Аденома желудка. Дисплазия слизистой желудка.
Добавил пользователь Владимир З. Обновлено: 08.01.2026
Доброкачественные опухоли желудка – группа новообразований эпителиального и неэпителиального гистогенеза, исходящих из разных слоев желудочной стенки, характеризующихся медленным развитием и относительно благоприятным прогнозом. Опухоли могут проявляться болями в эпигастрии, симптомами желудочного кровотечения, тошнотой, рвотой. Основными методами диагностики доброкачественных опухолей являются рентгенография желудка и фиброгастроскопия, гистологическое исследование опухолевой ткани. Лечение доброкачественных опухолей желудка заключается в их удалении эндоскопическим методом или хирургическим путем.
В зависимости от происхождения доброкачественные опухоли желудка разделяются на эпителиальные и неэпителиальные.
Среди эпителиальных опухолей встречаются единичные или множественные аденоматозные и гиперпластические полипы, диффузный полипоз. Полипы представляют собой опухолевидные эпителиальные выросты в просвете желудка с ножкой или широким основанием, шаровидной и овальной формы, с гладкой или грануляционной поверхностью, плотной или мягкой консистенцией. Полипы желудка чаще всего возникают у лиц мужского пола в возрасте 40-60 лет, обычно располагаются в пилороантральном отделе. Ткани полипа представлены разросшимся покровным эпителием желудка, железистыми элементами и соединительной тканью, богатой сосудами.
Аденоматозные полипы желудка — истинные доброкачественные опухоли из железистого эпителия состоят из папиллярных и/или тубулярных структур с выраженной клеточной дисплазией и метаплазией. Аденомы опасны в плане малигнизации и часто приводят к развитию рака желудка. До 75% доброкачественных эпителиальных опухолей желудка составляют гиперпластические (опухолеподобные) полипы, возникающие вследствие очаговой гиперплазии покровного эпителия, имеющие относительно низкий риск озлокачествления (около 3%). При диффузном полипозе желудка выявляются и гиперпластические, и аденоматозные полипы.
Редко встречающиеся неэпителиальные доброкачественные опухоли желудка формируются внутри желудочной стенки — в ее подслизистом, мышечном или подсерозном слое из различных элементов (мышечной, жировой, соединительной тканей, нервов и сосудов). К ним относятся миомы, невриномы, фибромы, липомы, лимфангиомы, гемангиомы, эндотелиомы и их смешанные варианты. Также в желудке могут наблюдаться дермоиды, остеомы, хондромы, гамартомы и гетеротопии из тканей поджелудочной железы, дуоденальных желез. Неэпителиальные доброкачественные опухоли желудка чаще возникают у женщин и иногда могут достигать значительных размеров. Они имеют четкие контуры, обычно округлую форму, гладкую поверхность.
Лейомиомы – наиболее часто встречающиеся доброкачественные неэпителиальные опухоли желудка могут оставаться в мышечном слое, расти в направлении серозной оболочки или прорастать сквозь слизистую желудка, приводя к изъязвлению и желудочному кровотечению. Доброкачественные неэпителиальные опухоли желудка предрасположены к малигнизации.
Причины развития доброкачественных опухолей желудка окончательно не выяснены. Развитие полипов может быть связано с нарушением регенерации слизистой оболочки желудка, дискоординацией процессов пролиферации и дифференцировки ее клеток при хроническом гастрите. Аденомы желудка возникают на фоне атрофического гастрита в результате перестройки желез и покровного эпителия, появления кишечной метаплазии. Гиперпластические полипы развиваются при нарушении обновления и увеличения продолжительности жизни клеток, из-за избыточной регенерации покровно-ямочного эпителия. Также отмечено, что чаще всего полипы желудка возникают в зонах со сниженной секрецией соляной кислоты (нижняя треть желудка), у больных с гипо- и ахлоргидрией.
Источником неэпителиальных доброкачественных опухолей желудка может быть гетеротопированная эмбриональная ткань, сохранившаяся в слизистой оболочке при нарушении внутриутробного развития.
Симптомы доброкачественных опухолей желудка
В половине случаев полипы желудка протекают без клинических проявлений. Симптомы полипов желудка в основном определяются фоновым заболеванием (хроническим гастритом) и осложнениями (изъязвлением верхушки полипа, кровотечением, пролапсом полипа в двенадцатиперстную кишку и непроходимостью привратника).
Боли при полипах желудка обусловлены воспалительным процессом в окружающей его слизистой оболочке, локализуются в эпигастральной области и имеют тупой, ноющий характер. Сначала они возникают после приема пищи, затем становятся постоянными. Могут наблюдаться жалобы на горечь во рту, тошноту и отрыжку. При развитии непроходимости привратника — появляется рвота, при ущемлении полипа – начинаются схваткообразные боли в подложечной области и по всему животу. Изъязвление полипа приводит к умеренному желудочному кровотечению; при этом может выявляться кровь в рвотной массе, дегтеобразный стул, недомогание, бледность кожных покровов, анемия. Малигнизация полипов, как правило, происходит незаметно, поэтому подозрение должны вызвать отсутствие аппетита, похудание, нарастание общей слабости, диспепсические расстройства.
Клинические признаки неэпителиальных доброкачественных опухолей желудка зависят от их локализации, характера и скорости роста, наличия изъязвления поверхности. Чаще всего неэпителиальные опухоли желудка сопровождаются кратковременными и постоянными болями, возникающими натощак, после приема пищи, при изменении положения тела. При невриномах болевой синдром сильный, жгучего характера. Изъязвление опухоли (особенно, гемангиомы) может вызывать скрытые или обильные желудочные кровотечения с угрозой для жизни больного.
При большом размере опухоли могут пальпироваться через переднюю брюшную стенку. Доброкачественные неэпителиальные опухоли желудка могут осложняться перитонитом при некрозе новообразований; острой или хронической непроходимостью привратника в случае ущемления в нем опухоли и ее злокачественным перерождением.
Диагностика доброкачественных опухолей желудка
Диагностировать опухоли желудка позволяют данные анамнеза, рентгенологического и эндоскопического исследований.
На наличие полипов при рентгенографии желудка может указывать дефект наполнения, повторяющий очертания опухоли: четкие, ровные контуры, круглую или овальную форму, его смещаемость при наличии ножки или неподвижность – при полипе с широким основанием.
В случае полипоза желудка выявляют большое число разных по величине дефектов наполнения. Перистальтика стенок желудка при этом сохраняется. Признаки отсутствия перистальтики, увеличение размера, изменение формы, появление нечеткости контуров дефекта наполнения при динамическом наблюдении могут говорить о малигнизации полипа.
Диагноз уточняется при фиброгастродуоденоскопии (ФГДС), которая позволяет провести визуальный осмотр состояния слизистой оболочки желудка, распознавание и дифференциацию полипов от других заболеваний. Визуальная дифференциация доброкачественного полипа от малигнизированного затруднена. Обычно об озлокачествлении могут свидетельствовать наличие полипа размером более 2 см, с бугристой дольчатой поверхностью, неправильными изъеденными контурами. Для точного определения характера полипа во время ФГДС выполняется биопсия подозрительных участков с морфологическим исследованием биоптатов.
Диагноз неэпителиальной доброкачественной опухоли желудка в большинстве случаев можно установить только после операции и морфологического исследования данного новообразования. Наличие клинических проявлений (например, кровотечения) указывает на возможность опухолевого процесса. ФГДС более информативна при эндогастральном росте неэпителиальных опухолей желудка. При интрамурально или экзогастрально расположенных опухолях при эндоскопическом исследовании определяется сдавление желудка извне.
Рентгенография желудка при неэпителиальных доброкачественных опухолях помогает обнаружить округлые или неправильные контуры дефекта наполнения с сохранением перистальтики и складок на подслизистом слое; экзогастральный рост новообразования с оттягиванием стенки желудка; изъязвление с образованием ниши на верхушке опухоли и др. Для обнаружения экзогастральных опухолей желудка могут быть использованы УЗИ и КТ брюшной полости.
Лечение доброкачественных опухолей желудка
Лечение доброкачественных опухолей желудка — только хирургическое; метод оперативного вмешательства зависит от вида, характера опухоли и ее локализации.
В отсутствии надежных критериев малигнизации доброкачественных опухолей желудка, необходимо проводить удаление всех выявленных новообразований.
Основными методами удаления доброкачественных опухолей желудка в настоящее время являются малоинвазивная эндоскопическая электроэксцизия (или электрокоагуляция), энуклеация, резекция желудка, редко – гастрэктомия.
Эндоскопическая полипэктомия проводится при небольших одиночных полипах, локализующихся в различных отделах желудка: при размере менее 0,5 см — прижиганием с помощью точечного коагулятора, при размере от 0,5 до 3 см — методом электроэксцизии.

При крупных одиночных полипах желудка на широком основании выполняют хирургическую полипэктомию (иссечение в пределах слизистой оболочки или со всеми слоями стенки желудка) с предварительной гастротомией и ревизией желудка.
При множественных полипах или подозрении на малигнизацию выполняют ограниченную или субтотальную резекцию желудка. После полипэктомии и резекции существует риск неполного удаления, рецидива и малигнизации опухоли, возможно развитие послеоперационных осложнений и функциональных расстройств. Гастрэктомия может быть показана при диффузном полипозе желудка.
Во время удаления неэпителиальных опухолей желудка проводится срочное гистологическое исследование опухолевых тканей. Небольшие доброкачественные новообразования, растущие в направлении просвета желудка, удаляют эндоскопически; инкапсулированные опухоли вылущивают методом энуклеации. Большие, труднодоступные эндо- и экзогастральные доброкачественные опухоли желудка удаляют методом клиновидной или парциальной резекции, при подозрении на малигнизацию — резекцию производят с соблюдением онкологических принципов.
После удаления доброкачественных опухолей желудка показано динамическое диспансерное наблюдение гастроэнтеролога с обязательным эндоскопическим и рентгенологическим контролем.
Государственная клиническая больница №29 им. Н.Э.Баумана – это современная многопрофильная высокотехнологичная больница с уникальной полуторавековой историей и традицией, оказывающая высококачественную медицинскую помощь в круглосуточном режиме.
Аденома желудка
Аденома желудка (аденоматозный полип) — это доброкачественное новообразование из клеток железистого эпителия с признаками дисплазии. Макроскопически она представляет собой вырост слизистой оболочки на тонкой ножке, либо на широком основании. Микроскопически определяется хаотическое разрастание эпителия с многочисленными морфологическими изменениями (ядерный полиморфизм, признаки пролиферации и т. д.).
Аденомы желудка являются серьёзной патологией. Риск их перерождения в рак чрезвычайно высок – 40-50 %. Поэтому своевременное выявление и лечение аденоматозных образований считается одним из приоритетных направлений современной гастроэнтерологии.
Причины развития
Чаще всего аденоматозные полипы желудка развиваются из-за атрофического гастрита или гастрита с пониженной кислотностью. Также фоном для появления доброкачественных опухолей могут послужить любые хронические заболевания пищеварительной системы (эрозии, язвенная болезнь и т. д.).
Основные причины, приводящие к образованию аденом, следующие:
- «внедрение» в оболочку слизистой желудка участков кишечного эпителия — кишечная метаплазия;
- чрезмерная клеточная пролиферация на фоне хронического воспаления с последующей гиперплазией эпителиальной ткани;
- повреждение внутренней оболочки желудка продуктами жизнедеятельности микроорганизмов Helicobacter pуlori, которые снижают кислотность пищеварительного сока и защитные свойства выделяемой слизи;
- систематический приём ингибиторов протонной помпы, которые подавляя выработку соляной кислоты, тем самым увеличивают продукцию гастрина, стимулирующего деление клеток.
По статистике мужчины болеют в два раза чаще женщин. Развивается патология обычно в возрасте 40-60 лет. У некоторых людей имеется генетическая предрасположенность к образованию доброкачественных опухолей желудочно-кишечного тракта. Чрезмерное курение, употребление грубой пищи и крепких спиртных напитков, приём некоторых медикаментов также способствует появлению аденом.
Симптомы
Аденома желудка часто протекает бессимптомно и становится «случайной» находкой при эндоскопическом исследовании ЖКТ. Так как новообразования формируются преимущественно на фоне атрофического гастрита (реже они связаны с другой желудочной патологией), у пациента будет наблюдаться клиническая картина, характерная для данного заболевания:
- снижение аппетита;
- отрыжка;
- изжога;
- тошнота;
- рвота, после употребления грубой, «тяжёлой», жирной, острой еды;
- дискомфорт, тяжесть и боли в эпигастральной области;
- ощущение переполнения желудка, даже после приёма малой порции пищи.
При разрастании полипов и увеличении их размеров до 2 см и более, могут появляться следующие симптомы патологии:
- Постоянная ноющая боль в желудке, на зависящая от приёма пищи, связанная с наличием воспаления в слизистых оболочках ЖКТ.
- Признаки внутреннего кровотечения, возникающие при повреждении или изъязвлении аденомы (дёгтеобразный стул, рвота с кровью, анемия).
- Симптоматика, связанная с хронической кровопотерей, — снижение массы тела, быстрая утомляемость, упадок сил, усталость, головокружения, тахикардия и т. д.
Аденоматозный полип желудка может в любой момент трансформироваться в аденокарциному. Как правило, при малигнизации опухоли состояние человека ухудшается.
Аденомы могут приводить к развитию серьезных осложнений. При перекруте ножки, питающей полип, возникает тромбоз сосудов и некроз тканей. У пациента появляются интенсивные боли в желудке, повышается температура тела и также добавляются другие признаки интоксикации организма. Если произошло ущемление аденоматозного образования, продвижение еды по пищеварительному тракту останавливается и в эпигастральной области появляются резкие схваткообразные боли. Оба состояния требуют неотложной врачебной помощи.
Классификация аденомы желудка
Аденоматозный полип может располагаться на любом участке органа. Чаще аденома желудка локализуется в антральном отделе и в области привратника (место перехода в 12-типерстную кишку).
Аденомы желудка по гистологическому типу подразделяют на три группы:
- Ворсинчатый (виллезный, папиллярный) тип аденомы. Является наиболее благоприятным в плане дальнейшего прогноза. Опухоль, как правило, имеет широкое основание и характерный «мохнатый» внешний вид. Она состоит из множества ворсинок и соединительнотканных элементов с небольшим количеством железистого эпителия (не более 25%).
- Смешанная форма аденомы. Имеет более выраженную степень дисплазии по сравнению с предыдущим видом. Опухоль содержит в разном соотношении ворсинчатые и тубулярные структуры. На долю папиллярной ткани приходится от 25 до 75%).
- Тубулярная аденома. Является наиболее распространённым видом. Опухоль имеет чёткие границы, малиновый цвет, состоит из эпителиальных желез. Под микроскопом видны многочисленные изменённые, ветвящиеся трубочки, более длинные и широкие, чем в норме. Для этой аденомы характерны медленный рост и высокая степень малигнизации.
Клиницисты подразделяют аденоматозные полипы желудка на доброкачественные, переходные типы и малигнизированные (рак).
Диагностика
Диагностировать патологию и определить гистотип опухоли позволяет эндоскопическое исследование желудка (ФГДС). С помощью гастроскопии можно детально изучить состояние слизистой органа, обнаружить аденомы размером даже менее 5 мм, оценить структуру каждого новообразования и взять гистологический материал для анализа.
Также диагностика включает в себя опрос и осмотр пациента, рентгеноскопию желудка с контрастированием, общие клинические анализы, лабораторные тесты и другие методики. При подтверждении злокачественного процесса дальнейшее обследование и лечение проводит онколог.

Лечение аденомы желудка
Диагностированная аденома желудка требует активной врачебной тактики, так как в большинстве случаев она трансформируется в рак, и тут особо опасна тубулярная форма. Выбор лечения в основном зависит от гистологического строения и размера новообразования.
Папиллярные и смешанные варианты в некоторых случаях допускают выжидательную тактику (малый размер, наличие медицинских противопоказаний к операции и т. д.). Если аденоматозный полип в желудке не удаляют, пациент ежегодно проходит гастроскопию. При появлении признаков малигнизации, быстром росте опухоли или наличии осложнений поднимается вопрос о хирургическом вмешательстве.
Тубулярные аденомы всегда подлежат оперативному лечению. Для удаления полипов небольшого размера на тонкой ножке, не имеющих признаков атипии, используется гастроскоп. На слизистый нарост накидывается петля и с помощью электрокоагуляции его убирают. Такой способ считается менее травматичным и менее опасным для пациента. Слизистая желудка восстанавливается через 2-8 недель. Спустя 2-3 месяца после операции проводится контрольная эндоскопия, чтобы подтвердить отсутствие рецидива.
Если у аденомы широкое основание, опухоль имеет большой диаметр или насчитывается несколько крупных полипов, применяют лапароскопический доступ. При выявлении в аденоматозном образовании злокачественных клеток может быть проведена резекция желудка или другие радикальные операции, с учетом показаний и стадии процесса. Также оперативные вмешательства могут выполняться «открытым» доступом через разрез брюшной стенки.
Питание при аденоме желудка
Диета при аденоматозных полипах в желудке назначается гастроэнтерологом с учётом фоновой патологии (язвенная болезнь, гастрит и т. д.). Для предупреждения роста аденом и их рецидива после операции рекомендуется соблюдение следующих правил:
- Из меню исключают «тяжёлые», жирные, острые и любые блюда, которые могут травмировать желудочную слизистую или вызвать её раздражение. То же касается напитков.
- Сводится к минимуму потребление «вредной» пищи, фастфуда, полуфабрикатов и т. д.
- Нельзя переедать, желательно есть малыми порциями с соблюдением принципов рационального питания.
Любая погрешность в режиме питания способна усугубить течение болезни.
Профилактика
Специфических профилактических мер при данной патологии не разработано. Чтобы свести к минимуму риск образования аденоматозных полипов и злокачественных новообразований желудочно-кишечного такта, следует придерживаться правил здорового образа жизни. Важно соблюдение «щадящей» диеты.
Также необходимо отказаться от вредных привычек (курение, алкоголь) и приёма некоторых лекарственных препаратов (НПВС, кортикостероиды и другие). Нельзя допускать стрессов. Следует вовремя лечить хронические заболевания органов пищеварения.
При своевременном обнаружении аденомы и её радикальном лечении, как правило, прогноз благоприятный.
В «Евроонко» имеется все необходимое оборудование для точной диагностики и эффективного лечения аденомы желудка. Наши специалисты руководствуются современными и официально одобренными протоколами и стандартами. Предпочтение отдается малотравматичным методикам, но при необходимости наши хирурги готовы выполнить операции любой сложности.
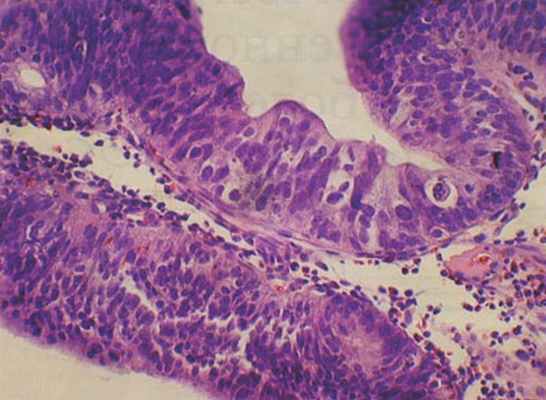
Аденома желудка. Дисплазия слизистой желудка.
Аденома желудка. Дисплазия слизистой желудка.
Аденомы со слабой дисплазией представлены преимущественно железисто-подобными (тубулярными) структурами, расположенными среди рыхлой, с умеренной лимфоидной инфильтрацией стромы. На поверхности аденомы могут выявляться небольшие сосочковые структуры. Железы и сосочки выстланы цилиндрическим, реже кубическим эпителием. Палочковидные или овальные ядра расположены преимущественно в один ряд в базальной части клеток, ядерно-цитоплазматическое соотношение увеличено но сравнению со зрелым покровно-ямочным или кишечным эпителием (в случаях кишечной метаплазии).
Количество секрета уменьшено, он выявляется в виде небольших вакуолей или узкой каемки в апикальной части клеток, содержит нейтральные или кислые гликозаминогликаны. Цитоплазма богата РНК.
В аденомах с умеренной дисплазией нарастают признаки клеточной и структурной атипии: увеличиваются ядерно-цитоплазматическое соотношение, гиперхроматоз ядер и базофилия цитоплазмы, появляется псевдомногорядность, количество секрета еще более снижается, возрастает число фигур митоза. Железы неправильной формы, ветвятся; количество сосочковых структур увеличивается.
При тяжелой дисплазии признаки клеточной и структурной атипии еще более выражены. Усиленная пролиферация клеток ведет к почкованию желез, образованию впячиваний и сосочковых структур в их просветах.
Железы расположены тесно и беспорядочно, часто вплотную друг к другу. Отмечают полиморфизм клеток и ядер как в отношении формы, так и содержания хроматина, ядерно-цитоплазматическое соотношение очень высокое, секрет почти полностью отсутствует. В тех случаях, когда встречаются единичные секреторные вакуоли, они могут располагаться не в апикальной, а в базальной части клеток. Нарушается также полярность расположения ядер. Псевдомногорядность может быть резко выражена, но могут обнаруживаться железы, выстланные кубическим эпителием с гиперхромными центрально расположенными ядрами. Много фигур митоза.

Наиболее часто встречаются аденомы с умеренной и тяжелой дисплазией, нередко участки с разной степенью дисплазии выявляются в одной и той же опухоли. Возможны разрастания эпителия с признаками атипии не только в виде полиповидных образований (аденом), но и в плоской слизистой оболочке, где они занимают всю ее толщину или располагаются на поверхности.
Очень часто очаги дисплазии бывают мультицентрическими. По существу аденомы представляют собой экзофитные разрастания эпителия, благодаря чему они легче выявляются при рентгенологическом и эндоскопическом исследовании и чаще становятся объектом морфологического исследования, чем участки дисплазии в плоской слизистой оболочке. Однако принципиально это один и тот же процесс, в основе которого лежит усиление пролиферации и нарушение дифференцировки эпителиальных клеток. Следовательно, вопрос о злокачественном потенциале аденом неразрывно связанс вопросом о злокачественном потенциале эпителиальной дисшшзни в желудке вообще. Чем больше степень диснлазии, тем, по-видимому, выше опасность малигнизации.
Дисплазию эпителия, особенно слабую и умеренную, бывает трудно дифференцировать от регенераторной пролиферации эпителия при язвах и эрозиях желудка при обострении хронического гастрита. Отличительным признаком регенераторных разрастаний является тенденция к созреванию и нормальной дифференцировке клеток но направлению к поверхности слизистой оболочки, хотя полного созревания клеток не происходит. При повторной биопсии, особенно после лечения, регенераторные изменения слизистой оболочки уменьшаются или исчезают.
Иногда трудно, норой невозможно дифференцировать тяжелую дисплазию от рака. Злокачественные изменения в диспластическом эпителии определяются присутствием злокачественных опухолевых клеток и признаками инвазии. Клеточные изменения имеют ценность лишь тогда, когда злокачественная природа клеток совершенно очевидна. Злокачественные клетки обычно большие, низкодифференцированные, полиморфные, с большим ядром и выраженным ядрышком. Обычно присутсгвуют атипические митозы. Если такие клетки расположены лишь в пределах желез- это соответствует карциноме in situ. Теоретически рак желудка должен начинаться как карцинома in situ.
Практически «чистая» карцинома in situ без инвазии в строму наблюдается редко, подтверждая высокую инвазивность большинства форм рака желудка. Поскольку на практике фактически невозможно исключить инвазию, особенно по биопсийному материалу, диагноз «карцинома in situ» желательно не употреблять. При подобных изменениях лучше говорить о тяжелой дисплазии с подозрением на рак. Повторная биопсия в таких случаях должна быть проведена с минимальным интервалом, чтобы уточнить характер изменений.
Определенным признаком злокачественности является инвазия в строму, хотя бы маленькая и неглубокая. Ее следует всегда тщательно искать, исследуя максимально возможное количество срезов. Если инвазия ограничивается слизистой оболочкой, то это уже не карцинома in situ, а внутрислизистый рак.
Эпителиальная дисплазия морфологический маркер повышенного риска возникновения рака, однако сгепень этого риска еще не установлена. До настоящего времени отсутствуют убедительные данные, позволяющие на основании современных методов (включая электронную микроскопию, радиоавтографию, цитофотометрию и др.) достоверно определить, являются ли в данном случае дисиластические изменения обратимыми или они перейдут в рак. Наиболее достоверные сведения могут быть получены на основании динамического наблюдения за течением эпителиальной диснлазии. Пока такие сведения немногочисленны и результаты их в значительной степени противоречивы.
По-видимому, в большинстве случаев слабая и умеренная дисплазия подвергается обратному развитию или остается стабильной, хотя несомненна возможность прогрессирования части этих изменений в рак. Тяжелая дисплазия также может подвергаться обратному развитию, однако вероятность ее перехода в рак достаточно велика (8— 75% и выше).
В практической работе особое внимание должно уделяться умеренной и тяжелой дисплазии. В 1984 г. патологоанатомы, входящие в Международную группу по изучению рака желудка (JSGGC), предложили сохранить термин «дисплазия» только за умеренными и тяжелыми ее формами, подчеркивая этим высокую степень опасности их малигнизации. Слабая дисплазия. которую трудно отличить от регенаторных изменений, отнесена к гиперплазии.
Информация на сайте подлежит консультации лечащим врачом и не заменяет очной консультации с ним.
См. подробнее в пользовательском соглашении.
Аденомы желудочно-кишечного тракта (аденоматозные полипы)
В зависимости от органа, где она располагается (локализации), различают аденомы: желудка, кишечника, аппендикса, печени, почек, надпочечников, лёгких, а также желёз: слюнных, предстательной, щитовидной, гипофиза, паращитовидной, молочной, сальных.
Аденомы желудочно-кишечного тракта (ЖКТ) часто называют аденоматозными полипами. Аденомы бывают как наследственные, так и ненаследственные. К наследственным относятся: семейный аденоматозный полипоз толстой кишки, синдром Гарднера, синдром Туркота и другие (Кайбышева В.О. и др.).
- тубулярные
- ворсинчатые (папиллярные)
- тубулярно-ворсинчатые (папиллотубулярные)
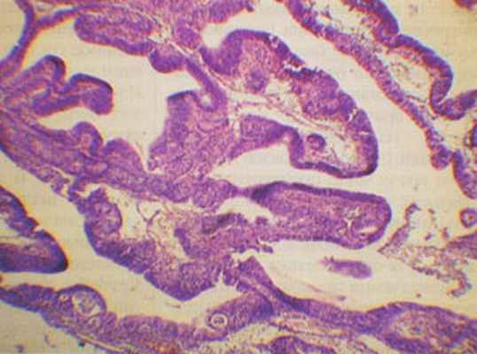
Среди эпителиальных опухолей желудка аденомы составляют не менее 3–13 %. При эндоскопическом исследовании типичные аденомы обычно выглядят как возвышающиеся над поверхностью слизистой полиповидные образования с ворсинчатой либо дольчатой поверхностью.
![]() |
| Тубулярная ворсинчатая аденома желудка. Выраженная дисплазия (×200) (Звенигородская А.П.) |
Тубулярно-ворсинчатый тип аденом — промежуточный между тубулярным и ворсинчатым. В тубулярно-ворсинчатых аденомах в результате пролиферации эпителия увеличивается количество ворсинок, которые могут определяться как на поверхности полипа, так и внутри крупных желез. Строение желез также изменяется: они удлиняются, приобретают неправильную форму, плотно прилегают друг к другу. Одновременно нарастает степень дисплазии эпителия. Тубулярно-ворсинчатой считается аденома, имеющая в своей структуре от 25 до 75 % ворсинчатой ткани. Макроскопически тубулярно-ворсинчатая аденома отличается от тубулярной более выраженной дольчатостью и наличием небольших участков с очень мелкими дольками или ворсинками (Борсук А.Д., Малаева Е.Г.).
Аденома желудка
- аденомы кишечного типа
- аденомы фовеолярный типа
- аденомы пилорического типа
- аденомы фундального типа
- воспалительные фиброзные полипы
![]() |
| Тубулярная аденома желудка (×200) (Звенигородская А.П.) |
Существует мнение, что язвенная болезнь желудка, хронический атрофический мультифокальный гастрит, хронический атрофический мультифокальный гастрит с наличием аденоматозных полипов и рак желудка кишечного типа являются стадиями нарушения клеточного обновления слизистой оболочки желудка, связанного с персистенцией Helicobacter pylori (Коган Н.Ю.).
Аденома толстой кишки
Аденоматозные колоректальные полипы встречаются чаще у мужчин, чем у женщин. Пожилые пациенты имеют повышенный риск возникновения аденом. При аутопсиях у людей моложе 50 лет аденомы выявляются в 17 %, от 50 до 59 лет — в 35 %, 60-69 лет — в 56 %, 70 лет и старше — в 63 % случаев. Данные скрининговых колоноскопий показали похожие результаты: в возрасте 50-59 лет аденомы диагностированы у 21-28 %, 60-69 лет — у 41-45 %, 70 лет и старше — у 53-58 % пациентов. Колоректальные аденомы могут значительно варьировать по размеру, но чаще встречаются небольшие, меньше 1 см в диаметре. В результате проведения 3371 колоноскопических аденомэктомий у 38 % пациентов обнаружены полипы 0,5 см и меньше, у 36 % — 0,6-1,0 см, у 26 % — больше 1 см в диаметре. Среди обследованных пациентов в 60 % случаев выявлена одиночная аденома, в 40 % — несколько аденом. Считается, что одиночные аденомы являются факультативным, а диффузный аденоматоз — облигатным предраковым заболеванием. С увеличением возраста пациентов вероятность обнаружения нескольких аденом повышается. Аденоматозные полипы, так же как и колоректальный рак, чаще встречаются в левых отделах ободочной кишки. Проведенные клинические исследования показали, что более чем в 60 % случаев удаляемые аденомы расположены дистальнее селезеночного изгиба ободочной кишки. Однако данные аутопсий пациентов, умерших от других причин, показывают, что аденомы более распространены в проксимальных отделах ободочной кишки.
Колоректальная аденома чаще имеет вид полипа, связанного со стенкой ножкой или широким основанием. Длина ножки зависит от темпа роста полипа и его локализации. Быстро растущие полипы имеют широкое основание, в то время как медленно растущие, как правило, имеют ножку. Ножка полипа образуется в результате перистальтики и тракции полипа перистальтической волной. Некоторые аденомы имеют плоский или углубленный вид и не возвышаются над поверхностью слизистой оболочки кишки.
Большинство колоректальных аденом не проявляют себя и, как правило, обнаруживаются случайно. Иногда аденомы могут вызывать значительные кровотечения или приводить к хронической анемии из-за длительной скрытой потери крови. Крупные аденомы прямой кишки в дополнение к кровотечениям могут сопровождаться тенезмами и выделением слизи. Продукция слизи в большом объеме может вызвать электролитные нарушения. Дистальные аденомы прямой кишки могут частично выпадать через задний проход (Борсук А.Д., Малаева Е.Г.).
Наблюдение пациентов после эктомии аденом толстой кишки
- очень низкий риск (не выявлено полипов толстой кишки или обнаружены только гиперпластические полипы) — через 10 лет
- низкий риск (выявлены 1-2 аденомы менее 1 см каждая) — через 5 лет, при отсутствии изменений — каждые 10 лет
- промежуточный риск (выявлены 3-4 аденомы менее 1 см каждая или как минимум одна аденома размером 1 см и более) — через 3 года, при отсутствии изменений при двух последовательных проведённых исследованиях — каждые 10 лет
- высокий риск (выявлено не менее 5 аденом менее 1 см или не менее 3 аденом, из которых хотя бы одна имеет размер не менее 1 см) — через 1 год, затем каждые 3 года
- очень высокий риск (выявлен большой полип на плоском основании не менее 2 см или мальгинизированный полип с благоприятными прогностическими характеристиками, удаление произведено полностью, признаков поражения краёв не выявлено, нет признаков низкой дифференцировки и вовлечения кровеносных и лимфатических сосудов) — каждые 3 месяца, при отсутствии изменений — каждые 3 года.
Аденоматозные полипы пищевода
Длительно текущий воспалительный процесс в пищеводе при рефлюкс-эзофагите приводит к нарушению репарации и регенерации, а также к потере контроля над пролиферацией эпителия. Эти процессы лежат в основе развития метаплазии, дисплазии и полипов нижней трети пищевода и служат основой для неопластических процессов в будущем. У 8,3% наблюдавшихся детей и подростков с эрозивно-язвенным рефлюкс-эзофагитом были обнаружены аденоматозные полипы. У трех больных поверхность аденоматозных полипов была выстлана эпителием тонкокишечного типа. В двух случаях мы наблюдали развитие аденомы абдоминальной части пищевода из очагов желудочной метаплазии. На фоне лечения рефлюкс-эзофагита аденоматозных полипы не имели тенденции к регрессу (Семенюк Л.А., Санникова Н.Е.).
Профессиональные медицинские публикации, затрагивающие аденоматозы, связанные с заболеваниями ЖКТ
Аденоматозные полипы пищеварительной системы в МКБ-10
Различные аденоматозные полипы органов пищеварения отнесены к следующим рубрикам «Класса II. Новообразования (C00-D48)», группы «D10-D36 Доброкачественные новообразования» Международной классификации болезней МКБ-10:
В трёхсимвольной рубрике «D13 Доброкачественное новообразование других и неточно обозначенных органов пищеварения»:
D13.0 Пищевода
D13.1 Желудка
D13.2 Двенадцатиперстной кишки
D13.3 Других и неуточненных отделов тонкой кишки
D13.9 Неточно обозначенных локализаций в пределах пищеварительной системы (включая: пищеварительной системы БДУ, кишечника БДУ, селезенки)
Полипы желудка
Полип желудка - это ненормальное разрастание ткани, исходящей из слизистой оболочки желудка. Они встречаются довольно-таки редко и обычно не вызывают клинических симптомов. Полипы желудка диагностируются, когда доктор проводит исследование по какой-либо другой причине.
Дальнейшее отношение к выявленному во время видеоэзофагогастродуоденоскопии (ВГДС) полипу зависит от его гистологической верификации, этиологии (причины возникновения), естественной истории (развитие в динамике). После оценки полученных данных решается вопрос о необходимости лечения в данном клиническом случае или о проведении динамического наблюдения.
Классификация полипов желудка

Наиболее рациональным является классифицирование полипов по клиническим, морфологическим и гистологическим признакам. Чаще всего полипы имеют бессимптомное течение. Однако, осложненный вариант может проявляться кровотечением (признаки анемии, кровь в стуле), непроходимостью (тошнота, рвота), гастритоподобным течением (боли в верхних отделах живота) и малигнизацией (снижение массы тела и др. симптомы онкологического заболевания).
По морфологическим критериям полипы разделяют на солитарные (одиночные) и множественные, мелкие и крупные, мягкие и плотные. Учитывая, что видеогастроскопия является «золотым» стандартом в диагностике данной патологии, во всем мире признанной является Парижская классификация эпителиальных новообразований, согласно которой выделяют выступающие (0-Ip – на узкой ножке, 0-Isp – на зауженном основании, 0-Is – сидячие) и поверхностные (0-IIa – приподнятые, 0-IIb – поверхностные плоские, 0-IIc – слегка углубленные, смешанные варианты).

Ключевым моментом при выполнении эндоскопического исследования является не только правильная интерпретация найденного образования, но и возможность забора материала с последующим гистологическим подтверждением, что главным образом влияет на дальнейшую тактику лечения. В связи с этим представлены четыре группы полипов с их подробными характеристиками.
Наиболее частый тип полипов, выявляемых при ЭГДС. По данным крупных современных исследований, фундальные полипы желудка диагностируются приблизительно в 6% пациентов, которым проводится ЭГДС. Это, в свою очередь, cоставляет около 74% всех полипов желудка, подтвержденных гистологической оценкой. Эндоскопически фундальные полипы желудка обычно множественные, небольшие (менее 10 мм), с гладкой поверхностью, блестящие и макроскопически «сидячие» (0-Is по Парижской классификации 2002-2005 гг.)
При хромоскопии и узкоспектральной эндоскопии (NBI) поверхность представлена рисунком по типу «пчелиных сот» с густой сосудистой архитектоникой. Изначально фундальные полипы связывали с гамартомами (образованиями, представляющими тканевую аномалию развития), однако, в большом числе исследований подтверждено, что механизмы, подавляющие секрецию соляной кислоты ингибиторами протонной помпы (ИПП), могут также участвовать в патогенезе развития фундальных полипов желудка.
Гистологически фундальные полипы представлены дилятированными (расширенными) кислотопродуцирующими железами, покрытыми плоскими париетальными и слизистыми клетками без признаков дисплазии. Выявление характерных полипов желудка у пациентов, принимающих ИПП, с большой долей вероятности диагностируют как полипы фундальных желез. При первичном осмотре один или более представленных полипов после взятия биопсии подвергают морфологической оценке для подтверждения диагноза. Большие полипы (более 10 мм), эрозированные, расположенные нетипично, например, в антральном отделе желудка, должны быть подвергнуты более агрессивной тактике ведения – эндоскопической полипэктомии.
Это воспалительная пролиферация фовеолярных клеток желудка (муцин - продуцирующих эпителиальных клеток). Гиперпластические полипы желудка связывают с атрофией слизистой, вызванной инфицированием H.pylori или аутоиммунными гастритами. Однако, в последнее время встречается все больше случаев выявления таких полипов на фоне нормальной или реактивной слизистой, не связанной с сопутствующей инфекцией. Гиперпластические полипы в равной степени встречаются у мужчин и женщин на 6 -7 декадах жизни. Наиболее частая локализация – это антральный отдел желудка.

Эндоскопически они обычно гладкие, куполообразные (0-Is, 0-Isp тип), размерами от 5 до 15 мм в диаметре, хотя могут быть намного больше. Большие полипы становятся дольчатыми, расположенными на ножке (0-Ip тип), поверхность эпителия полипа нередко эрозирована, что может являться причиной хронической кровопотери и железодефицитной анемии. Редко поступают пациенты с признаками высокой непроходимости, вследствие обтурации или пролабирования полипа через привратник. Гиперпластические полипы возникают как гиперпролиферативный ответ на повреждение слизистой (эрозии, язвы). Длительное химическое воздействие соляной кислоты и наличие инфекции H.pylori могут быть первоначальной ступенью в их развитии.
Гистологическая характеристика включает удлиненные, искаженные, разветвленные, дилятированные фовеолярные железы с богато васкуляризованной стромой на фоне хронического воспаления. Показано, что в 1 - 20 % полипов могут скрываться фокусы диспластических изменений. В целом, распространенность очага карциномы составляет менее 2 % и, как правило, в полипах размерами более 20 мм. В связи с потенциальным риском развития рака желудка, все гиперпластические полипы более 10 мм в диаметре следует полностью удалять. Резекция полиповидных образований всегда должна быть дополнена взятием образцов интактной слизистой, которые содержат информацию о распространенности и тяжести воспалительных и атрофических изменений в окружающей слизистой оболочке (по морфологической классификации OLGA). В результате - определяется стратификация риска развития рака желудка.

По современным представлениям, необходимо выполнить эрадикацию H.pylori с последующей оценкой между 3 и 6 месяцами после терапии для подтверждения успешного лечения. Во многих случаях оставленные маленькие гиперпластические полипы могут регрессировать или исчезнуть вовсе. Пациенты с III и IV стадиями по классификации OLGA (умеренная диффузная или тяжелая атрофия слизистой, наряду с распространенной кишечной метаплазией) должны проходить последующее эндоскопическое наблюдение не реже 1 раза в год, так как риски развития рака желудка в данном случае повышаются более чем в 6 раз.
Наиболее частый желудочный неопластический полип – это эпителиальное диспластическое разрастание ткани, часто называемое аденомой, по современной номенклатуре ВОЗ-интраэпителиальная неоплазия. В западном, индустриально развитом мире, H.pylori – связанные аденомы желудка становятся редки, насчитывая менее 1%, хотя встречаемость рака желудка и аденом в регионах Восточной Азии остается высокой, около четверти всех полипов. Как и гиперпластические полипы, аденомы желудка встречаются с одинаковой частотой у мужчин и у женщин, на 6-7 декадах жизни.
Эндоскопически они представлены солитарным одиночным образованием дольчатой формы с бархатистой поверхностью. Хотя они могут быть найдены в любом отделе, наиболее часто локализуются в антральном отделе желудка.
Аденомы желудка состоят из диспластических эпителиальных клеток, которые часто появляются на фоне атрофии и интестинальной метаплазии слизистой, естественным образом связанными с инфекцией H.pylori. Аденомы могут быть рассмотрены как часть последовательной цепочки от дисплазии к раку желудка. Имеется прямо пропорциональная связь - чем больше аденоматозный полип, тем выше вероятность наличия в нем фокуса аденокарциномы. Учитывая тот факт, что аденома, возникающая на фоне хронического атрофического гастрита, является предшественником аденокарциномы, должно быть рекомендовано полное удаление (резекция) всех аденоматозных полипов с оценкой тяжести воспалительных и атрофических изменений слизистой желудка. Важно то, что аденома – это неопластическое образование, и поэтому всех пациентов с выявленными аденомами необходимо внести под эндоскопическое наблюдение, несмотря на стадию атрофии слизистой. Эрадикационная терапия H.pylori с последующим подтверждением эффективности лечения также должна быть оценена в ходе гистологического исследования.

Карциноиды – нейроэндокринные опухоли, исходящие из энтерохромаффинноподобных (ЭХ) клеток. НЭО составляют менее 2% полиповидных образований, желудка и подразделяются на три основных типа.
- НЭО I типа составляют 70-80% всех нейроэндокринных опухолей. Они ассоциированы с гипергастринемией вследствие аутоиммунного атрофического гастрита, более того, они встречаются у пожилых пациентов, чаще женщин с атрофическим гастритом на фоне пернициозной анемии. Эти образования обнаруживаются случайно, они маленькие (менее 10 мм), множественные, морфологически состоящие из эндокринных клеток с низким пролиферативным индексом (не склонны к озлокачествлению).
- НЭО II типа связаны с гипергастринемией вследствие гастрин-секретирующей опухоли. Она является одной из составляющих таких синдромов как МЭН-1 и Золлингера-Эллисона. Этот тип опухоли достаточно редок, составляет лишь 5 – 8 % всех НЭО. В этом случае опухоль менее 1 см, без характерных инфильтративных изменений, окружающая слизистая оболочка либо нормальная, либо умеренно воспалена, но без атрофических явлений. НЭО желудка I и II типов могут быть удалены эндоскопически, с последующим подавлением секреции гастрина медикаментозно.
- НЭО III типа встречаются спорадично. Составляют около 20% всех НЭО и обычно обнаруживаются при появлении клинической симптоматики (боль в эпигастрии) или при эрозировании слизистой (проявляется кровотечением), или при обнаружении метастазов (наличие карциноидного синдрома – гиперемия кожи, диарея, бронхоспазм, патология клапанной системы сердца). Данный тип опухоли имеет склонность к достижению размеров более 1,5 см, с полиморфными изменениями слизистой (эрозирование, зоны некроза, инфильтрации слизистой). Пролиферативный индекс (KI-67, индекс митотической активности) составляет более 20%, что говорит о злокачественном течении заболевания, требующего хирургической тактики лечения.
Лечение полипов желудка
Как говорилось ранее, все аденоматозные и крупные полипы более 10 мм должны быть подвергнуты удалению. Каким же образом выполняется эндоскопическая полипэктомия или резекция слизистой?
После четкого определения границ образования, под его основание в подслизистый слой выполняется инъекция физиологического раствора, окрашенного красителем «индигокарминовый синий» с целью предотвращения перфорации и четкой визуализации сосудистых структур. Затем эндоскопическая петля позиционируется на неизмененной слизистой вокруг образования и постепенно затягивается. Далее выполняется электрокоагуляция с использованием электрохирургического ножа/блока. Пострезекционный дефект с белым струпом без «плюс ткани» говорит о радикальности и надежности оперативного вмешательства, тем самым исключая возможные осложнения. Этапы операции представлены на рисунках (в нашей Клинике используется нож - ERBE VIO 300D).

Крупные экзофитные (выступающие) полипы на широком основании или плоские образования, которые невозможно удалить эндопетлей, подвергаются технически более сложному варианту эндоскопического удаления – диссекции в подслизистом слое. Данный вид операции направлен на радикальное удаление образования единым блоком: после создания «гидростатической подушки» выполняется циркулярный разрез вокруг образования специальными инструментами, после чего рассекаются соединительнотканные сплетения подслизистого слоя с полной ликвидацией патологического очага.
Первые сутки после полипэктомии рекомендуется щадящий режим активности и питания. Как упоминалось ранее, на месте полипа остается пострезекционный дефект слизистой оболочки, в связи с чем назначается противоязвенная диета - стол №1 по Певзнеру. Суть его заключается в ограничении продуктов, стимулирующих секрецию в желудке, длительно задерживающихся и трудно перевариваемых блюд (острая, жирная, жареная пища). Такая диета и ограничение физических нагрузок соблюдаются в течение месяца. Также необходимо помнить об отказе от приема антикоагулянтов в течение 3 дней как перед, так и после операции, в целях предотвращения ранних и отсроченных кровотечений.
По современным представлениям, наиболее рациональным является наблюдение за пациентами после проведенной полипэктомии через 1 год. При этом оценивается состояние слизистой оболочки на предмет появления новых образований или рецидива на месте ранее выполненной операции. Если же после резекции образований гистологический ответ подтверждает наличие дисплазии высокой степени или же раннего рака, то контрольная гастроскопия должна проводиться в интервале: 1,5 мес.- 3 мес.- 6 мес. – 1 год и в последующем каждый год.
Профилактика полипов желудка
Целью профилактики является выявление образований желудка на ранних этапах развития. Рекомендуется выполнение эндоскопического исследования лицам старше 45 лет в качестве скрининга даже при отсутствии клинической симптоматики, так как заболевание проявляет себя лишь на поздней стадии, когда уже требуется хирургическое лечение. Следуя принципам онкологической настороженности, пациентам с отягощенным наследственным анамнезом, то есть при наличии онкологических заболеваний со стороны ЖКТ у ближайших родственников, требуется незамедлительный профилактический осмотр желудка и толстой кишки.
Как получить услугу в Клинике
В нашей Клинике проводятся все виды эндоскопических исследований на высококачественном оборудовании как под местной анестезией, так и под наркозом. Все выявленные патологические образования подвергаются гистологической верификации. Также проводится забор материала на наличие инфекции H.pylori и для определения стадии и степени выраженности воспалительных и атрофических изменений слизистой оболочки желудка (класс.OLGA), что свидетельствует, как говорилось ранее, о риске развития онкологического процесса.
Что касается оперативного эндоскопического лечения, то в клинике возможно его выполнение в амбулаторных и стационарных условиях. Решение принимает лечащий врач, опираясь на размеры патологических очагов, их количество, результаты гистологии и сопутствующую патологию.
Оформите заявку на сайте, мы свяжемся с вами в ближайшее время и ответим на все интересующие вопросы.
Читайте также:


