Портал Mz-Don
МЕНЮ
Контакты
Статьи
Блог
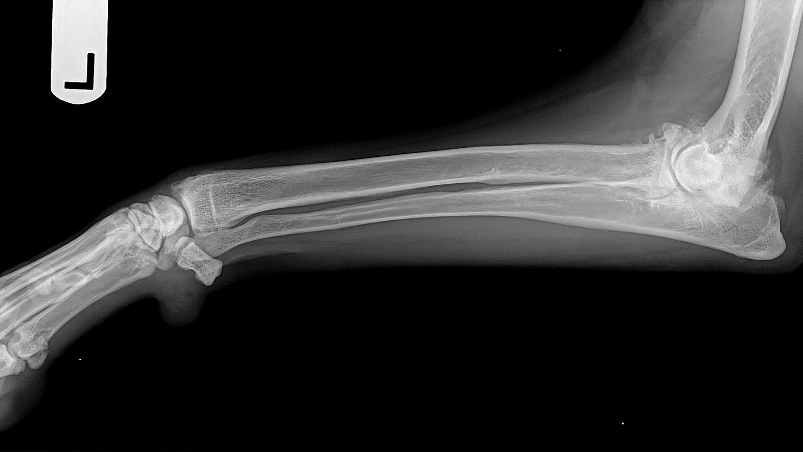
Инфекция кости у собаки - фото презентация
Добавил пользователь
Евгений Кузнецов
Обновлено: 10.01.2026
Читайте также:
Чем плоские черви отличаются от круглых червей у кольчатых червей
Вирусы живут на полотенце
Профессор андрей козлов вич вакцина