Портал Mz-Don
МЕНЮ
Контакты
Статьи
Блог
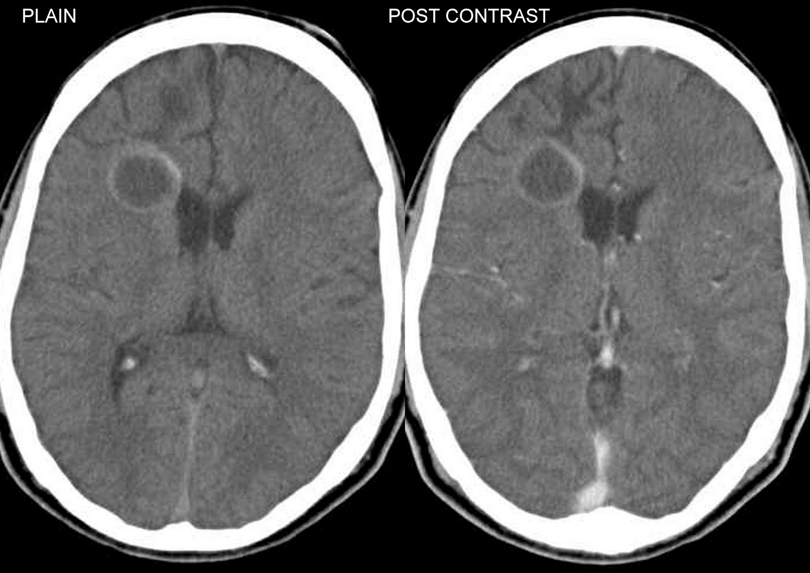
Мрт при инфекционных заболеваниях мозга - фото презентация
Добавил пользователь
Владимир З.
Обновлено: 13.12.2025
Читайте также:
Виновные в отравлении боярышником
Презентация острый герпетический стоматит у детей
Может ли быть температура при отравлении алкоголем у взрослых