Портал Mz-Don
МЕНЮ
Контакты
Статьи
Блог
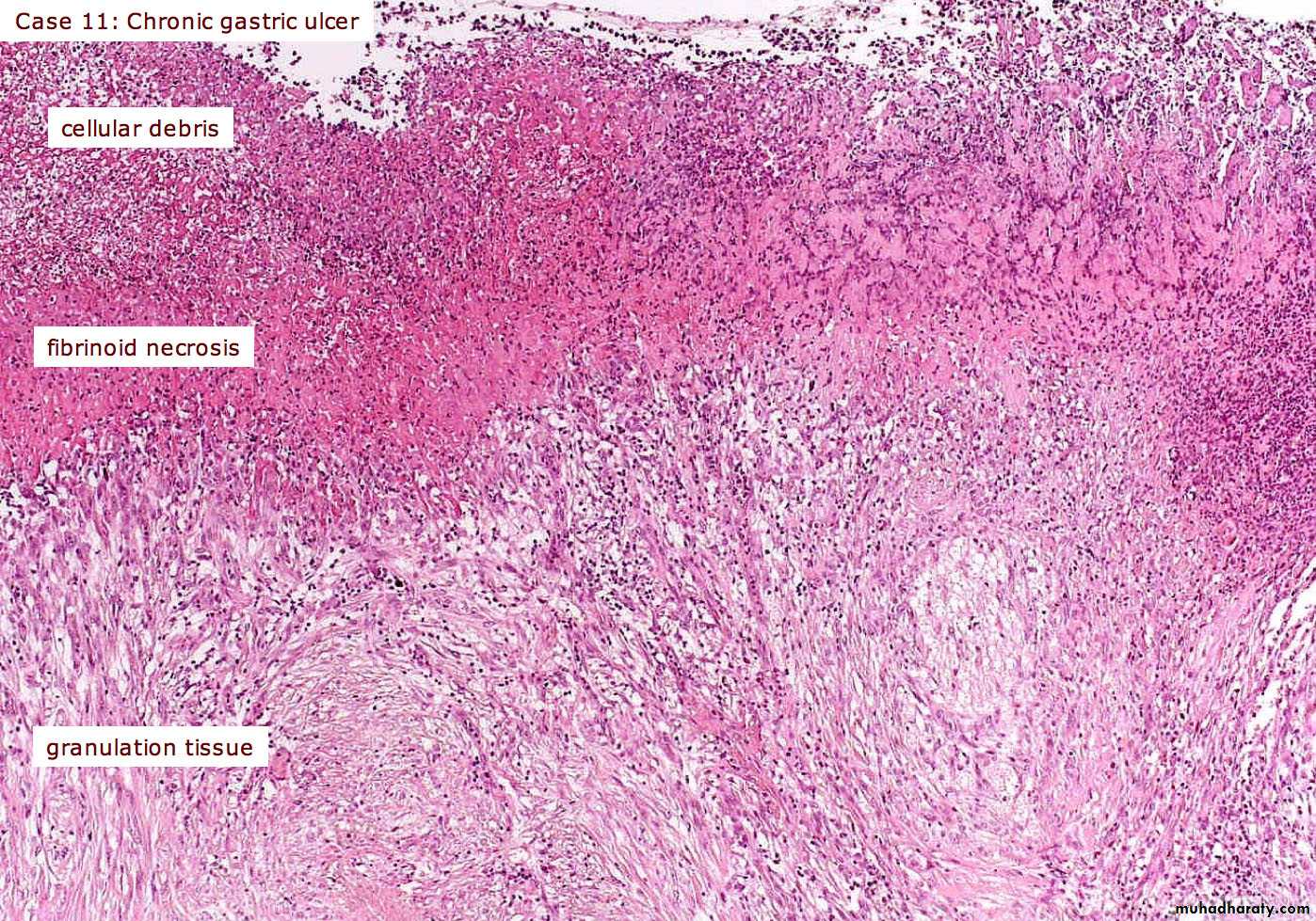
Показывает ли гистология инфекцию - фото презентация
Добавил пользователь
Владимир З.
Обновлено: 11.01.2026
Читайте также:
Серозно вирусный менингит у детей последствия
В акдс входит от столбняка
Красный крест борьба с туберкулезом