Ecchordosis physaliphora - лучевая диагностика
Добавил пользователь Евгений Кузнецов Обновлено: 27.01.2026
Лучевая диагностика
достаточно «молодая» область медицины. Ее история началась 125 лет назад с открытия
рентгеновских лучей. Наиболее бурное развитие лучевой диагностики в виде
появления и внедрения в клиническую практику принципиальной новых методов получения медицинских изображений происходило в течение последних 40 лет. Внедрение практически всех основных методов лучевой диагностики отмечено Нобелевскими премиями. Первая премия была присуждена В.К. Рентгену, основателю рентгенологии, в дальнейшем премии присуждались основателям радиоинуклидной диагностики, ангиографии, компьютерной томографии, магнитно–резонансной томографии. И есть все основания надеяться, этот список будет продолжен.
Вклад лучевой диагностики в становление и развитие современной медицины трудно ереоценить. Специалисты, работающие в этой области, сегодня имеют в своих руках целый спектр современных методов исследования. На сегодняшний день ведущими являются методы, позволяющие получать изображения внутренних органов в виде «анатомических» срезов в различных плоскостях – ультразвуковое исследование (УЗИ), компьютерная томография (КТ), магнитно-резонансная томография (МРТ). При этом, в связи с лавинообразным увеличением арка диагностической аппаратуры наиболее быстро растет объем исследований на компьютерных и магнитно-резонансных томографах.
Появление и внедрение новых
технологий получения изображений позволило занять лучевым исследованиям ведущую
диагностическую роль в большинстве разделов клинической медицины. Традиционная
рентгенология, например, позволяет получить практически всю диагностическую
информацию при патологии костей и суставов. При этом в диагностике заболеваний
и повреждений головного и спинного мозга информативность метода в подавляющем
большинстве случаев сравнительно низкая и недостаточная для определения характера морфологических
изменений.
Изменение
значимости лучевых методов исследования можно проследить на примере внедрения
новых визуализирующих технологий в диагностику заболеваний почек и мочевыводящих
путей.
Рентгенологическое исследование.
Несмотря на появление
новых высокотехнологичных методов лучевого исследования
традиционная рентгенодиагностика не потеряла свою актуальность, благодаря своей
доступности, простоте и высокой информативности в обследовании
мочевыводящих путей.
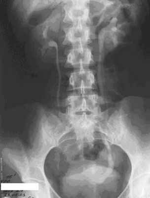
Обзорная урограмма,
выполняемая в условиях естественной контрастности, охватывает область от верхнего
края почек до начала мочеиспускательного канала. В случае умеренно выраженной
внутрибрюшной и забрюшинной жировой клетчатки на обзорных урограммах визуализируются контуры почек, по
которым можно оценить их форму, размеры и расположение. Обзорная урография
позволяет обнаружить рентгеноконтрастные конкременты в почке или мочеточнике.
Но в большинстве случаев данных обзорной урографии
недостаточно. В основном обзорный снимок лишь указывает на наличие
«лишних» теней, свидетельствующих о той или иной патологии. С помощью
обзорной урографии невозможно оценить состояние тканей внутри почки или оценить
степень нарушения оттока мочи. Обнаружив на обзорном снимке камень в проекции
почки или мочеточника, врач не может определить его точное расположение.
Эти проблемы
удается решить с помощью экскреторной (внутривенной) урографии.
Для проведения
экскреторной урографии в вену пациента вводятся рентгенконтрастные вещества
– препараты, содержащие йод. Через определенные промежутки времени после
введения контрастного вещества выполняется серия снимков. Почки выделяют (экскретируют) рентгенконтрастное вещество,
в результате чего на урограммах визуализируются мочевыводящие пути –
полостные системы почек, мочеточники и мочевой пузырь. Почечная паренхима при
внутривенном введении йодсодержащих препаратов визуализируется менее отчетливо,
что не позволяет достоверно определить наличие или отсутствие в ней морфологических
изменений.
Положительной
стороной внутривенной урографии является возможность оценки выделительной функции
почек. К сожалению оценка функции почек при
внутривенной урографии приблизительная и не очень точная.
Экскреторная
урография противопоказана людям с повышенной чувствительностью к йоду, тяжелыми
заболеваниями печени, почечной недостаточностью.
Внутривенная
урография требует определенной подготовки пациента. Перед исследованием
необходимо очистить кишечник, что достигается либо приемом медикаментов (например фортранса), либо очистительными клизмами. Также в
течение 2—3 суток перед исследованием рекомендуется диета с ограничением углеводов.
Исследование проводится натощак.

Удвоение почек и мочевых путей.
Стеноз пиелоуретрального сегмента правой почки с супрастенотическим расширением лоханки.
Конкременты в лоханке правой почки и правом мочеточнике
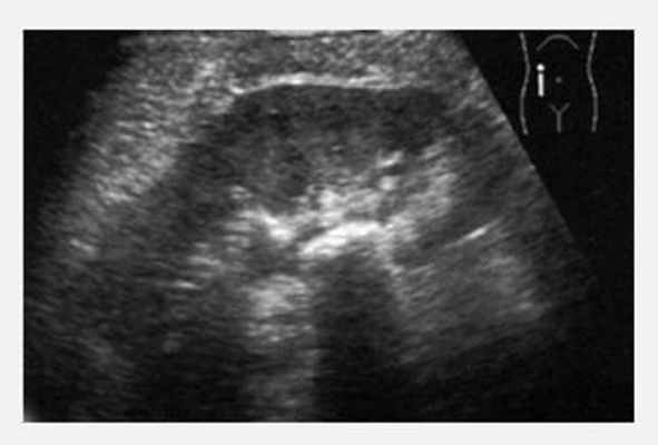
Ультразвуковое исследование
Современная диагностика заболевания почек и мочевыводящих путей
невозможна без ультразвукового исследования (УЗИ) – доступного, сравнительно
недорогого и не требующего применения ионизирующего излучения и внутривенного
введения контрастных препаратов метода.
При УЗИ оценивается расположение почек, форма, контуры, размеры,
состояние чашечно-лоханочной системы, наличие дополнительных образований и
включений. В отличие от рентгеновского метода исследования УЗИ дает возможность
визуализации паренхимы почек, оценки ее структуры и выявлении в ней
морфологических изменений. Наиболее часто при проведении УЗИ почек и мочевого
пузыря выявляются аномалии развития, признаки воспалительных заболеваний (острого
и хронического пиелонефрита, гнойных поражений почек). При мочекаменной болезни
УЗИ почек высокоэффективна в выявлении конкрементов.
При УЗИ визуализируются камни любого химического состава, в то время для
рентгенологических методик камни, состоящие из мочевой кислоты, остаются невидимыми.
Также УЗИ информативно при определении уровня локализации конкремента,
уродинамических осложнениях мочекаменной болезни – обструкции, супрастенотическом
расширении мочевых путей.
При проведении УЗИ врач оценивает выраженность диффузных изменений
почечной паренхимы, выявляет кисты, доброкачественные и злокачественные опухоли. УЗИ информативна
в выявлении патологических изменений надпочечников и предстательной железы –
гиперплазии, воспалительных изменений, кист и опухолей. УЗИ мошонки позволяет детально
изучить состояние яичка, его придатков и семенного канатика.
Для УЗИ предстательной железы (простаты) могут использоваться датчики, вводимые
в прямую кишку. Непосредственная близость от простаты позволяет более точно изучить
морфологию ткани железы и семенных пузырьков.
В связи с большой распространенностью аденомы и рака предстательной
железы рекомендуется проводить ее УЗИ мужчинам старше 50 лет при недержании
мочи, учащенном либо замедленном мочеиспускании, ослаблении напора струи мочи,
ночных позывах к мочеиспусканию.

Мочекаменная болезнь, конкремент в лоханке почки.


Конкремент в устье мочеточника

Доброкачественная гиперплазия предстательной железы.

УЗИ мошонки, воспаление яичка.
Радионуклидное исследование.
При радионкулидном исследовании в организм пациента вводится индикаторное (предельно
малое) количество радиофармацевтического препарата, который включается в обменные
процессы. Радиоактивная метка позволяет при помощи специальной аппаратуры
определить скорость поступления и выведения, особенности распределения радиофармпрепарата
в различных органах.
В недалеком прошлом существовало 3 основных
метода радионуклидного исследования – радиометрия, радиография и сканирование.
На сегодняшний день возможности всех этих методов объединяет в себе сцинтиграфия
-метод исследования позволяющий получать динамические изображения почек и
мочевыводящих путей.
В отличие от других методов лучевого исследования сцинтиграфия позволяет
получить исчерпывающую информацию о функции почек. Возможности сцинтиграфии в
выявлении природы морфологических изменений более скромные, чем у УЗИ, КТ и
МРТ. Для сцинтиграфии почек не требуется никакой подготовки. При с цинтиграфии используются радиоактивные
вещества, поэтому она противопоказана беременным, кормящим и детям до 1 года.
Короткий и ультракороткий период полураспада применяемых при сцинтиграфии
радиоактивных препаратов определяет их активность только во время исследования
и короткое время после него. Поэтому пациенты могут вернуться к привычному образу жизни сразу после сцинтиграфии. Большинство
радиофармпрепаратов выводятся через мочевую систему, поэтому увеличение
потребления жидкости после сцинтиграфии помогает быстрее
вывести их из организма. Индикаторные дозы радиофармпрепаратов практически исключают
возможность осложнения при их введении, что делает сцинтиграфию безопасным для
пациента методом исследования.
Динамическиеp сцинтиграммы почек с радиоренографическими кривыми.
Особенностью
магнитно-резонансной томографии (МРТ) является возможность визуализации
мягкотканных структур в условиях естественной контрастности, что позволяет
использовать метод для изучения паренхимы почек. Также МРТ позволяет выявить морфологические
изменения мочевого пузыря, предстательной железы, семенных пузырьков, мочевого
пузыря и мошонки. Также следует отметить высокую информативность метода в
выявлении заболеваний матки и придатков.
Для проведения МРТ
подготовка пациента не требуется. При МРТ не используется ионизирующее излучение,
что также является его положительной стороной.
К недостаткам
метода можно отнести его относительно высокую стоимость (а
следовательно, недостаточную доступность) и наличие противопоказаний. К
абсолютным противопоказаниям относятся наличие в организме пациента
искусственных водителей ритма и металлических инородных тел (в том числе и
трансплантатов).
МРТ позволяет на
ранних стадиях выявлять опухоли почек и предстательной железы, диагностировать
аномалии развития, выявлять патологию кровеносных сосудов (почечных артерий,
яичковых вен). При уродинамических нарушениях МРТ позволяет визуализировать
расширенные мочеточники, определять степень и причину их обструкции. Для
изучения особенностей опухолевого поражения стенок мочевого пузыря и степени распространения
патологического процесса за их пределы МРТ также обладает наибольшими
диагностическими возможностями.
Недостатком МРТ является
низкая информативность в выявлении обызвествлений и конкрементов, невозможность
оценки функции почек.
Расширение полостной системы левой почки, гипоплазия правой почки.
Опухоль левой почки с распространением патологического
процесса на нижнюю полую вену
Компьютерная томография.
Компьютерная
томография (КТ) – метод исследования, при котором тонкий коллимированный веерообразный
пучок рентгеновского излучения проходит через тело пациента в разных
направлениях. Степень ослабления интенсивности излучения на выходе из тела
пациента измеряется детекторами, полученная информация анализируется, синтезируется
и выводится на экран в виде изображения.
На сегодняшний день
КТ является ведущим, наиболее значимым методом лучевого исследования в урологии,
поэтому мы считаем нужным посвятить возможностям этого метода исследования
отдельную статью, которая выйдет в следующем номере газеты.
Д.м.н., профессор Дергилев А.П.
Зав. отделением лучевой диагностики ЗАО МЦ «Авиценна» Кривушкина Е.В.
Зав. отделением УЗИ-диагностики ЗАО МЦ «Авиценна» Варнавская Д.Г.
Добавить комментарий Отменить ответ
Этот сайт использует Akismet для борьбы со спамом. Узнайте, как обрабатываются ваши данные комментариев.
Leave me alone lesions в околоносовых пазухах (не имеющие клинического значения)
С широким внедрением в повседневную стоматологическую и оториноларингологическую практику мультиспиральной и конусно-лучевой компьютерной томографии (далее- МСКТ и КЛКТ), возросло число пациентов, у которых те или иные находки обнаруживаются случайно, и эти находки могут быть бессимптомными, не иметь клинического значения. Цель данной статьи- разграничить физиологические изменения в околоносовых пазухах (далее- ОНП), которые не должны быть никак отражены в выводах по результатам проведения компьютерной или магнитно-резонансной томографии (далее- КТ и МРТ), а также находки категории «leave me alone lesions»*.
Утолщение слизистой оболочки ОНП - пожалуй, самая частая находка при сканировании этой анатомической области. По данным Kevin M. Rak и соавторов [1], толщина слизистой оболочки ОНП не более 3 мм- довольно частая находка и имеет низкое клиническое значение у бессимптомных пациентов. Толщина слизистой оболочки ячеек решетчатой кости около 1-2 мм встречается у 63% бессимптомных пациентов, что является нормой (проявлением носового цикла). По результатам исследований von Kalle и соавторов [2], утолщение слизистой оболочки ОНП и ячеек сосцевидных отростков является частой находкой у детей. Даже выраженное утолщение слизистой (более 5 мм для верхнечелюстного, лобного, клиновидного синусов, вовлечение в процесс более 50% всех ячеек решетчатого лабиринта и ячеек сосцевидного отростка) не обязательно является признаком инфекции. В радиологической практике термины "синусит" и "мастоидит" должны использоваться осторожно. Начало терапии должно базироваться на клинике, а не только лишь на основании рентгенологических находок.
Ошибочно за патологические изменения может быть принят так называемый носовой цикл. По данным Пискуновых [3], носовой цикл – циклические изменения степени набухания слизистой оболочки полости носа (Клин. наблюдение 1). Длительность носового цикла может составлять от 1 до 6 часов. Классический носовой цикл (описан Р. Кайзером в 1895 г.) состоит из двух фаз: рабочей (вазоконстрикции) и фазы отдыха (вазодилатации), изменение резистентности воздушного потока строго периодично. Однако это возможно, только если перегородка носа не имеет выраженной деформации и находится по средней линии. Иначе возникают условия, приводящие к нарушению циклических изменений резистентности, что впоследствии может привести к развитию хронического ринита.
По данным Американского колледжа радиологии, в ысокая частота выявления мягкотканных изменений отмечается при выполнении рентгеновских снимков, КТ и МРТ у пациентов, которые не имеют клиники синусита, но были подвергнуты визуализации по каким-то иным причинам. Частота подобных ситуаций достигает 33-50%. У большинства взрослых пациентов острое респираторное заболевание способствует утолщению слизистой оболочки синусов, включая пути оттока из синусов. Подобные изменения чаще наблюдаются у детей- примерно в 97% случаев при остром респираторном заболевании, протекающем в течении 2 недель, когда КТ было им выполнено по другим причинам. Находки по данным МРТ включают также мягкотканные изменения в синусах, которые могут сохраняться месяцами после перенесенной острой инфекции. Корреляция с клиническими данными критична для определения значимости находок при визуализации. В дополнение, большинство детей с клиническим диагнозом «острый синусит» обычно имеют при анализе рентгеновских снимков изменения, коррелирующие с клинической картиной, и потому тактика от того, что обнаруживается на снимках, не меняется.
Незавершенная пневматизация является вариантом нормальной анатомии и относится к категории «leave me alone lesions» и чаще всего обнаруживается в клиновидной кости (Клин. наблюдение 2). В кости происходит ранняя жировая конверсия костного мозга до ее пневматизации и миграции эпителия. Однако, по непонятным причинам у некоторых пациентов эта пневматизация не происходит, в кости остаются атипичные включения жира на месте синуса клиновидной кости. В ряде случаев незавершенная пневматизация создает диагностические трудности на КТ или МРТ. Выглядит незавершенная пневматизация на КТ как неэкспансивного характера изменения, плотность которых ниже плотности кости, с внутренними линейными обызвествлениями и склеротическим контуром [4] .
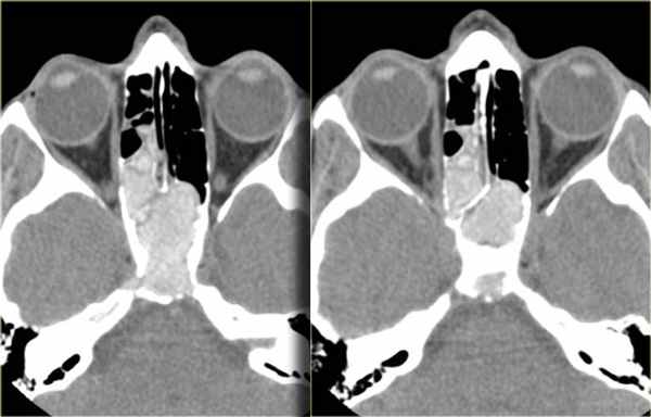
Не стоит забывать и о Ecchordosis physaliphora* (Клин. наблюдение 3). Это врожденная доброкачественная гамартома, которая формируется из нотохордальных зачатков и может встречаться в любой кости, начиная от основания черепа, оканчивая крестцом. Как правило, протекает бессимптомно и является случайной находкой при проведении КТ или МРТ. Выглядит как дефект ската, четко отграниченный и с гладкими контурами, без агрессивного компонента [5]. В литературе описан случай симптомного течения Ecchordosis physaliphora [6], однако, это, скорее, исключение из правил.
В завершении всего вышеизложенного хочется подчеркнуть, что знание тех или иных анатомических и физиологических особенностей позволит избежать ненужных медицинских вмешательств.
*Термин не имеет адаптированного перевода на русский язык; он подразумевает находку, которая не имеет клинического значения.
Кафедра лучевой диагностики и лучевой терапии
Кафедра лучевой диагностики и лучевой терапии Института клинической медицины им. Н.В. Склифосовского является одной из старейших кафедр Первого МГМУ им. И.М. Сеченова, ее история насчитывает более 80-ти лет. Кафедра имеет богатый исторический опыт по организации учебно-профессиональной деятельности студентов, что является неотъемлемой частью обучения и воспитания современного врача. В новых условиях кафедра лучевой диагностики Первого Московского медицинского университета им. И.М. Сеченова представляет собой сплоченный коллектив единомышленников, опытных профессоров и молодых преподавателей, талантливых ученых, врачей отделений лучевой диагностики клинических подразделений, имеющих авторитет в разных областях современной лучевой диагностики, способных демонстрировать обучающимся студентам, врачам, ординаторам самые современные лучевые диагностические приемы.
Приоритетным направлениями научно-исследовательской деятельности Кафедры в составе являются:
1. Разработка и внедрение инновационных гибридных технологий лучевой диагностики и лечения в сердечно-сосудистой хирургии. Планирование и контроль эффективности гибридных операций на сердце и сосудах. Разработка новейших методик в изучении перфузии миокарда при различных заболеваниях и состояниях.
2. Разработка новейших гибридных технологий рентгенохирургии. В частности, внедрение современных технологий эндоваскулярных диагностики и лечения коронарных и других периферических сосудов.
3. Разработка новых алгоритмов высокотехнологичной лучевой диагностики в челюстно-лицевой хирургии. Внедрение инновационных систем виртуального планирования и моделирования оперативного лечения заболеваний челюстно-лицевой области.
4. Разработка и внедрение новых методик неинвазивных высокотехнологичных лучевых исследований в мониторинг женского здоровья и репродукции.
5. Разработка и внедрение новых гибридных лучевых технологий в диагностике социально-значимых заболеваний (травматических, онкологических) различных органов и систем, протоколов и алгоритмов их применения.
6. Изучение и внедрение новых возможностей современных лучевых технологий в клинической практике: мультиспиральной компьютерной томографии, магнитно-резонансной томографии, конусно-лучевой компьютерной томографии, методик ультразвуковой и радионуклидной диагностики, рентгенхирургических технологий.
Обучение студентов проводися по следующим программам:
Дисциплина базовой части - «Лучевая диагностика» (на русском языке)
Институт клинической медицины им. Н.В. Склифосовского 3 курс, 5 и 6 семестры, 3 з.е. (108 ч.)
Клинический институт детского здоровья им. Н.Ф.Филатова 2 и 3 курс, 4 и 5 семестры, 3 з.е. (108 ч.)
Институт общественного здоровья им. Е.И. Марциновского 3 курс, 5 семестр, 3 з.е. (108 ч.)
Институт стоматологии им. Е.В. Боровского, 3 курс, 5 семестр, 3 з.е. (108 ч.)
Международная школа «Медицина будущего» 3 курс, 5 и 6 семестры, 3 з.е. (108 ч.)
Международная школа «Медицина будущего» 5 курс, 10 семестр, 3 з.е. (108 ч.), 6 курс, 11 семестр, 6 з.е. (216 ч.)
Бакинский филиал 3 курс, 6 семестр, 3 з.е. (108 ч.)
Дисциплина базовой части - «Лучевая диагностика» (на английском языке)
Центр международного образования Лечебное дело 3 курс, 5 и 6 семестры, 3 з.е. (108 ч.)
Центр международного образования Стоматология 3 курс, 5 семестр, 3 з.е. (108 ч.)
Дисциплина вариативной части - «Компьютерная и МР-томография» (на русском языке)
Международная школа «Медицина будущего» , 6 курс, 11 семестр, 2 з.е. (72 ч.)
Институт клинической медицины им. Н.В. Склифосовского 4 курс, 8 семестр, 3 з.е. (108 ч.)
Международная школа «Медицина будущего» 4 курс, 8 семестр, 3 з.е. (108 ч.)
Дисциплина вариативной части - «Ультразвуковая диагностика» (на русском языке)
Институт клинической медицины им. Н.В. Склифосовского 3 курс, 6 семестр, 3 з.е. (108 ч.)
Клинический институт детского здоровья им. Н.Ф.Филатова 3 курс, 6 семестр, 3 з.е. (108 ч.)
Международная школа «Медицина будущего» 3 курс, 6 семестр, 3 з.е. (108 ч.)
Дисциплина вариативной части - «Ультразвуковая диагностика» (на английском языке)
Центр международного образования Лечебное дело 4 курс, 8 семестр, 3 з.е. (108 ч.)
На кафедре идет активная работа со студентами в студенческом научном кружке:
Заседания студенческого научного кружка проводятся с октября по май каждого учебного года.
Руководитель: проф. кафедры Анатолий Ильич Шехтер.
Заместитель: ассистент Абрамов А. С.
Староста кружка: Скобелева Ю. О.
Основные направления научной работы студентов:
Современные высокоинформативные методы лучевой диагностики.
Актуальные методики контрастирования и новые контрастные препараты.
Лучевая диагностика – от морфологии к функциональной оценке.
Новые возможности лучевой диагностики в онкологии.
На кафедре Лучевой диагностики и лучевой терапии Института клинической медицины им. Н.В. Склифосовского в рамках послевузовского профессионального образования проводится обучение клинических ординаторов по специальности
31.08.09 РЕНТГЕНОЛОГИЯ, а так же осуществляется подготовка кадров высшей квалификации в аспирантуре по специальности
Neuroradiology | Neuroimaging
Аксиальные, корональные и сагиттальные срезы ДТ-изображений с указанием анатомических структур. Цвет отражает направление волокна: красный - слева направо, синий - краниокаудальное направление, зеленый - передне-заднее направление. Интенсивность отражает значения частичной анизотропии (в левом нижнем углу). В верхней части указано расположение среза.
• Нейрорадиология - раздел рентгенологии, посвященный лучевой диагностике заболеваний нервной системы;
• Нейровизуализа́ция - общее название нескольких методов, позволяющих визуализировать структуру, функции и биохимические характеристики мозга.
• Cообщество придерживается принципов FOAM - Free Open-Access Medicine - и FOAMrad в частности (Free Open Access Radiology Education).
• Консультации по результатам исследований в данном сообществе НЕ ПРОВОДЯТСЯ.
• Права на опубликованные книги и видеозаписи сохраняются за правообладателями.
Neuroradiology | Neuroimaging запись закреплена
Neuroradiology | Neuroimaging запись закреплена
Формирование нотохорда начинается между 3-4 неделями эмбрионального развития. По мере развития аксиального скелета нотохорд редуцируется и впоследствии участвует в образовании пульпозных ядер межпозвоночных дисков. Регрессия нотохорда может происходить в разной степени, особенно на полюсах, в результате чего эктопические остатки нотохорда могут персистировать. К ним относятся как доброкачественные состояния (экхордоз [ecchordosis physaliphora - по Virchow (1857), экхордоз - по Rippert (1894)], доброкачественная нотохордальная опухоль, киста Торндальта, срединный базилярный канал, ладьевидная ямка основания черепа) или злокачественные (хордома). В данной статье мы представили обзор этих патологий, их клинические проявления и типичные радиологические проявления. Остатки нотохорда в некоторых случаях могут иметь схожие черты, и именно по этой причине их очень важно дифференцировать для выбора соответствующего лечения, которое может очень сильно различаться. Понимание закономерностей развития нотохорда позволит определить характерные локализации ее остатков, а знание характерных радиологических признаков поможет сузить дифференциальный ряд.
Neuroradiology | Neuroimaging запись закреплена
Лучевая диагностика сегодня
Добрый день, коллеги!В продолжении вчерашнего поста про новое слово в лучевой диагностике, иерархическую фазово-контрастную томографию (Hierarchical Phase-Contrast Tomography HiP-CT), прикладываю уникальные видео результатов этого сканирования.
Показать полностью.
К вашему вниманию HiP-CT головного мозга, почки, также два разных легких - нормального и пораженного COVID-19!
Вкратце, трупные органы человека фиксируются, частично обезвоживаются и физически стабилизируются для сканирования. Затем сканирование HiP-CT выполняется иерархически, первое обычно при 25 мкм на воксель по всему органу, затем VOI при 6,5 мкм на воксель и 1,3–2,5 мкм на воксель (!). Время сканирования для HiP-CT меньше, чем для других методов, в настоящее время ~ 16 часов для всего мозга при разрешении 25 мкм на воксель и ~ 3,5 часа для всей почки при 25 мкм на воксель. Конечно, до клинического применения еще далеко. Но сам факт поражает и будоражит воображение.
Посмотрите все видео, гарантирую, что не пожалеете! Берите этот пост к себе! Гордитесь нашей специальностью на переднем крае науки! Наслаждайтесь волшебными видео!Здравствуйте не могли бы вы посмотреть, что в пазухе?
Андрей Юрьевич, вот и скажите, пожалуйста, неабстрактно. Приведите, пример, заключения.
Демон, а можно я сам буду решать, что мне приводить, а чего нет? На этом сайте много "моих" матералов, в том числе и дидактических. И лично вам я ничего не должен. Но, чтобы вы поняли про "Ничто не истина само по себе. ", пожалуйста:
Вот такие изменения в пазухах можно найти у каждого больного прошедшего исследование по неврологическим жалобам, и воля ваша, отмечать их или нет (в платных чаще отмечают, в государственных игнорируют)


А вот увидев такую картинку, у такого же неврологического больного, вы не просто должны, вы просто обязаны отразить ее, и даже указать нозологию

А я Вас и не заставлял, а попросил привести пример
а не абстрактно языком молоть.
И пример не по тому, что указывать, а что нет в описании, а пример заключения именно.
А я Вас и не заставлял, а попросил привести пример
а не абстрактно языком молоть.
И пример не по тому, что указывать, а что нет в описании, а пример заключения именно.
Сказал же уже: "Мы - рентгенологи, нам картинки смотреть надо, а не абстрактно языком молоть. " Размещайте случай/картинки, приводите свой вариант описания/заключения, многие выскажутся.
А я Вас и не заставлял, а попросил привести пример
а не абстрактно языком молоть.
И пример не по тому, что указывать, а что нет в описании, а пример заключения именно.
Сказал же уже: "Мы - рентгенологи, нам картинки смотреть надо, а не абстрактно языком молоть. " Размещайте случай/картинки, приводите свой вариант описания/заключения, многие выскажутся.
А понял, хорошо. Как только будят у меня пазухи более-менее подходящие, я сразу залью их сюда с описанием, чтобы можно было конкретно обсудить этот вопрос.
А понял, хорошо. Как только будят у меня пазухи.
Только не будЯт, а будут.
А понял, хорошо. Как только будят у меня пазухи.
Только не будЯт, а будут.
Спасибо большое за исправление!
Cкажите, пожалуйста, серьезно что ли нельзя писать "КТ-картина хронического полисинусита" или "КТ-картина может соотвествовать очаговому туберкулезу" и прочие "КТ-картина конкретная нозология"?. Если не углубляться в правовые, философские и прочие вопросы. А на деле? В чем тогда состоит заключение РГ/Кт-исследования?
Вы можете писать в вашем протоколе так как вы считаете нужным, важно понимать, что все написанное вами может быть использовано против вас.
In radiological reports the terms “sinusitis” or “mastoiditis” should therefore be used with great caution. The initiation of treatment should be based on clinical symptoms and not on radiological abnormalities alone.
Leave me alone lesions в околоносовых пазухах (не имеющие клинического значения)
С широким внедрением в повседневную стоматологическую и оториноларингологическую практику мультиспиральной и конусно-лучевой компьютерной томографии (далее- МСКТ и КЛКТ), возросло число пациентов, у которых те или иные находки обнаруживаются случайно, и эти находки могут быть бессимптомными, не иметь клинического значения. Цель данной статьи- разграничить физиологические изменения в околоносовых пазухах (далее- ОНП), которые не должны быть никак отражены в выводах по результатам проведения компьютерной или магнитно-резонансной томографии (далее- КТ и МРТ), а также находки категории «leave me alone lesions»*.
Утолщение слизистой оболочки ОНП - пожалуй, самая частая находка при сканировании этой анатомической области. По данным Kevin M. Rak и соавторов [1], толщина слизистой оболочки ОНП не более 3 мм- довольно частая находка и имеет низкое клиническое значение у бессимптомных пациентов. Толщина слизистой оболочки ячеек решетчатой кости около 1-2 мм встречается у 63% бессимптомных пациентов, что является нормой (проявлением носового цикла). По результатам исследований von Kalle и соавторов [2], утолщение слизистой оболочки ОНП и ячеек сосцевидных отростков является частой находкой у детей. Даже выраженное утолщение слизистой (более 5 мм для верхнечелюстного, лобного, клиновидного синусов, вовлечение в процесс более 50% всех ячеек решетчатого лабиринта и ячеек сосцевидного отростка) не обязательно является признаком инфекции. В радиологической практике термины "синусит" и "мастоидит" должны использоваться осторожно. Начало терапии должно базироваться на клинике, а не только лишь на основании рентгенологических находок.
Ошибочно за патологические изменения может быть принят так называемый носовой цикл. По данным Пискуновых [3], носовой цикл – циклические изменения степени набухания слизистой оболочки полости носа (Клин. наблюдение 1). Длительность носового цикла может составлять от 1 до 6 часов. Классический носовой цикл (описан Р. Кайзером в 1895 г.) состоит из двух фаз: рабочей (вазоконстрикции) и фазы отдыха (вазодилатации), изменение резистентности воздушного потока строго периодично. Однако это возможно, только если перегородка носа не имеет выраженной деформации и находится по средней линии. Иначе возникают условия, приводящие к нарушению циклических изменений резистентности, что впоследствии может привести к развитию хронического ринита.
Незавершенная пневматизация является вариантом нормальной анатомии и относится к категории «leave me alone lesions» и чаще всего обнаруживается в клиновидной кости (Клин. наблюдение 2). В кости происходит ранняя жировая конверсия костного мозга до ее пневматизации и миграции эпителия. Однако, по непонятным причинам у некоторых пациентов эта пневматизация не происходит, в кости остаются атипичные включения жира на месте синуса клиновидной кости. В ряде случаев незавершенная пневматизация создает диагностические трудности на КТ или МРТ. Выглядит незавершенная пневматизация на КТ как неэкспансивного характера изменения, плотность которых ниже плотности кости, с внутренними линейными обызвествлениями и склеротическим контуром [4] .
Не стоит забывать и о Ecchordosis physaliphora* (Клин. наблюдение 3). Это врожденная доброкачественная гамартома, которая формируется из нотохордальных зачатков и может встречаться в любой кости, начиная от основания черепа, оканчивая крестцом. Как правило, протекает бессимптомно и является случайной находкой при проведении КТ или МРТ. Выглядит как дефект ската, четко отграниченный и с гладкими контурами, без агрессивного компонента [5]. В литературе описан случай симптомного течения Ecchordosis physaliphora [6], однако, это, скорее, исключение из правил.
В завершении всего вышеизложенного хочется подчеркнуть, что знание тех или иных анатомических и физиологических особенностей позволит избежать ненужных медицинских вмешательств.
*Термин не имеет адаптированного перевода на русский язык; он подразумевает находку, которая не имеет клинического значения.
*Термин не имеет адаптированного перевода на русский язык.
Использованные источники:
Исследования органов головы и шеи орбиты, придаточные пазухи носа, височная кость, мягкие ткани лиц
МЕТОДИКА КТ ИССЛЕДОВАНИЙ ПРИДАТОЧНЫХ ПАЗУХ НОСА
ВОСПАЛИТЕЛЬНЫЕ ИЗМЕНЕНИЯ ПРИДАТОЧНЫХ ПАЗУХ НОСА НА ПРИМЕРЕ КЛИНИЧЕСКИХ СЛУЧАЕВ.
Читайте также:
