Обызвествление костного мозга большеберцовой кости
Обызвествление - это (синоним: петрификация, кальциноз) отложение известковых камней в тканях, что находятся в глубоком истощении либо омертвевших. Развивается данное явление вследствие многообразных причин: инфекций, травм, нарушений обмена и так далее.
Механизм развития
Данный процесс местный, то есть затрагивает определенную область. Основная причина обызвествления - это тканевые изменения, что провоцируют усиленное всасывание кальция (извести) из тканевой жидкости и крови. Основным фактором в развитии данного процесса является ощелачивание среды, а также повышение активности ферментов, что высвобождаются из мертвых тканей. При дистрофическом типе обызвествления в ткани происходит формирование петрификатов (скоплений извести различных размеров и имеющих каменную плотность).
Возникают петрификаты в:
- хронических воспалительных очагах;
 - туберкулезных некротических очагах;
 - местах гибели клеток;
 - гуммах;
 - инфарктах.
 
В случае появления петрификатов на плевре набюдаются "панцирные легкие", на перикарде - "панцирное сердце".
Классификация
1. В соответствии с этиологией:
- травматические;
 - дегенеративные;
 - воспалительные.
 
2. По локализации:
- обызвествление мозга;
 - петрификаты суставов, связок;
 - обызвествление сосудов и так далее.
 
3. В соответствии с расположением петрификатов в той либо иной системе (части) тела:
- обызвествления в тканях/органов системы сердца и сосудов (кровеносных и лимфатических);
 - петрификаты в органах/тканях нервной системы;
 - органах дыхания;
 - опорно-двигательном аппарате;
 - мочеполовой системе;
 - ЖКТ и железах;
 - системе кроветворения и внутрисекреторных органах;
 - прочие обызвествления.
 
4. В соответствии с рентгенологической картиной:
- в виде массивных регионарных образований, что чаще занимают часть органа (обызвествления перикарда либо плевры) либо (реже) множественных петрификатов (при оссифицирующем прогрессирующем миозите);
 - отдельные очаги, что могут быть множественными либо единичными, крупными либо мелкими (обызвествленные легочные туберкулезные очаги, обызвествленые лимфоузлы и так далее);
 - петрификаты в виде камней (панкреатических, желчных, слюнных и др.)
 
Стоит отметить, что и регионарные, и очаговые обызвествления могут быть органными (то есть располагаться в одном органе) либо системными (то есть присутсвовать во всей системе).
5. Кроме того, кальциноз может быть:
- физиологическим, то есть развивающимся вследствие старения (инволюции);
 - патологическим, развивающимся в местах различных новообразований.
 
Причины возникновения
Дистрофическое обызвествление развивается как следствие:

Кальциноз эпифиза
Обызвествления - это (как упоминалось выше) формирование скоплений из нерастворенных кальцинатов в разнообразных органах либо тканях, в которых подобные соли не должны содержаться в норме.

Причиной возникновения кальциноза шишковидного тела могут стать врожденные патологии, различные инфекции и расстройства метаболизма. Физиологическое обызвествление шишковидной железы наиболее часто (40%) обнаруживается у пациентов до 20 лет. В этом случае в органе формируются компактные новообразования диаметром до 1 см.
В случае, когда кальцинаты имеют значительные размеры, стоит детально изучить их, так как они могут стать основой для злокачественных новообразований. Дистрофическое (патологическое) обызвествление в эпифизе возникает вследствие травм, химиотерапии, ишемии и так далее, и характеризуется отложением холестерина и извести в новообразованиях.
Обызвествление эпифиза сопровождается дисфункцией последнего, что может спровоцировать развитие рака, рассеянного склероза и шизофрении, вследствие блокады синтеза мелатонина. Заполнение шишковидной железы (обызвествление) кальцинатами повышает вероятность развития нервного истощения, тревожности, депрессий и патологий ЖКТ.
Кальциноз связок
Обызвествление связок - достаточно частое явление, связанное с возрастными изменениями в организме, травмами и воспалением. Кальциноз связок часто протекает бессимптомно и обнаруживается случайно при рентгенологических исследованиях.
Подобные инволютивные процессы в хрящах и связках при обызвествлении суставов сопровождаются потерей амортизирующих свойств, пластичности и эластичности в суставах.
Наиболее часто обызвествление сухожилий развивается в позвоночнике (спондилоз деформирующий шейного/поясничного отделов), вследствие надрывов в районе присоединения фиброзного кольца и продольной позвоночной связки к краю позвонка, в результате чего межпозвоночный диск смещается, отрывая связку от позвонка. В этом месте и развиваются обызвествления/окостенения.

Кроме того, подобные процессы часто обнаруживаются и в позвоночно-реберных сочленениях (9-10 ребро), тазобедренном и фаланговых суставах (узлы Эбердена и Бушара), являясь локальной демонстрацией старения организма.
Шпоры
Обывествление сухожилий в местах их присоединения к костям, имеющих вид шипов и заострений, именуют шпорами. Возникают подобные образования в тазовых, локтевых, затылочных, пяточных костях.

Причиной кальциноза в этом случае являются воспалительные процессы, физические нагрузки и возрастные изменения. Наиболее часто диагностируется пяточная шпора (в месте присоединения ахиллова сухожилия).
Формирование шпор часто сопровождается болью и ограничением движения, на рентгенограммах видны деформации стопы, замещения мягких тканей жировыми и превращение сухожилий в костную ткань.
Кальциноз клапанов сердца
- Обызвествление аортального клапана. Причиной данного недуга является ревматический вальвулит, приводящий к дегенеративным изменениям в тканях. Створки клапана при этом деформируются и спаиваются меж собой. При этом на них происходит образование кальцинатов, что перекрывают аортальное устье. В некоторых случаях процесс распространяется на межжелудочковую перегородку, створку митрального клапана и стенку желудочка (левого). В итоге развивается аортальная недостаточность.
 

Кальциноз сосудов
- Обызвествление аорты. Развивается у пациентов старше 60 лет. Клиника заболевания зависит от уровня поражения сосуда.
 - Кальциноз мозговых сосудов. Обызвествление - это в данном случае синоним атеросклероза. Вследствие скопления липидов на стенках возникает недостаточность кровообращения головного мозга, чреватого развитием инсультов, деменции и так далее.
 - Обызвествление коронарных артерий. В этом случае на стенках данных сосудов оседают холестерин и жиры, то есть формируются атеросклеротические бляшки, что приводит к потере эластичности и изменению формы сосуда, в результате чего нарушается кровоснабжение миокарда, а в случае полного перекрытия просвета - некрозу тканей.
 
Обызвествление мозга
Кальциноз может затрагивать различные структуры головного мозга:

- кору бльших полушарий;
 - мозговые сосуды;
 - твердую оболочку.
 
Подобные изменения развиваются вследствие разнообразных причин, основными из которых являются:
- Перенесенные либо имеющиеся инфекции (туберкулез, цистицеркоз, ВИЧ).
 - Внутриутробные (врожденные) инфекции (TORCH).
 - Травмы.
 - Атеросклероз.
 - Воспаление.
 - Опухоли.
 - Метаболические, эндокринные нарушения.
 
Клиника
Симтоматика обызвествления зависит от локализации и распространенности процесса.
Так, кальциноз эпифиза протекает бессимптомно, а отложение извести в других структурах мозга характеризуется выраженной неврологической симптоматикой, повреждения же мозговых сосудов приводят к инсультам и другим опасным последствиям.
Обызвествление: лечение
Терапия обызвествления зависит от локализации и распространенности процесса, а также выраженности симптоматики и возраста пациента.
- Для нормализации обмена кальция рекомендуется восстановление баланса кальция и магния в крови. Магний контролирует поступление кальция и растворяет кальцинаты, а также способствует выведению излишков микроэлемента и его правильному усвоению. А потому больному, кроме мочегонных средств, рекомендуется прием препаратов магния.
 - Соблюдение диеты. Пациенту необходимо избегать продуктов, что обогащены кальцием (овощи, молоко и так далее) и витамином Д.
 - В случае массивных очагов обызвествления (в частности на коже и подкожной клетчатке) рекомендуется их хирургическое лечение.
 

Профилактика
Профилактические меры сводятся к выявлению (диагностике), адекватному и своевременному лечению инфекций, опухолей и травм, коррекции метаболических и эндокринных нарушений; правильному питанию; регулярной сдаче крови для определения количества кальция, а при его избытке - выяснению причины данного состояния и назначению соответствующего лечения.
Обызвествления костного мозга мало известны в рентгенологической практике и мало изучены с точки зрения морфологии, локализации и этиологии.
Костномозговые обызвествления обычно наблюдаются в длинных трубчатых костях - в их метафизарных или метадиафизарных отделах. Мы наблюдали их преимущественно в верхних и нижних метафизах, вернее метадиафизах, плечевых и бедренных костей. В единичных случаях встречались обызвествления костного мозга и в нижнем метадиафизе большеберцовой кости.
Рентгеновская картина обызвествлений костного мозга неоднотипна. Чаще она представляется в виде хлопьевидных теней - конгломерата, ограниченного в пределах 3 - 4 - 5 см и более, иногда в виде плотных теней, реже - более мелких вкраплений.
Обызвествления костного мозга не сочетаются с реактивными изменениями со стороны кости. Обычно не наблюдается ни периостальных наслоений, ни склерозирований структуры, остеопороза. Эти обызвествления следует относить к дистрофическому типу, т. е. к обызвествлениям, возникающим на почве дегенеративных изменений тканей. Причина дегенеративных изменений тканей костного мозга с последующими обызвествлениями не всегда ясна. В литературе имеются единичные сообщения, в которых обызвествления костного мозга на основании подходящей локализации и формы трактуются как последствия инфарктов. Можно, конечно, допустить такой генез обызвествления: последние возникают на почве некротических изменений, которые являются последствиями инфарктов. Но в практике при несомненных инфарктах, например при кессонной болезни, мы не наблюдали обызвествлений костного мозга. Костные инфаркты проявляются также выраженными деструктивными изменениями типичного вида, чего не отмечается при обызвествлениях костного мозга.
Вообще кровоизлияния в тканях очень часто приводят к обызвествлениям. Однако мало оснований считать обызвествления костного мозга последствиями кровоизлияний уже потому, что мы их почти не встречаем при определенных травматических повреждениях, например при переломах, прободениях метафизов гвоздем при скелетных вытяжениях, огнестрельных ранениях, непосредственных ушибах кости, при которых возникновение кровоизлияний в костном мозгу более чем вероятно. Только однажды мы наблюдали крупное (4 х 7 см) обызвествление костного мозга в нижнем метафизе бедренной кости, связанное с ее переломом (рис. 194).
  
 
Рис. 194. Обызвествление костного мозга в нижнем метафизе бедренной кости, связанное с переломом.
Больная 50 лет много лет страдает артритом правого коленного сустава, хромает. Имеется атрофия мускулатуры конечности, ограничение подвижности в коленном суставе. Несколько лет назад был перелом бедренной кости.
Рентгенограмма: кости сустава порозны; суставная щель значительно сужена; суставные края костей сустава узурированы; на границе средней и нижней трети бедренной кости следы сросшегося со смещением под углом перелома; в нижнем метафизе кости конгломерат известковых отложений; виден след продольной трещины кости, подходящий к метафизу.
В данном наблюдении обызвествление костного мозга, безусловно, можно связывать с кровоизлиянием, вызванным переломом. Но следует принять во внимание и некоторые биологические особенности - давнее костно-суставное заболевание, остеопороз, - возможно, способствующие обызвествлению гематомы в костном мозгу. Логичнее всего считать наблюдаемые обызвествления костного мозга как последствия некротических асептических процессов в костном мозгу, возникающих в результате рефлекторных расстройств кровообращения в сосудах последнего. Нужно также учитывать индивидуальные особенности организма, возможность расстройства трофики тканей.
Исследования К. М. Быкова, А. Я. Ярошевского показали, что костный мозг является мощным рецептивным полем, одной из афферентных систем организма. В ответ на возможные раздражения - внешние и внутренние - в сосудистой сети возможны возникновения длительных спастических изменений, приводящих к расстройствам питания костного мозга и дегенеративным процессам.
Обызвествления костного мозга мы чаще всего обнаруживали при рентгенологическом исследовании в связи с болевыми симптомами. В нескольких случаях такое обызвествление обнаруживалось наряду с плечевым известковым бурситом. Но нередко обызвествления костного мозга, протекая бессимптомно, являлись случайными находками при рентгенологических исследованиях по какому-либо поводу. Вот несколько примеров наблюдений обызвествлений костного мозга.
Больная 3., 58 лет, жалуется на постоянные ноющие боли в правом бедре. Видимых изменений в конечности не обнаружено. Подвижность в коленном суставе в норме. Рентгенограмма: в нижнем метадиафизе правой бедренной кости определяется конгломерат хлопьевидных плотных теней от известковых отложений размером 2 - 3 х 10 см (рис. 195, 196).
  
 
Рис. 195, Обызвествление костного мозга в нижнем отделе бедренной кости.
  
 
Рис. 196. Тот же случай в боковой проекции.
Больная К., 40 лет. Произведено рентгенологическое исследование правого плечевого сустава по поводу болей. Обнаружено обызвествление сухожилий надостной мышцы, так называемый известковый бурист, вернее - перитендонит. В области верхнего метадиафиза плечевой кости обнаружен конгломерат хлопьевидных известковых отложений величиной 4 х 1 - 1,5 см (рис. 197).
  
 
Рис. 197. Обызвествление костного мозга в верхнем отделе плечевой кости.
  
 
Рис. 198. Обызвествление костного мозга в нижнем отделе бедренной кости.
Распознавание обызвествлений костного мозга не представляет затруднений. Оно основывается главным образом на характерной картине и определенной локализации. При рентгенологическом исследовании легко определяются тени, расположенные внутри кости (в костно-мозговом пространстве), характерные для известковых отложений. Они бесформенные, в виде хлопьевидных инкрустаций, плотные. Отсутствие костной структуры отличает их от гетерогенных окостенений.
В ряде случаев тени обызвествлений костного мозга настолько характерны, что исключают дифференциацию. Тем не менее при распознавании обызвествлений костного мозга следует принимать во внимание и другие внутрикостные обызвествления, например во внутрикостно расположенных хондромах (энхондромах), в изолированном обызвествленном туберкулезном очаге (3. А. Лебедева), а также изолированные уплотнения костной структуры - крупные солитарные компактные, островки. Часто в хондромах возникают дегенеративные процессы, приводящие к кистозным образованиям, обызвествлениям и окостенениям. Обызвествления в хондромах бывают преимущественно частичными, чередующимися с участками хряща, что рентгенологически представляется просветлениями наряду с тенями известковых отложений. При энхондромах часто имеются и костные изменения утолщения кости, деформации кортикального слоя в виде истончения, выпячивания. На основании этих признаков нетрудно отличить обызвествления в хондромах от таковых костного мозга.
Изучение обызвествлений костного мозга имеет большое практическое значение в смысле как диагностического уточнения внутрикостных теней, так и объяснения болевого синдрома, наблюдаемого в связи с ними.
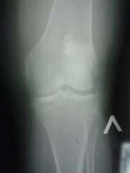
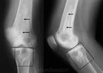
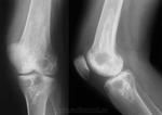
Женщина 1952 г.р.,направлена с диагнозом остеоартроз
![]()
![]()


![]()
Энхондрома, инфаркт кости, хондросаркома. Я в заключении такой бы диф. ряд написал.
Терпимость - это когда прощают чужие ошибки; такт - когда не замечают их. (Артур Шницлер)
![]()
На мой взгляд имеет место быть "Хрящевая матрица"

А с чего бы это костному мозгу обызвествляться? Больше не энхондрому похоже
![]()
На мой взгляд имеет место быть "Хрящевая матрица"
+1.Энхондорма? Хондросаркома?? Для уточнения рекомендована КТ коленного сустава.
![]()
что есть такое хрящевая матрица?
![]()
Значит, что имеются элементы хрящевой ткани. Есть вероятность наличия хрящевой опухоли.
![]()
Большое спасибо за комментарии!Сегодня пациентка принесла архивные снимки обоих коленных суставов,за 2008,2009,2011 года -картина такая же и на тех снимках,а на снимках правого коленного сустава за 2008 год такой же участок(немного меньших размеров) в области метадиафиза большеберцовой кости.Ни МРТ ни КТ никогда не делала.
![]()
Энхондрома все же не исключается.
![]()
Энхондрома все же не исключается.
+1.В таком случае КТ показана или нет?
![]()
Энхондрома все же не исключается.
+1.В таком случае КТ показана или нет?
![]()
Энхондрома все же не исключается.
+1.В таком случае КТ показана или нет?
Терпимость - это когда прощают чужие ошибки; такт - когда не замечают их. (Артур Шницлер)

Энхондрома все же не исключается.
+1.В таком случае КТ показана или нет?
Господи, зачем? Сделать КТ, подтвердить доброкачественный характер - а дальше контролировать раз в год, а то и реже.
![]()
Энхондрома все же не исключается.
+1.В таком случае КТ показана или нет?
Господи, зачем? Сделать КТ, подтвердить доброкачественный характер - а дальше контролировать раз в год, а то и реже.
Терпимость - это когда прощают чужие ошибки; такт - когда не замечают их. (Артур Шницлер)
![]()
А с чего бы это костному мозгу обызвествляться? Больше не энхондрому похоже
![]()
![]()
Бывает, вот только "фейс" отличается.
Инфаркт костного мозга.
![]()
![]()
![]()
![]()
![]()
![]()
![]()
![]()
![]()
![]()
![]()
![]()
![]()
![]()
![]()
![]()
![]()
![]()
![]()
![]()
![]()
![]()
![]()
![]()
![]()
![]()
Инфаркт костного мозга.
![]()
![]()
![]()
![]()
![]()
![]()
![]()
![]()
![]()
![]()
![]()
![]()
![]()
![]()
Из литературных источников.
![]()
![]()
![]()
Инфаркт костного мозга.
![]()
![]()
Инфаркт костного мозга.
![]()
![]()
![]()
Бывает, вот только "фейс" отличается.
Так я и не говорил, что в данном случае инфаркт мозга. Я сказал, что возможно обызвестление костного мозга.
На представленных рентгенограммах паттерн действительного не "инфарктный", но спорить можно долго, а правду узнаем только выполнив МРТ или РКТ.
![]()
Так я и не говорил, что в данном случае инфаркт мозга. Я сказал, что возможно обызвестление костного мозга.
"самоуверенность дилетантов - предмет зависти профессионалов"
![]()
Так я и не говорил, что в данном случае инфаркт мозга. Я сказал, что возможно обызвестление костного мозга.
![]()
Я сказал, что возможно обызвестление костного мозга.
На представленных рентгенограммах паттерн действительного не "инфарктный", но спорить можно долго, а правду узнаем только выполнив МРТ или РКТ.
По старости своей, по всей видимости, не понял, каюсь.
А, "обызвествление" в результате чего возникает? Просто так, просто интересно.
И какую же "правду" поведали МРТ и РКТ?
![]()
Так я и не говорил, что в данном случае инфаркт мозга. Я сказал, что возможно обызвестление костного мозга.
Ещё раз каюсь!
Вот только иллюстрацию (из ассистента) привели под названием "инфаркт кости".
![]()
![]()
Не очень понимаю реакции. Поэтому каюсь заранее.
Да, я привел иллюстрацию с radiologyassistant.nl
Да, это там это называется "bone infarction", и что? В процесс вовлекается костный мозг. Вы настаиваете на использовании термина "инфаркт кости" и отрицаете название "инфаркт костного мозга"?
Визуально процесс проявляется обызвестлением, о чем свидетельствуют и приведенные Вами же сканы.
Мое утверждение касалось принципиальной возможности обызвестления костного мозга, в частности при инфаркте. Я не настаивал и не настаиваю, что автором поста на рентгенограммах представлен инфаркт мозга/кости, а чем уже говорил.
Возможности КТ и МРТ в диагностике данного дифряда широко известны и как безвредный метод исследования можно рекомендовать МРТ нижней трети бедра.
Читайте также:



