Портал Mz-Don
МЕНЮ
Контакты
Статьи
Блог
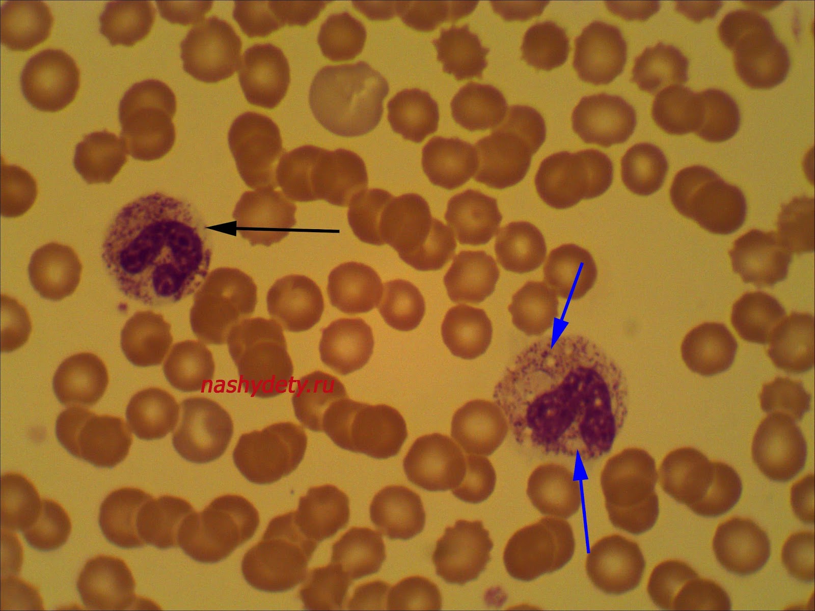
Токсическая зернистость нейтрофилов при токсическом гепатите - фото презентация
Добавил пользователь
Евгений Кузнецов
Обновлено: 11.01.2026
Читайте также:
Инфекции устойчивые к кипячению
Можно ли заразиться гепатитом через продукты питания
Лекарства от уреаплазмы и стафилококка