Цефалоцеле височной кости - лучевая диагностика
Добавил пользователь Евгений Кузнецов Обновлено: 02.11.2025
2. Наиболее часто встречающие аномалии развития головного мозга
3. Аномалия Арнольда-Киари.
Смещение миндалин на 0,5 см и ниже у детей 5-15
лет не должно рассматриваться как патология!
Киари I – пролабирование миндалин мозжечка на 0,2-0,9
см.
Киари II – расширение большого затылочного отверстия;
низкое расположение мозжечкового намета и ствола
мозга; мост обычно сужен в переднезаднем направлении,
продолговатый мозг удлинен и опущен в позвоночный
канал; IV-ый желудочек сужен, опущен, редко изолирован
и увеличен в размерах; четверохолмная пластинка имеет
клювовидную форму; в 80-90% наблюдается дисплазия
мозолистого тела (гипоплазия или отсутствие валика,
агенезия rostrum, дисплазия falx; расширение massa
intemedia.
Киари III – крайне редкое патологическое состояние.
Грыжевое выпячивание содержимого ЗЧЯ через spina bifida
на уровне С1-С2.
5. Аномалия Арнольда-Киари II, ассоциированная с полимикрогирией
6. Агенезия мозолистого тела (типичная КТ, МР-картина)
Агенезия мозолистого
тела (типичная КТ, МРкартина)
Широко расставленные
передние рога и тела боковых
желудочков.
Высокое стояние 3-го желудочка между ними.
Медиальные стенки боковых желудочков приобретают
параллельный ход.
Задние рога боковых желудочков обычно расширены.
По сагиттальным томограммам можно судить о
степени недоразвития мозолистого тела: частичная –
гипогенезия; полная - агенезия; частичный дефект
его формирования – дисгенезия.
7. Частичная агенезия мозолистого тела
8. Перикаллезная липома
9. Липома четверохолмной цистерны
10. Краниостеноз, дисгенезия мозолистого тела
11. Незаращение листков прозрачной перегородки
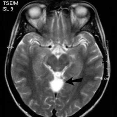
12. Киста промежуточного паруса
13. Гипоплазия мозжечка
14. Мальформация Dandy-Walker.
Dandy-Walker, тип I. Истинная киста. Характеризуется расширением
4-го желудочка с отсутствием отверстий Можанди и Люшка,
частичной или полной агенезии червя, высоким расположением
мозжечкового намета, гидроцефалией. Связь между 4-ым
желудочком и перемедуллярным пространством отсутствует.
Dandy-Walker, тип II. Частичная агенезия червя мозжечка, связанная
с задним расширением tela chorioidea позади и над рудиментом червя.
Может сочетаться с полимикрогирией, гетеротопией, неправильным
положением ствола мозга, агенезией мозолистого тела.
Вариант Dandy-Walker . Широкая сообщаемость 4-го желудочка с
основной цистерной мозга, последняя увеличена в размерах; червь и
полушария мозжечка гипопластичны; 3-ий и боковые желудочки
гидроцефальны.
15. Вариант Денди-Уолкера
16. Кистозная трансформация IV-го желудочка
17. Нарушение дивертикуляции. Голопрозэнцефалия.
18. Септо-оптическая дисплазия, дисгенезия мозолистого тела и межполушарная арахноидальная киста в левой затылочной области
19. Нарушение в формировании борозд, извилин, миграции нейронов.
Недоразвитие борозд, извилин.
Агирия – отсутствие извилин на поверхности мозга - полная
лиссэнцефалия.
Пахигирия - наличие широких и плоских извилин (неполная
лиссэнцефалия).
Шизэнцефалия (агенетическая порэнцефалия).
Врожденная расщелина, обычно идущая вдоль врожденных щелей
мозга – латеральная, центральная.
Лиссэнцефалия.
Кортикальная дисплазия (полимикрогирия).
Формирование большого количества маленьких извилин.
Излюбленная локализация – Сильвиева щель.
Гетеротопия:
Виды:
Субэпендимарная.
Фокальная (узловая).
Диффузная (лентовидная).
Смешанная.
20. Лисэнцефалия
21. Агирия и агенезия мозолистого тела
22. шизэнцефалия
23. Полимикрогирия лобных долей
24. Правосторонняя мегалэнцефалия
25. Порэнцефалия левого бокового желудочка
26. фокальная кортикальная дисплазия
27. Гетеротопия (единичный узел)
28. смешанная форма гетеротопии – субэпендимарная+узловая
29. Лентовидная гетеротопия
30. платибазия
31. Наиболее типичные локализации арахноидальных кист
32. Арахноидальная киста правой височной области
33. Арахноидальная киста конвекситальной поверхности левой теменной области
34. кистозная трансформация правой теменной доли
35. Гипоплазия мозжечка
36. Аномалия Арнольда-Киари.
Аномалия АрнольдаКиари.
Смещение миндалин на 5 мм и ниже у детей 5-15 лет
не должно рассматриваться как патология!
Киари I – пролабирование миндалин мозжечка 2-9 мм.
Киари II – расширение большого затылочного
отверстия; низкое расположение мозжечкового намета
и ствола мозга; мост обычно сужен в переднезаднем
направлении, продолговатый мозг удлинен и опущен в
позвоночный канал; IV-ый желудочек сужен, опущен,
иногда изолирован и увеличен в размерах;
четверохолмная пластинка имеет клювовидную форму;
в 80-90% наблюдается дисплазия мозолистого тела
(гипоплазия или отсутствие валика, агенезия rostrum),
расширение massa intemedia.
Киари III – крайне редкое патологическое состояние.
Грыжевое выпячивание содержимого ЗЧЯ через spina
bifida на уровне С1-С2.
37. Аномалия Арнольда-Киари
38. цефалоцеле
Дифференцируют по локализации дефектов костей
черепа, через которые пролабируют.
1. окципитальные.
2. свода черепа: интерфронтальные, переднего
родничка, интерпариетальные, заднего родничка,
темпоральные.
3. фронто-базилярные: фронто-назальные,
этмоидальные, назо-фронтальные, назо-этмоидальные,
назо-орбитальные.
4. базилярные: трансэтмоидальные,
сфеноэтмоидальные, транссфеноидальные, фронтосфеноидальные, сфено-орбитальные.
5. краниошизис: краниальный – верхняя фациальная
расщелина, базилярный - нижняя фациальная
расщелина, цервико-окципитальная расщелина.
39. Агенезия мозолистого тела
Широко расставленные передние рога и тела
боковых желудочков.
Высокое стояние 3-го желудочка между ними.
Медиальные стенки боковых желудочков
приобретают параллельный ход.
Задние рога боковых желудочков обычно
расширены.
По сагиттальным томограммам можно судить о
степени недоразвития мозолистого тела:
частичная – гипогенезия; полная - агенезия;
частичный дефект его формирования –
дисгенезия.
Отделы мозолистого тела: rostrum, genu (колено),
body (тело), splenum (валик).
40. Частичная агенезия мозолистого тела
41. Незаращение листков прозрачной перегородки
42. Мальформация Dandy-Walker.
Dandy-Walker, тип I. Истинная киста. Характеризуется
расширением 4-го желудочка с отсутствием отверстий Можанди
и Люшка, частичной или полной агенезии червя, высоким
расположением мозжечкового намета, гидроцефалией. Связь
между 4-ым желудочком и перемедуллярным пространством
отсутствует.
Dandy-Walker, тип II. Частичная агенезия червя мозжечка,
связанная с задним расширением tela chorioidea позади и над
рудиментом червя. Может сочетаться с полимикрогирией,
гетеротопией, неправильным положением ствола мозга,
агенезией мозолистого тела.
Вариант Dandy-Walker . Широкая сообщаемость 4-го
желудочка с основной цистерной мозга, последняя увеличена в
размерах; червь и полушария мозжечка гипопластичны; 3-ий и
боковые желудочки гидроцефальны.
43. МР картина мальформации Dandy-Walker.
МР картина мальформации DandyWalker.
Кистозно расширенный 4-ый желудочек,
заполняющий большую часть объема ЗЧЯ.
Червь не определяется или резко
гипопластичен.
Полушария мозжечка раздвинуты и
уменьшены в объеме.
Мозжечковый намет расположен высоко.
3-и и боковые желудочки гидроцефальны.
44. Нарушение в формировании борозд, извилин, миграции нейронов.
Лиссэнцефалия.
Недоразвитие борозд извилин Агирия – отсутствие извилин на
поверхности мозга полная лиссэнцефалия). Пахигирия - наличие
широких и плоских извилин (неполная лиссэнцефалия).
Шизэнцефалия (агенетическая порэнцефалия).
Врожденная расщелина, обычно идущая вдоль врожденных щелей
мозга – латеральная, центральная.
Кортикальная дисплазия (полимикрогирия).
Формирование большого количества маленьких извилин.
Излюбленная локализация – Сильвиева щель.
Виды гетеротопии:
Субэпендимарная.
Фокальная (узловая).
Диффузная (лентовидная).
Смешанная.
45. гетеротопия
46. гетеротопия
47. платибазия
48. Арахноидальные кисты
49. Наиболее типичные локализации арахноидальных кист
1. киста боковой щели мозга.
2. киста конвекситальной поверхности
мозга.
3. парасагиттальная.
4. супраселлярная.
5. интраселлярная.
6. киста области вырезки мозжечкового
намета.
7. верхняя ретроцеребеллярная.
8. нижняя ретроцеребеллярная.
9. киста области мостомозжечкового угла.
50. Локализация арахноидальных кист
51. Арахноидальная киста
52. Черепно-мозговая травма
53. Черепно-мозговая травма.
ПЕРВИЧНЫЕ ПОВРЕЖДЕНИЯ ГОЛОВНОГО МОЗГА
Очаговые ушибы головного мозга.
Диффузные аксональные повреждения (ДАП).
Внутричерепные кровоизлияния (эпидуральные,
субдуральные, внутримозговые гематомы).
Травматические субарахноидальные кровоизлияния.
Внутрижелудочковые кровоизлияния.
Пневмоцефалия.
Переломы свода и основания черепа.
Огнестрельные ранения головы.
ВТОРИЧНЫЕ ПОВРЕЖДЕНИЯ.
Отек мозга.
Смещения и деформации мозга (вклинения).
Сосудистые повреждения.
СМЕРТЬ МОЗГА.
ПОСЛЕДСТВИЯ ЧМТ.
Посттравматическая локальная и диффузная атрофия мозга,
энцефаломаляция, глиоз, посттравматические энцефалоцеле
и менингоэнцефалоцеле.
54. Ушибы головного мозга по данным КТ и МРТ
Ушибы I типа.
Очаги гиперинтенсивного по Т2 и умерено
гипоинтенсивного по Т1 МР-сигнала,
однородной структуры.
Ушибы II типа.
Очаги гиперинтенсивного по Т2 и умеренно
гипоинтенсивного по Т1 МР-сигнала,
неоднородной структуры по Т1 за счет мелких
гиперинтенсивных включений.
Ушибы III типа.
Чередование очагов гиперинтенсивного по Т2
и умерено гипоинтенсивного по Т1 МР-сигнала,
однородной структуры и фокальных гематом.
Ушибы IV типа.
Внутримозговые гематомы.
55. ДАП (диффузные аксональные повреждения).
Тяжелая ЧМТ. Характерно распределение точек
максимального повреждения вдоль трактов белого
вещества головного мозга.
Локализация 2/3 очагов субкортикальная, часто лобнопарасагиттальная, височно-перивентрикулярная, менее
часто теменная и затылочная области. Вовлечение
(всегда) мозолистого тела (валик, и задние отделы
корпуса). Могут быть внутрижелудочковые геморрагии.
Травматическое повреждение таламусов и базальных
ганглиев относительно непостоянны.
Негеморрагические.
В остром периоде – наличие небольших участков отека,
через несколько дней возможно присоединение
геморрагического компонента.
Геморрагические.
мелкие внутримозговые гематомы с типичной фазовой
трансформацией.
Рентгенография черепа

Рентген черепа – это метод лучевой диагностики, который применяется для исследования костей свода и основания черепа, костей лицевого скелета и головного мозга. Рентгенологическое исследование черепа помогает поставить диагноз, решить вопрос с выбором тактики лечения и проконтролировать динамику лечебного воздействия. Рентген черепа обычно выполняется в положении лежа или сидя с фиксированной с помощью специальных приспособлений головой. Врач может назначить исследование в одной или нескольких проекциях: правой боковой, левой боковой, переднезадней, заднепередней, аксиальной, полуаксиальной, прицельной. При этом потребуется снять все металлические аксессуары с шеи и головы.
Диагностика заболеваний черепа может включать различные виды рентгенографии, которые назначаются в зависимости от клинических проявлений и истории заболевания:
- обзорная рентгенография черепа;
- прицельная рентгенография:
- рентгенография нижней челюсти;
- рентгенография костей носа;
- рентгенография глазниц;
- рентгенография турецкого седла;
- рентгенография скуловой кости;
- рентгенография сосцевидных отростков височной кости;
- рентгенография височно-нижнечелюстных суставов.
Обзорная рентгенография черепа проводится в обязательном порядке при травмах головы, с целью обнаружения переломов свода и основания черепа, смещения костных отломков. В случае высокой плотности костной ткани переломы могут быть не распознаны, поэтому рентгенологический метод уступает по точности и достоверности компьютерной томографии, но является более простым и быстрым способом диагностики.
Помимо переломов обзорный рентген черепа позволяет обнаружить:
· врожденные аномалии развития;
· признаки остеомиелита (очаги кальцификации костей);
· признаки хронической субдуральной гематомы (очаги внутричерепной кальцификации);
· обызвествленные опухоли головного мозга (менингиомы, олигодендромы);
· обменные нарушения (характерные для болезни Педжета и акромегалии);
· эндокраниоз;
· заболевания придаточных пазух носа;
· признаки внутричерепной гипертензии.
Рентгенография турецкого седла помогает обнаружить опухоли гипофиза (чаще всего пролактиному), остеопороз турецкого седла и особенности сосудистого рисунка, вызванные высоким внутричерепным давлением. На снимке оценивается форма, контуры и размеры турецкого седла. При увеличении его размеров, расширении входа в турецкое седло, появлении двухконтурности делают предположение о наличии опухоли гипофиза и продолжают диагностический поиск в указанном направлении.
Рентгенография височно-нижнечелюстных суставов помогает в диагностике артрозов, переломов суставного отростка, дисфункциональных синдромов. Исследование может выполняться при закрытом и максимально открытом рте.
Рентгенография сосцевидных отростков височной кости чаще всего востребована при гнойном мастоидите (воспалении сосцевидного отростка).
Рентгенография скуловой кости применяется для подробного исследования скуловой области, если имеются локальные боли, деформация.
Рентгенография глазниц назначается, в первую очередь, при черепно-мозговых травмах, так как часто отмечаются переломы в данной области, а также для обнаружения инородных тел глазниц или глазных яблок.
Рентгенография костей носа востребована при травмах, переломах носовых костей.
Рентгенография нижней челюсти чаще всего назначается при ее переломах и опухолях.
Кисты на МРТ головного мозга - что покажет

Киста головного мозга - это нередкое новообразование, которое врачи обнаруживают в ходе МРТ головного мозга. Локализация кисты бывает разной - в белом веществе головного мозга, в оболочке, железах. Наиболее часто по статистике кисты поражают шишковидную железу, прозрачные перегородки, промежуточный парус головного мозга, мосто-мозжечковый угол.
Проблема с диагностикой кистозных образований заключается в том, что когда они маленького размера, они не проявляют себя никакой симптоматикой. С этими молчащими кистами человек может жить и не тужить годами. Они, как правило, становятся случайными находками при томографии головного мозга и не требуют активных лечебных действий. Основная угроза, исходящая от кист, это возможность их роста. Структуры большого кистозного образования начинают сдавливать или препятствовать нормальной работе мозговых систем. Это чревато проявлением неврологической симптоматики и в крайних случаях даже угрозой жизни человека.
Арахноидальные кисты на МРТ
МРТ оболочек головного мозга может показать арахноидальные кисты. Это врожденные внемозговые объемные образования, содержащие ликвор. Клинические проявления арахноидальной кисты зависят от локализации новообразования, но зачастую ее формирование протекает бессимптомно. Поскольку данное новообразование может вызывать нарушение ликвородинамики, оно часто сопровождается гидроцефалией. Крупные арахноидальные кисты иногда начинают сдавливать соседние участки головного мозга, вызывая атрофию и болевой синдром. Такие крупные кистозные образования требуют оперативного вмешательства. И здесь МРТ головного мозга позволит не только поставить точный диагноз, но и выработать план проведения операции. Если киста имеет малые размеры, тактика её лечения будет сводиться к наблюдению. Невролог или нейрохирург в такой ситуации будет рекомендовать пациенту делать МРТ головного мозга один раз в 6 месяцев, чтобы не пропустить момент роста.
МРТ головного мозга - киста прозрачной перегородки
Киста прозрачной перегородки – это вид арахноидальной кисты, когда жидкость скапливается между пластинками прозрачной перегородки мозга. Они могут носить как приобретенный характер из-за черепно-мозговых травм или инфекций, так и врожденный характер. Поскольку эти кисты локализуются в самом безопасном месте, их появление практически никогда не сопровождается неврологической симптоматикой. В подавляющем большинстве случаев такие кисты не требует ни оперативного, ни медикаментозного лечения. Пациентам с выявленной кистой прозрачной перегородки необходимо ходить на прием к неврологу и проверять результаты свежего шестимесячного МРТ головного мозга.
| МРТ здорового головного мозга | киста на МРТ головного мозга |
МРТ головного мозга - киста шишковидной железы
Шишковидная железа - это маленькое образование в человеческом мозге размером меньше полсантиметра, которое выделяет гормоны, отвечающие за регуляцию таких важных областей жизни человека, как рост, сон и иммунитет. Поскольку эта структура головного мозга очень маленького размера, любое давление со стороны новообразования приводит к сбою в гормональных функциях - нарушается секреция мелатонина. Кроме того, увеличение кисты этой железы может перекрыть ток ликвора - внутримозговой жидкости, что приводит к сильным головным болям. Основная опасность данного кистозного образования именно в этом и заключается. Визуализировать кисту шишковидной железы можно только на МРТ головного мозга. Чаще всего её проводят с контрастом, чтобы максимально четко отобразить такие мини структуры головы. МРТ головы, помимо выявления кисты шишковидной железы, позволяет дифференцировать ее от опухолевого образования - пинеаломы.
Суммируя, хотелось бы сказать, что если МРТ показала наличие кист в головном мозге, пугаться и паниковать здесь не нужно. Если кисты маленького размера, они вряд ли составляют угрозу здоровью человека. Сама структура кисты носит доброкачественный характер, и у нее нет злокачественного потенциала. Она не перерождается в раковых клетки. Самое важное, чтобы киста не продолжила свой рост и не начала оказывать давление на соседние ткани. Именно это приводит к возникновению симптомов боли и нарушения функций головного мозга.
Дифференциальная диагностика кист на МРТ головного мозга с контрастом
У пациентов детского возраста дифференцированную диагностику кист проводят в отношении пороков развития. Пороки развития обычно проявляются недоразвитием твердой мозговой оболочки. Эта патология в изолированном виде встречается редко, обычно она сочетается с пороками развития головного и спинного мозга. Нередко такая патология у детей сопровождается дефектами черепа или расщеплением дужек позвонков с образованием грыж. В зависимости от содержимого грыжевого мешка врачи выделяют:
- менингоцеле - ТМО + ликвор
- менингоэнцефалоцеле - ТМО + ликвор + мозговая ткань
- энцефалоцистоцеле - ТМО + ликвор + мозговая ткань с частью желудочков системы
- атретическое цефалоцеле - ТМО + ликвор+фиброзная ткань + дегенеративно измененная мозговая ткань глиальная киста.
При наличии щели содержимое черепной коробки начинает выходить из мозга, образуя различные менингоцеле или кистозные пузыри с содержанием ликвора. Такие изменения можно увидеть визуально у ребенка в виде выпячивания или шишки, но доказать, какой вид аномалии, можно только при МРТ головного мозга с контрастом.
Подобные изменения также могут быть со стороны позвоночника, когда есть расщелина в дужке позвонка и имеется расщелина в твердомозговой оболочке. Тогда содержимое начинает выпячиваться в виде позвоночных кист.
Опухоли головного мозга - еще одна патология, с которой проводят дифференциальную диагностику при подозрении на кисту. Здесь также важно применение контрастирования. Именно поведение тканей головного мозга в отношении контрастного препарата покажет, является ли новообразование опухолью или кистой, а если является опухолью, то какого качества - доброкачественной или злокачественной. Кроме того, контраст помогает улучшить контрастность ткани и точнее выявить размеры опухоли, нахождения областей распространения метастазов даже очень мелкого размера - 0,5-1 мм.
Киста головного мозга снимок МРТ
| Киста прозрачной перегородки на МРТ | Арахноидальная киста на МРТ |
![]() | ![]() |
МРТ процедура головного мозга с контрастом при кистах
Никакой особой подготовки томография головного мозга с контрастам не требует и проходит она безболезненно и комфортно для обследуемого. Пациент записывается на МРТ в клинику, приходит на сканирование, в комнате для подготовки оставляет все металлические и электронные объекты, заходит в диагностический кабинет, ложится на стол томографа, лежит неподвижно в ходе сканирования и через 30-40 минут по окончании обследования получает его результаты в виде МРТ снимков и заключения врача с подробным описанием и рекомендациями. Основную работу в ходе МР-диагностики делает высокотехнологичный томограф и высококвалифицированный врач. Именно аппарат МРТ в ходе сканирования сделает около 2000 снимков с шагом сканирования в 1-2 мм, сопоставит все данные и превратит их в четкие трехмерные изображения обследуемой области. Именно опытный врач в ходе процесса расшифровки скрупулезно оценит анатомию пациента, отметит все отклонения, аномалии и даст им медицинскую интерпретацию. Данные томографии лягут в основу окончательного диагноза, который поставит Ваш лечащий врач и определит тактику лечения кисты.
Чтобы обследования на томографе прошло безопасно, пациент обязательно должен рассказать врачу обо всех имплантах, которые есть в его теле. Если обследования проводят с введением контраста, обязательно нужно сообщить, имеются ли у Вас тяжелые заболевания почек, печени или есть ли вероятность беременности. Контрастное вещество при томографии головы пациенту вводят через вену, и оно не токсично. Однако этот состав - дополнительная нагрузка для выделительной системы организма, и если человек уже имеет серьезные почечные патологии, он может вызвать нежелательные осложнения. Действие контраста на плод до конца не изучено, поэтому МРТ головного мозга с контрастным усилением в медицинских центрах Санкт-Петербурга не делают беременным женщинам без жизненно важных показаний.
Противопоказания к МРТ
При МРТ исследовании на пациента действует магнитное поле, и все абсолютные противопоказания будут связаны с этим фактом:
Магнитное поле может привести в движение объекты, которым свойственно с ним взаимодействовать, это могут быть: клипсы на сосудах, металлоконструкции в любом участке тела. Поэтому если в организме установлен имплант, пациенту нужно будет предъявить документы, в которых указан состав материала. В случае, если это неферромагнитный материал (например, титан), проведение МРТ разрешено.
Магнитное поле может повлиять на работу электронных устройств: электокардиостимуляторы, инсулиновые помпы, слуховые протезы. Если в паспорте импланта не указано, что он совместим с МРТ, необходимо подобрать альтернативный метод диагностики.
Следует отметить, что иногда проведение МРТ не возможно в следующих случаях:
Лучевая диагностика. Голова и шея. Руководство
"Лучевая диагностика. Голова и шея" входит в серию "Dx-Direct!", посвященную визуализационным методам диагностики различных органов и систем. Все книги серии построены по единой схеме, которая предусматривает обзор важнейших заболеваний и патологических состояний с кратким описанием их этиологии, патогенеза и клинических проявлений, тактики лечения и прогноза.
В каждом разделе подробно представлены визуализационные методы инструментальной диагностики (рентгеновское исследование, УЗИ, КТ, МРТ и т.п.), необходимые проекции и режимы для диагностики той или иной патологии, радиологические симптомы, дифференциальная диагностика.
Практическое руководство "Лучевая диагностика. Голова и шея" будет полезно врачам-рентгенологам, неврологам, отоларингологам, а также студентам, клиническим ординаторам, аспирантам медицинских вузов и факультетов.
Содержание
1. Основание черепа М.Конен, Ф.Энгельбрехт
Лобный гиперостоз
Киста паутинной оболочки
(Эн)цефалоцеле
Фиброзная остеодисплазия
Эозинофильная гранулема
Менингиома
Хордома ската черепа
Эстезионейробластома
2. Пирамида височной кости М.Конен
Пневматизация верхушки пирамиды височной кости
Отосклероз, или отоспонгиоз
Аномалии пирамиды височной кости
Переломы пирамиды височной кости
Поражение лицевого нерва
Средний отит
Холестеатома
Шваннома преддверно-улиткового нерва
Параганглиома, опухоль гломуса
Рабдомиосаркома
3. Глазница М.Конен, Ф.Энгельбрехт
Эндокринная офтальмопатия
Поднадкостничный абсцесс
Ложная опухоль глазницы
Неврит зрительного нерва
Гемангиома глазницы
Глиома зрительного нерва
Ретинобластома
Меланома сетчатки
Менингиома зрительного нерва
Лимфома глазницы
Метастазы в верхушку глазницы
4. Придаточные пазухи носа М.Конен
Варианты нормы
Переломы костей средней зоны лица
Синусит, полипоз
Послеоперационный период
Ретроназальный полип
Мукоцеле
Грибковая инфекция
Гранулематоз Вегенера
Ангиофиброма носоглотки
Инвертированная папиллома
Злокачественные эпителиальные опухоли
Неходжкинская лимфома
5. Глотка Б.Фриц
Киста Торнвальдта
Спондилодисцит
Перитонзиллярный абсцесс
Окологлоточный абсцесс
Рак глотки
Лимфома миндалин
6. Гортань К.Андерсен
Нормальные показатели
Ларингоцеле
Дивертикул Ценкера
Отек гортани
Перелом щитовидного хряща
Предпозвоночный абсцесс шейного отдела позвоночника
Рак надскладочного отдела гортани
Рак голосовых складок
7. Полость рта Б.Фриц
Неодонтогенная киста
Щитовидно-язычная киста
Односторонняя атрофия мышц
Одонтогенная киста
Абсцесс полости рта
Остеомиелит нижней челюсти
Амелобластома
Рак языка
Рак дна полости рта
8. Слюнные железы К.Андерсен
Нормальные показатели
Варианты развития слюнных желез
Опухоль Уортина
Ранула
Сиалолитиаз, сиаладенит
Синдром Шегрена
Абсцесс слюнной железы
Полиморфная аденома
Лимфома слюнных желез
Рак слюнных желез
9. Мягкие ткани шеи
Б.Фриц
Бранхиогенная киста
Гематома шеи
Тромбоз яремной вены
Аневризма, расслоение внутренней сонной артерии
Абсцесс шеи, флегмона
Лимфогенная киста шеи
Гемангиома
Аденома паращитовидной железы
Зоб (многоузловой, диффузный)
Рак щитовидной железы
Ятрогенные изменения
10. Лимфатические узлы К.Андерсен
Нормальные показатели
Шейный лимфаденит
Туберкулез
Лимфома
Метастазы
ГМ. Черепно-мозговые грыжи 1. +
Врожденным пороком развития являются черепно-мозговые грыжи, которые встречаются с частотой 1:4000-5000 новорожденных. Эта форма порока развития формируется на 4-м месяце внутриутробного развития. Она представляет собой грыжевое выпячивание в области костного дефекта, который может быть различным по своему размеру и форме. Локализуются грыжи обычно в местах соединения костей черепа: между лобными костями, у корня носа, около внутреннего угла глаза (передние грыжи), в области соединения теменных костей и затылочной кости (задние грыжи). Чаще других встречаются передние черепно-мозговые грыжи. По локализации наружного отверстия грыжевого канала они дифференцируются на носолобные, носорешетчатые и носоглазничные. Задние черепно-мозговые грыжи разделяются на верхние и нижние в зависимости от того, где расположен дефект в затылочной области: выше или ниже затылочного бугра. Кроме названных вариантов черепно-мозговых грыж, иногда выявляются так называемые базальные грыжи, при которых имеется дефект костей основания черепа на дне передней или средней черепных ямок, и грыжевой мешок выпячивается в полость носа или носоглотки. Редко встречаются черепно-мозговые грыжи в области сагиттального шва.
Основными формами черепно-мозговых грыж являются: 1) менингоцеле, при которой грыжевой мешок представлен кожей и измененными мягкой и паутинными оболочками, твердая мозговая оболочка обычно не принимает участия в образовании грыжевого выпячивания, а фиксируется к краям дефекта кости; содержимым грыжевого мешка при этом является ЦСЖ; 2) ме-нингоэнцефалоцеле - грыжевой мешок составляют те же ткани, а содержимое его, кроме ЦСЖ, составляет и ткань мозга; 3) менингоэнцефалоцистоцеле - грыжевое выпячивание, в которое, кроме тех же тканей, вовлекается и часть расширенного желудочка мозга. Из перечисленных трех форм черепно-мозговых грыж чаше встречается менингоэнцефалоце-ле, нередко именуемое как энцефалоцеле. При гистологическом изучении грыжевого мешка и его содержимого выявляются утолщение и уплотнение (фиброз) мягкой и паутинной оболочек, резкая атрофия и перерождение оказавшейся в грыжевом мешке мозговой ткани.
Поверхность грыжевого выпячивания может быть покрыта неизмененной кожей или истонченной, рубцово-измененной кожей, имеющей синеватую окраску. Иногда уже при рождении ребенка в центре грыжи имеется ликворный свищ. Нередко в первые годы жизни ребенка размеры грыжевого выпячивания значительно увеличиваются, при этом его кожные покровы истончаются и изъязвляются. Возможен и разрыв грыжевого мешка с массивной ликвореей, опасной для жизни. К тому же изъязвления на поверхности грыжевого мешка и ликворные свищи зачатую инфицируются, что может обусловить развитие гнойного менинигоэнцефалита. Грыжевое выпячивание бывает на ножке (заужено в основании) или же имеет широкое основание. В последнем случае оно нередко пульсирует, а при натуживании ребенка - напрягается. При пальпации грыжевое выпячивание может быть различной плотности, эластичным, флюктуирующим.
Передние черепно-мозговые грыжи вызывают обезображивание лица, деформацию глазниц, носа, при этом нередко отмечаются уплощенная широкая переносица, неправильное расположение глазных яблок, нарушение бинокулярного зрения. При назоорбитальных грыжах, как правило, выявляются деформация и непроходимость слезно-носового канала, часто развиваются конъюнктивит, дакриоцистит. Базальные черепно-мозговые грыжи, располагающиеся в полости носа или носоглотки, по внешнему виду напоминают полипы. Если грыжевой мешок находится в одной половине носа, возникает искривление носовой перегородки; при этом дыхание затруднено, речь невнятная с носовым оттенком.
Очень крупные менингоэнцефалоцеле (есть описание передней черепно-мозговой грыжи диаметром 40 см) обычно сопровождаются выраженной мозговой патологией, и новорожденные в таких случаях оказываются нежизнеспособными. Судьба остальных больных, как правило, зависит от размеров и содержимого грыжевого выпячивания, а также возможности оперативного лечения этого порока развития. Дети нередко испытывают головную боль, головокружение. Очаговая мозговая симптоматика может отс>тствовать или быть умеренно выраженной, однако возможны и очаговые неврологические симптомы, в частности центральные парезы, гиперкинезы, расстройства координации движений и пр., признаки недостаточности функций черепных нервов (I, II, VI, VII, VIII, XII). Возможны эпилептические пароксизмы, отставание умственного развития.
Черепно-мозговые грыжи могут сочетаться с другими врожденными аномалиями: микроцефалией, краниостенозом, гидроцефалией, микрофтальмией, эпикантусом, врожденным птозом верхнего века, аномалией развития сетчатой оболочки глаза и зрительных нервов, колобомами (дефекты тканей глазного яблока), врожденным гидрофтальмом, краниоспинальными аномалиями, расщеплением дужек позвонков.
Читайте также:


