Диагностика ликвореи или утечки спинномозговой жидкости (СМЖ)
Добавил пользователь Евгений Кузнецов Обновлено: 23.10.2025
Диагностика ликвореи или утечки спинномозговой жидкости (СМЖ)
Послеоперационные, спонтанные и посттравматические ликвореи могут быть диагностированы путем тщательного сбора анамнеза и физикального исследования. Дефект в твердой мозговой оболочке вблизи височной кости будет способствовать току цереброспинальной жидкости в воздушные клетки сосцевидного отростка.
Цереброспинальная жидкость может вытекать через дефект в наружном слуховом проходе, барабанную перепонку или через евстахиеву трубу в носоглотку. Пациенты могут жаловаться на одностороннюю ринорею, которая ухудшается после пробуждения или при наклоне. Кашель или другие нагрузки, которые повышают внутричерепное давление, могут также увеличивать истечение спинальной жидкости.
В некоторых случаях спонтанная ликворея может быть пропущена, в то время как при других ситуациях, когда прозрачная жидкость просачивается через хирургическую рану, диагностика достаточно проста.
Утечка спинномозговой жидкости бывает не только следствием хирургической травмы, но может также возникать спонтанно. Причиной спонтанного экссудативного среднего отита могут быть врожденная тонкость и дегисценции в верхней стенке барабанной полости. Дегисценции крыши могут возникать в результате увеличения внутричерепного давления или грануляций паутинной оболочки. Спинномозговая жидкость может также распространяться в фаллопиев канал и сочиться рядом со стволом лицевого нерва.
Таким образом, необходима определенная настороженность при наличии стойкого экссудативного отита или при хроническом истечении прозрачной жидкости из евстахиевой трубы. Причиной состояния может быть не хронический средний отит, а персистирующая утечка цереброспинальной жидкости (ЦСЖ).
Диагноз утечки ЦСЖ может быть установлен только по клинической картине, данным лучевой диагностики и/или лабораторным исследованиям. Иногда утечка ЦСЖ очевидна, и лечение может начинаться исключительно на основании клинической картины.

В других случаях ликворея может быть более коварной, требующей проведения множества диагностических исследований, прежде чем будет установлен окончательный диагноз. Для определения источника ликвореи полезна Т2-взвешенная магнитно-резонансная цисцернография. Для обнаружения источника ликвореи также может использоваться компьютерная томография с интратекальным введением контраста.
Другие лабораторные исследования включают определение уровня белка и глюкозы в ЦСЖ. Содержание глюкозы не должно превышать 0,4 г/л, а уровень белка должен быть меньше 1 г/л, максимально 2 г/л.
Однако пока анализируемая жидкость лишь отчасти является чистой, редкий образец достигает заданных диагностических параметров. Большой объем собранной чистой ЦСЖ достаточен для постановки диагноза на основании клинической картины, и необходимость в лабораторных тестах отпадает.
Вероятно, наиболее значимым лабораторным тестом для оценки наличия ликвореи является определение простогландин-О-синтазы, протеина который продуцируется в эпителиальных клетках сосудистых сплетений и мягкой оболочке. Упомянутый β-trace протеин является одним из наиболее распространенных белков ЦСЖ.
Соотношение этого показателя между ЦСЖ и сывороткой крови составляет около 35, что является наивысшим показателем среди специфических белков ЦСЖ. Был разработан автоматический анализ, обеспечивающий надежный результат в течение 20 минут.
Risch оценивал 107 пациентов с ликвореей и обнаружил 98% чувствительность и 100% специфичность при оценке β-trace протеина. Исследуемая жидкость должна иметь уровень β-trace протеина больше чем 0,68 мг/л, а концентрация в сыворотке крови должна превышать 4,9. Чувствительность β2-трансферина составила 84% по сравнению с пациентами, у которых ликворея была зафиксирована достоверно.
Если диагноз ликвореи установлен, необходимо определить наиболее эффективный способ ее остановки.
Учебное видео анализа ликвора в норме и при менингите
Редактор: Искандер Милевски. Дата обновления публикации: 18.3.2021
Ликворея
Ликворея – это истечение спинномозговой жидкости (ликвора) через дефекты в твердой мозговой оболочке. Патология в основном возникает при черепно-мозговых травмах, реже причиной выступают церебральные опухоли, врожденные дефекты, осложнения нейрохирургических вмешательств. При ликворее прозрачная жидкость без запаха вытекает из уха или носа, зачастую присоединяются нарушения сознания и признаки очагового повреждения структур ЦНС. Для диагностики заболевания выполняется КТ и МРТ головного мозга, эхоэнцефалография, рентгенконтрастные исследования. Лечение проводится консервативным и/или хирургическим способом.
МКБ-10



Общие сведения
Ликворея возникает у 2-3% людей с травмами головы и в 5-11% случаев при переломе основания черепа. При тяжелых повреждениях лицевого скелета и назоэтмоидальноорбитального комплекса частота осложнения достигает 40%. Патология имеет большое клиническое значение в клинической неврологии, поскольку указывает на обширную травматизацию внутричерепных структур и требует неотложного комплексного лечения. Усилия врачей направлены на совершенствование диагностики ликвореи, что важно для ее своевременной и адекватной терапии.

Причины ликвореи
Основным этиологическим фактором патологического состояния называют ЧМТ, которые сопровождаются повреждениями костных структур и подлежащих оболочек мозга. Чаще всего проблема развивается при травмах основания черепа, пирамиды височной кости, лобной пазухи. По биомеханике повреждения различают ЧМТ следующих видов: ударно-противоударные, ускорения-замедления и сочетанные. Другие причины ликвореи:
- Объемные новообразования. Опухоли мозга и костных структур, имеющие инвазивный тип роста, способны повреждать оболочки и формировать дефект для истечения ликвора. Патология наблюдается при запущенных стадиях, когда новообразование достигает больших размеров.
- Врожденные пороки развития. При черепно-мозговых и спинномозговых грыжах развиваются патологические пути оттока цереброспинальной жидкости (ЦСЖ). Патология проявляется с раннего детства, сопровождается другими неврологическими нарушениями.
- Ятрогенные факторы. Вторичная ликворея возникает как осложнение нейрохирургических операций, при которых случайно травмируется твердая мозговая оболочка. Такая ситуация возможна при тяжелых травмах головы, дефиците современного оборудования для интраоперационной нейровизуализации.
Патогенез
При переломах черепа смещенные костные фрагменты повреждают мозговые оболочки, в результате чего наблюдается истечение ликвора. Существует 3 ведущих механизма повреждений: ущемление отломками костей, прободение церебральных оболочек, обширные разрывы без признаков регенерации. Пролабирование оболочек мозга в костные дефекты препятствует их заражению и способствует формированию грыжи, содержащей элементы мозгового вещества.
Высокая частота ликвореи обусловлена особенностями анатомического строения основания черепа. Кости имеют неоднородную структуру, содержат большое количество воздухоносных полостей и отверстий для сосудисто-нервных пучков. Мозговые оболочки плотно прилегают к твердым структурам, поэтому их разрывы наблюдаются даже при минимальных травмах головы и смещении внутричерепного содержимого.

Классификация
По времени развития выделяют первичную (раннюю) ликворею, появляющуюся в первые 24 часа после травмы, и вторичную (позднюю) возникающую спустя несколько дней и даже недель. Отдельным вариантом является скрытая ликворея, когда пациенты не замечают выделения ЦСЖ из носа или ушного прохода. В практической неврологии и нейрохирургии важное значение имеет классификация болезни по локализации:
- Назальная – вытекание цереброспинальной жидкости из одного или обоих носовых ходов.
- Отоликворея – истечение ликвора из наружного слухового прохода.
- Послеоперационная – патологическое выделение ликвора после трепанации черепа и других нейрохирургических манипуляций.
Симптомы ликвореи
В 97% случаев наблюдается вытекание прозрачной жидкости из носового или слухового хода. Ликворея носит постоянный или интермиттирующий характер, объем выделений варьирует от 1 до 30 мл в сутки. При перемене положения тела и наклонах головы количество отделяемого возрастает. Жидкость не имеет запаха и посторонних включений, при назальной форме пациенты могут принимать ее за первый симптом насморка или респираторной аллергии.
В горизонтальном положении, особенно во время сна, ликвор затекает из носовой полости в горло и раздражает слизистые. Больных беспокоят мучительные кашлевые приступы, которые уменьшаются в позе полусидя. Профузная ликворея сопровождается попаданием ЦСЖ в желудок. При этом возникает клиника острого неинфекционного гастрита: боли и рези в эпигастрии, дискомфорт после еды, тошнота и рвота.
Клиническая картина посттравматической ликвореи нередко сопровождается признаками сотрясения или ушиба головного мозга. Пациенты предъявляют жалобы на головные боли, слабость, головокружение и сильную тошноту. Симптомы усиливаются при попытках встать с постели и активных движениях. Также возникают вегетативные реакции: приливы крови к лицу, чрезмерная потливость, нарушения сердечного ритма.
Неврологические проявления включают асимметрию сухожильных рефлексов, анизокорию, нистагм. При более серьезных травмах головного мозга возникает двигательная дисфункция, умеренные менингеальные симптомы. Больные сообщают о кратковременной потере памяти на момент травмы, реже встречается ретроградная и антеградная амнезия.
Осложнения
Диагностика
Первичная оценка состояния пациентов с предполагаемой ликвореей проводится врачом-неврологом. Степень нарушения сознания определяется с помощью Шкалы Комы Глазго, далее проводится полный неврологический осмотр. Для обследования больных с сочетанными травмами привлекают нейрохирурга, анестезиолога-реаниматолога, травматолога. В комплексную диагностическую программу входят следующие методы:
- КТ головного мозга. Рентгенологическая диагностика с высокой точностью показывает костные дефекты, которые могут стать причиной повреждения dura mater. Дополнительные сведения для нейрохирургии дает церебральная МРТ, направленная на визуализацию содержимого черепной коробки.
- КТ-цистернография. Нейровизуализация с эндолюмбальным введением рентгеноконтрастных веществ – «золотой стандарт» в диагностике ликвореи. Методика определяет локализацию ликворных фистул, состояние костных структур пораженной области.
- Эхоэнцефалография. Церебральная сонография используется для быстрой и неинвазивной диагностики внутричерепных новообразований, визуализации косвенных признаков повреждения головного мозга. Важнейший показатель ЭхоЭГ – состояние срединных структур (М-эхо).
- ЛОР-обследование. При риноскопии определяется гиперемия и отечность слизистой оболочки, истечение водянистой жидкости по носовым ходам. Для уточнения топики патологического процесса проводится эндоскопия носа. При отоликворее визуализируется травматическая перфорация барабанной перепонки.
- Анализ ликвора. Микроскопическое и микробиологическое исследование вытекаемой жидкости необходимо для подтверждения ликвореи. При обнаружении в ликворе признаков гнойного воспаления, проводится расширенная диагностика для определения патогенного возбудителя.
Дифференциальная диагностика
При нетяжелых вариантах ЧМТ важно отличать назальную ликворею от серозного ринита, поскольку выделяющаяся жидкость не имеет патогномоничных признаков. ЦСЖ содержит много глюкозы (2,3-4 ммоль/л) и мало белка (0,1-0,22 ммоль/л), чем отличается от воспалительного экссудата, который образуется при ЛОР-заболеваниях. Дифференциальная диагностика также проводится с доброкачественными опухолями назальной полости, которые продуцируют слизь.

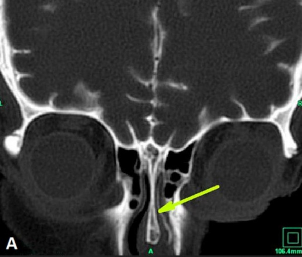
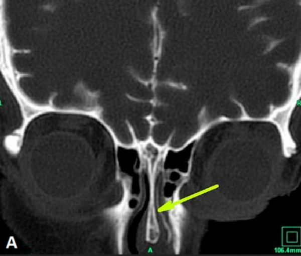
КТ-цистернография. Симптом «ликворной дорожки» — контрастированная СМЖ в правой половине полости носа (стрелка)
Лечение ликворея
Консервативная терапия
Основная задача – создать благоприятные условия для закрытия дефекта мозговых оболочек и формирования рубца на месте истечения ликвора. Пациентам назначают строгий постельный режим, приподнимание головного конца кровати на 30-70°. На период лечения исключаются любые физические нагрузки, натуживание, эмоциональное перенапряжение. Комплексная терапия при ликворее включает следующие направления:
- Дегидратация. Мочегонные препараты используются для уменьшения внутричерепного давления и нормализации циркуляции ликвора. Это ускоряет закрытие и регенерацию повреждений церебральных оболочек.
- Антибактериальная терапия. Превентивный прием противомикробных препаратов необходим для профилактики гнойных менингитов. Лекарства подавляют бактерии, колонизирующие верхние дыхательные пути, и препятствуют их распространению на структуры ЦНС.
- Дренирование ЦСЖ. Процедура проводится при неэффективности других консервативных методов лечения. Ликвороприемник устанавливают на уровне головы больного, чтобы избежать вторичной внутричерепной гипотензии.
Хирургическое лечение
Помощь нейрохирургов требуется при ликворее, продолжающейся более 7 суток. Чтобы устранить дефект и прекратить истечение цереброспинальной жидкости, проводятся открытые транскраниальные или мини-инвазивные трансназальные вмешательства. Преимущества эндоскопической хирургии: минимальная травматизация тканей, отсутствие риска послеоперационной аносмии. Техника операции подбирается индивидуально с учетом характера и тяжести травмы.
Существует 2 точки зрения относительно сроков выполнения нейрохирургического вмешательства. Сторонники ранних операций (в первые 1,5 недели после травмы) сообщают, что со временем возрастает риск развития менингита, из-за чего адекватное лечение осложняется. Медики, предпочитающие отсроченные операции, подчеркивают высокую частоту самопроизвольного прекращения ликвореи в течение 2-3 недель консервативной терапии.
Результативность хирургического вмешательства зависит от расположения ликворной фистулы, точности предоперационной диагностики, опыта нейрохирурга. Большинству пациентов требуется однократная операция. При повреждении латеральной стенки клиновидной пазухи может потребоваться повторное вмешательство, поскольку интраоперационная визуализация таких дефектов затруднена.
Реабилитация
Восстановительный период после операций в нейрохирургии занимает около 6 недель. Пациентам назначают комплексное медикаментозное лечение: антибактериальные, дегидратационные и симптоматические препараты. Поясничный дренаж устанавливается не более чем на 2-3 суток. Постепенная активизация пациентов начинается со второго дня послеоперационного периода, при этом важно избегать наклонов головы, поднятия тяжестей, повышения внутрибрюшного давления.
Прогноз и профилактика
Анализ спинномозговой жидкости
Исследование цереброспинальной жидкости (ликвора, спинномозговой жидкости) — изучение различных параметров жидкости, циркулирующей в подпаутинном (субарахноидальном) пространстве головного и спинного мозга, желудочках и цистернах головного мозга. Анализ имеет большое значение в диагностике многих неврологических заболеваний воспалительной и инфекционной природы, а также мозговых и спинальных кровотечений, опухолевых процессов и лейкозов. В ходе исследования цереброспинальной жидкости определяются ее цвет, прозрачность, плотность, химический состав и содержание клеточных элементов.
Физические свойства
В лаборатории оценивают прозрачность и цвет спинномозговой жидкости. Для этого при дневном свете сравнивают ликвор с дистиллированной водой, налив их в две одинаковые пробирки и установив на черном фоне. Поскольку в норме ликвор на 98,9-99% состоит из воды, прозрачность жидкости в пробирках в норме должна быть одинакова. Помутнение может быть связано с наличием клеток крови, бактерий, тканевых элементов, грибов или повышенным содержанием белка. Причем, помутнение, обусловленное бактериями, сохраняется после центрифугирования, а вызванное клеточными элементами или грибами — уменьшается или полностью исчезает.
Нормальная цереброспинальная жидкость не имеет окраски, как и дистиллированная вода. Окрашивание свидетельствует о наличии патологических процессов в ЦНС. Красный цвет спинномозговой жидкости является признаком кровотечения. Оттенок может быть розовым, если в ликвор попало незначительное количество крови, кровавым — при попадании большого количества свежей крови, темно-вишневым — при содержании значительного количества старой крови. Зеленоватая окраска ликвора обусловлена повышенным содержанием билирубина. Зелено-желтый и мутный ликвор подтверждает наличие гнойного процесса (прорыв гнойного абсцесса, гнойный менингит). Желтая окраска (ксантохромия) характерна для субарахноидальных кровоизлияний и опухолевых процессов, отмечается при приеме некоторых лекарственных веществ, например, пенициллина.
В ходе исследования измеряют относительную плотность. Этот показатель зависит от того, где была взята проба жидкости для анализа. В норме плотность цереброспинальной жидкости, взятой путем вентрикулярной пункции, равна 1,002-1,004, люмбальной — 1,005-1,009, субокципитальной — 1,003-1,007. Снижение этого показателя характерно для гидроцефалии, повышение — для менингита, сахарного диабета, уремии и др.
Химический состав
Обнаружение фибриногена говорит о нарушении проницаемости гематоэнцефалического барьера, которое может произойти при менингите, опухолях и кровоизлияниях ЦНС, травмах. Если попадание билирубина в ликвор обусловлено кровотечением (геморрагическая билирубинархия), то через некоторый период после кровоизлияния он исчезает. Билирубинархия постоянного характера свидетельствует о застойных явлениях в сосудистом русле, приводящих к увеличению проницаемости сосудистой стенки (застойная билирубинархия). Она сопровождается повышенным содержанием белка в ликворе и наблюдается при блокаде субарахноидального пространства, менингитах, активно кровоснабжающихся опухолях ЦНС, сообщающихся с ликворной системой. Наличие билирубина в спинномозговой жидкости физиологично для новорожденных, выявляется практически у всех недоношенных детей, так как у них повышена проницаемость гематоэнцефалического барьера для билирубина.
В норме в спинномозговой жидкости содержится 0,22-0,33 г белка в расчете на 1 литр. Снижение этого показателя (гипопротеинархия) наблюдается при увеличении скорости циркуляции ликвора, при повышении внутричерепного давления, после удаления большого количества спинномозговой жидкости с лечебной целью, при некоторых лейкозах. Увеличение содержания белка (гиперпротеинархия) характерно для абсцессов, опухолей и воспалительных процессов ЦНС, субарахноидальных кровоизлияний, черепно-мозговых травм. Значительная часть белка спинномозговой жидкости приходится на альбумин. В норме его содержание колеблется в пределах 0,07-0,36 г/л., увеличение показателя говорит о нарушении гематоэнцефалического барьера.
Важным индикатором функционирования гематоэнцефалического барьера является уровень глюкозы. В норме он составляет около 60% от содержания глюкозы в плазме крови, а при повышении сахара крови — 30-35%. Снижение содержания глюкозы в ликворе ниже 2,2 ммоль/л (гипогликоархия) определяется при менингите бактериального, паразитарного, грибкового или туберкулезного происхождения, опухолях оболочек головного и спинного мозга, в первые 24 часа субарахноидального кровоизлияния. Повышенное содержание глюкозы в ликворе (гипергликоархия) нехарактерно даже для диабетиков, изредка встречается при менингоэнцефалите, травмах головного мозга, ишемических инсультах.
В результате распада белков или нарушения метаболизма кетоновых тел они могут появиться в цереброспинальной жидкости. Это наблюдается после нейрохирургических операций, черепно-мозговых травм, субарахноидальных кровоизлияний или при выраженном возбуждении ЦНС.
Микроскопическое исследование
В здоровой спинномозговой жидкости содержание клеточных элементов составляет: в желудочках – 0-1 кл/мкл, в большой цистерне – 2-3 кл/мкл, в спинальном канале – 3-5 кл/мкл. Увеличение этого показателя (плеоцитоз) наблюдается при органических поражениях ЦНС (опухоли, энцефалиты, абсцессы, инсульты). Диагностическое значение имеют степени выраженности плеоцитоза:
- Легкая — 6-70*106 кл/л.
- Умеренная — 70-250*106 кл/л.
- Выраженная — 250-1000*106 кл/л.
- Резко выраженная — >1000*106 кл/л.
- Массивный плеоцитоз — >10*106 кл/л.
В норме клеточные элементы ликвора представлены на 70% лимфоцитами и на 30% моноцитами. В ликворе новорожденных детей может быть до 50% нейтрофильных гранулоцитов. Нормальное содержание лимфоцитов – 2-4 кл/мкл. Их повышение (лимфоидный плеоцитоз) наблюдается при менингитах, сифилитических и паразитарных поражениях ЦНС, рассеянном склерозе, остром энцефаломиелите, саркоидозе ЦНС. Норма моноцитов – 1-3 кл/мкл. Их увеличение (моноцитарный плеоцитоз) характерно для вялотекущих воспалительных заболеваний ЦНС: нейросифилиса, туберкулезного или вирусного менингита, рассеянного склероза, воспалительных изменений при опухолевых процессах или хронической ишемии головного мозга.
Обнаружение макрофагов говорит о перенесенном кровотечении или воспалительном процессе. Макрофаги также типичны для опухолей, растущих в просвет желудочков мозга. Их высокое содержание в цереброспинальной жидкости пациентов, перенесших операцию, свидетельствует о хорошей санации ликвора. Нейтрофилы выявляются при гнойных поражениях ЦНС (абсцессы, эмпиема), бактериальных и грибковых менингитах, острых инсультах, метастатических опухолях головного и спинного мозга. Их присутствие в ликворе может наблюдаться после проведения пункции или локального введения препаратов в подпаутинное пространство.
Эозинофилы обнаруживаются при паразитарных и грибковых инфекциях, инсультах, кистах головного мозга, некоторых опухолях (нейроболастома, менингиома), лейкозах. Их появление может быть реакцией на оперативное вмешательство или локальное введение препаратов непосредственно в структуры ЦНС. Базофилы определяются при тяжелых нейроинфекциях. При рассеянном склерозе, коллагенозах с поражением ЦНС, нейросифилисе, вялотекущих энцефалитах и менингитах, некоторых опухолях, субарахноидальных кровоизлияниях выявляются плазматические клетки. Наличие бластов характерно для лейкозов.
После черепно-мозговых травм и нейрохирургических операций, а также у пациентов с опухолью мозга в ликворе содержатся клетки арахноэндотелия, выстилающего все ликворные пространства, кроме желудочков головного мозга. В спинномозговой жидкости также могут быть обнаружены опухолевые клетки, попавшие в ликвор при распаде новообразования, расположенного рядом с ликворными путями, при прорастании неоплазии в желудочки или оболочки мозга.
Бактериологическое исследование
Мазки ликвора изучают под микроскопом на наличие бактерий, простейших, грибков и вирусов. Различные окрашивания образцов позволяют выявить менингококки, туберкулезную палочку, токсоплазмы, спирохеты, арбовирусы и др. Производят посевы ликвора на различные питательные среды, определяют чувствительность обнаруженной микрофлоры к антибактериальным препаратам. При исследовании спинномозговой жидкости широко используют иммунные реакции. По назначению невролога, направившего пациента на обследование, могут быть проведены реакция Вассермана, РИФ и РИБТ для диагностики сифилиса, реакция Райта для выявления бруцеллеза, РЗГА и РСК для диагностики вирусных инфекций, коллоидная реакция Ланге для определения нейросифилиса и другие.
Лучевая диагностика синдрома утечки ликвора
а) Определения:
• Симптоматика, вызванная утечкой ликвора и снижением ликворного давления
• Послеоперационная, ятрогенная или посттравматическая утечка ликвора, ± псевдоменингоцеле
б) Визуализация:
1. Общие характеристики:
• Наиболее значимый диагностический признак:
о Внутричерепные изменения:
- Равномерное утолщение твердой мозговой оболочки
- «Провисание» среднего мозга
- Субдуральные гидромы
- Субдуральные гематомы
- Каудальная дислокация миндалин мозжечка
о Позвоночные изменения:
- Спинальные гидромы
о Экстраарахноидальные (субдуральные или эпидуральные) скопления СМЖ:
В вентральной или дорзальной части спинномозгового канала
В непосредственной близости или вдали от точки утечки ликвора
- Дилятация вентрального эпидурального венозного сплетения, утолщение/контрастное усиление твердой мозговой оболочки
- Жидкостное скопление в паравертебральных тканях
2. КТ при синдроме утечки ликвора:
• Бесконтрастная КТ:
о Симметричные объемные образования в передне-наружных отделах эпидурального пространства (расширенные эпидуральные вены)
о Спинальные гидромы
о Кисты/дивертикулы дуральных воронок корешков
• КТ с КУ:
о Симптом «задернутой занавески», связанный с интенсивным контрастированием и расширением эпидуральных вен
3. МРТ при синдроме утечки ликвора:
• Т2-ВИ:
о Спинальные гидромы
о Кисты/дивертикулы дуральных воронок корешков
о Расширение вен эпидурального венозного сплетения, увеличение числа сосудистых полостей
• Т1-ВИ с КУ:
о Расширение и контрастирование вен эпидурального венозного сплетения
4. Другие методы исследования:
• Радиоизотопная цистернография (РИЦ):
о Уменьшение или отсутствие накопления радиоизотопа в области больших полушарий мозга в течение 24-48 часов
о Быстрое «вымывание» изотопа
о Часто раннее появление изотопа в почках и мочевом пузыре
о Примерно в 60% случаев позволяет установить точку утечки ликвора
• Миелография/КТ-миелография:
о Анатомические аномалии (дивертикулы паутинной оболочки)
о Локализация точки утечки ликвора
о По сравнению с РИЦ позволяет более точно охарактеризовать состояние
• МР-миелография:
о Интратекальное введение небольшого количества хелата гадолиния (0,5 мл на физиологическом растворе):
- Использование «off-label»
о Дает возможность динамической визуализации утечки ликвора в различных плоскостях
5. Рекомендации по визуализации:
• Исследование сначала головного мозга (ищите признаки спонтанной внутричерепной гипотензии [СВГ]):
о Утолщение, контрастное усиление твердой мозговой оболочки о «Провисание» среднего мозга
о Каудальная дислокация/грыжа миндалин мозжечка
о Субдуральная гидрома
• Исследование позвоночника, поиск точного места утечки ликвора оправдана только в следующих случаях:
о Безуспешность двух корректно выполненных попыток эпидуральной тампонады аутокровью
о Подозрение на посттравматический дефект твердой мозговой оболочки
о РИЦ или KJ-миелография показаны в случаях, когда необходимо локализовать точку скрытой утечки ликвора:
- Или для дифференциальной диагностики утечки СМЖ с другими послеоперационными жидкостными образованиями
(Слева) Аксиальный срез, Т1-ВИ с КУ головного мозга: диффузное равномерное утолщение и контрастное усиление твердой мозговой оболочки у пациента с внутричерепной гипотензией.
(Справа) Сагиттальный срез, Т1-ВИ: «проседание» среднего мозга, уплощение моста, исчезновение базилярных цистерн и дислокация миндалин мозжечка в большое затылочное отверстие. Также можно отметить удлинение четвертого желудочка мозга. (Слева) Аксиальный срез, Т1-ВИ с КУ головного мозга: на уровне задней черепной ямки можно отметить диффузное утолщение и контрастное усиление твердой мозговой оболочки, распространяющее вплоть до внутреннего отверстия слухового канала. Каудальная дислокация ствола мозга привела к деформации препонтинной и мостомозжечковой ликворных цистерн.
(Справа) Аксиальная КТ-миелография: случай переднего спондилодеза шейного отдела позвоночника с использованием опорного импланта и стабилизацией пластиной. Видны признаки обширной экстравазации контраста через дефект твердой мозговой оболочки в мягкие ткани правой боковой поверхности шеи. (Слева) Т1-ВИ с КУ шейного отдела позвоночника: признаки полнокровия и контрастирования вентрального эпидурального венозного сплетения и небольшое ретроспинальное жидкостное скопление на уровне C1-C2.
(Справа) На боковой миелограмме этого же пациента отмечается экстравазация контраста на уровне С1-С2 с формированием здесь жидкостного скопления (функционирующий ликворный свищ).
в) Дифференциальная диагностика синдрома утечки ликвора:
1. Дифференциальный диагноз при послеоперационных жидкостных образованиях:
• Гематома
• Эмпиема, абсцесс, флегмона
• Псевдоменингоцеле
2. Дифференциальный диагноз при расширении вен спинальных венозных сплетений:
• АВМ
• Тромбоз яремной вены (коллатеральный кровоток)
• Тромбоз НПВ (коллатеральный кровоток)
• Полнокровие вен выше уровня стеноза спинномозгового канала
3. Дифференциальный диагноз при утолщении и контрастировании твердой мозговой оболочки:
• Инфекция:
о Эпидуральный абсцесс:
- Изредка формируется и при отсутствии сопутствующего поражения смежных отделов позвонков и межпозвонковых дисков
• Опухоль (нередко можно видеть деструкцию/инфильтрацию задней покровной пластинки и корней дуги позвонка)
• Прочие состояние (например, саркоид)
(Слева) На аксиальной КТ-миелограмме на уровне каудального отдела крестцового канала визуализируются многочисленные заполненные контрастом кисты дуральных воронок корешков. Также можно отметить экстравазацию контраста по ходу крестцовых корешков в полость таза.
(Справа) На аксиальном FS Т2-ВИ у этого же пациента определяются кисты твердой мозговой оболочки крестцового канала а также жидкостные скопления по ходу крестцовых корешков в полости таза. (Слева) Сагиттальный срез, Т1-ВИ с КУ, пациент с ликворным свищем в дистальном отделе спинномозгового канала: диффузное утолщение и контрастное усиление твердой мозговой оболочки на уровне шейного отдела позвоночника, намета мозжечка и вдоль ската основания черепа.
(Справа) Аксиальный срез, Т1-ВИ с КУ, этот же пациент: двусторонние накапливающие контраст «опухоли» в передне-наружных отделах эпидурального пространства, представляющие собой расширенные вены эпидурального венозного сплетения у пациента с синдромом утечки СМЖ. (Слева) Сагиттальный срез, Т1-ВИ шейного отдела позвоночника: выраженная дилятация эпидурального венозного сплетения на фоне внутричерепной гипотензии.
(Справа) Сагиттальный КТ-срез с КУ верхнешейного отдела позвоночника: контрастированы расширенные вены эпидурального венозного сплетения у пациента с внутричерепной гипотензией вследствие утечки СМЖ.
г) Патология:
1. Общие характеристики:
• Этиология:
о Низкий объем СМЖ вследствие ее утечки или избыточного дренирования:
- Операция или травма (в т. ч. обычное падение)
- Интенсивная физическая нагрузка, изнуряющий кашель
- Люмбальная пункция (постпункционная головная боль [ППГБ])
- Аномалии твердой мозговой оболочки (например, при синдроме Марфана)
- Разрыв дивертикула паутинной оболочки
- Тяжелая дегидратация
• Генетика:
о У 20% пациентов со спонтанной симптоматикой утечки ликвора обнаруживаются малые скелетные признаки синдрома Марфана
• Сочетанные изменения:
о Внутричерепная субдуральная гематома
о Синдром Марфана:
- Дефект твердой мозговой оболочки
- Разрыв дуральной воронки корешка или ее дивертикула
2. Макроскопические и хирургические особенности:
• Жидкостное скопление, сообщающееся с дефектом твердой мозговой оболочки
3. Микроскопия:
• Утолщенная твердая мозговая оболочка с признаками фиброза, многочисленные расширенные тонкостенные сосуды:
о Иногда видны признаки неспецифического воспаления
(Слева) Аксиальный срез, T2*GRE МР-И грудного отдела позвоночника: в дорзальном отделе спинномозгового канала определяется жидкостное скопление, локализующееся по всей видимости в субдуральном пространстве. Пациент предъявлял жалобы на выраженную головную боль, сохранявшуюся около недели после люмбальной пункции.
(Справа) На сагиттальном Т2-ВИ у этого же пациента визуализируется ликворная гидрома, распространяющаяся от шейно-грудного перехода до верхних поясничных позвонков. Некоторая гиперинтенсивность сигнала по сравнению с нормальным ликвором может быть связана с несколько увеличенной в этой жидкости концентрацией белка. (Слева) Сцинтиграмма пациента с СВР после интратекального введения 111 In-ДТПА. Через четыре часа после введения изотопа его активность обнаруживается в мочевом пузыре, что служит косвенным признаком функционирующего ликворного свища.
(Справа) Сцинтиграмма этого же пациента через 24 часа после введения РФП. На уровне Т1-Т2 справа, в области ликворного свища, сформировавшего из дивертикула твердой мозговой оболочки, определяется аморфная зона накопления изотопа. Небольшой дивертикул также виден слева. Недостаточное восходящее распространение изотопа и отсутствие контрастирования больших полушарий мозга является косвенным признаком утечки СМЖ. (Слева) Сцинтиграфия, пациент, которому выполнена радиоизотопная цистернография: экстравазация значительного объема РФП на уровне грудного отдела позвоночника. Пациент предъявлял жалобы на выраженную постуральную головную боль и в конечном итоге у него был обнаружен дефект твердой мозговой оболочки, полученный им в ходе недавно перенесенной торакотомии.
(Справа) На отсроченной КТ-миелограмме у этого же пациента отмечается экстравазация контраста в правую плевральную полость на уровне, соответствующем уровню экстравазации РФП при предыдущем исследовании. В последующем пациенту выполнена ревизия и хирургическое закрытие дефекта твердой мозговой оболочки.
д) Клинические особенности:
1. Клиническая картина синдрома утечки ликвора:
• Наиболее распространенные симптомы/признаки:
о Постуральная головная боль, не купируемая анальгетиками
о Низкое давление ликвора по данным люмбальной пункции ± плеоцитоз, увеличение концентрации белка в ликворе
о Другие симптомы/признаки:
- Односторонний или двусторонний парез VI ЧМН, другие расстройства зрения
- Боль по задней поверхности шеи и в межлопаточной области, корешковая боль
- Тошнота, рвота
- Редко: оглушение, смерть
• Особенности клинической картины:
о Постуральная головная боль после люмбальной пункции или вмешательства на позвоночнике
2. Демография:
• Эпидемиология:
о М :Ж= 1 : 2 (спонтанная гипотензия)
о Пик заболеваемости = 30-40 лет
3. Течение заболевания и прогноз:
• В 70% случаев симптоматика разрешается спонтанно в течение трех месяцев (исчезают утолщение твердой мозговой оболочки, полнокровие вен; реабсорбция ликвора в очагах его скопления)
• У 20-25% пациентов ликворный свищ продолжает функционировать, сохраняется головная боль
• Прогноз в отношении выздоровления обычно благоприятный
• Редкие осложнения: кома и смерть вследствие вклинения ствола мозга
4. Лечение синдрома утечки ликвора:
• Консервативное лечение, направленное на восстановление нормального объема ликвора (покой, гидратация, препараты кофеина/теофиллина)
• Другие методы лечения:
о Основным методом лечения является тампонада дефекта твердой мозговой оболочки аутокровью:
- 15-30 мл, люмбальная пункция:
При неэффективности первой процедуры ее повторение с использованием большего объема крови
- Прицельная тампонада на уровне дефекта обладает большей эффективностью
- При неэффективности тампонады аутокровью возможна прицельная тампонада с использованием фибринового клея
о Эпидуральное введение физиологического раствора (применяется редко)
о Хирургическое лечение при крупных дефектах, разрывах дивертикулов или кистТарлова
• Послеоперационный свищ:
о Тактика лечения может включать повторные люмбальные пункции или диверсификацию тока ликвора (люмбальный дренаж) для уменьшения и последующего спонтанного закрытия дефекта твердой мозговой оболочки
е) Диагностическая памятка:
1. Следует учесть:
• Внутричерепная цистернография применяется для диагностики врожденных дефектов средней черепной ямки или височной кости
• Описаны редкие случаи трансформации внутричерепной гипотензии после эпидуральной тампонады во внутричерепную гипертензию
2. Советы по интерпретации изображений:
• Признаками ликворной гипотензии при исследовании пациента с жалобами на головную боль являются «провисание» среднего мозга и утолщение твердой мозговой оболочки задней черепной ямки
Ликворея – истечение цереброспинальной жидкости из полости черепа вследствие повреждения костей основания и твердой мозговой оболочки при нарушении герметичности субарахноидального пространства, а также при ранении стенок желудочков мозга или базальных цистерн [1].
ВВОДНАЯ ЧАСТЬ
Код(ы) МКБ-10:
| МКБ-10 | |
| Код | Название |
| G96.0 | Истечение цереброспинальной жидкости (ликворея) |
Дата разработки/пересмотра протокола: 2017 год.
Сокращения, используемые в протоколе:
| ВЧД | – | внутричерепное давление |
| КТ | – | компьютерная томография |
| МРТ | – | Магниторезонансная томография |
| ОАК | – | общий анализ крови |
| ОАМ | – | общий анализ мочи |
| НЛ | – | назальная ликворея |
| СКТ | – | спиральная компьютерная тмомграфия |
| ТМО | – | твердая мозговая оболочка |
| ЦСЖ | – | цереброспинальная жидкость |
| ЧМТ | – | черепно-мозговая травма |
Пользователи протокола: оториноларингологи, терапевты, невропатологи, нейрохирурги.
Категория пациентов: взрослые.
Шкала уровня доказательности:
| А | Высококачественный мета-анализ, систематический обзор РКИ или крупное РКИ с очень низкой вероятностью (++) систематической ошибки результаты которых могут быть распространены на соответствующую популяцию. |
| В | Высококачественный (++) систематический обзор когортных или исследований случай-контроль или Высококачественное (++) когортное или исследований случай-контроль с очень низким риском систематической ошибки или РКИ с невысоким (+) риском систематической ошибки, результаты которых могут быть распространены на соответствующую популяцию. |
| С | Когортное или исследование случай-контроль или контролируемое исследование без рандомизации с невысоким риском систематической ошибки (+). Результаты которых могут быть распространены на соответствующую популяцию или РКИ с очень низким или невысоким риском систематической ошибки (++ или +), результаты которых не могут быть непосредственно распространены на соответствующую популяцию. |
| D | Описание серии случаев или; Неконтролируемое исследование или; Мнение экспертов. |
| GPP | Наилучшая клиническая практика |

Автоматизация клиники: быстро и недорого!
- Подключено 300 клиник из 4 стран
- 800 RUB / 4500 KZT / 27 BYN - 1 рабочее место в месяц

Автоматизация клиники: быстро и недорого!
- Подключено 300 клиник из 4 стран
- 1 место - 800 RUB / 4500 KZT / 27 BYN в месяц
Мне интересно! Свяжитесь со мной
13-15 октября, Алматы, "Атакент"
600 брендов, более 150 компаний-участников из 20 стран.
Новинки рынка стоматологии. Цены от производителей
· причина: 1) черепно-мозговая травма; 2) ятрогенная (в результате медицинских манипуляций и операций);
· время возникновения после травмы: 1) немедленная; 2) отсроченная: а) ранняя (до одного месяца); б) поздняя (спустя один месяц и больше);
· источник ликвореи: 1) субарахноидальный; 2) желудочковый; 3) цистернальный; 4) смешанный;
· локализация ликворной фистулы: 1) решетчатая пластинка и ячейки решетчатой кости; 2) лобная пазуха; 3) клиновидная пазуха; 4) крыша орбиты; 5) пирамида височной кости; 6) множественная;
· латерализация фистулы: 1) односторонняя: а) слева; б) справа; 2) двусторонняя; 3) по средней линии;
· количество фистул: 1) одна; 2) две; 3) три и больше;
· место наружного истечения ликвора: 1) назальная; 2) ушная; 3) глазничная; 4) носоглоточная; 5) парадоксальная ринорея (истечение ЦСЖ через слуховую трубу в носовую часть глотки при целости барабанной перепонки и переломах каменистой части пирамиды височной кости в области ячеек сосцевидного отростка); 6) смешанная;
· характер истечения ликвора: 1) скудный (до 1 мл в сутки); 2) умеренный (до 30 мл в сутки); 3) профузный (больше 30 мл в сутки);
· тип ликвореи: 1) явная (истечение ЦСЖ во внешнюю среду; 2) скрытая (отсутствуют внешние признаки истечения ЦСЖ);
· варианты истечения ЦСЖ: 1) постоянное; 2) периодическое;
· состояние ликворного давления: 1) гипотензия; 2) нормотензия; 3) гипертензия;
· звенья преимущественного нарушения системы ликворообращения: 1) ликворопродукция; 2) ликвороциркуляция; 3) ликворорезорбция;
· клинические формы ликвореи: 1) неосложненная; 2) осложненная. Осложнения: гнойно-воспалительные (мозга и его оболочек, бронхо-лёгочной системы, желудочно-кишечного тракта); пневмоцефалия и др;
· прогностические варианты течения ликвореи: 1) благоприятный (спонтанное прекращение ликвореи); 2) неблагоприятный; (непрекращающаяся ликворея).
NB! Предложенная классификация дает возможность наиболее полно сформулировать диагноз, определяющий тактику лечения больного и обосновывающий выбор хирургического вмешательства при решении вопроса об его проведении.
МЕТОДЫ, ПОДХОДЫ И ПРОЦЕДУРЫ ДИАГНОСТИКИ
Диагностические критерии
Жалобы и анамнез:
Клиническая картина назальной ликвореи включает триаду симптомов, обусловленных:
· непосредственно ликвореей;
· последствиями, связанных с ней менингитов;
· перенесенной ЧМТ.
Общемозговые симптомы:
· головная боль, обычно несильная, но постоянная, сжимающего характера головная боль в сопровождении чувства заложенности в ушах, головокружения, сердцебиения, неприятных ощущений в груди, в животе, парестезий, слабости и других вегетативно-сосудистых и вегетативно-висцеральных признаков;
· выраженная цефалгия в вертикальном положении, существенно уменьшающие при переходе в горизонтальное положение;
· возможны нарушения психики, в основном синдромы пограничного уровня эмоционально-личностный и астенический. Их выраженность зависит от тяжести перенесенной ЧМТ, локализации поражения вещества головного мозга, возраста пострадавшего, его анамнеза и др;
· эмоционально-личностные нарушения проявляются в виде апатии, снижения критики к своему состоянию, ограничения инициативы, ухудшения памяти, прежде всего на текущие события.
· астенический синдром при ликворее характеризуется ощущениями слабости, усталости, быстрой физической и психической истощаемостью, нарушениями концентрации внимания, снижением умственной деятельности, порой в сочетании с вегетативными проявлениями. Для больных с ликвореей типичны постоянный дискомфорт, снижение работоспособности, подавленное настроение, замкнутость, страх, а у перенесших гнойный менингит – боязнь его повторения. Менингеальные симптомы для ликвореи при отсутствии грубого синдрома внутричерепной гипертензии и вне менингита мало характерны. Обычно, если они и проявляются, то незначительно, и связаны с перенесенной ЧМТ.
Физикальное обследование:
· очаговая неврологическая симптоматика. Среди гнездных признаков в клинике посттравматических ликвореи центральное место принадлежит таким краниобазальным симптомам, как гипосмия или аносмия. Это объясняется биомеханикой травмы, когда при прямом ударном механизме происходит повреждение обонятельных трактов за счет переломов решетчатой кости или повреждения базальных отделов лобных долей, а при противоударном – разрыв обонятельных нитей. Глазодвигательные нарушения (поражение III, IV, VI нервов) особенно часто встречаются при переломах костных структур в области верхней глазничной щели. Повреждения зрительного нерва наблюдаются у трети больных: от снижения остроты зрения и нарушения полей зрения вплоть до слепоты. Частой находкой у больных с ПБЛ являются одно- и двусторонние нарушения слуха, спонтанный нистагм, реже – нарушения вкуса. Выпадение слуха, вестибулярной функции, повреждение лицевого нерва в большинстве случаев наблюдается при поперечном переломе пирамиды. Двигательные и чувствительные нарушения у больных с НЛ встречаются сравнительно редко, указывая, как правило, на факт перенесенной ЧМТ.
· очаговая риноотосимптоматика. Истечение прозрачной жидкости из носовых ходов является основным клиническим признаком риноликвореи. Визуально явная ликворея обнаруживается в 90% наблюдений, имея в большинстве из них постоянный или интермиттирующий характер. При этом постоянное истечение жидкости из носовых ходов периодическое типично для особенно кранионазальной при перемене формы положения ликвореи, тела – для краниосинусоназальной. Для разграничения кровотечения от ликвореи с кровотечением предложена проба на выявление светлого ободка вокруг кровянистого пятна на марлевой салфетке – положительная при ликворее.
По интенсивности выделения ликвора прослеживаются следующие варианты НЛ: “редкие капли”, “частые капли”, профузная, “порционная” (симптом “чайника”), а также увлажнение носовых ходов.
Истечение прозрачной жидкости из наружного слухового прохода – основной клинический признак отореи. При этом отоскопия часто обнаруживает рубцовую деформацию барабанной перепонки или же травматическую перфорацию. Соматическая симптоматика. К нередким клиническим симптомам относится ночной кашель – следствие раздражения ликвором слизистой оболочки верхних дыхательных путей в горизонтальном положении. Затекание ликвора в желудок вызывает картину острого простого гастрита с нарушением секреторной и кислотообразовательной функций, а также моторными расстройствами.
Лабораторные исследования:
Трудности в распознавании ранней ликвореи возникают в случаях сочетания ее с кровотечением.
· в поздние сроки необходимо разграничивать истекающую ЦСЖ и серозное отделяемое из носа на основании содержания глюкозы. Метод основан на особенностях биохимического состава цереброспинальной жидкости, которая содержит намного больше глюкозы (2,3–4,0 ммоль/л) и значительно меньше белка (от 0,10 до 0,22 г/л) и мукополисахаридов, чем серозное отделяемое из уха или носа и его придаточных пазух при воспалительных и аллергических заболеваниях [1] (УД-С).
· в диагностике ликвореи помогает выявление beta-2 transferrin, который присутствует только в ликворе или beta-trace protein (нормальная концентрация в ликворе – 18. 4 mg/l, а в крови только 0. 59 mg/l) [1,2].
Инструментальные исследования:
· Риноскопия имеет важное, а нередко решающее значение в диагностике носовой ликвореи. При явной ликворее у больного каплями выделяется водянистая жидкость из носового хода. Слизистая оболочка гиперемирована и гипертрофирована. При скрытой форме ликвореи можно отметить повышенную влажность слизистой оболочки за счет переувлажнения ликвором. Возможно выявление сращений носовой перегородки с латеральной стенкой полости носа, а также внутриносовых мозговых грыж.
· При отоскопии у больных с НЛ в остром периоде ЧМТ, сопровождающейся переломом пирамиды височной кости, возможно выявить травматическую перфорацию барабанной перепонки и истечение кровянистой жидкости, а в промежуточном или отдаленном – ее рубцовую деформацию.
· Эндоскопия носа. В случаях явной и, особенно, профузной ликвореи эндоскопическая методика существенно помогает в определении топики патологического процесса. Если же истечение ликвора носит скрытый или периодический характер, то диагностическая ценность осмотра полости носа при помощи эндоскопов снижается. В прямой видимости эндоскописта находится только решетчатая пластинка и естественные соустья околоносовых пазух.
Обследование остальных зон основания черепа требует тракции внутриносовых структур для проведения эндоскопа. Это достаточно болезненная манипуляция, требующая применения не только аппликационной, но инъекционной (1% раствор лидокаина с добавлением адреналина) местной анестезии. Диагностическая эндоскопия при травматической назальной ликворее практически во всех случаях позволяет визуализировать повышение влажности слизистой оболочки одного из носовых ходов, своеобразные «пузыри», являющиеся важным диагностическим признаком назальной ликвореи, иногда ликворную «дорожку», начинающуюся из естественного соустья околоносовых пазух, реже – базальное менингоцеле. [2,4,10].(УД-В).
· Компьютерная томография. должна быть первым этапом исследования у больных с клинически диагностированной ликвореей (и после подтверждения присутствия ликвореи лабораторным анализом в сомнительных случаях).КТ позволяет визуализировать состояние как мозгового вещества и ликворных пространств, так и костей свода и основания черепа. В промежуточном и отдаленном периоде ЧМТ у большинства больных с ПБЛ на КТ определяются последствия повреждений мозга различной выраженности, преимущественно кистозно-атрофических очаговых в виде изменений, атрофических чаще или односторонних с преобладанием в полюсно-базальных отделах лобных долей. КТ существенно дополняет и превосходит данные краниографии по выявлению переломов костей свода и основания черепа, наличия пневмоцефалии. Однако для выявления и уточнения локализации мелких дефектов основания черепа, ликворных фистул обычная компьютерная томография часто оказывается недостаточной.
· С целью более точного определения характера повреждений и уточнения локализации костных дефектов основания целесообразно использовать спиральную КТ (СКТ). Метод обладает чувствительностью 70–93,3% и точностью 92%. Являясь эффективной в диагностике даже небольших костных дефектов и переломов основания черепа, СКТ, все же, не дает возможности зарегистрировать факт истечения ликвора и, таким образом, ответить на вопрос, сопровождается ли обнаруженная патология ликворной фистулой. Одной из модификаций метода является КТ с трехмерной реконструкцией. Однако широкого распространения это исследование не получило из-за возможности большого количества артефактов и, как следствие, ложноположительных результатов.
· КТ-цистернография. Для непосредственной визуализации ликворных фистул используют КТ-цистернографию с эндолюмбальным введением рентгеноконтрастных препаратов. Контрастное вещество вводится эндолюмбально из расчета 0,15 мл на 1 кг массы тела. Под местной анестезией производят пункцию субарахноидального пространства тонкой иглой в промежутках L3–L4 или L4–L5. Измеряют величину ликворного давления, ЦСЖ отправляют для исследования. В течение следующих 30–40 мин. пациент находится в положении Тренделенбурга, лежа на животе, с согнутым (подбородок прижат к грудине) положением головы. Вначале выполняют боковую сканограмму, по которой планируют необходимое количество сканов во фронтальной проекции.
Послойная фронтальная реконструкция КТ срезов с шагом в 5 мм, как правило, доказательно ликвора за пределы выявляет проникновение субарахноидального контрастированного пространства. Однако следует помнить, что у больных с рецидивирующей ликвореей и скудным характером истечения ЦСЖ данные КТ-цистернографии могут быть отрицательными.
Противопоказания к КТ-цистернографии: 1) окклюзия ликворных путей, препятствующая обследованию в остром периоде тяжёлой ЧМТ пациентов с явлениями отёка-набухания мозга; 2) признаки воспалительного процесса. В настоящем КТ-цистернография в силу своей информативности и адекватности при определении не только состояния костных структур основания черепа, но и анатомо-топографической локализации ликворных фистул может быть отнесена к «золотому стандарту» в диагностике базальных ликворей [4,6] (УД-С).
· Магнитно-резонансная томография. МРТ при базальной ликворее обеспечивает полипроекционность исследования и высокую контрастность изображения – как вещества головного мозга и внутричерепных ликворных пространств, так и воздухоносных придаточных пазух носа. Однако отсутствие при МРТ сигналов от костных структур ограничивают использование метода для диагностики повреждений основания черепа. Имеются также значительные трудности в выявлении симптома “ликворной дорожки” вследствие невозможности постоянного истечения ликвора во время исследования (в положении лежа на спине) и в идентификации ЦСЖ при получении сигнала повышенной интенсивности от околоносовых пазух. Применяемая в последнее время ликворочувствительная МРТ позволяет все же выявить «ликворную дорожку» из полости черепа в полость носа со скоростью потока 0,5 мм/сек. Преимуществами MR исследования (с T2-весовых последовательностей) является возможность выявления менингеальной и / или церебральный грыж. Кроме того, благодаря повышенной внутренней контраст между ЦСЖ и окружающими тканями, четко отграничив границу между ЦСЖ и веществом мозга, может помочь в идентификации расположения источника ликвореи. Чувствительность МРТ-цистернографии составляет 80–87% [7]. При использовании режимов spin-echo и fast spin-echo на T2-взвешенных изображениях эти значения могут увеличиться [8] (УД-С).
· МРТ-цистернография эффективна в диагностике небольших фистул (размерами менее 2 мм), а также при наличии множественных дефектов, которые могут выявляться в различных проекциях. Большим преимуществом является то, что в процессе исследования пациент не подвергается рентгеновскому облучению.
Отсутствие риска осложнений и высокая точность позволяют рассматривать в будущем МРТ-цистернографию как метод выбора при диагностике базальной ликвореи.
NB! Каждый из диагностических методов, обладая определенными преимуществами, имеет свои недостатки и ограничения по применению. Для уточнения локализации ликворной фистулы нередко целесообразно использовать комбинацию современных нейрорадиологических методов. Оптимален следующий алгоритм диагностики ликвореи. При наличии клинических признаков ликвореи, установленных на основании анамнеза, жалоб пациента и при риноскопии, следует провести тест на наличие в отделяемом полости носа β2-трансферина и beta-trace protein. При положительных разрешающей ликворной результатах этих тестов способности. При установлении фистулы производится ее выполняется КТ точной хирургическое высокой локализации закрытие. При отрицательном КТ-результате выполняется МРТ-цистернография и при установлении локализации фистулы проводится операция. Если и МРТ-цистернография не вносит ясности, то осуществляют инвазивные диагностические методы исследования (КТ-цистернография, флуоресцеиновый тест и др.(4)
Показания для консультации специалистов: возникают при выявлении соответствующей сопутствующей соматической патологии.

Диагностический алгоритм:
Читайте также:
- КТ, МРТ при гемангиоме шейных позвонков
- Лечение буллезного пемфигоида. Рекомендации
- Меланома радужки: признаки, гистология, лечение, прогноз
- Патогенез актиномикозов. Патогенез поражений актиномицетами. Клиника актиномикоза. Клинические проявления актиномикоза. Признаки актиномикоза.
- Все причины паралича лицевого нерва
