Признаки гиперплазии коры надпочечника и ее дифференциация с опухолью
Добавил пользователь Владимир З. Обновлено: 27.01.2026
ФГУ Эндокринологический научный центр, Москва
ФГУ Эндокринологический научный центр, Москва
ФГУ Эндокринологический научный центр, Москва
ФГБУ «Эндокринологический научный центр» Минздрава России, Москва, Россия
ФГБУ "Эндокринологический научный центр" Минздрава РФ, Москва
ФГБУ «Эндокринологический научный центр» Минздрава России, Москва, Россия
ФГУ Эндокринологический научный центр Минздравсоцразвития Российской Федерации
ФГУ Эндокринологический научный центр, Москва
ФГУ Эндокринологический научный центр, Москва
Эндокринологический научный центр, Москва
АКТГ-эктопический синдром, вызванный кортико-медуллярной опухолью надпочечника
Журнал: Проблемы эндокринологии. 2016;62(1): 50‑54
ФГУ Эндокринологический научный центр, Москва
Описан клинический случай эндогенного гиперкортицизма, обусловленного эктопической продукцией АКТГ смешанноклеточной кортико-медуллярной опухолью левого надпочечника у пациентки 61 года. В литературе имеются единичные описания случаев АКТГ-продуцирующей феохромоцитомы, но отсутствуют публикации о кортико-медулярных опухолях надпочечника смешанного строения, секретирующих АКТГ. В связи с редкостью данной нозологии, считаем целесообразным поделиться собственным опытом, а также рассмотреть аспекты взаимодействия системы феохромоцитома — кора надпочечников — гипофиз, которые могли привести к морфологическим и клиническим изменениям, обнаруженным у данной пациентки.
ФГУ Эндокринологический научный центр, Москва
ФГУ Эндокринологический научный центр, Москва
ФГУ Эндокринологический научный центр, Москва
ФГБУ «Эндокринологический научный центр» Минздрава России, Москва, Россия
ФГБУ "Эндокринологический научный центр" Минздрава РФ, Москва
ФГБУ «Эндокринологический научный центр» Минздрава России, Москва, Россия
ФГУ Эндокринологический научный центр Минздравсоцразвития Российской Федерации
ФГУ Эндокринологический научный центр, Москва
ФГУ Эндокринологический научный центр, Москва
Эндокринологический научный центр, Москва
АКТГ-эктопический синдром (АКТГ-ЭС) — тяжелое многосимптомное нейроэндокринное заболевание, протекающее, как правило, с выраженной клиникой гиперкортицизма и обусловленное эктопической секрецией адренокортикотропного гормона (АКТГ) и/или кортикотропин-рилизинг-гормона (КРГ) нейроэндокринной опухолью [1].
Эта нозология встречается очень редко — от 4 до 12 случаев на 10 млн населения. Тяжесть состояния пациентов обусловлена широким спектром действия высокого уровня кортикостероидов на различные органы и системы. Средний срок от первого обращения до верификации АКТГ-ЭС составляет 1—5 лет.
В клинической картине АКТГ-ЭС преобладают следующие симптомы гиперкортицизма: артериальная гипертензия (93,75%), мышечная слабость проксимальных отделов нижних конечностей (81,25%), гиперпигментация (79%). Также иногда наблюдается клиника карциноидного синдрома, проявляющаяся приступами дрожи всего тела, чувством жара, обильным мочеиспусканием, ночными кошмарами [2].
АКТГ-ЭС наиболее часто встречается при опухолях органов грудной клетки. В 26—45% всех внегипофизарных новообразований, продуцирующих АКТГ, диагностируются бронхолегочные нейроэндокринные опухоли (НЭО), в 9—28% — мелкоклеточный рак легкого, в 5—16% — НЭО тимуса. АКТГ-секретирующие НЭО обнаруживаются также в желудочно-кишечном тракте (1—6%), поджелудочной железе (5—13%), почках, яичниках, яичках, предстательной железе, молочных железах, околоушных и слюнных железах, мочевом пузыре и коже. В 12—25% случаев источник эктопической продукции АКТГ остается невыявленным [1, 3].
Дифференциальная диагностика АКТГ-ЭС и болезни Иценко—Кушинга (БИК)) представляет значительные трудности. При отсутствии визуализации кортикотропиномы на МРТ, отрицательной или сомнительной большой пробе с дексаметазоном (БДП) проводят дополнительные исследования — периферическую стимулирующую пробу с КРГ или десмопрессином или селективный забор крови из нижних каменистых синусов с введением КРГ или десмопрессина. В настоящее время селективный забор крови из нижних каменистых синусов с определением АКТГ в базальных условиях и на фоне внутривенной стимуляции КРГ или десмопрессином является «золотым стандартом» дифференциальной диагностики между АКТГ-ЭС и БИК [1].
Одной из редких локализаций АКТГ-ЭС является феохромоцитома, что впервые было описано G. Williams и соавт. [5] в 1960 г. В последние годы частота выявляемости АКТГ-ЭС, обусловленного опухолью хромофинной ткани надпочечников, колеблется от 3 до 25% [6].
Описание редкого случая АКТГ-ЭС представляет клинический интерес, в связи с трудностью дифференциации АКТГ-ЭС и БИК, и в силу уникальности результатов морфологического исследования опухоли — кортико-медуллярная смешанная опухоль (феохромоцитома/аденома коры надпочечника).
Персональная медицинская информация публикуется с письменного разрешения пациента.
Клинический случай
В отделение нейроэндокринологии и остеопатий ФГБУ ЭНЦ в 2014 г. обратилась пациентка 61 года с жалобами на общую и мышечную слабость, отеки нижних конечностей, головную боль, изменение внешности, снижение массы тела, дрожь во всем теле.
Анамнез заболевания: с 2004 г. умеренная артериальная гипертония; в 2009 г. появилась мышечная слабость, в сентябре 2013 г. перенесла гипертонический криз с дрожью во всем теле, сердцебиением. Была назначена гипотензивная терапия с удовлетворительным эффектом. С 2013 г. отметила изменение внешности (округление черт лица, появление румянца на щеках, руки и ноги похудели, стала более смуглой). При обследовании по месту жительства поставлен диагноз — синдром Иценко—Кушинга. Отмечалось повышение уровня АКТГ (утром — 189 пг/мл, вечером — 211 пг/мл) и кортизола (утром — 962 нмоль/л, вечером – 1256 нмоль/л) с нарушением ритма их секреции, гипокалинмия (2,42 ммоль/л). Выявлен сахарный диабет и назначено лечение инсулином. При МРТ головного мозга от 19.12.13 убедительных данных за новообразование гипофиза не получено. В феврале 2014 г. пациентка была госпитализирована в нейроэндокринологическое отделение ФГБУ ЭНЦ МЗ РФ для уточнения диагноза и определения тактики лечения.
При осмотре: рост — 161 см, масса тела — 56 кг, ИМТ — 21,6 кг/м 2 . Общее состояние средней тяжести, отмечается округлость черт лица, матронизм, истончение и гиперпигментация кожных покровов, множественные петехии и синяки, выраженная мышечная слабость. Подкожная жировая клетчатка развита умеренно. Стрий нет. АД — 130/80 мм рт.ст. (на фоне гипотензивной терапии), ЧСС — 90 уд/мин.
При обследовании отмечено повышение уровня кортизола в сыворотке и нарушение ритма его секреции: утром — 848 нмоль/л, вечером — 357 нмоль/л. Нарушения ритма секреции АКТГ выявлено не было: уровень АКТГ утром — 33,91 пг/мл, вечером — 28 пг/мл. Экскреция свободного кортизола с мочой оказалась нормальной (96 нмоль/сут). Содержание кортизола в слюне вечером повышено до 14,7 нмоль/л (табл. 1).

Таблица 1. Результаты гормонального анализа Примечание. Референсные значения: кортизол, 8.00: 123,0—626,0 нмоль/л, 23.00: 46,0—270,0 нмоль/л; АКТГ, 8.00: 7,0—66,0 пг/мл, 23.00: 0,1—30,0 пг/мл; св. кортизол в моче: 60,0—413,0 мкг/сут; св. кортизол в слюне (23.00): до 9,4 нмоль/л.
Уровень калия в крови на момент поступления — 2,45 ммоль/л; назначены препараты калия и калийсберегающие диуретики.
Учитывая быстрое развитие симптоматики, гипокалиемию, матронизм, гиперпигментацию кожных покровов, следовало предположить диагноз АКТГ-ЭС. Однако на фоне большой дексаметазановой пробы произошло снижение содержания кортизола на 80% (161 нмоль/л против исходного уровня 848 нмоль/л). При МРТ головного мозга данных за наличие аденомы гипофиза не получено, выявлена диффузная неоднородность структуры аденогипофиза. Для точной верификации диагноза был проведен селективный забор крови из нижних каменистых синусов. Отмечено повышение градиента уровня АКТГ между центром и периферией на 3-й минуте после стимуляции десмопрессином до 4,1.
Положительная БДП и результаты селективного забора из нижних кавернозных синусов указывали на центральный генез гиперкортицизма. Было принято решение о проведении трансназальной аденомэктомии. Гистологический анализ гипофизарной ткани после нейрохирургического вмешательства выявил в двух фрагментах выраженную гиперплазию базофильных и оксифильных клеток и в третьем — элементы нейрогипофиза. Аденома не обнаружена. При иммуногистохимическом (ИГХ) исследовании обнаружена экспрессия рецепторов соматостатина 2-го и 5-го подтипов в 70—80% цитоплазмы и мембраны гиперплазированных клеток гипофиза, слабоположительная реакция на АКТГ, отрицательная реакция на КРГ.
Послеоперационный период — без клинического улучшения; нарастали слабость и гипокалиемия, уровни АКТГ и кортизола в крови возросли в несколько раз (АКТГ утро/вечер — 290,4/226,4 пг/мл; кортизол утро/вечер — >1750/>1750 нмоль/л). Развился транзиторный несахарный диабет, назначен Минирин 0,05 мг вечером с положительным эффектом.
Анализ на биомаркеры нейроэндокринных опухолей выявил высокий уровень хромогранина, А — 285,3 нг/мл (норма до 108 нг/мл). Содержание других биологических маркеров НЭО оставалось в пределах референсных значений.
При УЗИ щитовидной железы обнаружены признаки многоузлового зоба; в нижней трети правой доли по задней поверхности имелись образования неоднородной смешанной структуры с четкими контурами 1,4×1,0×1,1 см. Проведена тонкоигольная аспирационная биопсия описанных узлов, обнаружены признаки кистозного дегенерационного коллоидного пролиферирующего зоба. Цитологический диагноз: доброкачественное образование.
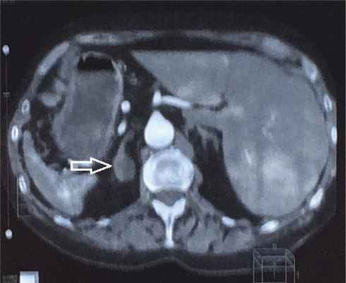
Эзофагогастродуодено- и колоноскопия, мультиспиральная компьютерная томография (МСКТ) грудной клетки объемного образования не выявили. При МСКТ брюшной полости и забрюшинного пространства (выполненной до нейрохирургического вмешательства) были обнаружены два овоидных образования левого надпочечника с четкими и ровными контурами; одно — размером 1,8×2,3×2,5 см и плотностью 19Н, второе — 2,0×2,3×2,5 см и 3Н (рис. 1), которые в связи с результатами БДП и селективного забора крови из нижних каменистых синусов были расценены как вторичные аденомы при БИК.

Рис. 1. МСКТ органов брюшной полости и забрюшинного пространства. Стрелкой указано объемное образование левого надпочечника.
Учитывая тяжесть состояния больной и трудности выявления источника эктопической опухоли, планировалась двусторонняя адреналэктомия. Однако до этого необходимо было исключить достаточно редкий вариант АКТГ-ЭС — АКТГ-секретирующую феохромоцитому.
При анализе суточной мочи обнаружено повышение уровня норметанефрина до 640 мкг/сут (норма 35—445) и метанефрина до 1552 мкг/сут (25—312), что позволило предположить феохромоцитому левого надпочечника с эктопической секрецией АКТГ. После предоперационной подготовки α1- (Кардура, 8 мг/сут) и β-адреноблокаторами (Конкор, 10 мг утром и 7,5 мг вечером) в отделении хирургии ЭНЦ была выполнена люмботомия слева и адреналэктомия с опухолью. В ходе операции из левого надпочечника удален конгломерат ткани с узлом и жировой клетчаткой, общим размером 14×5×2,5 см. К надпочечнику прилегало два узла по 2,5 см в диаметре каждый, ярко-желтого и серого цвета.
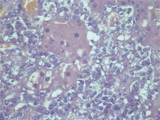
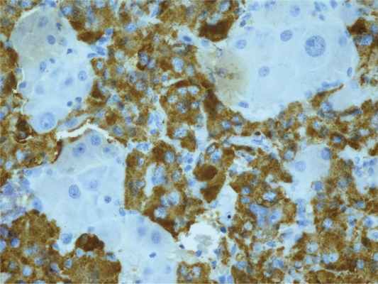
Морфологическое исследование показало, что помимо диффузно-узловой гиперплазии в ткани надпочечника присутствует смешанно-клеточная опухоль: феохромоцитома/аденома коры надпочечника. Ткань феохромоцитомы альвеолярного строения состояла из полиморфных веретенообразных и полигональных клеток, экспрессирующих хромогранин А, синаптофизин и АКТГ; экспрессии КРГ выявлено не было. Индекс маркера пролиферации Ki-67 составил 2,5%. Во втором компоненте смешанной опухоли — аденоме коры надпочечника преобладали эозинофильные клетки (рис. 2 и 3).

Рис. 2. Смешанное строение опухоли, окрашивание гематоксилином и эозином, х400.

Рис. 3. Иммуногистохимическое исследование с антителами к АКТГ. х300.
В послеоперационном периоде отмечено значительное снижение уровня АКТГ (до 30,19 пг/мл) и нормализация уровня кортизола. Тем не менее, исходя из клинических данных (тошнота по утрам, эпизоды снижения АД), был назначен Кортеф в минимальной дозе 5 мг. Состояние пациентки значительно улучшилось: исчезли признаки несахарного диабета (Минирин был отменен), пропало чувство мышечной слабости, нормализовались уровень калия, гликемия; сахароснижающая терапия была полностью отменена.
Через 3 мес после адреналэктомии, сразу после отмены заместительной терапии, у пациентки развилась надпочечниковая недостаточность. Уровень АКТГ в крови утром — 30 пг/мл, но содержание кортизола в крови утром — 20 нмоль/л, а свободного кортизола в моче — 18,0 мкг/сут. Заместительная терапия (Кортеф 15 мг) была возобновлена. При контрольном обследовании через 1 год после адреналэктомии данных за рецидив заболевания нет; сохраняется нормальное АД, хорошее самочувствие, низконормальные показатели АКТГ и кортизола.
Особенностью данного случая является трудность диагностики. Вначале положительная БДП и результат селективного забора из нижних каменистых синусов (на 3 и 5 мин после стимуляции десмопрессином градиент концентрации АКТГ центр/периферия более 3) заставили предположить БИК. Однако результаты этих исследований оказались ложноположительными, что выяснилось после нейрохирургического вмешательства. Наличие аденомы не подтвердилось, был обнаружен лишь гиперплазированный гипофиз, ткань которого слабо окрашивалась антителами к АКТГ. Причина гиперплазии гипофиза остается неясной, так как ИГХ-окраска на КРГ была отрицательной. На основе данных ряда работ [9—12] можно предположить влияние избыточного количества катехоламинов на кортикотрофы гипофиза через α- и β-адренорецепторы. Не исключено, что гиперплазия гипофиза и повышение секреции АКТГ, обусловленные действием избытка катехоламинов, привели к аденоматозу надпочечников и формированию кортикальной части опухоли. Возможно также паракринное взаимодействие феохромоцитомы и коры надпочечника, приводящее к образованию диффузно-узловой гиперплазии коры и повышению выработки кортизола. [13]. Описано несколько случаев феохромоцитомы и смешанно-клеточной кортико-медуллярной опухоли, ассоциированой с «пре-Кушинг-синдромом», в отсутствие повышения уровня АКТГ в крови [14—16].
Необходимо отметить, что у пациентки отсутствовали четкие клинические проявления феохромоцитомы: однократный гипертонический криз успешно купировался гипотензивной терапией, жалобы на дрожь тела были расценены как проявление карциноидного синдрома на фоне НЭО, на что указывал высокий уровень хромогранина А.
Описанный случай характеризуется типичными для АКТГ-ЭС признаками: быстро прогрессирующим течением заболевания, потерей массы тела, выраженной гипокалиемией, потемнением кожных покровов. Имеет значение и немолодой возраст пациентки. Обращает на себя внимание некоторая цикличность течения заболевания: высокий уровень АКТГ и кортизола и яркие проявления заболевания в 2013 г., значительное снижение содержания кортизола (в 5,5 раза) и АКТГ (в 7 раз) в вечернее время к февралю 2014 г. с нормализацией суточной экскреции свободного кортизола с мочой и вновь резкий подъем указанных параметров после трансназального вмешательства на гипофизе.
Заключение
Описанный случай иллюстрирует трудность дифференциальной диагностики АКТГ-зависимого гиперкортицизма, даже при использовании такого точного и чувствительного диагностического метода, как селективный забор крови из нижних каменистых синусов. Сочетание АКТГ-зависимого гиперкортицизма с новообразованием в надпочечнике требует исключения хромафинной опухоли с эктопической продукцией АКТГ. При подтверждении феохромоцитомы необходима тщательная предоперационная подготовка α-адреноблокаторами во избежание развития криза неуправляемой гемодинамики в интраоперационном периоде. Уникальной особенностью описанного случая является наличие как характерных для феохромоцитомы опухолевых клеток, так и опухолевых клеток коркового слоя. Это позволило классифицировать удаленное новообразование как кортико-медулярную опухоль смешанного строения.
Признаки гиперплазии коры надпочечника и ее дифференциация с опухолью
Признаки гиперплазии коры надпочечника и ее дифференциация с опухолью
При развитии позднего адреногенитального синдрома в постпубертатном периоде дифференциальная диагностика проводится между гиперплазией и опухолью надпочечника. Гиперплазия коры надпочечника у женщин клинически проявляется по-разному: от легкого гирсутизма в области лица или симптомов дефеминизации до выраженного вирилизма. Заболевание обычно начинается с роста волос на верхней губе, подбородке, лобке, конечностях. Вскоре менструации становятся скудными и редкими, а затем наступает аменорея и появляются другие признаки маскулинизации [Green].
При опухоли надпочечника маскулинизация развивается быстро, причем иногда без предшествующей дефеминизации. Гиперплазия надпочечника при наличии признаков вирилизации подтверждается данными гормонального исследования.
Для гиперплазии коры надпочечника характерны следующие гормональные показатели:
1. Количество 17-КС мочи, как правило, выше нормы (25—40 мг в сутки).
2. Количество ДЭА в моче увеличено [Старкова Н. Т.].
ДЭА возрастает не только при повышенных 17-КС мочи, но и при нормальном их содержании; у 29% женщин увеличивается отношение ДНК к 17-КС [Jayle et al.]. Однако в большинстве случаев соотношение между а- и b-фракциями остается без изменений (5:1).

5. Количество 17-ОКС мочи снижено или остается в пределах нормы. В связи с этим повышается отношение 17-КС к 17-ОКС (по сравнению с нормой).
6. Повышается отношение 11-деоксигеиированных 17-КС (андрогенные метаболиты) к 11-оксигенированным 17-КС (адреналовые метаболиты) до 5,1 при норме 3,3 [Brooksbank].
7. Содержание альдостерона в плазме повышается до 16,5— 84,4 нг/мл при норме 7,3±4,7 нг/мл, а концентрация 17-гидроксипрогестерона в крови повышается в 40 раз [Parth et al.]. При этом обнаруживается хорошая корреляция между повышением 17-гидроксипрогестерона в крови и прегнантриола в мече.
8. Проба с АКТГ (25 ЕД внутримышечно) вызывает повышение 17-КС и ДНА, причем последний повышается больше, чем в норме [Softer et al.]. 17-ОКС повышаются незначительно, а эозинофилы снижаются на 50% и более.
9. Проба с кортизоном (500 мг внутримышечно в течение 5—10 дней) или дексаметазоном (2 мг в течение 4 дней) вызывает снижение уровня 17-КС мочи и особенно ДЭА [Andersen]. У больных с гиперплазией надпочечника при этой пробе количество 17-КС и 17-ОКС мочи снижается на 50%. Уровень эстрогенов может оыть нормальным или сниженным, но даже при нормальном количестве 17-КС мочи отношение ан-дрогенов к эстрогенам увеличивается за счет снижения уровня эстрогенов [Audit]. При опухоли надпочечника количество 17-КС мочи может быть очень высоким, иногда достигая 200—228 мг в сутки.
Значительно возрастает и количество ДЭА [Харват И., Юлес М., Холло И.]. Проба с АКТГ и кортизоном не вызывает изменений уровня 17-КС и 17-ОКС мочи, так как опухоль продуцирует стероиды независимо от стимуляции АКТГ [Мамедов А. З., Keller, Hauser, Andersen]. Высокий уровень 17-КС мочи (более 50 мг/сут) наблюдается обычно при злокачественной опухоли надпочечника. Диагноз подтверждается с помощью рентгенографии в условиях ретропневмоперитонеума.
Адреногенитальный синдром
Адреногенитальный синдром (АГС) также известен как врожденная дисфункция коры надпочечников (ВДКН) или врожденная гиперплазия коры надпочечников (ВГКН). Синдром объединяет заболевания с аутосомно-рецессивным типом наследования, в основе которых лежит дефект одного из ферментов метаболического пути синтеза стероидов.
Заболевание вызвано наследственным дефицитом ферментов, которые локализованы в коре надпочечников. Гормоны коры надпочечников включают минералокортикоиды (альдостерон), глюкокортикоиды (кортизол) и половые стероиды (тестостерон и эстроген). Синдром возникает, когда дефицит фермента приводит к снижению надпочечникового синтеза глюкокортикоидов. Происходит снижение ингибирующего влияния гормонов коры надпочечников на гипофиз, поэтому синтез и секреция адренокортикотропного гормона (АКТГ) увеличивается по механизму отрицательной обратной связи. АКТГ стимулирует увеличение размеров надпочечников и выработку ими промежуточных субстратов. Включаясь в другие пути синтеза, метаболиты вызывают повышение уровней других гормонов коры надпочечников — минералокортикоидов или андрогенов. Измененные уровни минералокортикоидов и половых гормонов приводят к аномалиям электролитного соотношения, проблемам с дифференциацией пола и другим признакам, и симптомам, в зависимости от дефицита фермента и его степени.
Частота встречаемости заболевания от 1:5000 до 1:67000.
Характеристика заболевания
ВГКН является одним из самых распространенных наследственных моногенных заболеваний, одновременно представляет собой вариант хронической первичной надпочечниковой недостаточности и группу патологии полового развития, а также половой дифференцировки. АГС включен в программу «Национальные приоритетные проекты» и введен в неонатальный скрининг. АГС в стертой (неклассической) форме является одной из причин нарушения репродуктивного здоровья (бесплодие, невынашивание беременности).
Дефект 21-гидроксилазы: классификация и клинические проявления
Ген CYP21, кодирующий фермент 21-гидроксилазу, локализован на коротком плече 6-й хромосомы. Описано более пятидесяти мутаций этого гена, приводящих к синтезу фермента со степенью активности от 0 до 60 %.
Патогенетической сущностью синдрома является нарушение процесса перехода 17-гидроксипрогестерона и 11-дезоксикортикостерона в 11-дезоксикортизол (рис 1). Развивается гормональная дисфункция, которая сводится к снижению синтеза кортизола альдостерона и избыточному накоплению предшественников кортизола. Избыток прегненолона, прогестерона, 17-гидроксипрогестерона конвертируется в надпочечениковые андрогены.
Рис.1. Недостаточность 21-гидроксилазы. Штриховкой выделены стероиды, синтез которых заблокирован.
Так происходит угнетение выработки одних кортикостероидов при одновременном увеличении выработки других, вследствие дефицита того или иного фермента, обеспечивающего один из этапов стероидогенеза.
- дефицит 21-гидроксилазы с сольтеряющим синдромом;
- простая вирильная форма (неполный дефицит 21-гидроксилазы);
- неклассическая форма (постпубертатная).
Симптомы недостаточности 21-гидроксилазы
При классической вирильной форме адреногенитального синдрома, наружные половые органы у девочек сформированы по гетеросексуальному типу — гипертрофирован клитор, большие половые губы напоминают мошонку, вагина и уретра представлены урогенитальным синусом. У новорождённых мальчиков явных нарушений выявить не удаётся. С 2–4 лет у детей обоего пола появляются другие симптомы адреногенитального синдрома, то есть андрогенизации: формируется подмышечное и лобковое оволосение, развивается скелетная мускулатура, грубеет голос, маскулинизируется фигура, появляются юношеские угри на лице и туловище. В пубертатном периоде у девочек не растут молочные железы, не появляются менструации. При этом ускоряется дифференцировка скелета, и зоны роста закрываются преждевременно, это обусловливает низкорослость.
При сольтеряющей форме 21-гидроксилазной недостаточности, помимо вышеописанных симптомов, у детей с первых дней жизни отмечают признаки надпочечниковой недостаточности. Появляются вначале срыгивания, затем рвоты, возможен жидкий стул. Ребёнок быстро теряет массу тела, развиваются симптомы дегидратации, нарушения микроциркуляции, снижается артериальное давление, начинается тахикардия, возможна остановка сердца вследствие гиперкалиемии.
Неклассическая форма адреногенитального синдрома характеризуется ранним появлением вторичного оволосения, ускорением роста и дифференцировки скелета. У девочек пубертатного возраста возможны умеренные признаки гирсутизма, нарушения менструального цикла (первый цикл может запаздывать или начаться раньше времени). В позднем возрасте при небольших дефектах гена на адреногенитальный синдром может указывать наличие бесплодия в анамнезе. Менструальный цикл может быть нерегулярным и иметь тенденцию к задержке. Невынашивание беременности при адреногенитальном синдроме встречается у четверти женщин с дефектным геном.
- женщинам с диагнозом «замершая эмбриональная беременность»;
- женщинам с привычным невынашиванием беременности;
- женщинам с диагнозом СПКЯ неустановленной этиологии;
- девушкам пубертатного возраста с проявлениями неклассической формы ВДКН: олигоменореей, гирсутизмом, акне и интерсексуальным типом телосложения;
- девочкам младшего возраста с вирилизацией наружных гениталий для дифференциальной диагностики ВДКН с идиопатической врожденной вирилизацией наружных гениталий;
- детям младшего возраста (2–4 года) с признаками преждевременного полового созревания по мужскому типу для дифференциальной диагностики вирильной формы ВДКН с надпочечниковой недостаточностью, гермафродитизмом другого генеза, различными вариантами преждевременного полового созревания и андрогенпродуцирующей опухолью надпочечников.
40.131 Анализ полиморфизмов гена стероид-21-гидролаза (CYP21,9 точек) (адреногенитальный синдром)
Надпочечниковая вирилизация
При надпочечниковой вирилизации вирильный синдром обусловлен избыточной секрецией надпочечниковых андрогенов. Диагноз устанавливается клинически и подтверждается повышенным уровнем андрогенов; выяснение причины может требовать визуализации надпочечников. Лечение зависит от этиологии заболевания.
Причины адренального вирилизма следующие:
Андроген-секретирующие опухоли надпочечников
Злокачественные опухоли надпочечников могут производить избыток андрогенов, кортизола или минералокортикоидов (или всех трех гормонов одновременно). Если происходит избыточная секреция кортизола , это приводит к развитию синдрома Кушинга Синдром Кушинга Синдром Кушинга – это сочетание клинических симптомов, вызванных хроническим повышением уровня кортизола или родственных ему кортикостероидов в крови. Болезнь Кушинга – это синдром Кушинга. Прочитайте дополнительные сведенияГиперплазия надпочечников – обычно врожденная патология; постпубертатная вирилизующая гиперплазия надпочечников представляет собой вариант врожденной гиперплазии надпочечников Обзор врожденной дисфункции коры надпочечников (Overview of Congenital Adrenal Hyperplasia) Врожденная гиперплазия надпочечников представляет собой группу наследственных заболеваний, каждое из которых характеризуется недостаточным синтезом кортизола, альдостерона или обоих гормонов. Прочитайте дополнительные сведения . В обоих этих случаях нарушено гидроксилирование предшественников кортизола, которые накапливаются и вступают в реакции образования андрогенов. При постпубертатной вирилизующей гиперплазии надпочечников такое гидроксилирование нарушается лишь частично, и клинические признаки заболевания могут появиться лишь в зрелом возрасте.
Симптомы и признаки надпочечниковой вирилизации
Проявления зависят от пола больного и возраста начала заболевания; у женщин они выражены гораздо отчетливее, чем у мужчин.
В препубертатном возрасте отмечается ускоренный рост. В отсутствие лечения происходит преждевременное закрытие эпифизарных зон роста и больные остаются низкорослыми. У мальчиков наблюдается преждевременное половое развитие.
Для взрослых женщин характерны аменорея, атрофия матки, гипертрофия клитора, уменьшение размеров молочных желез, угревая сыпь, гирсутизм, низкий голос, облысение, повышенное либидо и сильно развитая мускулатура.
У взрослых мужчин избыток андрогенов надпочечников может подавлять функцию половых желез и вызывать бесплодие. Эктопическая надпочечниковая ткань в семенниках может увеличиваться, имитируя наличие опухоли.
Диагностика адренального вирилизма
Определение уровня тестостерон
Определение уровней других надпочечниковых андрогенов (дегидроэпиандростерона [ДГЭА] и его сульфата [ДГЭАС], андростендиона)
Супрессивный тест с дексаметазоном
Иногда тест на стимуляцию адренокортикотропным гормоном (АКТГ)

Адренальный вирилизм может быть заподозрен на основании клинических данных, хотя легкий гирсутизм и вирилизация с гипоменореей и повышением уровня тестостерона в плазме встречается и при синдроме поликистоза яичников Cиндром поликистозных яичников (СПЯ) Синдром поликистозных яичников – клинический синдром, характеризующийся умеренным ожирением, нерегулярными менструациями или аменореей и признаками избытка андрогенов (например, гирсутизм, угри). Прочитайте дополнительные сведения (синдром Штейна-Левенталя). Диагноз подтверждает повышенный уровень надпочечниковых андрогенов.
При гиперплазии надпочечников повышено содержание дегидроэпиандростерона (ДГЭА) и его сульфата (ДГЭАС) в моче; нередко возрастает и экскреция прегнантриола (метаболита 17-гидроксипрогестерона), тогда как уровень свободного кортизола в моче нормален или снижен. Содержание ДГЭА, ДГЭАС, 17-гидроксипрогестерона, тестостерона и андростендиона в плазме обычно повышено. Уровень 17-гидроксипрогестерона > 30 нмоль/л (1000 нг/дл) через 30 минут после в/м введения 0,25 мг косинтропина (синтетического АКТГ) с высокой вероятностью свидетельствует о наиболее распространенной форме гиперплазии надпочечников.
Подавление избыточной продукции андрогенов при приеме 0,5 мг перорально дексаметазона каждые 6 часов в течение 48 часов позволяет исключить вирилизующую опухоль надпочечников. Если же избыточная экскреция андрогенов сохраняется, то в поисках опухоли проводят КТ или МРТ надпочечников и УЗИ яичников.
Лечение вирилизации надпочечников
При гиперплазии – прием глюкокортикоидов перорально
При гиперплазии надпочечников назначают глюкокортикоиды, как правило, пероральный гидрокортизон 10 мг при пробуждении, 5 мг в середине дня и 5 мг ближе к вечеру. Как альтернативный вариант, возможен пероральный прием дексаметазона по 0,5–1,0 мг перед сном, но даже столь небольшие дозы могут вызывать признаки синдрома Кушинга, поэтому данная форма глюкокортикоида, как правило, не рекомендуется. Прием дексаметазона перед сном лучше всего подходит для подавления секреции АКТГ, но может вызвать бессонницу. Вместо этого можно принимать кортизона ацетат по 25 мг перорально 1 раз в день или преднизон по 5 или периодически до 10 мг перорально 1 раз в день. Хотя лечение устраняет большинство симптомов и признаков вирилизации, гирсутизм и облысение исчезают медленно, голос может оставаться низким, а бесплодие – сохраняться.
При опухолях производят адреналэктомию. Если опухоль секретирует кортизол , то перед и после операции следует назначать гидрокортизон, поскольку нормальная ткань коры надпочечников в таких случаях атрофирована, а ее функция подавлена.
Основные положения
В основе адреногенитального синдрома лежит андрогенсекретирующая опухоль надпочечника или гиперплазия надпочечников.
Вирилизация особенно заметна у женщин; у мужчин может иметь место бесплодие из-за угнетения функции половых желез.
Содержание дегидроэпиандростерона (ДГЭА) и его сульфата (ДГЭАС) в моче и плазме, а часто и тестостерона в плазме повышено.
Для диагностики можно использовать супрессивный тест с дексаметазоном и/или стимуляционный тест с адренокортикотропным гормоном (АКТГ).
В лечении гиперплазии применяют кортикостероидную терапию; опухоли требуют адреналэктомии.
Авторское право © 2022 Merck & Co., Inc., Rahway, NJ, США и ее аффилированные лица. Все права сохранены.
Рак надпочечников

Рак надпочечников — редкое онкологическое заболевание, при котором злокачественная опухоль формируется в одном или обоих надпочечниках из эпителиальной ткани.
Надпочечники — это железы эндокринной секреции, расположенные на верхнем полюсе почек. Гормоны надпочечников регулируют множество важных процессов в организме. Рак надпочечников развивается при злокачественной трансформации эпителиальных клеток. Опухоль может поражать корковый или мозговой слой органа.
Частота диагностики рака надпочечников составляет 0,5-2 случая на 1 миллион населения. Это достаточно редкая патология. Чаще всего заболевание выявляют у женщин 40-50 лет. В группе риска также дети до 5 лет.
Опухоли надпочечников характеризуются бессимптомным течением, быстрым ростом, склонностью к метастазированию в легкие и печень. У большинства больных обнаруживаются злокачественные новообразования диаметром более 10 см. Примерно у половины из них определяется инвазия опухоли в окружающие ткани и метастазы в отдаленные органы.
Если опухоль первоначально сформировалась в структуре надпочечника, говорят о первичном раке. Если атипичные клетки проникают в железистый эпителий из других органов, опухоли считаются вторичными (метастазы). В зависимости от способности продуцировать гормоны, опухоли бывают гормонально активными и гормонально неактивными.
Заболевание делят по стадиям, исходя из размеров и степени распространенности опухоли, наличия метастазов в регионарных лимфатических узлах и отдаленных органах. Выделяют следующие стадии развития рака надпочечников:
- Первая – опухоль диаметром до 5 см, локализована в надпочечнике.
- Вторая – опухоль имеет диаметр более 5 см, однако расположена в пределах пораженного надпочечника.
- Третья — новообразование диаметром более 5 мм, проникает в окружающие ткани или метастазирует в регионарные лимфатические узлы.
- Четвертая — в злокачественный процесс вовлечены окружающие надпочечник структуры, регионарные лимфоузлы и отдаленные органы.
Симптомы
Ранние стадии развития опухолей надпочечников обычно протекают бессимптомно. При достижении опухолью крупных размеров возникает неспецифическая симптоматика, связанная с давлением новообразования на окружающие структуры:
- боли в животе;
- боли в спине и в области поясницы, которые могут отдавать в боковые поверхности туловища;
- учащенное мочеиспускание;
- повышение температуры тела;
- нестабильность артериального давления с преобладанием гипертензии;
- спазмы мышц;
- апатия или депрессия;
- нарушения менструального цикла и пр.
До 60% опухолей надпочечников являются гормонально активными. Некоторые из них продуцируют кортизол. Хроническое повышение уровня гормона сопровождается перераспределением жировой клетчатки (тонкие ноги, круглый живот и отложение жира в области 7-го позвонка), истончением кожных покровов, нарушениями сна и т.д..
Другие опухоли надпочечников вырабатывают женские или мужские половые гормоны. Первые чаще выявляются у молодых мужчин и проявляются симптомами феминизации – характерно повышение тембра голоса, отсутствие волос в типичных для мужчин местах, атрофия яичек и отложение жира в области бедер.
Андрогенпродуцирующие опухоли вызывают ускоренное половое развитие у детей (характерно огрубение голоса, рост волос, повышение жирности кожи и угревая болезнь), облысение у мужчин и признаки вирилизации у женщин (гипотрофия молочных желез, понижение тембра голоса, появление волос на лице, выпадение волос на голове и пр).
Причины
Механизм развития рака надпочечников не изучен полностью. Появление опухоли может быть обусловлено генетической предрасположенностью. Ученые установили связь между мутациями гена TP53 и риском развития рака надпочечников. Провоцирующие факторы для развития рака надпочечников неспецифические:
- контакты с токсическими веществами;
- вредные привычки;
- гормональные нарушения;
- повышение общего воспалительного фона в организме;
- нарушения в работе иммунитета;
- травмы поясницы;
- злокачественные опухоли другой локализации.
Получить консультацию
Если у Вас наблюдаются подобные симптомы, советуем записаться на прием к врачу. Своевременная консультация предупредит негативные последствия для вашего здоровья.
Узнать подробности о заболевании, цены на лечение и записаться на консультацию к специалисту Вы можете по телефону:
Читайте также:
