Экстравентрикулярная нейроцитома на МРТ
Добавил пользователь Евгений Кузнецов Обновлено: 27.01.2026
В 2016 году вышла 5 классификация опухолей головного мозга. Основной упор при изменениях в классификации был сделан на гистологические характеристики опухолей такие, как митотическая активность, некроз, клеточность и неоангиогенез.
Наиболее большим изменениям подверглись следующие группы:
- диффузные астроцитомы
- медуллобластомы
- мезенхимальные опухоли оболочек (солитарные фиброзные опухоли твердой мозговой оболочки и гемангиоперицитом теперь в одной форме).
Степень злокачественности
- I степень — новообразования с низкой пролиферативной активностью, медленно растущие, имеющие клетки, которые очень похожи на нормальные, и редко распространяющееся на близлежащие ткани.
- II степень — медленно растущие новообразования имеющие атипичные клетки, инфильтрирующие прилежащее мозговое вещество. Несмотря на низкую степень митотической активности, чаще рецидивирующие чем опухоли I степени после лечения.
- III степень — новообразования с гистологическими признаками злокачественности в виде ядерной атипии / анаплазии и повышенной митотической активности. Характеризуются высокой частотой рецидивирования и агрессивным ростом вовлекающие окружающие ткани в процесс
- IV степень — новообразования с ядерной атипией, митозами, пролиферацией эндотелия сосудов и/или некрозом;
инфильтрирующие окружающие ткани и склонные к краниоспинальному распространению, быстрому прогрессированию в послеоперационном периоде. Обычно лечат агрессивной адъювантной терапией.
Диффузные астроцитомы и олигодендрогилальные опухоли
- II степень злокачественности
- диффузная астоцитома
- IDH-мутантный тип
- гемистоцитарная астроцитома
- IDH-не-мутантный тип
- IDH-мутантный тип, делеция 1p/19q
- не указано иное
- анапластическая астроцитома
- IDH-мутантный тип
- IDH-не-мутантный тип
- не указано иное
- IDH-мутантный тип, делеция 1p/19q
- не указано иное
- глиобластома
- IDH немутантный тип
- гигантоклеточная глиобластома
- глиосаркома
- эпетилиойдная глиобластома
IDH — Isocitrate dehydrogenase — изоцитратдегидрогеназа — это фермент, катализирующий реакцию превращения изолимонной кислоты в -кетоглутаровую (с восстановлением НАД) — третья реакция цикла трикарбоновых кислот, считается, что именно эта реакция лимитирует скорость всего цикла трикарбоновых кислот. Активность изоцитратдегидрогеназы зависит от присутствия ионов кальция.
Прочие астроцитарные опухоли
- I степень злокачественности
- пилоцитарная астроцитома
- субэпендимарная гигантоклеточная астроцитома
- пиломиксоидная астроцитома
- плейоморфная ксантоастроцитома
- анапластическая плейоморфная ксантоастроцитома
Эпендимальные опухоли
- I степень злокачественности
- субэпендимома
- миксопапиллярная эпендимома
- эпендимома
- папиллярная эпендимома
- светлоклеточная эпендимома
- удлиненноклеточная эпендимома
- анапластическая эпендимома
Прочие глиомы
- I степень злокачественности
- ангиоцентрическая глиома
- хордоидная глиома третьего желудочка
- астробластома
Опухоли сосудистых сплетений
- I степень злокачественности
- папиллома сосудистого сплетения
- атипическая папиллома сосудистого сплетения
- карцинома сосудистого сплетения
Нейрональные и смешанные нейронально-глиальные опухоли
- I степень злокачественности
- инфантильная десмопластическая астроцитома/ганглиоглиома
- дисэмбриопластическая нейроэпителиальная опухоль
- диспластическая ганглиоцитома мозжечка
- ганглиоцитома
- ганглиоглиома
- папиллярная глионейрональная опухоль
- спинальная параганглиома (терминальной нити конского хвоста)
- розеткообразующая глионейрональная опухоль четвертого желудочка
- центральная нейроцитома
- экстравентрикулярная нейроцитома
- мозжечковая липонейроцитома
- анапластическая ганглиоглиома —
- диффузная лептоменингеальная глионейрональная опухоль
Опухоли пинеальной области
- I степень злокачественности
- пинеоцитома
- опухоль паренхимы пинеальной железы промежуточной дифференцировки
- папиллярная опухоль пинеальной области
- пинеобластома
Эмбриональные опухоли
- IV степень злокачественности
- медуллобластома
- генетические определенные
- WNT-активированная
- SHH-активированная и TP53-мутантный тип
- медуллобластома SHH-activated и TP53-немутантный тип
- группа 3
- группа 4
- классическая
- десмопластическая/нодулярная
- с выраженной нодулярностью
- крупноклеточная/анапластическая
- не указано иное
- C19MC-альтерация
- не указано
“WNT” и “SHH” — это типы внутриклеточных путей передачи дифференцировочных сигналов.
Опухоли черепно-мозговых и параспинальных нервов
- I степень злокачественности
- шваннома (неврилеммома, невринома)
- клеточная шваннома
- плексиформная шваннома
- меланотическая шваннома
- атипическая нейрофиброма
- плексиформная нейрофиброма
- злокачественная опухоль оболочки периферического нерва
- эпителиоидная
- с перинеиральной дифференцировкой
Опухоли из менинготелиальных клеток
- I степень злокачественности
- менингиома
- менинготелиальная менингиома
- фиброзная менингиома
- микрокистозная менингиома
- псаммоматозная менингиома
- ангиоматозная менингиома
- секреторная менингиома
- метапластическая менингиома
- с обилием лимфоцитов
- атипическая менингиома
- светлоклеточная менингиома
- хордоидная менингиома
- анапластическая менингиома
- папиллярная менингиома
- рабдоидная менингиома
Mезенхимальные опухоли оболочек (неменинготелиоматозные)
- I, II или III степень злокачественности
- солитарная фиброзная опухоль твердой мозговой оболочки / геменгиоперицитома
- ангиолипома
- хондрома
- фиброматоз десмоидного типа
- гемангиобластома
- гемангиома
- гибернома
- лейомиома
- липома
- миофибробластома
- остеохондрома
- остеома
- рабдомиома
- эпетелиоидная геменгиоэндотелиома
- ангиосаркома
- хондросаркома
- саркома Юинга
- фибросаркома
- саркома Капоши
- лейомиосаркома
- липосаркома
- остеосаркома
- рабдомиосаркома
- нереференцированная плеоморфная саркома / злокачественная фиброзная гистиоцитома
Меланотические образования первичные
- менингеальный меланоцитоз
- менингеальная меланоцитома
- менингеальная меланома
- менингеальный меланоматоз
Лимфомы
- диффузная B-крупноклеточная лимфома ЦНС
- иммунодифецит-ассоциированные лимфомы ЦНС
- СПИД-ассоциированная диффузная В-крупноклеточная лимфома
- EBV-позитивная диффузная B-крупноклеточная лимфома
- лимфатоидный гранулематоз
- ALK-позитивная
- ALK-негативная
Гистиоцитозы
- болезнь Эрдгейм-Честера
- гистиоцитарная саркома
- ювенильная ксантогранулема
- гистиоцитоз Х
- болезнь Розаи-Дорфмана
Герминоклеточные опухоли
- хориокарцитома
- эмбриональная карцинома
- герминома
- смешанная герминоклеточная опухоль
- тератома
- зрелая
- незрелая
- с злокачественной трансформацией
Опухоли турецкого седла
- I степень злокачественности
- краниофарингиома
- адамантинозная
- папиллярная
Изъятое
В классификации ВОЗ от 2016 года убрали следующие новообразования:
- глиоматоз головного мозга
- протоплазматическая астроцитома
- фибриллярная астроцитома
- примитивная нейроэктодермальная опухоль (PNET)
- эпендиомбластома
- клеточный вариант эпендимомы
Новое
В классификации ВОЗ от 2016 года были добавлено следующие новообразования:
- эпителиоидная глиобластома
- диффузная лептоменингеальная глионейрональная опухоль
- диффузная глиома среднего мозга
- эмбриональная опухоль с многослойными розетками
- эпендимома
- медуллобластома
Источник
- Radiopaedia
- 1. Louis DN, Ohgaki H, Wiestler OD et-al. The 2007 WHO classification of tumours of the central nervous system. Acta Neuropathol. 2007;114 (2): 97-109. Acta Neuropathol. (full text) — doi:10.1007/s00401-007-0243-4 — Free text at pubmed — Pubmed citation
- 2. Louis DN. Pathology and Genetics of Tumours of the Nervous System, WHO Classification of Tumours. World Health Organization. (2007) ISBN:9283224302. Read it at Google Books — Find it at Amazon
Центральная нейроцитома
Центральная нейроцитома – нейроэпителиальная внутрижелудочковая опухоль 2 степени злокачественности по ВОЗ c довольно характерными радиологическими признаками, проявляющаяся в виде гетерогенного объемного образования различных размеров и с контрастным усилением в пределах бокового желудочка и с прикреплением к прозрачной перегородке. Обычно они выявляются у молодых пациентов; при полной резекции прогноз благоприятный.
Эпидемиология
Центральные нейроцитомы чаще всего встречаются у молодых людей (70% в возрасте от 20 до 40 лет) и составляют менее 1% от всех интракраниальных опухолей. Информации о половой предрасположенности нет. 10
Клиническая картина
Характерными для центральной нейроцитомы симптомами являются симптомы повышенного внутричерепного давления, чаще всего пациенты жалуются на головные боли; также возможны эпилептические приступы (особенно при наличии экстравентрикулярного роста).
Характерно сравнительно непродолжительное клиническое течение, обычно несколько месяцев. В редких случаях центральная астроцитома может стать причиной внезапной смерти в результате желудочковой обструкции. [4] Внутрижелудочковые кровоизлияния встречаются также редко. [7]
Патология
Дифференциация нейронов и гистологические особенности центральных нейроцитом схожи с таковыми у олигодендроглиом, что исторически приводило к ошибкам в постановке диагноза.
Изначально данному типу опухолей была присвоена первая степень злокачественности по ВОЗ. Однако, с 1993 года (и по данным последней версии классификации 2016 г.) степень злокачественности изменилась на вторую, поскольку у некоторых опухолей наблюдалось более агрессивное поведение. [10]
Локализация
Подавляющее большинство центральных нейроцитом расположено полностью внутри желудочков. Среди типичных локализаций можно выделить следующие:
- боковые желудочки в области отверстия Монро (50%);
- и в латеральном, и в третьем желудочках (15%);
- билатеральное расположение (15%);
- изолированно в третьем желудочке (5%);
Макроскопическая картина
Макроскопически центральные нейроцитомы – опухоли серого цвета рыхлой структуры, иногда с областями кальцификации и кровоизлияний. [11]
Микроскопическая картина
Клетки обычно округлой формы, однородные, с мелкозернистыми включениями хроматина по типу «соли-и-перца». В центральных нейроцитомах могут визуализироваться области переменной архитектуры, которые напоминают другие опухоли - олигодендроглиомы, пинеоцитомы и нейроэндокринные опухоли.
Иммунофенотип
Иммуногистохимия подтверждает чисто нейронное происхождение опухоли положительностью к нейронным маркерам, таким как [11]:
- синаптофизин: положительны;
- NeuN: положительны;
- нейронспецифическая энолаза: положительны;
- МАР2: положительны;
- β-тубулин III класса: обычно положительны;
- GFAP и IDH-1 R132H – отрицательны.
Генетика
Важно, что мутации в IDH и 1p19q ко-делеция отсутствуют (их наличие характерно для олигодендроглиом).
Варианты
Экстравентрикулярная нейроцитома гистологически сходны, однако отсутствует внутрижелудочковый компонент.
Ганглионейроцитома – вариант экстравентрикулярных нейроцитом, имеющий в своем составе ганглионарно-клеточный компонент.
Диагностика
Компьютерная томография
Центральные нейроцитомы обычно гиподенсны по отношению к белому веществу. Кальцификация наблюдается примерно в половине случаев, обычно точечная. Редко наблюдается кистозный компонент, особенно в опухолях большого размера. Накопление контрастного вещества варьирует от небольшого до значительного. Также часто наблюдается расширение желудочков.
- Т1
- обычно изоинтенсивны к серому веществу
- интенсивность гетерогенная
- небольшое-значительное накопление контрастного вещества
- обычно изо- или гиперинтенсивны относительно паренхимы мозга
- возможно наличие множества кист, сигнал от которых полностью подавляется на FLAIR
- возможно наличие феномена пустоты потока [11]
- кальцификация обычно точечная
- кровоизлияния (особенно в больших опухолях)
- редко бывают кровоизлияния в желудочки
- выраженный пик холиновых соединений
- также возможно появления пика глицина (3,55 ppm) [10]
Ангиография
Часто выявляется «опухолевый румянец», с обилием хороидальных сосудов. Крупных снабжающих артерий обычно не наблюдается.
Лечение и прогноз
Обычно выполняется тотальная хирургическая резекция опухоли (5-летняя выживаемость – в 81%). Когда возможна лишь частичная резекция или опухоль распространяется экстравентрикулярно, дополнительно добавляются адъювантная лучевая терапия (и иногда – химиотерапия), хотя их эффективность доказана недостаточно.
Возможна диссеминация опухоли через ЦСЖ, однако такое встречается редко [10].
Случай центральной нейроцитомы Текст научной статьи по специальности «Клиническая медицина»
НЕЙРООНКОЛОГИЯ / НЕЙРОЦИТОМА / ЦЕНТРАЛЬНАЯ НЕЙРОЦИТОМА / ГИСТОПАТОЛОГИЯ / ИММУНОГИСТОХИМИЧЕСКИЙ АНАЛИЗ / ОПЕРАТИВНОЕ ЛЕЧЕНИЕ / ИНДЕКС KI-67 / НЕЙРОСПЕЦИФИЧЕСКИЕ БЕЛКИ / БЕЛОК GFAP / БЕЛОК NSE / NEURO-ONCOLOGY / NEUROCYTOMA / CENTRAL NEUROCYTOMA / HISTOPATHOLOGY / IMMUNOHISTOCHEMICAL ANALYSIS / SURGICAL TREATMENT / KI-67 INDEX / NEUROSPECIFIC PROTEINS / GFAP PROTEIN / NSE PROTEIN
Аннотация научной статьи по клинической медицине, автор научной работы — Курепина И.С., Зорин Р.А., Прокудин А.И.
Цель исследования – описать клинический случай выявления центральной нейроцитомы .Материалы и методы. Пациентка С., 33 года, поступила в нейрохирургическое отделение с жалобами на головную боль и нарушение сна, беспокоящие ее в течение 2 мес. Хронических заболеваний не выявлено. За время нахождения в стационаре проведен ряд обследований: оценка лабораторных показателей в динамике, магнитно-резонансная томография головного мозга, осмотр специалистами (неврологом, нейроофтальмологом).Результаты. При магнитно-резонансной томографии головного мозга обнаружено объемное кистозно-солидное образование левой лобной доли. Выполнены костно-пластическая трепанация в левой лобной области и микрохирургическое удаление внутримозговой кистозной опухоли. Выявленная нейрорентгенологическая и гистологическая картина позволила дифференцировать нейроцитому от других гистологических вариантов. Через 5 мес после операции по данным магнитно-резонансной томографии головного мозга роста опухоли не наблюдали. Был проведен курс лучевой терапии.Заключение. В данном клиническом случае отображены особенности течения, диагностики, оперативного вмешательства у пациентки с центральной нейроцитомой , а также особенности иммуногистохимического анализа .
Похожие темы научных работ по клинической медицине , автор научной работы — Курепина И.С., Зорин Р.А., Прокудин А.И.
Динамика и роль маркеров повреждения головного мозга в шизофреническом процессе (аналитический обзор)
CASE OF CENTRAL NEUROCYTOMA
The aim of study was to describe a clinical case of central neurocytoma formation and course.Materials and methods. Patient C., 33 years old, admitted to the neurosurgical department of Regional Clinical Hospital with complaints of headache and sleep disturbance that troubled her for 2 months. No chronic diseases were detected. During the stay in the hospital, the patient was carried out a number of examinations: assessment of laboratory parameters in dynamics, magnetic resonance imaging of the brain, examination by specialists (neurologist, neuroophthalmologist).Results. Magnetic resonance imaging of the brain revealed a solid volume cystic formation of the left frontal lobe. Bone plastic trepanation and microsurgical removal of the intracerebral cystic tumor in the left frontal area were performed. Revealed neuroradiological and histological characteristics allowed differentiation of neurocytoma from other histological variants. According to magnetic resonance imaging no tumor growth was observed 5 months after surgery. A course of radiation therapy was conducted.Conclusion. This clinical case presented the peculiarities of the course, diagnosis, surgery and immunohistochemical analysis of patient with central neurocytoma .
Текст научной работы на тему «Случай центральной нейроцитомы»
СЛУЧАЙ ЦЕНТРАЛЬНОЙ НЕЙРОЦИТОМЫ
И.С. Курепина1, Р.А. Зорин1, А.И. Прокудин2
ФГБОУ ВО «Рязанский государственный медицинский университет имени академика И.П. Павлова» Минздрава России;
Россия, 390026 Рязань, ул. Высоковольтная, 9; 2ГБУРО «Областная клиническая больница»; Россия, 390039 Рязань, ул. Интернациональная, 3а
Материалы и методы. Пациентка С., 33 года, поступила в нейрохирургическое отделение с жалобами на головную боль и нарушение сна, беспокоящие ее в течение 2мес. Хронических заболеваний не выявлено. За время нахождения в стационаре проведен ряд обследований: оценка лабораторных показателей в динамике, магнитно-резонансная томография головного мозга, осмотр специалистами (неврологом, нейроофтальмологом).
Результаты. При магнитно-резонансной томографии головного мозга обнаружено объемное кистозно-солидное образование левой лобной доли. Выполнены костно-пластическая трепанация в левой лобной области и микрохирургическое удаление внутри-мозговой кистозной опухоли. Выявленная нейрорентгенологическая и гистологическая картина позволила дифференцировать нейроцитому от других гистологических вариантов. Через 5мес после операции по данным магнитно-резонансной томографии головного мозга роста опухоли не наблюдали. Был проведен курс лучевой терапии.
Заключение. В данном клиническом случае отображены особенности течения, диагностики, оперативного вмешательства у пациентки с центральной нейроцитомой, а также особенности иммуногистохимического анализа.
Ключевые слова: нейроонкология, нейроцитома, центральная нейроцитома, гистопатология, иммуногистохимический анализ, оперативное лечение, индекс Ki-67, нейроспецифические белки, белок GFAP, белок NSE
Для цитирования: Курепина И.С., Зорин Р.А., Прокудин А.И. Случай центральной нейроцитомы. Клиницист 2018;12(2):56—60
case of central neurocytoma
I.S. Kurepina1, R.A. Zorin1, A.I. Prokudin2
'Ryazan State Medical University named after academician I.P. Pavlov, Ministry of Health of Russia; 9 Vysokovoltnaya St., Ryazan 390026, Russia; Regional Clinical Hospital; 3a Internatsionalnaya St., Ryazan 390039, Russia
The aim of study was to describe a clinical case of central neurocytoma formation and course.
Materials and methods. Patient C., 33 years old, admitted to the neurosurgical department of Regional Clinical Hospital with complaints of headache and sleep disturbance that troubled her for 2 months. No chronic diseases were detected. During the stay in the hospital, the patient was carried out a number of examinations: assessment of laboratory parameters in dynamics, magnetic resonance imaging of the brain, examination by specialists (neurologist, neuroophthalmologist).
Results. Magnetic resonance imaging of the brain revealed a solid volume cystic formation of the left frontal lobe. Bone plastic trepanation and microsurgical removal of the intracerebral cystic tumor in the left frontal area were performed. Revealed neuroradiological and histological characteristics allowed differentiation of neurocytoma from other histological variants. According to magnetic resonance imaging no tumor growth was observed 5 months after surgery. A course of radiation therapy was conducted.
Conclusion. This clinical case presented the peculiarities of the course, diagnosis, surgery and immunohistochemical analysis of patient with central neurocytoma.
Key words: neurooncology, neurocytoma, central neurocytoma, histopathology, immunohistochemical analysis, surgical treatment, Ki-67 index, neurospecific proteins, GFAP protein, NSE protein
For citation: Kurepina I.S., Zorin R.A., Prokudin A.I. Case of central neurocytoma. Klinitsist = The Clinician 20'8;'2(2):56—60
Термин «центральная нейроцитома» обозначает смешанные опухоли со свойствами как глиальной, так и нейрональной дифференцировки. Большинство
нейроцитом возникает в боковых желудочках рядом с отверстиями Монро [1]. Нейроцитома головного мозга была выделена как самостоятельная разновидность опухолей центральной нервной системы (ЦНС)
в 1982 г., когда J. Hassoun при электронно-микроскопическом изучении 2 опухолей боковых желудочков головного мозга обнаружил в их структуре наравне с глиальными клетками клеточные структуры с нейро-нальной дифференциацией и наличием аксонов, микротрубочек, нейросекреторных гранул и синаптиче-ских везикул [2—4]. Ранее эти опухоли относили к олигодендроглиомам или эпендимомам, так как они схожи гистологически.
В течение последнего десятилетия несколько докладов, направленных на изучение нейрональных опухолей, показали, что новообразования происходят в паренхиме мозга вне вентрикулярной системы с подобной гистопатологической характеристикой, хотя проявляются различными морфологическими картинами в связи с неоднородностью данной группы. Для этих новообразований в 2007 г. в классификации опухолей Всемирная организация здравоохранения рекомендовала термин «экстравентрикулярная нейроцитома» и предложила код, согласно Международной классификации болезней, идентичный центральной нейроцитоме [5]. Согласно международной классификации опухолей ЦНС центральная нейроцитома в 2016 г. была отнесена Всемирной организацией здравоохранения к рубрике «нейро-нальные опухоли» [6].
Нейроцитомы расценивают как биологически доброкачественные новообразования, состоящие из «ми-тотически неактивных клеток», обладающих медленным темпом роста с благоприятным прогнозом. Высказывается предположение о том, что источником возникновения этих опухолей являются персистиру-ющие нейроциты субэпендимарной пластинки боковых желудочков мозга [7].
В связи с наличием в опухоли в отдельных случаях гистологических признаков анаплазии (фигур митоза, очагов некроза и пролиферации эндотелия сосудов) некоторыми авторами допускается возможность существования среди нейроцитом злокачественных форм.
Нейроцитомы встречаются редко, менее чем в 0,1— 0,5 % всех опухолей ЦНС [8—10]; в то же время они составляют около половины всех внутрижелудочковых опухолей у взрослых и, как правило, возникают чаще у молодых людей [9]. Информации о половой предрасположенности нет.
В неврологическом статусе: общемозговая симптоматика проявлялась головной болью, усиливающейся в утренние часы, локализующейся преимущественно в левой лобной области, головокружением, тошнотой. Болевая, тактильная, температурная чувствительность сохранена. Двигательных нарушений нет. Поражения черепных нервов не обнаружено. Хронические заболевания отрицает. Наследственный анамнез не отягощен. Семейный и социальный анамнез благополучный. Аллергических реакций не выявлено.
При обследовании в биохимическом анализе крови и мочи значимых изменений не установлено. В клиническом анализе крови выявлен лейкоцитоз до 18,3 х 109/л. Осмотрена офтальмологом: обнаружены выраженные застойные явления дисков зрительных нервов обоих глаз, ангиопатия сетчатки по гипертоническому типу, отмечено концентрическое сужение периферических границ полей зрения (табл. 1).
При магнитно-резонансной томографии головного мозга выявлено объемное кистозно-солидное образование с четкими неровными контурами, размерами 5,8 х 7,2 х 4,9 см (5,0 х 4,4 см — приблизительные размеры солидной части) в медиобазальных отделах левой лобной доли, без перифокального отека. Данное образование компри-мирует передние рога боковых желудочков, смещая срединные структуры вправо до 0,5—0,6 см.
Предварительный диагноз: объемное образование левой лобной доли.
Выполнены костно-пластическая трепанация в левой лобной области и микрохирургическое удаление внутри-мозговой кистозной опухоли. Опухоль удалена тотально. По данным патоморфологического исследования с использованием иммуногистохимического анализа был установлен окончательный диагноз: центральная нейроцитома.
В послеоперационном периоде проводили гормонотерапию — дексаметазон 4 мг 2 раза в день. Пациентка удовлетворительно перенесла хирургическое вмешательство, неврологический дефицит регрессировал, выписана на 10-е сутки.
В течение последующих 2 мес был проведен курс лучевой терапии. Суммарная общая доза облучения на область удаленной опухоли составила 60 Тр.
Таблица 1. Границы полей зрения больной С. Table 1. Limits of visual fields in patient C.
Пациентка С., 33 года, обратилась в октябре 2017г. в нейрохирургическое отделение областной клинической больницы с жалобами на головную боль и нарушение сна, беспокоящие ее в течение 2 мес.
При поступлении: общее состояние удовлетворительное. Гиперстенический тип телосложения. В легких дыхание везикулярное, хрипов нет. Гемодинамика стабильная. Частота сердечных сокращений — 71 уд/мин. Артериальное давление — 130/90 мм рт. ст.
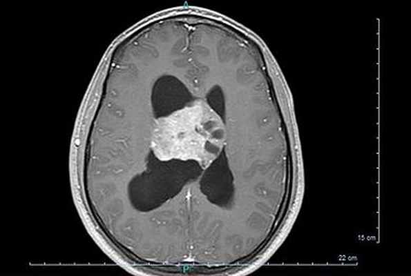
Нейроцитома
![Описание этого изображения, также прокомментировано ниже]()
Обзор литературы 2014 г. выявил 19 описанных случаев злокачественной трансформации.
Кинетика эволюции этой опухоли от медленной до очень медленной, и, более того, кажется, что она развивается поэтапно, без какого-либо известного фактора эволюции.
Следовательно, его классификация по ВОЗ - 2 степень (доброкачественная опухоль, но с низким потенциалом злокачественности).
Эта опухоль почти всегда находится исключительно в желудочковой системе головного мозга (особенно на уровне боковых желудочков, реже в 3- м желудочке). Эта опухоль имеет нежелательную тенденцию развиваться в контакте с отверстиями Монро и, таким образом, блокировать их, тем самым вызывая некоммуникативную (обструктивную) гидроцефалию и клинически вызывая синдром внутричерепной гипертензии .
В медицинской литературе сообщается о нескольких случаях экстравентрикулярной нейроцитомы, чаще всего злокачественной.
Лечение центральной нейроцитомы включает хирургическую резекцию первой линии с приблизительно 20% риском рецидива в случае макроскопически полной резекции и 100% долгосрочным риском рецидива в случае неполной резекции.
Резюме
Исторический
Первое описание этой опухоли головного мозга датируется Хассоуном в 1982 году. Центральные нейроцитомы - это редкие опухоли головного мозга, которые чаще всего возникают в боковых желудочках возле отверстий Монро. Впервые они были обнаружены Хассоуном и его коллегами в 1982 году и были классифицированы как опухоли II степени. В 1985 году Уилсон также описал редкий случай «дифференцированной нейробластомы» в боковом желудочке, которая при световой микроскопии выглядит как олигодендроглиома. Однако название центральной нейроцитомы дал Хассун.
Первичные нейрональные опухоли, образующиеся в желудочковой системе , считаются редкими. Большинство описанных в то время случаев имели ненейронное происхождение, такие как олигодендроглиома, эпендимома, менингиома, папиллома сосудистого сплетения и гигантские клетки. Из-за неагрессивного поведения опухоль часто называют «доброкачественной центральной нейроцитомой». Считается, что он возникает у молодых людей из нейрональных клеток прозрачной перегородки и субзависимых клеток боковых желудочков. Большинство первоначальных инцидентов, связанных с боковым желудочком, были легкими. Однако по мере сбора дополнительной информации название доброкачественная центральная нейроцитома стало считаться устаревшим, поскольку эти опухоли не всегда являются доброкачественными или централизованными. Многие недавние исследования показывают, что их местоположение, биологический потенциал и клиническое поведение более изменчивы, чем считалось ранее. Недавние исследования показывают, что их необычное расположение, агрессивное биологическое поведение и частые рецидивы после хирургической резекции вызвали значительный интерес к различным методам лечения, а также к их терминологии, потенциалу происхождения и молекулярной регуляции.
Влияние
На центральную нейроцитому приходится 0,1-0,5% первичных опухолей головного мозга. В формировании этих опухолей есть генетический компонент, в результате чего доля опухолей у людей азиатского происхождения выше, чем у других этнических групп. Центральные нейроцитомы образуются в основном у молодых людей, чаще всего во втором или третьем десятилетии жизни. Нет никаких доказательств того, что пол человека является определяющим фактором частоты центральных нейроцитом.
Место расположения
Подавляющее большинство центральных нейроцитом целиком располагается в желудочках. Типичные местоположения включают четыре основных местоположения:
- В любом боковом желудочке (независимо от того) вокруг отверстия Монро (наиболее часто): 50%
- В обоих боковых желудочков и 3 е желудочка: 15%
- В обоих боковых желудочках: 15%
- Исключительно в 3 й желудочке: 5%
В 2019 году в литературе сообщалось о 8 случаях нейроцитом, поражающих все четыре желудочка одновременно.
Анатомо-патология
Макроскопически центральная нейроцитома сероватого цвета, напоминает серое вещество, и имеет участки кровоизлияния. Опухоль имеет яйцевидную форму, дольчатую, образуя обычно хорошо очерченную узелковую массу. При расслоении опухоли нейрохирурги могут столкнуться с изменением консистенции, как более твердым (кальцификаты), так и более жидким (кистозное образование). Образцы опухоли, окрашенные красителем H&E и исследованные под микроскопом, показали, что нейроцитома представляет собой хорошо дифференцированную опухоль с доброкачественными гистологическими особенностями. Опухоль состоит из «однородных клеток малого и среднего размера с округлыми ядрами, мелко пунктирным хроматином и дискретными ядрышками с некоторой цитоплазмой». Нейроцитома характеризуется периваскулярными псевдорозетками, круговым / цветочным расположением клеток с небольшим кровеносным сосудом в центре и небольшими многоугольными клетками с четким перинуклеарным галогенидом. Основной гистоморфологический дифференциальный диагноз - олигодендроглиома. В то время как опухолевые клетки были плотными в некоторых областях, области с безъядерными, менее плотными частями опухоли были рассредоточены по всей поверхности. Антиядерные области могут иметь тонкий фибриллярный матрикс, как в областях нейропиля. Длинные тонкостенные сосуды размером с капилляр представляют собой васкуляризацию нейроцитомы, не путать с конституциональной сетью глубоких вен, которая больше по размеру и имеет перегородку. Эти сосуды расположены в виде линейного разветвления и имеют эндокринный вид. Во многих случаях легко выявляются тонкостенные расширенные сосудистые каналы, а также очаги кальцификации.
Симптомы
Симптомы включают единственные признаки внутричерепной гипертензии , а именно стойкую головную боль, нарушения зрения (с двусторонним отеком сосочков на глазном дне), а также нарушение памяти , тошноту , рвоту , нарушение сознания .
Другие симптомы, такие как двигательные расстройства (гемипарез, нарушения ходьбы), когнитивные (внимание в дополнение к памяти), геморрагические (носовое кровотечение) или психические (психоз) расстройства, могут присутствовать впервые, но они менее важны, чем предыдущие.
Только визуализация головного мозга ( КТ или МРТ головного мозга ) позволяет поставить точный морфологический диагноз.
Когда опухолевый процесс утихает в течение нескольких лет, симптомы могут отсутствовать в течение длительного времени, а затем клиническое состояние пациента внезапно разлагается на картину внутричерепной гипертензии, которая может доходить до церебрального поражения и смерти .
Диагностический
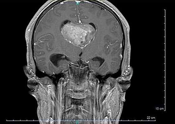
![]()
МРТ головного мозга, коронарный срез, последовательность повреждений Т1, большая нейроцитома правого бокового желудочка.
Диагноз ставится с помощью визуализации головного мозга, компьютерной томографии или, в лучшем случае, МРТ головного мозга, обнаруживая это гетерогенное образование с тремя основными компонентами (ткань +/- кистозный и кальций) с частичным усилением при введении контрастного вещества.
Это позволяет изучать взаимосвязи с функциональными областями мозга (в частности, столбом свода, одним из компонентов цепи Папеза, отвечающим за антеградную память), сосудистой системой (сетью глубоких вен), а также воздействие опухоли на мозг (массовый эффект из-за гидроцефалии , отека , кровотечения , поражения…).
Только анатомическая патология может окончательно поставить диагноз нейроцитомы, в частности, благодаря методам иммуногистохимии.
Терапия
Операция
Хирургия остается вариантом первой линии. Полное удаление должно быть основной целью.
Есть два хирургических подхода:
- трансвентрикулярный доступ (неизбежно вызывающий последствия эпилепсии, потому что первый доступ требует кортикотомии)
- транскаллеевский подход
Операция не всегда бывает легкой. Это делается с помощью операционного микроскопа, а иногда это можно сделать с помощью нейронавигации (ее использование остается ограниченным, поскольку она не так точна, как должна быть из-за движений тела. Опухоль залита спинномозговой жидкостью).
Цель состоит в том, чтобы удалить как можно больше опухоли, не повреждая нервные волокна, и соблюдать васкуляризацию мозга.
Мы отмечаем наличие глубоких вен в боковых желудочках, в частности таламостриатальной вены, хориоидальных вен и передней перегородочной вены, которые соединяются вместе, образуя внутреннюю мозговую вену, которая дренирует глубокие структуры мозга, такие как хвостатое ядро, таламус, чечевицеобразное ядро, часть полуовального центра и внутренняя капсула. Ятрогенное изменение этого дренажа вызывает инсульт, аналогичный необратимому церебральному тромбофлебиту, с образованием отека головного мозга, который может привести к венозному нагрубанию, а в самых неблагоприятных случаях - к ишемии и инфаркту головного мозга при отсутствии восстановления коллатераля. вены, приводящие к клиническим последствиям, которые иногда могут быть драматичными (нарушение памяти, гемиплегия, кома, смерть и т. д.).
Точно так же хирургическая процедура должна в максимально возможной степени соблюдать структуру столба свода, который выстилает внутреннюю поверхность отверстия Монро, под страхом в целом обратимого повреждения антеградной памяти.
Также существует риск инфекционного осложнения, которым является бактериальный вентрикулит, который лечится с помощью соответствующей антибактериальной терапии и задержка в лечении которого должна вызывать опасения по поводу появления тяжелых когнитивных нарушений (классический приступ инфекционного вентрикулита).
Нейроцитома, как правило, довольно мягкая по консистенции и поэтому фрагментируется (по центральному или боковому углублению) и может быть довольно легко отсосана во время удаления.
Считается, что именно во время первой операции нейрохирург должен положить упаковку, потому что именно во время этой операции у него есть максимальные шансы сделать полную резекцию, поэтому она должна быть как можно более агрессивной в отношении уважение к благородным конституционным структурам, упомянутым выше.
Полное иссечение остается целью лечения нейроцитомы до тех пор, пока это возможно. Часто нейрохирурги при необходимости оставляют слабые остатки опухоли, которые «прилипают» к здоровой ткани (потому что ее трудно или невозможно мобилизовать), и, таким образом, по возможности избегают неврологических последствий во время или после операции.
В случае неполной резекции во время первой операции оказывается, что будущие хирургические вмешательства будут более сложными из-за реорганизации остатка опухоли и частого изменения ее консистенции, фиброза, который вызывает спайки рубцов со здоровой паренхимой, а не присутствует во время первой операции, и в этом случае обычно считается, что разумнее вмешаться только для того, чтобы априори провести новую частичную резекцию, чтобы не подвергать пациента неврологическому функциональному риску (стратегия повторных операций с совместным проживанием оставшийся остаток; при появлении неврологических симптомов затем запрашивается оперативное показание, что позволяет максимально откладывать хирургические вмешательства, при этом риск злокачественной трансформации в течение этого времени более чем спорный и незначительный).
Отметим также, что нейроцитома остается опухолью, полностью доступной хирургическим путем, и теоретически возможно ее полное удаление.
Реабилитации (двигатель и / или когнитивный) могут быть необходимы в случае осложнений интраоперационных или послеоперационных.
Лучевая терапия
Гамма-нож, также называемый радиохирургией, представляет собой стереотаксическую лучевую терапию. Он использует пучки гамма-лучей, чтобы доставить определенную дозу радиации к опухоли. Гамма-нож очень эффективен при лечении нейроцитомы и поддержании контроля над опухолью после процедуры, когда было выполнено полное иссечение. Некоторые исследования показали, что вероятность успеха в борьбе с опухолью составляет около 90% после первых пяти лет и 80% после первых десяти лет. Гамма-нож является наиболее широко распространенной формой лучевой терапии для лечения остатков нейроцитомы после операции, при условии, что соблюдаются функциональные области и соседняя васкуляризация (его погрешность близка к миллиметру).
Химиотерапия
Химиотерапия обычно ограничивается пациентами с центральной злокачественной нейроцитомой. В настоящее время химиотерапия, применяемая против нейроцитомы, включает молекулы на основе платины и ингибитор топоизомеразы II. Два основных шаблона:
- Карбоплатин + ВП-16 + ифосфамид
- Цисплатин + VP-16 + циклофосфамид
Поскольку химиотерапия используется в редких случаях, еще предстоит собрать некоторую информацию о том, насколько хорошо химиотерапия работает при лечении нейроцитомы. Поэтому эти рекомендации следует рассматривать как ограниченные и предварительные.
Эволюция и риск рецидива
Когда опухоль расположена в боковых желудочках, она может вызвать следующие трудности: наиболее ограничивающая находится на перекрестке и передних рогах левого и правого желудочков (внутрижелудочковая), препятствуя эвакуации спинномозговой жидкости и вызывая внутричерепную гипертензию за счет обструктивного гидроцефалия. Его лечение, каким бы оно ни было, может сопровождаться заметными послеоперационными осложнениями ( отеком мозга ).
В наиболее неблагоприятных случаях и в зависимости от локализации нейроцитомы последствия сопровождаются хронической эпилепсией , афазией (потерей речи), излечимой гемиплегией в зависимости от случая и более или менее обширной амнезией, которая иногда вызывает хроническое депрессивное состояние с суицидальные наклонности (пациент, осознавая снижение своих способностей, не принимает эту необратимую ситуацию).
Во всех случаях (два) ежегодное обследование МРТ будет назначено на всю жизнь, чтобы контролировать остатки опухоли (редко бывают случаи, когда хирургия позволила удалить всю опухоль). Головная боль может длиться в течение многих лет, из - за послеоперационный рубец травмой.
Если обструктивная гидроцефалия сохраняется после лечения (остатки опухоли закупоривают отверстие Монро) или коммуникативного характера (фиброз отверстия Монро при желудочковом кровотечении или послеоперационное ремоделирование ткани), может потребоваться новое вмешательство. вместо желудочкового дренажного устройства, откачивающего избыточное давление спинномозговой жидкости в направлении полой вены (вентрикуло-предсердный шунт или DVA) или брюшины (вентрикуло-перитонеальный шунт или DVP). Фенестрация прозрачной перегородки может быть проведена в определенных случаях, что позволяет создать внутренний желудочковый обход между двумя боковыми желудочками путем разрыва при условии идеальной циркуляции спинномозговой жидкости из контралатерального отверстия Монро. Также возможно выполнить вентрикулоцистерностомию, если водопровод Сильвия заблокирован.
Следует отметить, что послеоперационный прогноз этой опухоли очень хороший в случае полного макроскопического иссечения.
Точно так же послеоперационный прогноз в случае неполной резекции обычно хороший, потому что опухоль растет очень медленно («бездействие» иногда возможно в течение 15-20 лет).
В случае быстрого изменения размера опухоли или раннего клинического рецидива, связанного с высоким индексом пролиферации опухоли, долгосрочный прогноз хуже, а терапевтическая стратегия более агрессивная, чем планировалось изначально, что связано с мультимодальным лечением (ранняя ревизионная хирургия). связанные со стереотаксической лучевой терапией).
Вероятность рецидива составляет примерно 20% в случае полного макроскопического иссечения (сохранение опухолевых клеток вдоль эпендимы, что требует хорошей промывки желудочковых полостей в конце операции во избежание рецидива опухоли. Несмотря на макроскопически полную резекцию во время операции). и систематический, обычно длительный в случае неполной резекции. Факторы, идентифицированные на сегодняшний день, которые предсказывают рецидив опухоли и смерть из-за прогрессирования этой патологии, включают индекс высокой пролиферации опухоли (Ki67> 2% на оперативном образце), ранний рецидив заболевания и диссеминированное заболевание (метастаз) с или без распространения опухоли. заболевание спинномозговой жидкости (наличие аномальных опухолевых клеток в спинномозговой жидкости при люмбальной пункции).
Риск злокачественной трансформации напрямую коррелирует с очень высоким индексом пролиферации опухоли (Ki67> 10-15%).
Клинические исследования Пилоцитарная астроцитома
Заболевания: Диффузная астроцитома, Анапластическая астроцитома, Астроцитома, Олигодендроглиома, Детство, Анапластическая олигодендроглиома, глиобластома, Пилоцитарная астроцитома, Гигантоклеточная астроцитома, Плеоморфная ксантоастроцитома, Анапластическая плеоморфная ксантоастроцитома, Ангиоцентрическая глиома, Хордоидная глиома третьего желудочка, Ганглиоцитома, Ганглиоглиома, Анапластическая ганглиоглиома, Диспластическая ганглиоцитома головного мозга, Десмопластическая инфантильная астроцитома и ганглиоглиома, Папиллярная глионевральная опухоль, Розеткообразующая опухоль глионевры, Центральная нейроцитома, Экстравентрикулярная нейроцитома, Мозжечковая ипонейроцитома
Заболевания: Глиома низкой степени злокачественности, Рецидивирующая пилоцитарная астроцитома у детей, Рецидивирующий нейрофиброматоз 1 типа, Рецидивирующая глиома зрительного пути, Рефрактерный нейрофиброматоз 1 типа, Рефрактерная глиома зрительного пути
Заболевания: Нейрофиброматоз Тип 1, Рецидивирующая пилоцитарная астроцитома у детей, Рецидивирующая детская глиома зрительного пути
Заболевания: глиома, Пилоцитарная астроцитома, Анапластическая астроцитома, глиобластома, Смешанная олигоастроцитома, Смешанная глиома, Олигодендроглиома, Оптическая глиома, Астроцитома
Заболевания: Central Nervous System Neoplasms, глиобластома, Глиосаркома, Взрослый, Анапластическая олигодендроглиома, Анапластическая астроцитома, Пилоцитарная астроцитома, Олигодендроглиома, Глиоматоз головного мозга, Плеоморфная ксантоастроцитома, Анапластическая плеоморфная ксантоастроцитома, Диффузная срединная глиома, H3 K27M-мутант, Эпендимома, Эпендимома, анапластическая, медуллобластома, Тератоидная рабдоидная опухоль, Нейроэктодермальные опухоли, примитивные, Нейроэктодермальные опухоли, Анапластическая менингиома, Атипичная менингиома, Новообразования сосудистого сплетения, Шишковидная опухоль, Диффузная астроцитома, глиальная опухоль
Заболевания: Malignant Glioma of Brain, Астроцитома, Злокачественная астроцитома, Олигодендроглиома, Анапластическая олигодендроглиома головного мозга (диагностика), Смешанная олиго-астроцитома, Эпендимома, Ганглиоглиома, Пилоцитарная/пиломиксоидная астроцитома, Опухоль головного мозга, глиома, Рак мозга, глиобластома, Мультиформная глиобластома
Заболевания: Adult Anaplastic Astrocytoma, Взрослая анапластическая эпендимома, Взрослая анапластическая олигодендроглиома, Глиома ствола мозга у взрослых, Диффузная астроцитома у взрослых, Эпендимома взрослых, Гигантоклеточная глиобластома у взрослых, Взрослая глиобластома, Взрослая глиосаркома, Смешанная глиома взрослых, Взрослая миксопапиллярная эпендимома, Взрослая олигодендроглиома, Взрослая пилоцитарная астроцитома, Астроцитома шишковидной железы у взрослых, Взрослая субэпендимальная гигантоклеточная астроцитома, Субэпендимома взрослых
Заболевания: Acoustic Schwannoma, Взрослая анапластическая астроцитома, Взрослая анапластическая эпендимома, Взрослая анапластическая менингиома, Взрослая анапластическая олигодендроглиома, Глиома ствола мозга у взрослых, Опухоль сосудистого сплетения у взрослых, Взрослая краниофарингиома, Диффузная астроцитома у взрослых, Эпендимобластома у взрослых, Эпендимома взрослых, Гигантоклеточная глиобластома у взрослых, Взрослая глиобластома, Взрослая глиосаркома, Менингиома I степени у взрослых, Менингиома II степени у взрослых, Взрослая медуллобластома, Менингеальная гемангиоперицитома взрослых, Смешанная глиома взрослых, Взрослая миксопапиллярная эпендимома, Взрослая олигодендроглиома, Папиллярная менингиома у взрослых, Взрослая пилоцитарная астроцитома, Астроцитома шишковидной железы у взрослых, Взрослая пинеобластома, Взрослая пинеоцитома, Взрослая субэпендимальная гигантоклеточная астроцитома, Субэпендимома взрослых, Взрослая супратенториальная примитивная нейроэктодермальная опухоль (ПНЭО), Детская опухоль сосудистого сплетения, Детская краниофарингиома, Эпендимобластома детства, Менингиома I степени детства, Менингиома II степени у детей, Менингиома III степени у детей, Детская мозжечковая астроцитома высокой степени злокачественности, Детская церебральная астроцитома высокой степени злокачественности, Детская инфратенториальная эпендимома, Мозжечковая астроцитома низкой степени злокачественности у детей, Церебральная астроцитома низкой степени злокачественности у детей, Детская медуллоэпителиома, Детская супратенториальная эпендимома, Менингеальная меланоцитома, Недавно диагностированная детская эпендимома, Рецидивирующая опухоль головного мозга у взрослых, Рецидивирующая детская анапластическая астроцитома, Рецидивирующая детская анапластическая олигоастроцитома, Рецидивирующая детская анапластическая олигодендроглиома, Рецидивирующая глиома ствола головного мозга в детстве, Рецидивирующая детская мозжечковая астроцитома, Рецидивирующая детская церебральная астроцитома, Рецидивирующая диффузная астроцитома детского возраста, Рецидивирующая детская эпендимома, Рецидивирующая фибриллярная астроцитома детского возраста, Рецидивирующая детская гемистоцитарная астроцитома, Рецидивирующая детская гигантоклеточная глиобластома, Рецидивирующая детская глиобластома, Рецидивирующий детский глиоматоз головного мозга, Рецидивирующая детская глиосаркома, Рецидивирующая детская медуллобластома, Рецидивирующая детская олигоастроцитома, Рецидивирующая детская олигодендроглиома, Рецидивирующая пилоцитарная астроцитома у детей, Рецидивирующая пиломиксоидная астроцитома детского возраста, Рецидивирующая детская пинеобластома, Рецидивирующая детская плеоморфная ксантоастроцитома, Рецидивирующая детская протоплазматическая астроцитома, Рецидивирующая субэпендимальная гигантоклеточная астроцитома у детей, Рецидивирующая супратенториальная примитивная нейроэктодермальная опухоль в детском возрасте, Рецидив зрительного пути в детстве и гипоталамическая глиома, Рецидивирующая глиома зрительного пути в детстве, Нелеченая детская анапластическая астроцитома, Нелеченая детская анапластическая олигодендроглиома, Нелеченая глиома ствола головного мозга у детей, Нелеченая мозжечковая астроцитома у детей, Нелеченая детская церебральная астроцитома, Диффузная астроцитома у детей без лечения, Нелеченая детская фибриллярная астроцитома, Нелеченная детская гемистоцитарная астроцитома, Гигантоклеточная глиобластома у детей без лечения, Нелеченая детская глиобластома, Нелеченный детский глиоматоз головного мозга, Нелеченая детская глиосаркома, Медуллобластома у детей без лечения, Нелеченная детская олигоастроцитома, Нелеченная детская олигодендроглиома, Нелеченая пилоцитарная астроцитома у детей, Нелеченая пиломиксоидная астроцитома у детей, Нелеченная детская пинеобластома, Нелеченая детская плеоморфная ксантоастроцитома, Нелеченая детская протоплазматическая астроцитома, Нелеченая субэпендимальная гигантоклеточная астроцитома у детей, Нелеченая супратенториальная примитивная нейроэктодермальная опухоль в детском возрасте, Нелеченый детский зрительный путь и гипоталамическая глиома, Нелеченная детская глиома зрительного пути
Заболевания: Adult Anaplastic Ependymoma, Взрослая анапластическая олигодендроглиома, Глиома ствола мозга у взрослых, Диффузная астроцитома у взрослых, Гигантоклеточная глиобластома у взрослых, Взрослая глиобластома, Взрослая глиосаркома, Смешанная глиома взрослых, Взрослая олигодендроглиома, Взрослая пилоцитарная астроцитома, Астроцитома шишковидной железы у взрослых, Взрослая субэпендимальная гигантоклеточная астроцитома, Детская мозжечковая астроцитома высокой степени злокачественности, Детская церебральная астроцитома высокой степени злокачественности, Мозжечковая астроцитома низкой степени злокачественности у детей, Церебральная астроцитома низкой степени злокачественности у детей, Рецидивирующая опухоль головного мозга у взрослых, Рецидивирующая детская анапластическая астроцитома, Рецидивирующая детская анапластическая олигоастроцитома, Рецидивирующая детская анапластическая олигодендроглиома, Рецидивирующая глиома ствола головного мозга в детстве, Рецидивирующая детская мозжечковая астроцитома, Рецидивирующая детская церебральная астроцитома, Рецидивирующая диффузная астроцитома детского возраста, Рецидивирующая фибриллярная астроцитома детского возраста, Рецидивирующая детская гемистоцитарная астроцитома, Рецидивирующая детская гигантоклеточная глиобластома, Рецидивирующая детская глиобластома, Рецидивирующий детский глиоматоз головного мозга, Рецидивирующая детская глиосаркома, Рецидивирующая детская олигоастроцитома, Рецидивирующая детская олигодендроглиома, Рецидивирующая пиломиксоидная астроцитома детского возраста, Рецидивирующая детская протоплазматическая астроцитома, Рецидивирующая субэпендимальная гигантоклеточная астроцитома у детей, Рецидив зрительного пути в детстве и гипоталамическая глиома, Рецидивирующая детская глиома зрительного пути, Нелеченая детская анапластическая астроцитома, Нелеченая детская анапластическая олигоастроцитома, Нелеченая детская анапластическая олигодендроглиома, Нелеченая глиома ствола головного мозга у детей, Нелеченая мозжечковая астроцитома у детей, Нелеченная детская церебральная астроцитома, Диффузная астроцитома детского возраста без лечения, Нелеченная детская фибриллярная астроцитома, Нелеченная детская гемистоцитарная астроцитома, Гигантоклеточная глиобластома у детей без лечения, Нелеченая детская глиобластома, Нелеченный детский глиоматоз головного мозга, Нелеченная детская глиосаркома, Нелеченная детская олигоастроцитома, Нелеченная детская олигодендроглиома, Нелеченая пиломиксоидная астроцитома у детей, Нелеченая детская протоплазматическая астроцитома, Нелеченая субэпендимальная гигантоклеточная астроцитома у детей, Нелеченый детский зрительный путь и гипоталамическая глиома, Нелеченая детская глиома зрительного пути
Заболевания: Adult Anaplastic Astrocytoma, Взрослая анапластическая олигодендроглиома, Диффузная астроцитома у взрослых, Гигантоклеточная глиобластома у взрослых, Взрослая глиобластома, Взрослая глиосаркома, Смешанная глиома взрослых, Взрослая пилоцитарная астроцитома, Астроцитома шишковидной железы у взрослых, Взрослая субэпендимальная гигантоклеточная астроцитома, Рецидивирующая опухоль головного мозга у взрослых
Заболевания: Adult Anaplastic Astrocytoma, Взрослая анапластическая эпендимома, Взрослая анапластическая олигодендроглиома, Диффузная астроцитома у взрослых, Эпендимома взрослых, Гигантоклеточная глиобластома у взрослых, Взрослая глиобластома, Взрослая глиосаркома, Смешанная глиома взрослых, Взрослая миксопапиллярная эпендимома, Взрослая олигодендроглиома, Взрослая пилоцитарная астроцитома, Астроцитома шишковидной железы у взрослых, Взрослая субэпендимома
Читайте также:
- краниофарингиома
- шваннома (неврилеммома, невринома)
- генетические определенные
- медуллобластома
- IDH немутантный тип
- IDH-мутантный тип
- диффузная астоцитома


