Алкогольная энцефалопатия. Острая энцефалопатия Гайе—Вернике
Добавил пользователь Евгений Кузнецов Обновлено: 13.12.2025
Морфологическая картина мозга при различных клинических формах алкоголизма может быть различной — от приближающейся к нормальной до выраженной атрофии и острых дистрофических изменений. Это зависит от стадии болезни, длительности потребления алкоголя, а также многих дополнительных факторов.
У умерших в состоянии острой алкогольной интоксикации, что встречается относительно редко, можно видеть гиперемию и отек мозга, реже точечные кровоизлияния, чему соответствует и микроскопическая картина мозговой ткани. В ней преобладают циркуляторные расстройства и более или менее выраженные признаки токсической энцефалопатии
При белой горячке макроскопически обращает на себя внимание набухание или выраженный отек мозга, геморрагический синдром непостоянен. Микроскопически выявляются кровоизлияния в стволе мозга, а также диффузные явления токсико-аноксической энцефалопатии, в том числе выражены зернистый распад и вакуольная дистрофия нейроцитов. Отмечается преимущественное поражение стволовых, в частности гипоталамических, отделов мозга. Этому соответствуют изменения желез внутренней секреции, свойственные состоянию стресса (по Селье) При белой горячке возможны изменения внутренних органов дистрофические явления в сердце и почках, выраженная жировая дистрофия, а иногда начальная стадия цирроза печени
Нейроанатомия хронического алкоголизма отражает как прямое токсическое действие алкоголя, так и его опосредованное влияние на мозг, вызванное алиментарной недостаточностью (особенно витаминов группы В), а также нарушениями обмена вследствие алкогольного поражения печени.
Гистопатологические проявления хронического алкоголизма характеризуются картиной энцефалопатии, при этом отмечается сочетание двух видов энцефалопатии — токсической и алиментарно-дистрофической [Снесарев П. Е., 1950]. В некоторых, особенно в тяжелых случаях хронического алкоголизма, может развиваться атрофия паренхимы мозга, что микроскопически выражается исчезновением нервных клеток в коре головного мозга и мозжечке. Обычно бывают дистрофические изменения периферических нервов, а иногда и зрительного нерва. Характерны также явления цирроза печени.
При болезни Гайе — Вернике макроскопически наблюдаются точечные и пятнистые кровоизлияния и мелкие некрозы в стенках III желудочка, стволе и диэнцефальной области мозга и мамиллярных телах, реже в ткани мозолистого тела и мозжечка. Микроскопически выявляются мелкие кровоизлияния и их последствия, глиозная реакция, дистрофические изменения нервных клеток и их гибель, признаки отека мозга. Изменения печени встречаются не всегда, но в некоторых случаях они очень выражены и достигают степени цирроза (жирный алкогольный цирроз). Существует мнение, что энцефалопатия Гайе — Вернике в большой мере обусловливается развитием при алкоголизме тиаминовой недостаточности. Эта энцефалопатия считается одной из наиболее тяжелых форм алкогольного поражения мозга.
При корсаковском синдроме в картине энцефалопатии преобладают сосудистые нарушения ишемического характера, особенно часто выявляющиеся в дорсомедиальных таламических ядрах, мамиллярных телах и некоторых других подкорковых образованиях.
В некоторых случаях тяжелого алкоголизма отмечается дегенерация ткани мозжечка (чаще передней его области). К еще более редким находкам относят поражения миелиновых оболочек нервных проводников в центральной части мозгового ствола и изменения, соответствующие картине болезни Маркьяфавы — Биньями, обусловленной процессами демиелинизации медиальной части мозолистого тела.
Анатомической основой алкогольного синдрома плода является дизонтогенез головного мозга, признаки которого обнаруживаются уже у плодов 5—15 нед развития [Ковецкий Н. С. и др., 1988]. К наиболее типичным изменениям относятся нарушения формирования стенок мозга, отклонения в развитии корковой пластинки с аплазией, замедлением развития и реже — в сочетании с гиперплазией отдельных участков этих структур. Достаточно характерным для этих случаев является также формирование стенок мозга с чрезмерным складкообразованием и сращением отдельных их участков с образованием различных вариантов порэнцефалий и кист; достаточно типичной является и гетеротопия нервных элементов и их групп. Описанные изменения в целом были обозначены как «нарушения общей конструкции мозга» [Коновалов Г. В. и др., 1988]. Выраженные изменения были установлены при алкогольном синдроме плода и при ультраструктурном исследовании мозга плодов, развивающихся в организме больных алкоголизмом матерей [Солонский А. В., Ковецкий Н. С., 1989].
Многие авторы считают, что основным в механизме тератогенного действия алкоголя на развивающийся мозг является нарушение миграции нейронов и глиальных элементов, что приводит к гетеротопии их в белом веществе, мозговых оболочках, изменению строения слоев коры полушарий мозга, а также к гипоплазии его некоторых отделов [Clarren S. K et al., 1978; Mi ller M. W., 1986; Rosen M. G., Hobe C. J., 1986].
Энцефалопатия Вернике
Энцефалопатию Вернике вызывает недостаточное потребление или всасывание тиамина в сочетании с длительным употреблением углеводов. Тяжелый алкоголизм Токсичность алкоголя и синдром отмены Алкоголь (этанол) является депрессантом центральной нервной системы. Большие количества быстро потребляемого алкоголя могут вызвать угнетенное дыхание, кому и смерть. Большое количество хронически. Прочитайте дополнительные сведения является распространенным основным заболеванием. Чрезмерное потребление алкоголя мешает всасыванию тиамина из запасов в желудочно-кишечном тракте и печени; плохое питание, связанное с алкоголизмом, часто исключает адекватное потребление тиамина.
Энцефалопатия Вернике также может развиться в результате других заболеваний, которые вызывают длительное недоедание или дефицит витаминов (например, периодический гемодиализ, неукротимая рвота, голод, пликация желудка, рак, СПИД). Углеводная нагрузка у пациентов с дефицитом тиамина (т.е. возобновление питания после голодания или внутривенное введение растворов декстрозы пациентам с высокой степенью риска) может стать триггером энцефалопатии Вернике.
Энцефалопатия Вернике развивается не у всех алкоголиков, страдающих дефицитом тиамина, что свидетельствует о том, что могут быть задействованы и другие факторы. Могут быть вовлечены генетические аномалии, которые приводят к дефектной форме транскетолазы, фермента, который перерабатывает тиамин.
Характерно, что поражения центральной нервной системы симметрично распределены вокруг 3-го желудочка, протока, и 4-го желудочка. Распространены изменения в сосцевидных телах, дорсомедиальном таламусе, голубом пятне, околопротоковом сером веществе, глазных двигательных ядрах и вестибулярных ядрах.
Симптомы и признаки энцефалопатии Вернике
У пациентов с энцефалопатией Вернике клинические изменения происходят внезапно.
Распространены глазодвигательные аномалии, в том числе горизонтальный и вертикальный нистагм, и частичная офтальмоплегия (например, парез задней прямой мышцы, парез взора Парезы взора Парез взора – это невозможность глаз совершать содружественные движения в горизонтальном (чаще всего) или вертикальном направлении. (См.также Обзор нейро-офтальмологических заболеваний и поражений. Прочитайте дополнительные сведения ). Зрачки могут быть ненормальными; они обычно вялые или неравные.
Вестибулярная дисфункция без потери слуха – обычное явление, и окуловестибулярный рефлекс может быть нарушен. Атаксия может быть результатом вестибулярных нарушений, мозжечковой дисфункции и/или полинейропатии; походка широкая и медленная, с коротким интервалом шагов.
Часто присутствует общая спутанность сознания; она характеризуется глубокой дезориентацией, равнодушием, невнимательностью, сонливостью или ступором. Болевые пороги периферийных нервов часто повышены, и у многих пациентов наблюдаются тяжелая вегетативная дисфункция, характеризуемая симпатической гиперактивностью (например, тремор, возбуждение), или гипофункции (например, гипотермия, постуральная гипотензия, обморок). У пролеченных пациентов ступор может прогрессировать до комы, а затем смерти.
Диагностика энцефалопатии Вернике
Специфические диагностические обследования отсутствуют. Диагноз энцефалопатии Вернике клинический и зависит от признания недоедания или авитаминоза в качестве основного заболевания. Характерных аномалий в спинномозговой жидкости, вызванных потенциалах, визуализации головного мозга или электроэнцефалограмме не наблюдается. Тем не менее эти исследования, а также лабораторные анализы (например, анализы крови на глюкозу, общий анализ крови, биохимические показатели функции печени, определение газового состава артериальной крови, токсикологический скрининг), как правило, проводить необходимо, чтобы исключить другую этиологию. Уровень тиамина обычно не определяют, поскольку уровень тиамина в сыворотке крови не всегда отражает его уровень в спинномозговой жидкости, и нормальный уровень в сыворотке крови не исключает наличие диагноза.
Прогноз при энцефалопатии Вернике
Лечение энцефалопатии Вернике
Парентеральное введение тиамина
Парентеральное введение препаратов магния
Лечение энцефалопатии Вернике заключается в немедленном введении тиамина 100 мг внутривенно или внутримышечно, продолжающемся ежедневно по крайней мере 3–5 дней. Магний является необходимым кофактором тиаминзависимого метаболизма, и поэтому гипомагниемиея должна быть скорректирована применением сульфата магния в дозировке 1–2 г внутримышечно или внутривенно каждые 6–8 часов или оксида магния в дозировке 400–800 мг перорально 1 раз/день. Поддерживающее лечение включает регидратацию, коррекцию электролитных нарушений и общего лечебного питания, в том числе поливитамины. Пациенты с прогрессирующим заболеванием нуждаются в госпитализации. Прекращение потребления алкоголя является обязательным.
Так как энцефалопатию Вернике можно предотвратить, всем пациентам с недостаточным питанием следует парентерально вводить тиамин (обычно 100 мг внутримышечно, затем 50 мг внутрь 1 раз/день), а также назначать витамин B12 и фолиевую кислоту (1 мг перорально 1 раз/день для каждого препарата), особенно если требуется внутривенное введение декстрозы. Тиамин разумно применять перед началом любого лечения больных, у которых наблюдается пониженный уровень сознания. Пациенты, которые страдают от пониженного питания, должны продолжать получать тиамин амбулаторно.
Авторское право © 2022 Merck & Co., Inc., Rahway, NJ, США и ее аффилированные лица. Все права сохранены.
Синдром Гайе Вернике
Синдром Гайе-Вернике – заболевание, заключающееся в поражении головного мозга из-за недостатка витамина В1 (тиамин). Чаще всего вызвано алкоголизмом, но может развиваться в связи с другими причинами авитаминоза и истощения – голодание, рвота, СПИД, злокачественные новообразования. Болезнь требует госпитализации и продолжительного стационарного лечения. Каждый пятый больной умирает.

Причины
Синдром энцефалопатии Гайе Вернике предполагает поражение среднего мозга и гипоталамуса. В результате гибели нейронов, многочисленные функции, которые регулируются этими структурами мозга, не выполняются, расстраиваются, выпадают.
Главная причина заболевания – дефицит тиамина. Витамин В1 относится к быстрорастворимой группе. Он выводится из организма и не накапливается в количествах, которого хватило бы на продолжительный срок при его нехватке в потребляемой пище. К недостатку витамина В приводит скудный и однообразный рацион, голодания и злоупотребление алкоголем. Известно, что интоксикация спиртом препятствует всасыванию тиамина в кишечнике и его накапливанию в печени, особенно если орган поврежден в результате хронического алкоголизма.
Помимо злоупотребления алкоголем, предрасположенностью развития синдрома могут стать:
- синдром мальабсорбции – заболевание, характеризующееся резким ухудшением функции кишечника всасывать органические соединения, необходимые для жизнедеятельности организма;
- поражения желудочно-кишечного тракта;
- сильная рвота и истощение;
- СПИД;
- Гельминтозы.
Симптомы
Основные симптомы энцефалопатии Гайе-Вернике:
- расстройство координации движений (атаксия);
- спутанность сознания;
- паралич глазодвигательных и аккомодационных мышц.
Все три симптома встречаются редко. Чаще болезнь проявляется в неспособности концентрировать внимание, дезориентации, отсутствии связного мышления, расстройстве восприятия, апатии, пассивности и прочих проявлений угнетения ЦНС. При развитии синдрома на фоне похмелья, возможна белая горячка с бредовыми идеями. Расстройство координации движения выражено в невозможности ходить, стоять без посторонней помощи, совершать целенаправленные действия. Нарушение органов зрения также разнообразны – нистагм, косоглазие, вертикальный парез взора.
Если не прибегнуть к медицинской помощи, наступает кома и летальный исход.
Лечение
При возникновении подозрения на синдром Гайе-Вернике больного необходимо срочно госпитализировать и как можно скорее начать введение витамина В1 в сочетании с другими витаминами группы В и витамином С. Препарат вводят внутривенно и внутримышечно, сочетая с введением глюкозы. Через несколько часов после начала введения тиамина, двигательная способность глаз восстанавливается, сохраняется только нистагм.
Также, по показаниям назначают психотропные препараты, антиоксидантные и сосудистые средства, ноотропы.
В 15-20% случаев больные погибают от печеночной недостаточности или инфекций (пневмония, сепсис, туберкулез). Если заболевание развивается на почве алкоголизма, то в большинстве случаев синдром трансформируется в корсаковский психоз.
Синдром Гайе-Вернике (энцефалопатия Вернике)
Международные классификационные синонимы – острая энцефалопатия Вернике, болезнь Вернике, верхний острый геморрагический полиоэнцефалит. Интересно отметить, что в западной литературе это состояние зачастую называют синдромом Корсакова-Вернике, поскольку алкогольный корсаковский амнестический синдром зачастую сочетается или, вернее, является исходом энцефалопатии того же генеза. В отечественной же медицине данные понятия принято различать.
Вообще, алкоголизм в этиопатогенетических описаниях синдрома Гайе-Вернике упоминается постоянно, хотя это далеко не единственная и не фундаментальная причина (см.ниже), – скорее, ведущий фактор риска. Согласно публикуемым оценкам, каждый четвертый из госпитализированных (а этот синдром требует неотложной госпитализации) нуждается в длительном стационарном лечении. Летальность достигает 20%, тяжелое резидуальное поражение центральной нервной системы наблюдается примерно у 75% пациентов. При этом лишь в каждом пятом случае правильный диагноз удается установить прижизненно.
Причины
Клиническая картина острой энцефалопатии Вернике определяется поражением среднего мозга и гипоталамуса: в массовом порядке отмирают нейроны, разрушаются миелиновые оболочки, прогрессирует тканевая дегенерация (глиоз в данном случае), результатом чего на определенном этапе становится резкое утяжеление состояния, – в силу расстройства (или выпадения) тех многочисленных функций, которые регулируются указанными церебральными структурами.
Прямой причиной во всех случаях является дефицит тиамина, известного как витамин В1. Будучи водорастворимой группой, витамины В быстро метаболизируются и выводятся; процессы их накопления в тканях недостаточны для создания надежного депо, которого хватило бы надолго и которое можно было бы постепенно расходовать при нехватке провитаминов В в потребляемой пище. К гиповитаминозам В приводят недоедание или однообразный рацион; способствуют физические и психоэмоциональные перегрузки, табакокурение и употребление алкоголя. В отношении последнего давно известно, что на фоне постоянной этаноловой интоксикации клиника гипо- и авитаминозов развивается значительно быстрее и протекает тяжелее, поскольку спирт препятствует кишечному всасыванию тиамина и его депонированию в печени, – особенно если имеет место еще и цирротическая дегенерация.
Помимо хронического алкоголизма (как правило, второй-третьей стадии) и алиментарных гиповитаминозов, причиной развития синдрома Гайе-Вернике могут выступать:
- синдром мальабсорбции, при котором резко снижена способность кишечных стенок к всасыванию необходимых органических соединений из перевариваемой пищи;
- продолжительная неукротимая рвота различного генеза;
- онкопроцессы на стадии тотального истощения (кахексии);
- СПИД;
- гельминтозы;
- гемодиализ (применение аппарата «искусственная почка»).
Симптоматика
Классическая клиника энцефалопатии Вернике включает паралич глазодвигательных и аккомодационных мышц, обусловленный поражением иннервирующих их структур; рассогласованность общей моторики (атаксия); спутанность сознания. Все элементы данной триады одновременно встречаются, однако, менее чем в половине случаев. Возможные нарушения со стороны органов зрения очень разнообразны (нистагм, вертикальный парез взора, содружественное или расходящееся косоглазие, и мн.др.). Атаксия также может быть выражена в различной степени – вплоть до полной невозможности ходить (абазия), стоять (астазия) и совершать целенаправленные действия (апраксия). Нарушения психики включают апатию, пассивность и другие признаки угнетения ЦНС; у алкоголиков нередко встречаются делириозные симптомокомплексы (отрывочные бредовые идеи на фоне помраченного сознания и расстройств восприятия, иногда с психомоторным возбуждением), в подавляющем большинстве случаев наблюдаются признаки полинейропатии.
Симптоматика может развиваться сравнительно медленно, на фоне клинической картины основного заболевания или с постепенным нарастанием симптомов, общих для всех гиповитаминозов В; в других случаях манифестирует остро (например, при синдроме отмены алкоголя или в случае тяжелой инфекции).
В отсутствие медицинской помощи закономерным исходом является кома и смерть. Но даже при более благоприятном исходе почти всегда остаются, как указано выше, те или иные резидуальные симптомокомплексы, обычно весьма тяжелые: психоорганический синдром с когнитивным снижением в степени деменции (слабоумия), расстройство фиксационной памяти по корсаковскому типу; нарушения координации; горизонтальный нистагм и пр.
Диагностика
Наибольшее диагностическое значение имеют анамнез, результаты осмотра и рефлексологического исследования, объективные клинические данные (характерное сочетание грубых нарушений в функционировании различных систем организма), данные лабораторного исследования крови и спинномозговой жидкости, ЭЭГ, КТ или МРТ.
Лечение
Развернутый синдром Гайе-Вернике относится к числу неотложных состояний. Этиопатогенетической терапией служит введение тиамина в сочетании с другими витаминами группы В (при этом следует учитывать риск анафилактического шока) и витамином С. По мере необходимости назначают нейролептики, в дальнейшем ноотропы, нейропротекторы, кардиологические и другие препараты по показаниям.
Алкогольная энцефалопатия. Острая энцефалопатия Гайе—Вернике
В данной статье представлены 2 клинических случая энцефалопатии Вернике, впервые диагностированной у пациентов, не злоупотребляющих алкоголем. Пациенты находились на обследовании и лечении в гастроэнтерологическом отделении Якутской республиканской клинической больницы. Получены информированные согласия от пациентов на использование их медицинских данных в научных целях. Факторами риска развития энцефалопатии Вернике у первой пациентки явились: периодически возникающие гастроэнтерологические расстройства, многократная рвота и диарея, способствующие недостаточному поступлению тиамина, а также наличие злокачественного образования, раковая интоксикация и длительная астенизация, обусловленная комбинированной химиолучевой терапией. Болезнь проявилась классической триадой. У второй пациентки энцефалопатия Вернике развилась на фоне токсикоза тяжелой степени, в анамнезе у которой два раза в течение одного года были прерывания беременности по медицинским показаниям. Вначале болезнь проявилась глазодвигательными нарушениями (нистагм, офтальмоплегия) и атаксией, а затем присоединилось нарушение психического статуса. Для профилактики и лечения потенциально разрушительного заболевания с поражением головного мозга, развивающегося в результате дефицита витамина В1, тиамин следует назначать беременным с тяжелым токсикозом, пациентам с заболеваниями, проявляющимися неукротимой многократной рвотой, а также лицам, перенесшим тяжелые хирургические вмешательства.
1. Григорьева В.Н., Гузанова Е.В., Мухин В.В. Энцефалопатия Вернике, центральный понтинный миелинолиз и полиневропатия у больных с неукротимой рвотой беременных (hyperemesis gravidarum). // Неврологический журнал. 2016. № 21 (3). С.131-141. DOI: 10.18821/1560-9545-2016-21-3-131-141/
2. Paola Caruso, Silvia Gazzin, Rita Moretti. Wernicke Korsakoff Encephalopathy. Encephalopathy. Chapter 3. Publisher: Avid Science, 2016. Р. 3-46.
3. Chataway J. Thiamine in Wernicke's syndrome: how much and how long? Postgrad Med. J. 1995. vol. 71. P. 249-253.
4. Roilides I., Vasilaki K., Xinias I., Iosifidis E., Antachopoulos C., Roilides E. Thiamine Deficiency in a Child with Short Bowel Syndrome and Review. Pediatr Gastroenterol Hepatol. 2019. vol. 22 no.5. P.493-499. DOI: 10.5223/pghn.2019.22.5.493.
5. Сиволап Ю.П., Дамулин И.В. Синдром Вернике-Корсакова // Неврология, нейропсихиатрия, психосоматика. 2014. №4. С.76-80.
6. Caine D., Halliday G.M., Kril J.J., Harper C.G. Operational criteria for the classification of chronic alcoholics: identification of Wernicke's encephalopathy. J. Neurol. Neurosurg Psychiatry. 1997. №62(1). P. 51-60. DOI: 10.1136%2Fjnnp.62.1.51.
7. Kotha V.K., De Souza A. Wernicke’s encephalopathy following hyperemesis gravidarum: a report of three cases. Neuroradiol. J. 2013. №26. P.35-40.
Энцефалопатия Вернике (ЭВ) – неврологическое расстройство, характеризующееся поражением головного мозга в результате дефицита тиамина (витамина В1), возникающее обычно у лиц с хроническим алкоголизмом, как острая стадия синдрома Вернике-Корсакова. Однако описаны многочисленные случаи энцефалопатии Вернике, обусловленные снижением поступления или нарушением всасывания тиамина в организме при неукротимой рвоте и диарее (в т.ч. при токсикозе беременных), несбалансированном парентеральном питании, оперативных вмешательствах на желудочно-кишечном тракте (в т.ч. бариатрические операции), системных заболеваниях, гипертиреозе, полиорганной недостаточности и др. [1; 2].
Тиамин – эндогенно не синтезируемый водорастворимый витамин. Суточная потребность составляет 0,4 мг на каждые 1000 ккал потребляемой энергии в день и увеличивается во время беременности и кормления грудью, у детей и в критических состояниях может достигать 1,5 мг / день [3; 4]. Здоровая диета обеспечивает нормальные запасы тиамина на несколько недель. В организме запасы водорастворимого витамина В1 составляют от 25 до 30 мг. Дефицит тиамина может возникать через 2 недели после прекращения его поступления. В условиях нехватки его содержание быстро истощается во всех тканях и далее в головном мозге, где происходят наиболее выраженные изменения, так как серое вещество отличается высоким уровнем окислительного метаболизма [3; 4]. При критическом истощении запасов тиамина развитие ЭВ ускоряется при употреблении богатой углеводами пищи или парентеральном введении глюкозы, поскольку нагрузка углеводами при нарушении нормальных путей их утилизации ускоряет развитие патологических изменений в головном мозге [3; 5; 6].
По литературным данным, энцефалопатия Вернике проявляется триадой следующих симптомов: глазодвигательные расстройства, атаксия и нарушения психического статуса [1; 3; 5]. Однако классическая триада симптомов при энцефалопатии Вернике отмечается лишь в трети случаев [2; 4; 7]. Серьезную проблему представляет преобладание стертых форм энцефалопатии Вернике, затрудняющее ее своевременное распознавание и назначение лечения. В отсутствие терапии энцефалопатия Вернике характеризуется высоким риском летального исхода и перехода острых обратимых расстройств в хроническую стадию с необратимыми структурными изменениями мозговых структур, связанных с возникновением и консолидацией памяти.
Все симптомы поражения нервной системы могут развиваться одномоментно, но чаще всего глазодвигательные расстройства предшествуют нарушению сознания.
Глазодвигательные расстройства включают горизонтальный нистагм при взгляде в стороны, паралич наружной прямой мышцы глаза (обычно двусторонний), расстройство содружественных движений глаз, изредка птоз. Зрачки, как правило, не изменены, но на поздних стадиях болезни могут быть суженными. Атаксия и абазия обусловлены мозжечковой и вестибулярной недостаточностью, преимущественно наблюдаются при стоянии и ходьбе, варьируя по выраженности. Нарушения психического статуса могут проявляться в виде апатии, дезориентации либо спутанности сознания с психомоторным возбуждением и галлюцинациями [1; 5].
Энцефалопатия Вернике является по существу клиническим диагнозом, а данные лабораторных и других методов исследования не являются специфичными. Наиболее информативным методом диагностики является магнитно-резонансная томография (МРТ) [1; 5; 6].
При несвоевременной диагностике и отсутствии лечения свыше 80% случаев ЭВ завершаются развитием корсаковского психоза, а примерно 15-20% случаев приводят к коме и летальному исходу [2; 3].
Цель исследования: выявление факторов риска и анализ особенностей течения неалкогольной энцефалопатии Вернике.
Материал и методы исследования. Представлены 2 клинических случая энцефалопатии Вернике у пациентов, находившихся на стационарном лечении в гастроэнтерологическом отделении Якутской республиканской клинической больницы. Проведен тщательный анализ жалоб, анамнестических данных, клинической картины и результатов клинико-лабораторных и инструментальных методов исследований.
Клиническое наблюдение 1. Пациентка М., 44 года, продавец, поступила в гастроэнтерологическое отделение городской больницы с жалобами на умеренные боли в области правого подреберья, рвоту без облегчения 2-3 раза в сутки, похудание на 10 кг за 2 недели, слабость. Боли в области правого подреберья отмечает в течение последних 10 дней, рвота - последние 3-4 дня, возникновение которых связывает с погрешностями в рационе питания, употреблением чрезмерно жирной пищи. Анамнез болезни: состоит на диспансерном учете с 36 лет по хроническому бескаменному холециститу, с 2017 года наблюдается у онкогинеколога: проведена комбинированная химиолучевая терапия по поводу рака шейки матки, 4 курс полихимиотерапии проведен более 6 месяцев назад. Лечение перенесла удовлетворительно. Периодически отмечала резкое снижение аппетита, нарастание слабости с усилением диспепсического симптомокомплекса, рвоты и диареи при употребления жирной пищи.
Объективно: «Общее состояние средней степени тяжести. Повышенного питания. Индекс массы тела 41 кг/м². Артериальное давление (АД) 130/80 мм рт. ст. Частота сердечных сокращений (ЧСС) 72 уд/мин. Живот увеличен за счет избыточно развитой подкожно-жировой клетчатки, при пальпации умеренно болезненный в правом подреберье. Печень выступает из-под края реберной дуги на 1,5–2 см, мягкой консистенции, с ровной поверхностью».
Лабораторные данные: общий анализ крови без особенностей, уровень амилазы мочи в пределах нормы, в биохимическом анализе крови выявлены умеренное повышение трансаминаз (2 нормы), антитела к тиреоидной пероксидазе и повышение уровня Т3, Т4.
Результаты инструментальных методов исследований. Эзофагогастродуоденоскопия: одиночная острая эрозия антрального отдела желудка на фоне резко гиперемированной и отечной слизистой оболочки. Ультразвуковое исследование органов брюшной полости: гепатомегалия, уплотнение и утолщение стенки желчного пузыря, диффузные изменения паренхимы печени, поджелудочной железы. Магнитно-резонансная холангиография: патологии не выявлено. Ультразвуковое исследование сердца, органов малого таза - без особенностей.
Консультирована эндокринологом, поставлен диагноз: «Аутоиммунный тиреоидит в стадии гипертиреоза». Назначен тирозол 30 мг в сутки.
На основании жалоб, анамнеза и обобщения результатов клинико-лабораторных и инструментальных методов исследований поставлен клинический диагноз: «Хронический бескаменный холецистит, обострение. Неалкогольная жировая болезнь печени – Стеатогепатит с умеренным цитолизом. Ожирение 3 ст. Аутоиммунный тиреоидит в стадии гипертиреоза. Состояние после 4 курсов комбинированной химиолучевой терапии по поводу рака шейки матки (2017 г.)».
На 3-й день госпитализации резко ухудшается состояние больной, нарастает частота рвоты до 20 раз в сутки, ухудшается зрение. При осмотре неврологом выявлены дезориентация больной во времени и пространстве, сонливость, быстрая истощаемость, утомляемость, двусторонний полуптоз, горизонтальный среднеразмашистый нистагм в крайних отведениях, вертикальный нистагм больше при взгляде вверх, неустойчивость в позе Ромберга. В связи с появлением глазодвигательных нарушений и неврологической симптоматики пациентке проводится компьютерная томография головного мозга без контрастирования, где выявляется перивентрикулярный лейкоареоз, также расширение желудочковой системы.
Назначается витамин В1 200 мг 3 раза в сутки, парентерально. На второй – третий день лечения тиамином отмечается улучшения состояния пациентки: прекращается рвота, улучшается зрение.
Клиническое наблюдение 2. У больной Ч., 22 года, прерывание 1-й беременности по поводу тяжелого токсикоза на сроке 14-15 недель в декабре 2016 г., 2-й беременности при сроке 12 недель методом вакуумной аспирации в июне 2017 г.
Установлено, что во время первой беременности пациентка отмечала многократную рвоту, слабость в конечностях и ухудшение зрения. На проведенной компьютерной томографии головного мозга патологии не выявлено. При осмотре окулистом выявлены «Выраженный перикапиллярный отек сетчатки, перикапиллярно и по ходу сосудов геморрагии в виде "штрихов". Вены расширены, полнокровны. Артерии сужены, извиты. Macula lutea – отек, геморрагии в центральной зоне» и поставлен диагноз: «Нейроангиоретинопатия». Консультация невролога: «Токсическая энцефалопатия. Цереброастения». На фоне инфузионно-дезинтоксикационной терапии, назначения противорвотных препаратов, антиоксидантов и витаминов группы В состояние улучшилось, зрение восстановилось, пациентка выписалась с улучшением.
Через полгода у пациентки вновь прерывание беременности на фоне тяжелого токсикоза беременной. После прерывания 2-й беременности спустя месяц с жалобами на светобоязнь, значительное ухудшение зрения, неуверенность при ходьбе госпитализирована в офтальмологическую больницу и на 2-е сутки переведена в гастроэнтерологическое отделение с диагнозом: «Токсический гепатит. Гиповолемия. Астенический синдром».
Объективно при поступлении: «Состояние средней степени тяжести. Сознание ясное. Склеры глаз инъецированы. АД 90/60 мм рт. ст. ЧСС 103 в минуту. По внутренним органам без особенностей». Неврологический статус: «Походка атаксическая. Объем движений глазных яблок ограничен в крайних отведениях. Нистагм горизонтальный среднеразмашистый».
В биохимическом анализе крови: аланинаминотрансфераза – выше 7 нормы, аспартатаминотрансфераза – выше 4 нормы, амилаза панкреатическая – выше 3 нормы, гипокалиемия, умеренное повышение общего билирубина; в моче умеренное повышение амилазы.
Компьютерная томография органов брюшной полости: «Гепатомегалия, признаки диффузных изменений печени. Локальная жировая дистрофия печени». На ультразвуковом исследовании органов малого таза: «Состояние после медикаментозного прерывания беременности». Далее пациентка консультирована окулистом и неврологом.
Окулист: «Пролиферативная ангиоретинопатия». Невролог: «Данных за острое нарушение мозгового кровообращения нет. Тромбоз вен сетчатки? Рекомендуется компьютерная томография головного мозга в ангиорежиме».
На второй день ухудшается общее состояние: пациентка практически теряет зрение, сознание заторможено, рвота до 5 раз в сутки, выраженная слабость в нижних конечностях, судороги пальцев кистей и стоп. Пациентке назначается витамин В1 – 10 мл на 0,9% NaCl 100 мл в/в капельно, Берлитион, Цитофлавин, витамины В6, В12, Аминоплазмаль.
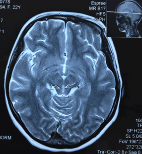
Пациентка направляется на МРТ головного мозга без контрастирования с подозрением на синдром Вернике и образование ГМ (рис.).


МРТ головного мозга без контрастирования пациентки Ч. Поражение вещества мозга по ходу паравентрикулярных отделов варолиева моста, водопровода и медиальных отделов таламуса
Результаты МРТ головного мозга пациентки: «Топография срединных структур мозга не изменена. Обращает внимание поражение вещества мозга по ходу паравентрикулярных отделов варолиева моста, водопровода и медиальных отделов таламуса. В белом веществе лобно-теменных долей с обеих сторон определяются очаги лейкопатии. Мозолистое тело, гипоталамо-гипофизарная область, продолговатый мозг и мозжечок без особенностей. Область мостомозжечковых углов без патологических изменений. Желудочковая система мозга не расширена и не деформирована. Конвекситальные субарахноидальные пространства и базальные цистерны мозга не расширены. Соотношения в краниовертебральном переходе не нарушены. На скрининговой МР-ангиографии Виллизиева круга признаков артериовенозной мальформации и аневризм сосудов головного мозга не выявлены. Заключение: МР-признаки энцефалопатии Вернике. Очаги лейкопатии в белом веществе лобно-теменных долей с обеих сторон, вероятно, как проявление резидуальной энцефалопатии».
На основании обобщения результатов клинико-инструментальных методов диагностики поставлен неврологический диагноз: «Дисметаболическая энцефалопатия, псевдомиопатический синдром (вариант Гайе-Вернике)». На фоне парентерального введения тиамина меньше чем за сутки у пациентки начинает восстанавливаться зрение, улучшается общее состояние. Через несколько дней зрение полностью восстановилось, неврологический статус без патологических изменений.
Заключение. В представленных клинических ситуациях диагноз поставлен на основании клинической картины, характерных глазодвигательных нарушений и неврологической симптоматики, а также результатов компьютерной томографии и магнитно-резонансной томографии головного мозга. Подтверждением диагноза стало быстрое улучшение состояния после назначения тиамина парентерально.
Факторами риска развития энцефалопатии Вернике у первой пациентки являются: периодически возникающие гастроэнтерологические расстройства, многократная рвота и диарея, способствующие недостаточному поступлению тиамина, а также наличие злокачественного образования, раковая интоксикация и длительная астенизация, обусловленная комбинированной химиолучевой терапией. В данном клиническом наблюдении энцефалопатия Вернике проявилась классической триадой: глазодвигательными расстройствами (двусторонний полуптоз, горизонтальный среднеразмашистый нистагм в крайних отведениях, вертикальный нистагм больше при взгляде вверх), атаксией (неустойчивость в позе Ромберга) и психическими нарушениями (дезориентирована во времени и пространстве, сонливость, быстрая истощаемость, утомляемость).
У второй пациентки энцефалопатия Вернике развилась на фоне токсикоза беременных тяжелой степени. Ведущей причиной неалкогольной энцефалопатии Вернике в данном случае является неукротимая рвота, приводящая к недостаточному поступлению тиамина и истощению его запасов в организме. У пациентки в первый день госпитализации наблюдались глазодвигательные нарушения (нистагм, офтальмоплегия) и атаксия. Психические нарушения у пациентки проявились на второй день на фоне прогрессирования глазодвигательных расстройств.
В заключение следует отметить, что врачи любой специальности должны знать о предрасполагающих факторах и симптомах энцефалопатии Вернике.
Тиамин следует назначать беременным с тяжелым токсикозом, пациентам с заболеваниями, проявляющимися неукротимой многократной рвотой, перенесшим тяжелые хирургические вмешательства для профилактики и лечения этого потенциально разрушительного заболевания.
По рекомендациям Европейской федерации неврологических обществ от 2010 г. первым этапом диагностики является выявление факторов риска. Особое внимание следует уделять пациентам, находящимся на парентеральном питании и пациентам, перенесшим бариатрические операции. Вторым этапом является выявление неврологических нарушений. Энцефалопатия Вернике характеризуется большим разнообразием симптомов, поэтому наличие любой неврологической симптоматики, сопряженной с фактором риска развития этой болезни, является основанием для исключения энцефалопатии Вернике с помощью нейровизуализации. Целесообразно внутривенное введение тиамина в дозе 200 мг 3 раза в сутки [8].
Читайте также:
