Диагностика бактериального воспалительного процесса в пульмонологии.
Добавил пользователь Владимир З. Обновлено: 03.12.2025
Диагностика бактериального воспалительного процесса в пульмонологии.
Диагностика бактериального воспалительного процесса в пульмонологии основана на клинико-микробиологических и клинико-иммунологических сопоставлениях. В настоящее время при определении этиологии инфекционного воспалительного процесса наиболее эффективным является использование комплекса вирусологических, микробиологических и иммунологических методов диагностики. С помощью количественных микробиологических методов определяют концентрацию бактерий в бронхиальном содержимом и других патологических субстратах. Иммунологические методы (РНИФ, ИФА, РПГА и другие) позволяют установить уровень антител и изменение титров их в крови и бронхиальном содержимом (slgA) в течении болезни. Критерии определения этиологической значимости выделенных микроорганизмов различны для патогенных (S.pneumoniae и др.) и условно патогенных (Н.influenzae, S.aureus, Kl.pneumoniae, Ps.aeruginosa и др.) бактерий. Диагностически значимым является выделение пневмококка из мокроты в концентрации > 106 КОЕ/м.т или из бронхиальных смывов > 104 КОЕ/мл. при соответствующей клинической картине болезни.
Однако антибиотикотерапия и высокий уровень антител при поздних сроках обследования больных уменьшают концентрацию пневмококка в бронхиальном содержимом и способствуют его изменчивости, что обусловливает отрицательные результаты микробиологических исследований. В этот период болезни диагностика пневмококковой инфекции возможна только на основании определения антител в крови с помощью различных иммунологических реакций. До настоящего времени нет стандартного пневмококкового антигенного препарата. Различные авторы используют отдельные капсульные полисахариды или комплекс их, входящий в состав пневмококковой вакцины; белковые компоненты клеточной стенки и соматические, пневмолизин и интактные бактериальные клетки. Сопоставление этих антигенных препаратов убедительно показало наибольшую эффективность определения антител к поверхностным гликопротеинам и гликолипидам интактных бактериальных клеток с помощью РНИФ, так как позволяет обнаружить иммунологический ответ уже в первые дни болезни и проследить его динамику. Кроме высокой диагностической значимости этот метод позволяет изучить местный и системный специфический гуморальный иммунитет, так как выявляемые антитела обладают протективными свойствами.

Исследование в этой реакции не только аутоштаммов, но и смеси штаммов, принадлежащих к 3 ведущим серотипам (2, 3 и 6), высокоэффективно (более 90% положительных результатов). Общепринятыми иммунологическими критериями диагностики являются четырехкратная сероконверсия или высокие (> 1:640) титры антител при поздних сроках обследования.
Широкое распространение различных условно патогенных бактерий и высокая частота контаминации ими бронхиального содержимого создают большие трудности при диагностике вызываемых этими микроорганизмами инфекционных воспалительных процессов. Поэтому определение этиологии данных воспалительных процессов основано всегда на сочетании результатов микробиологических и иммунологических методов диагностики: на определении длительного обсеменения бронхиального содержимого определенным видом(ами) бактерий в условно диагностической концентрации (> 106 КОЕ/мл) и на обнаружении местной и/или системной иммунологической реакции организма больного на этот возбудитель.
Информация на сайте подлежит консультации лечащим врачом и не заменяет очной консультации с ним.
См. подробнее в пользовательском соглашении.
Бактериальная пневмония
Бактериальная пневмония – это микробная инфекция респираторных отделов легких, протекающая с развитием внутриальвеолярной экссудации и воспалительной инфильтрации легочной паренхимы. Бактериальная пневмония сопровождается лихорадкой, слабостью, головной болью, кашлем со слизисто-гнойной или ржавой мокротой, одышкой, болью в груди, миалгией и артралгией, легочной недостаточностью. Диагноз бактериальной пневмонии основан на данных физикального осмотра, рентгенографии легких, общего и биохимического анализов крови, микроскопии и посева мокроты. Основу лечения бактериальной пневмонии составляет этиотропная антибиотикотерапия.
МКБ-10


Общие сведения
Бактериальная пневмония – острый инфекционно-воспалительный процесс в легочной ткани, вызываемый патогенной микробной флорой и характеризующийся развитием лихорадочного, интоксикационного синдромов и дыхательной недостаточности. Среди прочих этиологических форм воспаления легких (вирусных, паразитарных, грибковых и пр.) бактериальные пневмонии уверенно удерживают первое место. Ежегодно бактериальной пневмонией заболевает около 1000 человек на 100 тыс. населения. Наиболее уязвимый контингент - дети младше 5 лет и пожилые люди после 75 лет. В пульмонологии проблема пневмонии акцентирует на себе внимание в связи с неуклонным ростом числа случаев осложненного течения и уровня летальности.

Причины
При других бактериальных заболеваниях (сибирской язве, гонорее, сальмонеллезе, туляремии, брюшном тифе, коклюше) возбудителями пневмонии могут служить представители специфической микрофлоры. При иммунодефицитном состоянии бактериальными агентами часто выступают пневмококки, легионелла и гемофильная палочка.
Патогенные микроорганизмы могут проникать в легочную ткань прямым, воздушно-капельным и гематогенным путем. У пациентов с неврологической симптоматикой и нарушением сознания часто наблюдается аспирация секрета ротовой полости и носоглотки, контаминированного бактериями. Гематогенная диссеминация возбудителя бактериальной пневмонии происходит с током крови из внелегочного очага (при инфекционном эндокардите, заглоточном абсцессе). Инфекция может проникать в легкие при ранениях грудной клетки, интубации трахеи, из окружающих тканей при прорыве поддиафрагмального абсцесса и т. д.
В патогенезе бактериальной пневмонии определяющим является не только вирулентность и механизм проникновения возбудителя, но и уровень местного и общего иммунитета. К развитию бактериальной пневмонии предрасполагают:
- ОРВИ
- курение, употребление алкоголя
- частые стрессы, переутомление
- гиповитаминоз
- пожилой возраст
- загрязнение воздуха.
- снижение иммунной защиты. Происходит при сопутствующей патологии: застойной сердечной недостаточности, врожденных пороках бронхолегочной системы, ХОБЛ, хронической ЛОР-инфекции, иммунодефиците, тяжело и длительно протекающих заболеваниях; вследствие хирургического вмешательства и длительной иммобилизации.
Классификация
Классификация нозологических форм заболевания базируется на видах инфекционных возбудителей, в соответствии с которыми различают пневмококковые, стафилококковые, стрептококковые, менингококковые пневмонии, а также пневмонии, вызванные гемофильной палочкой, клебсиеллой, кишечной палочкой, синегнойной палочкой, легионеллой и др. По клиническому течению выделяют бактериальную пневмонию:
- очаговую(бронхопневмонию). Воспалительные изменения затрагивают отдельные участки легочной ткани и прилегающие к ним бронхи.
- долевую(лобарную, крупозную). Поражается паренхима целой доли легкого.
Чаще поражаются нижние отделы легких. Может иметь место односторонняя и двусторонняя бактериальная пневмония, при одновременном поражении плевры развивается плевропневмония.
Симптомы бактериальной пневмонии
Клинические проявления и тяжесть течения бактериальной пневмонии определяются типом возбудителя, объемом поражения, возрастом и состоянием здоровья пациента. При типичном варианте бактериальной пневмонии возникает внезапная ремиттирующая лихорадка, кашель продуктивного характера со слизисто-гнойной или ржавого вида мокротой, иногда плевральные боли в грудной клетке. Больных беспокоит сильная слабость, резкое недомогание, головная боль, одышка, миалгия и артралгия, потеря аппетита. Нередко выявляется синусовая тахикардия, аритмия, артериальная гипотония. Могут развиваться признаки дыхательной, сердечной и почечной недостаточности.
Для стафилококковой пневмонии характерно бурное начало, скачок температуры до 40°С с рецидивирующими ознобами, общее тяжелое состояние, связанное с деструкцией легких, появлением очагов некроза, полостей, абсцедированием легочной ткани. Фридлендеровская пневмония напоминает крупозное воспаление легких, имеет затяжное течение и сопровождается лихорадкой (39-40°С), упорным кашлем, выделением вязкой бурой мокроты с неприятным запахом, общей интоксикацией, быстрым развитием обширных некрозов легочной ткани, одиночных абсцессов, плеврита, инфаркта легкого, септических осложнений. Тяжело протекающая пневмония, вызванная синегнойной палочкой, характеризуется высоким уровнем летальности. При пневмококковой пневмонии некроз и абсцедирование развиваются редко.
Атипичные формы пневмонии возникают при инфицировании легких анаэробами полости рта, легионеллой. Их особенностью служит постепенное развитие симптоматики, доминирование внелегочных проявлений. Например, легионеллезная пневмония сопровождается неврологическими проявлениями, дисфункцией печени, диареей. У пожилых лиц бактериальная пневмония отличается затяжным течением с длительным субфебрилитетом, заметным ухудшением самочувствия, выраженной одышкой, обострением сопутствующих заболеваний, дисфункцией ЦНС.
Осложнения
Бактериальной пневмонии свойственно поражение дыхательных путей с воспалительной инфильтрацией паренхимы легких; синдромом раздражения плевры и плевральным выпотом. Возможно образование очагов некроза легочной ткани с формированием полости, осложняющееся некротической пневмонией, абсцессом легкого. Также осложнениями бактериальной пневмонии могут стать эмпиема плевры, гангрена легкого, при выраженной ДН - респираторный дистресс-синдром. Генерализация бактериальной инфекции опасна развитием гломерулонефрита, менингита, инфекционно-токсического шока, сепсиса.
Диагностика
При осмотре больного бактериальной пневмонией отмечается бледность, цианоз, тяжелое дыхание; при пальпации – усиление голосового дрожания со стороны поражения; при перкуссии – укорочение и притупление легочного звука; при аускультации - усиление бронхофонии, жесткое или бронхиальное дыхание, влажные мелкопузырчатые хрипы и шум трения плевры. Синдром воспаления при бактериальной пневмонии подтверждается лейкоцитозом со сдвигом формулы влево, лимфопенией, умеренным или значительным повышением СОЭ, появлением С-реактивного белка.
Рентгенография легких в прямой и боковой проекциях определяет наличие, локализацию и протяженность участков воспаления и деструкции легочной ткани, наличие плеврального выпота. Установить потенциального возбудителя бактериальной пневмонии помогает микроскопия, а также культуральный посев мокроты и промывных вод бронхов. Дополнительно проводится посев крови на стерильность, анализ плеврального выпота, ИФА. При одышке и хронической легочной патологии изучается ФДВ, при тяжелом осложненном течении бактериальной пневмонии исследуется газовый состав артериальной крови для оценки уровня гипоксемии и гиперкапнии, насыщения Hb кислородом.
Спиральная КТ и МРТ легких применяются при дифференциации диагноза. При диагностике бактериальной пневмонии требуется исключить инфильтративный туберкулез, рак легкого, инфаркт легкого, эозинофильный инфильтрат, застойную сердечную недостаточность, ателектаз легкого.

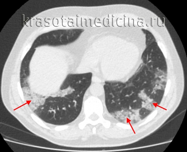
КТ ОГК. Множественные обширные участки снижения пневматизации по типу консолидации в нижних долях обоих легких.
Лечение бактериальной пневмонии
Лечение бактериальной пневмонии в зависимости от степени тяжести проводится амбулаторно или в условиях стационара, при необходимости в отделении ИТ. В лихорадочный период рекомендован постельный режим, обильное питье, легко усваиваемое полноценное питание.
Антибиотикотерапия
Этиотропная противомикробная терапия назначается эмпирически с коррекцией после идентификации возбудителя и получения антибиотикограммы. При бактериальной пневмонии применяются аминопенициллины, макролиды, цефалоспорины в виде монотерапии или сочетания нескольких антимикробных препаратов. При нетяжелой внебольничной пневмонии назначаются пероральные и внутримышечные формы препаратов, при тяжелом течении целесообразно их внутривенное введение; длительность лечения составляет 10-14 дней.
При пневмонии, вызванной стафилококками, энтеробактериями и легионеллой необходим более длительный курс антибиотикотерапии, составляющий 14-21 день. При аспирационной и госпитальной бактериальной пневмонии дополнительно используются фторхинолоны, карбапенемы, комбинации с аминогликозидами, линкозамидами и метронидазолом.
Симптоматическая терапия
В осложненных случаях проводится дезинтоксикационная и иммунотерапия, коррекция микроциркуляторных нарушений и диспротеинемии, кислородотерапия. Могут назначаться жаропонижающие средства, анальгетики, глюкокортикоиды, сердечные препараты. Больным с бронхообструктивной патологией показана аэрозольтерапия с бронхо- и муколитическими средствами.
При абсцедировании проводится санационная бронхоскопия с использованием растворов антисептиков, антибиотиков, муколитиков. Рекомендуются дыхательные упражнения, массаж, физиопроцедуры. Показано наблюдение терапевта и пульмонолога, санаторно-курортное лечение.
Прогноз и профилактика
Прогноз бактериальной пневмонии обусловлен тяжестью процесса, адекватностью антибиотикотерапии. Летальность при бактериальной пневмонии достигает 9% (при нозокомиальной форме - 20%, у пожилых пациентов - 30%, в осложненных случаях - до 50%). Профилактика заключается в санации гнойных очагов ЛОР-органов, соблюдении правил и принципов проведения ИВЛ, повышении иммунной реактивности. Важным слагаемым является адекватная антибиотикотерапия различных инфекций.
1. О выборе антибиотика для лечения постгриппозной бактериальной пневмонии/ Вознесенский Н.А.// Лечебное дело. – 2010 - №1.
2. Эпидемиология, клиника и лечение тяжелых форм вирусно-бактериальных пневмоний: Учебное пособие/ Хапий Х.Х и соавт. – 2014.
3. Внебольничная пневмония у взрослых: практические рекомендации по диагностике, лечению и профилактике: Пособие для врачей/ Чучалин А.Г., Синопальников А.И., Козлов Р.С., Тюрин И.Е., Рачина С.А.// Клиническая микробиология и антимикробная химиотерапия. - 2010 - Том 12, No3.
4. Структура бактериальных возбудителей и рациональная фармакотерапия внебольничной пневмонии/ А.С. Герасимова, Е.А. Челбаева, Г.Н. Тарасеева, В.Э. Олейников. – 2016.
а) Терминология:
1. Определения:
• Бактерии: одноклеточные микроорганизмы
• Классификация по форме: кокки (сферические), бациллы (палочковидные), вибрионы (в виде запятой), спирохеты (спиралевидные)
2. Классификация пневмонии и факторы риска:
• Внебольничная пневмония (ВП):
о Пневмония, выявленная у амбулаторных пациентов или до 48 часов от момента госпитализации
• Внтурибольничная (нозокомиальная) пневмония (ВБП):
о Возникает спустя >48 часов после госпитализации
• Пневмония, связанная с оказанием медицинской помощи
о У амбулаторных пациентов, получающих медицинскую помощь, или у лиц из группы риска мультирезистентных инфекций
• Вентилятор-ассоциированная пневмония (ВАП):
о Возникает через >48 часов после интубации трахеи и механической вентиляции
б) Визуализация:
1. Общая характеристика:
• Лучший диагностический признак:
о Участки консолидации на рентгенограмме органов грудной клетки, гнойная мокрота, температура >38°, лейкоцитоз или лейкопения
2. Рентгенография легких при бактериальной пневмонии:
• Участки консолидации с симптомом «воздушной бронхографии», занимающие долю легкого (картина может варьировать): мультифокальные, «пятнистые», двухсторонние:
о Участки консолидации, занимающие долю легкого, и выбухание междолевой плевры (Klebsiella pneumoniae) (30%):
- Обширная воспалительная экссудация
о Бронхопневмония: ретикулярные и/или нодулярные изменения, кавитация, плевральный выпот:
- Первичная картина туберкулеза (ТБ): консолидация, лимфаденопатия, плевральный выпот
- Постпервичная картина ТБ: неоднородные участки консолидации в верхних долях легких + кавитация (45%)
о Милиарный ТБ: множественные хорошо отграниченные очаги (2-3 мм) в обоих легких со случайным распределением
о Кавитация и формирование пневматоцеле

(Слева) На аксиальной КТ без КУ у мужчины 28 лет с пневмонией, вызванной золотистым стафилококком, визуализируются множественные участки консолидации легочной ткани, сопоставимые с бронхопневмонией. Обратите внимание на сопутствующее утолщение стенок бронхов.
(Справа) На корональной КТ без КУ определяется классическая постпервичная картина туберкулеза с наличием множественных центрилобулярных очагов в обоих легких и очагов в виде «дерева в почках». Картина соответствует эндобронхиальной диссеминации заболевания. У пациентов с иммунодефицитом часто наблюдается кавитация.
3. КТ легких при бактериальной пневмонии:
• Может выполняться в отдельных случаях:
• Консолидация (например, при поражении дыхательных путей):
о Сегментарные или субсегментарные участки консолидации
о Разбросанные «пятнистые» участки консолидации, часто с перибронховаскулярным распределением (бронхопневмония)
• Кавитация и пневматоцеле (золотистый стафилококк), абсцесс и гангрена легкого (Klebsiella pneumoniae)
• Разветвленные структуры и очаги в виде «дерева в почках»:
о Микобактериальные, бактериальные, вирусные инфекции
о Разбросанные очаги с поражением всех долей легких (высокая вероятность Mycobacterium avium-intracellulare)
о Аспирация: часто становится причиной пневмонии; участки снижения пневматизации в гравитационно зависимых отделах легких, сопутствующие патологические изменения пищевода
• Милиарная картина (микроузелки):
о Хорошо отграниченные микроузелки (2-3 мм) с хаотическим распределением в обоих легких (гематогенная диссеминация)
о ТБ (часто), гистоплазмоз, пневмоцистная пневмония (редко)
• Нетуберкулезная микобактериальная инфекция (НТМБ) с бронхоэктазами
о Бронхоэктазы в средней доле правого легкого и язычковых сегментах левого легкого, очаги в виде «дерева в почках»; заболевают пожилые женщины с белым цветом кожи (синдром леди Уиндермир)
• Первичная картина ТБ: консолидация (сегментарная, долевая, мультифокальная, узловая, с опухолеподобным компонентом) и лимфаденопатия
• Постпервичная картина ТБ и классические/некавернозные НТМБ: преимущественно поражение верхних долей легких:
о Неоднородные участки консолидации: сегментарные, долевые, мультифокальные
о Кавитация (45%)
о Эндобронхиальная диссеминация: очаги в виде «дерева в почках», центрилобулярные (2-4 мм) и ацинарные, дольковые участки консолидации
о Стеноз бронхов, утолщение стенок бронхов
• Реактивный парапневмонический выпот и эмпиема:
о Парапневмонический выпот:
- Часто наблюдается при пневмонии, вызванной Streptococcus pneumoniae
- Свободный плевральный выпот, стекающий в гравитационно зависимые области
о Эмпиема обычно сочетается с осумкованием; утолщением и контрастированием плевры:
- Симптом «расщепленной» плевры: контрастирование утолщенных париетального и висцерального листков плевры, отделенных друг от друга жидкостью
4. УЗИ легких при бактериальной пневмонии:
• Плевральный выпот (свободный или осумкованный)
• Экссудат может быть разделен перегородками
• Часто применяется для контроля торакоцентеза и дренирования

(Слева) На аксиальной КТ без КУ у пациента 62 лет с иммунодефицитом и пневмонией, вызванной Nocardia, в верхней доле левого легкого визуализируется опухолеподобный участок консолидации с множественными фокусами кавитации. Диагноз пневмонии, вызванной Nocardia, был выставлен на основании бронхоальвеолярного лаважа.
(Справа) На аксиальной КТ без КУ (MIP) у пациента с инфекционным целлюлярным бронхиолитом бактериальной этиологии в нижней доле левого легкого визуализируются мелкие сгруппированные очаги в виде «дерева в почках».
в) Дифференциальная диагностика бактериальной пневмонии:
1. Вирусная пневмония:
• Картина аналогична бактериальной пневмонии
2. Аспирационная пневмония:
• Поражение гравитационно зависимых отделов легких
• Аспирация, заболевания пищевода, неврологические нарушения
3. Организующаяся пневмония:
• Субплевральные и перибронховаскулярные участки консолидации
• Подострая или хроническая; пациенты часто получают лечение по поводу бактериальной пневмонии в течение различного времени
г) Патология. Общая характеристика:
• Этиология:
о Streptococcus pneumoniae (пневмококк): грам-положительные кокки, растущие парами или короткими цепочками:
- Наиболее типичная этиология внебольничной пневмонии
- Определение пневмококкового антигена в моче: чувствительность 70-90%, специфичность 80-100%
о Staphylococcus aureus: грам-положительные кокки, растущие группами:
- Метициллин-резистентный S. aureus (MRSA):
Мультирезистентный патоген, связанный с высокой летальностью (20-50%)
У госпитализированных пациентов; лиц, проживающих в домах престарелых; лиц с постоянными катетерами
- Внебольничный MRSA:
Чаще всего страдают здоровые молодые пациенты без факторов риска или сопутствующих заболеваний
Ген лейкоцидина Пантона-Валентайна (ЛПВ) обнаруживается в 85% случаев некротизирующей пневмонии, вызванной внебольничным MRSA
ЛПВ является цитотоксином, приводящим к деструкции лейкоцитов и некрозу тканей
о К. pneumoniae: грам-отрицательные бациллы:
- 0,5-5% всех случаев пневмонии:
Уровень летальности у лиц, злоупотребляющих алкоголем, 50-60%
- Часто заболевают пожилые ослабленные люди и лица, злоупотребляющие алкоголем
о Синегнойная палочка: грам-отрицательные бациллы:
- Наиболее типичная этиология нозокомиальных пневмоний
- 25% ВАП
о Legionella pneumophila: грам-отрицательные бациллы, в норме обнаруживаемые в местах с высокой влажностью:
- «Болезнь легионеров»
о Haemophilus influenzae: грам-отрицательные коккобациллы, обусловливающие 5-20% случаев ВП:
- Пневмония, вызванная Н. influenzae, S. pneumoniae, Moraxella catarrhalis, и псевдомонадами, может приводить к обострению ХОБЛ
- Лучевая картина варьирует от «матового стекла» до явной консолидации
о Nocardia asteroides: повсеместно распространенные грамположительные кислотоустойчивые ветвящиеся бациллы, напоминающие четки:
- Причина некротизирующей или кавитирующей пневмонии у пациентов с иммунодефицитом
о Актиномицеты: анаэробные грам-положительные бактерии:
- Алкоголизм, недостаточная гигиена полости рта, сопутствующие заболевания зубов
- Могут распространяться за пределы различных тканей, в т.ч. в грудную стенку и средостение
о Mycobacterium tuberculosis: аэробные неподвижные бациллы, окрашиваемые по Цилю-Нильсену, кислотоустойчивые (не обесцвечиваются в смеси кислот и этилового спирта):
- Активная ТБ инфекция: клинические, радиологические, или бактериологические признаки активной болезни
о Нетуберкулезные (атипичные) микобактерии
- Источник инфекции для человека - вода, путь передачи -ингаляционный, водный; возможна также непосредственная инокуляция
- Болезнь «горячей ванны»: реакция гиперчувствительности на НТМБ

(Слева) На корональной КТ с КУ у пациента с пневмонией, вызванной метициллин-резистентным золотистым стафилококком, в правом легком определяется участок консолидации с симптомом «воздушной бронхографии», фокусами кавитации, аспирированным контрастом. Контраст визуализируется также в просвете пищевода. Определяется правосторонний осумкованный плевральный выпот.
(Справа) На аксиальной КТ без КУ у пациента с пневмонией, вы званной Mycoplasma pneumoniae, визуализируются участки консолидации, занимающие несколько легочных долек, плохо отграниченные центрилобупярные очаги, зоны «матового стекла», на фоне утолщения стенок бронхов.
д) Клинические особенности:
1. Проявления:
• Типичные признаки/симптомы:
о Клинические проявления могут быть разнообразными и запутанными:
- Классические симптомы: лихорадка, общая слабость, кашель с мокротой, диспноэ, боль в грудной клетке (связанная с раздражением плевры), кровохарканье
- Атипичные проявления: усиливаются в старшем возрасте, при наличии сопутствующих заболеваний, вредных привычек, соответствующих причинных патогенов
2. Демография:
• Эпидемиология:
о Шесть миллионов случаев в год в США
о ВП: наиболее типичная этиология S. pneumoniae
о Бактериальная внутрибольничная пневмония: 2-я наиболее типичная нозокомиальная инфекция в США:
- До 25% всех инфекций в отделениях интенсивной терапии
- Уровень летальности: 30-70%:
Р. aeruginosa или Acinetobacter
о Бактериальная пневмония у ВИЧ-инфицированных:
- Наиболее частая легочная инфекция у ВИЧ-инфицированных людей в развитых странах
- У ВИЧ-инфицированных встречается в шесть раз чаще, чем среди населения в целом
- Высокоактивная антиретровирусная терапия (ВААРТ) снижает вероятность бактериальной пневмонии
- Инфекции у пациентов с тяжелым синдромом приобретенного иммунодефицита (СПИД): N. asteroides, Rhodococcus equi, Bartonella henselae
о Пневмония, связанная с оказанием медицинской помощи:
- MRSA
о ВАП:
- Механическая вентиляция: >800 тысяч пациентов в год в США
- 10-30% пациентов, кому потребовалась механическая вентиляция легких в течение > 48 часов:
Р.aeruginosa, Acinetobacter, MRSA
3. Течение и прогноз бактериальной пневмонии:
• Паранеопластический плевральный выпот: 20-60% госпитализированных пациентов с бактериальной пневмонией
о В большинстве случае плевральный выпот является реактивным и разрешается при антибиотикотерапии
• Кавитация: позволяет предположить бактериальную, а не вирусную или микоплазменную этиологию пневмонии:
о Золотистый стафилококк, грам-негативные бактерии, анаэробы
• Гангрена легкого (некроз тканей):
о Обычная этиология: S. pneumoniae и Klebsiella
о Механизм: тромбоз легочных сосудов
е) Диагностическая памятка:
1. Следует учесть:
• S. pneumoniae у пациентов с участками консолидации, занимающими долю легкого, с симптомом «воздушной бронхографии»
• Klebsiella pneumoniae у пациентов с участками консолидации, занимающими долю легкого, и выбуханием междолевой плевры
• Пневмонию, вызванную MRSA, у ВИЧ-инфицированных, наркоманов, бездомных с двухсторонними участками консолидации легочной ткани, деструкцией легочной ткани, абсцессами легких
2. Советы по интерпретации изображений:
• Долевая пневмония обычно является бактериальной (S. pneumoniae, К. pneumoniae)
ж) Список использованной литературы:
1. Ash SY et al: Pneumococcus. Med Clin North Am. 97(4):647-66, x-xi, 2013
2. Miller WT Jr et al: Causes and imaging patterns of tree-in-bud opacities. Chest. 144(6):1883-92, 2013
3. Nguyen ET et al: Community-acquired methicillin-resistant Staphylococcus aureus pneumonia: radiographic and computed tomography findings. J Thorac Imaging. 23(1 ):13-9, 2008
4. Tarver RD et al: Radiology of community-acquired pneumonia. Radiol Clin North Am. 43(3):497-512, viii, 2005
Бактериальная деструкция легких
Бактериальная деструкция легких – это осложнения бактериальной пневмонии, протекающие с развитием гнойно-воспалительных процессов в легком и плевре. Общими проявлениями различных форм бактериальной деструкции легких служат симптомы гнойной интоксикации и дыхательной недостаточности. Диагностика и дифференциальная диагностика основывается на данных рентгенографии легких, УЗИ плевральной полости, торакоцентеза, лабораторного исследования мокроты, экссудата, периферической крови. Основные принципы лечения бактериальной деструкции легких включают антибиотикотерапию, инфузионную детоксикацию, санацию бронхов, по показаниям – пункцию и дренирование плевральной полости, хирургическое лечение.
Бактериальная деструкция легких (син. гнойно-деструктивная пневмония) - это воспаление легочной ткани, приобретающее гнойно-некротический характер и приводящее к грубым морфологическим изменениям паренхимы легких. Бактериальной деструкцией легких осложняются около 10% пневмоний у детей, летальность при этом составляет 2–4 %. Среди взрослых гнойно-деструктивная пневмония чаще всего регистрируется у мужчин в возрасте 20-40 лет. Примерно в 2/3 случаев поражается правое легкое, в 1/3 – левое легкое, очень редко (у 1-5% больных) развивается двусторонняя бактериальная деструкция легких. Поскольку данное состояние всегда вторично и развивается на фоне бактериальной пневмонии, важнейшей задачей пульмонологии является поиск путей предупреждения, ранней диагностики и оптимального лечения деструктивных процессов в легких.
Наиболее частыми инициаторами деструктивных пневмоний выступают стафилококки, зеленящие стрептококки, протей, синегнойная и кишечная палочки. Среди возбудителей отмечается абсолютное преобладание стафилококка, что заставило выделить в особую этиологическую подгруппу стафилококковую деструкцию легких. Реже бактериальную деструкцию легких вызывают палочки Пфейффера и Фридлендера, пневмококки. В большинстве случаев начало гнойно-некротическим процессам дают микробные ассоциации, одновременно представленные 2–3 и более видами бактерий.
В основе развития первичной бактериальной деструкции легких лежит аэрогенный или аспирационный механизм проникновения возбудителей в легкие с развитием бактериальной пневмонии. Факторами риска в этом случае выступают предшествующие воспалению легких ОРВИ, аспирация содержимого носо- и ротоглотки, желудка; ГЭРБ, фиксация инородных тел в бронхах и др. При вторично-метастатической деструкции главенствующее значение принадлежит гематогенному распространению инфекции из локальных гнойных очагов (при остром остеомиелите, фурункулезе, пупочном сепсисе и пр.).
Развитию бактериальной деструкции легких способствуют состояния, сопровождающиеся снижением кашлевого рефлекса, уровня сознания и резистентности организма: никотиновая зависимость, злоупотребление алкоголем, наркомания, профессиональные вредности, ЧМТ, переохлаждение, эпилептические приступы, инсульт, кома, перенесенные инфекции и др. Нередко деструктивные процессы в легочной ткани развиваются вследствие функционирующих пищеводно-бронхиальных свищей, ранения легкого.
Патогенез
В своем развитии бактериальная деструкция легких проходит три стадии: преддеструкции (от 1-2 до 7-14 суток), собственно деструктивных изменений и исхода. Стадия преддеструкции протекает по типу очагово-сливной пневмонии или гнойного лобита. Вторая стадия характеризуется некрозом и распадом легочной паренхимы с последующим отторжением некротических масс и формированием осумкованной гнойной полости. Благоприятным исходом бактериальной деструкции легких является выздоровление с формированием пневмофиброза или кисты легкого, к числу неблагоприятных относятся осложнения и смерть.
Бактериальные деструкции легких классифицируются по этиологии, механизму инфицирования, формам поражения, течению. В зависимости от типа возбудителя различают процессы, вызванные аэробной, анаэробной, аэробно-анаэробной флорой. Некоторые авторы на основании этого же принципа различают стафилококковые, стрептококковые, протейные, синегнойные, смешанные деструкции. По механизму поражения патологические процессы делятся на первичные (аэрогенные – 80%) и вторичные (гематогенные – 20%). Среди клинико-рентгенологических форм бактериальной деструкции легких выделяют:
- преддеструкцию (острые массивные пневмонии и лобиты)
- легочные формы (буллы и абсцессы легких)
- легочно-плевральные формы (пиоторакс, пневмоторакс, пиопневмоторакс)
- хронические формы (кисты легких, бронхоэктазы, пневмофиброз, хронический абсцесс легкого, эмпиема плевры) являются исходами острой деструкции.
В клинической практике преобладают легочно-плевральные формы деструкции, на долю легочных приходится всего 15-18%. По динамике течения процесс может быть стабильным, прогрессирующим, регрессирующим; неосложненным и осложненным. Течение бактериальной деструкции легких может быть острым, затяжным и септическим.
Симптомы
Вместе с тем, заподозрить начавшуюся бактериальную деструкцию легких позволяет ряд клинических признаков: гнилостный запах изо рта, тяжелейшая интоксикация, характерная для гнойных процессов (адинамия, тахикардия, температурные пики до 39-40 о С, анорексия и др.). После прорыва абсцесса в бронхи начинается обильное откашливание гнойной зловонной мокроты. На этом фоне отмечается улучшение самочувствия, снижение температуры, повышение активности, появление аппетита и т. д. Если дренирования абсцесса не происходит, гнойно-септический синдром сохраняется и прогрессирует.
При пиотораксе состояние больного ухудшается постепенно. Возникают выраженные боли в груди при дыхании, прогрессирует одышка, температура тела повышается, главным образом, по вечерам. У детей может развиться абдоминальный синдром, симулирующий острый живот, и нейротоксикоз. Бурное клиническое течение может принимать пиопневмоторакс, являющийся следствием разрыва легочной ткани и прорыва гнойного очага в плевральную полость. В этом случае резко возникает приступообразный кашель, одышка, нарастающий цианоз, тахикардия. Вследствие внезапно развившегося коллапса легкого и плевропульмонального шока возможно кратковременное апноэ. При ограниченном пиопневмотораксе вся симптоматика выражена умеренно.
Течению хронических форм бактериальной деструкции легких свойственны признаки гнойной интоксикации (бледный, землисто-серый цвет кожи, недомогание, плохой аппетит, похудание). Беспокоит кашель с умеренным количеством гнойной мокроты с запахом, кровохарканье, небольшая одышка. Типичен легкий цианоз, утолщение дистальных фаланг пальцев.
Различные формы бактериальной деструкции легких могут осложняться легочным кровотечением, внутриплевральным кровотечением (гемотораксом), перикардитом. При массивной инфекции и сниженной иммунной реактивности развивается молниеносный сепсис, при хроническом течении - амилоидоз внутренних органов. Летальные исходы в большинстве своем обусловлены острой почечной недостаточностью, полиорганной недостаточностью.
В анализах крови – признаки активного воспаления: лейкоцитоз со сдвигом влево, значительное повышение СОЭ; увеличение уровня сиаловых кислот, гаптоглобина, серомукоидов, фибрина. Микроскопическое исследование мокроты определяет ее гнойный характер, большое количество лейкоцитов, наличие эластических волокон, холестерина, жирных кислот. Идентификация возбудителя производится при бактериологическом посеве мокроты. Бронхиальный секрет может быть получен как при откашливании, так и во время проведения диагностической бронхоскопии.
Картина, выявляемая по данным рентгенографии легких, различается в зависимости от формы бактериальной деструкции легких. В типичных случаях легочные деструкции определяются в виде полостей с горизонтальным уровнем жидкости, вокруг которых распространяется воспалительная инфильтрация легочной ткани. При плевральных осложнениях выявляется смещение тени средостения в здоровую сторону, уровень жидкости в плевральной полости, частичный или полный коллапс легкого. В этом случае целесообразно дополнение рентгенологической картины данными УЗИ плевральной полости, плевральной пункции и исследования экссудата. Бактериальную деструкцию легких требуется дифференцировать от полостной формы рака легкого, бронхогенных и эхинококковых кист, кавернозного туберкулеза. В проведении дифдиагностики, должны участвовать пульмонологи, торакальные хирурги, фтизиатры.
Лечение бактериальной деструкции легких
В зависимости от формы и течения бактериальной деструкции легких ее лечение может быть консервативным или хирургическим с обязательной госпитализацией в пульмонологический стационар или отделение торакальной хирургии. Консервативный подход возможен при хорошо дренирующихся неосложненных абсцессах легкого, острой эмпиеме плевры.
Независимо от тактики ведения патологии проводится массивная антибактериальная, дезинтоксикационная и иммуностимулирующая терапия. Антибиотики (карбапенемы, фторхинолоны, цефалоспорины, аминогликозиды) вводятся внутривенно, а также эндобронхиально (во время проведения санационных бронхоскопий) и внутриплеврально (в процессе лечебных пункций или проточно-промывного дренирования плевральной полости). Кроме инфузионной детоксикации, в лечении бактериальных деструкций легких находят широкое применение экстракорпоральные методы (ВЛОК, УФОК, плазмаферез, гемосорбция). Иммунокорригирующая терапия предполагает введение гамма-глобулинов, гипериммунной плазмы, иммуномодуляторов и др. В фазе стихания воспаления медикаментозная терапия дополняется методами функциональной реабилитации (физиопроцедурами, ЛФК).
Из оперативных методов лечения при неадекватном опорожнение гнойника в легком используется пневмотомия (открытое дренирование), иногда – резекционные вмешательства (лобэктомия, билобэктомия) или пневмонэктомия. При хронической эмпиеме плевры может потребоваться проведение торакопластики или плеврэктомии с декортикацией легкого.
Полным выздоровлением заканчивается примерно четверть случаев бронхиальной деструкции легких; у половины больных достигается клиническое выздоровление с сохранением остаточных рентгенологических изменений. Хронизация заболевания происходит в 15-20% наблюдений. Летальным исходом заканчивается 5-10% случаев. Основу профилактики развития бактериальной деструкции легких составляет своевременная антибиотикотерапия бактериальных пневмоний и гнойных внелегочных процессов, клинико-рентгенологических контроль излеченности, повышенное внимание к больным группы риска по развитию деструктивных процессов в легких. На этапе первичной профилактики важна пропаганда здорового образа жизни, борьба с алкоголизмом и наркоманией.
1. Гнойные заболевания легких и плевры: Учебно-методическое пособие/ Голуб А.М., Алексеев С.А. – 2012.
2. Лучевая диагностика инфекционных деструкций легких/ Тюрин И.Е.//Пульмонология и аллергология. – 2009 - №2.
3. Осложнения пневмонии. Хронические неспецифические бронхолегочные заболевания у детей/ Миронова Э.В., Долбня С.В. – 2016.
Пневмония
Пневмония – острое поражение легких инфекционно-воспалительного характера, в которое вовлекаются все структурные элементы легочной ткани, преимущественно - альвеолы и интерстициальная ткань легких. Клиника пневмонии характеризуется лихорадкой, слабостью, потливостью, болью в грудной клетке, одышкой, кашлем с мокротой (слизистой, гнойной, «ржавой»). Пневмония диагностируется на основании аускультативной картины, данных рентгенографии легких. В остром периоде лечение включает антибиотикотерапию, дезинтоксикационную терапию, иммуностимуляцию; прием муколитиков, отхаркивающих, антигистаминных средств; после прекращения лихорадки – физиотерапию, ЛФК.

Пневмония - воспаление нижних дыхательных путей различной этиологии, протекающее с внутриальвеолярной экссудацией и сопровождающееся характерными клинико-рентгенологическими признаками. Острая пневмония встречается у 10-14 человек из 1000, в возрастной группе старше 50 лет – у 17 человек из 1000. Актуальность проблемы заболеваемости острой пневмонией сохраняется, несмотря на внедрение новых антимикробных препаратов, также как сохраняется высокий процент осложнений и летальность (до 9%) от пневмоний.
Среди причин смертности населения пневмония стоит на 4-ом месте после заболеваний сердца и сосудов, злокачественных новообразований, травматизма и отравлений. Пневмония может развиваться у ослабленных больных, присоединяясь к течению сердечной недостаточности, онкологических заболеваний, нарушениям мозгового кровообращения, и осложняет исход последних. У пациентов со СПИДом пневмония является основной непосредственной причиной гибели.
Причины и механизм развития пневмонии
Среди этиофакторов, вызывающих пневмонию, на первом месте стоит бактериальная инфекция. Чаще всего возбудителями пневмонии являются:
- грамположительные микроорганизмы: пневмококки (от 40 до 60%), стафилококки (от 2 до 5%), стрептококки (2,5%);
- грамотрицательные микроорганизмы: палочка Фридлендера (от 3 до 8%), гемофильная палочка (7%), энтеробактерии (6%), протей, кишечная палочка, легионелла и др. (от 1,5 до 4,5%);
- микоплазмы (6%);
- вирусные инфекции (вирусы герпеса, гриппа и парагриппа, аденовирусы и т. д.);
- грибковые инфекции.
Также пневмония может развиваться вследствие воздействия неинфекционных факторов: травм грудной клетки, ионизирующего излучения, токсических веществ, аллергических агентов.
Факторы риска
К группе риска по развитию пневмонии относятся пациенты с застойной сердечной недостаточностью, хроническими бронхитами, хронической носоглоточной инфекцией, врожденными пороками развития легких, с тяжелыми иммунодефицитными состояниями, ослабленные и истощенные больные, пациенты, длительно находящиеся на постельном режиме, а также лица пожилого и старческого возраста.
Особо подвержены развитию пневмонии курящие и злоупотребляющие алкоголем люди. Никотин и пары алкоголя повреждают слизистую оболочку бронхов и угнетают защитные факторы бронхопульмональной системы, создавая благоприятную среду для внедрения и размножения инфекции.
Инфекционные возбудители пневмонии проникают в легкие бронхогенным, гематогенным или лимфогенным путями. При имеющемся снижении защитного бронхопульмонального барьера в альвеолах развивается инфекционное воспаление, которое через проницаемые межальвеолярные перегородки распространяется на другие отделы легочной ткани. В альвеолах происходит образование экссудата, препятствующего газообмену кислорода между легочной тканью и кровеносными сосудами. Развиваются кислородная и дыхательная недостаточность, а при осложненном течении пневмонии - сердечная недостаточность.
В развитии пневмонии выделяется 4 стадии:
- стадия прилива (от 12 часов до 3 суток) – характеризуется резким кровенаполнением сосудов легких и фибринозной экссудацией в альвеолах;
- стадия красного опеченения (от 1 до 3 суток) – происходит уплотнение ткани легкого, по структуре напоминающей печень. В альвеолярном экссудате обнаруживаются эритроциты в большом количестве;
- стадия серого опеченения – (от 2 до 6 суток) - характеризуется распадом эритроцитов и массивным выходом лейкоцитов в альвеолы;
- стадия разрешения – восстанавливается нормальная структура ткани легкого.
1. На основании эпидемиологических данных различают пневмонии:
- внебольничные (внегоспитальные)
- внутрибольничные (госпитальные)
- вызванные иммунодефицитными состояниями
- атипичного течения.
2. По этиологическому фактору, с уточнением возбудителя, пневмонии бывают:
- бактериальными
- вирусными
- микоплазменными
- грибковыми
- смешанными.
3. По механизму развития выделяют пневмонии:
- первичные, развивающиеся как самостоятельная патология
- вторичные, развивающиеся как осложнение сопутствующих заболеваний (например, застойная пневмония)
- аспирационные, развивающиеся при попадании инородных тел в бронхи (пищевых частиц, рвотных масс и др.)
- посттравматические
- послеоперационные
- инфаркт-пневмонии, развивающиеся вследствие тромбоэмболии мелких сосудистых ветвей легочной артерии.
4. По степени заинтересованности легочной ткани встречаются пневмонии:
- односторонние (с поражением правого или левого легкого)
- двусторонние
- тотальные, долевые, сегментарные, субдольковые, прикорневые (центральные).
5. По характеру течения пневмонии могут быть:
- острые
- острые затяжные
- хронические
6. С учетом развития функциональных нарушений пневмонии протекают:
- с наличием функциональных нарушений (с указанием их характеристик и выраженности)
- с отсутствием функциональных нарушений.
7. С учетом развития осложнений пневмонии бывают:
- неосложненного течения
- осложненного течения (плевритом, абсцессом, бактериальным токсическим шоком, миокардитом, эндокардитом и т. д.).
8. На основании клинико-морфологических признаков различают пневмонии:
- паренхиматозные (крупозные или долевые)
- очаговые (бронхопневмонии, дольковые пневмонии)
- интерстициальные (чаще при микоплазменном поражении).
9. В зависимости от тяжести течения пневмонии делят на:
- легкой степени – характеризуется слабо выраженной интоксикацией (ясное сознание, температура тела до 38°С, АД в норме, тахикардия не более 90 уд. в мин.), одышка в покое отсутствует, рентгенологически определяется небольшой очаг воспаления.
- средней степени – признаки умеренно выраженной интоксикации (ясное сознание, потливость, выраженная слабость, температура тела до 39°С, АД умеренно снижено, тахикардия около 100 уд. в мин.), частота дыхания – до 30 в мин. в покое, рентгенологически определяется выраженная инфильтрация.
- тяжелой степени – характеризуется выраженной интоксикацией (лихорадка 39-40°С, помутнение создания, адинамия, бред, тахикардия свыше 100 уд. в мин., коллапс), одышка до 40 в мин. в покое, цианоз, рентгенологически определяется обширная инфильтрация, развитие осложнений пневмонии.
Симптомы пневмонии
Крупозная пневмония
Характерно острое начало с лихорадки свыше 39°С, озноба, болей в грудной клетке, одышки, слабости. Беспокоит кашель: сначала сухой, непродуктивный, далее, на 3-4 день – с «ржавой» мокротой. Температура тела постоянно высокая. При крупозной пневмонии лихорадка, кашель и отхождение мокроты держатся до 10 дней.
При тяжелой степени течения крупозной пневмонии определяется гиперемия кожных покровов и цианоз носогубного треугольника. На губах, щеках, подбородке, крыльях носа видны герпетические высыпания. Состояние пациента тяжелое. Дыхание поверхностное, учащенное, с раздуванием крыльев носа. Аускультативно выслушиваются крепитация и влажные мелкопузырчатые хрипы. Пульс, частый, нередко аритмичный, АД снижено, сердечные тона глухие.
Очаговая пневмония
Осложнения пневмонии
Особенности течения пневмонии обусловлены степенью тяжести, свойствами возбудителя и наличием осложнений. Осложненным считается течение пневмонии, сопровождающееся развитием в бронхолегочной системе и других органах воспалительных и реактивных процессов, вызванных непосредственно воспалением легких. От наличия осложнений во многом зависит течение и исход пневмонии. Осложнения пневмонии могут быть легочными и внелегочными.
Легочными осложнениями при пневмонии могут быть:
- обструктивный синдром
- абсцесс, гангрена легкого
- парапневмонический экссудативный плеврит.
Среди внелегочных осложнений пневмонии часто развиваются:
- острая сердечно-легочная недостаточность
- эндокардит, миокардит
- менингит и менингоэнцефалит
- инфекционно-токсический шок
- анемия
- психозы и т. д.
При диагностике пневмонии решаются сразу несколько задач: дифференциальная диагностика воспаления с другими легочными процессами, выяснение этиологии и степени тяжести (осложнений) пневмонии. Пневмонию у пациента следует заподозрить на основании симптоматических признаков: быстрого развития лихорадки и интоксикации, кашля.
- Физикальное исследование. Определяется уплотнение легочной ткани (на основании перкуторного притупления легочного звука и усиления бронхофонии), характерной аускультативной картины - очаговых, влажных, мелкопузырчатых, звучных хрипов или крепитации.
- Лабораторная диагностика. Изменения в общем анализе крови при пневмонии характеризуются лейкоцитозом от 15 до 30 • 109/л, палочкоядерным сдвигом лейкоцитарной формулы от 6 до 30%, повышением СОЭ до 30-50 мм/ч. В общем анализе мочи может определяться протеинурия, реже микрогематурия. Баканализ мокроты при пневмонии позволяет выявить возбудителя и определить его чувствительность к антибиотикам.
- Рентгенография легких.Рентгенограммы при пневмонии обычно делают в начале заболевания и спустя 3-4 недели для контроля разрешения воспаления и исключения другой патологии (чаще бронхогенного рака легких). При любых видах пневмоний чаще процесс захватывает нижние доли легкого. На рентгенограммах при пневмонии могут выявляться следующие изменения: паренхиматозные (очаговые или диффузные затемнения различной локализации и протяженности); интерстициальные (легочный рисунок усилен за счет периваскулярной и перибронхиальной инфильтрации).
- УЗИ. По данным эхокардиографии и УЗИ плевральной полости иногда определяется плевральный выпот.

Лечение пневмонии
Пациентов с пневмонией, как правило, госпитализируют в общетерапевтическое отделение или отделение пульмонологии. На период лихорадки и интоксикации назначается постельный режим, обильное теплое питье, высококалорийное, богатое витаминами питание. При выряженных явлениях дыхательной недостаточности больным пневмонией назначают ингаляции кислорода. Основные направления терапии:
- Антибиотикотерапия. Основным в лечении пневмонии является антибактериальная терапия. Назначать антибиотики следует как можно ранее, не дожидаясь определения возбудителя. Подбор антибиотика осуществляет врач, никакое самолечение недопустимо! При внегоспитальной пневмонии чаще назначают пенициллины (амоксициллин с клавулановой к-той, ампициллин и т. д.), макролиды, цефалоспорины. Выбор способа введения антибиотика определяется тяжестью течения пневмонии. Для лечения внутрибольничных пневмоний используют пенициллины, цефалоспорины, фторхинолоны (ципрофлоксацин, офлоксацин и т. д.), карбапенемы, аминогликозиды. При неизвестном возбудителе назначают комбинированную антибиотикотерапию из 2-3 препаратов. Курс лечения может продолжаться от 7-10 до 14 дней, возможна смена антибиотика.
- Симптоматическая терапия. При пневмониях показано проведение дезинтоксикационной терапии, иммуностимуляции, назначения жаропонижающих, отхаркивающих и муколитических, антигистаминных средств.
- Физиолечение. После прекращения лихорадки и интоксикации режим расширяют и назначают проведение физиотерапии (электрофорез с кальцием хлоридом, калием йодидом, гиалуронидазой, УВЧ, массаж, ингаляции) и ЛФК для стимуляции разрешения воспалительного очага.
Лечение пневмонии проводится до полного выздоровления пациента, которое определяется нормализацией состояния и самочувствия, физикальных, рентгенологических и лабораторных показателей. При частых повторных пневмониях одной и той же локализации решается вопрос о хирургическом вмешательстве.
Прогноз
При пневмонии прогноз определяется рядом факторов: вирулентностью возбудителя, возрастом пациента, фоновыми заболеваниями, иммунной реактивностью, адекватностью лечения. Неблагоприятны в отношении прогноза осложненные варианты течения пневмоний, иимунодефицитные состояния, устойчивость возбудителей к антибиотикотерапии. Особенно опасны пневмонии у детей до 1 года, вызванные стафилококком, синегнойной палочкой, клебсиеллой: летальность при них составляет от 10 до 30%.
При своевременных и адекватных лечебных мероприятиях пневмония заканчивается выздоровлением. По вариантам изменений в легочной ткани могут наблюдаться следующие исходы пневмонии:
- полное восстановление структуры легочной ткани - 70 %;
- формирование участка локального пневмосклероза - 20 %;
- формирование участка локальной карнификации – 7%;
- уменьшение сегмента или доли в размерах – 2%;
- сморщивание сегмента или доли – 1%.
Профилактика
Меры предупреждения развития пневмонии заключаются в закаливании организма, поддержании иммунитета, исключении фактора переохлаждения, санации хронических инфекционных очагов носоглотки, борьбе с запыленностью, прекращении курения и злоупотребления алкоголем. У ослабленных лежачих пациентов с целью профилактики пневмонии целесообразно проведение дыхательной и лечебной гимнастики, массажа, назначение антиагрегантов (пентоксифиллина, гепарина).
1. Внебольничная пневмония у взрослых: практические рекомендации по диагностике, лечению и профилактике (Пособие для врачей)/ Чучалин А.Г., Синопальников А.И., Козлов Р.С., Тюрин И.Е.,С.А. Рачина// Клиническая микробиология и антимикробная химиотерапия. – 2010 – Т. 12, №3.
3. Внутренние болезни в 2-х томах: учебник/ Под ред. Мухина Н.А., Моисеева В.С., Мартынова А.И. - 2010.
4. Пневмонии: сложные и нерешенные вопросы диагностики и лечения/ Новиков Ю.К.// Русский медицинский журнал. – 2004 - №21.
Читайте также:
- Лихорадка при туберкулезе. Признаки туберкулеза органов у больного.
- Материнский организм при беременности. Течение беременности
- Нейрокардиогенный обморок (вазовагальный синдром) - клиника, диагностика
- Признаки повреждения лучевой коллатеральной связки на артрограмме
- Причины и признаки воспаления пищевода
