Чреспищеводная эхокардиография (ЧПЭ) через трансгастральный доступ
Добавил пользователь Владимир З. Обновлено: 14.12.2025
Трёхмерная чреспищеводная эхокардиография (3D-ЧП ЭхоКГ) по сравнению с двухмерной позволяет получить наиболее полное представление о морфометрии отдельных структур и сердца в целом. Методика интраоперационной 3D ЧП ЭхоКГ незаменима при выполнении реконструктивных вмешательств у пациентов с митральной недостаточностью (МН), которая занимает второе место в структуре пороков сердца. Согласно рекомендациям Европейского общества кардиологов (ESC) и Европейской ассоциации кардиоторакальных хирургов (EACTS) 2017 года, именно реконструктивные операции на митральном клапане у пациентов с недостаточностью приобретают приоритетное значение. Безусловными преимуществами пластических операций являются низкий риск развития тромбоэмболий и эндокардита, лучшая отдалённая выживаемость и свобода от приёма антикоагулянтов. Успех хирургического лечения с использованием реконструктивного подхода во многом зависит от уровня и качества выполненных диагностических исследований.
Трёхмерная интраоперационная чреспищеводная эхокардиография позволяет в режиме реального времени проводить построение модели клапана, которая максимально сопоставима с видом клапана, каким его видит хирург в операционном поле («surgical view»), и детально оценить его анатомию, геометрию и функцию. На основании полученных данных хирург имеет объективную возможность определить тактику операции, объём и вид реконструкции клапана. После выполненной реконструкции незамедлительно оценить результат операции.
Представляем клинический случай использования интраоперационной чреспищеводной эхокардиографии с 3D режимом для определения тактики и оценки результатов операции у пациентки с выраженной недостаточностью митрального клапана.
Пациентка, 56 лет, поступила в отделение реконструктивной хирургии клапанов сердца и коронарных артерий ФГБУ «НМИЦ ССХ им. А.Н. Бакулева» Минздрава России с жалобами на одышку при умеренной физической нагрузке, сердцебиение. Из анамнеза: страдает ревматизмом с 15 лет. По данным трансторакальной эхокардиографии (ЭхоКГ) выявлена выраженная митральная недостаточность, дилатация левых отделов сердца.
На основании проведённого обследования поставлен диагноз: Ревматизм, неактивная фаза. Митральный порок сердца: выраженная недостаточность. Относительная умеренная недостаточность трикуспидального клапана. Дилатация левых камер сердца. Умеренная лёгочная гипертензия. ХСН 2А. ФК 3 по NYHA.
Была выполнена операция: Многокомпонентная реконструкция митрального клапана с ушиванием расщепления передней митральной створки, с аннулопластикой на опорном кольце; пластика трикуспидального клапана по de Vega, в условиях ИК, гипотермии и ФХКП. (хирург — директор Института коронарной и сосудистой хирургии ФГБУ «НМИЦ ССХ им. А.Н. Бакулева» МЗ РФ, профессор И.И. Скопин).
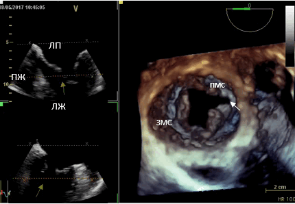
Данные интаоперационной 3D ЧП ЭхоКГ: Митральный клапан: ФК 44 мм, створки уплотнены, расщепление передней створки от свободного края до фиброзного кольца в сегменте А 2, движение створок разнонаправленное. Градиент давления максимальный — 6,2 мм рт.ст., средний 2,1 мм рт.ст. Регургитация выраженная: vena contracta - 0,9 см, площадь потока регургитации — 11,4 см², в непрерывноволновом допплеровском режиме плотный поток регургитации, радиус PISA — 1,0 см. Регургитация — эксцентричная, по боковой стенке ЛП.

Рис. 1. Трёхмерная чреспищеводная эхокардиография. Среднепищеводный доступ. Трёхмерная реконструкция митрального клапана. (ЛП — левое предсердие, ЛЖ — левый желудочек, ПЖ— правый желудочек, ПМС — передняя митральная створка, ЗМС — задняя митральная створка). Расщепление передней митральной створки (белая стрелка).

Рис. 2. Чреспищеводная эхокардиография. Среднепищеводный доступ. Четырёхкамерная позиция. (ПП — правое предсердие). Площадь потока регургитации — 11,4 см².

Рис. 3. Чреспищеводная эхокардиография. Среднепищеводный доступ. Четырёхкамерная позиция. Vena contracta 0,9 см.
На основании дооперационной трансторакальной эхокардиографии планировалась имплантация опорного кольца и коррекция пролапса ПМС за счёт имплантации неохорд или транслокации хорд от задней митральной створки к передней. Данные интраоперационной трёхмерной ЧП ЭхоКГ позволили визуализировать расщепление передней створки митрального клапана и подтвердить дилатацию фиброзного кольца. Таким образом, тактика операции была изменена и выполнена пластика расщеплённой передней створки МК, имплантация опорного кольца Carpantier-Edwards №32, пластика трикуспидального клапана по de Vega.
После отключения искусственного кровообращения и стабилизации гемодинамики выполнено контрольное ЧП ЭхоКГ исследование. Показатели функционального состояния миокарда, клапанного аппарата были в норме.
В представленном клиническом случае больной с патологией митрального клапана – выраженной недостаточностью, в плановом порядке интраоперационно до основного этапа операции проведена чреспищеводная эхокардиография с построением в режиме реального времени трёхмерной модели клапана, позволившая детально оценить патологию и определить механизм формирования митральной недостаточности. С помощью трёхмерной реконструкции удалось диагностировать расщепление передней створки митрального клапана, определить точную локализацию патологии.
Полученные данные были подтверждены непосредственно в ходе операции при ревизии клапана и явились основанием выбора тактики хирургического вмешательства.
Чреспищеводная эхокардиография – ультразвуковое исследование сердца через пищевод.
Трансторакальная эхокардиография (обычное исследование, при котором датчик находится на поверхности грудной клетки), безусловно, достигла больших успехов. Однако в ряде случаев ее проведению мешают акустические препятствия на пути ультразвукового луча, которые локализуются вне сердца (ребра, легкие, мышцы, подкожно-жировая клетчатка) или в самом сердце (протезированные клапаны, кальциноз). Использование чреспищеводного (трансэзофагиального) ультразвукового доступа позволяет преодолеть все эти трудности: пищевод непосредственно прилежит к левому предсердию (расположенному кпереди от пищевода) и нисходящему отделу аорты (расположенному кзади от пищевода). Метод, позволяющий увидеть то, чего нельзя увидеть при трансторакальной эхокардиографии – чреспищеводная эхокардиография.
Этот метод исследования дает максимальное разрешение при визуализации структур сердца. В частности, только методом чреспищеводной эхокардиографии можно выявить наличие тромбов в ушках предсердий. Значительно лучше, чем при трансторакальном исследовании, при чреспищеводной эхокардиографии обнаруживаются образования в камерах сердца (тромб, опухоль), детально описываются их размеры, конфигурация, место прикрепления. Чреспищеводная эхокардиография является лучшим методом для обнаружения и описания вегетаций на створках клапанов сердца (разрастаний, которые бывают при некоторых заболеваниях), врожденных и приобретенных пороков сердца, состояния протезов сердечных клапанов. Поэтому чреспищеводная эхокардиография получает все большее клиническое применение для распознавания опухолей и тромбов в предсердиях, патологии протезированных клапанов, инфекционного эндокардита, болезней аорты, врожденных пороков сердца, а также для интраоперационного (во время операции) мониторинга функции левого желудочка.
Чреспищеводное исследование не так легко выполнимо технически, как трансторакальное, поэтому его проведению всегда должно предшествовать тщательное трансторакальное исследование сердца и обследование пищевода.
В Центре им. Н. А. Семашко данное исследование проводится на современном ультразвуковом сканере Aloka SSD 5500 (Япония) при помощи современного трансэзофагиального датчика.
Показания к чреспищеводной эхокардиографии
- Подозрение на абсцесс корня аорты, клапанных колец, парапротезную фистулу при инфекционном эндокардите
- Подозрение на дисфункцию протезированного клапана (особенно в митральной позиции)
- Исследование митрального клапана перед реконструктивной операцией, вальвулопластикой и после них
- Исследование структур, удаленных от передней грудной стенки
- Подозрение на расслаивающую аневризму аорты
- Подозрение на тромбы левого предсердия
- Поиск источника эмболии артерий большого круга кровообращения
- Подозрение на инфекционный эндокардит в отсутствие вегетаций при трансторакальной ЭхоКГ
- Низкая нформативность трансторакальной ЭхоКГ
Подготовка к исследованию.
В течение 4-6 часов перед исследованием пациент не должен есть, пить и курить. Съемные зубные протезы должны быть удалены.
Относительными противопоказаниями к исследованию являются заболевания пищевода: злокачественные новообразования, дивертикул пищевода, фистулы, стриктуры, варикозное расширение вен пищевода, воспалительные заболевания пищевода, кровотечение из верхней части желудочно-кишечного тракта.
Техника проведения исследования
Введение датчика в пищевод проводится врачом-эндоскопистом. Для уменьшения рвотного рефлекса производят поверхностную анестезию глотки (аэрозоль Лидокаина 10%). При интубации пищевода пациента лежит на левом боку.
Общее время нахождения датчика в пищеводе обычно не превышает 7-12 минут.
При гастроскопии (ФГДС) вероятность перфорации пищевода менее одного случая на три тысячи исследований. При чреспищеводной эхокардиографии она еще меньше, так как исследованию не подвергают пациентов с какой-либо патологией пищевода. К другим нечастым осложнениям чреспищеводной эхокардиографии относятся нарушения ритма сердца, сосудистые реакции (например, снижение АД).
Чреспищеводная эхокардиография (ЧПЭхоКГ) – метод ультразвукового исследования сердца из пищевода
Другие названия – транспищеводная эхокардиография (ТПЭ).
Метод чреспищеводной эхокардиографии получил серьезное развитие в 90-х годах прошлого века. На сегодняшний день эта методика прочно завоевала одно из ведущих мест в кардиологических исследованиях. Без нее невозможно представить проведение операций на сердце. При этом немало пользы приносит чреспищеводная эхокардиография как в консультативной практике, так и при лечении неотложных кардиологических состояний. Используется преимущественно в условиях стационара, поскольку требует наличия высокотехнологичного оборудования и подготовленных специалистов.
ЧПЭхоКГ может проводиться под местной анестезией, однако, наибольшую информативность и комфорт пациента обеспечивает исследование во сне, т.е. в условиях общей анестезии.
Отличия ЧПЭхоКГ от стандартной ЭхоКГ
При стандартной ЭхоКГ ультразвуковой датчик прикладывается снаружи на передней поверхности грудной клетки. Ультразвуковой луч проходит через стенку грудной клетки (кожа, жир, мышцы, кости, ткани) и легкие, прежде чем достигает сердца. Этот метод также носит название – трансторакальная эхокардиография.
При чреспищеводной (или транспищеводной) эхокардиографии ультразвуковой датчик располагается в пищеводе (часть пищеварительного канала, соединяющая полость рта и желудок). Поскольку пищевод располагается непосредственно позади сердца, ультразвуковому лучу не требуется преодолевать препятствия в виде стенки грудной клетки и легких. Таким образом, при ЧПЭхоКГ удается получить более четкое изображение структур сердца и с большей точностью оценить функцию сердечной мышцы и клапанов.
Когда выполняется ЧПЭхоКГ?
Ваш доктор может назначить ЧПЭхоКГ в следующих случаях:
- Необходимость уточнения данных стандартной ЭхоКГ при затрудненной визуализации интересующих структур
- Подозрение на наличие различной патологии сердца при которой точность обычной ЭхоКГ ниже, например, приобретенные пороки сердца, инфекционный эндокардит, образования и тромбы в полостях сердца, врожденные пороки сердца, хроническая и острая патология аорты
- Подозрение на нарушение функции имплантированного протеза клапана сердца
- Выявление источника эмболии при инсульте, транзиторных ишемических атаках
- Выявление тромбов в полостях предсердий перед восстановлением синусового ритма у пациентов с затянувшимся приступом мерцательной аритмии
Как проводится чпэхокг (ТПЭ)?
Пациент укладывается на кушетку, при проведении общей анестезии устанавливается катетер в вену на руке для введения анестетика и препаратов в случае необходимости коррекции жизненно-важных показателей (давление, пульс). Полость глотки орашается местным анестетиком во всех случаях, в том числе и при использовании общей анестезии для снижения раздражения в глотке после пробуждения. К пациенту подключается монитор для слежения за работой системы кровообращения (давление и пульс) и дыхания (насыщение крови кислородом). Если используется общая анестезия, обеспечивается подача дополнительного кислорода для профилактики нарушений дыхания.
Пациент поворачивается на левый бок. В рот вставляется так называемый загубник, который просят плотно захватить зубами, он необходим для предотвращения травмирования пациента и повреждения датчика. При использовании только местной анестезии – в полость рта вводится гибкий эндоскоп, после чего пациента просят совершать глотательные движения и продвигают его в пищевод. В этот момент ощущается небольшой дискомфорт, не сопровождающийся болевыми ощущениями. При использовании общей анестезии – после введения анестетика для обеспечения комфорта и наступления его эффекта в полость рта также вводится гибкий эндоскоп, который затем сразу продвигается в пищевод. На конце эндоскопа располагается непосредственно ультразвуковой датчик, от которого передается изображение сердца на монитор. Датчик располагают прямо позади сердца и с помощью изменения ориентации ультразвукового луча исследуют структуры и функцию сердца под различным углом. Во время процедуры сохраняется самостоятельное дыхание пациента, ингалируется кислород, осуществляется слежение за жизненными показателями, при избыточном слюноотделении проводится аспирация слюны.
После процедуры следует воздержаться от приема пищи и воды в течение 2 часов, чтобы дать время для окончания действия местного анестетика и восстановления рефлексов глотки, которые защищают человека от попадания пищи или жидкости в дыхательные пути. Не рекомендуется употреблять горячую пищу и жидкость в день после исследования, т.к. на слизистой глотки и рта могут остаться небольшие дефекты, подверженные раздражению при контакте с горячим. После окончания действия местного анестетика могут оставаться неприятные ощущения в глотке, которые обычно не продолжаются дольше 24 часов. При использовании общей анестезии запрещается управлять автомобилем и опасными механизмами в течение не менее 12 часов.
Подготовка к проведению ЧПЭхоКГ
- Воздержитесь от приема пищи за 6-8 часов до процедуры. Прием чистой жидкости возможен не менее чем за 2 часа до процедуры
- Примите все обычные лекарства, если нет специальных инструкций от вашего доктора. Их можно запить несколькими глотками если до процедуры остается не менее 2 часов
- Если планируется общая анестезия и Вы приезжаете из дома, желательно заранее позаботиться о транспортировке обратно. Вам нельзя будет самостоятельно управлять автомобилем, однако, возможно самостоятельно воспользоваться общественным транспортом
- Постарайтесь полно ответить на вопросы доктора и обязательно сообщите о наличии у Вас аллергических реакций, проблем с глотанием твердой пищи, каких-либо других проблем со стороны полости рта, пищевода или желудка
- Съемные зубные протезы необходимо снять
Длительность процедуры ЧПЭхоКГ
Вам следует запланировать на пребывание в клинике примерно 2 часа, в случае применения общей анестезии – 3-4 часа. Собственно процедура длится 15-20 минут. Остальное время занимает подготовка и наблюдение.
Безопасность ЧПЭхоКГ
ЧПЭхоКГ представляет собой отработанную процедуру и вполне безопасна. Однако, при выполнении потребуется ввести датчик в пищевод и желудок, что в небольшом проценте случаев может быть сопряжено с такими явлениями как затруднение дыхания, замедление или учащение пульса, реакция на общий или местный анестетик, легкое повреждение слизистой с появлением кровянистых выделений. Такое грозное осложнение как перфорация пищевода встречается крайне редко (частота меньше 1 на 10000 исследований), большинство таких случаев описано для детской популяции.
Когда обратиться к доктору
- Поперхивание при употреблении твердой и жидкой пищи, воды или проглатывании слюны
- Интенсивное выделение крови изо рта или интенсивные боли в глотке
Результат исследования
После окончания исследования результат выдается в виде заключения, как правило, сразу, однако, в ряде случаев доктору может потребоваться время на пересмотр записи для более детального анализа. Возможно сохранение материалов исследования на электронный носитель.
Чреспищеводная эхокардиография (ЧПЭ) через трансгастральный доступ
Чреспищеводная эхокардиография
Чреспищеводная эхокардиография (ЧПЭхоКГ) – метод ультразвуковой диагностики сердца с использованием специального датчика, вводимого через пищевод. Позволяет улучшить «ультразвуковое окно» и дает возможность значительно лучшей визуализации мелких структур сердца из чреспищеводного доступа. В последние годы в клиническую практику все более активно внедряется методика трехмерной чреспищеводной эхокардиографии (3D-ЧПЭхоКГ) , представляющая интерес, в первую очередь, в кардиохирургической практике.
Чреспищеводная эхокардиография применяется в клинической практике достаточно широко, она используется во всех случаях, когда разрешающая способность трансторакальной зхокардиографии не позволяет поставить точный диагноз, детально изучить анатомию различных внутрисердечных структур и оценить внутрисердечную гемодинамику.
Основные показания к проведению ЧПЭхоКГ:
• диагностика внутрисердечных тромбозов (источника эмболий);
• инфекционный эндокардит (чувствительность ЧПЭхоКГ в диагностике вегетаций приближается к 100% по мнению большинства исследователей);
• диссекция (расслоение) аорты, аневризма аорты;
• диагностика митральной регургитации и оценка клапанных протезов. См. подробнее ЧПЭхоКГ с функцией MVQ (mitral valve quatfification).
Противопоказаниями
являются заболевания пищевода: злокачественные новообразования, дивертикул пищевода, фистулы, стриктуры, варикозное расширение вен пищевода, воспалительные заболевания пищевода, кровотечение из верхней части желудочно-кишечного тракта.
За четыре десятка лет существования ЧПЭхоКГ признана безопасным методом диагностики. Серьезные осложнения, связанные непосредственно с исследованием, встречаются менее чем в 3% случаев, летальные исходы фиксируются по данным разных авторов в 0,01 – 0,03%. Среди возможных осложнений в литературе в виде единичных случаев перечисляются травмы глотки или трахеи, кровотечение из вен пищевода, перфорация пищевода, транзиторная бактериемия, нестабильность гемодинамики, нарушения ритма.
Как подготовиться к ЧПЭхоКГ.
Обязательным условием для проведения ЧПЭхоКГ является 4–6-часовое голодание перед исследованием. Съемные зубные протезы (в случае их наличия) должны быть удалены.
Методика выполнения ЧПЭхоКГ.
Для уменьшения рвотного рефлекса производят поверхностную анестезию глотки. Во время исследования пациент находится в положении на левом боку лицом к врачу, проводящему исследование. Правое колено пациента согнуто и располагается кпереди от левой ноги, голова слегка наклонена вперед. Для защиты датчика от перекуса используют загубник. Датчика перед введением обрабатывают ультразвуковым гелем. Введение датчика в пищевод проводится врачом. Общее время нахождения датчика в пищеводе обычно не превышает 7-12 минут.
Трехмерная чреспищеводная эхокардиография (3D-ЧПЭхоКГ)
Современные трехмерные ультразвуковые технологии в масштабе реального времени значительно расширяют диагностические возможности метода. Методика «Live 3 D» дает непосредственное «живое» изображение в пирамидальном объеме и позволяет визуализировать клапан во множестве ракурсов, т.е. «посмотреть на анатомическую структуру с разных сторон». Таким образом, оптимизируется топическая и морфологическая диагностика сердечных структур. Программа позволяет также выполнять различные планиметрические измерения. Программа реконструкции клапана в полном объеме позволяет получить пирамидальное изображение с более широким углом (80ْ), что, в свою очередь, увеличивает количество проекций визуализации и информативность исследования. Эти программы также работают в режиме «on-line» Вышеперечисленные методики представляют большой интерес, в первую очередь, в кардиохирургической практике при реконструктивных вмешательствах на клапанах.
На трехмерном изображении нормального митрального клапана видны две створки: большая по площади передняя и задняя, переднелатеральная и заднемедиальная комиссуры. Динамическая трехмерная ЭхоКГ, показывающая клапан в движении, дает возможность судить о подвижности створок. В диастолу, при полном раскрытии створок, можно измерить площадь митрального отверстия, а в систолу – судить о коаптации створок. Преимущество 3D ЭхоКГ, по сравнению с традиционной двухмерной эхокардиографией, заключается в том, что мы имеем изображение створок и фиброзного кольца клапана по всему периметру. Это позволяет, в свою очередь, не только визуально более полно оценивать клапан, но также выполнить измерения переднезаднего и поперечного (комиссурального) диаметров ФК и определить их соотношение. Трехмерная реконструкция дает возможность также оценивать физиологическую подвижность фиброзного кольца клапана, проводя эти измерения в разные фазы сердечного цикла. Стандартные измерения (диаметр ФК, площадь митрального отверстия) осуществляются планиметрически с поправкой на глубину сканирования.
С помощью трехмерной эхокардиографии можно качественно и количественно оценивать степень митрального стеноза. 3D-ЭхоКГ позволяет визуализировать характерные для стеноза анатомические изменения: ограничение подвижности створок, фиброзные изменения створок и подклапанных структур (уплотнение, утолщение и деформация), уменьшение площади отверстия клапана. Трехмерная реконструкция дает возможность проводить достаточно точное планиметрическое измерение площади митрального отверстия и у больных с выраженным подклапанным стенозом.
Методом выбора в диагностике митральной регургитации является допплеркардиография. Трехмерная реконструкция патологических потоков появилась сравнительно недавно, этот метод активно развивается и совершенствуется. Трехмерный цветной допплер позволяет характеризовать кровоток как качественно, так и количественно:
• оценить пространственную ориентацию потока;
• конфигурацию потока;
• провести измерение площади потока;
• оценить пространственную ориентацию потока;
• измерение фракции потока регургитации.
ЧПЭхоКГ с функцией MVQ (mitral valve quatfification)
В настоящее время возможности трехмерной эхокардиографии значительно расширились благодаря новым техническим возможностям. Так, с 2007 года в 3D эхокардиографии получил широкое развитие метод Mitral Valve Quantification (MVQ), который позволяет проводить количественный анализ геометрии митрального клапана (МК).
Mitral Valve Quantification – это метод трехмерной реконструкции митрального клапана, который дает представление о форме фиброзного кольца митрального клапана, позволяет измерить диаметры ФК как от переднебоковой стенки до заднемедиальной, так и от задней стенки до передней. С помощью этого метода можно также оценить следующие параметры анатомии аппарата митрального клапана:
I. Параметры геометрии фиброзного кольца (ФК) МК:
1. Высота фиброзного кольца МК;
2. Периметр фиброзного кольца МК;
3. Площадь фиброзного кольца в плоскости проекции.
II. Параметры геометрии створок ФК:
1. Длина передней створки митрального клапана;
2. Длина задней створки митрального клапана;
3. Площадь передней створки митрального клапана;
4. Площадь задней створки митрального клапана;
5. Угол передней створки митрального клапана;
6. Угол задней створки митрального клапана;
7. Непланарный угол створок;
8. Максимальная высота тента створок;
9. Объем тента створок;
10. Длина соединения в плоскости проекции.
III. Хордальный аппарат МК:
1. Длина переднелатеральной хорды;
2. Длина заднемедиальной хорды.
IV. Отверстие аорты по отношению к митральному плоскому углу.
V. При пролапсе МК можно оценить максимальную высоту пролапса и его объем.
Данная информация необходима для решения дальнейшей хирургической тактики, при этом модель митрального клапана, построенная с помощью MVQ, позволяет кардиохирургу выбрать оптимальное для конкретного пациента оперативное вмешательство на клапане, что в свою очередь положительно скажется на качестве жизни пациента в послеоперационном периоде.
Источник:
Машина Т.В. В кн.: Бокерия Л.А., Голухова Е.З. (ред.) Клиническая кардиология: диагностика и лечение. М.: Издательство НЦССХ им. А.Н. Бакулева; 2011
Чреспищеводная эхокардиография
Чреспищеводная (или транспищеводная) эхокардиография — это метод ультразвукового исследования сердца специальным миниатюрным датчиком, встроенным в эндоскоп который вводится в пищевод пациента.

Это один из наиболее высокотехнологичных методов ультразвукового исследования в настоящее время. Его, без преувеличения, можно назкать настоящим «окном», позволяющим рассмотреть и оценить особенности сердца – главного органа системы кровообращения. За рубежом метод очень широко используется, в частности, в Великобритании он составляет не менее 10% от всех видов выполняемых УЗИ сердца.

Чреспищеводная эхокардиография проводится по показаниям после проведения обычного обследования, когда требуется более детальное изучение строения и функционирования структур сердца или когда есть критические ограничения обычной (т.н. трансторокальной) ультразвуковой визуализации органа. Метод позволяет максимально подробно оценивать функциональные и анатомические особенности сердца, в том числе увидеть структуры, которые не визуализируются при обычном УЗИ сердца даже при максимально хорошей визуализации.
Показания к проведению чреспищеводной эхокардиографии
- Абсолютные
- подозрение на тромбоз отделов камеры левого предсердия (особенно у пациентов с мерцательной аритмией и при планировании т.н. электрокардиоверсии);
- подозрение на абсцесс корня аорты, клапанных колец, парапротезную фистулу или другие осложнения инфекционного эндокардита;
- подозрение на дисфункцию протезированного клапана сердца (особенно в митральной позиции);
- исследование митрального клапана перед реконструктивной операцией (т.н. вальвулопластикой) и после неё;
- исследование структур, удаленных от передней грудной стенки (например, межпредсердной перегородки);
- подозрение на расслаивающую аневризму аорты;
- опухолевые образования камер и стенок сердца;
- интраоперационная ЭхоКГ.
- поиск источника эмболии артерий большого круга кровообращения (при инсультах и транзиторных ишемических атаках);
- обязательная необходимость получения данных эхокардиографии при низком качестве трансторакальных изображений (из-за ожирения, эмфиземы и по другим причинам), также применяется метод для слежения за сократимостью левого желудочка во время и после операции на сердце;
- клиническо-лабораторные подозрения на инфекционный эндокардит при отсутствии визуализации вегетаций при обычной (трансторокальной) эхокардиографии.
Противопоказания
Пожалуйста, ознакомьтесь с противопоказаниями к выполнению чреспищеводной эхокардиографии и обязательно сообщите об их наличии врачу!
- Абсолютные
- варикозное расширение вен пищевода 2 и более степени
- патология пищевода, такая как
- стриктуры
- дивертикулы
- травматическое повреждение
- опухоль
- склеродермия
- синдром Мэллори-Вейса
- кровотечения из верхних отделов желудочно- кишечного тракта
- недавно выполненные хирургические операции в верхних отделах желудочно- кишечного тракта
- эзофагогастроэктомия
- психические заболевания
- патология атланто-аксиального соединения или выраженный артрит других суставов шейного отдела позвоночника с выраженным ограничением подвижности шеи
- радиационная терапия на область шеи в анамнезе
- грыжа пищеводного отверстия диафрагмы с клинической симпотоматикой
- операции на верхнем отделе ЖКТ в анамнезе
- недавнее желудочно-кишечное кровотечении
- эзофагиты, пептические язвы
- аневризмы грудной аорты – ветвей
- пищевод Баретта
- дисфагия в анамнезе
- коагулопатии, тромбоцитопении
Как подготовиться к процедуре
Исследование сердца через пищевод требует предварительной подготовки. Основная часть абсолютных и относительных противопоказаний связана с изменениями пищевода – желудка, поэтому для их исключения необходимо выполнить эзофаго гастродуоденоскопию.
- Пациент должен ознакомиться с противопоказании к выполнению процедуры и сообщить об их наличии врачу до исследования.
- Пациент должен дать письменное согласие на процедуру (что означает, в том числе, и психологическую готовность к исследованию)!
- Процедура проводится строго натощак. За 6-7 часов до ее проведения, необходимо исключить прием пищи. Пить, до исследования, можно, но не позднее, чем за 2 часа.
- Курение, прием алкогольных напитков не допускается, если больной принимает лекарственные препараты, их коррекция обычно не требуется. До исследования (не позднее, чем за 2 часа), необходимо принять все назначенные лекарства, если нет особых указаний от вашего лечащего врача.
- Перед исследованием необходимо снять съемные зубные протезы.
- При исследовании будет использоваться местная анестезия, обязательно укажите о наличии у вас аллергических реакций и непереносимости к используемым для анестезии препаратам.
Процедура чреспищеводной эхокардиографии
- Перед обследованием проводится местное обезболивание, пациент укладывается на кушетку в необходимое положение: лежа на левом боку с согнутой правой, прямой правой ногой. Голова слегка вперед. Через ротовую полость вводится ультразвуковой датчик, обработанный контактным гелем.
- Перемещая датчик по пищеводу и ориентируя направление плоскости ультразвукового сканирования, врач осуществляет осмотр строения и исследование функций структур сердца. Проводятся необходимые замеры, а также сохраняются статичные изображения и клипы движущихся структур сердца на разных уровнях, потом датчик извлекается.
- Время нахождения датчика в пищеводе обычно ограничивается 5-15 минутами. Общее время проведения исследования – до 40 мин. Большую часть измерений и описание врач выполняет по сохраненным данным в приборе.
После проведения процедуры в течении 2 часов пить и употреблять пищу не рекомендуется, введение датчика оставляет микротравмы слизистой оболочки, которым требуется время для заживания. Следует признать, что чреспищеводная эхокардиография — это малоприятная процедура, но информативность такого исследования в разы превышает возможности простого (трансторокального) ультразвукового исследования сердца.
Возможные осложнения
В большинстве случаев процедура завершается без каких-либо последствий, но бывают исключения. Из негативных процессов возможно развитие аллергической реакции на введение анестетика или элементы воспаление пищевода после манипуляции (что иногда не возможно прогнозировать и предусмотреть даже при самой тщательной подготовке).
Трехмерное ультразвуковое исследование
При отсутствии помех для ультразвука, визуализация при трехмерном ультразвуковом исследования всегда более информативна, чем двухмерный осмотр с получением обычных плоскостных сечений. Чреспищеводный доступ устраняет большую часть помех, поэтом трехмерное сканирование при таком варианте эхокардиографии крайне информативно. 3D эхокардиография позволяет получить изображение клапанов и провести все необходимые измерения более точно (под разными углами). Кроме того, трехмерная реконструкция позволяет визуализировать и получить виртуальные виды структур сердца (объемные, сечения, изображения поверхности и т.д.), недоступные при обычной двухмерной визуализации (т.н. хирургические виды и др.) и детально оценить самые тонкие особенности строения и работы клапанов сердца. Такое обследование особенно показано при подготовке к оперативному вмешательству на сердце.
Для максимальной безопасности и эффективности проводимого исследования мы попросим Вас ответить перед исследованием на вопросы:
- Проводилось ли Вам любое оперативное вмешательство за последние 6 месяцев?
- Перенесли ли Вы в течении последних 6-ти месяцев инсульт (транзиторную ишемическую атаку)?
- Не страдаете ли Вы эпилепсией или психическими заболеваниями?
- Случаются ли у Вас обморочные состояния?
- Сделали ли Вы перед исследованием эзофагогастродуоденоскопию?
- Страдаете ли Вы гастроэнтерологическими заболеваниями (язвенная болезнь желудка и (или) ДПК в стадии обострения, стриктуры пищевода)?
- Есть ли у Вас хронические бронхолёгочные заболевания с бронхоспазмами (бронхиальная астма и др.)?
- Имеется ли у Вас аллергия на лекарственные препараты?
- Есть ли у Вас повышение температуры тела, другие признаки острого воспалительного заболевания?
Памятка с рекомендациями для пациента после выполнения чреспищеводной эхокардиографии
- После проведения чреспищеводного исследования необходимо придерживаться следующих рекомендаций
- Вам необходимо не есть в течение, по крайней мере, 2-х часов (особенно важно, избегать приёма горячей пищи или жидкости в течение этого периода).
- При необходимости приема таблетированных медицинских препаратов (если они пьются натощак и защищены покрытием) или при обезвоживании, первый прием воды должен быть не ранее, чем через час после окончания исследования (прохладная дистиллированная вода).
- Первый прием пищи должен быть в небольшом количестве, пища должна быть теплой, не жесткой, не острой (к примеру – творог, йогурт и т.д.).
- При возможности, контролируйте дома артериальное давление.
- В случае появления жара, лихорадки, боли в груди, рвоты, признаков кровотечения, а также выраженного снижения давления, Вы должны незамедлительного обратиться к врачу.
Читайте также:
