Портал Mz-Don
МЕНЮ
Контакты
Статьи
Блог
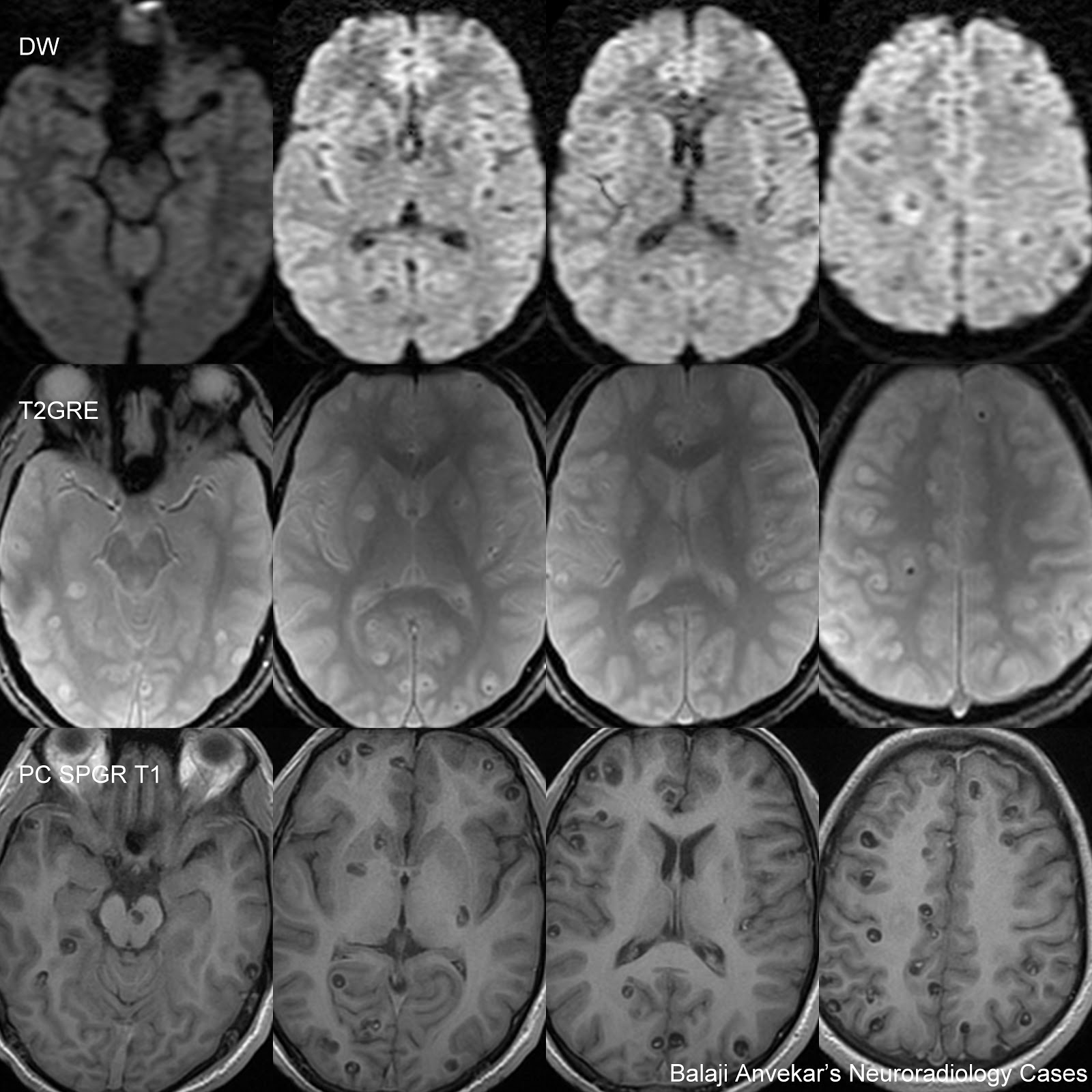
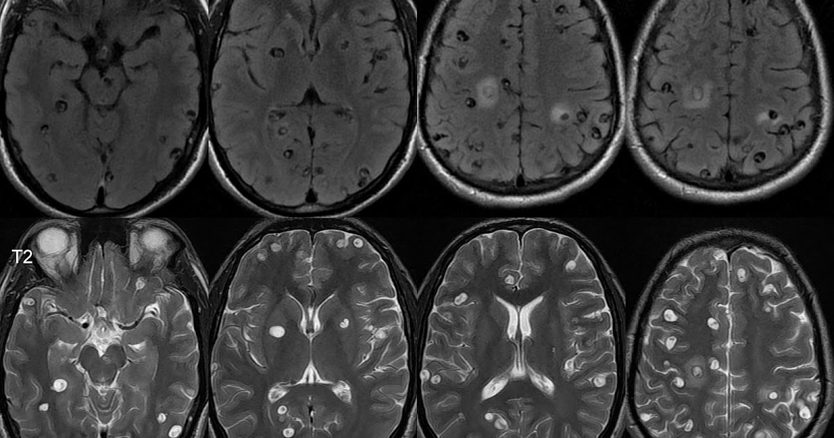
Нейроцистицеркоз и эхинококкоз что это такое - фото презентация
Добавил пользователь
Евгений Кузнецов
Обновлено: 10.01.2026
Читайте также:
Как можно заразиться туберкулезом от человека с закрытой формой туберкулеза
Викаир при лечение хеликобактер пилори
Как лечить простуду при вич что можно