Цитологическое исследование опухоли. Цитологическая диагностика опухоли.
Добавил пользователь Владимир З. Обновлено: 14.12.2025
Так получается, что лаборатория – это «скрытая» сторона работы ветеринарной клиники для владельцев животных. Этап лабораторной диагностики невероятно важен для клинического ветеринарного врача, и почти не заметен для пациента. Практически ни одна манипуляция на приеме или в операционной не обходится без предварительного лабораторного анализа. Биохимический анализ крови выявляет патологии внутренних органов, общий клинический анализ позволяет определить нарушения клеточного состава крови и сделать выводы о причинах этих нарушений, клинические анализы мочи и кала выявляют патологии желудочно-кишечного тракта или моче-половой системы, коагулограмма помогает анестезиологам просчитать операционные риски и предотвратить различные осложнения. Обо всем этом и еще много о чем другом мы будем рассуждать в этой рубрике, но это все позже. А в этом номере мы приподнимем завесу над такой закрытой от пациентских глаз частью ветеринарной клиники как лаборатория, и рассмотрим всю важность такого исследования как цитологическое.
Ошибочно считается, что цитология – это метод исследования, который применяется для диагностики онкологических заболеваний. Это бесспорно так, но возможности этого метода не исчерпываются только этим. При дословном переводе с латыни, «цитология» — это наука о клетке. Цитология изучает клетку, ее строение, изменения при патологических состояниях, а так же функции клетки и механизмы нарушений этих функций. Цитологическому исследованию подвергаются не только пунктаты из опухолей, но и так же различные физиологические жидкости и патологические выпоты. На это исследование врач может взять кровь, мочу, выпотную жидкость из грудной, брюшной или перикардиальной полостей.
Конечно одна из основных задач, которую решает цитологический метод, это исследование пунктатов из новообразований. При выявлении у животного «припухлости», «шишечки» и т.д. встает вопрос об исключении онкологического заболевания. Эту задачу может решить гистологическое исследование, но взять на него материал бывает достаточно проблематично, т.к. гистологический метод подразумевает исследование ткани, а значит врачу необходимо отрезать часть образования или даже иссечь его целиком. Делать это зачастую нельзя. Во-первых, бывают опухоли с «неудобной» локализацией. Например, опухоль почки или печени, материал из которых можно получить только при полостной операции, а под контролем УЗИ можно взять тонкоигольную пункцию на цитологию. Или сосудистые саркомы, из которых взятие кусочка материала может вызвать сильнейшее кровотечение.
А во-вторых, некоторые опухоли нельзя оперировать, а значит и взять материал на гистологическое исследование не возможно. Например, лимфомы – опухоли лимфотической системы, часто поражают лимфатические узлы. Подобные заболевания лечатся путем системной химиотерапии, а удалять ткань ради диагноза нельзя. В отличие от этого метода, метод цитологической диагностики мало инвазивный, т.е. не причиняет вреда, да и вообще беспокойства животному. При помощи шприца и тонкой иглы, всего за пару минут можно получить достаточно достоверный диагноз. Кроме того, другие методы исследования более дорогостоящи и процесс обработки материала занимает достаточно много времени. Например, для получения гистологического диагноза необходимо ждать от 10 до 14 дней, это связано с этапами обработки участков ткани. А цитологическое исследование выполняется в течении часа. Поэтому если помощь животному нужна срочно, этот метод способен нас «выручить».
Часто при помощи цитологии врач получает диагноз не выходя из операционной. Во время диагностической операции берется пунктат, который сразу исследуется, а врач получает диагноз еще до завершения операции. Это важно и в тех случаях, когда врач не уверен иссекли он опухоль целиком, а подозревает, что опухолевые клетки еще остались. Здесь важно знать: расширять ли границы операции или достаточно проведенного объема операции. При проведении исследования опытным цитологом, информативность метода составляет около 80%. Почему не 100%? Абсолютно все опухоли многокомпонентные. Это значит, что помимо клеток самой опухоли, при пункции мы можем аспирировать клеточные элементы крови, клетки воспалительной инфильтрации, некротические массы. Многие опухоли покрыты фиброзной капсулой, клетки которой так же могут попасть на исследование, а информации о патологическом процессе они не несут. Так что будьте готовы к тому, что материал на цитологическое исследование у Вашего животного могут взять дважды, а то и трижды. Часто в заключении врача-цитолога фигурирует фраза «биопсия не информативна» — это означает, что клетки опухоли не попали на исследование в силу описанных выше причин.
При заболеваниях крови или лимфоидной ткани Вам могут предложить сдать кровь на цитологическое исследование. В этом случае цитолог будет искать клетки опухоли в мазках крови. Необходимо помнить, что при онкологических заболеваниях нам важно не только поставить диагноз, но и выявить распространенность заболевания для установления стадии патологического процесса и выбора наиболее подходящей схемы лечения. Без цитологического диагноза ни один врач-онколог не может, просто не имеет права назначать специфическое противоопухолевое лечение. Так же при подозрении на лейкоз или лимфосаркому цитологическому исследованию подлежат мазки костного мозга.
На цитологию берут так же выпотные жидкости: из брюшной или грудной полости. Жидкости набираются в полостях при различных патологических процессах. Например, при наличии опухоли в брюшной или грудной полости в выпоте можно обнаружить опухолевые клетки, а так же можно наоборот исключить онкологическое заболевание. Необходимо помнить, что при сердечной, печеночной или почечной недостаточности так же может образовываться выпот. В этом случае цитологическое исследование носит дифференциально диагностический характер.
Часто на цитологию присылают мочу. Помимо общего клинического анализа мочи дающего возможность диагностировать моче-каменную болезнь или различные нарушения в почках, цитологическое исследование помогает обнаружить или исключить рак почки. Зачастую опухоли почки не видны на УЗИ или рентгене, т.к. имеют структуру аналогичную ткани самой почки. Они как бы «сливаются» с ней. А при исследование мочи на цитологию эту проблему удается разрешить.
Вот только часть проблем, которые способен решить метод цитологического анализа, переоценить важность которого не возможно. Надеюсь и Вы поняли всю ценность этой диагностической процедуры.
Цитологическая диагностика

Клиническая или диагностическая цитология изучает клеточный состав патологических процессов. Разработка цитологического метода диагностики в нашей стране начата в 1938 году в клинико-диагностической лаборатории онкологического института им. П.А. Герцена. В 1941 г. профессор Н.Н. Шиллер-Волкова доложила о первых результатах по исследованию выделений из влагалища, мокроты и пунктатов на сессии института.
Цитологический метод технически прост, сравнительно дешев, малотравматичен для пациента, не требует больших временных затрат. Основные задачи цитологической диагностики состоят в формулировке предоперационного диагноза, интраоперационной диагностике, контроле эффективности проводимой терапии, оценке факторов прогноза опухолевого процесса.
Предоперационная диагностика включает определение гистогенеза образования, степени дифференцировки, уточнение степени распространенности опухолевого процесса, изучение фоновых изменений, определение факторов прогноза, возможность исследования бактериальной флоры (туберкулез, лепра, Helicobacter pylori, трихомонады и другие инфекции).
Достоверность цитологической диагностики высокая и составляет, например, при опухолях молочной железы 96%, щитовидной железы – 95,%, кожи -94%, шейки матки -98%.
В настоящее время в отделении онкоцитологии применяются высокотехнологичные методы уточняющей диагностики: иммуноцитохимический, морфометрический метод, проточная цитофлюорометрия, осваивается метод гибридизации in situ
(FISH – метод).
Использование этих методов позволяет уточнить гистогенез и провести дифференциальную диагностику опухолей, определить источник метастазирования, иммунофенотипировать лимфомы, определить экспрессию рецепторов эстрогенов, прогестерона, онкопротеина , р53, факторов апоптоза и т.д., а также подтвердить наличие изменений на генетическом уровне. Точный цитологический диагноз способствует разработке адекватных схем лечения еще на дооперационном этапе.

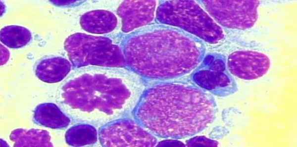
Фолликулярный рак щитовидной железы. Х 200.
Окр. по Паппенгейму.

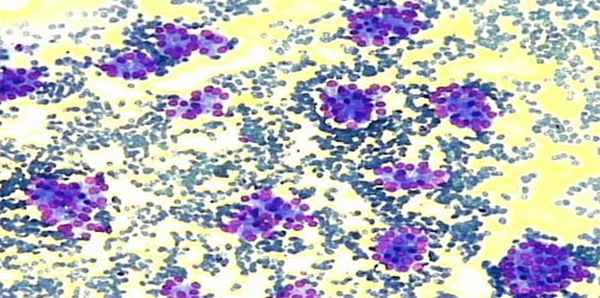
Злокачественная неходжкинская лимфома Х 1000.
Окр. по Паппенгейму.

Эпителиоклеточная пигментная меланома Х 400.
Окр. по Паппенгейму.

Экспрессия рецепторов эстрогенов в клетках рака молочной железы Х 400.

Экспрессия рецепторов прогестерона в клетках рака молочной железы Х 1000.

Экспрессия онкопротеина C-erb-B2 в клетках рака

Проточная цитофлуориметрия
Лимфатический узел.

FISH метод.
Амплификация гена HER2/NEU в клетках рака молочной железы.
Волченко Надежда Николаевна
д.м.н., профессор, руководитель отделения
онкоцитологии МНИОИ им.П.А.Герцена


Согласен Данный веб-сайт содержит информацию для специалистов в области медицины. В соответствии с действующим законодательством доступ к такой информации может быть предоставлен только медицинским и фармацевтическим работникам. Нажимая «Согласен», вы подтверждаете, что являетесь медицинским или фармацевтическим работником и берете на себя ответственность за последствия, вызванные возможным нарушением указанного ограничения. Информация на данном сайте не должна использоваться пациентами для самостоятельной диагностики и лечения и не может быть заменой очной консультации врача.
Цитологическое исследование опухоли. Цитологическая диагностика опухоли.
Цитологическое исследование — это оценка характеристик морфологической структуры клеточных элементов с целью установления диагноза доброкачественной или злокачественной опухоли и неопухолевых поражений. Оно основано на изучении с помощью микроскопа особенностей строения клеток, клеточного состава органов, тканей, жидкостей организма человека в норме и при патологических процессах. Отличие цитологического исследования от гистологического заключается в том, что изучаются не срезы тканей, а клетки.
- абсолютная безвредность. Этому в немалой степени способствует развитие эндоскопической техники, позволяющей целенаправленно получать материал для исследования из внутренних органов, ранее недоступных для морфологического анализа без оперативного вмешательства.
- быстрота. Срочное цитологическое исследование может быть выполнено в течение 10 минут.
- возможность применения многократных цитологических . Это особенно важно как для оценки динамики морфологических изменений в течение заболевания, так и для определения терапевтического эффекта проводимого лечения;
- метод дает возможность формировать группы повышенного риска рака разных локализаций. Динамическое наблюдение за этой категорией лиц фактически невозможно с помощью других, тем более инвазивных, методов исследования.
- обеспечивает диагностику злокачественных опухолей любой локализации и в любой стадии процесса.
При распознавании рака в самых начальных стадиях цитологический метод иногда имеет преимущества по сравнению с другими диагностическими тестами. Хорошо известны случаи цитологической диагностики клинически, рентгенологически и эндоскопически «немого» рака желудка, легкого, мочевого пузыря и др.
Наибольшее распространение цитологические исследования получили в области гинекологии, для того, чтобы диагностировать заболевания шейки матки на ранней стадии.
В Лаборатории цитологии НМИЦ онкологии им. Н.Н. Петрова выполняются следующие виды цитологических исследований:
- Иммуноцитохимическое исследование материала
- Исследование плоидности ДНК опухоли с помощью анализа микроизображения Исследование цитологических препаратов, в том числе:
- на Helicobacter pylori
- с помощью жидкостной цитологии - Просмотр и консультация врачом готовых цитологических препаратов
- Подбор цитологических мазков для молекулярно-генетического исследования

Цены на некоторые основные виды исследований:
Исследование цитологических препаратов
Просмотр и консультация врачом готовых цитологических препаратов (до 5 стекол)
Исследование цитологических препаратов на Helicobacter pylori
Исследование цитологических препаратов с помощью жидкостной цитологии
Иммуноцитохимическое исследование материала (1 антитело)
Исследование плоидности ДНК опухоли с помощью анализа микроизображения
можно найти в прайс-листе, воспользовавшись быстрым поиском
Цитологический диагноз
Важно, чтобы цитологическая интерпретация клеточного состава препарата была предоставлена лечащему врачу в однозначных и клинически значимых терминах. Цитологическое исследование препаратов должно состоять из описания морфологической картины и диагноза, по возможности с указанием природы процесса (добро- или злокачественного) при наличии опухоли, определения тканевой принадлежности, гистологической формы и степени ее дифференцировки. Иногда данные цитологического исследования позволяют только констатировать наличие злокачественного новообразования, но не дают возможности определить тип опухолевых клеток. Однако даже такой диагноз оказывается ценным для правильного ведения больного. В настоящее время возможности цитологической диагностики в морфологической верификации патологического процесса значительно расширяются в связи с использованием дополнительных объективных методов (молекулярных (иммуноцитохимия, проточная цитометрия, ПЦР и др.), цитогенетических, возможностей компьютерных технологий).
При формулировании цитологического диагноза рекомендуют использовать принятые международные термины, хотя допустимо в качестве дополнительного замечания применять привычные в данном учреждении названия опухолей и других поражений. Утвердительный и предположительный цитологический диагноз должен соответствовать МКБ-10 и МКБ-О 2010, Международным гистологическим классификациям опухолей ВОЗ (2000–2007).
Типы цитологических заключений
- Клеточный состав воспаления. При возможности уверенное или предположительное заключение об этиологическом агенте (микроорганизмы, цитопатический эффект вируса, лучевое воздействие и др.).
- Пролиферация (гиперплазия) эпителия.
- Диагноз доброкачественного поражения или опухоли без указания гистологической формы.
- Диагноз доброкачественного поражения или опухоли с указанием гистологической формы в соответствии с гистологической классификацией (цитологическая картина перстневидноклеточного рака, папиллярного рака, злокачественной неходжкинской лимфомы и др.).
- Клетки с признаками атипии (неясного происхождения) — такое заключение не несет определенной диагностической информации и требует дальнейшего обследования и повторного получения материала для цитологического исследования.
- Предположение о злокачественной опухоли — клетки с нерезко выраженными признаками атипии, или выраженными дистрофическими (дегенеративными) изменениями; в этом случае необходимо обязательное повторное исследование, наблюдение.
- Диагноз злокачественной опухоли без указания гистологической формы – такое заключение выдается, когда цитологическая картина не позволяет уточнить диагноз.
- Диагноз злокачественной опухоли с указанием гистологической формы в соответствии с гистологическими классификациями (плоскоклеточный рак с ороговением, лимфогранулематоз, фолликулярный рак и др.).
Установленный квалифицированным специалистом утвердительный цитологический диагноз, учитывающий возможности и пределы метода, при совпадении с данными клинико-лабораторно-инструментальных исследований, в т. ч. с использованием молекулярных методов – юридически значимый, он служит основанием для начала лечения.
Цитологическое исследование опухоли. Цитологическая диагностика опухоли.
Цитологическое исследование — это оценка характеристик морфологической структуры клеточных элементов с целью установления диагноза доброкачественной или злокачественной опухоли и неопухолевых поражений. Оно основано на изучении с помощью микроскопа особенностей строения клеток, клеточного состава органов, тканей, жидкостей организма человека в норме и при патологических процессах. Отличие цитологического исследования от гистологического заключается в том, что изучаются не срезы тканей, а клетки.
- абсолютная безвредность. Этому в немалой степени способствует развитие эндоскопической техники, позволяющей целенаправленно получать материал для исследования из внутренних органов, ранее недоступных для морфологического анализа без оперативного вмешательства.
- быстрота. Срочное цитологическое исследование может быть выполнено в течение 10 минут.
- возможность применения многократных цитологических . Это особенно важно как для оценки динамики морфологических изменений в течение заболевания, так и для определения терапевтического эффекта проводимого лечения;
- метод дает возможность формировать группы повышенного риска рака разных локализаций. Динамическое наблюдение за этой категорией лиц фактически невозможно с помощью других, тем более инвазивных, методов исследования.
- обеспечивает диагностику злокачественных опухолей любой локализации и в любой стадии процесса.
При распознавании рака в самых начальных стадиях цитологический метод иногда имеет преимущества по сравнению с другими диагностическими тестами. Хорошо известны случаи цитологической диагностики клинически, рентгенологически и эндоскопически «немого» рака желудка, легкого, мочевого пузыря и др.
Наибольшее распространение цитологические исследования получили в области гинекологии, для того, чтобы диагностировать заболевания шейки матки на ранней стадии.
В Лаборатории цитологии НМИЦ онкологии им. Н.Н. Петрова выполняются следующие виды цитологических исследований:
- Иммуноцитохимическое исследование материала
- Исследование плоидности ДНК опухоли с помощью анализа микроизображения Исследование цитологических препаратов, в том числе:
- на Helicobacter pylori
- с помощью жидкостной цитологии - Просмотр и консультация врачом готовых цитологических препаратов
- Подбор цитологических мазков для молекулярно-генетического исследования

Цены на некоторые основные виды исследований:
Исследование цитологических препаратов
Просмотр и консультация врачом готовых цитологических препаратов (до 5 стекол)
Исследование цитологических препаратов на Helicobacter pylori
Исследование цитологических препаратов с помощью жидкостной цитологии
Иммуноцитохимическое исследование материала (1 антитело)
Исследование плоидности ДНК опухоли с помощью анализа микроизображения
можно найти в прайс-листе, воспользовавшись быстрым поиском
Читайте также:
