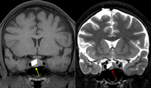
Апоплексия гипофиза на МРТ
Добавил пользователь Владимир З. Обновлено: 22.11.2025
Апоплексия гипофиза является редким, но серьезным состоянием гипофиза.
Причины
Гипофиз - это небольшая железа у основания мозга. Гипофиз производит много из инкретей которые контролируют необходимые процессы тела.
Апоплексия гипофиза может быть вызвана кровотечением в гипофиз или блокированием кровотока в гипофиз. Апоплексия означает кровотечение в орган или потерю притока крови к органу.
Апоплексия гипофиза обычно вызывается кровотечением внутри доброкачественной опухоли гипофиза. Эти опухоли очень распространены. Гипофиз поврежден, когда опухоль внезапно увеличивается и кровоточит в гипофиз или блокирует кровоснабжение гипофиза. Чем больше опухоль, тем выше риск апоплексии гипофиза.
Когда гипофизарное кровотечение возникает у женщины во время или сразу после родов, это называется синдромом Шихана . Это очень редкое состояние.
Факторы риска апоплексии гипофиза у небеременных людей без опухоли включают:
- Нарушение свертываемости крови
- Диабет
- Травма головы
- Облучение гипофиза
- Использование дыхательного аппарата
Апоплексия гипофиза в таких ситуациях встречается очень редко.
Симптомы
Апоплексия гипофиза обычно имеет короткий период симптомов (острый), которые могут быть опасными для жизни. Симптомы часто включают:
- Сильная головная боль (хуже всего в вашей жизни)
- Паралич глазных мышц, вызывающий двоение в глазах (офтальмоплегия) или проблемы с открытием века
- Потеря периферического зрения или потеря всего зрения в одном или обоих глазах
- Низкое кровяное давление, тошнота, потеря аппетита и рвота от острой надпочечниковой недостаточности
- Изменения личности вследствие внезапного сужения одной из артерий головного мозга (передней мозговой артерии)
Реже дисфункция гипофиза может проявляться медленнее. При синдроме Шихана, например, первым симптомом может быть недостаточность выработки молока, вызванная недостатком гормона пролактина.
Со временем могут развиться проблемы с другими гормонами гипофиза, вызывающие симптомы следующих состояний:
- Дефицит гормона роста
- Надпочечниковая недостаточность (если еще не присутствует или не лечится)
- Гипогонадизм (половые железы организма вырабатывают мало или вообще не вырабатывают гормонов)
- Гипотиреоз (щитовидная железа не производит достаточно гормона щитовидной железы)
В редких случаях, когда задействована задняя часть гипофиза, симптомы могут включать:
- Неспособность матки сокращаться, чтобы родить ребенка (у женщин)
- Неспособность производить грудное молоко (у женщин)
- Частое мочеиспускание и сильная жажда (несахарный диабет)
Экзамены и тесты
Врач проведет медицинский осмотр и спросит о ваших симптомах.
Тесты, которые могут быть заказаны, включают:
- Проверка зрения
- МРТ или компьютерная томография
Анализы крови будут сделаны для проверки уровней:
- АКТГ (адренокортикотропный гормон)
- Кортизол
- ФСГ (фолликулостимулирующий гормон)
- Гормон роста
- ЛГ (лютеинизирующий гормон)
- Пролактин
- ТТГ (тиреотропный гормон)
- Инсулиноподобный фактор роста-1 (IGF-1)
- Натрий
- Осмолярность крови и мочи
Лечение
Острый апоплексический удар может потребовать хирургического вмешательства, чтобы уменьшить давление на гипофиз и улучшить симптомы зрения. В тяжелых случаях необходима срочная операция. Если зрение не повреждено, то хирургия часто не необходима.
Может потребоваться немедленное лечение заместительными гормонами надпочечников (глюкокортикоидами). Эти инкрети часто даются через вену (IV). Другие инкрети могут окончательно быть заменены, включая:
- Гормон роста
- Половые гормоны (эстроген / тестостерон)
- Тиреоидный гормон
- Вазопрессин (ADH)
Перспективы (Прогноз)
Острый апоплексический удар гипофиза может быть опасным для жизни. Перспектива хороша для людей, которые имеют долгосрочный (хронический) дефицит гипофиза, который диагностируется и лечится.
возможное осложнение
Осложнения нелеченного апоплексического удара гипофиза могут включать:
- Надпочечниковый криз (состояние, которое возникает, когда не хватает кортизола, гормона, вырабатываемого надпочечниками)
- Потеря зрения
Если не заменить другие недостающие гормоны, могут развиться симптомы гипотиреоза и гипогонадизма.
Когда обращаться к врачу
Позвоните своему врачу, если у вас есть какие-либо симптомы хронической гипофизарной недостаточности.
Обратитесь в отделение неотложной помощи или позвоните по местному номеру экстренной помощи (например, 911), если у вас есть симптомы острого апоплексического удара гипофиза, в том числе:
- Слабость глаз или потеря зрения
- Внезапная, сильная головная боль
- Низкое кровяное давление (которое может вызвать обморок)
- Тошнота
- Рвота
Если у вас развиваются эти симптомы и у вас уже диагностирована опухоль гипофиза, немедленно обратитесь за медицинской помощью.
tagPlaceholder Tags: 5 , медсправка, медсправки для гаи , медсправка для гибдд, остеопат , медкомиссия для поступления, больничный лист, врачи УЗИ, справка
Апоплексия в аденому гипофиза Текст научной статьи по специальности «Клиническая медицина»
АПОПЛЕКСИЯ В АДЕНОМУ ГИПОФИЗА / PITUITARY ADENOMA APOPLEXY / ПРОЛАКТИНОМА / PROLACTINOMA / МАКРОАДЕНОМА ГИПОФИЗА / PITUITARY MICROADENOMAS PITUITARY MACROADENOMA / МИКРОАДЕНОМА ГИПОФИЗА / ПРОГНОЗ ПИТУИТАРНОЙ АПОПЛЕКСИИ / PROGNOSIS OF PITUITARY APOPLEXY
Аннотация научной статьи по клинической медицине, автор научной работы — Терещенко Ирина Владимировна
Представлены 3 клинических наблюдения апоплексии в аденому гипофиза у молодых женщин (у 1 микроаденома, у 2 макроаденома). Проанализированы возможные факторы риска, клинические проявления и исход питуитарной апоплексии у наблюдаемых больных, допущенные врачебные диагностические ошибки.
Похожие темы научных работ по клинической медицине , автор научной работы — Терещенко Ирина Владимировна
Анализ взаимосвязи фактора роста эндотелия сосудов с аденомами гипофиза, осложненными питуитарной апоплексией
Ремиссия инвазивной СТГ-секретирующей макроаденомы гипофиза после транссфеноидальной аденомэктомии на фоне развития питуитарной апоплексии
Нарушения церебральной гемодинамики у больных с аденомой гипофиза, осложненной питуитарной апоплексией
Pituitary adenoma apoplexy
We present 3 cases of pituitary adenoma apoplexy in young women (one microadenoma and two macroadenomas). The possible risk factors, clinical presentation and outcome of pituitary apoplexy are discussed. Diagnostic errors as regards pituitary adenoma apoplexy are analyzed.
Текст научной работы на тему «Апоплексия в аденому гипофиза»
Клиническая медицина. 2017; 95(2) 177
Заметки и наблюдения из практики
© ТЕРЕЩЕНКО И.В., 2017
апоплексия в аденому гипофиза
ГБОУ ВПО «Пермский государственный медицинский университет им. акад. Е.А. Вагнера» Минздрава России,614990, Пермь
Представлены 3 клинических наблюдения апоплексии в аденому гипофиза у молодых женщин (у 1 микроаденома, у 2 макроаденома). Проанализированы возможные факторы риска, клинические проявления и исход питуитарной апоплексии у наблюдаемых больных, допущенные врачебные диагностические ошибки.
Ключевые слова: апоплексия в аденому гипофиза; пролактинома; макроаденома гипофиза; микроаденома гипофиза; прогноз питуитарной апоплексии.
PITUITARY ADENOMA APOPLEXY
Acad. E.A. Wagner Perm State Medical University, 614990 Perm, Russia
We present 3 cases ofpituitary adenoma apoplexy in young women (one microadenoma and two macroadenomas). The possible risk factors, clinical presentation and outcome of pituitary apoplexy are discussed. Diagnostic errors as regards pituitary adenoma apoplexy are analyzed.
K e y w o r d s: pituitary adenoma apoplexy; prolactinoma; pituitary microadenomas pituitary macroadenoma; prognosis of pituitary apoplexy.
Conflict of interest. The authors declare no conflict of interest. Acknowledgments. The study had no sponsorship.
Received 02.04.16 Accepted 19.04.16
Описание клинических наблюдений апоплексии в аденому гипофиза имеет практическое значение, поскольку до настоящего времени недостаточно изучены причины этого осложнения, неизвестна симптоматика, которая указывала бы на возможность возникновения этого опасного для жизни осложнения. Кровоизлияние в аденому может быть одним из признаков манифестации заболевания [1] или может развиться при выполнении аденомэктомии [2]. Нет единой тактики оказания неотложной помощи таким больным [3, 4]. Требуется изучение отдаленного прогноза заболевания. Противоречивы данные, при каких аденомах гипофиза — гормонально-активных (пролактиномах) или гормонально-неактивных чаще возникает это осложнение [1]. Если раньше считали, что апоплексия характерна для макроаденом гипофиза, особенно для гигантских аденом, то широкое применение в диагностике магнитно-резонансной томографии (МРТ) гипофиза показало, что и микроаденомы нередко сопровождаются кровоизлиянием в опухоль [5]. Истинная частота этого осложнения неизвестна; по-видимому, оно встречается нередко, но не всегда распознается, причем диагностические ошибки также нередки [6, 7]. За последний год мы наблюдали 3 случая питуитарной апоплексии, о которых важно сообщить.
Приводим клинические наблюдения.
1. Больная К., 25 лет, заболела остро 2 октября 2015 г. После стоматологического вмешательства (экстракция зуба) приняла таблетку кетопрофена (ке-тонал), затем андипал, после чего возникли острая головная боль, головокружение, слабость. До 8 октября 2015 г. к врачу не обращалась. Головная боль прекратилась, но головокружение нарастало, так что больная не могла ходить без поддержки; госпитализирована в неврологическое отделение. Предварительный диагноз: острое нарушение мозгового кровообращения. Из анамнеза выяснено, что пациентка росла и развивалась нормально, редко болела простудными заболеваниями. Родители здоровы. Училась хорошо. Окончила колледж. Работает бухгалтером. Месячные с 13 лет, были регулярными до 15 лет. Затем прекратились. Аменорея сохраняется в течение 10 лет. Замужем с 20 лет. Беременности не возникали. К гинекологу не обращалась, считала себя здоровой.
При осмотре рост 165 см, масса тела 61 кг, фенотип женский, оволосение развито по женскому типу, молочные железы без особенностей, выделений из сосков нет. Со стороны внутренних органов патологии не обнаружено. Артериальное давление 120/70 мм рт. ст. Неврологические знаки не выявлены. Проведено обследование.
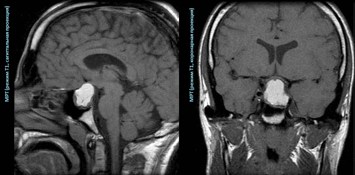
МРТ головного мозга (8 октября 2015 г.): обычные размер и конфигурация боковых желудочков мозга; хи-азмальная область без особенностей; размер гипофиза 1,6 х 1,5 х 1,3 см, структура его неоднородная за счет наличия в аденогипофизе участка измененного сигнала размером 1,0 х 0,9 х 0,8 см — аденома с признаками кровоизлияния; субарахноидальное пространство не изменено; срединные структуры не смещены. Изменений очагового и диффузного характера в веществе мозга не выявлено. Заключение: МРТ-признаки аденомы гипофиза с кровоизлиянием.
Цветовое дуплексное сканирование сосудов шеи: петлеобразная извитость левой внутренней сонной артерии с нарушением локальной гемодинамики. Малый диаметр обеих позвоночных артерий.
Общий анализ крови: Нв 127 г/л, эр. 4,27 • 1012, тр. 187 • 109, л. 6,8 • 109, н. 57%, п. 1%, э. 2%, лимф. 35%, мон. 5%; СОЭ 10 мм/ч.
Общий анализ мочи без патологии.
Ориентировочное исследование системы гемостаза без патологии: МНО 1,07; ПТВ 16 с, активированное парциальное тромбопластиновое время 26 с. Биохимический анализ крови: аланинаминотрансфераза 14 Ед/л, аспартатаминотрансфераза 15 Ед/л, билирубин 15 мкмоль/л, мочевина 4,1 ммоль/л, креатинин 79 ммоль/л, глюкоза 5,9 ммоль/л.
Антитела к ВИЧ методом иммуноферментно-го анализа не обнаружены. Гормональные исследования: пролактин (ПРЛ) 705,54 нг/мл (норма 4,23— 26, 5 нг/мл), тиреотропный гормон 4,63 мЕд/л (норма 0,4—2 мЕд/л), лютеинизирующий гормон (ЛГ) 6,34 мЕд/мл (норма 2,39—6,6 мЕд/мл), фолликулостиму-лирующий гормон (ФСГ) 6,54 мЕд/мл (норма 3,03—8,08 мЕд/мл), отношение ЛГ/ФСГ < 1 (норма 1—2), соматотро -пин 1,18 нг/мл (норма 0,06—5,0 нг/мл), кортикотропин 19,6 пг/мл (норма 0—46 пг/мл), кортизол 14,1 мкг/дл (норма 2—25 мкг/дл).
Осмотр окулиста: диски зрительных нервов бледно-розовые, границы четкие, сосуды извитые, артерии сужены, вены не изменены. Заключение: ангиопатия сетчатки.
Ультразвуковое исследование органов малого таза: тело матки отклонено кзади по оси таза, правильной формы, с четкими ровными контурами; размер 42 х 28 х 43 мм, миометрий однородной эхогенности, М-Эхо 3,1 мм. Эндометрий однородный, соответствует первой фазе менструального цикла. Шейка матки без особенностей. Размер правого яичника 31 х 16 х 14 мм, объем 3,4 мл, контур четкий, 3—4 фолликула диаметром 2—4 мм расположены диффузно. Эхогенность стромы и капсулы не изменена. Размер левого яичника 35 х 18 х 17 мм, объем 5,5 мл, контур четкий, 3—4 фолликула диаметром 2—4 мм расположены диффуз-но. Эхогенность стромы и капсулы не изменена. Трубы не визуализируются. Свободной жидкости в полости малого таза нет. Заключение: гипоплазия матки, уменьшение фолликулярного резерва яичников.
Clinical notes and case reports
Клинический диагноз: интраселлярная аденома гипофиза — пролактинома, осложненная апоплексией в опухоль; гиперпролактинемия; гиперпролактинемиче-ский гипогонадизм; нарушение менструальной функции: аменорея II; первичное бесплодие I; субклинический гипотиреоз.
Проведено лечение: пентоксифиллин 5 мл (100 мг) внутривенно капельно, винпоцетин 5 мл (25 мг) внутривенно капельно, феназепам по 1 таблетке (0,5 мг) на ночь. Отмечалась положительная динамика. Головокружение исчезло. Пациентка выписана из стационара и направлена к эндокринологу для продолжения лечения. Пациентке назначен каберголин по 0,5 мг на ночь 2 раза в неделю. Контроль содержания ПРЛ проведен через 1 мес лечения агонистами дофамина (81 нг/мл). Терапия каберголином продолжена в дозе 0,25 мг 2 раза в неделю. Пациентка лечение переносит хорошо, жалоб не предъявляет. Трудоспособность восстановлена.
Таким образом, особенность описанного наблюдения — многолетнее (более 10 лет) и малосимптомное (проявлялось аменореей и бесплодием) течение пролак-тиномы. Очевидно, рост опухоли был медленным, поскольку установлена ее интраселлярная локализация. В сущности апоплексия в опухоль помогла выявить пролактиному.
Как известно, к факторам риска питуитарных апо-плексий относят артериальную гипотензию, коагулопа-тии, травмы головы, лучевые воздействия, инфекции, тяжелые оперативные вмешательства, применение некоторых медикаментов, гормональных контрацептивов, беременность [1, 4, 7]. При аденомах гипофиза, как гормонально-активных, так и гормонально-неактивных, всегда имеется дисбаланс между кровоснабжением аденомы и высоким метаболическим спросом ткани опухоли [4]. По мнению многих авторов, при про-лактиноме отмечается наибольший риск питуитарной апоплексии [6]. У наблюдаемой пациентки стоматологическая операция, применение для анестезии лидока-ина с эпинефрином, андипала, врожденная аномалия сосудов (извитость левой внутренней сонной артерии с нарушением локальной гемодинамики и сужение обеих позвоночных артерий), очевидно, послужили причиной кровоизлияния в опухоль. Следует обратить особое внимание на уровень ПРЛ в крови, который в первые дни после наступления осложнения был выше нормы в 30 раз! Ясно, что некроз опухолевых пролак-тотрофов способствовал выходу в кровь синтезированного опухолью и депонированного в аденоме ПРЛ. Не случайно через 1 мес содержание ПРЛ в крови так резко уменьшилось (81 нг/мл). Здоровая ткань гипофиза у больной осталась сохранной, о чем свидетельствует нормальный уровень других тропных гормонов гипофиза. Питуитарную апоплексию относят к жизненно опасным осложнениям, заканчивающимся летально без экстренной нейрохирургической декомпрессии [1]. У наблюдаемой пациентки течение этого осложнения относительно благоприятное: не отмечено выражен-
Клиническая медицина. 2017; 95(2)
Заметки и наблюдения из практики
ного увеличения объема образования из-за скопления крови и резкого повышения давления не только в полости турецкого седла, но не были сдавлены хиазма и другие соседние структуры мозга. Дозу каберголина в дальнейшем следует корректировать в соответствии с показателем пролактинемии. Повторная МРТ гипофиза и контроль тропных гормонов проведены в феврале 2016 г.: на месте апоплексии формируется киста.
2. Больная Р., 27 лет, в 2011 г. обследована по поводу опсоменореи. Проведена МРТ гипофиза и выявлена макроаденома. После этого в течение двух лет не обследовалась и не лечилась. В январе 2013 г. возникла первая беременность. Во время беременности стала беспокоить постоянная головная боль. Проведен МРТ-контроль гипофиза (сентябрь 2013 г.), установлена отрицательная динамика: увеличение размера опухоли. Врачом женской консультации назначен каберголин по 0,25 мг 2 раза в неделю. На фоне лечения через 2 нед появились острая головная боль, тошнота, боль в глазных яблоках, резкое ухудшение общего самочувствия. Повторена МРТ гипофиза: картина — интрасупрасел-лярной макроаденомы гипофиза с признаками острого кровоизлияния. Срок беременности к этому времени составлял 36 нед. Срочно выполнено оперативное родо-разрешение; кормление грудью запрещено. Гинекологи продолжили лечение достинексом, но в меньшей дозе: по 0,125 мг 2 раза в неделю. Впервые уровень ПРЛ проверен в ноябре 2013 г.: 0,43 нг/мл (норма 5—25 нг/мл). Уровень других тропных гормонов гипофиза в норме. Доза каберголина уменьшена до 1/8 таблетки в неделю. В дальнейшем наблюдалась в поликлинике. Постепенно самочувствие стало удовлетворительным, пациентка почувствовала себя здоровой. Нормализовалась менструальная функция. Самостоятельно прекратила прием каберголина летом 2014 г. МРТ гипофиза (сентябрь 2014 г.): гипофиз расположен обычно, — сагиттальный размер составляет 1,2 см, вертикальный — справа 0,5 см, слева 0,3 см, фронтальный — 1,2 см. В центральных отделах гипофиза определяется зона гиперинтенсивного по Т1 и гипоинтенсивного по Т2 сигнала размером 0,7 х 0,4 * 0,2 см (последствия кровоизлияния?). Определяется выраженная гипертрофия хиазмы шириной до 1,4 см, толщиной до 0,8 см, умеренно деформирующая воронку. Расстояние от верхнего контура гипофиза до хиазмы 0,1 см. После введения контрастного вещества патологического изменения интенсив -ности сигнала от вещества гипофиза не выявлено. Пациентка жалоб не предъявляет. Нормализовалась менструальная функция. Уровень тропных гормонов, в том числе ПРЛ (13,08 нг/мл), в норме, глазное дно и поля зрения в норме. По медицинским документам и результатам МРТ пациентка проконсультирована в Институте нейрохирургии им. Н.Н. Бурденко проф. Б.А. Кадашевым: полная резорбция макроаденомы гипофиза после перенесенного кровоизлияния в опухоль. Наблюдение продолжается, отрицательной динамики нет.
В приведенном наблюдении фактором риска апоплексии в аденому гипофиза, несомненно, явилась беременность. Известно, что даже при физиологически протекающей беременности всегда нарушается кровоснабжение гипофиза: из-за избытка эстрогенов объем гипофиза увеличивается, повышается давление в полости турецкого седла. Следует подчеркнуть, что апоплексия в макроаденому привела к разрушению опухоли и выздоровлению. Сомнительно, что у этой больной была ПРЛ-секретирующая опухоль, поскольку в ранние сроки после апоплексии в аденому уровень ПРЛ был резко снижен. Очевидно, опухоль была гормонально-неактивной и лечение каберголином не требовалось.
3. Больная С., 27 лет. При планировании беременности выявлена макропролактинома и назначен каберголин по 0,125 мг 2 раза в неделю. Через 2 мес наступила беременность, каберголин отменен. Внезапно при сроке 8 нед появились резкая головная боль, тошнота и рвота, головокружение, нечеткость зрения. Такую симптоматику гинекологи отнесли к проявлениям раннего гестоза. Через 7—9 дней самочувствие улучшилось. Пациентка благополучно доносила беременность; роды нормальные. MРТ-контроль гипофиза после родов: аденома гипофиза не определяется. Имеется зона патологического сигнала аденогипофиза, вероятно, после кровоизлияния.
Таким образом, можно считать случайностью, что исход апоплексии аденомы гипофиза у этих молодых женщин оказался благополучным. Наблюдаемым пациенткам не потребовалась срочная нейрохирургическая декомпрессия. Тем не менее врачебные ошибки в диагностике и лечении аденом гипофиза и распознавании питуитарных апоплексий были допущены во всех представленных наблюдениях. Очевидно, многие врачи недостаточно осведомлены о проявлениях этого грозного осложнения аденом гипофиза. В первую очередь это касается специалистов-гинекологов: беременность следует отнести к главным факторам риска развития этого осложнения. Подобные опасения, касающиеся недостаточной осведомленности врачей об этом жизненно опасном осложнении, высказывают и другие авторы [1, 4, 7—10].
Конфликт интересов. Авторы заявляют об отсутствии конфликта интересов.
1. Ranabir S., Baruah M.P. Pituitary apoplexy. Indian J. Endocrinol. Metab. 2011; 15(Suppl. 3): 188—96. doi: 10.4103/22308210.84862.
2. Азизян В.Н., Григорьев А.Ю., Иващенко О.В., Mолитвослово-ва Н.Н. Интраоперационное кровоизлияние в аденому гипофиза как причина ремиссии акромегалии. Эндокринная хирургия. 2011; (1): 39—44.
3. Kim J.P., Park B.J., Kim S.B., Lim Y.J. Pituitary apoplexy due to pituitary adenoma infarction. J. KoreanNeurosurg. Soc. 2008; 43(5): 246—9. doi: 10.3340/jkns.2008.43.5.246.
4. Oldfield E.H., Merrill M. J. Apoplexy of pituitary adenomas: the perfect storm. J. Neurosurg. 2015; 122(6):1444—9. doi: 10.3171/2014.10.JNS141720.
5. Randall B.R., Couldwell W.T. Apoplexy in pituitary microadenomas. Acta Neurochir. (Wien). 2010; 152 (10): 1737—40. doi: 10.1007/ s00701-010-0706-6.
6. Watt A., Pobereskin L., Vaidya B. Pituitary apoplexy within a macro-prolactinoma. Nature Clin. Pract. Endocrinol. Metab. 2008; 4: 635—41. doi:10.1038/ncpendmet0968.
7. Moller-Goede D.L., Brandle M., Landau K., Bernays R.L., Schmid C.Pituitary apoplexy: re-evaluation of risk factors for bleeding into pituitary adenomas and impact on outcome. Eur. J. Endocrinol. 2011; 164(1): 37—43. doi: 10.1530/EJE-10-0651.
8. Дедов И.И. Клиническая нейроэндокринология. М.; 2010: 109—37.
9. Дедов И.И., Мельниченко Г.А., Романцова Т.И., Рожинская Л.Я., Дзеранова Л.К., Иловайская И.А. и др. Гиперпролактинемия. Современные подходы и старые проблемы. Вестник репродуктивного здоровья. 2009; (2): 2—8.
1. Ranabir S., Baruah M.P. Pituitary apoplexy. Indian J. Endocri-nol. Metab. 2011; 15(Suppl. 3): 188—96. doi: 10.4103/22308210.84862.
2. Azizyan V.N., Grigor'ev A.Yu., Ivashchenko O.V., Molitvoslovova N.N. Intraoperative hemorrhage pituitary adenoma as the cause of re-
Clinical notes and case reports
mission of acromegaly. Endokrinaya khirurgiya. 2011; (1): 39—44. (in Russian).
3. Kim J.P., Park B.J., Kim S.B., Lim Y.J. Pituitary apoplexy due to pituitary adenoma infarction. J. Korean Neurosurg. Soc. 2008; 43(5): 246—9. doi: 10.3340/jkns.2008.43.5.246.
4. Oldfield E.H., Merrill M. J. Apoplexy of pituitary adenomas: the perfect storm. J. Neurosurg. 2015; 122(6):1444—9. doi: 10.3171/2014.10.JNS141720.
5. Randall B.R., Couldwell W.T. Apoplexy in pituitary microadenomas. Acta Neurochir. (Wien). 2010; 152 (10): 1737—40. doi: 10.1007/ s00701-010-0706-6.
6. Watt A., Pobereskin L., Vaidya B. Pituitary apoplexy within a mac-roprolactinoma. Nature Clтю Pract. Endocrinol. Metab. 2008; 4: 635—41. doi:10.1038/ncpendmet0968.
7. Moller-Goede D.L., Brandle M., Landau K., Bernays R.L., Schmid C.Pituitary apoplexy: re-evaluation of risk factors for bleeding into pituitary adenomas and impact on outcome. Eur. J. Endocrinol. 2011; 164(1): 37—43. doi: 10.1530/EJE-10-0651.
8. Dedov I.I. ClinicalNeyroendokrinologiya. Moscow; 2010: 109—37. (in Russian)
9. Dedov I.I., Melnichenko G.A., Romantsova T.I., Rozhinskaya L.Y., Dzeranova L.K., Ilovaiskaya I.A. et al. Hyperprolactinemia. Modern approaches and old problems. Vestnik reproduktivnogo zdorov'ja. 2009; (2): 2—8. (in Russian).
Апоплексия гипофиза ( Питуитарная апоплексия )
Апоплексия гипофиза - это острое состояние, которое возникает вследствие резкого увеличения размеров опухоли гипофиза из-за ее разрыва, кровоизлияния или некроза. Заболевание сопровождается сильными головными болями, нарушением зрения, тошнотой, рвотой. Поражение гипофиза вызывает гипопитуитризм. Сдавление сосудов головного мозга приводит к развитию локальной ишемии. Диагностика основывается на проведении томографии головного мозга, определении уровня тропных гормонов. Лечение зависит от остроты и распространённости патологического процесса. При обширных поражениях проводят гормональную терапию и оперативное вмешательство с целью декомпрессии структур головного мозга.
МКБ-10



Общие сведения
Апоплексия гипофиза - неотложное состояние в нейрохирургии, характеризующееся кровоизлиянием в полость турецкого седла и сдавлением структур параселлярной области. Заболевание встречается редко, однако всегда несет угрозу для жизни пациента. Развивается апоплексия в основном у больных с активно растущими опухолями гипофиза и новообразованиями больших или гигантских размеров. По данным исследований РНХИ им. проф. А.Л. Поленова, частота возникновения данного патологического состояния при опухолях аденогипофиза составляет около 3%. Чаще встречаются кровоизлияния в новообразование, реже - ишемические инфаркты, некрозы.

Причины
Острое состояние возникает у больных с кортикотропными и соматотропными аденомами, глиомами, метастазами в ткань гипофиза. К апоплексии могут привести следующие факторы:
- Длительная антикоагулянтная терапия. Применение высоких доз кроверазжижающих препаратов при повышении АД может спровоцировать возникновение кровотечения из сосуда головного мозга.
- Опухоли гипофиза. Стремительный рост новообразований вызывает сдавливание близлежащих мозговых структур, нарушение трофики гипофиза.
- Лучевая терапия. Радиотерапия опухолей головного мозга вызывает нарушение целостности и питания сосудистой сети вплоть до образования трофических язв, кровотечений.
- Черепно-мозговые травмы. Ушибы, сотрясения головного мозга, переломы костей черепа приводят к механическому повреждению мозговых структур или новообразования.
- Проведение исследований гипофиза. Инвазивные методы оценки гипофизарной функции могут повлечь за собой нарушение целостности тканей новообразования и стать причиной кровотечения.
- Идиопатическое кровоизлияние. Известны случаи спонтанной апоплексии без предшествующих физических или химических воздействий.
Патогенез
Патогенез апоплексии связан с образованием и активным ростом опухоли гипофиза. Данное состояние сопровождается увеличением сосудистой сети, усилением локальной микроциркуляции. Физическое или химическое воздействие на опухоль провоцирует нарушение целостность капилляров и истечение крови в подпаутинное пространство. Активный рост новообразования вызывает сдавление мозгового вещества, черепных нервов, сосудов, питающих головной мозг. Это объясняет стремительное развитие неврологической симптоматики при апоплексии гипофиза. Сдавление нервов приводит к нарушению функции других систем (зрительной, дыхательной, сердечно-сосудистой). Чаще всего возникает поражение аденогипофиза, нейрогипофиз остается сохранным и функционирует нормально.

Симптомы апоплексии гипофиза
Клиника заболевания зависит от размеров новообразования, вида поражающего фактора, может варьировать от малозначимых симптомов до нарушения сознания и комы. Около 25% апоплексий гипофиза протекают без клинических проявлений. Массивное кровотечение в паренхиму мозга характеризуется стремительным нарастанием неврологической симптоматики. Возникает интенсивная головная боль в лобной или параорбитальной зоне, тошнота, рвота. При отсутствии лечения развивается отек головного мозга, помутнение сознания вплоть до комы.
При быстром росте опухоли и дислокации мозговых структур снижается острота зрения вплоть до слепоты, возникает птоз, дефекты полей зрения. Сдавление внутренней сонной артерии приводит к возникновению ишемического инсульта, компрессия средней мозговой артерии - к нарушению работы обонятельных трактов, развитию аносмии.
Поражение гипофиза вызывает различные эндокринные нарушения. При небольших размерах опухоли, незначительном кровоизлиянии уровень тропных гормонов остается нормальным. Обширное кровотечение сопровождается дисфункцией передней доли гипофиза и развитием гипопитуитаризма. Данное состояние вызывает снижение секреции адренокортикотропного (АКТГ), соматотропного (СТГ), тиреотропного (ТТГ), фоликулостимулирующего (ФСГ), лютеинизирующего (ЛГ) гормонов, пролактина. У 5-10 % пациентов с апоплексией гипофиза развивается несахарный диабет, сопровождающийся полиурией, полидипсией.
Осложнения
Обширные геморрагии, проникновение крови в спинномозговую жидкость вызывают развитие менингеальных симптомов, нарушение двигательной функции, развитие ступора, сопора, комы. При паренхиматозном кровоизлиянии в срединные структуры головного мозга возникают эпилептические припадки, потеря сознания, параличи. Поражение сердечно-сосудистого и дыхательного центра продолговатого мозга вызывает внезапную смерть. Генерализованное повреждение аденогипофиза приводит к дефициту всех тропных гормонов (пангипопитуитаризму) и гипофункции периферических эндокринных желёз. Наблюдаются резкое снижение веса, выраженная астенизация, признаки гипотиреоза и гипокортицизма, психоневрологические нарушения, гипофизарная кома.
Диагностика
Вариабельность симптоматики и данных лабораторных анализов делают диагностику апоплексии гипофиза затруднительной. Обязательным является консультация эндокринолога, нейрохирурга, офтальмолога, невролога. При подозрении на апоплексию проводятся следующие обследования:
- Лучевая диагностика.КТ головного мозга с контрастированием является основным методом диагностики, позволяющим определить участки геморрагии, некротические ткани, объемные образования любого размера. Магнитно-резонансная томография мозга или рентгенография черепа в боковой проекции выполняются при отсутствии возможности проведения КТ. Рентгенография позволяет обнаружить объемное образование в области гипофизарной ямки. МРТ выявляет некротизированные участки, опухоли небольшого размера.
- Анализ гормонального фона. Производят забор крови для определения уровня кортизола, пролактина, гормонов щитовидной железы, гонадотропных и соматотропного гормонов.
- Мониторинг общего состояния организма. Осуществляют с помощью ОАК, ОАМ, анализа ликвора, биохимического анализа крови с обязательным исследованием уровня мочевины, креатинина и электролитов (Na, К) в динамике.
Дифференциальная диагностика
Дифференциальная диагностика апоплексии гипофиза проводится с разрывом аневризмы сосудов мозга, иными внутричерепными новообразованиями, окклюзией сонной артерии. В этом случае дополнительно выполняется ангиография внутричерепных сосудов. При нарушении сознания заболевание дифференцируют с другими острыми состояниями: вирусным и бактериальным менингитом, менингоэнцефалитом, обширным инсультом. Для диагностики осуществляют забор спинномозговой жидкости для определения белка, крови, лейкоцитов, глюкозы.

Лечение апоплексии гипофиза
Тактика лечения зависит от тяжести патологического процесса, клиники заболевания. При эндокринной недостаточности проводят заместительную гормональную терапию до стабилизации состояния. При нарастании симптомов внутричерепной гипертензии, резком снижении зрения, угрозе развития отека головного мозга, потере сознания проводят хирургическую декомпрессию головного мозга.
Операцию выполняют в экстренном порядке транссфеноидальным или транскраниальным доступами. Во время вмешательства осуществляют забор материала на гистологическое исследование, ослабляют давление на жизненно важные структуры мозга, производят полное удаление опухоли, некротических масс и геморрагических сгустков. По окончании операции с целью профилактики внутричерепной гипертензии и отека мозга устанавливают вентрикулярный дренаж. В послеоперационном периоде проводят восстановление кислотно-щелочного, электролитного равновесия, корректируют эндокринные нарушения с помощью глюкокортикоидов, тироксина, половых гормонов. При необходимости продолжают проведение искусственной вентиляции легких.
Прогноз и профилактика
Прогноз в отношении апоплексии зависит от вида и объема поражения мозговых структур. При локальном кровоизлиянии с сохранением нормальной функции мозга, оказании экстренной специализированной помощи прогноз благоприятный. В большинстве случаев удается стабилизировать состояние, вернуть нормальный уровень гормонов, электролитов. Массивное кровоизлияние, быстрый рост опухоли со сдавлением структур головного мозга возникает редко, приводя к стремительному нарушению сознания, коме и смерти. Профилактика возникновения апоплексии гипофиза состоит в диспансерном наблюдении невролога и эндокринолога, ежегодном проведении компьютерной томографии новообразований головного мозга.
2. Нарушения церебральной гемодинамики у больных с аденомой гипофиза, осложненной питуитарной апоплексией/ К.Э. Махкамов, М.М. Азизов, Н.Г. Дадамьянц// Вестник экстренной медицины. - 2013.
3. Результаты хирургических вмешательств у больных с аденомами гипофиза, осложненными питуитарной апоплексией/ К.Э. Махкамов, М.М. Азизов// Вестник экстренной медицины. - 2010.
РЕНТГЕНОЛОГИЧЕСКИЕ АСПЕКТЫ КРОВОИЗЛИЯНИЙ В АДЕНОМЫ ГИПОФИЗА
Цель исследования – выявление характерных рентгенологических особенностей питуитарной апоплексии, способных влиять на лечебную тактику. Материал и методы. Проведен анализ 82 наблюдений питуитарной апоплексии. В 37 случаях операция не проводилась, поскольку потребность в ней отпала на фоне консервативного лечения. 45 пациентов были прооперированы в различные сроки от момента кровоизлияния. Проведена оценка особенностей магнитно-резонансной картины очага питуитарной апоплексии и вероятности полной резорбции опухоли. Результаты. Выявлено, что кистозные полости в строме опухоли чаще выявляются после 3 мес от момента кровоизлияния. Полная резорбция наступает в основном при аденомах гипофиза размером до 40 мм. Резорбция опухоли чаще наступает при диффузном пропитывании стромы опухоли. Заключение. Консервативная терапия может быть основным методом лечения питуитарной апоплексии для опухолей размером до 40 мм, с давностью кровоизлияния до 3 мес при условии отсутствия кист в строме, независимо от тяжести состояния пациента. Вероятность восстановления гипофизарных функций при этом 87,5%.
Ключевые слова
Об авторах
ФГАУ «Национальный научно-практический центр нейрохирургии им. акад. Н.Н. Бурденко» Минздрава России
Россия
к. м. н., ст. науч. сотр., нейрохирург
ФГАУ «Национальный научно-практический центр нейрохирургии им. акад. Н.Н. Бурденко» Минздрава России
Россия
д. м. н., профессор, гл. науч. сотр.
ФГАУ «Национальный научно-практический центр нейрохирургии им. акад. Н.Н. Бурденко» Минздрава России
Россия
д. м. н., заведующий нейроонкологическим отделением, нейрохирург
ФГАУ «Национальный научно-практический центр нейрохирургии им. акад. Н.Н. Бурденко» Минздрава России
Россия
д. м. н., вед. науч. сотр., эндокринолог
ФГАОУ ВО «Первый Московский государственный медицинский университет им. И.М. Сеченова» Минздрава Росси
Россия
студентка
ФГАУ «Национальный научно-практический центр нейрохирургии им. акад. Н.Н. Бурденко» Минздрава России
Россия
к. м. н., вед. науч. сотр., нейрохирург
ФГАУ «Национальный научно-практический центр нейрохирургии им. акад. Н.Н. Бурденко» Минздрава России
Россия
к. м. н., нейрохирург
ФГАУ «Национальный научно-практический центр нейрохирургии им. акад. Н.Н. Бурденко» Минздрава России
Россия
к. м. н., нейрорентгенолог
ФГАУ «Национальный научно-практический центр нейрохирургии им. акад. Н.Н. Бурденко» Минздрава России
Россия
нейрорентгенолог
ФГАУ «Национальный научно-практический центр нейрохирургии им. акад. Н.Н. Бурденко» Минздрава России
Россия
аспирант
Список литературы
1. Кадашев Б.А. Аденомы гипофиза. Клиника, диагностика, лечение. M.: Триада; 2007. [Kadashev B.A. Pituitary adenomas. Clinic, diagnostics, treatment. Moscow: Triada; 2007 (in Russ.).]
2. Кутин М.А., Астафьева Л.И., Калинин П.Л., Фомичев Д.В., Захарова Н.Е. Диагностика новообразований хиазмальной области. Опухоли головы и шеи. 2012; 3: 34–9. [Kutin M.A., Astaf’eva L.I., Kalinin P.L., Fomichev D.V., Zakharova N.E. Diagnosis of tumors chiasmal area. Opukholi Golovy i Shei (Head and Neck Tumors, Russian journal). 2012; 3: 34–9 (in Russ.).]
3. Dubuisson A., Stevenaert A. Classical pituitary tumour apoplexy: clinical features, management and outcomes in a series of 24 patients. Clin. Neurol. Neurosurg. 2007; 109 (1): 63–70.
4. Post M.J., David N.J., Glaser J.S., Safran A. Pituitary apoplexy: diagnosis by computed tomography. Radiology. 1980; 134 (3): 665–70.
5. Boellis A., di Napoli A., Romano A., Bozzao A. Pituitary apoplexy: an update on clinical and imaging features. Insights Imaging. 2014; 5 (6): 753–62. DOI: 10.1007/s13244- 014-0362-0
6. Vanderpump M., Higgens C., Wass J.A. UK guidelines for the management of pituitary apoplexy a rare but potentially fatal medical emergency. Emerg. Med. J. 2011; 28 (7): 550–1. DOI: 10.1136/emj.2010.106898
7. Bi W.L., Dunn I.F., Laws E.R. Jr. Pituitary apoplexy. Endocrine. 2015; 48 (1): 69–75. DOI: 10.1007/ s12020-014-0359-y
8. Agrawal B., Dziurzynski K., Salamat M.S., Baskaya M. The temporal association of sphenoid sinus mucosal thickening on MR imaging with pituitary apoplexy. Turk. Neurosurg. 2012; 22 (6): 785–90. DOI: 10.5137/1019-5149.jtn.4273-11.1
9. Carral F. Pituitary apoplexy. Arch. Neurol. 2001; 58 (7): 1143–4.
10. Черебилло В.Ю. Эндоскопическая транссфеноидальная хирургия аденом гипофиза. Журнал «Вопросы нейрохирургии» имени Н.Н. Бурденко. 2007; 2: 75. [Cherebillo V.Yu. Endoscopic transsphenoidal surgery of pituitary adenomas. Zhurnal “Voprosy Neyrokhirurgii” imeni N.N. Burdenko (Burdenko’s Journal of Neurosurgery, Russian journal). 2007; 2: 75 (in Russ.).]
11. Калинин П.Л., Фомичев Д.В., Кадашев Б.А. Методика эндоскопической эндоназальной транс- сфеноидальной аденомэктомии. Журнал «Вопросы нейрохирургии» имени Н.Н. Бурденко. 2007; 4: 42–5. [Kalinin P.L., Fomichev D.V., Kadashev B.A. The technique of endoscopic endonasal transsphenoidal prostatectomy. Zhurnal “Voprosy Neyrokhirurgii” imeni N.N. Burdenko (Burdenko’s Journal of Neurosurgery, Russian journal). 2007; 4: 42–5 (in Russ.).]
12. Калинин П., Фомичев Д., Кадашев Б., Кутин М. Пластика дефектов основания черепа после транссфеноидальных эндоскопических операций. Врач. 2008; 12: 60–3. [Kalinin P., Fomichev D., Kadashev B., Kutin M. Skull base defects closure after transsphenoidal endoscopic surgery. Vrach (Doctor, Russian journal). 2008; 12: 60–3 (in Russ.).]
13. Кутин М.А., Калинин П.Л., Фомичев Д.В. Опыт применения аутотканей с сохраненным кровоснабжением для пластики дефектов основания черепа после эндоскопических транссфеноидальных вмешательств. Журнал «Вопросы нейрохирургии» имени Н.Н. Бурденко. 2012; 2: 42–9. [Kutin M.A., Kalinin P.L., Fomichev D.V. Experience of tissues with preserved blood supply for skull base defects closure after endoscopic transsphenoidal surgery. Zhurnal “Voprosy Neyrokhirurgii” imeni N.N. Burdenko (Burdenko’s Journal of Neurosurgery, Russian journal). 2012; 2: 42–9 (in Russ.).]
Апоплексия гипофиза на МРТ
Facebook Если у вас не работает этот способ авторизации, сконвертируйте свой аккаунт по ссылке ВКонтакте Google RAMBLER&Co ID
Авторизуясь в LiveJournal с помощью стороннего сервиса вы принимаете условия Пользовательского соглашения LiveJournal
Апоплексия гипофиза (питуитарная апоплексия)
статью в формате PDF
Кровоизлияния в опухоли головного мозга - это одно из наиболее грозных осложнений интракраниальных образований, частая причина внезапного ухудшения состояния и летальных исходов у нейро-онкологических больных. Среди опухолей, в которые чаще всего отмечаются кровоизлияния, следует назвать, в первую очередь, глиомы, аденомы гипофиза и метастатические опухоли. При этом аденома гипофиза (АГ) является одной из наиболее частых первичных интракраниальных новообразований. Одной из основных причин, снижающих качество жизни больных с АГ, приводящей к повышению летальности и морбидности, является кровоизлияние в опухоль. Кровоизлияние в АГ (питуитарная апоплексия - ПА) встречается в 5,4 раза чаще, чем в другие опухоли и отмечается при АГ любых размеров, но наиболее часто - у больных с большими и гигантскими размерами опухоли.
Патофизиологические изменения, ведущие к гипофизарной апоплексии все еще неясны - ими могут быть кровотечение или некроз, а причиной может являться быстрый рост опухоли, который опережает крово-снабжение. Это предполагает возникновение ПА, прежде всего, в опухолях больших размеров.
Клиника (симптоматика) ПА варьирует от клинически незначительных проявлений до катастрофических эпизодов с тяжелым неврологическим дефицитом, эндокринными нарушениями и даже смертью больных. Выделяют три основных механизма, определяющих клинические симптомы ПА: [ 1 ] быстрое экстраселлярное увеличение размеров опухоли, [ 2 ] эндокринопатии и [ 3 ] экстравазация крови. Расширение опухоли вверх приводит к сдавлению зрительных путей и промежуточного мозга, что вызывает снижение остроты зрения и появление дефектов поля зрения (чаще всего - битемпоральную гемианопсию), возникает дисрегуляция жизненно важных функций организма, нарушается сознание.
Аденома гипофиза: методы лучевой диагностики [читать] и статью: Обусловленные аденомой гипофиза зрительные и глазодвигательные нарушения [читать]
Постоянным спутником ПА является головная боль, присутствуя почти у всех больных (до 96%), локализуясь, как правило, ретроорбитально и в лобной области. Следует отметить, что при переднем или заднем расположении хиазмы типичного хиазмального синдрома не бывает. Вегетативно-диэнцефальная симптоматика, которая обычно регистрируется незадолго до начала и в течение приступа, представлена вегетативными нарушениями, лабильностью артериального давления, патологической сонливостью, нарушением терморегуляции и потоотделения, реже присутствует ортостатическая гипотензия, респираторно-вегетативные кризы. Иногда клинически трудно различить гипоталамическую дисфункцию и гипопитуитаризм, поскольку они могут ассоциироваться с угнетением сознания и кардиоваскулярным коллапсом. При гипопитуитаризме эти симптомы можно устранить введением глюкокортикоидов.
Латеральное расширение опухоли приводит к экстраокулярной офтальмоплегии, дисфункции V (тройничного) нерва, к периорбитальному отеку и венозному стазу вследствие нарушения тока крови в кавернозном синусе, сдавлению внутренней сонной артерии (ВСА). Офтальмоплегию (одно- или двустороннюю) считают [ . ] характерным признаком этого состояния. Как правило, последовательно выпадают функции III (глазодвигательного), а затем IV (блокового) и VI (отводящего) нервов (поражение III нерва сочетается с дефицитом IV, V или VI черепных нервов в 20 - 30% случаев). Однако нарушений функций III нервов может и не отмечаться совсем. Венозный стаз способен, в свою очередь, приводить к ринорее, экзофтальму, проптозу. Полная офтальмоплегия также может участвовать в проптозе.
Компрессия ВСА может вызывать полушарный ишемический дефицит, дифференцируемый с последствиями разрыва аневризмы. Увеличение АГ вверх и в стороны бывает настолько значительным, что сдавление средней мозговой артерии (СМА) может приводить к локальной ишемии, воздействие на обонятельные тракты вызывает аносмию. Кровоизлияние в АГ с выраженным ретроселлярным ростом вызывает сдавление стволовых структур с соответствующей симптоматикой. При ПА описаны редкие случаи обильного носового кровотечения (кровотечение в опухоль, распространяющееся в носовые ходы).
Эндокринные аномалии, развивающиеся вследствие кровоизлияний (или некрозов) в опухоли, являются результатом нарушения функций гипофизарно-гипоталамической системы на фоне гормональной активности аденомы. Кровоизлияние, разрушая интраселлярное содержимое, приводит к развитию гипопитуитаризма или пангипопитуитаризма у большинства пациентов с ПА, хотя описаны случаи, когда кровоизлияние в АГ приводило к нормализации уровня гормонов гипофиза. Следует отметить, что у больных с гигантскими АГ гипопитуитаризм присутствует в подавляющем числе случаев и до кровоизлияния в опухоль. При редком вовлечении в процесс гипоталамуса появляется гипотензия, гипертермия, аритмии, гемипарез. Несахарный диабет - нечастый спутник ПА (около 6 - 11%) - у трети больных он является персистирующим, у остальных - транзиторным, тем не менее, Вайншенкер Ю.И. с соавт. (2001) считают и несахарный диабет, и гипергликемию патогномоничными проявлениями ПА.
При возникновении ПА кровь может выходить в субарахноидальное пространство даже при отсутствии супраселлярного распространения опухоли. При этом играют роль недостаточность диафрагмы седла (в том числе и послеоперационного генеза), размеры ее вырезки, пенетрация опухолью арахноидальной оболочки. Поскольку гипофиз - экстраарахноидальная структура, распространение крови и опухолевых масс вверх будет вызывать растяжение арахноидальной мембраны диафрагмы седла скорее, чем ее пенетрацию, что и объясняет редкость субарахноидального кровоизлияния (САК) при кровоизлиянии в аденому. САК проявляется не только менингеальной симптоматикой, но может приводить к развитию вазоспазма, что может являться причиной двигательных расстройств.
Крайне редко описываются случаи массивных геморрагий с прорывом крови в паренхиму или желудочки мозга. Существует предположение, что подобные кровоизлияния, в частности, прорыв крови в III желудочек, возникают в связи с обструкцией венозного дренажа от нейро-эпителиальной или мягкой оболочки дна III желудочка, являющегося следствием апоплексиформного увеличения интраселлярного давления в момент внутриопухолевой геморрагии. Для паренхиматозной геморрагии, особенно при продолженном росте АГ, не последнюю роль играют расширенное отверстие диафрагмы турецкого седла и арахноидальные спайки и сращения, появляющиеся в результате предыдущего оперативного вмешательства или лучевой терапии. При паренхиматозной геморрагии могут возникать припадки, в целом не свойственные для ПА.
В РНХИ им. проф. А.Л. Поленова была предложена классификация ПА: выделены интратуморозная и интра-экстратуморозная формы кровоизлияния (при разрыве «капсулы» опухоли). По вариантам течения выделены бессимптомная и клинически выраженная форма, которая, в свою очередь, подразделена на три степени - тяжелую, среднюю и легкую в зависимости от выраженности гипертензионной головной боли, поражения глазодвигательных нервов, менингеального синдрома, гипофизарной и гипоталамической симптоматики (Вайншенкер Ю.И., 2001).
Диагноз ПА часто затруднен вследствие присутствия симптоматики, сходной с таковой при других опухолях головного мозга, разрывах церебральных аневризм или бактериальных и вирусных менингитах. Необходимо подчеркнуть, что поскольку патологический процесс может вызывать хоть и внезапное, но ограниченное увеличение интраселлярного объема, ишемические или геморрагические некрозы в опухоли могут быть полностью ассимптомны (классические признаки геморрагии в опухоль, напоминающие САК - тяжелая головная боль, рвота, тошнота, резкое снижение зрительных функций, офтальмоплегия, менингеальный синдром, потеря сознания, вплоть до комы - достаточно редки и наблюдаются всего в 17% случаев). По данным многих исследователей ПА не связана с клиническими проявлениями в 25% случаев. Более половины больных с АГ на момент кровоизлияния даже не подозревают о наличии у них опухоли. При небольших размерах опухоли в дальнейшем возможно уменьшение ее размеров и даже спонтанное полное излечение. Некоторыми авторами используется при этом термин «опухолевое выгорание» и «субклиническая питуитарная апоплексия». Вайншенкер Ю.И. с соавт. (2001) выявили такую характерную особенность для кровоизлияний в аденому гипофиза, как повторямость, а также тенденцию для АГ с ПА к продолженному росту, который выявлен в 24,7% аденом с кровоизлиянием против 6,3% больных без такового.
В диагностике ПА ведущую роль играют компьютерная томография (КТ) и магнитно-резонансная томография (МРТ). На КТ обнаруживают гиперденсные участки в случае острой геморрагии (в пределах 3 - 4 дней) или участки смешанной плотности - при наличии некротических тканей. САК может быть диагностировано при проникновении крови в базальные цистерны. МРТ является более чувствительным методом, определяя гиперденсные или гетерогенные участки кровоизлияний и некротические участки опухоли. Arita K. с соавт. (2001) описал утолщение слизистой клиновидного синуса, как характерную черту (в 79% случаях) острой стадии ПА (в пределах 7 дней после кровоизлияния), объясняя данный феномен нарушением венозного оттока. Анализ цереброспинальной жидкости редко оказывает помощь в диагностике ПА, поскольку при отсутствии крови в субарахноидальном пространстве ликвор обычно чистый. С другой стороны, в зависимости от времени, прошедшего от момента геморрагии, ликвор может содержать кровь или быть ксантохромным. Часто отмечается незначительный плеоцитоз и повышение уровня белка.

Несмотря на то, что случаи спонтанного восстановления нарушенных функций при ПА на фоне консервативной терапии нередки, большинство авторов отстаивают раннее (как можно более быстрое) хирургическое лечение при ПА, целью которого является декомпрессия зрительных нервов и хиазмы, кавернозных синусов и/или супраселлярных структур, особенно в случае снижения и прогрессирующего ухудшения зрительных функций, нарушения сознания и появления глазодвигательных расстройств. Наиболее адекватным является транссфеноидальный оперативный доступ. Транскраниальные подходы рекомендованы при гигантских размерах опухоли с экспансивным ростом, выраженным латероселлярным распространении аденомы, при многоузловых формах опухоли. Считается, что одним из важнейших факторов профилактики кровоизлияний в остатки опухоли у данной группы больных является степень радикальности резекции новообразования. При гигантских размерах АГ это удается выполнить далеко не всегда. У больных с эндоселлярными АГ иногда применяют медикаментозное лечение, включающее мониторинг эндокринных, неврологических и зрительных функций, применение кортикостероидов, поддержание нормального кислотно-щелочного равновесия и уровня электролитов. Более половины больных нуждаются в заместительной гормональной терапии - глюкокортикоиды, АКТГ, тироксин, половые гормоны.
подробнее в статье «Питуитарная апоплексия (обзор литературы)» Улитин А.Ю., Кальменс В.Я., Гоголева Е.А.; ФГУ РНХИ им. проф. А.Л. Поленова, Санкт-Петербург (Российский нейрохирургический журнал имени профессора А.Л. Поленова, Том III, № 3, 2011) [читать]
статью «Морфологические аспекты кровоизлияний в опухоли гипофиза» Кутин М.А., Ротин Д.Л., Шишкина Л.В., Астафьева Л.И., Кадашев Б.А., Калинин П.Л., Фомичёв Д.В., Шарипов О.И., Сидорук Е.В (журнал «Злокачественные опухоли» № 3, 2016) [читать];
статью «Pituitary apoplexy: clinical features, management and outcome. Clinical study and review of the literature» Adriana Elena Solomon, Ligia Tataranu, Vasile Ciubotaru, Mircea Radu Gorgan; Neurosurgical Clinic, «Bagdasar-Arseni» Emergency Clinical Hospital, Bucharest, Romania; «Carol Davila» University of Medicine and Pharmacy, Bucharest, Romania (Romanian Neuro-surgery (2015) XXIX (XXII) 1: 68 - 76) [читать]
Читайте также:
