Диагностика и дифференциация родинок - невусов эпидермального меланоцитарного происхождения
Добавил пользователь Евгений Кузнецов Обновлено: 29.01.2026
Появляется либо при рождении, либо в раннем детском возрасте.Гендерных и расовых отличий нет.Частота 1:1000 новорожденных.
Этиология и патогенез точно неизвестны.Формирование невусов происходит за счет избыточного развития эпидермиса или придатков кожи.В последних исследованиях выявлены постзиготно активирующие мутации в кератиновых генах HRAS (40%), FGFR3 или PIK3CA.37-39 (40%) и в KRT1 или KRT10 (10%).
- Локализованная форма эпидермального невуса (Epidermal Nevus)
- папилломатозный
- бородавчатый
- Линейный бородавчатый эпидермальный невус (Linear Verrucous Epidermal Nevus)
- Линейный акнтолитический эпидермальный невус
- линейная форма болезни Дарье (Linear Darier Disease - Acantholytic Dyskeratotic Epidermal Nevus)
- линейная форма болезни Хейли-Хейли (Linear Hailey–Hailey Disease - Relapsing Linear Acantholytic Dermatosis)
- Буллезная ихтиозиформная эритродермия (Bullous ichthyosiform erythroderma)
- экзематозный
- лихеноидный
- псориазоформный
- односторонний ладонно-подошвенный (Unilateral Palmoplantar Verrucous Epidermal Nevus due to Keratin 16 Mosaicism)
- генитальный
- ареолы и соска молочной железы (Nevoid Hyperkeratosis of the Nipple and Areola)
Локализованный папилломатозный эпидермальный невус
Представляет собой ограниченный очаг поражения, состоящий из одиночных или множественных папилломатозных образований, мягкой консистенции, тесно прилегающих друг к другу, округлых, овальных или неправильных очертаний, цвета нормальной кожи или с различными оттенками коричневого цвета.Элементы могут располагаться сгруппировано или линейно.Локализованный бородавчатый эпидермальный невус
Ограниченный очаг состоящий из бородавчатых одиночных или множественных образований, тесно прилежащих друг к другу с различной формой. Элементы сыпи возвышатся над поверхностью кожи и имеют неровную, часто растрескавшуюся поверхность и покрыты серовато-коричневой коркойю.Рост волос отсутствует.Локализация на любом участке коже, но чаще на волосистой части головы.Линейный бородавчатый эпидермальный невус
Вначале элементы могут быть представлены малозаметными бесцветными, слегка шелушащимися пятнами, которые с течением времени утолщаются в бляшки грязно-серого, буроватого или коричнево-черного цвета с бородавчатой поверхностью.
На туловище невус обычно имеет форму поперечных полос и никогда не пересекает средней линии туловища, вблизи средней линии туловища принимает вертикальное положение, в латеральной части туловища и на конечностях располагается продольно или по линиям Блашко.Очаги могут захватывать обширную поверхность.
Линейная форма болезни Дарье
Гистопатология: гиперкератоз, паракератоз, возможен акантоз. В паракератотических зонах обнаруживают дискератотические и акантолитические клетки, круглые тельца (corps ronds) и гранулы
Линейная форма болезни Хейли-Хейли
Проявляется отграниченными линейными эритематозными бляшками, рецидивирующими эрозиями и корками в пределах определенной сегментарной области.Возникает в раннем возрасте, имеет волнообразное течение с рецидивами и спонтанной инволюцией. Гистологически напоминает хроническую доброкачественную семейную пузырчатку Хейли-Хейли (супрабазальные щели и/или крупные лакуны, содержащие акантолитические клетки и гранулы, «полуразрушенная кирпичная стена»).Связан с мутациями в гене ATP2C1.>Буллезная ихтиозиформная эритродермия
Причиной являются мутации генов, кодирующих продукцию кератинов 1 и 10.В начальной стадии заболевания отмечается генерализованное высыпание пузырей, в дальнейшем возникновение участков линейного гиперкератоза в области подмышечных впадин, локтевых сгибов, зон, склонных к опрелости, ладоней, локтей и коленей.Экзематозный воспалительный линейный бородавчатый невус
Возникает в течение первого полугодия жизни и редко в первые 5 лет жизни.Клинически проявляется зудящими гиперкеротическими эритематозными папулами и бляшками, с шелущащейся поверхностью, часто с везикулезной сыпью и эрозиями, расположенных линейно или вдоль линий Блашко преимущественно на нижних конечностях и на туловище. Лихеноидный воспалительный линейный бородавчатый невус
Характеризуется появлением зудящих лихеноидных папул, напоминающих высыпания при линейном красном плоском лишае. Псориазоформный воспалительный линейный бородавчатый невус
Клинически сходен с обычным псориазом, но имеет не типичную локализацию.
Характеризуется линейным высыпанием зудящих эритематозных папул или бляшек, как правило, покрытых толстыми корками серо-белого цвета.Односторонний ладонно-подошвенный эпидермальный невус
Связан с мутациями в гене KRT16.
Характеризуется появлением односторонних линейных гиперкератических очагов в области подошв, и реже, ладоней.Может напоминать линейный формы ладонно-подошвенных кератодермий.Генитальный эпидермальный невус
Высыпание изолированных гиперкеротических очагов с бородавчатой поверхностью неправильной или линейной формы в области ствола полового члена, мошонки, вульвы и перианальной области.Есть мнение, что эта форма является вариантом генитального папулезного акантолитического дискератоза, связанного с мутациями в генах ATP2C1 и ATP2A2.Эпидермальный невус соска и ареолы молочной железы
Редкий вариант эпидермального невуса, возникающий у девочек в период полового созревания.Клинически проявляется двусторонним диффузным выраенным наслоением роговых масс темно-коричневого цвета, достигающих толщины 0, 5-1 см в области соска и ареолы молочной железы.Синдром эпидермального невуса
Очаги поражения в виде односторонних гигантских бляшек эпидермального невуса располагаются линейно, в виде гирлянд в сочетании с различными системными аномалиями (кисты и гипоплазия костей, сколиоз, позвоночные расщелины, кифоз, умственную отсталость, эпилепсия, дисгенез структур головного мозга, гидроцефалия, микроцефалия, катаракта).
Течение
В детстве размер невуса и количество образующих его элементов могут постепенно нарастать, но после полового созревания их характер не меняется. При бородавчатом невусе, в состав которого входят элементы сальных ипотовых желёз, возможен дальнейший рост. Злокачественная трансформация в базалиому, болезнь Боуэна, плоскоклеточный рак кожи наблюдается редко и сопровождается появлением на поверхности очагов узлов или язв.
Диагноз ставят на основании данных клинического обследования, семейного анамнеза и биопсии.
Характерными патоморфологическими признаками являются папилломатоз и бородавчатый гиперкератоз.Выделяют два гистологических типа.
- К первому относят солитарные и распространенные невусы, характеризующиеся заметным компактным гиперкератозом, утолщением зернистого слоя, умеренным или выраженным акантозом с удлинением сосочков дермы, а также папилломатозом различной степени выраженности.При воспалительной форме в сосочковом слое дермы определяются неспецифический мононуклеарный инфильтрат, а в эпидермисе очаговый паракератоз; кроме того, морфологические изменения могут напоминать таковые при псориазе.При локализации на волосистой части головы пороки могут быть сложного строения и содержать скопления гипертрофированных апокриновых желез или структуры типа сирингоцистоаденомы
- Ко второму типу относят системные эпидермальные невусы с «зернистой дистрофией» клеток верхних и средних отделов мальпигиева слоя эпидермиса.Иногда системный невус сопровождается «акантолитическим гиперкератозом», аналогично буллезному варианту врожденной ихтиозиформной эритродермии.
При подозрении на синдром эпидермального невуса применяют КТ /МРТ, офтальмологическое исследование, электроэнцефалографию, рентгенографию скелета.
В ряде случаев показано генетическое типирование.
Локализованные формы
Линейные распространенные формы
- Линейный и вихревидный невоидный гипермеланоз (спорадически развивается, представлен пигментированными пятнами в виде полос и /или завихрений, также идущих вдоль линий Блашко),
- Линейный порокератоз , при котором зуд менее выражен, эффективна наружная антипсориатическая терапия, в том числе УФИ, а при электрофорезе в полиакриловом геле выявляется фиброз рогового слоя. отличается отсутствием зуда, быстрым развитием (обычно в течение первого года жизни) и более лихеноидной клинической и гистологической картиной.
- Линейный красный плоский лишай
- Феномен Кебнера при бородавках
При эпидермальном невусе небольшого размера рекомендована полная хирургическая эксцизия, удаление при помощи углекислотного или пульсирующего неодимового ИАГ-лазера, электрокоагуляция, дермабразия, химиодеструкция.
Диагностика и дифференциация родинок - невусов эпидермального меланоцитарного происхождения
а) Обычные невомеланоцитарные приобретенные невусы
б) Плоские поражения:
— невус плоский однородный коричневый
— невус плоский однородный розовый
— невус кокардный
— невус с эксцентрической пигментацией
— невус с мелкими темными точками
— невус с перифолликулярной гипопигментацией
— невус лентигинозныйв) Равномерно возвышающиеся поражения:
— невус равномерно возвышающийся коричневый
— невус равномерно возвышающийся розовыйг) Поражения с плоской периферией и возвышающимся центральным компонентом:
— невус с плоской периферией и слегка возвышающимся центральным компонентом однородный коричневый
— невус по типу «затмения»
— невус по типу «яичницы»д) Куполообразные и папилломатозные поражения:
— невус Мишера
— невус папилломатозный Унные) Прочие поражения:
— невус в темной коже
— невус на ножке
— невус кератотическийж) Невусы невомеланоцитарные атипичные особых локализаций:
— невусы акральные
— невусы ногтевого ложа
— невусы генитальные
— невусы волосистой части головы
— невусы, расположенные в проекции молочных линийз) Невусы невомеланоцитарные особые:
— невус пятнистый
— галоневус
— невус Мейерсона
— невус из баллонообразных клеток
— невус беспигментный
— невус невомеланоцитарный рецидивирующий
— невус Дюперра
— невусы меланоцитарные лимфатических узлови) Невусы веретеноклеточные и/или эпителиоидно-клеточные:
— невус Шпиц
— невус Копфа
— невус Рида![Классификация меланоцитарных опухолей по ВОЗ]()
II. Доброкачественные новообразования дермального меланоцитарного происхождения
а) Невусы голубые:
- невус голубой простой
- невус голубой клеточный
- невус голубой клеточный беспигментный
- невус комбинированный
- невус глубоко пенетрирующийб) Меланоцитозы дермальные:
- пятно монгольское
- невус Ямамото
- невус Ота
- невус Хори
- невус Ито
- невус ХиданоIII. Доброкачественные новообразования с меланоопасным потенциалом
а) Врожденные невомеланоцитарные невусы: — мелкие, средние, гигантские
б) Диспластические невусы
в) Лентиго злокачественноеIV. Злокачественные меланоцитарные опухоли
а) Меланома поверхностно распространяющаяся
б) Лентиго-меланома
в) Меланома узловаяг) Меланома акральная лентигинозная:
- ладонно-подошвенная форма
- подногтевая формад) Меланомы особых локализаций:
- полости рта
- полового члена
- наружных женских половых органов
- аноректальной областие) Меланома беспигментная
ж) Меланома десмопластическая
з) Меланома нейротропная
и) Меланома у детей
й) Меланома шпицподобная
к) Невус голубой злокачественныйV. Меланоцитарные гиперплазии
б) Лентиго, вызванное УФО:
- при ксеродерме пигментной
- солнечное
- сетчатое
- ПУВА-лентиго
- вызванное UVA-лампами для загарав) Лентигинозы ограниченные:
- лентигиноз сегментарный
- лентиго акральное
- лентигиноз слизистых оболочекг) Меланозы меланоцитарные диффузные:
- лентиго генерализованное идиопатическое
- меланоз врожденный диффузныйд) Заболевания, ассоциирующиеся с лентигинозом
Редактор: Искандер Милевски. Дата обновления публикации: 18.3.2021
Информация на сайте подлежит консультации лечащим врачом и не заменяет очной консультации с ним.
См. подробнее в пользовательском соглашении.По патоморфологическим признакам (по глубине расположения невусных клеток) обычные невомеланоцитарные приобретенные невусы подразделяются на юнкциональные (пограничные), смешанные (сложные) и внутридермальные. Иногда в обычных родинках могут встречаться гистологические особенности диспластических невусов (лентигинозная меланоцитарная дисплазия, клеточная атипия меланоцитов, лимфоцитарная инфильтрация в сосочковом слое дермы и другие).
Данное обстоятельство некоторыми исследователями считается допустимым для обычных родинок и не требует их переквалификации в диспластические невусы. Чаще это возможно у невусов особых локализаций и невусов, появившихся и существующих в детском возрасте.
Основным методом диагностики обычных невомеланоцитарных приобретенных невусов является клинико-анамнестический. При подозрении о наличии у обследуемых потенциально злокачественных и злокачественных пигментных опухолей кожи применяются морфологические методы диагностики (цитологический и гистологический). При осмотре образований на коже используются лупа (с 6- или 7-кратным увеличением) и боковое освещение.
Диагноз основывается на знании элементов кожной сыпи, особенностей их окраски; помогают для постановки диагноза также пальпация образований и анамнестические данные. Другим методом диагностики является фотографирование очагов поражения с помощью макросъемки с последующим просмотром фотографий на экране фотоаппарата или компьютера. Перспективным методом диагностики пигментных опухолей кожи является дерматоскопия. Это неинвазивный диагностический метод визуальной оценки поражений кожного покрова.
![Родинки - эпидермальные меланоцитарные невусы]()
а - невус пограничный невомеланоцитарный розовато-коричневатый
б - невусы пограничные невомеланоцитарные однородные коричневыеДерматоскопия позволяет более тщательно изучить поверхность кожи и субэпидермальные структуры. Она дает возможность распознавать морфологические структуры, невидимые невооруженным глазом, для быстрого подтверждения диагноза. Раньше врачи удаляли все «родинки», которые вызывали минимальное подозрение, и оставляли пациенту множество ненужных шрамов. Применение дерматоскопии позволяет избежать ненужных профилактических удалений. Дерматоскопия может определять тактику хирургического лечения.
Злокачественные опухоли удаляют широким иссечением. Если обнаруживается, что это на 90% доброкачественное образование, то применяется поверхностное удаление, что позволяет снизить риск образования рубцов. С помощью дерматоскопии можно проводить дифференциальную диагностику пигментной формы базалиомы, себорейного кератоза, доброкачественных меланоцитарных невусов, меланоопасных невусов (диспластический и врожденный невоклеточные невусы, злокачественное лентиго) и поверхностно распространяющейся меланомы. Совпадение дерматоскопического результата с морфологическим диагнозом составляет 92,2%.
У людей с множеством родинок необходимо определить сигнатуру невусов. У таких пациентов появляющиеся новые невусы по клиническим и морфологическим признакам похожи на предыдущие родинки. Определение количества и клинико-морфологических вариантов родинок у индивидуума называется «сигнатура невусов».
Дифференциальный диагноз прежде всего проводят с диспластическими невусами и меланомой. После идентификации сигнатуры невусов необходимо обращать внимание на появление признака «гадкого утенка». У одного человека сигнатура невусов представлена, как правило, несколькими вариантами обычных родинок. При появлении пигментного образования, которое резко отличается от предыдущих невусов, необходимо заподозрить у пациента возникновение диспластического невуса или меланомы. Кроме того, у пациентов после 30 лет начинают возникать очаги себорейного кератоза.
Данная опухоль также очень часто встречается у людей и требует проведения дифференциальной диагностики с меланоцитарными новообразованиями.
![Родинки - эпидермальные меланоцитарные невусы]()
а - регрессирующий пограничный невомеланоцитарный невус у женщины 36 лет.
Со слов пациентки невус в течение нескольких месяцев стал светлее и уменьшился в размере
б - невус сложный невомеланоцитарный однородный светло-коричневый с сохраненным кожным рисунком на поверхности.
Невус слегка и равномерно приподнят над поверхностью кожи
в - невус сложный невомеланоцитарный равномерно возвышающийся однородный коричневый с ростом щетинистых волос
г - невус сложный невомеланоцитарный темной окраскиВрождённый меланоцитарный невус - симптомы и лечение
Что такое врождённый меланоцитарный невус? Причины возникновения, диагностику и методы лечения разберем в статье доктора Вавилова Артема Сергеевича, детского хирурга со стажем в 7 лет.
Над статьей доктора Вавилова Артема Сергеевича работали литературный редактор Вера Васина , научный редактор Владимир Горский и шеф-редактор Маргарита Тихонова
Определение болезни. Причины заболевания
Врождённый меланоцитарный невус (Congenital melanocytic naevus) — это доброкачественное разрастание невусных клеток на коже. Развивается внутриутробно или в первые месяцы жизни [51] .
Если невус появился позже, но до двухлетнего возраста, его называют поздним врождённым невусом [32] .
![Врождённый меланоцитарный невус на ладони]()
Невусные клетки — это разновидность меланоцитов, которые отличаются от обычных пигментных клеток кожи двумя свойствами:
- клетки невуса группируются, а меланоциты распределяются в коже равномерно;
- у невусных клеток (за исключением синих невусов) нет дендритных отростков, по которым в обычных меланоцитах перемещается меланин — так он распределяется в коже и окрашивает её [36] .
Распространённость
Врождённые меланоцитарные невусы встречаются у 1–3 % детей, крупные или гигантские — примерно у одного из 20–50 тыс. новорождённых [1] [2] [51] .
Причины появления невусов
Причины появления врождённых меланоцитарных невусов до конца не изучены. Предполагается, что они образуются из-за морфологических нарушений в нейроэктодерме — эмбриональном зачатке, из которого развивается нервная трубка. Эти нарушения приводят к бесконтрольному росту меланобластов, которые в дальнейшем преобразуются в невусные клетки [39] .
При обнаружении схожих симптомов проконсультируйтесь у врача. Не занимайтесь самолечением - это опасно для вашего здоровья!
Симптомы врождённого меланоцитарного невуса
Невусы обычно маленького или среднего размера, но могут достигать и 60 см в диаметре. Их цвет варьирует от жёлто-коричневого до чёрного, границы неоднородные. Для невусов характерен «географический» контур, т. е. их форма напоминает материки на карте.
![Невус средних размеров]()
Чаще они единичные, могут возникать на любых участках кожи. На многих врождённых невусах растут густые тёмные и жёсткие волосы.
![Волосы, растущие на невусе]()
Большие и гигантские образования часто окружены более мелкими — сателлитными невусами, или невусами-спутниками.
Обычно невусы какими-либо симптомами, кроме внешнего дефекта, не проявляются, но иногда может возникать зуд. Предполагается, что он связан с раздражением нервных волокон, по которым импульсы от кожи передаются в центральную нервную систему.
К особенностям меланоцитарных невусов относится пигментная сеть, очаги ослабления окраски и сгущения рисунка, глобулы и/или диффузная коричневая пигментация. Глобулами называют округлые включения с чёткими границами коричневого, серо-коричневого, чёрного и других цветов, за исключением красного.
В отличие от приобретённых, врождённые невусы глубже проникают в дерму и подкожные ткани, что может приводить к серьёзным осложнениям [5] .
Патогенез врождённого меланоцитарного невуса
Врождённые меланоцитарные невусы развиваются между 5-й и 24-й неделями беременности. Считается, что они образуются из-за ускоренного роста меланоцитарных клеток. Чем раньше начинается этот процесс, тем больше и глубже будет невус [40] .
Врождённые невусы растут пропорционально развитию ребёнка, поэтому можно спрогнозировать, какого размера они достигнут к взрослому возрасту.
Рост невусов зависит от их расположения:
- на голове — увеличиваются в 1,7 раза;
- на туловище и руках — в 2,8 раза;
- на ногах — в 3,3 раза [7] .
Быстрее всего невусы растут в первый год жизни ребёнка [8] . Помимо размера, у них меняется цвет и форма: изначально невусы плоские и равномерно окрашенные, но со временем приподнимаются над кожей, их поверхность становится похожа на гальку или приобретает бородавчатую структуру; они могут стать темнее или светлее, пятнистыми или в крапинку [9] .
Невусы часто травмируются, что снижает защитные свойства кожи. Кроме того, при развитии осложнений, например нейрокожного меланоза, может нарушаться работа других органов.
Классификация и стадии развития врождённого меланоцитарного невуса
Врождённые меланоцитарные невусы классифицируют в зависимости от диаметра, которого они могут достигнуть к зрелому возрасту пациента.
Выделяют четыре группы невусов:
![Гигантские невусы]()
Для новорождённых большими считаются невусы от 9 см на голове и больше 6 см на теле.
Также невусы классифицируют по количеству окружающих их мелких образований (satellite — спутник, сателлитных невусов):
Осложнения врождённого меланоцитарного невуса
Врождённые невусы могут осложняться меланомой, нейрокожным меланозом и другими более редкими болезнями.
Меланома
Меланома — это раковая опухоль кожи, которая возникает из меланоцитов. На злокачественное перерождение невуса указывают его быстрый рост, изменение окраски, изъязвление, растрескивание, шелушение, зуд, боль, кровотечение, появление узелков, бляшек и неподвижность тканей, которая возникает из-за прорастания невуса в более глубокие слои кожи.
Меланома чаще возникает у пациентов с гигантскими невусами на спине и многочисленными невусами-спутниками. Реже она развивается при невусах, расположенных на голове, руках и ногах.
К факторам риска развития меланомы относятся:
- наличие множественных атипичных невусов и меланома у членов семьи;
- пигментная ксеродерма (повышенная чувствительность кожи к ультрафиолету);
- большие и гигантские невусы;
- множественные приобретённые пигментные и атипичные невусы;
- сниженный иммунитет [28][29] .
Риск развития рака при малых и средних врождённых невусах составляет менее 1 % в течение всей жизни, при больших и гигантских — 2–5 % [3] [10] [11] .
Американские исследователи изучили, как часто развивается меланома при гигантских врождённых невусах: из 289 пациентов она возникла у 67.
- в 50,7 % — на невусах;
- в 3 % — на нормальных участках кожи;
- в 31,3 % — в центральной нервной системе.
В 15 % меланома была метастазами опухоли из неустановленного первичного очага. Около половины меланом выявили у детей младше 5 лет [41] .
При больших и гигантских невусах меланома может развиваться под эпидермисом (из-за чего её трудно обнаружить на ранних сроках), поэтому важно прощупывать (пальпировать) всю поверхность невуса.
Нейрокожный меланоз
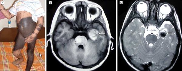
В редких случаях развивается нейрокожный меланоз — заболевание, при котором меланоциты разрастаются в центральной нервной системе. К таким нарушениям может приводить мутация гена BRAF [50] .
![Нейрокожный меланоз]()
Факторы риска развития нейрокожного меланоза:
- гигантский невус на спине (более 40 см);
- множественные невусы-спутники — чем их больше, тем выше риск;
- более двух средних невусов, особенно если помимо них много других невусов.
Болезнь тяжелее переносят дети младше 10 лет.
В исследовании американских учёных меланоз диагностировали у 26 из 379 пациентов с большими врождёнными невусами [12] . Заболевание может протекать без симптомов и случайно выявляться при МРТ, но в некоторых случаях оно сопровождается неврологическими нарушениями:
- головной болью, вялостью и рвотой;
- отёком диска зрительного нерва;
- параличом черепно-мозговых нервов и судорогами;
- увеличением окружности головы;
- нарушением координации;
- задержкой или недержанием мочи и кала.
Неврологические симптомы могут развиться из-за кровоизлияния в желудочки головного мозга, нарушения циркуляции спинномозговой жидкости, сдавления спинного мозга или злокачественного перерождения меланоцитов [3] [14] .
Симптомы появляются примерно в двухлетнем возрасте. Прогноз чаще неблагоприятный, даже если нет злокачественных новообразований [15] . В одном обзоре были изучены 39 случаев симптоматического нейрокожного меланоза: более половины пациентов погибли в течение трёх лет после появления неврологических нарушений [34] .
Другие осложнения
В очень редких случаях при больших невусах могут развиться рабдомиосаркома, липосаркома и злокачественные опухоли оболочек периферических нервов [20] .
Диагностика врождённого меланоцитарного невуса
Пациентам с малыми и средними невусами нужно раз в год посещать врача. Регулярное наблюдение поможет оценить, насколько изменился размер невуса и его структура. Для этого сравнивают фотографии или данные дерматоскопии.
![Дерматоскопия]()
Невусы чаще перерождаются в злокачественную опухоль после полового созревания, поэтому следует более тщательно наблюдать за кожей в этот период. Пациентам и их родителям нужно обращать внимание на изменение цвета невуса, его границ и структуры, следить за появлением новых образований.
Диагностика среднего, большого или гигантского невуса обычно не вызывает трудностей и основывается на клинических проявлениях и истории болезни. Если анамнез неизвестен, небольшие врождённые невусы легко спутать с приобретёнными.
Отличия можно выявить при биопсии: клетки невуса расположены глубоко в дерме, подкожном жире и сосудисто-нервных структурах, например в стенках кровеносных сосудов, могут проникать между пучками коллагена и встречаться под эпидермисом. Биопсия проводится при подозрении на злокачественное перерождение невуса [5] [37] [38] .
Исследовательский комитет Nevus Outreach разработал диагностическую модель для детей с врождёнными невусами (от 3 см) или невусами-спутниками (от 20 невусов). Методика создана ведущими экспертами в этой области, но она не заменит рекомендаций лечащего врача, так как не учитывает индивидуальные особенности пациента и течение болезни.
План обследования:
- МРТ головного и спинного мозга с контрастированием гадолинием и дальнейшая оценка результатов в экспертном центре.
- Консультации детских врачей:
- офтальмолога — поскольку меланоцитарные поражения могут развиваться на сетчатке;
- невролога — чтобы выявить или исключить симптомы нейрокожного меланоза;
- дерматолога — оценить состояние кожи и её изменения;
- пластического хирурга — определить, нужна ли операция.
- аудиологический скрининг при подозрении на нейрокожный меланоз, так как при болезни нарушается слух;
- консультация детского психолога (даже при бессимптомном течении) [48] .
![Аудиологический скрининг]()
МРТ головного и спинного мозга с контрастированием гадолинием обязательна для детей с высоким риском меланоза и неврологическими симптомами. В некоторых исследованиях при высоком риске меланоза рекомендовано делать МРТ в первые полгода жизни, даже если нет неврологических симптомов [15] .
Если большой невус расположен вдоль позвоночника или его окружают многочисленные невусы-спутники, МРТ проводят до четырёхмесячного возраста [35] .
Дифференциальная диагностика
Средние и большие врождённые невусы следует отличать от плексиформной нейрофибромы, а малые — от гамартомы гладких мышц и мастоцитомы.
Лечение врождённого меланоцитарного невуса
При врождённых невусах применяется хирургическое и медикаментозное лечение, лазерная терапия и другие методы.
Хирургическое лечение
Большие невусы рекомендуется удалять в раннем детстве — это поможет избежать эмоциональных и поведенческих нарушений у ребёнка. Такие дети из-за внешних отличий могут считать себя хуже других и избегать сверстников. Кроме того, они могут столкнуться с травлей со стороны других детей.
Однако не все невусы можно полностью удалить. Если они занимают большую площадь и дефект нельзя закрыть здоровыми тканями, то операция не проводится, либо участки невуса иссекаются частично.
Объём операции зависит от расположения невуса и глубины поражения. Её необходимость при больших и гигантских невусах считается спорной. Многие специалисты предлагают удалять наиболее неоднородные, толстые или грубые участки невуса, которые затрудняют клиническое наблюдение [45] [46] . Зачастую оптимальный выбор — это тщательно наблюдать за невусом, не проводя операцию.
Единственное абсолютное показание для хирургического лечения — это развитие злокачественной опухоли в очаге поражения. Но даже при полном иссечении больших и гигантских невусов риск онкологии сохраняется, так как меланоциты могут проникать в глубоколежащие ткани: мышцы, кости и нервную систему.
После операции могут возникать следующие осложнения: контрактуры, серомы, гематомы, инфекции мягких тканей, ишемия кожных лоскутов, расхождение швов и образование келоидных рубцов. Гематомы, серомы и ишемия лоскутов появляются сразу после операции, келоидные рубцы формируются позже, в среднем в течение первого года.
Другие методы лечения
Внешний дефект можно уменьшить с помощью кюретажа, дермабразии и лазерной терапии. Методы более эффективны в раннем детстве, поскольку невусные клетки у ребёнка расположены в верхних слоях кожи [21] [22] . После процедур эти клетки остаются в дерме и со временем пигментация частично возвращается. В некоторых случаях на таких участках развивается меланома, но связь с проведённым лечением не доказана [23] [24] [25] [26] [27] .
Противопоказания для данных процедур индивидуальны. Как правило к ним относятся местные нарушения: изъязвление, растрескивание, шелушение, узелки, неподвижность тканей и кровотечение.
Медицинские осмотры после операции
Независимо от проведённого лечения, пациентам с большими врождёнными невусами нужно раз в год проходить медицинский и дерматологический осмотр. Также необходимо проводить пальпацию невуса и рубцов, возникших после его удаления. Если обнаружены узелки или другие подозрительные уплотнения, показано гистологическое исследование, т. е. изучение образцов ткани.
Прогноз. Профилактика
При врождённных невусах может возникать сильная боль и зуд, сухость кожи и недостаточное потоотделение. Косметический дефект может привести к социальной дезадаптации.
Прогноз наиболее благоприятен, если нет факторов риска меланоза: гигантских невусов на спине, многочисленных невусов-спутников, более двух средних невусов.
Если в гигантском врождённом меланоцитарном невусе возникла меланома, то прогноз неблагоприятный [42] . Меланома растёт в дерме, поэтому её трудно обнаружить. Кроме того, клетки опухоли могут распространяться через крупные кровеносные и лимфатические сосуды, из-за чего достаточно быстро появляются метастазы [42] .
Прогноз при нейрокожном меланозе с неврологическими нарушениями тоже неблагоприятный: более половины детей погибают в течение трёх лет после появления симптомов и 70 % — до 10-летнего возраста [18] [34] [43] .
Профилактика врождённого меланоцитарного невуса
Специфической профилактики врождённых невусов не существует. Будущим родителям рекомендуется соблюдать общие правила здорового образа жизни: не курить и не пить алкоголь, полноценно питаться, по возможности не находиться в неблагоприятных экологических зонах.
При планировании и во время беременности женщинам нужно придерживаться рекомендаций Всемирной организации здравоохранения:
- предупреждать возникновение инфекционных заболеваний;
- устранять очаги хронической и острой инфекции до наступления беременности;
- во время беременности не допускать воздействия опасных веществ — солей тяжёлых металлов, пестицидов и др. [47]
Чтобы своевременно выявить злокачественное перерождение невуса, нужно регулярно посещать дерматолога или онколога и проходить дерматоскопическое обследование. Особенно пристально следует наблюдать за большими и гигантскими образованиями. Посещать доктора нужно, даже если невус уже удалён.
Детям с высоким риском развития нейрокожного меланоза необходимо находиться под постоянным наблюдением: им регулярно измеряют окружность головы, проводят неврологическое обследование и оценивают уровень развития [3] [12] [13] .
Диспластический меланоцитарный невус занимает промежуточную позицию в спектре заболеваний между распространенными приобретенными невусами и злокачественной меланомой кожи. Он считается потенциальным предшественником меланомы и маркером лиц с высоким ее риском. Синдром атипичных невусов и меланомы определяется как наличие большого количества (> 50) меланоцитарных невусов, причем некоторые из них имеют атипичные признаки.
В случае семейных невусов имеет место аутосомно-доминантный способ наследования с довольно высокой пенетрантностью. В качестве причинных признаются многие гены, включая 1р36, 9р21. Предполагается полигенная этиология. Воздействие солнца, особенно острое и периодическое, считается фактором, способствующим развитию заболевания. Однако невусы могут возникать и на полностью закрытых участках тела. Состояние иммунодефицита способствует прогрессированию в злокачественное новообразование. Определенную роль играют эндокринные и пищевые факторы, а также воздействия окружающей среды.
Общие характерные признаки
- пятнистый очаг с папулезными компонентами
- асимметрия
- диаметр превышает диметр распространенных приобретенных невусов и лежит в диапазоне обычно между 5 и 15 мм
- нечеткая граница неправильной формы
- плоская или бугристая поверхность; акцентированные кожные линии, которые видны при боковом освещении
- неравномерная пигментация с оттенками темно- и светло-коричневого, телесного, розового и черно-коричневого цвета
- эритема может присутствовать в пределах очага или вокруг него (ореол)
- круглая, овальная или эллипсоидная форма
- единичные или чаще множественные (до сотен) произвольно разбросанные очаги, особенно в семейных случаях
- локализация: туловище, руки, ноги, тыльная сторона кистей и стоп, ягодицы и волосистая часть головы (открытые и закрытые участки), может поражаться слизистая оболочка
- симптомы отсутствуют
Критерии клинической диагностики диспластического невуса
- размеры не менее 5 мм
- присутствие в элементе плоского компонента.
- характер элемента (пятно с возвышающимся папулезным компонентом);
- форма (причудливая, неправильная с изрезанными краями);
- границы (нечеткие, размытые, которые переходят в окружающую нормальную кожу);
- окраска универсально черная (но не такая интенсивная, как при меланоме) или неравномерно пестрая с оттенками черного, коричневого, рыжеватого и светло-красного.
Клинические подтипы
по типу яичницы
мишеневидный лентигинозный подобный себорейному кератозу эритематозный меланома-подобный Течение и прогноз
Диспластические невусы, как правило, начинают появляться позже, чем приобретенные меланоцитарные невусы, незадолго до начала полового созревания, и продолжают появляться на протяжении многих лет, до самой старости. Для них нехарактерна инволюция (по крайней мере, они подвергаются ей гораздо реже, чем приобретенные невусы). В отличие от диспластического невуса приобретенные меланоцитарные невусы никогда не появляются у пожилых, а те, которые есть, в пожилом возрасте исчезают.
В США риск развития меланомы в течение жизни оценивается в 0, 8% для населения. У пациентов с атипичным невусом риск меланомы значительно возрастает и достигает 6% или даже 10-15%, если она присутствует в семейном анамнезе. Риск меланомы возрастает с увеличением числа невусов, увеличением атипичных характеристик и при наличии диспластического невуса или меланомы в семейном анамнезе. Меланома у пациентов с диспластическим невусом может возникать либо de novo (на нормальной коже), либо в пределах ранее существовавшего невуса, чаще всего в возрасте старше 30 лет.
В клиническом установлении диагноза помогают дерматоскопия или эпилюминесцентная микроскопия. Исследование под лампой Вуда акцентирует эпидермальную гиперпигментацию очага. Гистологическое исследование подтверждает диагноз.
Дерматоскопия
![]()
- асимметрия цвета и формы
- многокомпонентная структура
- атипичная пигментная сеть
- нерегулярные точки и глобулы (прямоугольники)
- нерегулярные пятна (черные стрелки)
- мультифокальная гипопигментация (красные стрелки)
- структуры регресса, бело-синяя вуаль, атипичные сосуды и полосы (псевдоподии) обычно не наблюдаются
Гистологическое исследование
Эпидермис атрофичен и обычно содержит большое количество меланина.В базальных отделах эпидермиса определяется пролиферация атипичных меланоцитов с длинными отростками, часто принимающих веретеновидную форму, с вакуолизированной цитоплазмой и гиперхромными ядрами с выраженным полиморфизмом. При прогрессировании заболевания атипичные меланоциты группируются в гнезда. Встречаются многоядерные меланоциты.В субэпидермальных отделах дермы обнаруживают меланофаги, дистрофические изменения коллагена, иногда воспалительный инфильтрат из лимфоцитов и плазматических клеток.
Диспластический меланоцитарный невус дифференцируют с:
- распространенными приобретенными невусами;
- мелкими врожденными меланоцитарными невусами;
- пигментными невусами веретенообразных клеток; ; ;
- меланомой in situ и особенно с злокачественной меланомой кожи (более выраженная асимметрия, неправильные очертания с выступающими бороздками, необычные вариации окраски, включая оттенки серого, белого и сине-черного);
- пигментным себорейным или актиническим кератозом;
- пигментной базально-клеточной карциномой.
Общие терапевтические рекомендации
Лечение зависит от числа невусов наличия меланомы кожи в анамнезе и семейного анамнеза (наличие у родственников атипичного невуса и меланомы кожи)
- Пациенты должны периодически проходить контрольные осмотры в течение всей жизни. Оценка состояния должна включать:
- осмотр всей поверхности кожи;
- фотографирование клинической картины
- составление схемы-карты расположения очагов, которую периодически обновляют.
Рекомендуемые методы лечения
К очагам, которые требуют эксцизии, относятся:
- все очаги, подозрительные на меланому кожи;
- меняющиеся очаги, например увеличивающиеся в размере или меняющие пигментацию, форму и/или границу;
- очаги, за которыми трудно самостоятельно следить (на волосистой части головы, гениталиях, верхней части спины), или если есть сомнения, что пациент явится для последующего контроля очагов;
- очаги на избранных участках, таких как ладони, подошвы и ногтевое ложе.
Полная хирургическая эксцизия является лечением выбора. Достаточно начальных границ шириной 5 мм. Если очаг атипичный или переходит на границы, необходима эксцизия с чистыми границами. При выраженных атипичных признаках рекомендуется повторная эксцизия с границами 5—10 мм. За эксцизией должно всегда следовать гистологическое исследование, чтобы исключить злокачественность.
Следует избегать лазеров, электрохирургии, криотерапии и других вариантов лечения, в результате которых происходит физическая деструкция очага, поскольку эти методы не позволяют провести гистологическое исследование очага.
Читайте также:











