Портал Mz-Don
МЕНЮ
Контакты
Статьи
Блог
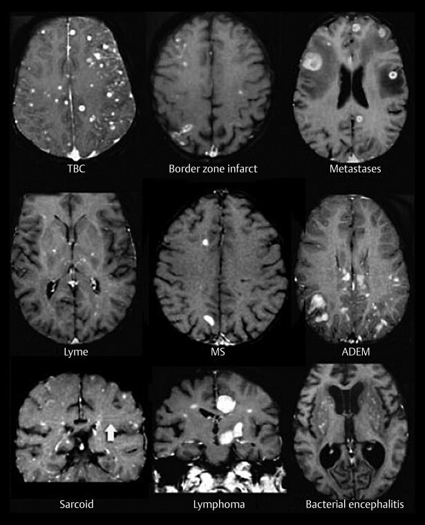
Инфекционные очаги на мрт - фото презентация
Добавил пользователь
Евгений Кузнецов
Обновлено: 13.12.2025
Читайте также:
Конъюнктивит признаки коронавируса
Приказ 174 о мерах по дальнейшему совершенствованию профилактики столбняка
Инструкции по отравлению и укусе насекомых в доу