Диагностика конвекситального субарахноидального кровоизлияния (кСАК) по КТ, МРТ
Добавил пользователь Евгений Кузнецов Обновлено: 08.11.2025
Диагностика травматического субарахноидального кровоизлияние на КТ, МРТ
а) Терминология:
1. Сокращения:
• Травматическое субарахноидальное кровоизлияние (тСАК)
2. Определение:
• Кровь в субарахноидальных пространствах:
о Располагается между мягкой и паутинной мозговыми оболочками
б) Визуализация:
1. Общие характеристики травматического субарахноидального кровоизлияния (тСАК):
• Лучший диагностический критерий:
о Высокая плотность на бесконтрастной КТ
о Высокая интенсивность сигнала в области борозд, цистерн на FLAIR (у пациентов с травмой)
• Локализация:
о САК может быть очаговым или диффузным:
- Очаговая САК располагается в области контузии, субдуральной/эпидуральной гематомы, перелома, разрыва тканей:
Наиболее часто в области сильвиевой щели, нижней лобной доли, субарахноидальных пространств
Изолированно в бороздах конвекситальной поверхности (в области ушиба)
- Диффузно в субарахноидальном пространстве и/или базальных цистернах
- Гравитационно-зависимое растекание по намету мозжечка
2. КТ при травматическогом субарахноидальном кровоизлиянии (тСАК):
• Бесконтрастная КТ:
о Высокая плотность в субарахноидальном пространстве/цистернах
о Гиперденсная кровь в межножковой цистерне может быть единственным признаком слабовыраженного САК
о Признаки идентичны аневризмальному САК за исключением локализации:
- В области ушибов, субдуральной гематомы
- Борозды конвекситальной поверхности > базальные цистерны

(а) КТ, аксиальный срез: в бороздах, левой сильвиевой щели, обводной цистерне, а также в межполушарной борозде определяется гиперденсное субарахноидальное кровоизлияние.
(б) Бесконтрастная КТ, аксиальный срез: небольшое скопление гиперденсной жидкости вдоль левой средней лобной борозды, представляющей собой травматическое субарахноидальное кровоизлияние.
4. Ангиография:
• Традиционная ЦСА:
о Исключение аневризмы, выявление тСАК-индуцированного спазма: КТ-ангиография заменяет ЦСА
о Спазмированные сосуды по типу бусин:
- От 2-3 дней до двух недель после травмы
5. Рекомендации по визуализации:
• Лучший инструмент визуализации:
о Бесконтрастная КТ; FLAIR для выявления слабовыраженной САК
(а) Бесконтрастная КТ, аксиальный срез: в нескольких бороздах и в межножковой цистернах определяется скопление гиперденсной крови вследствие травматического субархноидального кровоизлияния (тСАК).
(б) MPT, FLAIR, аксиальный срез: определяется аномальный гиперинтенсивный сигнал от СМЖ, расположенной в межножковой, а также обводной/четверохолмной цистернах. Также выявляется небольшое количество крови в гравитационно зависимом отделе правого лобного рога бокового желудочка. (а) MPT, FAIR, аксиальный срез: от СМЖ правой сильвиевой щели, а также в нескольких бороздах правого полушария определяется аномальный гиперинтенсивный сигнал, соответствующий травматическому субарахноидальному кровоизлиянию (тСАК).
(б) Бесконтрастная КТ, аксиальный срез: двустороннее расширение борозд (больше справа) за счет скопления изоденсной ликвору крови (подострая-хроническая стадия САК).
в) Дифференциальная диагностика травматического субарахноидального кровоизлияния (тСАК):
1. Нетравматическое САК (нтСАК):
• Разрыв аневризмы:
о Является причиной 80-90% всех нтСАК о Визуализация аневризмы при ЦСА, КТ-, МР-ангиографии в > 90% случаев
• Разрыв расслаивающей аневризмы
• Артериовенозная мальформация (АВМ):
о Причина 15% нтСАК
о Визуализация АВМ при ЦСА, КТ-, МР-ангиографии
• Перимезенцефальное венозное кровоизлияние:
о Ограничено базальными цистернами: тромб вокруг основной артерии
о При ЦСА, КТ-, МР-ангиографии изменений не выявляется
• Ишемический инсульт с реперфузионным кровотечением: О Ишемический инсульт в анамнезе
• Антикоагулянтная терапия:
о Длительная терапия варфарином (кумадином); обычно нераспознанная легкая черепно-мозговая травма
о Злоупотребление алкоголем как причина аномальной коагуляции
• Патология крови:
о Обычно наличие указаний в анамнезе
• Эклампсии (гипертензия, вызванная беременностью):
о Осложнения, симптоматика эклампсии в анамнезе
• Спинальная сосудистая мальформация:
о При начальной и повторной ЦСА сосудов головного мозга мальформации не выявляется
о МРТ: спинальное САК, отек спинного мозга
о МР-ангиография и ЦСА позволяют установить диагноз
2. Менингит: клеточный и белковый детрит:
• «Грязная» СМЖ на КТ
• Гиперинтенсивный сигнал на FLAIR вследствие укорочения Т1 и отсутствия обнуления сигнала
3. Карциноматозный менингит:
• Клеточная СМЖ предотвращает обнуление сигнала от СМЖ на FLAIR
4. Псевдосубарахноидальное кровоизлияние:
• Выраженный отек мозга → диффузное снижение плотности головного мозга
• Твердая мозговая оболочка, циркулирующая кровь в артериях/венозных синусах относительно гиперденсна по сравнению с соседней мозговой тканью
5. Введение гадолиния:
• В/в введение гадолиний содержащего контрастного препарата при рутинной МРТ с контрастированием может обусловливать гиперинтенсивный сигнал на FLAIR:
о Инсульт, глиомы высокой степени злокачественности или менингиомы (поверхности новообразований контактируют с субарахноидальными пространствами/желудочками)
о Изменения СМЖ более выражены возле патологического очага и/или пораженного полушария
6. Вдыхание кислорода высокой концентрации:
• 100% O2 во время общей анестезии:
о Может обусловливать неполное обнуление сигнала от субарахноидальной СМЖ
о Гиперинтенсивный на FLAIR сигнал от СМЖ, располагающейся в области борозд
о В СМЖ желудочков патологических изменений не выявляется
г) Патология:
1. Общие характеристики травматического субарахноидального кровоизлияния (тСАК):
• Этиология:
о Разрыв сосудов, располагающихся в субарахноидальном пространстве
о Травматическая расслаивающая аневризма → САК в базальные цистерны:
- Чаще при расслоении позвоночной артерии
- Возможно при переломе костей основания черепа
- Имитирует аневризмальное САК
• Генетика:
о АРОЕ еε аллель предрасполагает к неблагоприятному исходу черепно-мозговой травмы (ЧМТ), САК, геморрагического инсульта
• Ассоциированные аномалии:
о Ушибы, субдуральная или эпидуральная гематома, диффузное аксональное повреждение
2. Стадирование и классификация:
• Класс 1: тонкий слой крови < 5 мм
• Класс 2: толстый слой крови > 5 мм
• Класс 3: тонкий слой крови в сочетании с объемным(и) повреждением(ями)
• Класс 4: толстый слой крови в сочетании с объемным(и) повреждением(ями)
3. Макроскопические и хирургические особенности:
• Острое скопление крови в бороздах/цистернах
• Данные аутопсии:
о Кровотечение из корковых артерий/вен
о Кровотечение из области поверхностных ушибов
4. Микроскопия:
• Превращения гемоглобина при САК отличаются от описанных при внутримозговой гематоме:
о Более медленное превращение, распад
о Вероятно является вторичным по отношению к высокому парциальному давлению кислорода субарахноидальной СМЖ
г) Клинические признаки травматического субарахноидального кровоизлияния (тСАК):
1. Проявления:
• Наиболее частые признаки/симптомы:
о Головная боль, рвота, нарушение сознания
• Другие признаки/симптомы:
о Возможен ↑ риск пролонгации корригированного интервала Q-T на ЭКГ, желудочковой тахикардии, внезапной смерти
• Клинический профиль:
о Травма (не разрыв аневризмы) является наиболее частой причиной САК
2. Демография:
• Возраст:
о Медиана = 43 года (среднеквадратическое отклонение = 21,1 год)
• Пол:
о М:Ж = 2:1 при подтвержденной черепно-мозговой травме
• Эпидемиология
о тСАК обнаруживаются у 33% пациентов с ЧМТ средней степени тяжести и у 60% пациентов с тяжелой ЧМТ
о При аутопсии обнаруживается практически у всех таких пациентов
о тСАК-ассоциированный вазоспазм отмечается в 2-10% случаев
• Факторы риска при ЧМТ:
о Молодой возраст, низкий доход, хроническое злоупотребление алкоголем/наркотическими веществами
о Предыдущие эпизоды ЧМТ
3. Течение и прогноз:
• Исход определяется при анализе регрессии согласно:
о Шкале комы Глазго
о Количеству крови в субарахноидальном пространстве
• Изолированная тСАК при ЧМТ средней степени тяжести:
о Обычно имеет доброкачественное течение
о При отсутствии какой-либо другой значительной травмы можно обойтись без диагностической визуализации в динамике/лечения в условиях ОИТ
• При сочетании САК с другими травматическими повреждениями внутричерепных структур прогноз неблагоприятный:
о Количество тСАК при первичной КТ коррелирует с отсроченной ишемией, неблагоприятным исходом
о У 46-78% пациентов с ЧМТ умеренной и тяжелой степенями тяжести в сочетании с тСАК отмечается:
- Высокая заболеваемость, что приводит к тяжелой инвалидности и вегетативному состоянию
Высокий уровень смертности (выше более, чем в два раза)
• Острая гидроцефалия:
о Редко; как правило, обусловлена обструкцией свернувшейся крови водопровода или выпускного отверстия IV желудочка
о Обструктивная не сообщающаяся гидроцефалия:
- Асимметричная дилатация желудочков
• Отсроченная гидроцефалия:
о Нарушение резорбции СМЖ
о Обструктивная сообщающаяся гидроцефалия:
- Симметричная желудочковая дилатация
о Наблюдается у 11.96% пациентов с ЧМТ после трехмесячного периода наблюдения
о Корреляция между локализацией травматического субарахноидального кровоизлияния (тСАК) и развитием гидроцефалии отсутствует
• Вазоспазм:
о При травматическом субарахноидальном кровоизлиянии (тСАК) развивается раньше, чем при аневризмальном САК
о Пик - 7-10 дней после травмы
о Угроза остается до двух недель
о Редкая причина посттравматического инсульта
• Отмечается ↓ нейропсихологических функций, худший профессиональный исход по сравнению с лицами без САК в течение одного года наблюдения
4. Лечение:
• Поддерживающая терапия является основным методом лечения:
о Интубация, кислородная поддержка, в/в введение жидкости, измененные основные показатели жизненно важных функций
о Седативные препараты; препараты для снятия боли, тошноты и рвоты
о Антиконвульсанты при судорогах
• Нимодипин (блокатор кальциевых каналов) может предотвратить вазоспазм и его осложнения
д) Диагностическая памятка. Советы по интерпретации изображений:
• Травматическое субарахноидальное кровоизлияние (тСАК) часто сопровождается дополнительными повреждениями
• Часто отмечается изолированное скопление крови в бороздах супратенториально
• Единственным признаком слабовыраженного субарахноидального кровоизлияния (САК) может быть наличие гиперденсной крови в межножковой цистерне
Диагностика конвекситального субарахноидального кровоизлияния (кСАК) по КТ, МРТ
Конвекситальное субарахноидальное кровоизлияние (кСАК) на КТ, МРТ
а) Терминология:
• Уникальный тип субарахноидального кровоизлияния (САК):
о Локализуется в бороздах конвекситальной поверхности головного мозга
б) Визуализация:
• Бесконтрастная КТ: гиперденсное скопление крови в одной или нескольких соседних бороздах дорсолатеральной конвекситальной поверхности головного мозга:
о Локализация в базальных, перимезенцефальных цистернах не характерна
• МРТ:
о Замещение СМЖ в области борозд конвекситальной поверхности головного мозга изоинтенсивной жидкостью («грязная СМЖ»)
о Гиперинтенсивный сигнал от ликвора борозд на FLAIR
о GRE, SWI: участки «выцветания» изображения в области борозд
(а) Рисунок больших полушарий головного мозга, вид сверху: синим цветом изображено конвекситальное субарахноидальное кровоизлияние (САК), распространяющееся на соседние борозды, но не затрагивающие базальные цистерны.
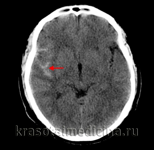
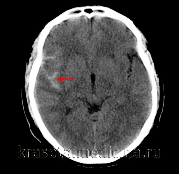
(б) Бесконтрастная КТ, аксиальный срез: у женщины 28 лет с интенсивной головной болью, возникшей после родов, определяется ограниченное субарахноидальное кровоизлияние, локализующееся над конвекситальной поверхностью правого полушария. (а) MPT, Т1 -ВИ, аксиальный срез: у этой же пациентки в бороздах конвекситальной поверхности правого полушария определяется «грязный» ликвор (по сравнению с нормальной гипоинтенсивной СМЖ в контрлатеральных бороздах).
(б) MPT, FLAIR, аксиальный срез: у того же пациента в области борозд конвекситальной поверхности правого полушария определяется гиперинтенсивный сигнал (в противоположность гипоинтенсивному подавленному сигна лу от нормальной СМЖ в области борозд конвекситальной поверхности левого полушария).
Постнатально по результатам ЦСА была диагностирована васкулопатия (снимки не представлены).
в) Дифференциальная диагностика конвекситального субарахноидального кровоизлияния (кСАК):
• Аневризматическое субарахноидальное кровоизлияние (аСАК)
• Перимезенцефальное неаневризматическое субарахноидальное кровоизлияние (пнСАК)
• Травматическое субарахноидальное кровоизлияние (тСАК)
г) Патология:
• Для различных возрастов характерна своя этиология:
о Пациенты пожилого возраста: амилоидная ангиопатия, венозный тромбоз, васкулит
о Пациенты среднего возраста: синдром обратимой церебральной вазоконстрикции (СОЦВ), васкулит, венозный тромбоз
о Молодые взрослые, дети: наркотические вещества, васкулит, венозный тромбоз/тромбоз синусов твердой мозговой оболочки
д) Клиническая картина конвекситального субарахноидального кровоизлияния (кСАК):
• 7%-спонтанные (нетравматические) САК
• Наиболее типичный клинический профиль: женщина среднего возраста
• Клинические проявления варьируют с возрастом:
о < 60 лет: внезапная «громоподобная» головная боль (например, СОЦВ)
о > 60 лет: кратковременная сенсорная, моторная симптоматика, менее интенсивная головная боль (ЦАА)
Диагностика субарахноидального кровоизлияния из-за разрыва аневризмы по КТ, МРТ, ангиограмме
а) Терминология:
1. Сокращения:
• Аневризматическое субарахноидальное кровоизлияние (аСАК)
2. Определения:
• Экстравазациоя крови в субарахноидальное пространство:
о Обычно при разрыве мешотчатой аневризмы
о Реже: расслоение стенки сосуда, расслаивающая аневризма
1. Общие характеристики субарахноидального кровоизлияния из-за разрыва аневризмы:
• Лучший диагностический критерий:
о Гиперденсные борозды, базальные цистерны на бесконтрастной КТ
• Локализация:
о Супраселлярная, базальная, сильвиевы, межполушарные цистерны:
- ± внутрижелудочковое кровоизлияние (ВЖК)
о Распространенность аСАК зависит от локализации мешотчатой аневризмы (МА):
- Аневризматическое субарахноидальное кровоизлияние (аСАК) наиболее обширно вблизи разрыва аневризмы:
Передняя соединительная артерия (ПСоА) аневризма → передняя межполушарная борозда
Аневризма средней мозговой артерии (СМА) → сильвиева борозда
Верхушка основной артерии, верхняя мозжечковая артерия (ВМА), МА задней нижней мозжечковой артерии (ЗИМА) или позвоночной артерии (ПА), расслаивающая аневризма (РА) → предмостная цистерна, большое затылочное отверстие, IV желудочек
- Причинная аневризма иногда выглядит, как «дефект наполнения» на фоне гиперденсной аСАК
о МА, как правило, локализуются в области бифуркации вдоль интрадуральных отделов ВСА, виллизиева круга (ВК), СМА: - 90% локализуются на сосудах передней циркуляции: ПСоА, задняя соединительная артерия (ЗСоА), СМА, терминальные отделы сонной артерии, устье глазничной артерии, верхняя гипофизарная артерия
- 10% локализуются на сосудах задней циркуляции: верхушка основной артерии, ЗИМА, передняя нижняя мозжечковая артерия (ПНМА), ВМА
о ДА: наиболее часто интрадуральный сегмент ПА (V4)
о Блистерная аневризма (БА):
- Дорсальная часть супраклиноидного отдела ВСА
- Редко СМА, основная артерия

(а) Сигнал от неизмененной СМЖ подавляется на FLAIR. MPT, FAIR, аксиальный срез: у этого же пациента определяется аномальная гиперинтенсивность СМЖ супраселлярной цистерны. Гиперинтенсивный сигнал от ликвора также отмечается в области перимезенцефальных цистерн слева, верхней мозжечковой цистерны, а также теменно-затылочных субарахноидальных пространств.
(б) Бесконтрастная КТ, аксиальный срез: у мужчины 83 лет, найденного лежащим на полу, определяется диффузное САК, визуализируемое как гиперденсная жидкость практически во всех бороздах на данном снимке Также в боковых желудочках отмечается наличие границ раздела СМЖ-кровь.
2. КТ при субарахноидальном кровоизлиянии из-за разрыва аневризмы:
• Бесконтрастная КТ:
о Дает положительный результат в 95% случаев в первые 24 часа, в < 50% случаев в течение 1 недели
о Сглаженность сильвиевой борозды в подострой стадии, ее заполнение изоденсной кровью САК
о Часто отмечается гидроцефалия, может развиваться рано
о ± интрапаренхимальное кровоизлияние в месте разрыва аневризмы
• КТ-ангиография:
о Дает положительный результат в 90-95% случаев при размере аневризмы > 2 мм
4. Ангиография при субарахноидальном кровоизлиянии из-за разрыва аневризмы:
• КТ-ангиография имеет высокую чувствительность и специфичность в обнаружении разрыва аневризм:
о Лучший метод для начальной диагностики САК, установление очередности медицинской помощи пациентам
• Традиционная четырехсосудистая ангиография все еще остается золотым стандартом диагностической визуализации:
о Должны визуализироваться:
- Оба бассейна ВСА
- Обе ПА или доминирующая ПА + рефлюкс в контрлатеральную ЗНМА
о МА:
- Мешковидное выпячивание стенки артерии в участки ее ветвления
- Оцените наличие соска Мерфи = участок разрыва
- Выполните поиск других аневризм (в 20% - множественные):
При множественных аневризмах наиболее вероятным источником кровотечения является наиболее неровная аневризма наибольших размеров + соседствующая с участком вазоспазма
о РА:
- Неровный ±дилатированный или стенозированный сегмент V4 ПА
о БА:
- Гладкий/неровный пузыревидное/куполообразное выпячивание
- Не связана с участком ветвления крупного сосуда
- Наиболее распространенная локализация-вдоль супраклиноидного отдела ВСА
о ЦСА дает отрицательный результат при 15% аСАК; положительный результат при повторном исследовании < 5%:
- Необходимо провести оценку НСА (для исключения дуральной артериовенозной фистулы [дАВФ])
- В ходе начального исследования методом ЦСА МА может не визуализироваться, если не была установлена оптимальная проекция, при наличии самопроизвольного частичного или полного тромбоза аневризмы и/или при наличии вазоспазма
- Рассматривайте возможность повторения ЦСА в течение 5-7 дней
5. Рекомендации по визуализации субарахноидального кровоизлияния из-за разрыва аневризмы:
• Лучший инструмент визуализации:
о Бесконтрастная КТ + КТ-ангиография с мультипланарной реформацией
• Советы по протоколу исследования:
о Перейдите к ЦСА, если при бесконтрастной КТ имеются признаки аСАК, но КТ-ангиография дает отрицательные результаты о Рассмотрите возможность MPT-исследования при отрицательных результатах по данным ЦСА + КТ-ангиографии
о Вероятность наличия аневризмы у пациента с отсутствием признаков аневризмы при КТ, КТ-ангиографии, но положительными результатам люмбальной пункции мала
(а) MPT, Т1-ВИ, сагиттальный срез: типичные признаки острого аневризматического САК. Обратите внимание на «грязную» СМЖ, изоинтенсивную по отношению к соседней мозговой ткани. Зона нормальной потери сигнала за счет эффекта потока от основной артерии окружена САК.
(б) MPT, Т1 -ВИ, аксиальный срез: у этого же пациента отмечается хороший контраст между изоинтенсивным (по отношению к мозговой ткани) «грязным» ликвором ЕЯ и внешне нормальной гипоинтенсивной («темной») СМЖ в цистернах и височных рогах боковых желудочков. (а) МРТ, выполненная через два дня после предыдущего исследования, FAIR, аксиальный срез: у того же пациента определяется диффузное распределение гиперинтенсивной жидкости в бороздах полушарий головного мозга. Также на фоне нормального подавления сигнала от ликвора в боковых желудочках отмечается наличие границ раздела кровь-ликвор.
(б) MPT, GRE, аксиальный срез: у этого же пациента в бороздах определяется скопление крови, визуализируемое как гипоинтенсивные участки «выцветания» изображения. Также в боковых желудочках хорошо видны границы раздела кровь-СМЖ.
в) Дифференциальная диагностика субарахноидального кровоизлияния из-за разрыва аневризмы:
1. Неаневризматическое САК:
• Перимезенцефальное САК:
о САК малого объема, локализуется в межножковой цистерне
о Предположительная венозная этиология, низкая частота рецидивов
• Травматическое субарахноидальное кровоизлияние:
о Редко образуется вследствие расслоения или разрыва травматической псевдоаневризмы
о Прилежит к участкам ушиба, субдуральной гематоме
• Субарахноидальное кровоизлияние, NOS:
о Сосудистые мальформации: артериовенозная мальформация (АВМ), кавернозная гемангиома
2. Синдром обратимой церебральной вазоконстрикции (СОЦВ):
• Внезапная головная боль «как удар грома»
• САК обычно локализуется в бороздах больших полушарий, в отличие от аСАК, при котором кровоизлияние чаще локализуется в базальных цистернах
3. «Псевдо-САК»:
• Гиподенсная мозговая ткань: выраженный отек головного мозга
• Гиподенсная СМЖ: интратекальное контрастирование; менингит
1. Общие характеристики субарахноидального кровоизлияния из-за разрыва аневризмы:
• Этиология:
о Мешотчатые аневризмы:
- Ягодные аневризмы: врожденное отсутствие внутренней эластической мембраны и медии в участке ветвления артерии → фокальное ослабление прочности стенки сосуда:
↑ риск семейных внутричерепных аневризм (5% случаев), поликистоза почек взрослых, коарктации аорты
- Развитие может быть связано с вызванной высоким кровотоком артериопатией питающей артерии АВМ или, реже, дАВФ
- ↑ риск разрыва аневризмы у женщин, курильщиков, пациентов с артериальной гипертензией
о Веретеновидная аневризма:
- Расслоение стенки, обусловленное травмой, артериальной гипертензией, атеросклерозом
- В основе развития лежит артериопатия, включая фибромышечную дисплазию (ФМД), синдром Марфана, синдром Элерса-Данлоса, инфекционное повреждение
- Микотический генез
о Блистерная аневризма: отсутствие всех слоев стенки сосуда (аневризма образована фиброзной капсулой)
• Ассоциированные аномалии:
о Вазоспазм:
- Обусловлен продуктами распада крови, генотипом аполипо-протеина-Е, воздействием эндотелина-1, высвобождаемого из лейкоцитов СМЖ
- В 70% случаев развиваются ангиографические признаки вазоспазма
- В 30% случаев имеется вазоспазм с клиническими проявлениями
- Развивается на - 3-4 день после САК; пик - 7-9 день, длительность - 12-16 дней
о Синдром церебральной потери солей:
- Чрезмерная почечная экскреция Na+ → гипонатриемия, гиповолемия
о Синдром Терсона:
- Внутриглазное кровоизлияние (в сетчатку глаза, стекловидное тело) в комбинации с САК, обусловленное быстрым ↑ внутричерепного давления
2. Стадирование и классификация субарахноидального кровоизлияния из-за разрыва аневризмы:
• Клиническая классификация Ханта и Хесса (ХиХ): степень 0-5:
о 0: Отсутствие САК (неразорвавшаяся аневризма)
о 1: Отсутствие симптомов, минимальная головная боль, незначительная ригидность затылочных мышц
о 2: Головная боль от умеренной до сильной интенсивности, затылочной ригидность затылочных мышц
- Отсутствие неврологического дефицита, кроме паралича ЧН
о 3: Сонливость, минимальный неврологический дефицит
о 4: Ступор, умеренный/тяжелый гемипарез
о 5: Кома, децеребрационная ригидность, внешний вид умирающего
• КТ классификация степеней по Фишеру:
о 1: Отсутствие визуализируемой САК
о 2: Диффузное САК, тонкий слой крови (о 3: Локализованный тромб или толстый слой крови (> 1 мм)
о 4: Кровь внутри желудочков
3. Макроскопические и хирургические особенности:
• Кровь в базальных цистернах, бороздах и желудочках
д) Клиническая картина субарахноидального кровоизлияния из-за разрыва аневризмы:
1. Проявления:
• Наиболее частые признаки/симптомы:
о Внезапное появление головной боли по типу «удара грома»/ «сильнейшей в жизни головной боли»
о 10% аСАК предшествует «сторожевое кровоизлияние» = самоограничивающееся САК + головная боль в предшествующие дни/недели
2. Демография:
• Возраст:
о Пик = 40-60 лет
• Пол:
о М:Ж= 1:2
• Эпидемиология:
о Аневризмы являются причиной 85% спонтанных САК
о Заболеваемость - 9,9 на 100000 населения
3. Течение и прогноз:
• Смертность составляет 50%; повторные кровотечения в течение первых двух недель отмечаются в 20% случаев
• Клинический исход обратно пропорционален исходной степени по классификации ХиХ или исходному количеству баллов по шкале всемирной федерации нейрохирургов (WFNS)
• Вазоспазм + ишемия → отсроченная заболеваемость и смертность:
о Степень тяжести коррелирует с количеством САК (КТ классификация по Фишеру); обратная корреляция с возрастом пациента
• Гидроцефалия на момент обследования пациента выявляется в 90% случаев
о 10% требуют постоянного отвода ликвора
4. Лечение:
• Разрыв аневризмы:
о Coil-эмболизация («койлинг») при анатомической возможности выполнения:
- Более низкий уровень острых побочных эффектов; долгосрочная заболеваемость любой этиологии
о Микронейрохирургическое клипирование
- Доказанная десятилетиями, но сопряжена с большей инвазивносгью, заболеваемостью/смертностью по сравнению с койлингом
- Смерть или зависимость от медицинской помощи в течение одного года = 23,7% при койлинге, 30,7% при клипировании
• Вазоспазм:
о Антагонисты Са++, терапия «три Г» (гиперволемия, гемодилюция, гипертензия)
о Эндоваскулярное лечение: внутриартериальное введение антагонистов Са++ («химическая ангиопластика»), баллонная ангиопластика
• Гидроцефалия:
о Обеспечение временного или постоянного оттока ликвора
Субарахноидальное кровоизлияние

Субарахноидальное кровоизлияние (САК) - это экстрааксиальное внутричерепное кровоизлияние, характеризующееся наличием крови в субарахноидальном пространстве.
Эпидемиология
Возникает обычно у пациентов среднего возраста (чаще до 60 лет). При инсультах субарахноидальные кровоизлияния встречаются в 3% случаев, и в 5% случаев обуславливают смертельный исход.
Этиология
- Травматическое субарахноидальное кровоизлияние.
- Спонтанные САК
- Разрыв аневризмы 75 – 80%
- АВМ 4-5%
- Перимезэнцефальное кровоизлияние
- Дуральная артерио-венозная фистула
- Спинальная артериовенозная мальформация
- Опухоль головного мозга
- Диссекция артерий (сонная, позвоночные).
- Коагулопатии (тромбоцитопения)
- Тромбоз синусов
- Прием кокаина
- Серповидноклеточная анемия
- Апоплексия гипофиза
![]()
Факторы риска для САК
- Артериальная гипертензия
- Пероральные контрацептивы
- Курение табака, использование кокаина
- Колебания АД в течение дня
- Беременность и роды
- Поликистоз почек (аутосомно-доминантно наследуемый)
- Нейрофиброматоз 1 типа
- АВМ
- Заболевания соединительной ткани (Эллерс-Данло IV типа – дефицит коллагена типа III) – ассоциирован с высокой вероятностью разрыва артерий во время ангиографии или эндоваскулярного лечении;
- Синдром семейных аневризм: 2 или более родственников третей степени или более близкого родства имеют подтвержденные ангиографически аневризмы
- Коарктация аорты
- Синдром Рендю-Ослера
- Атеросклероз
- Бактериальный эндокардит
Патология
3 паттерна субарахноидального кровоизлияния, различающиеся от этиологического фактора.
- супраселлярная цистерна с диффузным периферическим распространением
- перимезенцефально и основная цистерна
- изолированно по конвексу больших полушарий
Клинические проявления
- Наисильнейшая головная боль, которую испытывал когда-либо пациент.
- Боль предшественник у 20 -50% за неделю или несколько дней до САК.
- Головная боль - единственный симптом САК у 40% пациентов.
- Менингеальная симптоматика (тошнота, рвота, фотобоязнь, боль в шее).
- Утрата сознания (синкопальные состояния) в результате резкого повышения внутричерепного давления или нарушений сердечного ритма.
- Нарушение уровня бодрствования и сознания (2/3 наблюдений)
- Судороги
- Очаговый неврологический дефицит
- Парез III нерва (при аневризме задней соединит артерии)
- Нижний парапарез и абулия (аневризма передней соединительной артерии)
- Гемипарез, афазия или игнорирование (аневризма СМА)
- Парез взора вверх (повышение ВЧД, гидроцефалия, повреждение покрышки среднего мозга)
Преретинальное кровоизлияние (синдром Терсона) (повышение ВЧД) - Кома после САК может быть результатом каждого патологического состояния или их комбинации:
- Повышение внутричерепного давления
- Повреждение ткани мозга в результате паренхиматозного кровоизлияния
- Гидроцефалия
- Диффузная ишемия (после значимого повышения ВЧД)
- Судорожные припадки
- Снижение мозгового кровотока в результате снижения сердечного выброса (нейрогенный оглушенный миокард- “neurogenic stunned myocardium”)
Для оценки прогноза при САК используют шкалы:
- Шкала Хант-Хесс (Hunt-Hess)
- Шкала Фишер (Fischer)
- Шкала WFNS (World Federation Neurologic Surgeon scale)
Шкала Хант-Хесс (Hunt-Hess)
Шкала используется для оценки тяжести состояния больных с субарахноидальным кровоизлиянием в остром периоде.
- 0 степень
неразорвавшаяся аневризма - 1 степень
отсутствие симптомов или минимальная головная боль и ригидность мышц затылка (менингеальная симптоматика).
выживаемость составляет 70% - 2 степень
умеренная или выраженная головная боль, ригидность мышц затылка (менингеальная симптоматика), отсутствие неврологического дефицита, кроме пареза черепно-мозговых нервов
выживаемость составляет 60% - 3 степень
вялость, спутанность, минимально выраженный неврологический дефицит,
выживаемость составляет 50% - 4 степень
ступор, умеренный или выраженный гемипарез, ранняя децеребрационная ригидность и вегетативные нарушения
выживаемость составляет 20% - 5 степень
глубокая кома, акинетический мутизм, децеребрационная ригидность
выживаемость 10% - Пациента относят на степень выше, если выявляются сопутствующие системные заболевания такие, как артериальная гипертензия, сахарный диабет, атеросклероз, ХОБЛ, или вазоспазм при ангиографии.
- 1 и 2 степень оперируются незамедлительно при выявлении аневризмы.
- ≥ 3 степень лечатся консервативно до достижения 2 или 1 степени.
- Любая жизнеугрожающая гематома оперируется незамедлительно при любой степени по Хант-Хесс.
Шкала Фишер (Fischer)
Также оценивают риск развития вазоспазма, используя шкалу Фишер (Fischer), основанную на оценке количества крови при первичной КТ и на 5 день после САК. Наибольший риск по развитию вазоспазма имеют пациенты, у которых выявили локализованные сгустки, а также диффузные кровоизлияния слоем более 1 мм.
- 1 степень
нет субарахноидального или вентрикулярного кровоизлияния
вероятность симптоматического вазоспазма: 21% - 2 степень
диффузное субарахноидальное кровоизлияние толщиной нет сгустков крови
вероятность симптоматического вазоспазма: 25% - 3 степень
локальные сгустки и/или слой крови более >1 мм толщиной
+/- внутричерепная гематома или внутрижелудочковое кровоизлияние
вероятность симптоматического вазоспазма: 37% - 4 степень
нет или минимальное субарахноидальное кровоизлияние
имеется внутричерепная гематома или внутрижелудочковое кровоизлияние
вероятность симптоматического вазоспазма: 31%
Шкала Всемирной федерации нейрохирургов
Шкала Всемирной федерации нейрохирургов (WFNS (World Federation Neurologic Surgeon scale)) для оценки тяжести САК использует шкалу комы Глазго (ШКГ) и очагового неврологического дефицита.
- Степень 0
Неразорвавшаяся аневризма
Общая летальность 1% - Степень 1
Глазго 15 баллов и отсутствует очаговый дефицит
Общая летальность 5% - Степень 2
Глазго 13 – 14 балов и отсутствует очаговый дефицит
Общая летальность 9% - Степень 3
Глазго 13 – 14 балов и выявляется очаговый дефицит
Общая летальность 20% - Степень 4
Глазго 7 – 12 балов ± очаговый дефицит
Общая летальность 33% - Степень 5
Глазго 3 – 6 балов ± очаговый дефицит
Общая летальность 76%
Диагностика
- Компьютерная томография (КТ) - первоначальный метод исследования, что обусловленно простотой и доступности метода.
- Магнитно-резонансная томография (МРТ), МР ангиография - использование Flair изображения предпочтительнее для оценки субарахноидального пространства особенно впервые 12 часов. Метод чувствительнее и специфичности, чем КТ, но уступает КТ в связи с долгим временем сканирования.
- Цифровая Ангиография (ЦАГ) - золотой стандарт, максимально чувствительный и специфичный метод исследования.
- Люмбальная пункция (ЛП).
Компьютерная томография (КТ)
КТ является первоначальным исследованием, при помощи которого обязательно определить степень согласно шкалы Фишер (Fischer). Диагноз САК подозревается при наличии уплотнения субарахноидальных пространств.
Чувствительность метода снижается с течением времени (100% в течение первых 12 часов, 93% в течение 24 часов, 50% в течение 7 дней).Распространение крови на при аневризматическом САК
- область виллизиева круга;
- базальная цистерна;
- сильвиева щель;
- между большими полушариями мозга;
- внутрижелудочковое кровоизлияние (обычно затылочный рог бокового желудочка - треугольное уплотнение).
Распространение крови при травматическом САК:
- Обычно сочетается с другими признаками ТЧМТ (отек, очаги ушиба, эпидуральные, субдуральные гематомы)
- Кровь расположена более поверхостно вокруг корковых структур
Магнитно-резонансная томография (МРТ)
Для оценки наличия крови в субарахноидальных пространств особенно в первые 12 часов используется FLAIR последовательность для определения, что проявляется гиперинтенсивным сигналом. SWI изображение чувствительна к продуктам распада гемоглобина.
На МР ангиографии и МР венографии можно выявить аневризму или другой источник кровоизлияния.Минусы МРТ в сравнении с КТ:
- низкая доступность
- длительное время сканирования,
- сложность сканирования нестабильных и интубированных пациентов.
ЦАГ: ангиография
Цифровая субстракционная ангиография - это "золотой стандарт" в диагностике сосудистых патологии, даже при типичной картине на КТ или МРТ, перед оперативной манипуляцией выполняется цифровая ангиография, потому как данная диагностическая процедура оправдано так, как цифровая субстракционная ангиография имеет высокое пространственное разрешение и лучше визуализируются мелкие сосуды, шейку аневризмы и прилежащие сосуды. При помощи ЦАГ возможно получить информацию о питающих сосудах, а также отдифференцировать такие патологии, как артериовенозные мальформации (АВМ) и дуральные артериовенозные фистулы (ДАВФ). Кроме того эндоваскулярная диагностика может быть одновременно и лечебной манипуляций.
Лечение и прогноз
Лечение проводится в специализированном сосудистом центре в зависимости от причины САК
При появлении клинических признаков острой гидроцефалии следует рассмотреть вопрос о проведении наружного вентрикулярного дренирования.
Аневризмы должны подвергаться эмболизации с целью снижения риска рецидива кровотечения. Для этого во время эндоваскулярной операции в аневризму вводятся разделяемые спирали. Альтернативный метод лечения при наличии доступа к аневризме – ее клипирование или создание обходного кровотока, особенно у больных с поддающимися хирургическому удалению гематомами или с острой гидроцефалией. Если больной в сознании, то большинство сосудистых нейрохирургов предпочитают делать операцию в первые 24 ч, чтобы минимизировать риск повторного кровотечения или вазоспазма с развитием инфарктов мозга. Если после субарахноидального кровоизлияния прошло более 24 ч, то некоторые нейрохирурги часто проводят операцию спустя не менее 10 дней; это снижает риск, связанный с формированием вторичной ишемии, но увеличивает риск повторного кровотечения и увеличения общей летальности.
Субарахноидальное кровоизлияние — состояние, обусловленное мозговым кровотечением, при котором кровь скапливается в подпаутинном пространстве церебральных оболочек. Характеризуется интенсивной и резкой головной болью, кратковременной потерей сознания и его спутанностью в сочетании с гипертермией и менингеальным симптомокомплексом. Диагностируется по данным КТ и ангиографии головного мозга; при их недоступности — по наличию крови в цереброспинальной жидкости. Основу лечения составляет базисная терапия, купирование ангиоспазма и хирургическое выключение церебральной аневризмы из кровотока.
МКБ-10
![Субарахноидальное кровоизлияние]()
![КТ головного мозга. Кровь в субарахноидальных ликворных пространствах справа. (фото Вишняков В.Н.)]()
![КТ головного мозга. Гиперденсная кровь в субарахноидальных ликворных пространствах]()
Общие сведения
Субарахноидальное кровоизлияние (САК) представляет собой отдельный вид геморрагического инсульта, при котором излитие крови происходит в субарахноидальное (подпаутинное) пространство. Последнее располагается между арахноидальной (паутинной) и мягкой церебральными оболочками, содержит цереброспинальную жидкость. Кровь, излившаяся в подпаутинное пространство, увеличивает объем находящейся в нем жидкости, что приводит к повышению внутричерепного давления. Происходит раздражение мягкой церебральной оболочки с развитием асептического менингита.
Спазм сосудов, возникающий в ответ на кровотечение, может стать причиной ишемии отдельных участков головного мозга с возникновением ишемического инсульта или ТИА. Субарахноидальное кровоизлияние составляет около 10% всех ОНМК. Частота его встречаемости за год варьирует от 6 до 20 случаев на 100 тыс. населения. Как правило, САК диагностируется у лиц старше 20 лет, наиболее часто (до 80% случаев) в возрастном промежутке от 40 до 65 лет.
![Субарахноидальное кровоизлияние]()
Причины
Наиболее часто субарахноидальное кровотечение выступает осложнением цереброваскулярных заболеваний и травм головы.
- Разрыв сосудистой аневризмы. Является причиной субарахноидального кровоизлияния в 70-85% случаев. При наличии аневризмы сосудов головного мозга вероятность ее разрыва составляет от 1% до 5% в год и от 10% до 30% в течение всей жизни. К заболеваниям, часто сопровождающимся наличием церебральной аневризмы, относятся: синдром Элерса — Данлоса, факоматозы, синдром Марфана, аномалии виллизиева круга, коарктация аорты, врожденная геморрагическая телеангиэктазия, поликистоз почек и др. врожденные заболевания. Церебральные АВМ обычно приводят к кровоизлиянию в желудочки мозга или паренхиматозно-субарахноидальному кровотечению и редко бывают этиофактором изолированного САК.
- Травмы головы. Субарахноидальное кровоизлияние травматического генеза происходит при ЧМТ и обусловлено ранением сосудов при переломе черепа, ушибе головного мозга или его сдавлении. Примером подобного САК может служить субарахноидальное кровоизлияние, обусловленное родовой травмой новорожденного. Факторами риска САК новорожденного являются узкий таз у роженицы, стремительные роды, переношенная беременность, внутриутробные инфекции, крупный плод, аномалии развития плода, недоношенность.
- Патология эктракраниальных артерий. Субарахноидальное кровоизлияние может возникать вследствие расслоения позвоночной или сонной артерии. В подавляющем большинстве случаев речь идет о расслоении экстракраниальных отделов позвоночной артерий, распространяющемся в ее интрадуральный участок.
- Редкие факторы. В отдельных случаях причиной САК выступают миксома сердца, церебральная опухоль, васкулит, ангиопатия при амилоидозе, серповидно-клеточная анемия, различные коагулопатии, антикоагулянтное лечение.
Факторы риска
Наряду с непосредственными причинами возникновения САК выделяют способствующие факторы: артериальную гипертензию, алкоголизм, атеросклероз и гиперхолестеринемию, курение. В 15-20% САК установить причину кровоизлияния не удается. В таких случаях говорят о криптогенном характере САК. К таким вариантам относится неаневризматическое перимезэнцефалическое доброкачественное субарахноидальное кровоизлияние, при котором кровотечение происходит в цистерны, окружающие средний мозг.
Классификация
В соответствии с этиофактором субарахноидальное кровоизлияние классифицируется на посттравматическое и спонтанное. С первым вариантом зачастую сталкиваются травматологи, со вторым — специалисты в области неврологии. В зависимости от зоны кровоизлияния различают изолированное и сочетанное САК. Последнее, в свою очередь, подразделяется на субарахноидально-вентрикулярное, субарахноидально-паренхиматозное и субарахноидально-паренхиматозно-вентрикулярное.
В мировой медицине широко применяется классификация Фишера, основанная на распространенности САК по результатам КТ головного мозга. В соответствии с ней выделяют:
- класс 1 — кровь отсутствует
- класс 2 — САК толщиной менее 1мм без сгустков
- класс 3 — САК толщиной более 1 мм или с наличием сгустков
- класс 4 — преимущественно паренхиматозное или желудочковое кровоизлияние.
![КТ головного мозга. Кровь в субарахноидальных ликворных пространствах справа. (фото Вишняков В.Н.)]()
Симптомы субарахноидального кровоизлияния
Догеморрагический период
Предвестники САК наблюдаются у 10-15% больных. Они обусловлены наличием аневризмы с истонченными стенками, через которые просачивается жидкая часть крови. Время возникновения предвестников варьирует от суток до 2 недель перед САК. Некоторые авторы выделяют его как догеморрагический период. В это время пациенты отмечают преходящие цефалгии, головокружения, тошноту, транзиторную очаговую симптоматику (поражение тройничного нерва, глазодвигательные расстройства, парезы, нарушения зрения, афазию и пр.). При наличии гигантской аневризмы клиника догеморрагического периода имеет опухолеподобный характер в виде прогрессирующей общемозговой и очаговой симптоматики.
Острый период
Субарахноидальное кровоизлияние манифестирует остро возникающей интенсивной головной болью и расстройствами сознания. При аневризматическом САК наблюдается необычайно сильная, молниеносно нарастающая цефалгия. При расслоении артерий головная боль носит двухфазный характер. Типична краткосрочная потеря сознания и сохраняющаяся до 5-10 суток спутанность сознания. Возможно психомоторное возбуждение. Продолжительная потеря сознания и развитие его тяжелых нарушений (комы) свидетельствуют в пользу тяжелого кровотечения с излитием крови в церебральные желудочки.
Патогномоничным признаком САК выступает менингеальный симптомокомплекс: рвота, ригидность мышц затылка, гиперестезия, светобоязнь, оболочечные симптомы Кернига и Брудзинского. Он появляется и прогрессирует в первые сутки кровоизлияния, может иметь различную выраженность и сохраняться от нескольких дней до месяца. Присоединение очаговой неврологической симптоматики в первые сутки говорит в пользу сочетанного паренхиматозно-субарахноидального кровоизлияния. Более позднее появление очаговых симптомов может являться следствием вторичного ишемического поражения мозговых тканей, что наблюдается в 25% САК.
Обычно субарахноидальное кровоизлияние протекает с подъемом температуры до фебрилитета и висцеро-вегетативными расстройствами: брадикардией, артериальной гипертензией, в тяжелых случаях — расстройством дыхания и сердечной деятельности. Гипертермия может иметь отсроченный характер и возникает как следствие химического действия продуктов распада крови на церебральные оболочки и терморегуляторный центр. В 10% случаев возникают эпиприступы.
Атипичные формы САК
У трети пациентов субарахноидальное кровоизлияние имеет атипичное течение, маскирующееся под пароксизм мигрени, острый психоз, менингит, гипертонический криз, шейный радикулит.
- Мигренозная форма. Протекает с внезапным появлением цефалгии без потери сознания. Менингеальный симптомокомплекс проявляется спустя 3-7 дней на фоне ухудшения состояния больного.
- Ложногипертоническая форма. Зачастую расценивается как гипертонический криз. Поскольку проявляется цефалгией на фоне высоких цифр АД. Субарахноидальное кровоизлияние диагностируется на дообследовании пациента при ухудшении состояния или повторном кровотечении.
- Ложновоспалительная форма имитирует менингит. Отмечается цефалгия, фебрилитет, выраженные менингеальные симптомы.
- Ложнопсихотическая форма характеризуется преобладанием психосимптоматики: дезориентации, делирия, выраженного психомоторного возбуждения. Наблюдается при разрыве аневризмы передней мозговой артерии, кровоснабжающей лобные доли.
Осложнения САК
Анализ результатов транскраниальной допплерографии показал, что субарахноидальное кровоизлияние практически всегда осложняется спазмом церебральных сосудов. Однако клинически значимый спазм отмечается, по различным данным, у 30-60% пациентов. Церебральный ангиоспазм обычно развивается на 3-5 сут. САК и достигает максимума на 7-14 сутки. Его степень прямо коррелирует с объемом излившейся крови. В 20% случаев первичное субарахноидальное кровоизлияние осложняется ишемическим инсультом. При повторном САК частота церебрального инфаркта в 2 раза выше. К осложнениям САК также относят сопутствующее кровоизлияние в паренхиму головного мозга, прорыв крови в желудочки.
Примерно в 18 % случаев субарахноидальное кровоизлияние осложняется острой гидроцефалией, возникающей при блокаде оттока цереброспинальной жидкости образовавшимися кровяными сгустками. В свою очередь, гидроцефалия может привести к отеку мозга и дислокации его структур. Среди соматических осложнений возможны обезвоживание, гипонатриемия, нейрогенный отек легких, аспирационная или застойная пневмония, аритмия, инфаркт миокарда, декомпенсация имеющейся сердечной недостаточности, ТЭЛА, цистит, пиелонефрит, стрессовая язва, ЖК-кровотечение.
Диагностика
Заподозрить субарахноидальное кровоизлияние неврологу позволяет типичная клиническая картина. В случае атипичных форм ранняя диагностика САК представляется весьма затруднительной. Всем пациентам с подозрением на субарахноидальное кровоизлияние показана КТ головного мозга. Метод позволяет достоверно установить диагноз в 95% САК; выявить гидроцефалию, кровотечение в желудочки, очаги церебральной ишемии, отек мозга.
- Визуализирующие методики. Обнаружение крови под паутинной оболочкой является показанием к церебральной ангиографии с целью установления источника кровотечения. Проводится современная неинвазивная КТ или МРТ-ангиография. У пациентов с наиболее тяжелой степенью САК ангиография осуществляется после стабилизации их состояния. Если источник кровотечения не удается определить, то рекомендуется повторная ангиография через 3-4 нед.
![КТ головного мозга. Гиперденсная кровь в субарахноидальных ликворных пространствах]()
- Люмбальная пункция. При подозрении на субарахноидальное кровоизлияние производится при отсутствии КТ и в случаях, когда при наличии классической клиники САК оно не диагностируется в ходе КТ. Выявление в цереброспинальной жидкости крови или ксантохромии служит показанием к ангиографии. При отсутствии подобных изменений ликвора следует искать иную причину состояния пациента.
- УЗ-методы. Транскраниальная УЗДГ и УЗДС церебральных сосудов позволяют выявить ангиоспазм в ранние сроки САК и вести наблюдение за состоянием мозгового кровообращения в динамике.
В ходе диагностики субарахноидальное кровоизлияние следует дифференцировать с прочими формами ОНМК (геморрагическим инсультом, ТИА), менингитом, менингоэнцефалитом, окклюзионной гидроцефалией, черепно-мозговой травмой, мигренозным пароксизмом, феохромоцитомой.
Лечение субарахноидального кровоизлияния
Базисная и специфическая терапия
Базисная терапия САК представляет собой мероприятия по нормализации сердечно-сосудистой и дыхательной функций, коррекции основных биохимических констант. С целью уменьшения гидроцефалии при ее нарастании и купирования церебрального отека назначается мочегонная терапия (глицерол или маннитол). При неэффективности консервативной терапии и прогрессировании отека мозга с угрозой дислокационного синдрома показана декомпрессивная трепанация черепа, наружное вентрикулярное дренирование.
В базовую терапию также входит симптоматическое лечение. Если субарахноидальное кровоизлияние сопровождается судорогами, включают антиконвульсанты (лоразепам, диазепам, вальпроевую к-ту); при психомоторном возбуждении — седативные средства (диазепам, дроперидол, тиопентал натрия); при многократной рвоте — метоклопрамид, домперидон, перфеназин. Параллельно осуществляют терапию и профилактику соматических осложнений.
Пока субарахноидальное кровоизлияние не имеет эффективных консервативных способов специфического лечения, позволяющих добиться остановки кровотечения или ограничения количества излившейся крови. В соответствии с патогенезом специфическая терапия САК направлена на минимизацию ангиоспазма, предупреждение и терапию церебральной ишемии. Стандартом терапии является применение нимодипина и ЗН-терапия. Последняя позволяет поддерживать гиперволемию, управляемую гипертензию и гемодилюцию, в результате чего оптимизируются реологические свойства крови и микроциркуляция.
Хирургическое лечение
Оперативное лечение САК оптимально в первые 72 ч. Оно проводится нейрохирургом и направлено на исключение разорвавшейся аневризмы из кровотока. Операция может состоять в клипировании шейки аневризмы или эндоваскулярном введении заполняющего ее полость баллон-катетера. Эндоваскулярная окклюзия предпочтительней при нестабильном состоянии пациента, высоком риске осложнений открытой операции, раннем ангиоспазме. При декомпенсации церебрального ангиоспазма возможно стентирование или ангиопластика спазмированного сосуда.
Прогноз и профилактика
В 15% субарахноидальное кровоизлияние заканчивается смертельным исходом еще до оказания медпомощи. Летальность в первый месяц у больных САК достигает 30%. При коме смертность составляет около 80%, при повторных САК — 70%. У выживших пациентов зачастую сохраняется остаточный неврологический дефицит. Наиболее благоприятен прогноз в случаях, когда при ангиографии не удается установить источник кровотечения. По всей видимости, в подобных случаях происходит самостоятельное закрытие сосудистого дефекта вследствие его малой величины.
Вероятность повторного кровоизлияния каждый день первого месяца держится на уровне 1-2%. Субарахноидальное кровоизлияние аневризматического генеза повторяется в 17-26% случаев, при АВМ — в 5% случаев, при САК другой этиологии — намного реже. Профилактика САК подразумевает терапию цереброваскулярных патологий, ЧМТ и устранение факторов риска.
Читайте также:





