ЭхоКГ при операции на митральном клапане
Добавил пользователь Дмитрий К. Обновлено: 02.11.2025
Кисты створок — редкая патология митрального клапана (МК). Впервые они описаны Elsasser в 1844 году. В доступной литературе удалось найти не более тридцати клинических наблюдений кист МК у взрослых пациентов.
Существует ряд гипотез развития кист. Согласно первой, она образуется при развитии клапана, когда кровь скапливается и сдавливается в складках ткани, которые потом закрываются. Согласно второй, киста МК образуется в результате формирования гематомы в субвальвулярной области вследствие окклюзии мелких конечных ветвей артерий из-за воспаления, аноксии или геморрагий. Третья гипотеза сопряжена с возможными гетеропластическимими изменениями в ткани, происходящей из примитивного перикардиального мезотелия. Четвертая и пятая гипотезы предполагают, что киста образуется в результате либо эктазии, либо дилатации сосудов ткани МК.
Чаще кисты располагаются на передней створке, реже — на задней или на обеих створках.
Как правило, у пациентов наблюдается достаточно скудная симптоматика: периодически повторяющаяся боль в области грудной клетки, часто без связи с физической нагрузкой, а также симптомы, характерные для порока МК.
В основном кисты МК являются случайной находкой при ЭхоКГ. Следует проводить дифференциальную диагностику с миксомами, вегетациями, эхинококкозом, тромбозами, злокачественными опухолями.
Приводим клиническое наблюдение. Пациентка Р., 39 лет поступила в отделение кардиохирургии НЦГССХ им. Св. Георгия в июне 2011 года с жалобами на общую слабость и беспокоящий в течение месяца дискомфорт в области сердца.
При физикальном обследовании патологических изменений не обнаружено.
По данным рентгенографии патологических изменений со стороны органов грудной клетки не выявлено.
При ЭхоКГ камеры сердца не расширены; глобальная и регионарная систолическая функция левого желудочка (ЛЖ) в пределах нормы; створки митрального клапана тонкие, движение в противофазу. В полости ЛЖ лоцируется четко очерченное округлое двухкамерное тонкостенное образование с эхонегативным содержимым диаметром 30 мм, прикрепленное к подклапанным структурам (хорды, папиллярные мышцы) подвижное, совершающее переднесистолическое движение в фазу сердечного цикла, вызывающее умеренную обструкцию выходного отдела ЛЖ. Диастолическая скорость на МК в пределах нормы. Митральная регургитация не определяется. Заключение: киста митрального клапана неясного генеза (рис. 1).

Рис. 1. ЭхоКГ в двухмерном режиме (A) и в трехмерном режиме (Б). На передней створке митрального клапана определяется тонкостенное полостное образование — киста (указано стрелками).
Учитывая наличие внутрисердечного образования, возможность паразитарной этиологии, высокую эмбологенную и тромбогенную опасность, риск возникновения обструкции отверстия МК, вероятность развития инфекционного эндокардита, принято решение о необходимости удаления кисты МК.
Операция выполнена из правосторонней передне-боковой торакотомии в IV межреберье. После системной гепаринизации, канюляции аорты и полых вен начато искусственное кровообращение. Пережата аорта; доступ к МК осуществлен через левое предсердие кзади от межпредсердной борозды.
При ревизии митральный клапан интактен. Створки тонкие, без признаков воспаления и дегенерации. При разведении створок между ними определяется округлое тонкостенное образование вишневого цвета диаметром около 3 см, плотно фиксированное к подклапанным структурам, исходящее из головки папиллярной мышцы, переходящее в свободный край передней створки МК и участвующее в осуществлении замыкательной функции клапана (рис. 2). Хорды в этой зоне отсутствуют. Произведена пункция; содержимое — кровянистая жидкость. Интраоперационный диагноз: гигантская кровяная киста митрального клапана.

Рис. 2. Интраоперационная фотография. На свободном крае желудочковой поверхности передней створки митрального клапана определяется полостное тонкостенное образование размерами около 30 мм — киста (указана стрелкой).

Рис. 3. Интраоперационная фотография. Полость кисты вскрыта. Киста интимно спаяна с тканью створки (обозначено стрелками) и участвует в осуществлении замыкательной функции клапана.

После опорожнения кисты при контрольной гидравлической пробе определяется тотальная недостаточность клапана (рис. 3). Принято решение о протезировании клапана. Передняя створка МК иссечена, имплантирован механический протез МедИнж-27 с сохранением задней створки.
При морфологическом исследовании: ткань стенки кисты образована плоским эндотелием с включениями фиброзной ткани. Исходя из современной классификации, это истинная врожденная множественная киста (рис. 4).
Непосредственный послеоперационный период протекал гладко, пациентка экстубирована в сутки после операции и в дальнейшем переведена в профильное отделение для дальнейшего лечения.
По данным ЭхоКГ после операции: глобальная и регионарная систолическая функция ЛЖ не изменена, ФВ ЛЖ — 68%; в проекции МК — тень механического протеза, движение запирательного элемента не нарушено.
На сутки после операции пациентка в удовлетворительном состоянии выписана под наблюдение кардиолога по месту жительства.
Таким образом, наличие очень редкой патологии — кисты митрального клапана — предполагает выбор одной из двух диаметрально противоположных тактик: либо выжидательной (наблюдение) либо, активной (операция). Выжидательная тактика преследует длительное наблюдение с невозможностью предсказания характера и времени возникновения осложнений. Прежде всего, эмбологенная и обструкционная опасность, невозможность исключить паразитарный генез образования, настороженность в плане развития инфекционного эндокардита — являются истинными причинами принятия второго варианта решения — выполнения оперативного вмешательства. Именно поэтому операция, как залог надежной профилактики предполагаемых осложнений, является вполне оправданной у этой категории больных, что и иллюстрирует данное клиническое наблюдение.
© 2022 ФГБУ «НМХЦ им. Н.И. Пирогова» Минздрава России. Использование материалов сайта полностью или частично без письменного разрешения строго запрещено.
Митральная недостаточность
Митральная недостаточность - несостоятельность клапана, при которой возникает обратное движение крови из левого желудочка в левое предсердие во время сокращения желудочков сердца вследствие неполного смыкания створок клапана.
Этиология митральной недостаточности:
- Врожденная патология: расщепление клапана, пролапс и другое.
- Ишемическая дисфункция митрального клапана при ИБС.
- Дегенеративные процессы: миксоматозная дегенерация, синдромы Марфана и Элерса - Данло, кальциноз митрального кольца.
- Воспалительные поражения: ревматизм, системная красная волчанка, системная склеродермия, аортоартериит.
- Инфекция: инфекционный эндокардит.
- Травма.

По течению митральная недостаточность подразделяется на хроническую и острую и соответственно требует разного подхода при определении показаний срочности оперативного вмешательства. Коррекцию хронической митральной недостаточности необходимо провести прежде, чем разовьется декомпенсация левого желудочка, с учетом ЭХОКГ критериев для оценки тяжести митральной регургитации.
Развитие острой митральной недостаточности, рефрактерной к медикаментозной терапии, является показанием к экстренному хирургическому вмешательству.
Проявления клинических симптомов митральной недостаточности обусловлено тяжестью недостаточности митрального клапана и функционального состояния левого желудочка.
Симптомы
Наиболее типичная жалоба – это одышка, которая возникает при умеренной и тяжелой хронической митральной недостаточности и клиника острой левожелудочковой недостаточности при острой митральной недостаточности. Наличие фибрилляции предсердий до операции является независимым предиктором снижения отдаленной выживаемости после операции на митральном клапане по поводу хронической митральной недостаточности.

Диагностика митральной недостаточности
Эхокардиография (ЭХОКГ) занимает ведущее место в диагностике недостаточности митрального клапана и определения показаний по тактике ведения больного. При недостаточной информативности трансторакальной ЭХОКГ и уточнения возможности реконструктивной операции на митральном клапане должна быть выполнена чрезпищеводная ЭХОКГ.
ЭХОКГ позволяет определить этиологию митральной недостаточности, ее тяжесть –компенсаторные возможности левого желудочка, наличие осложнений (левожелудочковая недостаточность, легочная гипертензия, правожелудочковая недостаточность), выявить другие пороки сердца.
ЭХОКГ исследование позволяет оценить степень недостаточности митрального клапана по отношению площади потока регургитации к площади левого предсердия:
- Незначительная недостаточность митрального клапана менее 20%
- Умеренная недостаточность 20-40%
- Тяжелая недостаточность 40%
Если ИБС не является причиной митральной недостаточности и нет данных за сопутствующую ИБС показания к операции могут быть определены без катетеризации сердца.
Применение инвазивных методов обследования показано пациентам с ишемической дисфункцией митрального клапана:
Коронароангиография позволяет уточнить наличие стенозирующего поражения коронарных артерий и определить показания к реваскуляризации миокарда в сочетании с хирургической коррекцией митральной недостаточности.
Показания к оперативному лечению митральной недостаточности
Классификация рекомендаций и уровни достоверности в формате АКК/ААС:
- Класс I: Состояния, при которых есть доказательства и/или общее согласие, что процедура или метод лечения является благоприятным, полезным и эффективным.
- Класс II: Состояния, при которых есть противоречивые доказательства и/или расхождение во мнениях о полезности/эффективности процедуры или метода лечения.
- Класс IIА: Вес достоверность/мнение в пользу полезности/эффективности.
- Класс IIБ: Польза/эффективность менее хорошо установлены достоверностью/мнением.
- Класс III: Состояния, при которых есть доказательства и/или общее мнение, что процедура/метод лечения не полезны, не эффективны, а в некоторых случаях могут быть вредны.
Кроме того, уровни достоверности в поддержку рекомендаций изложены следующим образом:
- Уровень достоверности А: Данные получены из многочисленных рандомизированных клинических испытаний.
- Уровень достоверности В: Данные получены из единичных рандомизированных исследований или нерандомизированных испытаний.
- Уровень достоверности С: Только единодушное согласие экспертов, отдельные исследования случаев и стандарты лечения.
Хирургическое лечение недостаточности митрального клапана
1. Пациенты с острой тяжелой митральной недостаточностью (Уровень достоверности: B)
2. Пациенты с хронической тяжелой недостаточностью митрального клапана и СН II, III, IV ФК по NYHA, при отсутствии тяжелой дисфункции ЛЖ (тяжелая дисфункция ЛЖ определяется как фракция выброса меньше 30%) и/или КСР больше 55 мм. (Уровень достоверности: B)
3. Асимптомные пациенты с хронической тяжелой митральной недостаточностью и легкой, умеренной дисфункцией ЛЖ, фракция выброса 30-60% и/или КСР больше или равно 40 мм. (Уровень достоверности: B)
4. Более показана пластика, чем протезирование митрального клапана у большинства пациентов с тяжелой хронической митральной недостаточностью, которым необходима операция, и пациенты должны быть направлены в хирургические центры с большим опытом по восстановлению МК. (Уровень достоверности: C)
КЛАСС IIА
1. Показана пластика МК у асимптомных пациентов с тяжелой хронической митральной недостаточностью и нормальной функцией ЛЖ (фракция выброса больше 60% и КСР меньше 40 мм), у которых вероятность хороших результатов пластики клапана больше 90 %. (Уровень достоверности: B)
2. Показано вмешательство на МК у асимптомных пациентов с тяжелой хронической митральной недостаточностью с нормальной функцией ЛЖ и пароксизмом фибрилляции предсердий. (Уровень достоверности: C)
3. Показано вмешательство на МК у асимптомных пациентов с тяжелой хронической митральной недостаточностью с сохраненной функцией ЛЖ и легочной гипертензией (систолическое давление ЛА больше 50 мм рт.ст. в покое или больше 60 мм рт.ст. при нагрузке). (Уровень достоверности: C)
4. Показано вмешательство на МК у пациентов с тяжелой хронической МР*, развившейся в результате первичной патологии митральных структур, симптомами III-IV ФК по NYHA и тяжелой дисфункцией ЛЖ (фракция выброса мене 30% или КСР больше 55 мм), которым больше подходит восстановление МК. (Уровень достоверности: C)
КЛАСС IIБ
- Возможна пластика митрального клапана у пациентов с хронической тяжелой недостаточностью митрального клапана, вследствие тяжелой дисфункции ЛЖ (фракция выброса менее 30%), у кого, несмотря на оптимальную терапию СН, включая бивентрикулярный кардиостимулятор, присутствуют симптомы III-IV ФК по NYHA. (Уровень достоверности: C)
КЛАСС III
1. Вмешательство на митральный клапан не показано асимптомным пациентам с митральной недостаточностью и нормальной функцией ЛЖ (фракция выброса более 60% и КСР менее 40 мм), у которых есть существенные сомнения о возможности пластики МК. (Уровень достоверности: C)
2. Изолированная операция МК не показана пациентам с легкой или умеренной митральной недостаточностью. (Уровень достоверности: C)
Во многих случаях, тип операции - пластика или протезирование МК важна в выборе времени операции. Хотя тип оперативного вмешательства до операции фактически никогда не определяется, во многих случаях выбор оперативного вмешательства может быть определен заранее. Летальность при плановых операциях по поводу митральной недостаточности после протезирования митрального клапана составляет 2 – 7%, после пластики митрального клапана 1 – 4%. В настоящее время используют три основных метода коррекции митральной недостаточности: пластика клапана, протезирование митрального клапана с частичным или полным сохранением хордального аппарата и протезирование митрального клапана без сохранения хордального аппарата. В большинстве случаев пластика клапана является операцией выбора и должна выполняться всегда, когда это возможно.

Своевременность оперативного вмешательства позволяет добиться хороших результатов хирургической коррекции пороков сердца, уменьшает степень оперативного риска и улучшает отдаленные результаты хирургического лечения.
Оформите заявку на сайте, мы свяжемся с вами в ближайшее время и ответим на все интересующие вопросы.
Метод интраоперационной трёхмерной чреспищеводной эхокардиографии у пациентов с выраженной недостаточности митрального клапана
Трёхмерная чреспищеводная эхокардиография (3D-ЧП ЭхоКГ) по сравнению с двухмерной позволяет получить наиболее полное представление о морфометрии отдельных структур и сердца в целом. Методика интраоперационной 3D ЧП ЭхоКГ незаменима при выполнении реконструктивных вмешательств у пациентов с митральной недостаточностью (МН), которая занимает второе место в структуре пороков сердца. Согласно рекомендациям Европейского общества кардиологов (ESC) и Европейской ассоциации кардиоторакальных хирургов (EACTS) 2017 года, именно реконструктивные операции на митральном клапане у пациентов с недостаточностью приобретают приоритетное значение. Безусловными преимуществами пластических операций являются низкий риск развития тромбоэмболий и эндокардита, лучшая отдалённая выживаемость и свобода от приёма антикоагулянтов. Успех хирургического лечения с использованием реконструктивного подхода во многом зависит от уровня и качества выполненных диагностических исследований.
Трёхмерная интраоперационная чреспищеводная эхокардиография позволяет в режиме реального времени проводить построение модели клапана, которая максимально сопоставима с видом клапана, каким его видит хирург в операционном поле («surgical view»), и детально оценить его анатомию, геометрию и функцию. На основании полученных данных хирург имеет объективную возможность определить тактику операции, объём и вид реконструкции клапана. После выполненной реконструкции незамедлительно оценить результат операции.
Представляем клинический случай использования интраоперационной чреспищеводной эхокардиографии с 3D режимом для определения тактики и оценки результатов операции у пациентки с выраженной недостаточностью митрального клапана.
Пациентка, 56 лет, поступила в отделение реконструктивной хирургии клапанов сердца и коронарных артерий ФГБУ «НМИЦ ССХ им. А.Н. Бакулева» Минздрава России с жалобами на одышку при умеренной физической нагрузке, сердцебиение. Из анамнеза: страдает ревматизмом с 15 лет. По данным трансторакальной эхокардиографии (ЭхоКГ) выявлена выраженная митральная недостаточность, дилатация левых отделов сердца.
На основании проведённого обследования поставлен диагноз: Ревматизм, неактивная фаза. Митральный порок сердца: выраженная недостаточность. Относительная умеренная недостаточность трикуспидального клапана. Дилатация левых камер сердца. Умеренная лёгочная гипертензия. ХСН 2А. ФК 3 по NYHA.
Была выполнена операция: Многокомпонентная реконструкция митрального клапана с ушиванием расщепления передней митральной створки, с аннулопластикой на опорном кольце; пластика трикуспидального клапана по de Vega, в условиях ИК, гипотермии и ФХКП. (хирург — директор Института коронарной и сосудистой хирургии ФГБУ «НМИЦ ССХ им. А.Н. Бакулева» МЗ РФ, профессор И.И. Скопин).
Данные интаоперационной 3D ЧП ЭхоКГ: Митральный клапан: ФК 44 мм, створки уплотнены, расщепление передней створки от свободного края до фиброзного кольца в сегменте А 2, движение створок разнонаправленное. Градиент давления максимальный — 6,2 мм рт.ст., средний 2,1 мм рт.ст. Регургитация выраженная: vena contracta - 0,9 см, площадь потока регургитации — 11,4 см², в непрерывноволновом допплеровском режиме плотный поток регургитации, радиус PISA — 1,0 см. Регургитация — эксцентричная, по боковой стенке ЛП.

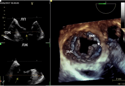
Рис. 1. Трёхмерная чреспищеводная эхокардиография. Среднепищеводный доступ. Трёхмерная реконструкция митрального клапана. (ЛП — левое предсердие, ЛЖ — левый желудочек, ПЖ— правый желудочек, ПМС — передняя митральная створка, ЗМС — задняя митральная створка). Расщепление передней митральной створки (белая стрелка).

Рис. 2. Чреспищеводная эхокардиография. Среднепищеводный доступ. Четырёхкамерная позиция. (ПП — правое предсердие). Площадь потока регургитации — 11,4 см².

Рис. 3. Чреспищеводная эхокардиография. Среднепищеводный доступ. Четырёхкамерная позиция. Vena contracta 0,9 см.
На основании дооперационной трансторакальной эхокардиографии планировалась имплантация опорного кольца и коррекция пролапса ПМС за счёт имплантации неохорд или транслокации хорд от задней митральной створки к передней. Данные интраоперационной трёхмерной ЧП ЭхоКГ позволили визуализировать расщепление передней створки митрального клапана и подтвердить дилатацию фиброзного кольца. Таким образом, тактика операции была изменена и выполнена пластика расщеплённой передней створки МК, имплантация опорного кольца Carpantier-Edwards №32, пластика трикуспидального клапана по de Vega.
После отключения искусственного кровообращения и стабилизации гемодинамики выполнено контрольное ЧП ЭхоКГ исследование. Показатели функционального состояния миокарда, клапанного аппарата были в норме.
В представленном клиническом случае больной с патологией митрального клапана – выраженной недостаточностью, в плановом порядке интраоперационно до основного этапа операции проведена чреспищеводная эхокардиография с построением в режиме реального времени трёхмерной модели клапана, позволившая детально оценить патологию и определить механизм формирования митральной недостаточности. С помощью трёхмерной реконструкции удалось диагностировать расщепление передней створки митрального клапана, определить точную локализацию патологии.
Полученные данные были подтверждены непосредственно в ходе операции при ревизии клапана и явились основанием выбора тактики хирургического вмешательства.
ЭхоКГ при операции на митральном клапане


- НИО хирургии аорты, коронарных и периферических артерий
- НИО новых хирургических технологий
- НИО хирургической аритмологии
- НИО эндоваскулярной хирургии
- НИО сосудистой и гибридной хирургии
- НИО онкологии и радиотерапии
- НИО ангионеврологии и нейрохирургии
- НИО анестезиологии и реаниматологии
- НИО лучевой и инструментальной диагностики
- Состав совета по защите докторских и кандидатских диссертаций
- Требования к соискателям
- Соискатели
- Апелляции
- ГОСТ по оформлению диссертации и автореферата
- Контакты совета
- Генеральный директор Центра
- Руководство Центра
- Миссия
- История
- Мероприятия
- Фотопроекты
- Истории пациентов
- Нормативные документы
- Структура отдела
- Организационно-методическая работа с регионами
- Развитие телемедицинских технологий
- Кадровая политика и повышение квалификации
- Публичный отчет
- Устав и регистрационные документы
- Лицензии
- Публичный отчет
- Сведения о медицинских работниках
- План развития Центра
- Политика обработки персональных данных
- Охрана труда
- Политика в области охраны труда
- Противодействие коррупции
- Учетная политика
Митральный клапан располагается между левым предсердием и левым желудочком. Через него насыщенная кислородом кровь попадает в левый желудочек, в дальнейшем распространяется по всему организму.
Митральный клапан состоит из двух створок, которые выполняют функцию «запирания», поддерживаемых сухожильными нитями - хордами. Если хорды растягиваются, одна из створок может проваливаться в левое предсердие, это состояние называется пролапсом.
Пролапс митрального клапана не всегда требует лечения. Но за этим состоянием необходимо следить, т.к. он может вести к заболеванию - митральной недостаточности.
Врожденный пролапс митрального клапана
Врожденный пролапс митрального клапана формируется внутриутробно. Аномалия связана со слабостью соединительной ткани. Сам по себе ПМК не влечет серьезных нарушений и, как правило, не проявляет себя.
Но врожденный пролапс митрального клапана часто имеет сопутствующую патологию. Поэтому может сопровождаться болями в сердце, головокружениями, обмороками, нарушением сна, одышкой, которые появляются внезапно и также внезапно исчезают. Эти симптомы возникают на фоне стрессовых ситуаций. Также может сопровождаться другими патологиями, спровоцированными дефектом соединительной ткани. Например, миопия, нарушения аккомодации, плоскостопие, косоглазие и другие.
Как правило, врожденный пролапс митрального клапана не требует хирургического лечения. Необходимо наблюдаться у кардиолога и один раз в год выполнять ЭХОКГ-контроль. В случае диагностирования значимой регургитации крови, врач может назначить медикаментозную терапию для нормализации функционирования сердца. Необходимость такой терапии определятся строго индивидуально.
Но намного чаще митральный клапан поражается после перенесенных заболеваний. Поэтому гораздо чаще встречаются не врожденные причины пролапса митрального клапана.
Приобретенный пролапс митрального клапана
Причинами приобретенного ПМК могут стать ишемическая болезнь сердца, инфаркт миокарда, инфекционные заболевания (эндокардит), травма грудной клетки (крайне редко). Этот порок сердца часто обнаруживается случайно во время проведения ЭХОКГ после перенесенных заболеваний.
В тяжелых случаях пациенты жалуются на одышку при нагрузках и в иногда в покое, ощущения «перебоев» в работе сердца, отеки.
Лечение заболевания требуется в случаях, когда наблюдается формирование выраженного митрального порока. Вид лечения подбирает лечащий врач индивидуально. Выбор зависит от симптомов, запущенности заболевания и особенностей организма пациента.
Лечение может быть консервативным, с применением бета-блокаторов, дезагрегантов, антикоагулянтов и других медикаментов. При тяжелых формах может потребоваться оперативное лечение: пластика или протезирование митрального клапана.
Диагностика пролапса митрального клапана
Абсолютно каждому человеку показано ежегодное посещение кардиолога для изучения изменений, происходящих с сердцем. Это требуется для своевременного обнаружения патологий, заболеваний и ранней диагностики их степени.
В случае обнаружения пролапса митрального клапана, требуется консультация кардиолога, который уточнит анамнез и симптомы и, если это требуется в данной ситуации, направит на УЗИ сердца. УЗИ сердца единственный метод, который может достоверно подтвердить или опровергнуть наличие ПМК. При этом врач УЗИ диагностики видит за счет какой аномалии формируется митральная недостаточность.
Дальнейшая тактика лечения зависит от результатов этого исследования. Необходимо проконсультироваться с кардиологом для определения дальнейшего плана наблюдения и лечения.
ЭхоКГ при операции на митральном клапане
Т.В. Машина, В.С. Джанкетова, Г.А. Шамсиев, Е.З. Голухова, Л.А. Бокерия
Пациент С., 52 года, поступил в отделение с жалобами на одышку при незначительной физической нагрузке, перебои в работе сердца. В ходе обследования по месту жительства по данным ЭхоКГ выявлен пролапс митрального клапана 5–6 мм с регургитацией III степени.
Объективный статус при поступлении: общее состояние удовлетворительное, сознание ясное. Рост – 182 см, вес – 73 кг. BSA – 1,94, BMI – 541,11. Индекс массы тела – 22,04. Аускультативно: ослабление I тона и систолический шум с эпицентром на верхушке сердца. ЧСС – 75 уд/мин. АД – 120/80 мм рт. ст. Со стороны других органов и систем: без особенностей.
В ходе клинико-инструментального обследования получены следующие данные.
ЭКГ: ритм синусовый с частотой 75 уд/мин. Горизонтальное положение электрической оси сердца (ЭОС). Неполная блокада правой ножки пучка Гиса.
Рентгенография органов грудной клетки: признаки диффузного пневмосклероза. В легких без очаговых и инфильтративных изменений. Средостение не смещено. КТИ – 56%.
При проведении двухмерной ЭхоКГ: левое предсердие (ЛП) 4,8 см. Конечный систолический объем левого желудочка (КСО ЛЖ) – 58 мл, конечный диастолический объем ЛЖ (КДО ЛЖ) – 162 мл. Фракция выброса ЛЖ (ФВ ЛЖ) – 64 %. Митральный клапан (МК): створки утолщены, подвижные, движения разнонаправленные. Пролапс задней митральной створки (ЗМС) 5–6 мм. Нельзя исключить отрыв хорд от задней митральной створки. Тотальная недостаточность МК. Фиброзное кольцо МК: 36–37 мм. Трикуспидальный клапан (ТК): регургитация 1+. Расчетное давление в правом желудочке (РДПЖ) 30–35 мм рт. ст.
Для уточнения характера поражения митрального клапана была выполнена чреспищеводная двухмерная ЭхоКГ, которая подтвердила отрыв хорд от задней митральной створки в области сегментов Р1, Р2.
При проведении чреспищеводной трехмерной ЭхоКГ был также выявлен пролапс задней створки митрального клапана в виде округлого выбухания створки в сегментах Р1, Р2. Трехмерное цветовое допплеровское исследование подтвердило наличие тотальной недостаточности МК. Данные трехмерного моделирования митрального клапана подтвердили полисегментарное поражение створок.
| Рис. 1. Двухмерная чреспищеводная эхокардиограмма. При цветной допплер-кардиограмме визуализируется поток регургитации над передней створкой (ПМС) митрального клапана. |
| Рис. 2. Трехмерная чреспищеводная эхокардиография в режиме реального времени, «анфас». Створки митрального клапана утолщены, пролапс задней створки митрального клапана (ЗМС) в сегментах Р1, Р2. |
| Рис. 3. Трехмерная чреспищеводная эхокардиография, цветная допплерография. Тотальная недостаточность МК. |
| Рис. 4. Модель митрального клапана, построенная с помощью Mitral Valve Quantification. Пролапс ЗМС в виде округлых выбуханий в сегментах Р1, Р2. |
На основании вышеперечисленного пациенту был поставлен клинический диагноз: миксоматозная дегенерация митрального клапана. Отрыв хорд от ЗМС. Пролапс ЗМС. Выраженная недостаточность митрального клапана. Умеренная недостаточность трикуспидального клапана. Артериальная гипертензия I степени, риск 1.
Учитывая результаты чреспищеводной трехмерной ЭхоКГ, принято решение о проведении реконструктивной клапаносохраняющей операции митрального клапана.
Пациенту выполнена треугольная резекция задней митральной створки в зоне Р2 (участок с отрывом хорд). Ушита фиссура между сегментами Р1 и Р2 одним Z-образным узловым швом, выполнена шовная аннулопластика митрального клапана – в области основания задней митральной створки фиксирована полоска из экофлона.
После операции по данным двухмерной ЭхоКГ регургитации не выявлено, при трехмерной ЭхоКГ – минимальная регургитация на МК. На рисунке 2 представлены двух- и трехмерные изображения клапана ≪анфас≫, трехмерное цветовое допплеровское исследование и трехмерная модель митрального клапана после хирургического вмешательства.
| Рис. 5. Интраоперационная двухмерная чреспищеводная эхокардиограмма. При цветной допплер-кардиограмме в проекции митрального клапана поток регургитации не визуализируется. |
| Рис. 6. Интраоперационная трехмерная чреспищеводная эхокардиография в режиме реального времени, «анфас». Створки митрального клапана коаптируют, пролапс ЗМС устранен. |
| Рис. 7. Интраоперационная трехмерная чреспищеводная эхокардиография, цветная допплерография. В проекции митрального клапана визуализируется минимальный поток регургитации. |
| Рис. 8. Модель митрального клапана после реконструктивной операции, построенная с помощью Mitral Valve Quantification. Пролапс ЗМС устранен, створки коаптируют. |
Применение интраоперационной чреспищеводной трехмерной эхокардиографии в режиме настоящего времени и построение трехмерной модели митрального клапана повышают точность диагностики пролапсов и отрыва хорд у пациентов с дегенеративными изменениями митрального клапана, позволяют выбрать оптимальную тактику хирургического лечения для каждого пациента, а также оценить эффективность оперативного вмешательства.
Подробнее о методике чреспищеводной трехмерной эхокардиографии и возможностях применения методики Mitral Valve Quantification в реконструктивной хирургии митрального клапана в журнале «Креативная кардиология».
Читайте также:
