Эндофитные опухоли пищевода. Изъязвление опухолей пищевода
Добавил пользователь Владимир З. Обновлено: 27.01.2026
Частью пищеварительной системы человека является пищевод — полый, сплющенный в переднем и заднем направлении мышечный орган, соединяющий глотку и желудок. Длина пищеводной трубки у взрослого человека составляет до 30 см. Пищевод начинается на уровне 6-7 позвонка в шейном отделе, проходит через грудной отдел и заканчивается в брюшине. Рак пищевода – распространенное заболевание, относящееся к онкологическим заболеваниям желудочно-кишечного тракта. Опухоль формируется в тканях пищевода и продолжительное время остается бессимптомной.
Классификация рака пищевода
Онкологи различают следующие виды рака пищевода:
- аденокарциному (злокачественное новообразование в железистых клетках слизистой, чаще всего образуется в нижней области пищевода, распространяется на проксимальную зону желудка; пациенты с пищеводом Барретта – основная группа риска);
- рак плоскоклеточный (встречается реже, локализуется в верхней и средней части пищевода; в основной группе риска – люди, пристрастившиеся к алкоголю и курению).
Чаще онкология пищевода встречается у мужчин зрелого и пожилого возраста. К усиливающим факторам относятся:
- перманентный контакт с веществами группы канцерогенов;
- хроническое облучение;
- однообразное питание (дефицит витаминов);
- постоянное раздражение слизистой оболочки механическим, термическим, химическим раздражителем;
- грыжа диафрагматического отверстия пищевода;
- рефлюкс-эзофагит.
Среди предраковых заболеваний пищевода - синдром Пламмера-Винсона, кератодермия, ожоговая стриктура, гастроэзофагеальная рефлюксная болезнь и т.д.
По форме развития злокачественное новообразование в пищеводе бывает:
- экзофитное (в полости трубки);
- эндофитное (растущее в подслизистой стенки);
- смешанного типа (опухоль с элементами экзофитного и эндофитного вида, с ранним распадом тканей и изъязвлением).
Симптоматика рака пищевода
Если на первом этапе недуг бессимптомный, далее у пациента появляются:
- дисфагия (трудности с проглатыванием);
- одинофагия (боль при глотании, в частности, твердой пищи);
- боли в груди;
- непроходимость пищевода;
- общая слабость;
- резкая потеря массы тела и т.д.
Точную диагностику с целью правильного лечения рака пищевода практикуют в Германии. Немецким специалистам удается выявить и классифицировать болезнь на первичном этапе формирования опухоли. Среди методов эффективной диагностики:
- сбор анамнеза, оценка состояния больного на основе его жалоб;
- анализ крови;
- рентгенография;
- эндоскопическое ультразвуковое обследование;
- бронхоскопия;
- биопсия;
- МРТ, КТ и др.
Своевременное обращение к специалистам повышает шансы на полное выздоровление пациента. Среди тех, кто приезжает на лечение рака пищевода в Университетскую клинику г.Фрайбурга (Германия) – также те, кто на родине не получил компетентного медицинского обслуживания и находится на поздних стадиях развития онкологии.
Рак пищевода: как проходит лечение в Германии
После комплексного обследования, разрабатывается индивидуальная терапевтическая стратегия. Ведущим методом остается хирургия: на место удаленной (вместе с фрагментом трубки пищевода) опухоли устанавливается специальный протез. Если новообразование проросло в соседние ткани, проводится целостное или частичное их удаление.
Эндоскопическая процедура с использованием высокочастотного тока – малотравматичная операция, которая позволяет отделить и вывести новообразование более эффективно. При лечении опухоли пищевода актуальна лучевая терапия, задача которой – минимизировать параметры новообразования, а также предотвратить рецидивы после операции. Часто внедряется как мобильный метод и в симбиозе с химиотерапией. При проведении брахиотерапии источник лучей находится на уровне новообразования внутри пищевода.
Как вспомогательная методика, актуальна фотодинамическая терапия опухоли пищевода. В новообразование внедряется фоточувствительный препарат, на который воздействуют лучом лазера.
Важным периодом при лечении рака пищевода в Германии считается реабилитация. Пациент находится под пристальным вниманием высококвалифицированных специалистов, которые обеспечивают ему качественный медицинский и бытовой уход до полной выписки из клиники.
Хирургическое лечение заболеваний пищевода в Университетской клинике г.Фрайбурга
В Центре висцеральной хирургии высшего уровня проводится диагностика и оперативное лечение широкого спектра заболеваний пищевода:
- все виды новообразований;
- дивертикула;
- ахалазия;
- рефлюксные заболевания и т.д.
В клинике практикуется современное лечение рака пищевода по наиболее лояльным ценам в Германии. Запишитесь на прием, используя контактные возможности официального сайта. Онкология – не приговор, это доказывает статистика по тем пациентам, которые прошли эффективную терапию и вернулись к полноценной жизни.
Эндофитные опухоли пищевода. Изъязвление опухолей пищевода
Эндофитные опухоли пищевода. Изъязвление опухолей пищевода
При эндофитно растущих опухолях решающее диагностическое значение приобретает выявление ригидности и нарушения перистальтики пораженной опухолью стенки, а также стойкого сужения просвета пищевода. Супрастенотическое расширение при этой форме рака выражено весьма умеренно.
Лишь при низкой локализации опухоли расширение пищевода может быть более значительным, однако всегда уступает расширениям, наблюдаемым при рубцовых стенозах. При этом переход суженного участка в расширенный обычно имеет ступенеобразный вид (подрытость контура), что значительно облегчает установление раковой природы заболевания.
Рельеф слизистой оболочки в зоне опухолевого поражения сглажен, стенка пищевода утолщена, что может быть убедительно доказано с помощью пневмоэзофаготомографии [Портной Л. М. и др., 1973]. При расположении опухоли вблизи пищеводно-желудочного перехода наблюдается его непроходимость или, наоборот, зияние и отсутствие «игры» кардии. Иногда пищевод не только суживается, но и укорачивается, что сопровождается перемещением кардии в грудную полость [Brombart, 1973].
В таких случаях опухоли очень трудно дифференцировать от пептического рефлюкс-эзофагита. Обычно это удается сделать на основании эндоскопии и гистологического исследования.

При изъязвлении раковых опухолей пищевода в дефекте наполнения обнаруживают неправильной, иногда менискообразной формы асимметрично расположенное депо бария с неровными, бухтообразными очертаниями и бугристым дном. Лишь при чашеподобных опухолях, являющихся разновидностью экзофитного рака, язвенный кратер может иметь более правильную округлую или овальную форму и располагаться почти в центре четко отграниченной от здоровой ткани опухоли.
Величина язвенного кратера и опухолевого вала у его основания колеблется в широких пределах.
Ввиду отсутствия серозной оболочки рак может сравнительно легко распространяться на соседние органы средостения (трахея, бронхи, аорта, непарная вена и др.), что сопровождается фиксацией пищевода. Наличие же смещаемости пищевода во время глотания, при перемене положения тела больного и при дыхании позволяет исключить это осложнение. При прорастании стенки трахеи или бронха может образоваться свищ.
В ряде случаев, когда для определения лечебной тактики большое значение приобретает выяснение точной локализации и протяженности патологического процесса, его сущности и степени распространения, особенно за пределы пищевода, прибегают к полиграфии, крупнокадровой программированной флюорографии под контролем телевидения, рентгенокинематографии [Кевеш Л. Е., 1970], томографии [Абдурасулов Д. М., Адамов Н. Т., 1971], пневмомедиастин графии, париетографии [Портной Л. М. и др., 1973; Розенштраух Л. С. и др., 1973] или ангиографии вен средостения [Ловягин Е. В., 1970].
В последние годы эти вопросы успешно решаются с помощью компьютерной томографии средостения.
Информация на сайте подлежит консультации лечащим врачом и не заменяет очной консультации с ним.
См. подробнее в пользовательском соглашении.
Эндофитные опухоли пищевода. Изъязвление опухолей пищевода
Институт хирургии им. А.В. Вишневского Министерства здравоохранения и социального развития РФ
Институт хирургии им. А.В. Вишневского, Москва
Институт хирургии им. А.В. Вишневского Министерства здравоохранения и социального развития Российской Федерации
Институт хирургии им. А.В. Вишневского Министерства здравоохранения и социального развития РФ
ГБУЗ «Московский клинический научный центр» Департамента здравоохранения Москвы, Москва, Россия
Институт хирургии им. А.В. Вишневcкого МЗ РФ, Москва
Синхронное поражение пищевода: ранний рак и гастроинтестинальная опухоль
Журнал: Хирургия. Журнал им. Н.И. Пирогова. 2013;(7): 58‑60
Старков Ю.Г., Солодинина Е.Н., Константинова М.М., Шишин К.В., Курушкина Н.А., Гордиенко Е.Н. Синхронное поражение пищевода: ранний рак и гастроинтестинальная опухоль. Хирургия. Журнал им. Н.И. Пирогова. 2013;(7):58‑60.
Starkov IuG, Solodinina EN, Konstantinova MM, Shishin KV, Kurushkina NA, Gordienko EN. Synchronous esophageal lesions: early cancer and gastrointestinal tumor. Pirogov Russian Journal of Surgery = Khirurgiya. Zurnal im. N.I. Pirogova. 2013;(7):58‑60. (In Russ.).
Институт хирургии им. А.В. Вишневского Министерства здравоохранения и социального развития РФ
Институт хирургии им. А.В. Вишневского Министерства здравоохранения и социального развития РФ
Институт хирургии им. А.В. Вишневского, Москва
Институт хирургии им. А.В. Вишневского Министерства здравоохранения и социального развития Российской Федерации
Институт хирургии им. А.В. Вишневского Министерства здравоохранения и социального развития РФ
ГБУЗ «Московский клинический научный центр» Департамента здравоохранения Москвы, Москва, Россия
Институт хирургии им. А.В. Вишневcкого МЗ РФ, Москва
За последнее десятилетие в мировой и отечественной литературе активно обсуждают вопросы клинической, морфологической, генетической диагностики и лечения гастроинтестинальных стромальных опухолей (ГИСО) желудочно-кишечного тракта. Согласно статистическим данным, наиболее частой локализацией ГИСО являются желудок и тонкая кишка - 50-71 и 25-36% соответственно. Обнаружение ГИСО пищевода крайне редко (1-3%). По данным литературы, сочетание ГИСО со злокачественными опухолями других локализаций составляет 14-20%, однако публикаций о сочетании ГИСО и рака пищевода нами обнаружено не было. В связи с эти мы хотели представить следующее клиническое наблюдение.
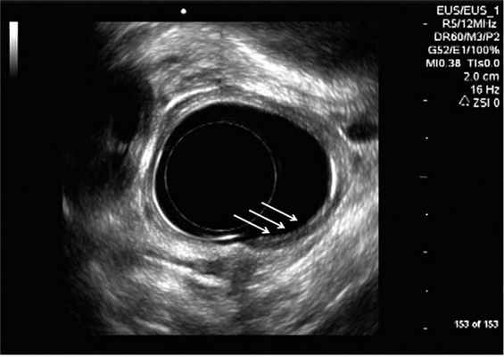
Больной Ч., 61 года, находился на стационарном лечении по поводу ишемической болезни сердца в Институте хирургии им. А.В. Вишневского в 2011 г. По принятому в клинике протоколу предоперационного обследования больному выполнена эзофагогастродуоденоскопия, при которой в пищеводе на расстоянии около 25 см от резцов визуализировано подслизистое образование (липома?) округлой формы диаметром 0,7-0,8 см; слизистая над ним гладкая, белесоватая, плотная (рис. 1, а, стрелка 1). Рисунок 1. Данные обследования 2011 г. а - эндофотограмма: подслизистое новообразование (стрелка 1) и полная эрозия слизистой пищевода (стрелка 2). Рисунок 1. Данные обследования 2011 г. б - эндосонограмма. Подслизистое новообразование пищевода (стрелкой указан второй эхослой). Также в пищеводе на расстоянии 27 см от резцов отмечается участок приподнятой слизистой овальной формы размером 0,7×0,5 см (полная эрозия?) (рис. 1, а, стрелка 2). Выполнена щипковая биопсия из описанного участка слизистой, в полученном материале фрагменты многослойного эпителия с дистрофическими и воспалительными изменениями. Учитывая наличие подслизистого новообразования и подозрительного участка слизистой в средней трети пищевода, больному выполнили эндосонографию пищевода: визуализировано образование наибольшим размером 7,2 мм, по структуре гипоэхогенное, с четким, ровным, гиперэхогенным контуром, исходящее из мышечной пластинки слизистой оболочки стенки пищевода (2-й эхослой). Предполагали наличие лейомиомы или липомы. При сканировании участка измененной слизистой отмечается некоторое утолщение слизистой оболочки и ее мышечной пластинки, слоистое строение пищевода в данной зоне не нарушено (рис. 2, а). Рисунок 2. Данные обследования 2012 г. а - эндофотограмма: ранний рак пищевода (окраска раствором Люголя). Больной был успешно оперирован по поводу основного заболевания и выписан с рекомендацией выполнения динамической ЭГДС через 1 год.
В марте 2012 г. больной обратился с жалобами на периодически возникающие боли при глотании жидкой и твердой пищи. Выполнена ЭГДС, по результатам которой подслизистое новообразование оставалось без динамики, а описанный ранее очаг измененной слизистой увеличился в диаметре до 17 мм, появились полиповидные разрастания в центре диаметром около 0,7×0,5 см, слизистая рыхлая, местами с фибрином (см. рис. 2, а). Заподозрен ранний рак пищевода. Выполнена щипковая биопсия, при которой ткани рыхлые, слизистая отслаивается от подслизистого слоя, отмечено развитие кровотечения, остановленное с помощью аргоноплазменной коагуляции. В исследованном материале фрагменты слизистой пищевода с признаками хронического воспаления, в одном из кусочков фокусы выраженной дисплазии многослойного плоского эпителия, нельзя исключить инвазивный рост.

Больной повторно госпитализирован в Институт хирургии им. А.В. Вишневского для дообследования и решения вопроса о дальнейшей тактике лечения. Выполнена КТ грудной и брюшной полости, по результатам которой на уровне средней трети пищевода имеется неравномерное утолщение стенки на протяжении 25 мм с наличием фрагментарного сужения просвета. Расстояние от начального сужения до диафрагмы 13 см. Участков избирательного накопления контрастного вещества в стенке не определяется. Параэзофагеальные лимфатические узлы не увеличены. Следующим этапом была выполнена ЭГДС, щипковая биопсия со срочным цитологическим исследованием, эндосонография. При заборе материала вновь было отмечено кровотечение, которое остановлено эндоскопически с применением аргоноплазменной коагуляции. Результаты эндосонографии: в стенке пищевода на расстоянии 25 см от резцов визуализируется подслизистое образование наибольшим диаметром 7,2 мм, образование по структуре гипоэхогенное, имеет четкий, ровный, гиперэхогенный по структуре контур. Данное образование исходит из мышечной пластинки слизистой оболочки стенки пищевода (второй эхослой). На расстоянии около 27 см от резцов визуализировано гипоэхогенное образование, захватывающее 1 / 3 окружности пищевода на протяжении около 1 см, частично прорастающее подслизистый слой, мышечный слой прослеживается на всем протяжении (рис. 2, б). Рисунок 2. Данные обследования 2012 г. б - эндосонограмма: ранний рак пищевода. Область поражения слизистой пищевода указана стрелками. Визуализируется увеличенный параэзофагеальный лимфатический узел диаметром до 6 мм, овальной формы, гипоэхогенного строения. Результаты срочного цитологического исследования: плоскоклеточный рак.
Проанализировав полученные результаты комплексного обследования пациента, установили диагноз синхронных опухолей: 1) рака средней трети пищевода T1bN1M0; 2) подслизистой опухоли средней трети пищевода (лейомиома? липома?). С учетом локализации образований в средней трети пищевода, развития кровотечений при щипковой биопсии, а также сочетания рака и подслизистого образования эндоскопическое лечение нецелесообразно. Больному выполнена трансхиатальная экстирпация грудного отдела пищевода с одномоментной субтотальной эзофагопластикой изоперистальтической желудочной трубкой, двухзональная лимфаденэктомия.

Макропрепарат (рис. 3): Рисунок 3. Макропрепарат ГИСО (стрелка) и изъязвление слизистой в области раковой опухоли пищевода (светлое кольцо). участок пищевода длиной 13 см, на расстоянии 3 см от края резекции определяется язвенный дефект с неровными краями глубиной 0,1 см, дно серого цвета. На разрезе толщина стенки пищевода в области дефекта 0,2 см. На расстоянии 0,5 см от язвы определяется субмукозное образование овальной формы размером 1×0,7×0,4 см, эластичной консистенции, беловатого цвета, подвижное.
Микропрепарат: высокодифференцированный плоскоклеточный рак пищевода с инвазией в пределах собственной мышечной пластинки (pT1аN0M0), G1 (рис. 4, а). Рисунок 4. Микрофотографии. а - высокодифференцированный плоскоклеточный рак пищевода. Окраска гематоксилином и эозином. Ув. 250. Субмукозное образование представлено пучками переплетающихся между собой веретеновидных клеток с эозинофильной цитоплазмой, что может соответствовать лейомиоме (рис. 4, б). Рисунок 4. Микрофотографии. б - ГИСО пищевода. Окраска гематоксилином и эозином. Ув. 250.
Иммуногистохимическое исследование: реакция с антителами к CD117+, CD34++, гладкомышечному актину ++, индекс мечения с Ki-67
Заключение: ГИСО пищевода, веретеноклеточный вариант, диаметром 1 см, эндофитный тип роста, низкая пролиферативная активность. С учетом низкого риска рецидива адъювантная терапия иматинибом больному не рекомендована, целесообразно динамическое наблюдение.
Рак пищевода - злокачественная опухоль, которая развивается из эпителия слизистой (плоскоклеточный рак) или из желез органа, которые выстланы цилиндрическим эпителием (железистый эпителий). Рак пищевода занимает 14-е место в структуре онкологической заболеваемости России. Стандартизированный показатель заболеваемости составляет 5,0 на 100 000 населения. При ограничении поражения слизистой частота метастазирования в лимфатические узлы невысока, однако при поражении подслизистого слоя достигает 30% [3]. По данным литературы, сочетание ГИСО со злокачественными опухолями других локализаций составляет 14-20% 7. Частота сочетания ГИСО с другими опухолями следующая: с опухолями желудочно-кишечного тракта - 47%, раком простаты - 9%, лимфомой/лейкемией - 7%, раком молочной железы - 7%, раком почки - 6%, опухолями женских половых органов - 5%, раком легкого - 5%, карциноидом - 3%, злокачественными опухолями мягких тканей и костей - 3%, меланомой - 2%, семиномой -1% [2].
Эндосонография является «золотым стандартом» диагностики эпителиальных и подслизистых образований пищевода. Достоверность метода при стадировании опухоли пищевода по критериям T и N достигает 80 и 77% соответственно [4] и около 95% при определении интрамуральных опухолей или экстраорганного сдавления пищевода патологическими структурами или соседними органами, при дифференцировке происхождения подслизистых новообразований [1].
Таким образом, выполнение скринингового эндоскопического исследования позволяет выявлять злокачественные опухоли на ранних стадиях развития. При обнаружении в пищеводе подслизистого новообразования необходимо выполнение эндосонографии и (по показаниям) биопсии с последующим морфологическим и иммуногистохимическим исследованиями.
Рак пищевода
Рак пищевода — это общее название для злокачественных опухолей, образующихся из тканей пищевода. Наиболее часто рак развивается из эпителия слизистой пищевода (карцинома), но встречаются и другие формы заболевания. Болезнь чаще диагностируется у мужчин, средний возраст больного — 50-60 лет.
Акции
Полное обследование на онкологические заболевания для мужчин и женщин.
Онкоконсилиум может потребоваться как при лечении в «СМ-Клиника», так и пациентам других медицинских учреждений с целью получения альтернативного мнения.
«СМ-Клиника» предоставляет своим пациентам предоперационное обследование со скидкой до 72%!
Консультация врача-хирурга по поводу операции бесплатно!
Содержание статьи:
Рак пищевода – злокачественное новообразование, развивающееся преимущественно из эпителия внутренней слизистой оболочки органа. Опухоль растет в толщу стенки и вдоль пищевода, дает ранние метастазы в близлежащие лимфатические узлы из-за обширной лимфатической сети в окружающей клетчатке.
Рак пищевода считается болезнью пожилых людей. Крайне редко он выявляется у людей в возрасте до 30 лет. В среднем заболевание диагностируется в 64 года у мужчин и после 70 лет – у женщин. Мужчины страдают им чаще женщин, в общей структуре онкологических заболеваний у мужчин этот вид опухоли составляет 2,5%, у женщин – 0,5%.
Злокачественная опухоль пищевода занимает шестое место по распространенности среди всех раковых новообразований и первое – среди опухолей органов пищеварения.
Болезнь отличается медленным течением и, зачастую, поздним выявлением, так как больные обращаются к врачу, когда сужение органа, вызванное опухолью, занимает до ⅔ его просвета. При некоторых локализациях рака пищевода оперативное лечение невозможно, а химиотерапия часто оказывается неэффективной.
Причины и факторы риска заболевания
Злокачественное перерождение клеток слизистой оболочки пищевода могут спровоцировать многие факторы. Условно их можно разделить на несколько групп.
- Алиментарные (пищевые). Это привычка есть слишком горячую или слишком холодную пищу, избыток в меню острых блюд, солений, маринадов, продуктов с плесневыми грибами, недостаток фруктов и овощей, авитаминоз, особенно недостаток витаминов A, B, E.
- Вредные привычки – курение и алкоголь.
- Профессиональные вредности и воздействие химических веществ. Сюда относятся как случайные ожоги пищевода едкими веществами, так и постоянное воздействие вредных веществ на производстве (работа в плохо проветриваемых помещениях, вдыхание токсических газов, производственной пыли) либо в быту (проживание в местностях с загрязненным воздухом, частыми задымлениями из-за пожаров).
- Различные заболевания. Спровоцировать развитие новообразования могут ожирение, гастроэзофагеальный рефлюкс, грыжи пищеводного отверстия диафрагмы, ахалазия пищевода, болезнь Баретта. Две последних патологии многократно повышают риск возникновения опухоли.
- Наследственная предрасположенность.
Симптомы рака пищевода
Нередко больные обращаются за медицинской помощью, когда у них затрудняется проглатывание пищи. К этому моменту опухоль уже достигает значительных размеров, что существенно ухудшает прогноз выживаемости. Однако существуют и ранние признаки заболевания, которые свойственны и другим патологиям. Важно обратиться к врачу уже при их появлении для своевременной постановки диагноза и начала лечения.
Если новообразование располагается в верхнем или среднем отделе пищевода, первыми симптомами будут поперхивание и неприятные ощущения (жжение, саднение, незначительная боль) при проглатывании твердой пищи. При развитии опухоли в нижнем отделе, в месте соединения пищевода с желудком, ранним признаком является постоянное срыгивание воздуха. К ранним признакам рака пищевода, характерным для опухолей всех его отделов, относятся диспепсические явления – отрыжка, изжога, тошнота.
Поздние признаки злокачественного новообразования пищевода – это симптомы дисфагии, или нарушения акта глотания.
Они разделяются на степени со II по V (I относится к ранним признакам).
- II – затрудненное глотание твердой пищи, для проглатывания пищу необходимо запивать водой. Для облегчения прохождения пищи возникает обильное слюноотделение. Могут наблюдаться срыгивания слюной и слизью, пищеводная рвота вследствие задержки пищи выше места сужения.
- III – невозможность проглотить твердую пищу, срыгивание при попытке глотания. Больные могут питаться только жидкой и полужидкой пищей.
- IV – возможно глотание только жидкости.
- V – полная непроходимость пищевода. Больные не могут проглотить воду, слюну.
По мере развития симптомов дисфагии, из-за застоя пищи в месте сужений, происходит ее разложение, сопровождающееся местными воспалительными изменениями, появляются гнилостный запах изо рта, боли, вначале периодические, потом постоянные. Может возникнуть как незначительное, так и обильное кровотечение. Скопление пищи может привести к ее забросу в дыхательные пути (в основном это случается в ночное время) и аспирационной пневмонии. На поздних стадиях есть риск возникновения свищей между пищеводом и трахеей, средостением. Из-за затруднения глотания больные ограничивают себя в еде, теряют вес, вплоть до истощения.
Виды рака пищевода
Классификацию патологии проводят по разным критериям.
По месту расположения опухоли и метастазов:
- Рак шейного (верхнего) отдела пищевода. Диагностируется реже остальных видов, не более чем в 10% случаев. Дает ранние метастазы в средостение, шейную клетчатку и надключичное пространство. Метастазы также распространяются в лимфоузлы шеи, подключичные, медиастинальные и паратрахеальные.
- Рак грудного (среднего) отдела. Самый распространенный, занимает долю в 60% от всех злокачественных новообразований пищевода. Ранние метастазы определяются в окружающей клетчатке, лимфоузлах средостения, малого сальника. Поздние – в бронхах, легких, печени.
- Рак брюшного (нижнего) отдела. Составляет 30% всех случаев рака пищевода. Ранние метастазы обнаруживаются в поддиафрагмальных, параэзофагеальных, околокардиальных лимфоузлах, в узлах, находящихся вдоль левой желудочной артерии и малой кривизны желудка. Поздние метастазы выявляются в костях, печени.
Для всех видов характерны метастазы Вирхова – поздние метастазы в лимфоузлы левой надключичной области.
По направлению роста и внешнему строению:
- Эндофитная (язвенная) форма. Ее доля – около 30% всех случаев рака пищевода. Растет вглубь органа, провоцируя его спазм и стеноз. Эндофитная форма делится на:
- блюдцеобразный рак – опухолевое образование в форме кольца с приподнятыми, хорошо определяемыми краями и изъязвлением в середине;
- язвенный рак – новообразование не отграничено валиком от прилежащей ткани, распространяется на нее в виде «языков» или «кинжалов».
- полипозный рак – образование растет в виде множества узлов неправильной формы, напоминающих цветную капусту, держится на хорошо различимой ножке;
- грибовидный – похож на полипозный, но опухоль более четкой формы, напоминающей гриб;
- узловой – напоминает полипозный и грибовидный, но без четко выраженной ножки;
- мозговидный – мягкое образование, быстро распространяющееся по слизистой оболочке и быстро распадающееся.
Смешанный рак пищевода – одна из форм переходит в другую. Так, полипозная опухоль может изъязвляться и приобретать блюдцеобразное очертание.
Классификацию язвенная, склерозирующая и узловая также используют для макроскопического описания строения новообразования.
По гистологическому строению:
- Плоскоклеточный рак (карцинома). Развивается из многослойного плоского эпителия в верхнем слое слизистой оболочки пищевода. Самый распространенный – 98% случаев злокачественных образований пищевода. Бывает ороговевающим и неороговевающим (более агрессивный).
- Цилиндроклеточный рак (аденокарцинома). Развивается из цилиндрических клеток желез пищевода, находящихся в подслизистом слое. Часто бывает вторичным, распространяющимся из желудка. Часто и быстро дает метастазы.
- Саркома пищевода. Возникает из стромальной (соединительной или мышечной) ткани. Бывает смешанной с другими видами, крайне злокачественная, часто рецидивирует.
- Редкие опухоли – мукоэпидермоидный, мелкоклеточный рак, меланома. Характеризуются высокой злокачественностью.
- Недифференцированный рак – гистологический вид опухоли определить невозможно из-за низкой дифференциации клеток.
По дифференциации клеток:
- Высокодифференцированный рак – клетки максимально схожи со здоровыми, но имеют признаки атипии. Течение – медленное, больше вероятность благополучного исхода. Дает единичные метастазы, хорошо реагирует на терапию.
Умеренно дифференцированный. Промежуточная форма, отличается умеренной злокачественностью. Относительно благоприятный прогноз при своевременной диагностике. - Низкодифференцированный – аномальная неодинаковая структура клеток (полиморфизм), которые быстро делятся и растут. Отличается сильной злокачественностью.
- Недифференцированный рак – наиболее агрессивный, часто бывает вторичным. В этой ситуации тяжесть состояния обусловлена имеющимся первичным очагом.
Степени рака пищевода
Стадирование учитывает глубину проникновения опухоли, наличие регионарных и отдаленных очагов метастазирования.
I новообразование в слизистой оболочке и подслизистом слое. Просвет пищевода в норме. Метастазы отсутствуют. II опухоль помимо слизистого и подслизистого слоев, затрагивает мышечную ткань. Просвет пищевода незначительно уменьшен. Возможны отдельные метастазы в регионарные лимфоузлы. III опухоль переходит на внешнюю оболочку, не затрагивая соседние органы. Просвет пищевода сильно стенозирован. В регионарных лимфоузлах – многочисленные метастазы. IV новообразование проникает во все слои пищевода, переходит на близлежащие органы. Выявляются регионарные и отдаленные метастазы. В международной классификации используется обозначение TNM, где T (x, 0, Is, 1, 1a, 1b, 2, 3, 4a, 4b) – первичная опухоль, N (x, 0, 1, 2, 3) – регионарные лимфоузлы, M (0,1) – отдаленные метастазы.
Диагностика рака пищевода
При первичном обращении врач соберет анамнез жизни и болезни пациента (вредные привычки, профессиональные вредности, жалобы, когда появились первые симптомы), проведет визуальный осмотр, пальпацию лимфоузлов, даст направление на общие анализы крови, мочи, биохимический анализ крови.
Дополнительно назначаются следующие исследования:
- эндоскопическое ультразвуковое исследование пищевода, как правило, совмещается со взятием биопсии; с контрастом – для выявления сужений пищевода; с контрастным усилением – для выявления метастазов в регионарных лимфоузлах, отдаленных метастазов;
- позитронно-эмиссионная томография – для подтверждения метастатической природы увеличенных лимфоузлов;
- бронхоскопия – для исключения проникновения процесса в бронхи;
- торакоскопия, УЗИ брюшной полости – для оценки вовлеченности в процесс органов грудной полости и желудочно-кишечного тракта, обнаружения метастазов; .
Лечение рака пищевода
Лечебные мероприятия подбираются онкологом, хирургом, радиологом и другими специалистами в зависимости от времени выявления злокачественного новообразования, локализации опухоли, ее стадии, отсутствия или наличия метастазов, общего состояния больного.
При возможности оперативного лечения оно, как правило, сочетается с лучевой терапией. Во время операции может проводиться как полное иссечение опухоли с прилежащими тканями и расположенными рядом лимфоузлами, так и ее частичная резекция для освобождения просвета пищевода. Для замещения части удаленного пищевода используется ткань тонкого или толстого кишечника.
При невозможности хирургического лечения рака пищевода методикой выбора становится лучевая терапия. Также, в качестве паллиативного лечения, может применяться фотодинамическая терапия – в опухолевую ткань вводится светочувствительный элемент, и она разрушается лазером. Процедура проводится для облегчения глотания, полностью уничтожить с ее помощью опухоль нельзя.
Химиотерапия при этом виде рака обычно применяется как вспомогательный метод, для подавления активности малигнизированных клеток.
После лечения все пациенты состоят на учете у онколога, регулярно проходят обследование.
Прогноз заболевания
Как и при других онкопатологиях, выживаемость и возможность излечения зависят от времени обнаружения опухоли. Рак пищевода – один из наиболее трудно поддающихся лечению. В целом, при поздней диагностике и отсутствии терапии продолжительность жизни с момента постановки диагноза составляет не более 5-7 месяцев. При раннем выявлении – до 6-7 лет.
Прогноз выживаемости зависит от локализации опухоли и наличия метастазов. При проведении комплексной терапии (оперативное лечение и лучевая/химиотерапия) выживаемость более 5 лет составляет:
- при выявлении рака на I стадии – 80-90%;
- на II – 40-50%;
- на III – 5-10%.
Новые методики лечения помогают повысить продолжительность жизни пациентов. Применение стереотаксической радиохирургии (кибернож) в комплексе с лучевой терапией на линейном ускорителе увеличивает выживаемость на 25%. Радикальная программа лучевой терапии с дифференцированным облучением первичной опухоли, зон перифокальной инфильтрации, а также путей регионарного метастазирования, повышает выживаемость при всех стадиях рака пищевода на 15%.
При неоперабельной опухоли применяется лучевая терапия, которая позволяет увеличить продолжительность жизни до 12 месяцев у 10% больных.
Профилактика рака пищевода
Специфической профилактики заболевания не существует. Снизить риск развития рака помогут отказ от алкоголя и курения, нормализация питания и веса, регулярное обследование органов желудочно-кишечного тракта, обращение к врачу при первых признаках заболевания. Больным с гастроэзофагеальной болезнью показано ежегодное эндоскопическое обследование, с пищеводом Барретта – биопсия.
Михайлов Алексей Геннадьевич оперирующий онколог, врач высшей квалификационной категории, к.м.н. стаж: 21 год
Информация в статье предоставлена в справочных целях и не заменяет консультации квалифицированного специалиста. Не занимайтесь самолечением! При первых признаках заболевания необходимо обратиться к врачу.
Опухоли толстой и прямой кишки
![]()
Опухоли толстого кишечникаОпухоли толстого кишечника — это доброкачественные либо злокачественные новообразования разной этиологии, которые развиваются из эпителиальной или другой ткани стенок толстой кишки и могут поражать любые ее отделы. Доброкачественные опухоли довольно распространены, по разным данным они выявляются у 16−40% населения. Во многих случаях доброкачественный процесс со временем переходит в злокачественный. Раковые опухоли толстого кишечника занимают третье место среди другой злокачественной патологии пищеварительной системы (после рака желудка и опухолей пищевода).
Среди всей онкопатологии злокачественные опухоли толстого кишечника по частоте уступают только раку легких, раковым новообразованиям в желудке и раку молочной железы. У мужчин заболевания данной группы, особенно злокачественные, выявляют несколько чаще, нежели у женщин. Актуальность опухолей толстого кишечника возрастает с каждым годом, преимущественно в развитых странах северного полушария. Доброкачественные процессы так же опасны, как и злокачественные, поскольку имеют склонность к малигнизации.
Причины опухолей толстого кишечника
Причины, которые приводят к возникновению опухолей толстого кишечника, изучаются давно, но к единому мнению ученые и клиницисты (проктологи, хирурги) так и не пришли. Все сходятся во мнении, что данная группа заболеваний является полиэтиологичной. Риск формирования патологии повышается с возрастом. Большое значение имеет диета, богатая животными белками, жирами и бедная клетчаткой. Такой рацион ведет к частым запорам, дисбалансу кишечной флоры. Содержимое кишечника с высоким содержанием желчных кислот и фенолов, обладающих канцерогенными свойствами, дольше контактирует со стенками, что повышает возможность развития опухолей толстого кишечника. Именно с этим связывают большее распространение опухолей толстого кишечника в развитых странах. Также имеют значение канцерогены, которые содержатся в промышленных консервантах, копченых продуктах.
Немаловажное значение в возникновении опухолей толстого кишечника, как злокачественного, так и доброкачественного характера, имеют воспалительные заболевания. При длительном течении (пять лет и больше) они могут осложняться раком
Классификация опухолей толстого кишечника
Опухоли толстого кишечника делят на доброкачественные и злокачественные, а также на опухоли эпителиального и неэпителиального происхождения. По международной морфологической классификации выделяют следующие эпителиальные доброкачественные опухоли толстого кишечника:
Эпителиальные опухоли самые распространенные, они составляют около 92% всех новообразований, имеют большую склонность к злокачественному перерождению.
Злокачественные опухоли толстого кишечника по характеру роста разделяют на четыре типа:
экзофитно-полиповидные опухоли, которые растут в просвет кишки;
эндофитно-язвенные опухоли, распространяющиеся в стенке кишки, часто дают изъязвления;
диффузно-инфильтративные опухоли (злокачественные клетки имеют диффузное распространение внутри стенок органа);
аннулярные опухоли — растут по окружности кишки.
В двух последних случаях трудно определяются гистологические границы опухолевого процесса, клетки могут проникать в участки, которые на первый взгляд выглядят здоровыми.
При классификации злокачественных опухолей толстого кишечника большое значение имеет стадия процесса. Стадийность определяют с помощью международной общепринятой классификации TNM, где T — это степень прорастания опухоли в ткани, N — наличие или отсутствие метастазирования в регионарные лимфатические узлы, M — отдаленное метастазирование.
Симптомы опухолей толстого кишечника
Доброкачественные опухоли толстого кишечника часто протекают бессимптомно и выявляются случайно. Иногда у больных появляется дискомфорт в животе, неустойчивый стул или кровь в кале.
Раковые опухоли толстого кишечника развиваются достаточно медленно и в самом начале могут клинически не проявляться. Одними из первых симптомов заболевания являются кровотечения и анемия. При опухолях прямой кишки и нижнего отдела сигмовидной кишки кровь алая, не смешивается со слизью. Если патологический процесс затрагивает начальную ободочную кишку — кровь темная, равномерно перемешанная со слизью и калом. Кровотечения при злокачественном процессе в проксимальных отделах очень часто бывают скрытыми и проявляются только анемией.
Кроме кровотечений, при раковых опухолях толстого кишечника у пациентов могут появиться боли в животе, тенезмы, проблемы со стулом. Запоры возникают на поздних стадиях процесса, в запущенных случаях часто развивается кишечная непроходимость. Раковые поражения прямой кишки вызывают у больных ощущение неполного опорожнения, тенезмы. Пациенты жалуются на общую слабость, потерю аппетита, отмечают резкую потерю веса. С прогрессированием болезни увеличивается печень, появляются признаки асцита.
Диагностика опухолей толстого кишечника
Для диагностики опухолей толстого кишечника используют целый ряд методик. При аноскопии и ректороманоскопии обнаруживают опухоли и полипы в прямой кишке, дистальном участке сигмовидной кишки.
После проведения эндоскопии выполняют ирригоскопию с двойным контрастированием путем введения в кишечник воздуха и бариевой взвеси. Методика позволяет выявить опухоли толстого кишечника разного размера; трудности в диагностике могут возникнуть, если процесс локализирован в слепой кишке.
Следующий этап исследования — проведение колоноскопии, которая позволяет выявить небольшие по размеру опухоли толстого кишечника, осмотреть его на всем протяжении. Также с помощью этого метода можно взять биоптат и удалить небольшого размера полипы. Колоноскопия имеет большую чувствительность по сравнению с ирригоскопией, но наиболее достоверные результаты можно получить при использовании эндоскопии и контрастной рентгенографии.
Для выявления метастазов при злокачественных опухолях толстого кишечника используют УЗИ органов брюшной полости, компьютерную томографию, сканирование костной системы, при наличии неврологических симптомов — КТ головного мозга. Опухолевые маркеры имеют скорее прогностическое, чем диагностическое значение. При низкодифференцированных новообразованиях повышается раково-эмбриональный антиген, хотя он не специфичен для этого типа опухолей. Самыми информативными маркерами при выявлении первичных опухолей толстого кишечника считаются маркеры СА-19−9 и СА-50, но при рецидивах они могут и не определяться.
Лечение опухолей толстого кишечника
Единственный действенный метод лечения опухолей толстого кишечника в современной проктологии — хирургический. При небольших доброкачественных процессах без признаков малигнизации проводят удаление новообразования, при множественном поражении — части толстого кишечника.
При злокачественных опухолях толстого кишечника объем операции более радикальный. Удаляют не только новообразование, но и региональные лимфатические узлы, даже если в них не выявлены метастазы. По возможности во время хирургических вмешательств стараются сохранить естественный путь пассажа кишечного содержимого. Если такой возможности нет, выводят колостому на переднюю брюшную стенку. Кроме оперативного лечения, назначают химиотерапию, лучевую терапию.
Прогноз и профилактика опухолей толстого кишечника
Прогноз при опухолях толстого кишечника не всегда благоприятный. Даже доброкачественные эпителиальные опухоли или полипы имеют высокую склонность к злокачественному перерождению. Во многом выживаемость больных зависит от своевременной диагностики и адекватно проведенной хирургической операции.
Профилактика опухолей толстого кишечника состоит, прежде всего, в правильном питании. Необходимо меньше употреблять копченых и консервированных продуктов, мяса и животных жиров. При выборе продуктов нужно отдавать предпочтение тем, которые содержат большое количество клетчатки. Следует пересмотреть образ жизни: низкая двигательная активность благоприятствует возникновению опухолей толстого кишечника. Необходимо вовремя выявлять и лечить различные воспалительные заболевания желудочно-кишечного тракта.
Читайте также:

