Портал Mz-Don
МЕНЮ
Контакты
Статьи
Блог
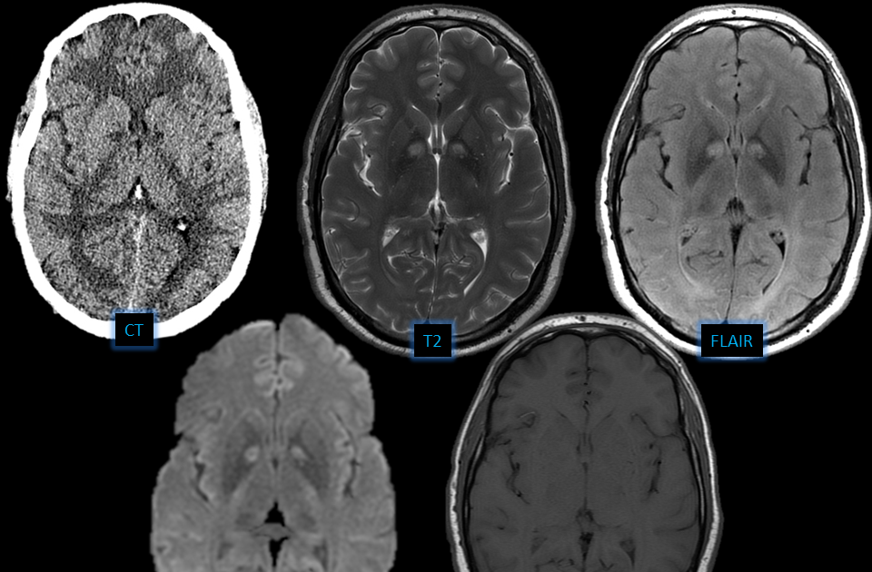
Показывает ли мрт наличие паразитов в организме - фото презентация
Добавил пользователь
Валентин П.
Обновлено: 18.10.2025
Читайте также:
Паразиты вызывающие вирус герпеса
Таблетки от глистов для животных инструкция
Мочевые камни при шистосомозе бильгарциозе