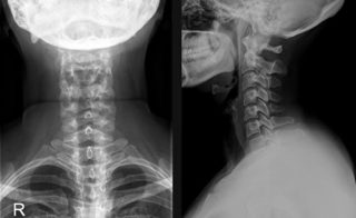
Рентген шей в 3 проекциях
![]()
![]()
Рентген шейного отдела позвоночника назначается пациентам с патологическими аномалиями или в случае даже незначительных травм. Рентген отдела шейных позвонков покажет патологическое развитие на самом раннем этапе и исключит похожие заболевания.
Показания к проведению
Что показывает рентген?
Противопоказания и ограничения
Делают ли рентген шеи ребёнку?
Подготовка к рентгену
Методика проведения исследования
Рентгенография в 2-х проекциях
Рентгенография в 3-х проекциях
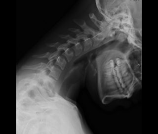
Рентген через рот
Рентгенография с функциональными пробами
Комментарии и Отзывы
Показания к проведению
Процедура назначается по таким причинам:
- частые мигрени;
- шейные повреждения;
- боль в руках;
- онемение и покалывание в руках;
- резкие перепады давления;
- регулярная потеря сознания;
- ухудшение зрения;
- хруст и болезненные ощущения в грудной области и в шее;
- одышка;
- при поворачивании и наклонах головы, сильная боль в шее;
- шум в ушах;
- скованность движений шейного отдела позвоночника.
Рентгенологическое обследование не назначается для диагностики опухолей, растяжения мышц и исследования мягких тканей.
Что показывает рентген?
Процедура позволяет диагностировать или исключить болезни:
- радикулит;
- сколиоз;
- патологические преобразования в суставах межпозвоночных дисков;
- артрит;
- лордоз;
- кифоз;
- остеохондроз шейного отдела;
- вывихи различного характера;
- воспалительные процессы.
Противопоказания и ограничения
Рентген шейного отдела позвоночника, как и другие виды рентгенологического обследования, имеет несколько нюансов:
- Беременность. Не рекомендуется вследствие того, что излучение чревато для жизни будущего ребёнка. Назначается в крайних случаях. Например, когда травмы или патологические развития в шейном отделе могут навредить матери и малышу больше чем излучение.
- Высокая степень ожирения. Пациентам с лишним весом сложно установить точный диагноз, потому что жировые отложения мешают получить качественное изображение. Информации может быть недостаточно для установления патологии и назначения лечения. Вес пациента не должен превышать 180 килограммов.
- Рентгенологическое обследование нельзя проходить пациентам, которые несколько часов назад делали диагностику с участием сульфата бария.
Делают ли рентген шеи ребёнку?
Современная медицинская техника обладает высокими защитными функциями, поэтому врачи утверждают, что рентгенография шейного отдела безвредна даже маленьким детям.
Метод позволяет выявить патологии растущего организма:
- подвывихи;
- бытовые и родовые травмы;
- спондилолистез;
- излишнюю подвижность шейных позвонков;
- сколиоз;
- мышечный гипертонус;
- патологии ортопедического характера.
Подготовка к рентгену
Если больной должен пройти обследование только шейной области, никакой особой подготовки не потребуется, кроме ограничений в питании. Пациенту не следует за 12 часов до исследования принимать пищу.
Методика проведения исследования
Рентгенологическое обследование проводится несколькими проекциями:
- задняя прямая;
- задняя прямая через открытый рот;
- задняя косая;
- боковая.
- Длительность рентгенологического обследования не более двадцати минут.
- В это время пациент должен сохранять неподвижность. Для получения качественного снимка необходимо строго следовать требованиям рентгенолога.
- Пациент должен снять с себя все металлические украшения и, если имеются, зубные протезы.
Рентген в двух проекциях выполняется таким образом:
- Больной становится вертикально на специальную подставку.
- Врач даёт рекомендации, как повернуться.
- В обеих проекциях тело пациента плотно прижимается к кассете, а подбородок немного выдвинут вперёд.
- Рентгеновский луч направлен на четвёртый шейный позвонок и проходит перпендикулярно кассете.
Рентгенография в трёх проекциях дает возможность осуществить более качественную диагностику и обнаружить болезни на начальном этапе формирования. Больной поворачивается к кассете местами, на которые указывает рентгенолог.
Рентгенография осуществляется через открытый рот, для того чтобы увеличить результативность диагностики. Несмотря на необычное положение, процедура безболезненная.
Рентгенография с функциональными пробами позволяет изучить все самые подвижные части позвонков. Процедура назначается для исследования патологической межпозвоночной подвижности или функционального блока.
Снимки шейного отдела, выполненные в условиях проведения функциональных тестов:
- диагностируют смешение вышележащих позвонков относительно нижележащих;
- устанавливают характер и степень изменения передней стенки позвоночного канала.
Функциональный рентген в видео от автора Медицинский центр ЭНЕРГО.
Интерпретация результатов
Результаты интерпретируются медицинским работником. При расшифровке врач может диагностировать аномальные развития, о которых пациент не подозревал.
Интерпретировать врач может такие патологии:
- Наличие на снимке костного образования в области первого позвонка свидетельствует об аномалии Киммерле. Данная проблема также сопровождается сдавленной позвоночной артерией, которая расположена между костным образованием и шейным позвонком.
- Если на снимке визуализируются косвенные признаки выпадения диска, то у пациента, скорее всего, диагностируют межпозвонковую грыжу.
- Появление крючковатых новообразований и частичное поражение кровеносных сосудов говорит о начале артрита.
- Тени различной интенсивности и чёткости свидетельствуют о распаде костной ткани. В этом случае врач поставит диагноз первичной опухоли, которая сопровождается распространением метастаз.
- Повреждение спинного мозга в шейном отделе говорит о начале миелопатии.
- Поражение корешков спинномозговых нервов — признак шейного радикулита.
- Разрушение межпозвоночных дисков и образование костных наростов является следствием спондилеза.
- Если на снимке наблюдается уменьшение плотности костной ткани, скорее всего пациент болен остеопорозом.
- Шейный лордоз визуализируется как увеличенный физиологический изгиб шеи вперёд.
- Дугообразная форма позвоночника в шейном отделе, либо его резкая изогнутость назад — признак кифоза.
- Если высота межпозвонковой щели снижается на расстоянии, которое не превышает 1/3 часть тела позвонка, значит, пациенту ставят диагноз остеохондроз.
Сколько стоит?
Стоимость рентгенографии шейного отдела позвоночника по регионам представлена в таблице:
Фотогалерея
На фото — различные заболевания, которые можно выявить с помощью рентгенографии шейного отдела позвоночника:
Видео
Обследование шейного отдела с помощью рентгена в видео от автора Игорь Нестеров.
Рентгеновское исследование позвоночного столба имеет чрезвычайно важное значение при диагностике патологий опорно-двигательной, нервной и кровеносной систем. В шейном отделе позвоночника исследование имеет особое значение, поскольку рентген шеи показывает патологии, влияющие на работу головного мозга, церебральных сосудов.
- Показания к проведению рентгена
- Результаты диагностики
- Чего не увидит доктор на снимке
- Подготовка к рентгенографии шеи
- Проведение рентгенографии
- Диагностика с функциональными пробами
- Проведение рентгена шеи у детей
- Стоимость диагностики
- Противопоказания
- Оздоровительная гимнастика (видео)
![]()
Показания к проведению рентгена
Исследование назначается врачом исключительно по показаниям. Рекомендовано обследоваться людям с жалобами на:
- головные боли;
- появление хруста в шее;
- изменение мышечного тонуса в шее;
- болезненность при повороте шеи;
- головокружение без видимых причин;
- проблемы со зрением или слухом;
- механические повреждения;
- онемение рук;
- раскоординация, шатающаяся походка;
- боль острого характера в области шейных позвонков.
Выполнение рентгена шейного отдела позвоночника возможно несколькими видами диагностики. Какая именно понадобится пациенту в конкретном случае — определяет только лечащий врач, направляющий человека на диагностику.
При выполнении исследования врач может обнаружить следующие проблемы:
- смещение позвонков друг относительно друга;
- проблемы с дисками шейных позвонков;
- трещины или переломы в теле позвонков;
- опухолевые новообразования;
- инфекционные патологии, например, туберкулёзное поражение;
- искривление позвоночника в шейном отделе.
![]()
Результаты диагностики
Получив результаты исследования, врач внимательно изучает, что показал рентген шейного отдела позвоночника. По результатам снимков можно увидеть отклонения или особенности в этом отделе:
- последствия травматического повреждения позвоночного столба в области шеи. Это могут быть вывихи, ушибы, смещения, трещины;
- трансформация позвоночника в области шеи;
- наросты, образовывающиеся вокруг позвоночной артерии в районе первого шейного позвонка — это аномалия Киммерле. Эта патология является врождённой, поэтому диагностировать её можно даже у маленьких детей. При сдавливании позвоночной артерии происходит нарушение кровоснабжения;
- дегенеративно-дистрофические изменения, например, шейный остеохондроз;
- воспалительные патологии, провоцирующие раздражение межпозвонкового нерва. Это состояние провоцирует шейный радикулит;
- наличие аномального костного образования, например, клиновидного позвонка;
- искривление позвонков из-за разрастания костной ткани. К таким патологиям относится спондилез;
- остеопороз в шейном отделе позвоночника;
- обменные нарушения;
- кифоз в шейно-грудном сегменте;
- опухоли, локализованные в шейном отделе;
- грыжи и протрузии дисков.
Чего не увидит доктор на снимке
Рентгенографическое исследование, хотя и является информативным, оно не даёт полного представления о наличии патологий в шейной зоне. Применяется методика давно и при попытках модернизировать рентген, появились новые разновидности диагностики, однако, некоторые патологии и на сегодняшний день для рентгена недостижимы.
Врач даже при наличии чёткого снимка может не выявить следующие патологии:
- мелкие гематомы;
- незначительные трещины или переломы;
- маленькие новообразования.
В таком случае диагностировать такие мелкие, трудные для визуализации отклонения может лучше компьютерная томография, а если же требуется получить информацию о состоянии мягких тканей, то правильным выбором будет магнитно-резонансная томография.


Несмотря на эти особенности, рентгенографию широко применяют в качестве диагностического мероприятия, поскольку даёт ценные сведения о состоянии опорно-двигательного аппарата.
Рентгенография будет ценным исследованием для диагностики остеохондроза шейного отдела, который трудно визуализировать без специальных методик. Эта патология довольно распространена, поскольку связана с сидячей работой, гиподинамией. При помощи рентгенографии позвоночника можно своевременно диагностировать патологию и начать лечение. 
Подготовка к рентгенографии шеи
Рентгенография шейного отдела позвоночника не требует подготовки. Возможно, о чём предупредит доктор пациента — ограничить себя в питании (желательно), чтобы не спровоцировать повышенное газообразования и изжогу.
Если рентген шеи сделать на пустой желудок, то врач получит качественные снимки и поставит правильный диагноз без труда.
Проведение рентгенографии
Рентгенографическое исследование шейного отдела позвоночника является безопасным видом диагностики. Оно может быть проведено в нескольких проекциях:
- в задней проекции;
- в боковой;
- в задней косой;
- в задней прямой проекции через рот.
![]()
В среднем длительность рентгена шейного отдела позвоночника не превышает двадцати минут. При непосредственном проведении исследования пациент должен сохранять неподвижность и соблюдать указания лаборанта или врача-рентгенолога, работающего в кабинете диагностики. Он подскажет, как делать рентген шейного отдела позвоночника верно.
Перед тем как делать снимки, пациенту требуется снять металлические украшения, а также съёмные зубные протезы, если они имеются. Далее, врач будет выполнять снимок в двух или в трёх проекциях.
При проведении рентгена шейного отдела позвоночника в двух проекциях пациента ставят на небольшое возвышение, разворачивают тело в нужной позиции, а потом плотно прижимают к экрану, слегка выдвинув вперёд подбородок. В такой позиции луч пройдёт перпендикулярно экрану на уровне четвёртого шейного позвонка.
Если выполняется рентгеновское исследование в трёх проекциях, то это даст информативные данные о состоянии здоровья пациента. Доктор будет разворачивать пациента несколько раз в нужном положении, чтобы получить снимки с трёх проекций.
Есть ещё один способ увидеть шейные позвонки — это сделать снимок через рот. Процедура больше неудобна, нежели болезненна, поэтому пациентам не стоит переживать перед проведением такого вида рентгенографии. Детям этот вид исследования не применяют, поскольку малыши не могут достаточно открыть рот и посидеть неподвижно при проведении обследования. 
Диагностика с функциональными пробами
При рентгенографическом исследовании с функциональными пробами у врачей есть уникальная возможность изучить наиболее подвижные части шейных позвонков. Проводится с целью диагностирования патологической подвижности между позвонками или, наоборот, блокирование позвонков.
При выполнении функционального теста врачи получают результаты:
- видят смещение позвонков друг относительно друга;
- могут установить степень изменения стенки позвоночного канала спереди и установить характер этих отклонений.
Проведение рентгеновского исследования с функциональными пробами помогает выявить некоторые патологии на ранней стадии развития.
Например, информативным является исследование при наличии у пациента остеохондроза на ранней стадии. При диагностике заболевания уже можно принимать меры по остановке патологического процесса и лечения последствий деструктивных изменений.

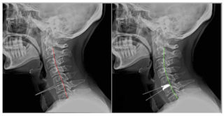
Снимок с функциональными пробами
Проведение рентгена шеи у детей
Рентгенограмма шейного отдела позвоночника проводится не только взрослым пациентам, но и детям. Дети подвержены травмам в области шеи, а также будет необходим в том случае, если доктор подозревает наличие врождённых патологий.
Не стоит переживать, что рентгенография может вызвать неприятные ощущения или побочные эффекты — дети хорошо переносят исследование, особенно рентген в двух или трёх проекциях. С рентгеном через ротовую полость сложнее — такой вид исследования рекомендован только маленьким пациентам старше четырёх лет.
Чаще у детей диагностируются на снимке следующие патологии:
- подвывих;
- ортопедические отклонения;
- гипертонус мышц;
- аномальная подвижность позвонков в шейной зоне;
- родовые травмы.
При правильной и своевременной диагностике врачи назначают лечение пациентам и у большинства детей дефекты шейной зоны позвонка устранимы. 
Стоимость диагностики
Рентгенографическое исследование отличается по цене в зависимости от количества проекций. В Москве в частном диагностическом центре сделать исследование можно за 1500 рублей, а в дополнительных проекциях будет стоить ещё 1000 рублей. Есть клиники, которые делают исследование дороже — чуть более 2000 рублей.
Диагностика с функциональными пробами стоит около 5000 рублей. Это средняя цена по клиникам.
Противопоказания
Исследование имеет минимум противопоказаний.
Не делают рентген женщинам в период беременности — в таком случае прибегают к магнитно-резонансному исследованию. В период лактации рентген разрешён, но такое молоко рекомендовано сцедить.
Запрещено проводить пациентам несколько исследований. Малоинформативным будет рентген при ожирении пациента — врачи могут поставить неправильный диагноз.
Рентгеновское исследование шейных позвонков является чрезвычайно важным видом диагностики при патологиях позвоночника. Если своевременно выявить заболевание на рентгеновском снимке, то можно начать лечение и остановить прогресс болезни.
Оздоровительная гимнастика (видео)
Некоторые заболевания опорно-двигательного аппарата невозможно диагностировать без назначения дополнительных методов исследований. Одним из них является рентген шейного отдела позвоночника (ШОП). Данная процедура является информативной, простой, абсолютно безболезненной и доступной большинству пациентов. Рентгеноанатомия (рентгеновская анатомия) шейного отдела позвоночника, то есть анализ полученного в результате рентгенологического исследования изображения, способна выявить такие патологии, как остеохондроз, деформацию шейных позвонков, смещение дисков, растяжение, ушиб и другие. Именно своевременная диагностика этих дефектов – залог адекватного лечения и скорейшего восстановления естественных функций позвоночного столба.
Подготовка к процедуре
Рентгенография ШОП не требует от обследуемого пациента специальных подготовительных манипуляций. Единственное, что необходимо сделать перед процедурой, это освободить от одежды верхнюю часть туловища и снять все украшения.

Следует быть готовым к тому, что некоторое время нужно будет полежать в установленной специалистом позе, при этом малейшее движение существенно снизит качество снимка, и его дальнейший анализ будет невозможен. Это приведет к необходимости повторного облучения, что не очень полезно для организма.
Исследование займет не больше 15-20 минут, в результате пациент получит от 2 до 5 снимков и расшифровку рентгенолога.
В каких случаях назначается рентген шейной области?
Показаниями к проведению рентгена шейного отдела позвоночника могут быть дискомфортные ощущения в данной области, а также любая, казалось бы, безобидная, травма позвоночника, после которой возникли нетипичные явления.
Рентген шеи может потребоваться при:
Рентгенологические обследования ребенку показаны при:
- родовых травмах;
- врожденных аномалиях ШОП (кривошея);
- нестабильности шеи;
- сколиозе;
- подвывихах;
- ассиметричном тонусе мышц;
- различных механических травмах;
- шаткости походки.
Рентген шейного отдела позвоночника противопоказан при:
- беременности, особенно в последнем ее триместре. Исключением являются только те ситуации, опасность развития которых превышает возможный вред от рентгена для матери и плода;
- излишняя масса тела (более 180 кг) пациента. Это связанно с техническими требованиями по эксплуатации рентгеновского аппарата;
- проведенном менее 5 часов назад рентгенологическом исследовании с бариевой взвесью.
Как делают рентген шейного отдела?
Для максимальной информативности исследования специалист-рентгенолог может предложить несколько вариантов расположения больного. Рентген шеи выполняется в нескольких проекциях.
- Прямая задняя. Дает возможность обследовать позвоночник с III шейного позвонка.
- Прямая задняя через открытый рот. Такое положение оптимально для визуализации переднего отдела шеи, а также І и ІІ позвонков, поскольку при закрытом рте указанные позвонки закрывает тень нижней челюсти.
- Боковая.
- Косая задняя.
Обычно рентген шейного отдела позвоночника проводят в двух проекциях – боковой и прямой.

Рентген в трех проекциях (с применением косой) делают при необходимости дополнительного изучения межпозвоночных отверстий.
Как делают рентгенологическое исследование шеи ребенку? Процедура стандартна для всех возрастов и производится лежа на спине, а затем – на боку. Рентген же шейно-грудного отдела позвоночника может выполняться лежа на спине или стоя. Но существует одна проблема: у новорожденных и малышей младшего дошкольного возраста очень трудно добиться полной неподвижности. Поэтому родители должны быть готовы к тому, что либо придется удерживать своего ребенка, либо медперсонал прибегнет к использованию специальных фиксаторов, абсолютно безвредных для крохи. Исследование в прямой задней проекции через рот делают детям старше 3-4 лет. Это связано с некоторыми возрастными анатомическими особенностями строения.
В случае, когда при первичном визуальном осмотре и пальпации были выявлены наличие сильных болей в суставах или же чрезмерная подвижность и выпячивание позвонков, врач может назначить больному рентген шейного отдела позвоночного столба с функциональными пробами. Функциональной пробой называют дополнительные условия, которые создаются при изучении определенного органа для получения более информативного изображения и дальнейшей детальной диагностики.
Рентгенография шейного отдела позвоночника с функциональными пробами подразумевает выполнение снимка в состоянии полного сгибания шеи, а затем – полного ее разгибания. Такая двигательная активность позволяет выявить некоторые патологии суставов и позвоночника еще на начальных стадиях.

Что показывает рентген шейного отдела позвоночника?
Исследуя шейный отдел позвоночника пациента на рентгене, можно выявить множество заболеваний:
- трещины в костной структуре позвоночного столба;
- остеохондроз и межпозвонковые грыжи; Стоит отметить, что межпозвоночную грыжу на рентгене шейного отдела видно только по косвенным признакам. В большинстве случаев грыжа диска диагностируется только посредством введения контрастного вещества перед рентгенографией;
- патологии дисков;
- инфекционные заболевания ШОП (например, туберкулез);
- сколиоз шейного или шейно-грудного отдела;
- врожденную (у грудничка) или приобретенную кривошею;
- опухоли, локализованные непосредственно на костях;
- остеопороз – необратимое явление, связанное с разрушением костей;
- ревматизм;
- артрит;
- шейный радикулит;
- аномальное развитие позвонков;
- смещение тела позвонков.

При помощи рентгеновских лучей невозможно выявить новообразования на позвоночном столбе, а также развитие патологии в мягких тканях. При подозрении на подобные заболевания показаны более совершенные методики – МРТ или КТ.
Плюсы и минусы рентгенологического исследования
Среди неоспоримых достоинств этого метода функциональной диагностики можно выделить:
- доступность и относительную дешевизну;
- точность получаемого изображения;
- отсутствие возрастных ограничений;
- повсеместное применение современных цифровых аппаратов, выводящих снимки сразу на экран компьютера, что существенно экономит время.
Вместе с тем, рентген шейного отдела позвоночника имеет некоторые недостатки:
- невозможность исследования мягких тканей (мышц, сухожилий, связок);
- противопоказан во время беременности и при сильном ожирении;
- вред от ионизирующего излучения, в связи с которым не рекомендуется проходить рентген чаще 1-2 раз в год.
В силу высокой активности и подвижности, шейный отдел чаще других страдает от различных дегенераций и отклонений. При первых настораживающих симптомах лучше всего обратиться к доктору и, при необходимости, пройти рентгенологическое исследование.
Насколько вреден в детском возрасте?
Многие родители, получив направление на рентген для своего ребенка, начинают переживать из-за угрозы облучения. На самом деле, современная аппаратура источает слабые рентгеновские лучи, которые не вызывают у детей побочных реакций. К сожалению, реалии таковы, что в некоторых медицинских учреждениях еще функционируют аппараты старого образца. Каждый родитель перед проведением исследования имеет право поинтересоваться, какой именно прибор будет для этого использоваться. Если качество инструмента вызовет опасения, то можно обратиться в другую клинику или медицинский центр. В любом случае, не стоит поспешно отказываться от исследования – возможно, от его проведения и соблюдения дальнейших рекомендаций будет зависеть качество жизни малыша.

Результаты обследования
На полученном рентгенологическом снимке норма представляет собой позвоночник с незначительным изгибом вперед. При наличии патологий рентгенограмма шейного отдела позвоночника может показать следующие отклонения:
Расшифровка снимка ШОП производится доктором-рентгенологом, а затем оценивается неврологом и ортопедом-травматологом. Только опытные специалисты по рентгеновским снимкам могут установить причины и симптомы той или иной патологии и, при необходимости, назначить дополнительные виды диагностики.
Рентгенограмма – самый доступный и информационный метод, позволяющий оценить состояние костных и хрящевых структур. Снимок шейного отдела позвоночника служит достоверной базой для первичного или окончательного анализа. МРТ считается более универсальным вариантом, однако из-за сложности и стоимости он уступает рентгенографическому обследованию.
Суть диагностического метода и виды рентгена шеи

Метод изучения костных тканей основан на способности рентгеновского излучения проникать через слой мягких структур и отражаться от твердых и плотных. Кожа, кровеносные сосуды, соединительная или жировая ткань не поглощают лучи и на снимке создают серые контуры. Полые органы – наполненные воздухом, выглядят как черные участки, так как воздух не проводит рентгеновское излучение. Твердые ткани наиболее чувствительные к лучам и на снимке отображаются в виде белых фрагментов.
Рентгенограмма дает только плоское изображение, поэтому чтобы осмотреть шейные позвонки со всех сторон, необходимо сделать несколько проекций. Обычно делают боковую и прямую, при необходимости производят косую проекцию.
Прямая проекция выполняется в вертикальном положении или горизонтальном. Аппарат настроен под таким же углом, под которым размещается позвоночный столб. Ориентиром служит выступ гортани, который параллелен условной линии от виска до нижней челюсти. В таком положении на снимке хорошо видна вся рентгенанатомия шеи за исключением 2 верхних – их маскирует тень от нижней челюсти. Чтобы осмотреть и эти позвонки, снимок повторяют с открытым ртом. В этом случае видны и атлант, и аксис.
Не снимке хорошо просматриваются боковые массы позвонков. Здесь позвоночные артерии проходят к большому затылочному отверстию. По рентгенограмме оценивают расстояние от зубовидного отростка до боковых масс – в норме оно должно быть одинаковым с обеих сторон. Если нет – подозревают подвывих. Также на прямой проекции оценивают величину межпозвонковых щелей.
Боковая проекция чаще выполняется в вертикальном положении – пациент боком прижимается к кассете. На боковой рентгенограмме все позвонки хорошо видны.
Косая проекция выполняется довольно редко. Различают 2 ее типа: заднюю и переднюю. В первом случае пациент размещается спиной к стойке, во втором – лицом. Снимок делают под углом в 30–45 градусов. Так можно точнее оценить расстояние между позвонками.

Помимо стандартных тестов, назначают рентген шейного отдела позвоночника с функциональными пробами, чтобы оценить чрезмерную подвижность или зафиксировать блокировку позвонков. Различают две разновидности:
- Механическая проба – во время процедуры пациент выполняет сгибание и разгибание шеи. По результатам проверки врач оценивает подвижность каждого позвонка и выявляет смещение, если оно есть.
- Миелография – или рентгенограмма с использованием контрастных веществ. Перед обследованием больной получает контрастное вещество, непроницаемое для рентгеновских лучей. После его попадания в кровь сосудистая сетка, нервы становятся видны на снимке. Таким образом выявляют межпозвонковые грыжи, повреждения нервных корешков, сужения канала спинного мозга.
У последнего метода есть минус: у немалого количества пациентов появляется аллергия на контрастное вещество.
Первый вариант встречается чаще. При смещении позвонков на обычном снимке врач ставит диагноз – остеохондроз. Единственный способ подтвердить или опровергнуть его – рентгенография при максимальном разгибании и сгибании шеи. При сгибании шеи линия, соединяющая задние части всех позвонков, должна оставаться ровной и гладкой. При нарушении плавности диагностируют смещение.

Рентген с функциональной пробой включает 3 снимка: задняя проекция в позиции лежа или сидя и 2 боковых в положении максимального изгибания шеи и максимального же разгибания. Боковые снимки лучше делать стоя или лежа.
Очень важно занять правильную позу. Напряжение в одной части хребта обязательно сказывается на другом участке позвоночника, поэтому для каждого положения разработана специальная поза.
Боковой снимок в позиции стоя делают так: пациент боком соприкасается с вертикальной стойкой, наклоняется вниз как можно ниже, опускает руки на пол, голова свободно опущена, колени зафиксированы.
Рентген в момент максимального разгибания проводится так: больной стоит боком, сильно выгнувшись в пояснице, голову откидывает назад, кисти рук на затылке. Если такая позиция причиняет боль, пробу делают со специальной латерографической приставкой на спине.
Применение рентгена с функциональными пробами заметно увеличивает информативность обследования.
Используемые аппараты

Для рентгенографии используют 2 типа аппаратов: пленочные и цифровые.
В первом случае изображение шейных структур регистрируется на снимке. Такой вариант дешевле, результат рентгена остается на материальном носителе и может быть предъявлен разным специалистам.
Рентгенография на цифровом аппарате заметно дороже. Такое оборудование встречается только в клиниках крупных городов. Однако цифровой аппарат позволяет снижать лучевую нагрузку почти на 40%. Изображение получается более четким за счет возможности концентрировать лучи на определенном участке. Результаты обследования передаются на цифровой монитор. Программное обеспечение позволяет тут же произвести все измерения.
Современное рентгенологическое оборудование обеспечивает минимальное воздействие ионизирующих лучей. При рентгене шейного отдела человек получает не более 0,001 мЗв. Такую же дозу обеспечивает фоновое излучение в течение 1 дня.
Показания и противопоказания

Рентген шеи – обязательный элемент диагностики практически всех заболеваний хребта. Так как деформация позвонков или дистрофические изменения в мышцах проявляются в виде самых разнообразных симптомов, процедуру назначают при самых разных показателях:
- Скованность в движении шеей или головой.
- Головокружения и головные боли неясного происхождения. Особенно настораживают те, на которые не влияют обезболивающие.
- Хруст и потрескивание при поворотах и наклонах – появляется при деформации хрящевой ткани.
- Онемение рук, затруднения с мелкой моторикой – наблюдаются при повреждении или защемлении нервных корешков.
- Гипер- и гипотонус мышц шеи.
- Травмы шеи любого плана.
- Ухудшение зрения и слуха – могут быть результатом защемления сосудов.
- Снижение когнитивных способностей, ухудшение памяти – по тем же причинам.
- Нарушения равновесия.
- Также рентгенография проводится для наблюдения за уже выявленными дистрофически-дегенеративными изменениями.
Рентген назначают новорожденным, подросткам, взрослым. Разрешается обследоваться даже во время беременности, предварительно закрыв защитным свинцовым фартуком область живота и груди. Снимки делают и во время кормления грудью, но в этом случае сутки после обследования молоко сцеживают и не дают ребенку.
Нельзя делать рентген в перинатальный период – с 22 недели внутриутробного развития плода до 7 дня после рождения включительно.
Затруднения представляет также избыточная масса тела. Если вес пациента достигает 180 кг, снимки получаются неконтрастными. При этому увеличить интенсивность облучения нельзя, так как это опасно для здоровья. В таких случаях предпочтительнее делать МРТ или КТ.
Подготовка и техника проведения

Подготовка не требуется. RG-обследование можно проводить в любой момент независимо от графика питания или движения.
Делают снимки в вертикальном или горизонтальном положении. Перед процедурой пациент должен снять украшения, раздеться до пояса или освободить верхний плечевой пояс.
Во время съемки пациенту нужно замереть в выбранном положении, не глотать и не дышать. В целом процедура занимает до 15 минут.
Дети не всегда способны находиться в неподвижном состоянии, тем более в столь непривычной обстановке. ребенка сопровождает родитель. На время съемки он должен надеть специальную защитную одежду.
Снимки детей делают в положении лежа, в 2-х проекциях. У грудничков таким образом выявляют врожденные аномалии, родовые или приобретенные нарушения, нестабильные позвонки, подвывихи, смещения. Детям старше 4 лет назначают рентген через рот.
При выполнении нескольких снимков человек после окончания процедуры может почувствовать себя плохо. Симптомы – головокружение, слабость, позывы к рвоте – проходят в течение суток.
Расшифровка результатов

Рентгенография шейного отдела позвоночника предоставляет самую достоверную информацию о состоянии костных хрящевых структур. Заключение включает анализ следующих параметров:
- состояние позвонков, плотность, форма, наличие и форма костных наростов;
- расстояние между позвонками и форму щели;
- уплотнение костной ткани и расположение таких участков;
- плавность очертаний хребта при разгибании и сгибании шеи, таким образом выявляют ступенеобразные деформации.
Анализ данных позволяет диагностировать множество расстройств:
- остеохондроз, остеоартроз, спондилез и любые другие воспалительные и дистрофические изменения в костной ткани;
- межпозвоночные грыжи и протрузии;
- костный туберкулез – рентгенограмма выявляет изменение структуры позвонков;
- онкологические процессы;
- интранатальные травмы – полученные во время родов;
- смещение позвонков, искривление хребта;
- деформация хребта – сколиоз;
- вывихи, подвывихи, другие травмы позвоночного столба.
R-графия шеи выполняется при наименьших дозах облучения и только локально. Вред процедуры заметно меньше по сравнению с флюорографией.
Читайте также:





