Частота мезентерального тромбоза. Клиника
Добавил пользователь Евгений Кузнецов Обновлено: 13.12.2025
Тромбоз мезентериальных сосудов. Клиника тромбоза мезентериальных сосудов
Острые нарушения мезентериального кровообращения наблюдаются преимущественно у лиц среднего и пожилого возраста. Основные виды нарушений — эмболия, тромбоз артерий, тромбоз вен, неокклюзионный. Различают три да течения болезни: 1) с последующей компенсацией кровотока; 2) с последующей субкомпенсацией кровотока; 3) с декомпенсацией кровотока. При нарушениях с декомпенсацией мезентериального кровообращения формируется инфаркт кишечника.
Неокклюзионные нарушения мезентериального кровообращения происходят на уровне микроциркуляторного русла кишечной стенки и могут возникать на Лоне острых кишечных инфекций, шока, инфаркта миокарда и др. В части случаев наблюдается сочетание окклюзионных и неокклюзионных механизмов нарушений мезентериального кровообращения. Локализация и протяженность инфаркта кишечника обусловлены видом нарушенного кровотока, калибром брыжеечного сосуда, уровнем окклюзии, развитием коллатеральных путей компенсации кровотока.
При локализации окклюзии в верхнем сегменте верхней брыжеечной артерии развивается тромбоз всей тонкой и толстой кишки справа. Если закупорка расположена в среднем или нижнем сегменте артерии, то тромбоз охватывает подвздошную и слепую кишку. Тромбоз нижней брыжеечной артерии приводит чаще к поражению ободочной и сигмовидной кишки. Тромбоз воротной и верхней брыжеечной вены сопровождается некрозом только тонкой кишки.
Клиническая картина болезни обусловлена стадией заболевания: I стадия (ишемия) — обратимая и характеризуется рефлекторными и гемодинамическими нарушениями; во II стадии (инфаркт) присоединяются интоксикация и локальные изменения брюшной полости; в III стадии (перитонит) отмечаются выраженная интоксикация, гемодинамические расстройства и перитонеальные явления.

Ангиография при мезентриальном тромбозе
По мнению Г.Ф. Ланга (1957) и Е.И.Чазова (1966), у некоторых больных до начала заболевания появляются предвестники, напоминающие предынфарктное состояние. Характерны приступы острой боли в области живота, возникающей время от времени наподобие кризов. Последние развиваются вследствие выраженного спазма сосудов брюшной полости и образования в них мелких тромбов. Такая "абдоминальная ангина", или "брюшная жаба", - предвестник обширной окклюзии брыжеечных сосудов.
Клиническая картина тромбоза мезентериальных сосудов заивисит от калибра и локализации закупоренного сосуда. Заболевание часто начинается остро и протекает бурно, однако возможно и постепенное его развитие Характерна интенсивная боль в области живота, часто невыносимая. Боль иногда бывает схваткообразной, He чаще носит постоянный характер. Локализация боли часто неопределенная. Развитие артериального тромбоза мезентериальных сосудов происходит в течение 1 сут венозный тромбоз формируется более медленно — в течение 2—5 дней.
Довольно рано возникает рвота. В 1-е сутки в рвотных массах видна примесь желчи. Позднее рвота приобретает каловый запах. При тромбозе верхней брыжеечной артерии в рвотных массах имеется примесь крови. Однако рвота при тромбозе мезентериальных сосудов не бывает столь частой и обильной, как при пищевой токсикоинфекции; стул нередко становится жидким, что обусловлено бурной перистальтикой кишечника в начальном периоде болезни.
Во 2-м периоде болезни понос сменяется запором в результате глубоких деструктивных изменений в стенке кишечника. Нередко при тромбозе нижней брыжеечной артерии в кале имеется примесь крови, однако массивные кишечные кровотечения для тромбоза мезентериальных сосудов не характерны. Иногда могут наблюдаться тенезмы, что нередко симулирует острую дизентерию. Скопление крови в петлях кишечника может привести к появлению тестообразной припухлости между пупком и лобком (симптом Мондора).
Иногда болевой синдром сопровождается развитием шока. Этому способствует перемещение значительной части крови в сосуды брюшной полости. Очень показательно поведение больных: они кричат от боли, просят оказать им помощь, не находят себе места. При осмотре отмечаются резкая бледность кожного покрова, цианоз. При высоких окклюзиях верхней брыжеечной артерии АД повышается на 60—80 мм рт.ст. (симптом Блинова), иногда определяется брадикардия. В стадии инфаркта отмечается уменьшение боли в области живота, поведение больных становится более спокойным. Рвота продолжается, стул жидкий лишь У половины больных, у остальных — запор.
Живот при пальпации умеренно вздут, мягкий, болезненность выражена неярко, мышечная защита отсутствует, симптом Щеткина отрицательный, однако на этом фоне происходит быстрое нарастание лейкоцитоза периферической крови (20,0—40,0*10 9 /л). Спустя несколько часов в соответствии с зонами инфаркта кишечника появляется локальная болезненность при пальпации живота. Развивается перитонит, имеющий ряд особенностей:
- более позднее возникновение мышечной защиты;
- более позднее появление симптома Щеткина;
- воспалительный процесс, как правило, начинается внизу;
- понос сменяется задержкой стула и газов из-за пареза кишечника.
Информация на сайте подлежит консультации лечащим врачом и не заменяет очной консультации с ним.
См. подробнее в пользовательском соглашении.
Острый мезентериальный тромбоз
Мезентериальный тромбоз - это острое нарушение кровообращения в брыжеечных сосудах, возникающее вследствие эмболии или тромбоза брыжеечных артерий и вен. Распространенность мезентериального тромбоза. При мезентериальном тромбозе чаще всего поражается верхняя брыжеечная артерия (85-90%), намного реже поражается нижняя брыжеечная артерия (10-15%).
Данное заболевание встречается у мужчин и женщин примерно с одинаковой частотой. Тромбоз и эмболия мезентериальных сосудов развивается преимущественно в среднем и пожилом возрасте.
Этиология мезентериального тромбоза. Главными причинами развития мезентериального тромбоза являются заболевания сердца, приводящие к образованию тромбов - инфаркт миокарда, ревматические пороки, нарушения ритма, кардиосклероз, эндокардит. Кроме того очень часто к эмболии брыжеечных артерий приводит атеросклероз, при котором на стенках артерий образуются атеросклеротические бляшки. При отрыве этих бляшек возможна эмболия мезенетериальных артерий. Тромбоз мезентериальных вен возникает при портальной гипертензии, наличии гнойных процессов в брюшной полости (пилефлебит), сепсисе, травмах, сдавлении сосудов новообразованиями.
Клинические проявления мезентериального тромбоза.
1. Первым симптомом тромбоза и эмболии мезентериальных сосудов является резкая, интенсивная боль. Локализация болей зависит от уровня поражения брыжеечных сосудов. При поражении основного ствола верхней брыжеечной артерии боли чаще всего определяются в области. При поражении подвздошно-ободочной артерии боли локализуются в правой подвздошной области. В этом случае мезентериальный тромбоз необходимо дифференцировать с острым аппендицитом. При тромбозе и эмболии нижней брыжеечной артерии характерно появление болей в левой подвздошной области. Боли при данной патологии чаще всего постоянные, имеют интенсивный характер. Иногда боли имеют схваткообразный характер. В этом случае мезентериальный тромбоз можно спутать с острой кишечной непроходимостью, или же с кишечной коликой.
2. Вторым по частоте симптомом у больных с мезентериальным тромбозом является тошнота, иногда переходящая в рвоту. Тошнота и рвота встречается более чем у 50% больных с данной патологией.
3. При мезентериальном тромбозе возможен жидкий стул, иногда с примесью крови.
4. Тахикардия.
5. В начале заболевания температура тела будет нормальной. При развитии некроза кишечника температура может повышаться до 38 и более градусов.
6. По мере развития заболевания начинает развиваться клиническая картина паралитической кишечной непроходимости. При этом будет наблюдаться вздутие живота, отсутствие перистальтики, задержка стула, возможна рвота.
Лечение мезентериального тромбоза.
Необходимо помнить, что развитие мезентериального тромбоза угрожает жизни больного. Поэтому, чем раньше будет поставлен правильный диагноз, тем больше шансов спасти жизнь больному.
Наиболее целесообразно применение хирургической тактики лечения. Опреция проводится под эндотрахеальным наркозом. При отсутствии некроза кишечника возможно применение эндартерэктомии, эмболэктомии, протезирования брыжеечных артерий. В случае запущенности процесса развивается некроз кишечника, и в этом случае необходимо выполнить резекцию некротизированного участка кишки.
В качестве консервативной терапии применяется:
1. Парентеральное введение антикоагулянтов (Гепарин). Антикоагулянтную терапию необходимо проводить под контролем МНО, протромбинового индекса.
2. Парентеральное введение дезагрегантов (Реополиглюкин, Трентал, Гемодез)
Прогноз при мезентериальном тромбозе.
Летальность при этом заболевании может достигать 70-90%.
Некроз тонкого кишечника при остром тромбозе верхней брыжеечной артерии. Операция по резекции прожженного участка.
Острая мезентериальная ишемия
Острая мезентериальная ишемия — это внезапная блокада кровотока к части кишечника, которая может привести к гангрене и перфорации (пункции).
Внезапно развивается сильная боль в животе.
Может быть выполнена ангиография.
Требуется немедленное лечение с помощью ангиографии или хирургического вмешательства.
Острая мезентериальная ишемия может возникнуть по многим причинам. Наиболее распространенными являются
Артериальная эмболия представляет собой кровяной сгусток или часть атеросклеротической бляшки (образование холестерина и других жировых масс в артерии), которая перемещается из места образования в сердце или аорте и закупоривает небольшие артерии (в данном случае, в кишечнике).
Артериальный тромб является кровяным сгустком, спонтанно формирующимся в артериях или венах, включая те, что находятся в кишечнике, блокирующим кровоток.
Иногда ток блокируется не полностью, но является слишком слабым из-за недостаточного выброса крови из сердца (как при сердечной недостаточности Сердечная недостаточность (СН) Сердечная недостаточность представляет собой нарушение, при котором сердце не способно удовлетворить потребности организма, что приводит к уменьшению кровотока, скоплению (застою) крови в венах. Прочитайте дополнительные сведенияБлокада кровотока больше чем на 6 часов может привести к отмиранию пораженной зоны кишечника, что позволяет кишечным бактериям распространиться по организму человека. При отмирании кишечника могут наступить шок, функциональная недостаточность органов и летальный исход.
Симптомы острой мезентериальной ишемии
Сначала человек чувствует сильную боль в животе Острая боль в животе Боль в животе является распространенной и часто легкой. Однако внезапная сильная боль в животе почти всегда указывает на значительную проблему. Боль может быть единственным признаком необходимости. Прочитайте дополнительные сведения , обычно развившуюся внезапно, однако когда врач надавливает на брюшную полость в ходе осмотра, возникает лишь небольшая боль (в отличие от таких расстройств, как аппендицит или дивертикулит, при которых давление значительно усиливает боль). Позднее, по мере отмирания кишечника, осмотр врачом брюшной полости вызывает более тяжелую боль.
Диагностика острой мезентериальной ишемии
Компьютерная томографическая (КТ) ангиография
Если у человека присутствуют типичные симптомы острой брыжейной ишемии, или если брюшная полость очень болезненная, врачи обычно немедленно направляют его для хирургического вмешательства.
Если диагноз острой мезентериальной ишемии неясен, врачи проводят КТ ангиографию КТ-ангиография При проведении компьютерной томографии (КТ), ранее называемой компьютерной аксиальной томографией (КАТ), рентгеновский источник и рентгеновский детектор вращаются вокруг пациента. В современных. Прочитайте дополнительные сведения Как вариант, можно провести рентгенографию Простые рентгенограммы Рентгеновские лучи — это излучение высокой энергии, которое может проникать в большинство веществ (с различной степенью). Используемое в очень низких дозах рентгеновское излучение генерирует. Прочитайте дополнительные сведения или магнитно-резонансную томографию Магнитно-резонансная томография (МРТ) При проведении магнитно-резонансной томографии (МРТ) используется сильное магнитное поле и радиоволны очень высокой частоты для получения изображений с высоким разрешением. МРТ не использует. Прочитайте дополнительные сведенияПрогноз при острой мезентериальной ишемии
Если врач может рано поставить диагноз и начать лечение, обычно наступает выздоровление. Если диагноз не поставлен или лечение не начато до того, как часть пораженного кишечника отомрет, 70-90 % людей умирают. Если практически вся тонкая кишка отмирает или удалена, человек не выживает.
Лечение острой мезентериальной ишемии
Препараты для предотвращения образования сгустков крови
Если диагноз мезентериальной ишемии ставится в ходе хирургического вмешательства, иногда удается удалить или шунтировать блокаду кровеносного сосуда, но иногда приходится удалять пораженный кишечник.
Если мезентериальная ишемия диагностируется в ходе КТ ангиографии, врачи могут попытаться облегчить закупорку кровеносных сосудов, используя ангиографию. При ангиографии небольшая гибкая трубка (катетер) проводится через артерию в пахе в артерии в кишечнике. Если закупорка обнаруживается в ходе ангиографии, иногда ее можно устранить посредством инъекции определенных препаратов, отсасывания сгустка крови, используя специальный катетер для ангиографии, или надувая небольшой баллон внутри артерии, чтобы расширить ее и затем вставляя небольшую трубку или изготовленную сетку (стент), чтобы держать артерию в открытом состоянии. Если врачи не могут успешно устранить закупорку, используя эти процедуры, человеку требуется хирургическое вмешательство для устранения закупорки или удаления пораженной части кишечника.
После восстановления многие люди должны принимать лекарственный препарат, чтобы помочь предотвратить свертывание крови.
ПРИМЕЧАНИЕ: Это — пользовательская версия ВРАЧИ: Нажмите здесь, чтобы перейти к профессиональной версии
Авторское право © 2022 Merck & Co., Inc., Rahway, NJ, США и ее аффилированные лица. Все права сохранены.
Абдоминальная ишемия - диагностика и лечение

Абдоминальная ишемия (мезентериальный тромбоз, острая ишемия кишечника, недостаточность кровообращения кишки) возникает, когда кровоток через артерии, которые снабжают кровью кишечник, замедляется или останавливается. Такое состояние имеет много потенциальных причин, в том числе закупорка артерии тромбом или сужение артерии из-за развития холестериновых бляшек. Закупорки также могут возникать в венах, но они менее распространены.
Независимо от причины, снижение кровотока в желудочно-кишечный тракт оставляет ткани без достаточного количества кислорода, что вызывает нарушение функции клеток и их гибель. Если повреждения кишечной стенки достаточно серьезные, то развивается гангрена кишечника с последующим его разрывом (перфорация) с исходом в каловый перитонит и смерть.
Спасти человека с мезентериальным тромбозом можно только при своевременной правильной диагностике, с последующим удалением тромба и оценкой жизнеспособности кишки. При обычном симптоматическом лечении летальность достигает 99%, при операции по удалению кишки - 80%, при своевременном удалении тромба и контролем за кишкой - 25%.
Подход к лечению в Инновационном сосудистом центре
Своевременная диагностика мезентериальной ишемии позволяет провести адекватное лечение и сохранить человеку жизнь. В нашей клинике при подозрении на мезентериальную ишемии экстренно выполняется ангиография и удаление тромба из артерий кишечника. Только такое лечение дает пациенту шанс остаться в живых. Если прошло достаточно много времени от начала заболевания, то выполняется восстановление кровообращения и лапароскопия, которая позволяет определить необходимость в удалении омертвевших участков кишки. Без лечения погибают все пациенты. С лечением удается спасти больше половины.
Причины острой ишемии кишечника
- Атеросклероз артерий кишечника может привести к их тромбозу с последующим развитием мезентериальной ишемии. При наличии признаков ишемической болезни сердца, атеросклеротических поражений артерий ног у пациента можно подразумевать системный атеросклероз и соответственно иметь ввиду риск абдоминальной ишемии.
- Высокое или низкое артериальное давление повышает риск развития мезентериального тромбоза и ишемии кишечника
- Сердечная недостаточность и мерцательная аритмия повышают риск эмболии артерий кишечника (перенос тромба из сердца в артерии) и развития острой кишечной ишемии.
- Повышенная свертываемость крови при тромбофилиях, серповидно-клеточной анемии и антифосфолипидном синдроме.
- Употребление кокаина и метамфетамина может вызывать спазм кишечных сосудов и ишемию кишечника.
Клинические формы мезентериального тромбоза
- Тромбоз сосудов толстой кишки (ишемический колит)
Этот наиболее распространенный вариант ишемии кишечника возникает при уменьшении притока крови к толстой кишке. Чаще всего наблюдается у людей старше 60 лет, хотя может развиться в любом возрасте. Признаками и симптомами ишемии толстой кишки являются кровотечения из заднего прохода и внезапно появившиеся спастические боли в животе.
Этот тип ишемии кишечника, как правило связан с блокированием кровотока в верхней брыжеечной артерии. Он отличается резким началом. Беспокоят сильные боли в животе, тошнота, рвота. Состояние прогрессивно ухудшается и в ближайшие дни наступает гибель пациента.
- Хроническая недостаточность кровоснабжения кишечника
Хроническая абдоминальная (мезентериальная) ишемия иногда называется кишечной стенокардией (брюшная жаба). Развивается в результате развития атеросклеротических бляшек в артериях кишечника. Процесс этот развивается медленно, жалобы носят характер расстройств пищеварения, спазмов в кишечнике. Потенциально опасным осложнением хронической мезентериальной ишемии является развитие тромбов в пораженных артериях, которые блокируют кровоток и вызывают острую абдоминальную ишемию.
Развивается при тромбозе брыжеечных вен на фоне различных заболеваний органов брюшной полости. При закупорке кишечных вен кровь застаивается в кишечнике, вызывая отеки кишки и кровоточивость слизистой оболочки. Полный блок венозного оттока приводит к гибели участков кишки с развитием перитонита.
Осложнения мезентериального тромбоза
- Гангрена кишки. Если приток крови в кишечник полностью блокирован, то развивается его гибель.
- Перфорация. Омертвевший участок кишки может разорваться. В результате этого содержимое кишечника изливается в брюшную полость, вызывая инфекционный процесс в брюшине (перитонит).
- Рубцовые изменения в стенке кишки. Иногда эти грозные осложнения не развиваются, но поврежденная стенка кишки замещается рубцом, вызывающим сужение кишечной трубки и развитие кишечной непроходимости.
Прогноз при мезентериальной ишемии
Большинство пациентов погибает в течение 2-5 суток с момента начала заболевания, если кровообращение в кишечнике не было восстановлено в ближайшие 6 часов.
При венозном мезентериальном тромбозе возможно постепенное выздоровление, с частичным рубцеванием кишки и развитием хронических энтериитов и колитов. Однако летальность так же высока.
При сегментарном (частичном) мезентериальном тромбозе пациент может выжить, если кишка припаяется к другим органам и не наступит ее перфорация с перитонитом, однако вероятность такого исхода очень небольшая. В последующем у больного может развиться кишечная непроходимость из-за рубцевания погибшей кишки.
При своевременном восстановлении кишечного кровотока с помощью методов эндоваскулярной хирургии (тромбэктомия, тромболизис, ангиопластика) - вероятность выздоровления повышается до 75%. Однако даже успешное восстановление кровотока требует обязательного наблюдения за состоянием кишечника. Необходимо в течение первых суток выполнить диагностическую лапароскопию, которую можно повторить и в следующие сутки.
При гибели участков кишки необходимо выполнить их удаление во время лапаротомии (открытая операция через живот). Иногда приходится удалять большие по протяженности участки кишки, но это необходимо, так как мертвые и сомнительно-жизнеспособные участки кишки могут распадаться с истечением кишечного содержимого в брюшную полость и развитием гнойного перитонита.
После резекции больших участков кишки может развиться синдром мальабсорбции (нарушения всасывания пищи), что приводит к значительному похуданию пациента, частым поносам и другим кишечным расстройствам. Поэтому наиболее важным в лечении мезентериального тромбоза является восстановление кровообращения в кишечнике, с целью уменьшить размеры его омертвения.
Преимущества лечения в клинике
Диагностика
![УЗИ картина закупорки верхней брыжеечной артерии]()
Жалобы
При возникновении острого нарушения кровотока по кишечнику у пациента развиваются сильнейшие боли в животе. Боли носят схваткообразный характер. и первые 2-3 часа остаются очень интенсивными. Живот в это время не вздут, перистальтика (кишечные шумы) резко ослаблена, при пальпации живот слегка болезненный, но не напряженный.
Затем постепенно боли уменьшаются, но появляется симптоматика общей интоксикации - повышение частоты сердечных сокращений, появление жажды. На этой стадии начинается вздутие живота. Это стадия гибели кишечника, но еще без перфораций.
Терминальная стадия абдоминальной ишемии характеризуется вздутием живота, отсутствием перистальтики, болезненностью во всех отделах живота с выявлением напряжения при пальпации. Отмечается высокая частота пульса, низкое артериальное давление, отсутствие мочеиспускания и одышка. На фоне этих симптомов неминуемо наступает смерть.
УЗИ брюшной аорты
Своевременная диагностика является залогом успеха в лечении абдоминальной ишемии, но она очень сложна. Учитывая, что возможность спасти жизнь при этой патологии имеется только в первые часы заболевания диагностика должна быть срочной и точной. Мезентриальный тромбоз можно спутать с любым острым заболеванием брюшной полости. Диагноз ставится методом исключения. В первую очередь необходимо исключить прободную язву, острый панкреатит, кишечную непроходимость. Наличие у пациента мерцательной аритмии, инфарктов в анамнезе, атеросклероза нижних конечностей позволяют предположить мезентериальный тромбоз. После исключения острых заболеваний брюшной полости проводятся специфические исследования для диагностики непроходимости сосудов брыжейки.
УЗИ брюшной аорты позволяет выявить тромбоз брыжеечной артерии или чревного ствола. Преимуществом метода является его быстрая доступность и отсутствие осложнений. Брюшная аорта осматривается в продольном и в поперечном срезе в режиме цветового картирования. Определяется скорость кровотока по аорте и ее ветвям. Метод обладает достаточно высокой чувствительностью, но его результаты зависят от опыта врача, проводящего исследование и правильной интерпретации полученных данных.
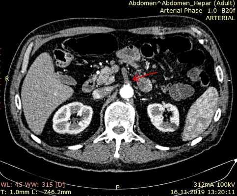
![МСКТ ангиография при остром тромбозе верхней брыжеечной артерии]()
Мультиспиральная компьютерная томография с ангиографией
Мультиспиральная компьютерная томография аорты и ее ветвей позволяет точно оценить состоянии брыжеечных сосудов и помочь правильной постановке диагноза. Признаками острой мезентериальной непроходимости является отсутствие контрастирования брыжеечных артерий со слабым развитием коллатеральных сетей кровообращения. При соответствующих жалобах и клинической картине компьютерная томография позволяет поставить точный диагноз в большинстве случаев мезентериального тромбоза. Требуется внутривенное введение контраста и детальный анализ полученных изображений.
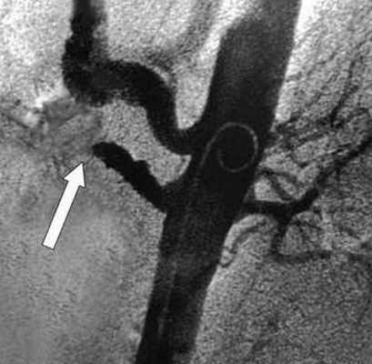
![Ангиография позволяет поставить точный диагноз и выполнить вмешательство по восстановлению кровообращения]()
Рентгеновская ангиография
Метода введения контрастного вещества непосредственно в интересующие артерии. Проводится через доступ к артериям на руке или на ноге. Позволяет прицельно изучить проходимость брыжеечных артерий и одновременно выполнить вмешательство по восстановлению проходимости закупоренной артерии. Ренгтеноангиография выступает диагностическим и лечебным методом одновременно. С помощью специальных катетеров и инструментов возможно проведение рассасывания тромбов (тромболизиса) или его удаления - тромбэктомии.
Украинский журнал хирургии 1 (36) 2018
Клинический случай лечения сегментарного мезентериального тромбоза с картиной острого желудочно-кишечного кровотечения

Авторы: Бойко В.В., Макаров В.В., Лазирский В.А., Биленко И.А., Гуляева Д.Ю.
ГУ «Институт общей и неотложной хирургии им. В.Т. Зайцева НАМН Украины», г. Харьков, Украина
Версия для печати
У статті надано опис клінічного випадку хворої з гострим артеріальним мезентеріальним тромбозом у басейні верхньої брижової артерії. З клінікою гострої шлунково-кишкової кровотечі хвора була госпіталізована в ДУ «Інститут загальної та невідкладної хірургії ім. В.Т. Зайцева НАМН України» в ургентному порядку. Виконано фіброгастродуоденоскопію: в шлунку велика кількість «кавової гущі». Після зрошення амінокапроновою кислотою в тілі шлунка визначається кілька фіксованих згустків крові. Ознак продовження кровотечі не виявлено. На 2-гу добу на тлі стабільного стану клінічно був запідозрений тромбоз мезентеріальних судин. Прийнято рішення про оперативне лікування в ургентному порядку. Інтраопераційно: в черевній порожнині до 1,5 л темної крові. При ревізії було виявлено сегментарний мезентеріальний тромбоз в басейні верхньої брижової артерії з некрозом тонкої кишки протяжністю 5 см від зв’язки Трейтца до 80 см від ілеоцекального кута. Петлі тонкої кишки чорного і багряно-синюшного кольору, сероза набрякла, судини брижі не пульсують, перистальтика відсутня. Корінь брижі тонкої кишки імбібований кров’ю з дифузною кровотечею з брижі. Відзначена підвищена кровоточивість усіх тканин. Виконані резекція тонкої кишки, єюноілеоанастомоз бік у бік, трансназальна інтубація тонкої кишки за зону анастомозу, санація і дренування черевної порожнини за Петровим. У післяопераційному періоді відзначено протягом 4 діб надходження до 800,0 мл/сут серозно-геморагічного випоту. Післяопераційний період перебігав без ускладнень. Хвора в задовільному стані виписана. Таким чином, при підозрі на гостре порушення мезентеріального кровотоку у пацієнтів похилого та старечого віку, на нашу думку, показана активна діагностична та хірургічна тактика, що підвищує відсоток виживання хворих даної категорії.
В статье приведено описание клинического случая больной с острым артериальным мезентериальным тромбозом в бассейне верхней брыжеечной артерии. С клиникой острого желудочно-кишечного кровотечения больная была доставлена в ГУ «Институт общей и неотложной хирургии им. В.Т. Зайцева НАМН Украины» в ургентном порядке. Выполнена фиброгастродуоденоскопия: в желудке большое количество «кофейной гущи». После орошения аминокапроновой кислотой в теле желудка определяется несколько фиксированных сгустков крови. Признаков продолжающегося кровотечения не выявлено. На 2-е сутки на фоне стабильного состояния клинически был заподозрен тромбоз мезентериальных сосудов. Принято решение об оперативном лечении в ургентном порядке. Интраоперационно: в брюшной полости до 1,5 л темной крови. При ревизии был выявлен сегментарный мезентериальный тромбоз в бассейне верхней брыжеечной артерии с некрозом тощей кишки протяженностью 5 см от связки Трейтца до 80 см от илеоцекального угла. Петли тонкой кишки черного и багрово-синюшного цвета, сероза отечная, сосуды брыжейки не пульсируют, перистальтика отсутствует. Корень брыжейки тощей кишки имбибирован кровью с диффузным кровотечением из брыжейки. Отмечена повышенная кровоточивость всех тканей. Выполнены резекция тощей кишки, еюноилеоанастомоз бок в бок, трансназальная интубация тонкой кишки за зону анастомоза, санация и дренирование брюшной полости по Петрову. В послеоперационном периоде отмечено в течение 4 суток поступление до 800,0 мл/сут серозно-геморрагического выпота. Послеоперационный период протекал без осложнений. Больная в удовлетворительном состоянии выписана. Таким образом, при подозрении на острое нарушение мезентериального кровотока у пациентов пожилого и старческого возраста, по нашему мнению, показана активная диагностическая и хирургическая тактика, что повышает процент выживаемости больных данной категории.
The article describes the clinical case of a patient with acute mesenterial thrombosis in superior mesenteric artery bed. With a clinical picture of acute gastrointestinal bleeding, the patient was promptly delivered to the hospital. Gastroscopy is carried out: there is a large number of “coffee grounds” in the stomach. After irrigation with aminocaproic acid, several fixed blood clots are detected in the stomach. Signs of ongoing bleeding have not been revealed. On day 2, with a stable condition, thrombosis of mesenteric vessels was clinically suspected. A decision was made on urgent surgical treatment. Intraoperatively: up to 1.5 l of dark blood in the abdominal cavity. The revision revealed segmental mesenteric thrombosis in the circulation of the superior mesenteric artery with intestinal necrosis extending 5 cm from ligament of Treitz to 80 cm from the ileocecal angle. The loops of the small intestine are black and purple-bluish, serosa is edematous, mesenteric vessels does not pulsate, there is no peristalsis. The root of the mesentery is blood-immobilized with diffuse bleeding from the mesentery. Increased bleeding in all tissues is noted. The resection of the colon was performed, jejuno-ileal side-to-side anastomosis, the transnasal intubation of the small intestine behind the anastomosis zone, the sanation and drainage of the abdominal cavity according to Petrov were done. In the postoperative period, 800.0 ml/day of serous hemorrhagic effusion was noted within 4 days. The postoperative period proceeded without complications. The patient was discharged in satisfactory condition. Thus, in case of suspected acute disturbance of mesenteric blood flow in elderly and senile patients, in our opinion, active diagnostic and surgical tactics are indicated, which increases the survival rate of patients in this category.
мезентеріальний тромбоз; гостра шлунково-кишкова кровотеча; кишкова непрохідність
мезентериальный тромбоз; острое желудочно-кишечное кровотечение; кишечная непроходимость
mesenteric thrombosis; acute gastrointestinal bleeding; intestinal obstruction
Введение
Острое нарушение мезентериального кровотока остается одной из самых тяжелых патологий в экстренной хирургии. Острый мезентериальный тромбоз ежегодно регистрируется у 5 из 100 тыс. человек. В большинстве случаев заболевают пожилые люди старше 60 лет. Мезентериальный тромбоз поражает как мужчин, так и женщин (в равной степени).
По данным литературы, острая ишемия брыжеечных сосудов наблюдается в 0,1 % всех госпитализаций в хирургические стационары, а тромбоз сосудов составляет 15 % случаев острой брыжеечной ишемии.
Установлено, что частота поражения верхней брыжеечной артерии (ВБА) встречается в 91,3 % случаев, нижней брыжеечной артерии (НБА) — в 6,5 % и чревного ствола — в 2,2 %. В развитии заболевания выделяют два основных процесса поражения верхней и нижней брыжеечных артерий: окклюзионные, составляющие 87,6 %, и неокклюзионные — 7,5–12,8 %. Среди окклюзионных поражений чаще всего наблюдаются эмболия сосудов (29,1–44,2 %), тромбоз артерий (32,9–50,7 %) и вен (7,8–10,1 %).
При мезентериальном тромбозе отмечаются высокие показатели послеоперационной летальности, причем более высокая смертность в послеоперационном периоде наблюдается у больных с тотальным поражением бассейна ВБА (40 %) и тотальным поражением бассейна НБА (100 %). Наименьшая летальность отмечается при сегментарном поражении бассейна ВБА (16,7 %), что напрямую связано с площадью поражения и объемом оперативного вмешательства (сегментарная резекция).
В настоящее время наиболее приемлемой в клинике является классификация В.С. Савельевой, И.В. Спиридонова (1978).
— заболевания аорты (тромбоз, аневризма, расслоение стенки), вторично вовлекающие мезентериальные артерии;
Читайте также:



