Ангиосаркома при лимфостазе. Внутрисосудистая эндотелиома.
Добавил пользователь Владимир З. Обновлено: 13.12.2025
Болезни вен и сосудов могут проявляться такими симптомами, на которые обычный человек и внимания не обращает. Однако тяжесть в ногах, "гудение.
Для жителей районов Савеловский, Беговой, Аэропорт, Хорошевский
В этом месяце жителям районов Савеловский, Беговой, Аэропорт, Хорошевский» предоставляется скидка 5% на ВСЕ мед.
Второе мнение
Не уверены в правильности поставленного вам диагноза? Прочь сомнения! Приходите в «МедикСити» и бесплатно проконсультируйтесь у н.
Скидки для друзей из социальных сетей!
Эта акция - для наших друзей в "Одноклассниках", "ВКонтакте", "Яндекс.Дзене", YouTube и Telegram! Если вы являетесь другом или подписчиком стр.
Кунижев Анатолий Султанович
Главный врач, врач-хирург, пластический хирург, директор по развитию многопрофильной клиники
Кандидат медицинских наук
Поповцев Максим Александрович
Врач-хирург, флеболог, онколог, специалист по УЗ-диагностике и лазерному лечению заболеваний вен
Научный сотрудник кафедры хирургии МПФ Первого Московского государственного медицинского университета
Сычев Андрей Владимирович
Врач-хирург, флеболог, онколог, специалист по УЗ-диагностике
Врач высшей категории, кандидат медицинских наук, доцент кафедры хирургии Центральной государственной медицинской академии УД Президента РФ, член Российского общества хирургов, Российской ассоциации флебологов, Национальной коллегии флебологов
Мы в Telegram и "Одноклассниках"
Лимфостаз (или лимфатический отек) – заболевание, возникающее при дисбалансе между образованием и оттоком лимфы. Чаще лимфатический отек развивается у женщин. Обычно лимфостаз сопровождается тяжестью в ногах. При лимфостазе происходит задержка жидкости в ногах в результате заболеваний сердца, почек, печени. Во время лимфостаза вены не успевают справляться с таким количеством жидкости, и в какой-то момент лимфатические сосуды, не выдержав напряжения, разрываются. Отсюда появляются отеки конечностей, трещины и язвы.
Симптомы лимфостаза
Отеки знакомы каждому, и мы порой просто не обращаем на них внимания. Однако отек – это проблема, которую нужно решать с помощью специалистов – врачей-флебологов. Лимфостаз, например, может сначала проявить себя легкими, самостоятельно проходящими отеками. А в это время неконтролируемая болезнь прогрессирует.
Основные симптомы лимфатического отека:
Виды лимфостаза
Различают первичный и вторичный лимфостаз. Первичный появляется во время полового созревания вследствие недостаточности лимфатических сосудов, которая приводит к застою лимфы. Вторичный – итог заболеваний лимфатической системы.
Причины вторичного лимфостаза:
- инфекции (в том числе, паразитарные);
- травмы, сопровождающиеся повреждением сосудов и узлов;
- опухоли лимфатической системы;
- рубцы и другие последствия удаления или облучения лимфоузлов.
Лимфостаз конечностей может быть преходящим (исчезающим самостоятельно) или же развивающимся по следующим стадиям развития:

Массаж в МедикСити

Консультация флеболога в МедикСити

Консультация флеболога в МедикСити
Причины тяжести в ногах
Существует несколько причин для появления отеков и тяжести в ногах.
- заболевания сердца и сосудов;
- излишний вес, который оказывает большую нагрузку на сердце и давит на ноги;
- монотонная или сидячая работа, приводящая к венозному застою;
- гендерная предрасположенность: женщины варикозом ног болеют чаще. Это происходит при беременности, сбое гормонального фона или из-за постоянного хождения в туфлях на высоком каблуке.
Диагностика при отеках
В клинике «МедикСити» Вам окажут высококвалифицированную медицинскую помощь при лимфостазе и других флебологических заболеваниях. В рамках одной клиники Вы сможете получить консультацию сосудистого хирурга и при необходимости врачей других направлений, а также пройти полное обследование.
Исследования, которые необходимо пройти при лимфостазе:
- ; ;
- биохимический анализ крови, анализ мочи;
- лимфография и лимфосцинтиграфия для определения проходимости сосудов (при необходимости, по назначению Вашего врача).

Лабораторная диагностика в МедикСити

УЗИ сосудов в МедикСити

УЗИ сосудов в МедикСити
В настоящее время задержкой жидкости в нижних конечностях страдает каждый десятый житель Земли. Если лечение лимфостаза пустить на самотек, то к лимфостазу могут добавиться такие малоприятные заболевания как экзема, рожистое воспаление и трофическая язва. Из-за болезни лимфостазом человек может стать инвалидом и передвигаться на костылях.
Лечение лимфостаза
Если отеки на ногах, появившиеся вечером, не исчезли к утру, то эти проявления вполне могут быть лимфостазом. Но не спешите самостоятельно ставить себе диагноз, постарайтесь как можно быстрее посетить врача.
Пациентам с лимфатическим отеком рекомендуется целый ряд лечебно-профилактических мероприятий, подбирает которые врач на основании проведенной диагностики.
Обычно пациентам назначается медикаментозная терапия, включающая флеботропные средства (напр., детралекс, троксевазин и др.), диуретики, антибиотики, иммуномодуляторы и др. Назначается также лимфотропная терапия (введение препаратов в лимфатические узлы, эффективна при рожистом поражении).
Обязательным является ношение компрессионного белья и свободной обуви, не стесняющей пораженных конечностей.
Кроме того, при лимфостазе необходимо соблюдать особую диету с низким содержанием соли, повышенным уровнем полиненасыщенных жирных кислот, антиоксидантов и др.
Следует отказаться от подъема тяжестей, статических нагрузок.
Рекомендуются плавание, лечебная физкультура, физиотерапевтические процедуры, массаж, прессотерапия.
Лечение при тяжести в ногах
Говоря о тяжести в ногах, можно назвать множество причин, связанных с различными заболеваниями. Поэтому и лечение тяжести в ногах должно быть комплексное.
Это и контроль за своим весом, предупреждение ожирения. И дозированная нагрузка на ноги, своевременный отдых, и полноценное питание, отказ от пищи богатой холестерином. Употребление фруктов, овощей, витаминов. Прогулки на свежем воздухе, лечебная гимнастика.
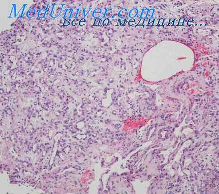
Ангиосаркома при лимфостазе. Внутрисосудистая эндотелиома.
Ангиосаркома при лимфостазе. Внутрисосудистая эндотелиома.
Ангиосаркома при лимфостазе впервые описана на руке после мастэктомии, затем — на ногах при длительном лимфостазе различного происхождения — после операций, терапии на область регионарных лимфоузлов, иногда после повторных лимфангинтов. Первоначально эти опухоли расценивали как лимфосаркомы, позже в них были выявлены перициты, что указывает на участие в возникновении опухоли и кровеносных сосудов. Образуется в разные сроки после начала лимфостаза (по литературным данным от 1 до 49 лет). После удаления молочной железы — в среднем через 9 лет.
Микроскопически картина полиморфна участки пролиферации капилляров и эндотелнальных почек иа фоне расширенных вен и капилляров, участки диффузной инфильтрации солидными пластами атипичных эндотелиоподобных клеток с наличием синусондных просветов и щелей. Строма представлена тяжами крупных клеток (типа ретикулярных ?) и фокусами фиброзной ткани. Отмечают, что как в основном очаге, так и в метастазах, микрокартина опухоли в разных участках различна и может напоминать саркому. Калоши или лимфому типа иммунобластной, что затрудняет морфологическую дифференциальную диагностику.
Внутрисосудистая эндотелиома (angioendotheliomatosis proliferans systematisata «inflammatoria») — мало известная и еще менее изученная опухоль, в которой различают две разновидности интраваскулярная эндотелиома — процесс, начинающийся с образования на коже пятен, бляшек, а затем к узлов. При микроскопическом исследовании отмечают образование капилляров, часто с пролиферацией эндотелия, с образованием атипичных эндотелиальных клеток, с обилием мнтозов н врастающих в просвет капилляров. Позже возникает инфильтрация атипичными веретенообразными клетками, расположенными снаружи от стенок сосудов, как при гемангиоперицитоме; внутрисосудистая эндотелиальная гиперплазия (angioendolhelioma proliferate systematisata «inflammatoria») — редкое образование, имитирующее интраваскулярную эндотелиому, ио в своем происхождении, по-видимому, связанное с воспалительно-реактивными процессами, возможно иммунного происхождения. Клинически — многолетнее течение, сопровождающееся лихорадкой, спонтанными ремиссиями и выздоровлением. Морфология процесса в литературе не описана.
Опухоли лимфатических сосудов составляют 8—9% всех доброкачественных новообразований. Среди заболевших преобладают дети и юноши. Опухоли часто бывают врожденными, локализуются в области головы и шеи, возможны и другие локализации, в том числе — средостение, брыжейка, забрюшинное пространство. Описаны в единичных случаях в кости, почке, мошонке, селезенке, печени.

Лимфангиома — опухоль из лимфатических сосудов, наблюдают чаще у детей как порок развития, но может встречаться в любом возрасте, без различия пола. Преимущественная локализация шея, слизистая оболочка полости рта, язык, забрюшинное пространство, брыжейка, очень редко — внутренние органы. Чаше наблюдают кавернозный или кистозкый варианты опухоли. Кавернозная лимфаигиома имеет вид диффузного утолщения органа или бывает в форме узла, состоящего из множества полостей, разделенных перегородками и заполненных прозрачной бесцветной или кровянистой жидкостью. При большой примеси крови говорят о гемолимфангиоме. Кистозная лимфангиома выглядит как одно- или многополостная киста с гладкими стенками. Микроскопически выстилка полостей состоит из одного ряда уплощенных эндотелиальных клеток. Часто в перегородках между полостями располагаются скопления лимфоидной ткани с образованием лимфатических фолликулов, что является характерным признаком лимфангиомы.
Лимфангиомиомой называют опухоль с наличием в стенках кавернозных и щелевидных полостей пучков гладкомышечных волокон. Описана в средостении, забрюшинной клетчатке, в связи с грудным протоком и впадающими в него крупными лимфатическими коллекторами. Генерализованная форма опухоли поражает легкие («сотовидные» легкие), может сочетаться с туберозным склерозом.
Системный лимфангиоматоз поражает главным образом детей; локализуется преимущественно в конечностях, обладает «эксцессивным» ростом лимфангиоматозных структур, может сопровождаться деформацией костей.
Лимфангиокератома ограниченная наблюдается на голове, больше в периоральной зоне, главным образом у юношей. Характерно образование узелков или пузырьков, представленных сетью расширенных лимфатических сосудов в папиллярном слое дермы, сочетающееся с истончением и гиперкератозом эпителия.
Лимфангиокератома ограниченная невиформенная встречается у детей, большей частью новорожденных, морфологически идентична предыдущей.
Злокачественная лимфангиоэндотелиома (лимфангиосаркома) возникает на фоне хронического лимфостаза после мастэктомии. Морфологической основой являются лимфатические щели, заложенные в соединительнотканной строме и выстланные несколькими слоями резко атипичных эндотелиальных клеток. По строению аналогична гемангиоэндотелиоме, но отличается отсутствием перицитов, слабо выраженным кровеносным компонентом Некоторые авторы отмечают, что описанные в литературе лимфангиосаркомы большей частью являются фактически гемангиоэндотелиомами.
Информация на сайте подлежит консультации лечащим врачом и не заменяет очной консультации с ним.
См. подробнее в пользовательском соглашении.
Ангиосаркома
Стенки кровеносных сосудов и лимфатических каналов выстланы изнутри тонким слоем клеток соединительной ткани — эндотелием. Это не просто барьер. Клетки эндотелия выполняют важнейшие функции, непрерывно производят биоактивные вещества. Фактически эндотелий — это диффузный эндокринный, или скорее, паракринный орган, охватывающий все тело.


По неясным причинам отдельные клетки этого органа могут мутировать. Они выпадают из нормальной общей работы, начинают ускоренно делиться и образуют злокачественную опухоль — ангиосаркому.
Если опухоль образовалась из клеток кровеносного сосуда, она называется гемангиосаркомой, если из стенки лимфатического канала — лимфангиосаркомой. Те и другие агрессивны — они метастазируют, поражая лимфатические узлы и внутренние органы.

Ангиосаркома может возникнуть вследствие лучевой терапии по поводу рака (молочной железы, матки) или лимфогранулематоза. Причем неважно, как давно проводилось лечение, это может быть несколько лет или десять — пятнадцать лет назад.
Чаще всего ангиосаркома образуется на ногах, несколько реже на голове (под волосами), на лице, на молочной железе. Возможно возникновение опухоли в печени. Исключительно редко она поражает сердце, в этом случае требуется пересадка органа.
Не менее редкий вид — ангиосаркома кости. Если новообразование возникло из сосудов кожи, это кожная разновидность саркомы. Она возникает обычно в пожилом возрасте, у мужчин в два раза чаще, чем у женщин.
Для других видов характерно более раннее возникновение, уже в 40–50 лет, причем с одинаковой частотой у мужчин и женщин.
Наши врачи вам помогут
Факторы риска
Хотя причины мутаций клеток эндотелия и зарождения ангиосарком в точности неизвестны, есть ряд факторов, которые повышают риск этого онкологического заболевания. И это не только лучевая терапия.
Например, ангиосаркома печени чаще возникает при контактах с химическими токсинами (метилхолантрен, поливинилхлорид, мышьяк, др.). Частые повреждения, травмы кожи служат фактором возникновения саркомы.
Застой лимфы, лимфостаз — фактор развития лимфангиосаркомы нижних конечностей.
При наличии доброкачественных новообразований кожи существует риск их перерождения в ангиосаркомы. Аутоиммунные заболевания — еще один фактор риска.
Виды и симптомы
Ангиосаркома — это мягкое, бугристое образование в мягких тканях, имеющее вид эластичного узла, болезненного наощупь. При ее разрезе обнаруживаются полости, заполненные кровью. Под микроскопом можно изучить ее структуру — густую сеть мелких сосудов и большие скопления низкодифференцированных раковых клеток.
Низко дифференцированный тип клеток опухоли означает, что они сильно отличаются от нормальных клеток соединительной ткани. Их деление происходит настолько быстро и интенсивно, что они не успевают созреть и сформироваться. Это определяет высокую агрессивность ангиосаркомы — ее клетки разносятся с лимфой и кровью по организму, образуя метастазы.
Но на ранней стадии метастазов еще нет, и опухоль никак не проявляет себя. Как правило, новообразование быстро растет, но до появления метастазов диагностируется как вторая стадия ангиосаркомы. Появление метастазов в регионарных лимфоузлах означает переход на третью стадию, а распространение на отдаленные органы — четвертую.
Чаще всего метастазы опухоли поражают печень, легкие, головной мозг, кости, почки. Общие симптомы онкологического заболевания — потеря аппетита, снижение веса, тошнота вследствие интоксикации организма, слабость, высокая утомляемость, увеличение лимфоузлов, субфебрильная температура.
При поражении ангиосаркомой печени развивается асцит (скопление жидкости в брюшной полости), желтуха. Живот раздувается, в нем ощущается боль. Печень увеличивается в размерах.
При поражении кости развивается сильный болевой синдром.
Ангиосаркома на ноге проявляется припухлостью, покраснением и/или посинением небольшого участка кожи, под которым прощупывается мягкий, эластичный, болезненный узелок. При сдвигании кожи, узелок остается на месте.
При ангиосаркоме сердца развивается аритмия, сердечная недостаточность.
При поражении верхней полой вены отекает шея и лицо.
Вовлечение в процесс головного мозга проявляется нарушением координации движений, ухудшением зрения, слуха, головными болями, тошнотой, припадками эпилепсии. В этом случае заболевание будет иметь худший прогноз.
Диагностика
- Первый этап диагностики — это прием у врача. Специалист международной клиники Медика24 внимательно выслушает вас, задаст вопросы, проведет внешний осмотр, пальпацию новообразования. При подозрении на злокачественный характер, он назначит анализы и обследования, которые вы сможете пройти в нашей клинике.
Диагностическая база клиники оснащена всем необходимым современным оборудованием, которое позволяет выполнить полный комплекс исследований в соответствии с лучшими мировыми, европейскими стандартами, чтобы полностью исключить врачебную ошибку.
Эти данные необходимы для составления оптимальной лечебной программы, чтобы гарантированно удалить опухоль, ее метастазы. Еще одна важная задача — минимизировать риск рецидивов, поскольку ангиосаркома к ним особенно склонна. Причем рецидивы зачастую возникают на том же самом месте.
Ангиосаркома
Ангиосаркома (АС) — это злокачественная опухоль, возникающая из клеток внутренней выстилки кровеносных и лимфатических сосудов. Встречается она редко, отличается высокой степенью злокачественности, а также склонностью к местным рецидивам и метастазированию.
Виды и классификация ангиосарком
В зависимости от особенностей ее возникновения, выделяют первичную и вторичную ангиосаркому. Первичные опухоли возникают у пациентов, которые раньше не имели злокачественных новообразований. Вторичные опухоли, соответственно, возникают у онкологических пациентов. Чаще это случается в том месте, где была первая опухоль, или в области, где проводилась лучевая терапия.
В зависимости от особенностей происхождения, выделяют гемангиосаркомы, опухоли, образующиеся из стенок кровеносных сосудов, и лимфангиосаркомы, развивающиеся из лимфатических сосудов.
Также ангиосаркомы классифицируют в зависимости от пораженного органа или ткани, в которой она развивается. Здесь выделяют печеночную АС, сердечную, кожную, ангиосаркому молочных желез и др.
Причины возникновения ангиосарком
Первичные ангиосаркомы обычно возникают спонтанно, без видимых причин. Причиной развития вторичных новообразований является противоопухолевое лечение, в частности лучевая терапия. Облучение может спровоцировать мутации в клетках эндотелия и, как следствие, возникает злокачественная трансформация.
Второй причиной является лимфостаз. Обычно он развивается у пациентов и пациенток, перенесших удаление регионарных лимфатических узлов. Из-за нарушения лимфодренажной функции у них может возникнуть лимфедема конечностей, которая сопровождается отечностью, увеличением объема пораженной области, болью. В ряде случаев конечности приобретают гигантские размеры. Ангиосаркома на фоне лимфостаза может возникнуть как в течение первого года после операции, так и через 27 лет. Средний срок составляет 10 лет.
Признаки ангиосаркомы
Признаки ангиосаркомы зависят от ее локализации. Например, при поражении молочной железы может отмечаться асимметрия, нарушение формы и изменение размера груди, шелушение кожи, пальпируемые новообразования и др. При поражении костей отмечается боль, покраснение и припухлость в области локализации опухоли, может присутствовать нарушение движения.
Кожная ангиосаркома на начальном этапе напоминает синяк, т.е. имеет вид сине-фиолетового пятна. При ее множественном характере эти новообразования увеличиваются в размерах и сливаются между собой. Затем образуется узел, его поверхность изъязвляется, появляется кровянистое или серозно-кровянистое отделяемое. Может присутствовать лимфорея (лимфотечение). Процесс может распространяться на всю конечность.
Как диагностируется ангиосаркома
В рамках диагностики ангиосаркомы ставятся следующие задачи — обнаружение опухоли, ее дифференцировка и определение стадии заболевания. Для обнаружения опухоли кожи достаточно обычного осмотра. А вот ангиосаркомы внутренних органов и костей требуют применения методов медицинской визуализации. В зависимости от особенностей исследуемого органа применяют маммографию, УЗИ, КТ, МРТ, сцинтиграфию и др.
Для дифференцировки диагноза применяется трепанбиопсия, когда берется фрагмент опухолевой ткани и исследуется под микроскопом. В ряде случаев, когда биопсию провести невозможно, морфологическое исследование выполняется после оперативного удаления новообразования. Учитывая то, что это очень редкая форма рака, рекомендуется, чтобы препарат был пересмотрен в референсной лаборатории.
Для определения стадии заболевания необходимо учитывать размер ангиосаркомы, степень ее злокачественности (определяется морфологически под микроскопом после ее удаления), а также наличие метастазов.
Как лечится ангиосаркома
Выбор метода лечения ангиосаркомы зависит от степени ее злокачественности, места расположения и размеров.
Хиругическая операция
Хирургия является краеугольным камнем в лечении ангиосарком. Здесь используются следующие виды вмешательств:
- Широкая местная резекция. В основном она применяется при ангиосаркомах кожи небольших размеров.
- Широкое иссечение. В этом случае опухоль удаляется в рамках одной анатомической зоны. От края опухоли отступают на 4-6 см. Края резекции могут быть уменьшены, если есть естественные анатомические барьеры, например, фасции или надкостница.
- Радикальное органосохраняющее удаление. В этом случае ангиосаркома удаляется вместе с мышцами и фасциями. Причем мышцы отсекаются в местах их прикрепления. Одновременно может выполняться резекция костей, крупных сосудов, нервных стволов.
- Ампутация конечностей или экзартикуляция. В этом случае удаляется конечность, или производится вычленение по линии суставной щели. Это калечащие операции, которые необходимы в случае высокозлокачественных ангиосарком, которые поражают сосуды на большом их протяжении, а также инфильтрируют мышцы и кости.
При органосохраняющих операциях обязательно проводится гистологическое исследование на предмет чистоты краев отсечения. Если обнаруживаются злокачественные клетки, ставится вопрос о повторной операции для обеспечения радикальности хирургического лечения.
Лучевая терапия
Лучевая терапия используется в рамках комбинированного противоопухолевого лечения распространенных высокозлокачественных ангиосарком. Ее могут назначать до операции, в этом случае целью является уменьшение размеров опухоли и перевод ее в резектабельное состояние. При успешном лечении можно рассматривать вариант менее калечащей операции. Также лучевая терапия может проводиться в адъювантном режиме, т.е. после операции. Ее целью является уничтожение оставшихся злокачественных клеток и увеличение времени до возникновения рецидива.
Поля облучения при предоперационной лучевой терапии рассчитывают таким образом, чтобы они отступали от края опухоли как минимум на 3-4 см. Если размеры первичного очага очень большие, например, когда имеются сливные ангиосаркомы кожи, то отступ может достигать 10 см. В таком объеме ткани облучаются до достижения суммарной очаговой дозы в 45-50 Гр, оставшуюся часть лечения получает только сама опухоль.
При расположении ангиосаркомы на конечностях есть риск развития контрактур, отеков и некрозов. Чтобы их предотвратить, или хотя бы снизить вероятность их развития, стараются облучать не более 2/3 окружности конечности.
Послеоперационное облучение назначают при нерадикально проведенном удалении и при высокой степени злокачественности опухоли. Терапию назначают не позже, чем через 4 недели после операции. При этом поля облучения рассчитывают таким образом, чтобы они включали ложе опухоли, послеоперационный рубец и ткани в пределах 2 см от краев отсечения. При радикальной операции суммарная очаговая доза должна составлять 60 Гр, а при нерадикальной 70 Гр.
Если ангиосаркома нерезектабельна, лучевая терапия становится основным методом лечения. В этом случае проводят облучение всей толщины опухоли и тканей вокруг нее до достижения СОД 70 Гр.
Химиотерапия
Как и лучевая терапия, химотерапия является частью комбинированного лечения ангиосарком. Она может применяться на дооперационном и послеоперационном этапе. До операции химию назначают для уменьшения размеров опухоли и обеспечения условий ее радикального удаления органосохраняющими методами. После операции ХТ проводят для увеличения продолжительности безрецидивной выживаемости. Преимуществом химиотерапии является то, что она действует на весь организм и, соответственно, даже на отдаленные микрометастазы, которые на этапе диагностики могут быть не обнаружены. Также ХТ используется для лечения распространенного процесса, когда имеются диагностированные метастазы.
В рамках лечения применяются многокомпонентные схемы, основой которых является доксорубицин. Помимо этого, в протокол могут включаться этопозид, винкристин, цисплатин и другие препараты. Схема подбирается в зависимости от чувствительности опухоли. В расчет берутся и результаты предыдущих курсов химиотерапии.
Прогноз заболевания
Прогноз серьезный. Зависит он от размеров первичной опухоли, возможности проведения радикального лечения, общего состояния больного и его возраста. Лучшие перспективы у детей. У них удается добиться полного выздоровления в 60% случаев. У лиц старше 60 лет прогноз наименее благоприятный.
Также необходимо учитывать стадию патологии на момент диагностики. При ранней стадии пятилетняя выживаемость составляет около 50%, в распространенной этот процент не превышает 10%.
Методы профилактики
Методов профилактики первичных ангиосарком не существует. Что касается вторичных опухолей, то здесь мероприятия начинаются еще в момент лечения первой опухоли. В первую очередь, это касается планирования лучевой терапии и расчета полей облучения таким образом, чтобы максимально снизить получаемую дозу в незаинтересованных тканях.
Вторым моментом является профилактика лимфедемы. С этой целью пациенты должны беречь конечность на стороне удаления лимфатических узлов. Не допускать физических нагрузок, травм кожи и др.
В «Евроонко» имеется современная материально-техническая база, а лечением ангиосарком занимаются квалифицированные врачи с большим опытом работы согласно мировым стандартам.
Ангиосаркома
Ангиосаркома – онкологическое заболевание, которое встречается редко, но характерно высокой агрессивностью и быстрым распространением. Данный тип опухоли происходит из клеток перителия и эндотелия, которые образуют внутреннюю оболочку. В зону поражения попадает печень, кожа, почки, головной мозг, легкие.
Симптомы ангиосаркомы
Клинические признаки заболевания зависят от места локализации новообразования. Ангиосаркома сопровождается следующими проявлениями:
- Поражение молочной железы – сопровождается образованием болезненного узла, возникающего в толще мягких тканей. При этом появляется видимая асимметрия груди. В зоне опухоли кожа становится багрово-синюшной, постепенно истончается. Прогрессирование патологического процесса приводит к кровоточивости кожных покровов в месте локализации образования.
- Локализация в нижних конечностях – сильные боли при передвижении и нарушение двигательных функций. Пальпируемое не плотное, неподвижное, бугристое образование, имеет фиолетовый или красный оттенок, болезненное на ощупь.
- Ангиосаркома сердца – боль в груди, аритмия, отечность лица и шеи, затрудненное дыхание.
- Ангиосаркома печени – желтушность кожи, увеличение живота, водянка, потеря веса, боль.
- Опухоль головного мозга – нарушение координации движений, тошнота, головные боли, полная потеря слуха или зрения, возможны приступы эпилепсии.
Общие признаки выражены в увеличении лимфоузлов, интоксикации. Также для ангиосаркомы характерно повышение температуры.
Причины развития ангиосаркомы
Как и при многих видах раковых заболеваний, ангиосаркома не имеет определенных причин, которые являются базой для развития опухоли. Но ученые указывают на ряд предрасполагающих факторов.
Образование опухоли может происходить на фоне:
- сосудистых дисфункций;
- острых вирусных инфекций;
- лечения лучевой терапией;
- развития ангиогенных образований;
- влияния химических канцерогенов;
- перенесения других раковых опухолей;
- нарушения лимфотока;
- облучения радиацией;
- механических сосудистых травм;
- наследственности.
Первое место в ряду провоцирующих факторов, по мнению многих специалистов, занимает лимфостаз. При нарушении оттока лимфы ткани начинают накапливать канцерогены, под воздействием которых эндотелиальные клетки начинают мутировать. Этот процесс и приводит к формированию злокачественных образований.
Методы диагностики ангиосаркомы
В клинике «Хадасса» имеется передовое техническое оснащение, с помощью которого удается выявить ангиосаркому на начальных стадиях прогрессирования заболевания. Диагностика ангиосаркомы проводится с помощью следующих исследований:
исследование пораженных внутренних органов и мягких тканей для определения степени неопластического поражения
данное исследование позволяет оценить степень распространенности злокачественного процесса и исключить вероятность развития сопутствующих заболеваний
Профилактика и программы лечения ангиосаркомы в клинике Хадасса
Высокие показатели эффективного лечения ангиосаркомы каждый год регистрируются в клинике «Хадасса» в Москве. Это обусловлено комплексным подходом к лечению, которое проводится с помощью высокотехнологичных методик:
- Хирургии. Проводится резекция злокачественного образования с удалением регионарных лимфатических узлов и окружающей ткани. При высокой степени злокачественности ангиосарком показана ампутация конечности или экзартикуляция.
- Лучевая и химиотерапия. Показана в том случае, если опухоль обладает чувствительностью к ионизирующему излучению. Методы используются как до хирургического вмешательства, так и после него. Цель – замедлить прогрессирование неоплазии, исключить метастазирование и остаточные явления.
В медицинском центре с помощью современного оборудования проводятся лечебные процедуры и малоинвазивные хирургические вмешательства на высоком уровне. Наилучшие результаты противоопухолевой терапии достигаются благодаря профессионализму онкологов.
Специальной профилактики ангиосаркомы не существует. Врачи рекомендуют заниматься общим укреплением организма, исключить вредные привычки и полноценно питаться.
Поскольку для ангиосаркомы характерно агрессивное течение и высокая степень злокачественности, прогноз в этом случае является неутешительным. При своевременном диагностировании злокачественного процесса 5-летняя выживаемость составляет около 15%.
Читайте также:
