Портал Mz-Don
МЕНЮ
Контакты
Статьи
Блог
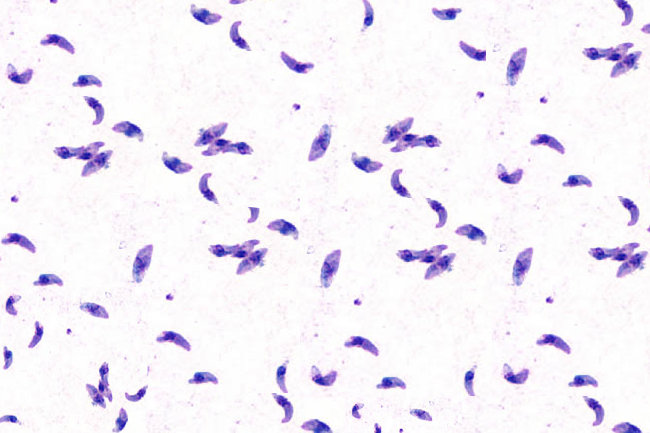
Могут ли блохи переносить токсоплазмоз - фото презентация
Добавил пользователь
Владимир З.
Обновлено: 16.10.2025
Читайте также:
Как проверить мясо с инфекциями
Прививка корове от ящура можно после прививки пить молоко от коровы
Капли в нос при сенной лихорадке