Гемангиома печени: причины, симптомы и лечение
Добавил пользователь Евгений Кузнецов Обновлено: 13.12.2025
Гемангиома печени – это доброкачественное сосудистое новообразование, локализирующееся в паренхиме печени. Данная опухоль в 6 раз чаще встречается у женщин, чем у мужчин, что обусловлено влиянием женского полового гормона эстрогена на ее рост и развитие.
Гемангиома печени - это опухоль, не перерождающаяся в злокачественную, и в редких случаях требующая лечения или резекции. Очень часто данное заболевание обнаруживается у беременных женщин или недавно родивших, что также вызвано повышением во время вынашивания плода уровня женского полового гормона.
Причины возникновения
На сегодняшний день точные причины возникновения гемангиомы неизвестны. Многие специалисты и вовсе считают данную сосудистую опухоль маленьких размеров (до 5 см) индивидуальным строением печени, а не проблемой, требующей лечения. Однако существует ряд факторов, способствующих росту и развитию данной сосудистой опухоли, что в будущем может влиять на общее состояние здоровья:
- генетическая предрасположенность. Доказано, что в семье, где у кровных родственников были случаи развития гемангиомы, вероятность ее развития у последующих поколений повышается. Также в истории были зафиксированы случаи возникновения этого новообразования у ребенка еще в утробе матери, что подтверждает теорию о наследственности данного заболевания;
- вторая группа крови. У людей с этой группой крови вероятность развития заболевания гораздо выше, чем у других;
- гормональный сбой. Основным фактором, влияющим на формирование гемангиомы, является повышенный уровень эстрогена в крови. Подобный гормональный дисбаланс может быть вызван беременностью, приемом гормональных контрацептивов или гормонозамещающей терапией;
- травматизация печени. Механические повреждения во время падений или ударов может в будущем стать причиной появления гемангиом.
Наши доктора, основываясь на многолетнем опыте работы, назначат корректное лечение, если в этом будет необходимость, а также проинструктируют касательно периодичности прохождения контрольных диагностических обследований в будущем.
На данный момент точно не выяснены причины появления гемангиомы – некоторые специалисты считают, что в маленьких размерах она совершенно безвредна для человеческого организма и не требует лечения, поскольку является скорее индивидуальной особенностью строения печени, чем болезнью. Однако существует ряд факторов, провоцирующих ее рост:
- гормональный дисбаланс. Половые женские гормоны эстрогены оказывают положительное влияние на рост и развитие гемангиомы, поэтому риск возникновения данного новообразования выше у когда-либо беременевших женщин, либо у тех, кто принимает гормональные контрацептивы или проходит гормонозамещающую терапию;
- наследственная предрасположенность. Бывали случаи, когда гемангиома начинала развиваться у ребенка еще в утробе матери. В этом случае гемангиома считается генетическим нарушением;
- вторая группа крови. Доказано, что люди со второй группой кровью более подвержены развитию данного сосудистого новообразования;
- механическое повреждение печени. Нередко гемангиомы появлялись вследствие сильного удара брюшной полости, а также вследствие неудачного оперативного вмешательства на печень.
Симптомы
Признаки гемангиомы печени не отличаются специфичностью и являются схожими с проявлениями других заболеваний печени, что существенно затрудняет диагностирование гемангиомы на ранних стадиях. К основным проявлениям данной сосудистой опухоли относят:
- общую слабость, утомляемость, вялость;
- боли в животе в области правого подреберья;
- тошноту, рвоту;
- повышение температуры тела;
- головокружения;
- желтуху, цианоз.
Типичность симптоматики с другими видами печеночных опухолей делает консультацию у гастроэнтеролога без предварительных обследований практически нецелесообразной. Однако если гемангиома печени тянет и болит, если человек чувствует тяжесть после еды или другие вышеперечисленные симптомы, это повод обратиться к врачу.

Виды сосудистых опухолей
Доброкачественная опухоль печени (гемангиома) представляет собой узел, состоящий из кровеносных сосудов и полостей, заполненных кровью. Такое новообразование может быть как одиночное, так и множественное. В основном данная опухоль формируется в правой доле печени, гемангиома левой доли печени встречается реже.
Гистология гемангиомы печени делится на три основных вида:
- капиллярная гемангиома печени. Это скопление маленьких сосудистых полостей, заполненных артериальной или венозной кровью. Данные новообразования, как правило, не вырастают большем чем 10 см в диаметре. Питание в капиллярных гемангиомах печени происходит за счет одного сосуда;
- кавернозная гемангиома печени. Данный узел состоит из соединений сосудистых полостей, находящихся на небольшом расстоянии друг от друга. Кавернозная гемангиома может вырастать до 25 см в диаметре и причинять человеку большой дискомфорт и болевые ощущения;
- атипичная гемангиома печени. В этом случае новообразование имеет нестандартную сосудистую структуру, покрытую ороговевшим слоем мягких тканей.
Чем опасна опухоль?
Сама по себе гемангиома не представляет никакой опасности по причине своей доброкачественности и маленьких размеров. Однако если не отслеживать динамику роста данного новообразования и никак не лечить большие узлы, гемангиома может быть чревата следующими осложнениями:
- разрывом опухоли и массивным внутренним кровотечением, что является самой большой опасностью, которую представляет собой гемангиома печени;
- сдавливанием соседних внутренних органов из-за большого размера новообразования. Огромные узлы (до 25 см в диаметре) могут вызывать сильные болевые ощущения по причины механического давления на органы малого таза, ЖКТ и др.;
- тромбозом и уплотнением опухоли.
Главной задачей гастроэнтеролога в данном случае является подбор наиболее эффективной методики лечения гемангиомы соответственно показателям пациента и особенностям его организма.
Результаты МРТ, УЗИ и компьютерной томографии
В данном случае консультация гастроэнтеролога без предварительной диагностики является малорезультативной, поскольку в большинстве случаев гемангиома не имеет видимых признаков и может быть выявлена лишь во время различного рода диагностических мероприятий. Обследованиями, позволяющими увидеть гемангиому и определить ее диаметр, являются:
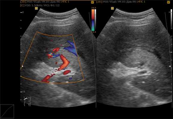
- ультразвуковое исследование. Гемангиома печени на УЗИ зачастую заметна в паренхиме печени в виде округлого образования с неоднородным содержимым и четкими контурами;
- МСКТ брюшной полости;
- гепатосцинтиграфия – это метод, позволяющий исследовать мягкие ткани на предмет злокачественности. Биопсия при данном диагнозе запрещена, поскольку повреждение опухоли может вызвать массивное внутреннее кровотечение, так как само новообразование состоит из сосудов;
- МРТ и КТ печени и желчевыводящих путей. Данные исследования позволяют увидеть новообразование более точно с разных сторон. Перед этими обследованиями пациенту обязательно вводят в вену специальный препарат - контраст, поскольку гемангиома печени на КТ с контрастом очерчивается заметнее, и шанс спутать ее с иным новообразованием существенно уменьшается.
Наши врачи грамотно и внимательно относятся к составлению плана лечения каждого пациента, ведь только индивидуальный подход к выздоровлению дает ожидаемые результаты.

Накапливает ли гемангиома печени контраст при КТ?
Сложность компьютерной томографии в данном случае состоит в том, что небольшую гемангиому на обследовании легко спутать с такими патологиями, как:
- метастазы в печени. При условии выявления множественных опухолей в печени, врач может предположить, что они могут являться как гемангиомами, так и вторичными опухолевыми узлами (метастазами). Для более четкой картинки вводится контрастирующее вещество. Гемангиома печени контраст накапливает глыбками, в итоге получается изображение, характерное для гемангиомы, или напротив, подтверждающее теорию о метастазах в печени. Также в случае подозрения на метастазы рекомендуется проводить трехфазную КТ;
- печеночноклеточный рак. Большие сосудистые опухоли по структуре характеризуются неоднородной структурой, что может обозначать фиброз, наличие кальцинатов, а также некроз. Контрастирование происходит по признакам раковой опухоли. Доброкачественная опухоль констатируется по периферии к центру, что в некоторых случаях помогает рентгенологу определить характер опухоли.
Лечение
Лечение гемангиомы печени может быть как оперативным, так и консервативным - в зависимости от состояния и размера опухоли. К наиболее эффективным и распространённым методам относятся:
- прием препаратов, нормализирующих гормональный фон;
- прием препаратов с бета-блокаторами;
- удаление гемангиомы печени оперативным путем (резекция доли печени (лобэктомия), сегментарная резекция печени);
- эмболизация артерий, снабжающих новообразование. Данный способ является малоинвазивным и применяется для закупоривания кровеносных сосудов опухоли. В результате гемангиома печени уменьшается, а в последствии и вовсе пропадает, не беспокоя человека болевыми синдромами. Используется эмболизация для удаления как капиллярных, так и кавернозных гемангиом паренхимы печени;
- электрокоагуляция сосудов опухоли;
- лазерное облучение;
- склерозирование;
- радиолучевая терапия.
Однако не каждую гемангиому необходимо удалять. Существуют определенные показатели, наличие которых определяет необходимость удаления опухоли и способ, которым оно будет выполнено:
- если опухоль стремительно растет (более 50% объема за год);
- если человека беспокоят болевые или дискомфортные ощущения;
- если новообразование мешает функционированию внутренних органов;
- если диаметр гемангиомы превышает 7 см;
- если человека мучают симптомы, свидетельствующие о разрыве гемангиомы: резкая боль в области правого подреберья, головокружение, слабость, рвота, повышение температуры тела;
- если у врача есть подозрения на злокачественный характер новообразования в печени.
Для определения большинства показаний предварительно проводят диагностику, подтверждающую или опровергающую опасения врачей. Обследованиями для обнаружения гемангиомы печени являются:
- УЗИ печени;
- компьютерная томография;
- МРТ брюшной полости;
- статическая сцинтиграфия печени, которая позволяет определить доброкачественное новообразование или злокачественное.
Пункционная биопсия гемангиомы печени противопоказана, поскольку отщипывание образца мягких тканей может привести к серьезному внутреннему кровотечению.

Диета
Любое заболевание ЖКТ требует специальной диеты вне зависимости от выбранного курса лечения. Несоблюдение правил питания грозит увеличением опухоли или развитием побочных осложнений. Меню при гемангиоме печени должно преимущественно состоять из:
- сезонных овощей, фруктов, богатых клетчаткой и витамином В12;
- морской и речной рыбы;
- печени животных и птиц;
- нежирного мяса;
- продуктов молочного производства (кефир, творог, нежирный сыр);
- жидких блюд.
При гемангиоме печени противопоказаны следующие продукты:
- жирная острая пища;
- газированные напитки и крепкий кофе;
- консервированные продукты;
- соленья и другие продукты с большим содержанием соли;
- сахар и продукты с его содержанием;
- копченая пища.
Придерживаясь диеты и соблюдая все рекомендации врача, можно избавиться от гемангиомы в краткие сроки.
Прогнозы
Прогнозы при гемангиоме печени благоприятные, поскольку это доброкачественное заболевание, не перерождающееся в злокачественное. Важно соблюдать все указания врача для получения ожидаемого результата.
Специалисты Юсуповской больницы помогают пациентам избавляться от гемангиом самыми современными и действенными методами. Условия в стационаре позволят пациенту чувствовать себя комфортно, а приветливый и квалифицированный медицинский персонал сделает все, чтобы пребывание в нашей клинике было максимально комфортным и приятным.
Гемангиома печени

Гемангиома печени – наиболее распространенное доброкачественное новообразование в печени в виде образования сосудистой полости.
Нет убедительных доказательств, что гемангиома может трансформироваться в рак даже при отсутствии лечения. Стоит отметить, что сосудистое новообразование также не распространяется в другие органы. Гемангиома встречается примерно у 15% населения и чаще обнаруживается случайно во время обследования, выполняемого по другим медицинским показаниям.
Обычно заболевание протекает бессимптомно. Однако, при достижении больших размеров, нарушении работы печени и окружающих органов, могут возникнуть клинические симптомы.
Причины гемангиомы печени
Природа формирования данной патологии до конца не определена. Врачи считают, что гемангиомы могут возникать уже с рождения. Одной из возможных причин рассматривают нарушение закладки органов на этапе эмбриогенеза.
- Пол. У женщин в три раза чаще диагностируют сосудистое образование.
- Возраст. Гемангиома может быть выявлена в любом возрасте, чаще это происходит в интервале от 30 до 50 лет.
- Беременность. Рост гемангиомы стимулирует гормон эстроген, который увеличивается во время беременности.
- Длительная заместительная гормональная терапия (оральные контрацептивы, стероиды).
Симптомы гемангиомы печени
В большинстве случаев гемангиома протекает бессимптомно. Опухоли, достигающие в размерах пяти сантиметров и более (что встречается редко), могут сопровождаться следующими симптомами:
- дискомфорт, боли в правом подреберье;
- тошнота, рвота, вздутие живота;
- ощущение насыщения после приема небольшого количества пищи.
Перечисленные выше признаки являются неспецифическими, могут встречаться при других заболеваниях и расстройствах желудочно-кишечного тракта. Окончательный диагноз ставится после выполнения комплексной диагностики.
Классификация
Гемангиомы классифицируют следующим образом:
- кавернозная гемангиома – представлена свободными полостями, которые формируют одну целую опухоль;
- капиллярная (или простая) – состоит из множества мелких сосудистых полостей с расположенным внутри сосудом;
- смешанная – комбинация двух описанных видов.
Диагностика
Для того чтобы поставить правильный диагноз, требуется выполнение инструментальных диагностических методов:
- Ультразвуковое исследование. Метод визуализации органов и анатомических структур. В его основе лежит использование высокочастотных звуковых волн, которые отражаются от органов, с формированием изображения.
- Компьютерная томография. Изображение формируется благодаря послойному сканированию органа рентген-излучением.
- Магнитно-резонансная томография – основной метод исследования. В основе метода лежит получение детальной картины органа с помощью магнитного поля и радиоволн.
- Чрескожная пункционная биопсия и гистологическое исследование, как правило не выполняются, в связи с высоким риском развития кровотечения из места пункции образования.

Лечение гемангиомы печени
Маленькие гемангиомы (до пяти сантиметров), не сопровождающиеся клиническими симптомами, не нуждаются в лечении и подлежат только динамическому наблюдению. В большинстве случаев гемангиома остается неизменной. Тем не менее, лечащий врач должен рекомендовать наблюдение в динамике с целью контроля роста гемангиомы, так как в 10% случаев отмечается ее тенденция к росту.
Способ лечения зависит от размеров, количества и локализации сосудистого новообразования. Учитываются возраст и сопутствующие заболевания.
Гемангиома печени

Гемангиома печени – опухолевое образование доброкачественного характера, которое появляется на одной или обеих долях внутреннего органа. В среднем, размер новообразования достигает 5 см.
Классификация
В мировой медицинской практике существует несколько разновидностей данной опухоли:
- кавернозная гемангиома печени, представляющая собой сразу несколько свободных полостей, соединяющихся в единую;
- капиллярная гемангиома печени образует большое число маленьких полостей, в каждой из которых размещается кровеносный или венозный сосуд.
Наряду с самыми распространенными также могут встречаться венозная, гроздевидная гемангиома, гемангиоэндотелиома.
Симптоматика недуга
Симптомы гемангиомы печени появляются далеко не сразу. Из-за небольших размеров образования даже в лабораторных условиях не всегда можно заметить наличие новых клеток. Это же касается клинических проявлений.
При разрастании опухоли до размеров от 10 см можно обнаружить нехарактерные для здорового состояния особенности:
- увеличение печени в объемах;
- тошнота, небольшая рвота;
- неприятные, болезненные ощущения под ребрами с правой стороны.
Все эти симптомы возникают в результате того, что новообразование давит на соседние органы и сдавливает расположенные рядом сосуды.
В некоторых случаях гемангиома печени может проявить себя после травмы живота (например, сильного удара) или интенсивной физической нагрузки тела. Разорвавшись от натуги, она вызывает внутреннее кровотечение и острую боль в области живота.
Причины появления

Признаки гемангиомы печени может ощутить на себе абсолютно каждый человек вне зависимости от возраста или пола. Тем не менее, отмечено, что у женщин она может разрастаться интенсивнее ввиду повышенного уровня гормона эстрогена.
Несмотря на огромное количество проведенных исследований данного образования, точная причина его появления до сих пор не выявлена. Ученые-медики считают, что предпосылки формируются еще во внутриутробном периоде развития плода.
Существует мнение о том, что разрастание клеток, образующих впоследствии гемангиому печени, активизируется в результате перенесенных организмом кровоизлияний, а также склонности к увеличению капиллярных и венозных сосудов и тромбозам.
Диагностика образования
В исключительно резких случаях, лишь при случайном стечении обстоятельств, гемангиома печени у ребенка или взрослого может быть обнаружена на ранней стадии. В подавляющем большинстве случаев ее находят, когда размеры достигают серьезных объемов.
В качестве методов диагностики применяются следующие:
- и печени (может показать опухоль круглой формы с четкими границами); (помимо очертаний образования покажет и его содержимое); (послойно продемонстрирует границы и содержимое опухоли).
При обнаружении опухоли необходимо определить ее качественные особенности. Для подтверждения гемангиомы проводится ангиография чревного ствола, может также понадобиться статическая сцинтиграфия печени. Чтобы определить степень доброкачественности (злокачественности) атипичных клеток, назначается гепатосцинтиграфия.
Наряду с этим проводятся клинические анализы:
- печеночные пробы; , биохимия крови;
- анализ крови на генетические маркеры.
Особенности лечения
Методика избавления от новообразования во многом зависит от его размеров и формы.

Небольшие опухоли (до 5-6 см в объеме) не требуют особенных действий. За ними осуществляется наблюдение и УЗ-контроль спустя 3 месяца с момента обнаружения. При отсутствии какой-либо динамики ультразвуковая диагностика назначается каждые 6-12 месяцев.
Необходимость в хирургическом удалении определяется индивидуально. К такому ходу событий приводят:
- стремительное разрастание гемангиомы печени – более чем на 50% от первоначальных размеров за год;
- объем более 5-6 см;
- кровотечение атипичной ткани;
- агрессивное проявление симптомов;
- неточное определение доброкачественности опухоли.
Питание
Питание при гемангиоме печени играет существенную роль в избавлении от нее. Пациенту в обязательном порядке назначается диета, чтобы не спровоцировать ухудшение ситуации (резкое разрастание атипичных клеток).
Диета при гемангиоме печени у взрослых и детей подразумевает исключение из рациона таких продуктов, как:
- газированные напитки;
- алкоголь и слабоалкогольные напитки;
- любой шоколад;
- яичные желтки;
- острые специи;
- груши, дыни;
- свежий хлеб.
Следует ограничить потребление жирной, жареной, копченой, соленой пищи.
Вместо этого необходимо сделать упор на:
- нежирные сорта рыбы;
- печень;
- молочные продукты;
- вязкие каши;
- овощи;
- не кислые фрукты.
Может быть дополнительно назначен прием витамина В12.
Ответы на распространенные вопросы
Какая профилактика при гемангиомах?
Так как точная причина появления гемангиомы не определена, грамотной профилактической мерой является проведение один раз в год ультразвуковой диагностики печени. При наличии каких-либо сомнений следует дополнительно сделать КТ или МРТ.
Обязательно ли соблюдать диету при гемангиоме печени?
Правильный подбор питания обязателен в случае, если пациент настроен на положительный результат. Употребление недопустимых в рационе заболевшего продуктов может спровоцировать резкий рост и разрыв гемангиомы.
Чем опасна гемангиома печени?
Ее главная опасность заключается в возможном разрыве тканей и последующим за ним кровотечением. Также существует вероятность, что из-за больших размеров опухоли будут сдавлены соседние органы, в связи с чем будет нарушена их работа.
Как лечить гемангиому печени?
Лечение данного недуга подбирается в зависимости от его размеров и скорости разрастания. Специалист может подобрать гормональную терапию, малоинвазивные методы (например, лучевую терапию), а также хирургическое вмешательство. Для закрепления эффекта от лечения необходимо соблюдать специальную диету.
Гемангиома печени
Это заболевание довольно распространено и в большинстве случаев не опасно, никак себя не проявляет и не требует лечения. Однако бывают случаи, когда все же требуется помощь врача. Разберемся, что это за патология вместе с экспертом

Что такое гемангиома печени
Гемангиома (также известная как ангиома) печени – это доброкачественная опухоль, которая состоит из скоплений небольших сосудистых полостей, заполненных кровью.
Такой диагноз имеют 5% взрослого населения. Эти новообразования чаще встречаются у взрослых, чем у детей: типичный возраст пациентов – 30 — 50 лет. Гемангиомы печени чаще встречаются у женщин, чем у мужчин.
Большинство гемангиом печени не вызывают симптомов, хотя более крупные образования, которые давят на ткани, могут стать причиной плохого аппетита, вызывать тошноту и рвоту.
Как правило, у пациента образуется всего одна гемангиома, но в некоторых случаях их может быть несколько. Гемангиомы не перерастают в рак и не распространяются на другие части тела.
Причины гемангиомы печени у взрослых
Почему в печени образуются гемангиома – достоверно неизвестно. Но отдельные исследования показывают, причиной могут быть определенные дефектные гены. Есть предположения, что роль в развитии опухоли могут сыграть:
- длительная стероидная терапия при заболеваниях или для наращивания мышечной массы;
- длительное употребление противозачаточных таблеток;
- беременность.

Симптомы гемангиомы печени у взрослых
Большинство гемангиом печени не вызывают каких-либо неприятных симптомов, их обнаруживают, когда пациента осматривают по поводу другого заболевания.
Маленькие (от нескольких миллиметров до 2 см в диаметре) и средние (от 2 до 5 см) не лечат, но их следует регулярно контролировать. Такой мониторинг необходим, потому что около 10% гемангиом со временем увеличиваются в размерах по неизвестным причинам.
Гигантские гемангиомы печени (более 10 см) обычно имеют симптомы и осложнения, требующие лечения. Симптомы чаще всего включают боль в верхней части живота, поскольку большое образование давит на окружающую ткань и капсулу печени. Другие симптомы включают:
- плохой аппетит;
- тошноту;
- рвоту;
- быстрое чувство сытости во время еды;
- ощущение вздутия после еды.
Гемангиома печени может кровоточить или образовывать сгустки крови, которые задерживают жидкость. Тогда появляется боль в животе.
Лечение гемангиомы печени у взрослых
Более мелкие гемангиомы не нуждаются в лечении, но относительно крупные опухоли порой требуют хирургического вмешательства.
Диагностика
Есть ряд тестов, которые помогают отличить гемангиому печени от других типов опухолей:
- контрастно-улучшенный ультразвук – высокочастотные звуковые волны проходят через ткани тела, а эхо-сигналы записываются и преобразуются в видео или фотографии;
- компьютерная томография (КТ);
- магнитно-резонансная томография (МРТ);
- ангиография – в сосуды вводится контрастное вещество, чтобы посмотреть на них при рентгеновском облучении;
- сцинтиграфия – ядерное сканирование, при котором используется радиоактивный изотоп технеций-99m для формирования изображения гемангиомы.
Современные методы лечения
Некоторые гемангиомы диагностируются при рождении или в раннем детстве (до 5 — 10% годовалых детей). Гемангиома обычно со временем уменьшается и в некоторых случаях может исчезнуть. Если она небольшая, стабильная и не вызывает никаких симптомов, ее можно контролировать с помощью визуальных исследований каждые 6 — 12 месяцев.
Лекарственных средств для лечения гемангиомы печени не существует. Для удаления опухоли может потребоваться операция – если она быстро растет или вызывает значительный дискомфорт или боль. Техника, называемая сосудистой эмболизацией, при которой перекрываются кровеносные сосуды, питающие гемангиому, может замедлить или обратить вспять ее рост.
Профилактика гемангиомы печени у взрослых в домашних условиях
Поскольку причина возникновения гемангиом печени неизвестна, предотвратить их невозможно.
Популярные вопросы и ответы
На вопросы о гемангиоме печени мы попросили ответить рентгенэндоваскулярного хирурга Александра Ширяева.
Гемангиома печени может привести к разрыву тканей, внутреннему кровотечению и геморрагическому шоку. Есть вероятность, что из-за больших размеров образования могут быть сдавлены близлежащие органы, сосуды и нервы.
Выбор тактики лечения гемангиомы во многом зависит от ее размеров и формы. Опухоли размером 4 — 6 см (в объеме) не требуют оперативных действий. В этом случае за состоянием пациента просто наблюдают, через 3 месяца с момента обнаружения делают УЗ-контроль, а в дальнейшем его повторяют каждые 6 — 12 месяцев.
В более сложной ситуации специалист подберет гормональную терапию, лучевую терапию или хирургическое вмешательство.
Народными средствами вылечить гемангиому нельзя. Лечение этой патологии индивидуально в каждом конкретном случае. Необходимо соблюдать диету, чтобы не спровоцировать ухудшение: исключить из рациона алкоголь, газированные напитки, шоколад, специи, хлеб, а также жирную и соленую пищу.
Гемангиома печени
Если вас интересует диагноз «гемангиома печени», что это такое и какое лечение назначается больному — ищите ответы на вопросы в данной статье. Это доброкачественное образование, сформированное дегенеративным скоплением кровеносных сосудов. Патология формируются ещё на этапе утробного развития, что позволяет отнести её к классу врождённых заболеваний.
Классификация
- Каверзнозная. Состоит из специфических полостей, заполненных плазмой крови и окружённых плотной капсульной оболочкой.
- Капиллярная. Множественные очаговые образования из переплетения мелких сосудов, формирующих несколько кровеносных потоков.
Причины
- Основным фактором, влияющим на риск развития заболевания, является генетическая аномалия. Шанс наличие патологии у взрослых людей составляет 6 %.
- Спровоцировать развитие гемангиомы может переизбыток у матери таких гормонов, как прогестерон и эстроген.
- Причины появлений новообразования также могут крыться в приёме гормональных препаратов во время беременности.
Симптомы
- Небольшая гемангиома печени (до 6 см) не влечёт за собой никакие симптомы и не доставляет дискомфорта, что затрудняет её обнаружения и лечение.
- Так как опухоль быстро растёт в старшем возрасте, то в 40-50 лет возникают болезненные ощущения и чувство сдавленности в районе желудка.
- В редких случаях может провоцировать развитие желтухи и повышение кровяного давления в области воротной вены.
Диагностика
Гемангиома как левой, так и правой доли печени опасна тем же, чем опасна и любая доброкачественная опухоль: разрыв и последующее внутреннее кровотечение, а также трансформация в злокачественное образование. Поэтому своевременно обнаружение и лечение имеет большое значение.
Наиболее эффективным методом выявления данного заболевания является компьютерная и магнитно-резонансная томография, которые позволяют определить точную локализацию и характер гемангиомы. Мелкие сосудистые уплотнения могут быть диагностированы при помощи ангиографии и анализа крови.
Лечение
Маленькая гемангиома печени, причины возникновения которой были рассмотрены выше, не наносит вреда организму и не требует лечения. В случае разрастания сосудистого уплотнения, оно удаляется в ходе оперативного вмешательства. Но операция становится невозможной, если поражены обе доли. В таком случае проводится медикаментозное лечение, основывающееся на индивидуальном гормональному курсе. Также скопление сосудов может быть разрушено при помощи лазера, радиолучевой терапии или электрокоагуляции.
Профилактика
Существует мнение, что причины возникновения гемангиномы в большинстве случаев заключатся в перенесённой матерью во время беременности ОРВИ. Поэтому в качестве профилактических мер для ребёнка носящая его мать должна максимально защитить себя от данного типа инфекций.
Чтобы не позволить образованию трансформироваться в злокачественную опухоль, необходимо придерживаться строгой диеты, исключив из рациона жирную, солёную, острую и жареную пищу и чаще употреблять рыбу, молоко, печень и все продукты, содержащие витамин B12, который очень полезен для здоровья печени.
Чтобы определить лечение, вам нужно обратиться к доктору. Выберите и запишитесь к доктору из нашего рейтинга ниже.
Читайте также:
