Портал Mz-Don
МЕНЮ
Контакты
Статьи
Блог
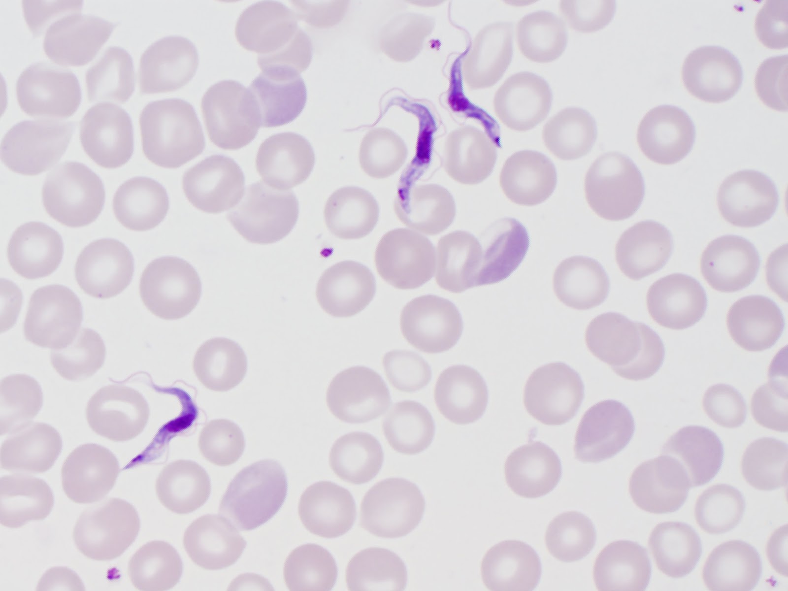
Трипаносома лейшмания и малярийный плазмодий - фото презентация
Добавил пользователь
Евгений Кузнецов
Обновлено: 10.01.2026
Читайте также:
Чем можно заменить сахар при лямблиозе
Тест на хеликобактер пилори дыхательный в митино
Можно ли делать операцию если это вирус