioMedtrix (фото 1 а,б,в). Данные эндопротезы устанавливают специалисты прошедшие обучение и сертификацию.

Фото 1а. Эндопротез ТБС

Фото 1б. Безцементный эндопротез ТБС

Фото 1в. Цементный эндопротез ТБС
При проведении хирургической операции проводится удаление патологической головки бедренной кости и подготавливается канал для ножки эндопротеза, обрабатывается суставная поверхность вертлужной впадины под соответствующую чашку эндопротеза. Затем имплантируется чашка и эндопротез бедренной части.
После проведения операции по эндопротезированию тазобедренного сустава необходимо наблюдать за постоперационными швами. В некоторых случаях может быть постоперационный отек и скопление экссудата. Снимаются швы на 14-15 сутки. Назначается курс антибиотикотерапии, противовоспалительные и обезболивающие препараты. Рекомендуется сократить нагрузки на оперированную конечность в течение 50-60 дней. Полностью функция конечности восстанавливается через 5-6 месяцев.
В 90% — 96% случаев после операции осложнений не наблюдается. Однако в некоторых ситуациях могут возникнуть осложнения, которые обычно проявляются в первые две, три недели. Основными ранними осложнениями являются: вывих сустава, переломы бедренной кости. Поздние осложнения проявляются в виде инфекционных и остеолитических процессов, ранний износ эндопротеза.
Учитывая небольшой процент осложнений и полноценное восстановление функции конечности, эндопротезирование имеет показания и практическое применение при дисплазии и артрозе тазобедренного сустава у собак.
При необходимости установки суставного эндопротеза вашему животному, приходите к нам в ветеринарный центр. Ветклиника Воронцова находится в ЮАО, недалеко от пересечения МКАД и Каширского шоссе. Точный адрес: Совхоз им. Ленина, дом 3а (смотрите схему проезда), метро Домодедовская, Орехово, Зябликово. По любым вопросам можно проконсультироваться по телефонам:
Тотальная артропластика тазобедренного сустава у собак.
Самошкин И.Б.
Лечебно-диагностический центр травматологии животных СББЖ САО г. Москвы.
Объединение ветеринарии г. Москвы
В литературе последних лет приводятся данные о новых методах реконструктивно-восстановительных операций при патологических состояниях art. coxae. Однако, последствия подобных вмешательств зачастую выражаются в проявлении ранних и поздних постоперационных осложнений.
Большое количество и тяжесть постоперационных осложнений в ближайшие и отдаленные сроки после операции вызывают сдержанно-настороженное отношение оперирующих хирургов к существующим методикам. Несмотря на определенные успехи, пока нет не только оптимального метода резекционной или интерпозиционной артропластики, но даже такого, который дает устойчиво хорошие результаты. Все это указывает на недостаточную изученность вопроса о лечении тазобедренных артропатий.
Разработанная и запатентованная нами тотальная артропластика (патент № 2043089 от 10.IX.95. г.) включает 4 этапа хирургического вмешательства на тазобедренном суставе.
Третий этап - имплантация искусственной связки тазобедренного сустава. Для этой цели применяли лавсановую ленту или (во избежание осложнений) кетгут № 1, три нити которого сплетали в косичку и фиксировали трансоссально к большому вертелу и верхнему своду вертлужной впадины через предварительно просверленные в кости каналы (рис. 3-4). Имплантированной связке придавали оптимально физиологическое натяжение, которое контролировали абдукционно-аддукционными, флексорно-экстензорными, а также ротационными движениями конечности.
Четвертым, заключительным, этапом является миопластика капсулы сустава. На капсулу и прилегающие к суставу мышцы накладывали кисетный шов, стягивая его в области культи шейки бедра (рис. 5). Операционную рану зашивали послойно наглухо.
Клиническая оценка состояния оперированной конечности.
Осматривая больных животных в послеоперационном периоде клинически и оценивая состояние оперированной конечности, мы принимали во внимание степень восстановления ее оси, функциональную установку и амплитуду движений в оперированном суставе и суставах дистальных отделов больной конечности, целость и трофику мягких тканей, анатомическое укорочение, а также сосудистые и неврологические нарушения оперированной конечности, инфекционные осложнения после проведенного оперативного вмешательства, косметические дефекты, обусловленные лечением, функциональную пригодность оперированного сустава и конечности в целом.
Наблюдение над животными показало, что все они удовлетворительно переносили операцию тотальной артропластики. Пробуждение от наркоза у собак начиналось через 1,5-3 часа после операции. В течение первых суток во всех наблюдениях общее состояние было удовлетворительным, животные большую часть времени спали. Приступать на оперированную конечность начинали на 2-3 сутки после операции, постепенно включая ее в стато-локомоторный акт. Показатели температуры, пульса и дыхания у всех животных нормализовались на 5-7 сутки, послеоперационный отек спадал на 6-8 день.
У всех животных видимого воспаления в пределах кожи, подкожной клетчатки или костной ткани не наблюдали. Операционные раны зажили первичным натяжением без косметических дефектов. К моменту снятия швов через 2 недели после операции у всех оперированных пациентов тазобедренные суставы, а также суставы дистальных отделов больной конечности были установлены в функционально физиологическом положении. При осмотре атрофии мягких тканей оперированной области не обнаружено, сосудистых и неврологических нарушений не выявлено, косметические дефекты, обусловленные оперативным вмешательством, отсутствуют. Отмечена анатомическая непрерывность мягких тканей в области артропластики. Во время исследования амплитуды движений тазобедренного сустава в крайних положениях у всех собак отмечали выраженный болевой синдром.
Через 1 месяц после тотальной артропластики у всех собак тазобедренные суставы и суставы дистальных отделов оперированной конечности были установлены в функционально физиологическом положении, какие-либо ограничения объема движений оперированного сустава не наблюдали. У всех оперированных животных имела место сильная хромота типа опирающейся конечности, сосудистые и неврологические нарушения в области оперативного вмешательства отсутствовали. Полное восстановление функциональной пригодности конечности отмечали в сроки 1,5-3 месяца после оперативного вмешательства. По истечении этого периода реабилитации все оперированные собаки свободно вставали на тазовые конечности, прыгали и передвигались без каких-либо признаков хромоты. Сосудисто-неврологические нарушения, косметические дефекты и явления атрофии мягких тканей оперированной конечности отсутствовали. Во всех наблюдениях с артропластикой отмечали полный объем движений в суставах.
Заключение
Проблема устранения нестабильности тазобедренного сустава вследствие различных дегенеративно-дистрофических процессов остается, несмотря на предложенные многочисленные методы, актуальной и по настоящее время. Биологический подход и стремление восстановить тазобедренный сустав и его элементы позволили глубже проникнуть в тайну патологического процесса.
В этой связи, метод тотальной артропластики способствует купированию очага поражения и коррекции анатомических составляющих оперируемой области.
Обобщая представленные данные, касающиеся результатов проведения реконструктивно-восстановительной операции на тазобедренном суставе, можно отметить, что в течение 4-х недель после артропластики происходит фактически полное восстановление прочностных характеристик тазобедренного сочленения.
В.Н. Митин. Клиника экспериментальной терапии РОНЦ им. Н. Н. Блохина (Москва)
С.А. Ягников. Клиника экспериментальной терапии РОНЦ им. Н.Н. Блохина, Российский университет дружбы народов (Москва)
Сокращения: АН — асептическая нестабильность ( Асептическая нестабильность — расшатывание фрагментов эндопротеза на фоне асептического воспаления окружающей ткани (Примеч. авторов). ); ДТБС — дисплазия тазобедренного сустава; РА — резекционная артропластика; ТБС — тазобедренный сустав; ЭП — эндопротез
Введение
Замена ТБС при его дисплазии искусственным протезом у собак средних и крупных пород в возрасте старше полутора лет — операция, благодаря которой удается максимально восстановить функцию тазовой конечности [3, 6, 7, 8, 10, 14]. Впервые тотальный ЭП для собак разработал Gormann в 1957 г. В последующем важными направлениями усовершенствования ЭП стали поиск композитных материалов и формы, обеспечивающих максимальную прочность при минимальном трении составных частей, а также поиск надежных методов фиксации. В настоящее время во многих клиниках мира полное эндопротезирование ТБС с первичной фиксацией имплантата костным цементом превратилось в рутинную операцию [6, 7, 10, 17].
Цель исследования
Цель исследования состояла в изучении отдаленных результатов тотального замещения ТБС у собак эндопротезом, фиксированным костным цементом, и анализе с использованием сенсорной платформы функции ходьбы. Отдаленные последствия операции оценивали, анализируя морфологические изменения костной ткани на границе с имплантатом.
Материалы и методы
Протезы фирм MATHYS (Швейцария) и AEUSCULAP (Германия) имплантировали 32 собакам обоего пола в возрасте от 8 мес до 2 лет с диагнозом ДТБС.
На первом этапе исследования на 12 собаках (группа 1) отработали технику эндопротезирования и способ фиксации ЭП цементом (в общей сложности выполнено 13 операций).
Четырнадцати собакам, у которых общее число операций по полному эндопротезированию ТБС составило 18 (группа 2), вводили цемент с помощью пистолета-шприца в интрамедуллярный канал с одновременным удалением воздуха через отводящую трубку. Кроме того, у этих животных при соответствующих показаниях проводили костную пластику дорсального края суставной впадины. Для профилактики вывихов в раннем послеоперационном периоде ЭП стабилизировали лавсановой лентой.
Помимо этого 6 здоровым собакам операцию эндопротезирования выполнили в экспериментальных целях.
Контролем послужили две здоровых собаки, которым имплантировали отечественные ЭП (типа Сиваш ГЭП ЦИТО).
В разные сроки после эндопротезирования 6 собак опытных групп подвергли ревизионным операциям. От них и других 4 животных опытных групп, которые погибли по причинам, не связанным с эндопротезированием ТБС, или были подвергнуты эвтаназии в связи с сопутствующим заболеванием, взяли секционный материал для гистологического анализа участков костей, граничащих с имплантатами. Материал исследовали по стандартной методике, включавшей в себя предварительную обработку проб фиксацией в 10%-м растворе формалина и 2. 3-недельную декальцинацию в растворах кислот. Из залитых парафином блоков материала готовили тонкие срезы, которые после окраски гематоксилином и эозином, пикрофуксином по Ван-Гизону и Гомори исследовали под световым микроскопом (х 250, х 400).
У 6 собак не удалось оценить отдаленные результаты операции: 2 животных погибли, 4 собак владельцы после операции больше не приводили в клинику.
Результаты
Результаты эндопротезирования оценили у 16 собак 1-й 2-й групп, у которых отсутствовали осложнения в раннем и позднем послеоперационных периодах. У 6 из них были прооперированы оба сустава. Следовательно, общее число прооперированных суставов составило 22. В16 из 22 наблюдений (72,7 %) животные не хромали при различных движениях; в 4 из 22 (18,2 %) обнаружена хромота легкой степени в начале движения или после длительной нагрузки и в 2 из 22 (9,1 %) — постоянная хромота на оперированную конечность. В 16 из 22 случаев увеличилась окружность бедра оперированной конечности на 3. 8 см вследствие нарастания мышечной массы.
Биомеханические исследования на сенсорной платформе показали, что у собак после эндопротезирования ТБС увеличились реакция опоры конечности (с 92±2,3 до 122±4,3 Н) и среднее давление плюсны под стопой — с 2,1±0,9 до 2,5±0,9 Н/см2. В 18 из 22 случаев (81,8 %) график реакции опоры имел двугорбый перекат, что свидетельствует о восстановлении статической и динамической функций конечности.
Средняя продолжительность срока службы импортных эндопротезов в первой группе составила 625 сут (120. 1036).
Осложнения в раннем послеоперационном периоде выявлены в 7 из 13 случаев (53,8%), а в позднем — в Низ 13(84,6%). Из-за этих осложнений в 53,8 % случаев пришлось удалять эндопротезы и формировать на уровне ТБС подвижное соединение по типу неоартроза. Наиболее часто возникающее осложнение в раннем послеоперационном периоде (первый месяц) — вывих бедренного компонента (головки) эндопротеза — наблюдали в 5 из 13 случаев (38,5 %) в среднем через 11,2 сут (от 1 до 45) после операции (в 3 из 5 случаев — в течение 2 сут после нее). При развитии указанного осложнения животных подвергали повторной операции с ревизией чашки и ножки эндопротеза. В двух случаях пришлось прибегнуть к ревизионному эндопротезированию, в одном — стабилизировать бедро проволокой и в двух — лавсановой лентой. Однако в течение двух последующих месяцев у двух животных из-за рецидива осложнений и развития гнойной инфекции протезы были удалены.
Нейропраксию седалищного нерва отметили в 2 из 13 случаев (15,4%). При данном осложнении специальное лечение не назначали. Функция разгибателей пальцев тазовой конечности восстановилась через 14 и 19 сут.
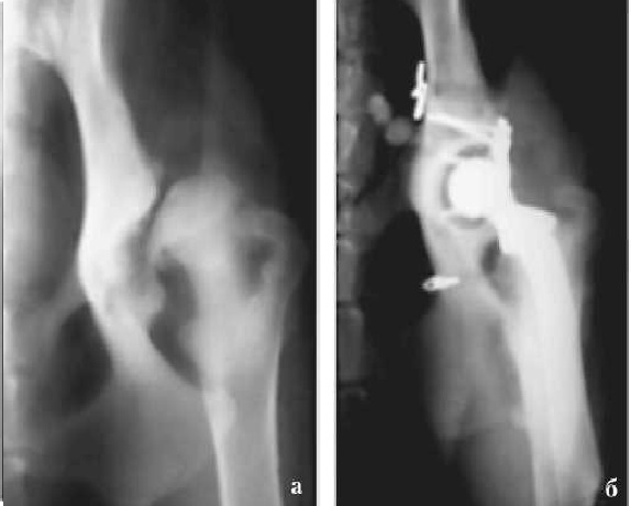
Смещение чашки эндопротеза (вертлужного компонента) без признаков АН было отмечено в 5 из 13 (38,5 %) случаев (рис. 1) в среднем через 75,5 (58. 104) сут после операции.
При данном осложнении прибегали к ревизионному эндопротезированию с дополнительной расточкой суставной впадины и последующей фиксацией чашки. В двух случаях выполнена костная пластика дорсального и краниолатерального края суставной впадины, а в одном эндопротез пришлось удалить. АН обоих компонентов эндопротеза наблюдали в 6 из 15 случаев (40 %) (рис. 2), причем у одного животного — двустороннюю в разные промежутки времени.
При использовании импортных протезов АН развивалась в среднем на 410-е сутки (от 90 до 798). При использовании отечественных бесцементных протезов ГЭП ЦИТО АН бедренного и вертлужного компонентов эндопротеза проявилась клинически и подтверждена рентгенографически на 34-е и 52-е сутки после операции. В четырех случаях выполнено ревизионное эндопротезирование, при котором полностью удалены компоненты эндопротеза, цемент и соединительная ткань. В двух случаях повторили протезирование с костной пластикой дорсального и краниолатерального края суставной впадины. Однако в последующем у этих животных был отмечен рецидив АН в среднем через 145 сут (от 112 до 243), в результате чего пришлось удалить протезы, а сочленение бедра с тазом выполнили по типу РА.

Рис. 1. Рентгенограмма. Вывих вертлужного компонента эндопротеза ( смещение чашки показано стрелками) без признаков асептической нестабильности (а). Ревизионное эндопротезирование с повторной фиксацией чашки эндопротеза (б)

Рис. 2. Рентгенограмма. Асептическая нестабильность бедренного (а) (ножки) и вертлужного (б) компонента (чашки) эндопротеза. Стрелками показано разрушение костной ткани (остеолиз)
Во второй группе животных средний срок службы ЭП составил 1569 сут (от 798 до 2127) (рис. 3). АН развилась в 2 из 18 случаев (11,1 %). Появление хромоты и зоны лизиса костной ткани вокруг цементной мантии ЭП отмечали в среднем через 520 сут (336 и 704). Этим животным операция была выполнена повторно.
Как и в первой группе, отмечен рецидив АН через 147 и 183 сут, в связи с чем пришлось удалять протезы и цементную мантию, а сочленение бедра с тазом выполнять по типу РА. В пяти случаях, чтобы предупредить вывих бедренного компонента ЭП в раннем послеоперационном периоде, использовали следующий прием: в процессе операции стабилизировали сустав лавсановой лентой (периартикулярная стабилизация). Для профилактики вывиха чашки эндопротеза двум животным сделана костная пластика дорсального края суставной впадины (рис. 4).
Гистологические исследования показали, что при стабильном протезе на границе кортикального слоя кости и цементной мантии образуется соединительнотканная мембрана толщиной 0,3. 0,5 мм, состоящая из пучков зрелых коллагеновых волокон различной толщины. Клеточные элементы соединительно-тканной мембраны включают в себя фибробласты и немногочисленные гистиоциты (рис. 5).
В периферических по отношению к мембране отделах кортикального слоя кости обнаружены участки, на которых остеоциты находятся в состоянии некробиоза, лакуны, не заполненные клетками, что, по-видимому, можно рассматривать как следствие прямого теплового воздействия на кость полимеризующегося цемента. В целом пластинчатый рисунок кости не изменен. В несколько расширенных просветах гаверсовых каналов заметны сосуды и элементы рыхлой соединительной ткани.

Рис. 3. Рентгенограмма. Тотальное эндопротезирование тазобедренных суставов с тяжелой степенью дисплазии (а) эндопротезами MATHYS (б)

Рис. 4. Рентгенограмма таза в I и III позиции. Дисплазия ТБС тяжелой степени (а). Тотальное эндопротезирование ТБС с пластикой аутокостью и реконструктивной пластиной края суставной впадины (б)
На границе цемента и губчатого вещества кости выявлена прослойка соединительной ткани различной толщины, представленная в основном зрелыми коллагеновыми волокнами. С внутренней стороны соединительно-тканной мембраны, прилегающей к цементу, обнаружены многочисленные мелкие частицы цемента. В некоторых трабекулах, граничащих с цементом, выявлены остеоцитарные лакуны, часть из которых заполнена остеоцитами, тогда как в других их нет.
При АН эндопротеза на границе имплантата и кортикального слоя кости обнаружена соединительно- тканная капсула толщиной 1. 2,5 мм, образованная зрелыми коллагеновыми волокнами (рис, 6). Структура капсулы неоднородна. В ней наблюдали многочисленные полости, клеточные элементы были распределены неравномерно. На некоторых участках встречались отдельные фибробласты, тогда как на других — скопления макрофагов и лимфоцитов. Макрофаги были увеличены в размерах, и в их цитоплазме содержались многочисленные мелкие частицы — фрагменты цемента. Последний обнаружен в виде свободнолежащих масс среди коллагеновых волокон капсулы, разделяющей имплантат и кость. В микропереломы цементной мантии врастала рыхлая соединительная ткань, формирующая пучки зрелых коллагеновых волокон, между которыми также находились мелкие частицы цемента. На границе кортикального слоя кости и цемента на некоторых участках обнаружена лакунарная резорбция кости (см. рис. 6). Там же встречались хрящевые клетки, расположенные отдельно или группами, что свидетельствовало о микроподвижности фрагментов цемента относительно кости.

Рис. 5. Секционная ревизия бедренного компонента эндопротеза при стабильной фиксации имплантата (а). На границе цементной мантии с кортикальной и губчатой костью соединительно-тканная капсула, состоящая из зрелых коллагеновых волокон (б). Окраска гематоксилином и эозином, х 250:1 — соединительно-тканная капсула; 2 — кость
Между цементной мантией и губчатым веществом кости в случае АН также выявлена соединительно-тканная капсула. Костные трабекулы сохраняли обычное строение, однако были искривлены, местами утолщены или истончены. Остеоциты располагались нерегулярно, встречались участки клеток в состоянии некробиоза. Межтрабекулярные пространства были в основном заполнены разросшейся фиброзной тканью. Элементы кроветворного костного мозга были замещены клеточными инфильтратами, состоящими в основном из макрофагов. В цитоплазме последних обнаруживали микроскопические частицы цемента. Иногда в межтрабекулярных пространствах отмечали крупные фрагменты цемента, вокруг которых были сформированы соединительно-тканные гранулемы, содержащие макрофаги, лимфоциты, гигантские многоядерные клетки, лейкоциты.

Рис. 6. Бедренный компонент эндопротеза при асептической нестабильности (а): 1 —соединительно-тканная капсула; 2 — цементная мантия. Соединительно-тканная капсула (3) между губчатой костью (4) и цементом, состоящая из коллагеновых волокон различной степени зрелости. Окраска гематоксилином и эозином, х 160 (б). Резорбция кортикальной пластинки остеокластами (показаны стрелками) и гистиоцитами, х 400 (в).
После эндопротезирования ТБС функция оперированной конечности у 72,7 % собак была оценена как отличная, т.е. при всех видах движений у животных отсутствовала хромота. По данным литературы, отличные результаты этой операции могут быть получены у 79,2. 88 % собак [11, 14].
В 1-й группе, по сравнению со 2-й, отмечена более низкая средняя продолжительность срока службы протезов, что связано с большим процентом осложнений, развившихся в раннем послеоперационном периоде. Многих животных подвергали операциям в возрасте уже 8 мес (обычно — не менее 1,5 года), когда полимеризация цемента неблагоприятно отражалась на незрелой костной ткани. Это впоследствии вело к воспалению кости и появлению АН, определяя большой процент осложнений в позднем послеоперационном периоде.
У собак с атрофией периартикулярных мышц при сохраняющейся тенденции к вывиху протез стабилизировали лавсановой лентой. При тенденции к вывиху оптимальный способ стабилизации компонентов ЭП — использование модульных ЭП, которые могут регулировать натяжение периартикулярных мышц. Тем не менее в некоторых случаях благодаря использованию лавсановой ленты удавалось предупредить вывих бедренного компонента протеза.
При разрушении краниолатерального и дорсального краев суставной впадины, когда чашка эндопротеза лишена опоры, вероятность ее смещения тоже велика. Чтобы предотвратить смещение данного компонента протеза, рекомендуют выполнять костную пластику дорсального и краниолатерального краев суставной впадины. В описываемых исследованиях указанная техника, которую применили в трех случаях, полностью оправдала себя без развития АН [9].
Заключение
Описаны отдаленные результаты эндопротезирования тазобедренного сустава (ТБС) при его дисплазии у собак (33 наблюдения). При тотальном замещении ТБС эндопротезами, первично фиксированными костным цементом, восстанавливались статическая и динамическая функции конечности. Наиболее часто возникающие осложнения при эндопротезировании ТБС — это вывих компонентов ЭП и АН (воспалительный остеолиз). Благодаря формированию четких показаний к операции, совершенствованию техники цементирования и использованию модульных протезов можно избежать указанных осложнений или снизить риск их развития.
2. Загородний Н. В.,Дирин В. А., Абдулхабиров М. А. Костный цемент в ортопедии и травматологии: Учеб.-метод, пособие. РУДН, 1999.
3. Самошкин И. Б. Тотальное эндопротезирование тазобедренных суставов у собак в условиях дисплазии//Ветеринария. 1996. № 10, с. 44—48.
4. Фокин В.А. Пары трения для тотальных эндопротезов тазобедренного сустава и проблема износа. Margo Anterior, 2000. № 4, с. 1—5.
5. ЯгниковС. А., Митин В. Н., Гаврюшенко Н. С. Исследование пары трения эндопротезов тазобедренного сустава для собак, представленных на отечественном рынке//Ветеринар, 2001. № 4, с. 20—24.
6. Ягников С. А., Мицкевич В. А., Шальнев А. Н., Митин В. Н. Анализ опорной функции конечностей у собак с дисплазией тазобедренных суставов с помощью сенсорной платформы до и после оперативного лечения//Вестник ветеринарной медицины. № 4. 2002. С.14—18.
7. Ягников С.А., Митин В.Н. Оперативные методы лечения диспластического коксартроза у собак//Вестник Российской академии сельскохозяйственных наук. №6. 2003. 67—68.
8. Ягников С. А. О методах лечения дисплазии тазобедренных суставов собак//Сельскохозяйственная биология. 2003. №6.119—121.
9. Ягников С. А., Митин В.Н. Стабилизация чашки эндопротеза у собак с дисплазией тазобедренного сустава//Ветеринария. 2003. № 9. 47—48.
10. Hutter H., Caspar A. Totale Httftgelenksendoprothese beim Hund. J. Kleintierpraxis 1989, 34, 425—440.
11. Kosfeld H. U. Der totale Huftgelenkersatz beim Hund. Klinische, rontgenologische und ganganalytische Erhebungen in der Jahren 1983 bis 1993. Vet. Med. Diss., Munchen, 1996.
12. Matis U. Operationsverfahren bei Huftgelenkdysplasie. J. Tierarztl. Prax., 1995, 23,426—431.
13. Olmstead M. The canine cemented modular total hip prosthesis: surgical technique and preliminary clinical results. Journal of the Amer Anim Hosp Ass, 1995, 31, 2, 109—124.
14. Perslow M., Kaiser S., Grussendorf С Der kunstliche Huftgelenkersatz beim hund. Eine retrospective Studie an der Klinik und Poliklinik fur kleine Haustiere der Freien Univ Berlin in der Jahren 1993 bis 1998. J. Kleintierpraxis, 2002, 47,157—171.
Читайте также:


