Что такое нарушение пневматизации ячеек сосцевидных отростков височных костей

Многие годы безуспешно боретесь с БОЛЯМИ в СУСТАВАХ?
Глава Института: «Вы будете поражены, насколько просто можно вылечить суставы принимая каждый день средство за 147 рублей.
Инфекционные заболевания обычно приносят массу проблем и неудобств пациентам, это касается не только неприятных симптомов в области поражения. Нередко они сопровождаются недомоганием всего организма, одним из таких недугов является мастоидит, что это такое и как лечить эту болезнь, можно узнать, прочитав данную статью.
Мастоидит – воспалительный процесс, который развивается в области сосцевидного отростка височной кости инфекционного генеза. Заболевание обычно возникает на фоне перенесенного острого среднего отита. Этот недуг имеет ряд типичных для воспалительного процесса симптомов. Это касается подъема температуры и общей интоксикации организма.
Для лечения суставов наши читатели успешно используют Артрейд. Видя, такую популярность этого средства мы решили предложить его и вашему вниманию.
Подробнее здесь…
Некоторые пациенты, задаваясь вопросом, что такое мастоидит, считают, что это заболевание, касающееся уха. Это связано с тем, что в области уха возникает боль и снижается уровень слуха, но причиной тому становится тот факт, что воспаление происходит за ухом, поэтому и проявляются подобные симптомы.
Причин возникновения этого заболевания несколько, но основной, а соответственно, и главной считается осложнение острого среднего отита, что является воспалением среднего уха. В этом случае инфекционное заражение переходит с барабанной полости на ближайшую к сосцевидному отростку область. Вывод напрашивается сам собой, что спровоцировать мастоидит могут те же бактерии, которые стали причиной возникновения отита. Это могут быть Haemophilus influenzae, Streptococcus pneumoniae, Moraxella catarrhalis.

Но не всегда отит перетекает в мастоидит, чаще всего это происходит из-за особенностей организма и тогда, когда пациент пускает на самотек изначальный недуг. Поэтому переход одного заболевания в другое чаще всего возникает из-за того, что пациент не лечит отит в надежде, что он сам исчезнет. Например, пациенту позже определенного срока осуществили дренирование барабанной полости. Бывают ситуации, когда отверстие в барабанной перепонке закрывают слишком рано, когда ещё не произошел отток образовавшегося в процессе течения заболевания гноя. Кроме этого, повлиять на развитие мастоидита может снижение иммунитета пациента.
Но это не единственный путь, через который инфекция может поступить из одной части организма в другую. Одним из возможных путей является кровоток, именно гематогенный путь распространения инфекции может стать причиной возникновения мастоидита. Происходит подобное при наличии определенных заболеваний, таких как сепсис, туберкулез, вторичный сифилис.
Все эти случаи относятся к вторичному мастоидиту, то есть отмечаются на фоне течения определенного заболевания. Но есть вероятность появления первичного мастоидита. Причины его возникновения более чем серьезные. При разнообразных травмах повреждаются ячейки сосцевидного отростка, из-за чего и начинаются проблемы. Повреждение происходит при огнестрельном ранении, при ударах различной силы, а также во время перенесенных черепно-мозговых травм.
Из-за подобных повреждений внутрь сосцевидного отростка попадает кровь, что создает отличную питательную среду для большинства бактерий, которые проникают в человеческий организм.

Есть причины, которые осложняют привычный процесс течения заболевания. К ним можно отнести хронические заболевания, такие как сахарный диабет, гепатит, туберкулез и другие. Произойти осложнение также может из-за разнообразных патологических процессов, которые протекают в области носоглотки. Причиной осложнения мастоидита становятся ларингит, ринит хронический, трахеит, фарингит, синусит. Кроме этого, к осложнениям может привести даже тот факт, что пациент ранее перенес отит.
Процесс возникновения патологии не так прост, каким может показаться на первый взгляд. В зависимости от произошедших изменений, лечащий врач сможет установить, на какой стадии находится патологический процесс.
Экссудативная стадия поражает в большей степени верхние оболочки и проходит очень быстро. Поэтому на этой стадии повреждается слизистая оболочка, а также может воспаляться надкостница ячеек отростка. В этих же самых ячейках накапливается жидкость, которая выделяется в процессе воспаления.
Вторая стадия считается более серьезной из-за того, что в процессе воспаления происходит поражение костных структур сосцевидного отростка. Сама структура отростка заключается в том, что внутри он разделяется на небольшие ячейки. При мастоидите происходит повреждение перемычек, из-за чего разрушаются тонкие перегородки между ячейками, а также образование большой полости, где собирается гной, который накопился во время воспалительного процесса. На этом этапе развития заболевания принято его называть эмпиемой сосцевидного отростка.
Проблема подобного поражения не только в том, что гной находится в этой ячейке продолжительное время, но и в том, что он также может распространяться и на другие участки человеческого организма. Проблема еще в том, что в непосредственной близости располагается мозг, возникает вероятность поражения мозговых оболочек, что будет иметь серьезные последствия. Когда происходит разрушение оболочки сосцевидного отростка, гной начинает не только задерживаться внутри, но и попадает наружу, а это приводит к распространению его на скуловой отросток, затрагивается височная кость. Кроме поражения костей, могут возникать воспаления и в мягких тканях шеи, из-за этого образуется несколько путей оттока гнойных масс.

Обычно симптоматика мастоидита острой формы включает в себя как местное проявление, так и проблемы, связанные со сбоями в организме в целом. Повышенная температура тела, вялость, слабость во всем теле являются одними из признаков течения мастоидита, но подобная симптоматика свойственна большинству воспалительных заболеваний. Но что касается отита, на фоне которого развивается мастоидит, то общие симптомы появляются примерно через полторы недели после начала развития недуга. Температура чаще всего колеблется в районе 37 – 38 градусов.
При развитии отита из ушной полости может выделяться гной, происходит это в тогда, если в барабанной перепонке имеется небольшое отверстие. Как и в большинстве случаев развития воспалительного процесса, пациент ощущает боль в месте поражения, то есть в области уха, за ним появляются болезненные ощущения, которые также могут вовлекать и голову, обычно неприятные симптомы будут только с той стороны, где поражено ухо. Такие проблемы становятся более ощутимыми ночью. Когда пациент надавливает на сосцевидный отросток, то возникает очередной болезненный симптом.
При скоплении большого количества гноя в сосцевидном отростке у пациента мастоидит проявляется не только внутренним ощущением сбоя в организме, но и внешним. Ухо оттопыривается, за ним появляется припухлость. Могут возникать проблемы со слухом и ощущается шум в голове.
Существуют и другие формы мастоидита, которые, по сути, имеют такой же ряд признаков, но отличаются факторами, из-за которых они появляются. Поэтому повлиять на возникновение этого заболевания могут особенности организма, например, реакция на возбудитель. Толчок к развитию заболевания может дать возраст пациента, вид бактерии, которая спровоцировала его и даже особенности строения ячеек пораженной кости. Могут быть проблемы из-за того, что лечение отита осуществлялось неправильно.
Проблема атипичных форм мастоидита в том, что их проявление зачастую незначительное. Из-за этого пациент может долгое время не обращаться к доктору, что провоцирует усугубление заболевания. Поэтому на их фоне могут возникать тяжелые внутричерепные осложнения.

Распространение мастоидита может быть не только на сосцевидный отросток, но и на другие анатомические соединения. Когда гной из отростка выходит на поверхность, он начинает формировать субпериостальный абсцесс. Поэтому у пациента припухает пораженная область, кожа краснеет, у некоторых же опухлость напоминает огромный фурункул. При опухании заушная складка практически полностью сглаживается.
Когда поражаются мягкие ткани шеи, это заболевание будет иметь несколько форм в зависимости от того, где возник прорыв. Различают мастоидит Бецольда, Орлеанского, Муре. Существует такая разновидность, как петрозит, когда гной попадает в пирамиду височной кости. Сквамид затрагивает височную кость, а зигоматицит – скуловый отросток. Некоторые из них отличаются сильной отечностью в области поражения и болезненными ощущениями в месте прорыва гноя.
Диагностика заболевания заключается в том, что в первую очередь лечащий врач выслушивает жалобы пациента, а также анализирует, есть ли симптомы мастоидита. О заболевании будут свидетельствовать внешние признаки, а также результаты обследований. Когда проводится отоскопия, врач отмечает наличие или отсутствие гноетечения, в некоторых случаях оно носит пульсирующий характер. По консистенции гной напоминает сливки и чаще всего заполняет весь слуховой проход после очистки. Но есть и другой вариант проявления заболевания, когда нет отверстия, через которое выходит гной, он скапливается и будет проявляться навиванием задне — верхней стенки слухового прохода, отекает при этом барабанная перепонка.
Пациенту понадобится анализ крови, который сможет подтвердить или опровергнуть факт наличия бактерий в организме. Это будет проявляться увеличенным количеством лейкоцитов, палочкоядерных нейтрофилов. Результаты анализа будут свидетельствовать о повышении скорости оседания эритроцитов.
После проведения отоскопии берут часть гнойных масс, которые выделяются из уха, и отправляют на исследование. Этот лабораторный анализ помогает обнаружить, какие бактерии стали причиной возникновения воспалительного процесса. Затем определяется, есть ли аллергия у пациента на антибактериальные препараты, которые необходимо будет принимать.
В процессе диагностики задействуется рентген височных костей, чтобы сравнить больное ухо со здоровым. Наличие мастоидита подтверждает снижение пневматизации обследованного отростка и разрушенные перегородки, отсутствие которых формирует полость с гнойными массами. В некоторых случаях для обследования могут понадобиться КТ и МРТ.
Лечение мастоидита требует максимально оперативного реагирования, поскольку развитие воспалительного процесса в непосредственной близости к головному мозгу может стать угрозой жизни. Когда заболевание находится в острой форме, то чаще всего серьезных нарушений не будет и лечение осуществляется посредством консервативных методов в стационаре. Такое лечение включает в себя антибиотики, антибактериальные препараты, а также улучшение оттока гнойных масс.
Период восстановления включает в себя прием ряд препаратов. Среди них иммуномодуляторы, системные антибиотики, витаминотерапия, ультрафиолетовое лечение. Каждый день необходимо менять повязку, а пораженное место обрабатывают раствором антисептика.
При возникновении малейших симптомов этого заболевания необходимо обратиться к врачу и пройти обследование.
Мастоидит — болезнь, с которой сталкиваются многие люди. Но далеко не каждый человек знает о том, что представляют собой сосцевидные отростки, и где они находятся. Каково строение этой части височной кости? Насколько опасно воспаление этих структур, и чем может быть вызвано заболевание? Этими вопросами интересуются многие люди.
Где находятся сосцевидные отростки?

Сосцевидный отросток представляет собой нижнюю часть височной кости. Если говорить о его расположении, то он находится внизу и сзади от основной части черепа.
Сам отросток имеет форму конуса, основание которого граничит с областью вокруг средней черепной ямки. Верхушка отростка направлена вниз — в ней крепятся некоторые мышцы, в частности грудино-ключично-сосцевидная мышца. Основание конуса граничит с твердой оболочкой головного мозга (именно поэтому инфекционное воспаление данного участка столь опасно, ведь патогенные микроорганизмы могут проникать непосредственно в нервные ткани).
В подкожной клетчатке, которая покрывает эту часть височной кости, находятся лимфатические узлы и сосуды, заушная вена и артерия. Здесь же проходят ветви малого и большого ушного нервов.
Стоит отметить, что сосцевидные отростки могут иметь разную форму. У одних людей они длинные с узким снованием, у других — короткие, но с широким основанием. Эта анатомическая особенность во многом зависит от генетической наследственности.
Строение сосцевидного отростка
Как уже упоминалось, эта часть височной кости по форме напоминает конус. В современной анатомии принято выделять так называемый треугольник Шипо, который находится в передневерхней части отростка. Сзади треугольник ограничен сосцевидным гребешком, а спереди его граница проходит у задней части наружного слухового канала.

Внутренняя структура отростка чем-то напоминают пористую губку, так как здесь есть множество полых ячеек, которые представляют собой не что иное, как воздухоносные придатки барабанной полости. Количество и размер таких ячеек может быть разным и зависит от особенностей роста и развития организма (например, воспаление уха в детском возрасте оставляет свой след на структуре сосцевидного отростка).
В области треугольника Шипо находится самая большая ячейка, именуемая антрумом или пещерой. Это структура образуется в связи с тесным взаимодействием с барабанной полостью и присутствует у каждого человека (в отличие от меньших ячеек, количество которых может варьироваться).
Типы сосцевидных отростков
Как уже упоминалось, сосцевидный отросток височной кости может иметь разную внутреннюю структуру. В первый год жизни младенца происходит формирование антрума. До трех лет идет активная пневматизация внутренних тканей отростка, что сопровождается появлением полых ячеек. Кстати, этот процесс длится в течение всей жизни человека. В зависимости от количества и размеров полостей принято выделять несколько типов строения:
- Пневматические сосцевидные отростки характеризуются образованием крупных ячеек, которые заполняют всю внутреннюю часть этой костной структуры.
- При склеротическом типе внутри отростка практически нет ячеек.
- В диплоэтическом сосцевидном отростке находятся мелкие ячейки, которые содержат в себе небольшое количество костного мозга.
Стоит отметить, что чаще всего врачи обнаруживают следы смешанного формирования полостей в этой части височной кости. Опять же здесь все зависит от генетических особенностей организма, темпов развития, а также наличия травм и воспалительных заболеваний в детском и подростковом возрасте.
Воспаление сосцевидного отростка и его причины

Болезнь, при которой наблюдается воспаление тканей сосцевидных отростков, называют мастоидитом. Чаще всего причиной является инфекция, причем патогенные микроорганизмы могут попадать в эту область черепа разными путями.
Чаще всего подобное заболевание развивается на фоне отитов. Инфекция попадает в сосцевидный отросток височной кости из барабанной полости или слухового прохода. В некоторых случаях воспаление развивается при непосредственной травме черепа в области виска или уха. Источником инфекции могут быть воспаленные лимфатические узлы, находящиеся в этой зоне. Гораздо реже причиной заболевания является системное заражение крови.
Основные симптомы воспаления
Основные признаки мастоидита во многом зависят от степени тяжести и стадии развития заболевания. Например, на начальных этапах отличить воспаление сосцевидного отростка от обыкновенного отита очень сложно.
Пациенты жалуются на острую, стреляющую боль в ухе. Наблюдается повышение температуры, слабость и ломота в теле, головные боли. Появляются выделения из слухового прохода.

При отсутствии терапии или недостаточном лечении (например, слишком быстром прекращении приема антибиотиков) клиническая картина меняется. Сосцевидный отросток уха постепенно наполняется гноем, а под давлением разрушаются костные перегородки между ячейками. Кожа и подкожные ткани за ушной раковиной отекают и краснеют, становятся твердыми, горячими на ощупь. Ушная боль становится сильнее, а из ушного канала выделяются густые гнойные массы.
Воспаление из полостей сосцевидного отростка может распространяться под надкостницу — гной накапливается уже в слое подкожной клетчатки. Довольно часто гнойник разрывается самостоятельно, в результате чего на коже образуется свищ.
Насколько опасным может быть заболевание? Самые распространенные осложнения

Как уже упоминалось, расположен сосцевидный отросток за ухом и граничит с важными органами. Поэтому отсутствие своевременной терапии чревато опасными последствиями. Если очаг прорывается в полость среднего и внутреннего уха, развивается лабиринтит. Воспаление внутреннего уха сопровождается шумом в ушах, снижением слуха, а также поражением органа равновесия, что ведет к нарушению координации движений.
Сосцевидные отростки граничат с твердыми оболочками головного мозга. Инфекция может распространяться на нервные ткани, что приводит к развитию менингитов, энцефалитов, а иногда и абсцессов.
Опасным является проникновение инфекций в сосуды, отвечающие за кровообращение головного мозга — это чревато не только воспалением сосудистых стенок, но также образованием тромбов, закупоркой артерий и даже летальным исходом.
К осложнениям мастоидита можно отнести и поражение лицевого нерва. Ведь сосцевидный отросток за ушами находится очень близко к нервным волокнам.
Как лечат мастоидит?
Как видно, мастоидит — крайне опасное заболевание, поэтому адекватная терапия здесь просто необходима. Любое промедление и попытки самолечения могут повлечь за собой массу опасных осложнений.
Как правило, лечение проводится в условиях стационара, где у врача есть возможность постоянно наблюдать за состоянием пациента. Больным назначают внутривенное введение антибиотиков, помогающих бороться с бактериальной инфекцией. Кроме того, нужно создать условия для свободного выхода гнойных масс из слухового прохода.
Когда нужна трепанация сосцевидного отростка?

К сожалению, консервативная терапия эффективна лишь на начальных стадиях мастоидита. Если гной начал накапливаться в полостях нижней части височной кости, то хирургическое вмешательство простой необходимо. Трепанация сосцевидного отростка начинается с вскрытия костной стенки отростка. После этого хирург с помощью инструментов очищает ткани от гноя, обрабатывает их антисептиками и антибактериальными растворами. Затем устанавливается специальная дренажная система, которая обеспечивает легкое и быстрое удаление выделений, а также местное введение антибиотиков.
Что важно знать о пневматизации височных костей
- Задержка жидкости или нарушение аэрации определяется в 1% случаев.
- Пневматизация височных костей встречается приблизительно у 1/3 населения
- В 5% случаев - асимметричная пневматизация
- Пневматизация верхушки пирамиды височной кости
- Вариант анатомической нормы.
Клинические проявления
- Отсутствие клинических проявлений
- Пневматизация височных костей это всегда случайная находка.
Какой метод диагностики пневматизации верхушки пирамиды височной кости выбрать: МРТ или КТ
- КТ
- МРТ.
- Асимметричная пневматизация верхушки пирамиды височной кости (напоминает сосцевидный отросток)
- При нарушении аэрации, задержке жидкости или жировой инфильтрации могут контрастироваться ячейки, что дает нормальное изображение с правильной структурой трабекул.
- Низкая интенсивность сигнала на Т1- и Т2-взвешенном изображении
- Высокая интенсивность сигнала на Т2-взвешенном изображении в случаях задержки жидкости
- Повышенная интенсивность сигнала на Т1- взвешенном изображении свидетельствует о высоком содержании белка
- Дифференциальная диагностика: асимметричная жировая инфильтрация.
- Ячеистая структура пневматизированной верхушки пирамиды височной кости
- Жировая инфильтрация становится причиной высокой интенсивности сигнала на Т1- и Т2-взвешенном изображении при отсутствии объемного образования.
Что хотел бы знать лечащий врач
Объемное образование или анатомический вариант нормы?
Какие заболевания имеют симптомы, схожие с пневматизацией височной кости
Холестериновая гранулема
- Объемное образование с высокой интенсивностью сигнала на Т1- и Т2-взвешенном изображении
- Отсутствие усиления после введения гадолиния
Эпидермоид,мукоцеле
- Объемное образование овальной формы
-Низкая интенсивность сигнала на Т1 -взвешенном
-Отсутствие усиления после введения гадолиния
Опухоли
- Объемное образование с низкой интенсивностью сигнала на Т1-взвешенном изображении
-Умеренное усиление после введения гадолиния
Лечение
- Лечение не требуется.
Врачи каких специальностей диагностируют и лечат пневматизацию височной кости
- Врач функциональной диагностики (случайная находка при исследовании ,связанным с другой патологией)
Прогноз
- Благоприятный.
Возможные осложнения и последствия
- Осложнений нет

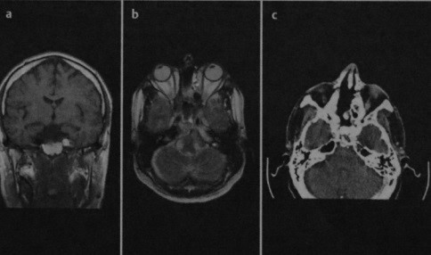
Двусторонняя пневматизация верхушки пирамиды височной кости. Изображение при КТ напоминает аэрированные трабекулярные структуры сосцевидного отростка.

Асимметричная жировая инфильтрация верхушки пирамиды височной кости. Обнаружена случайно при МРТ на основании высокой интенсивности сигнала на Т1- (а) и Т2-взвешенном изображении (b). На КТ (с) определяется нормальная структура кости со значениями поглощения, соответствующими жировой ткани, и отсутствием признаков объемного образования.
Такое заболевание, как мастоидит является очень опасным, так как оно поражает зоны, близкие к головному мозгу. Характеристика и симптомы этой патологии связаны с органами слуха, а потому лечение связано со средним ухом. Прогноз при своевременно предпринятых мерах – положительный, но при развитии гнойного процесса, даже после устранения проблемы, могут остаться негативные последствия.

Строение височной кости и причины мастоидита
Для начала следует рассмотреть особенности строения височной кости, чтобы понять суть заболевания. Мастоидит представляет собой воспаление сосцевидного отростка. В большинстве случаев этому способствует его внутреннее строение. На снимке МРТ можно рассмотреть ячеистую структуру. Различают три основных типа строения:
- Пневматическое. Ячейки сосцевидных отростков данных височных костей внутри пневматизированы, то есть заполнены воздухом.
- Диплоэтическое. Имеется большее количество костных перегородок, то есть ячейки меньше по размеру и менее пневматизированы, внутри них содержится костный мозг.
- Склеротическое. В структуре кости практически нет ячеек, она имеет плотное цельное строение.
Наибольший риск для развития мастоидита имеется у пневматического типа височного отростка.
Суть заболевания заключается в проникновении инфекции в структуру отростка и накоплении экссудата внутри пористой кости. Бактерии и их токсины могут проникнуть туда тремя путями:
- Отогенный. Инфицирование происходит после развития обширного воспаления в ушах, чаще всего в средней полости.
- Гематогенный. Инфекция поступает вместе с кровотоком.
- Травматический. Прямое заражение при ударе, переломе, огнестрельном или другом типе ранения.

Преимущественно мастоидит развивается после воспаления в прилегающих мягких тканях. Это значит, что патология является вторичной. Тем не менее при травматическом возникновении болезнь в большинстве случаев является первичной, то есть развивается самостоятельно. В этом случае она может дать побочные патологии, затрагивающие органы слуха, головной мозг и другие системы организма.
Самый частый путь возникновения – отогенный. Нередко диагностируется мастоидит у детей, так как их организм слабее, что провоцирует различные осложнения после отита. Обычно воспаление височного отростка начинается после 5-14 дней от начала отита. Причиной тому может стать стремительное развитие воспаления, неправильное лечение, наличие повреждений в ухе. Способствует проникновению инфекции в кость чрезмерное накопление экссудата в среднем ухе. При отсутствии естественной перфорации или парацентеза барабанной перепонки гной прорывается в соседние органы.
Увеличивают склонность к мастоидиту следующие факторы:
- патологии носоглотки;
- частые отиты, хронические формы воспаления;
- туберкулез, сифилис и подобные заболевания;
- хронические системные болезни;
- наличие изменений в ухе, подобные осложнения может спровоцировать операция на ухе.

Симптомы, виды и стадии
Заметить начало развития мастоидита очень важно, так как от этого зависит конечный исход лечения. Главным симптомом, который заставляет задуматься, является отек за ухом в области сосцевидного отростка. Также развивается гиперемия этой области, в ухе и за ним ощущается сильная боль и пульсация. Из-за воспалительного процесса в кости у больного поднимается температура тела, появляются симптомы интоксикации, снижается слух.
Нарушение пневматизации полых ячеек сосцевидного отростка связано с заполнением свободного пространства экссудатом и разрушением тонких перегородок в структуре кости. Выделяют две стадии этого процесса:
- Экссудативная. Начальный этап болезни. Развивается периостит, нарушается вентиляция отростка, снижается внутреннее давление. Слизистая оболочка воспаляется и внутри начинает скапливаться экссудат за счет выделения транссудата из кровеносных сосудов. Серозное содержимое становится гнойным.
- Пролиферативно-альтернативная. Это так называемый истинный мастоидит. Ячейки превращаются в гнойные эмпиемы. Развивается остеомиелит, костные перегородки разрушаются, внутри разрастается грануляционная ткань.

Различают типичные и латентные, то есть атипичные формы, мастоидита. Типичный – это острый мастоидит, который отличается интенсивным течением и легко диагностируется. Атипичный вид – это хронический мастоидит. Его симптомы на начальный этапах малозаметны, заболевание протекает медленно. Избавиться от него можно хирургическим путем, но в дальнейшем при попадании инфекции в организм могут возникать повторные эпизоды. Важно следить за своим здоровьем и не терять бдительности.
Отдельно рассматривают верхушечную форму заболевания. В зависимости от направления прорыва верхушки отростка и вытекания гноя, различают три его основных типа: мастоидит Орлеанского, Бецольда и Муре. Самым опасным считается форма Бецольда из-за большого риска развития гнойного медиастинита и дальнейших его последствий.
В зависимости от локализации патологии различают левосторонний и правосторонний тип мастоидита, то есть в зависимости от того, с какой стороны поражается часть височной кости: слева или справа. Двусторонний охватывает обе стороны головы и представляет большую опасность для здоровья и жизни в целом.
Диагностика и лечение
Мастоидит – это инфекционное воспаление, развивающееся в отростке черепной височной кости, а потому выявить его нужно как можно скорее. Гораздо проще диагностировать острый мастоидит, но и действовать в этом случае необходимо очень быстро. Симптомы хронической формы заболевания долгое время могут оставаться незаметными, и именно эта особенность представляет наибольшую опасность.

Для диагностики необходимо проверить органы слуха пациента и обследовать состояние ячеек проблемной кости. Для начала врач проводить следующие действия:
- Сбор анамнеза. Это жалобы пациента и выявление поверхностных симптомов, таких как отек, гиперемия, значительное количество выделений из уха.
- Пальпация. Ощупывание припухлости за ухом, выявление болевых ощущений, флюктуирующего инфильтрата (фурункула) и т. д. Проникновение бактерий в жировую клетчатку усиливает болевые ощущения. Визуально, помимо отечности и развития инфильтрата, наблюдается оттопыренность ушной раковины. При развитии нарыва, на поверхности кожи образуется отверстие с гнойным выделением, формируется свищ.
- Отоскопия и микроотоскопия. Осмотр уха для выяснения степени поражения мягких тканей органа.
- Бакпосев. Посредством анализа выделений определяется тип бактерий, спровоцировавших воспаление, а также степень их вирулентности (патогенности).
После установки подозрения на мастоидит производятся вспомогательные аппаратные исследования:
- аудиометрия и камертоны;
- рентгенография;
- МРТ и КТ.

Снимок МРТ дает возможность рассмотреть внутреннее наполнение височной кости. В гнойной стадии ячейки практически полностью разрушаются и заполняются мутным содержимым, что на рентгеновском снимке определяется размытостью этой области.
Также необходимо пройти дополнительные обследования у специалистов узкой направленности, от стоматолога до торакального хирурга, для обнаружения осложнений.
Лечение мастоидита заключается в устранении неприятных симптомов, последствий деятельности бактерий и экссудата из полости кости. Это воздействие осуществляется комплексно. Медикаментозная терапия состоит в приеме следующих групп лекарств:
- антибиотики широкого спектра;
- противовоспалительные и жаропонижающие препараты;
- анальгетики;
- антигистаминные, чтобы снять отек.

Дополнительно устраняются симптомы интоксикации организма и проводится иммунокоррекция для подержания естественных защитных сил. В некоторых случаях показана физиотерапия, как восстановительный курс оздоровительных процедур.
Лечение мастоидита в большинстве случаев сочетает такие подходы, как лекарственная терапия и операция. Именно операция устраняет основную проблему – гнойный экссудат. Для очистки при мастоидите производится вскрытие височной кости и последующее шунтирование и санация ячеек. Мастоидотомия в сочетании с дренированием позволяет быстро устранить патогенную среду и продезинфицировать пораженные ткани.
В некоторых случаях на начальной стадии заболевания проблему можно решить путем парацентеза перепонки уха. За счет этого снизится давление выделений на ячейки кости. После парацентеза проводится обработка лекарствами полости среднего уха и самого отростка.

Прогноз и профилактика
После операции пациент проходит усиленную лекарственную терапию для ускорения заживления тканей и предотвращения повторного развития инфекции. На этом этапе важно проводить обработку уха у врача и поддерживать свой иммунитет. Огромное значение имеет прием витаминов и правильное питание.
Своевременное лечение воспаления сосцевидного отростка позволяет избежать множества осложнений. При выходе инфекции за пределы височной кости могут развиться опасные для жизни патологии. Начав лечение на первой неделе течения болезни, шансы на благоприятный прогноз существенно возрастают. При этом остается риск развития негативных последствий при условии недостаточной терапии, развития повторного воспаления или осложнения после операции. Речь идет о таких проблемах, как:
- флебит;
- тугоухость;
- неврит лицевого нерва;
- сепсис;
- абсцесс мозга;
- менингит;
- энцефалит;
- эндофтальмит;
- лабиринтит;
- медиастинит;
- петрозит;
- панофтальмит и т. д.

Чтобы не допустить такое, следует своевременно обращаться за помощью к врачам, если у вас имеются хоть какие-то подозрительные симптомы. Кроме того, необходимо соблюдать следующие рекомендации:
- своевременно лечите отиты и заболевания носоглотки;
- при нагноении уха не откладывайте проведение парацентеза;
- не допускайте травм головы;
- повышайте иммунитет.
Соблюдение этих правил является отличной профилактикой мастоидита. После ушной инфекции обязательно проверьтесь у ЛОРа, так как иногда симптомы осложнений могут долго время находиться в скрытой форме. После консультации врача ситуация прояснится, но в любом случае нужно поддерживать свое здоровье изнутри. Избегайте вредных привычек, переохлаждения, инфекционных болезней. Откорректируйте свое питание и займитесь спортом, чтобы всегда быть здоровым.
Читайте также:


